Ein gesundes "Neues Jahr," für meine Freunde!


Ihr werdet ab 2022 bemerkt haben, ich kann nichts Neues, mehr erfinden, weil derzeit eine 

Zerstörung der Gesundheit von Mensch und Natur statt findet und ich eigentlich jede Maßnahme

unserer Regierung, der Industrie und des Gesundheitsunwesens, als schädlich für Mensch und Natur

enttarne. Es ist zum verzweifeln, die kehren die Naturgesetze und Gesetze zum Schutz von Mensch

 und Natur, sowie Baubiologische Richtlinien einfach zum Schaden aller um!




Auszug aus den Baubiologischen Richtwerten von 2015

Basis und Grundlage all meiner Betrachtungen!




































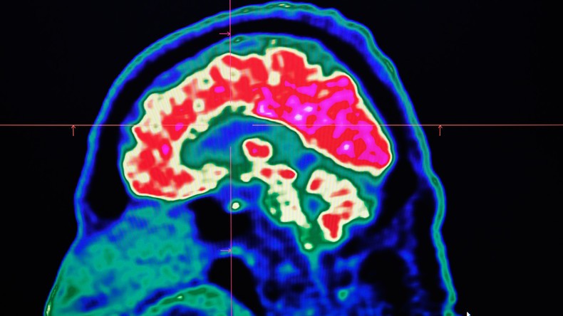
1 µT =1000 nT, siehe oben, ab 300 nT= Tumorbildung!







































Durch WLAN werden die Selbstheilungskräfte, das Mikrobiom zerstört, dann die Zirbeldrüse 

und die Blut/Hirnschranke ist ständig geöffnet, siehe Tabelle! Ein 4G Smartphone: 15 Minuten 126567 µW/m²/Sekunde
Data Logged History
EMF EF RF Power
Date and Time mG V/m µW/m² Possible Source
2022/11/21 17:29:30 67.4 76.4 8244 Smart Meter
2022/11/21 17:29:31 68.0 76.4 8836 Power Line
2022/11/21 17:29:32 67.7 76.8 8769 Power Line
2022/11/21 17:29:33 68.0 77.0 8905 Smart Meter
2022/11/21 17:29:34 68.0 77.6 9043 Smart Meter
2022/11/21 17:29:35 68.5 77.5 115774 Power Line
2022/11/21 17:29:36 67.6 76.1 9043 Smart Meter
2022/11/21 17:29:37 66.8 76.5 8836 Smart Meter
2022/11/21 17:29:38 67.4 76.7 9471 Power Line
2022/11/21 17:29:39 68.2 77.8 6905 Power Line
2022/11/21 17:29:40 68.8 77.9 87742 Smart Meter
2022/11/21 17:43:52 64.2 71.5 435375 Power Line
2022/11/21 17:43:53 64.4 71.8 438741 Power Line
2022/11/21 17:43:54 64.4 72.0 459489 Power Line
2022/11/21 17:43:55 64.5 72.1 452466 Power Line
2022/11/21 17:43:56 64.9 72.1 15628 Power Line
2022/11/21 17:43:57 65.2 72.3 15871 Power Line
2022/11/21 17:43:58 65.4 72.6 15749 Power Line
2022/11/21 17:43:59 64.3 71.4 15389 Power Line
2022/11/21 17:44:00 64.1 71.8 393900 Power Line
2022/11/21 17:44:01 64.6 71.7 428721 Power Line
Im Zug, in der Bahn, im Bus im Taxi, Smartfernsehen, auf der Arbeit, Homeoffice von allen Seiten, 

das hat ein Massenmörder geplant!
Die Krebsrate hat sich um 100% erhöht, die Leute werden immer dicker, gereizter, dementer, 

einfach Wahnsinn!
Siehe meinen Beitrag WUHAN, da begann Überwachungs 5G-Corona!


Contagan!

C13H10N2O4  Thalidomid  Contagan
C13H16N2O2 Melatonin Schlafhormon der Zirbeldrüse
C14H18N2O5 Aspartam, Süssstoff zerfällt in Phenylanalin, Methylalkohol, Asparaginsäure, eigentlich ein Nervengift!
Es ist ein Trojanisches Pferd, täuscht die Blut/Hirnschranke
und schleust irgend etwas in Gehirn, oder Darm!
Warum baut man etwas was die Natur besser kann und vor
allem die Zirbeldrüse schaltet man dabei aus, weil man
das komplette Signalsystem der Drüsen und Nerven umgeht und
alles durcheinander bringt. Ein verheerendes weiteres Beruhigungsmittel
ist Tavor,C15H10Cl2N2O2 Tavor, Lorazepam Schlafmittel hier schleust man Chlor ins Gehirn!
Im Beipackzettelstehen meist noch verheerende Füllstoffe, wie Aluminium, oder Aspartam, welches zu Asparaginsäure (Schädigt die Myelinumschichtung der Nerven), Methylalkohol( schädigt das Augenlicht) und in die künstliche Aminosäure Phenylanalin zerfällt, die für die Dopaminbildung und Thyroxinbildung für die Schildrüse, erforderlich ist, jedoch aus der pflanzlichen Nahrung im Darm aufbereitet wird!
Vergleich reine Drogen, oder Botenstoffe mit Psychiater Drogen
C2H6O Ethanol AlkoholC7H16NO2 Acethylcholin Botenstoff im Gehirn
C4H7NO4 Asparaginsäure, zerstört die Myelinschicht der Nerven->Multiple Sklerose
C8H11NO2 Dopamin Antriebshormon, aus Phenylanalin
C8H10N4O2 Coffein
C8H17NO2 Pregabalin , Lyrica Angstörungen
C8H16O2 Valproat, Valproinsäure Medikament gegen Schizophrenie
C9H11NO2 Phenylanalin über die Nahrung zur Dopamin und Tyroxinbildung (Schilddrüse)
C9H20NO2+ Muscarin Pilzgift, Herzlähmungen dockt an Acethylcholin-Rezeptor an, wie Nicotin
C10H12N2O  (Serotonin) Botenstoff Glückshormon
C10H15N Methamphetamin, Meth, Crystal Meth, Pervitin(Adolf) Panzerschokolade
C10H14N2 Nicotin
C11H12N2O2 Tryptophan über die Nahrung dient der Serotoninbildung
C11H17NO3 (Mescalin)
C11H17NO3·HCl  (Mescalin·Hydrochlorid)
C11H15NO2 Ecstasy
C13H16N2O2 Melatonin Schlafhormon der Zirbeldrüse
C14H18N2O5 Aspartam, Süssstoff zerfällt in Phenylanalin, Methylalkohol, Asparaginsäure
C15H10Cl2N2O2 Tavor, Lorazepam Schlafmittel
C15H11I4NO4 (Levothyroxin) Thyroxin, wird in der Schilddrüse gebildet
C15H10I4NNaO4 (Levothyroxin-Natriumsalz)
C16H13ClN2O2 Temazepam starkes Schlafmittel
C16H13ClN2O Valium, Diazepam, Faustan(DDR)
Antidepressiva
C17H21NO4 Kokain
C17H19N3 Mirtazapin
C17H20N4S Olanzapin/Zyprexa in USA 100.000 Tote/Jahr
C17H17Cl2N (Sertralin)
C18H13ClFN3 Midazolam, Dormicum, Beruhigungs, Schkafmittel bei Hinrichtungen
Neuroleptika
C20H25N3O LSD
C21H23NO5 Heroin
C21H23ClFNO2 Haloperidol, Chlor, Fluor
C23H27FN4O2 Risperidon
C23H27Cl2N3O2 Abipiprazol, Abilify Man wird fett, aber wie
C21H31N5O2 Buspiron Beruhigungsmittel
Schmerzmittel
C17H19NO3 Morphin
C18H21NO4 Qxicontin,Oxycodon Eukodal(Adolf) Opium USA 70.000 Tote/jahr
C18H21NO3 Codein, Opiat,
C22H28N2O Fentanyl
Fentanyl (auch Fentanil) ist ein synthetisches Opioid,
Und alle Zusatzstoffe, wie Fluor, Schwefel, Chlor, BSE-Spikeproteine, Graphenoxid und ähnliches Zeug, 

kann man jetzt ohne das Trojanische Pferd, wie Heroin, Kokain, Opium u.s.w., durch die mit 5G Mikrowellen 

geöffnet Blut/Hirnschranke ins Gehirn und durch den löchrigen Darm, ungefiltert durch die Leber in die

Organe schicken.
Das ist der Höhepunkt der menschlichen Perversion!
Für Russland nenne ich das den Teil 2, des "Großen Vaterländischen Krieges", gegen 

die Rotkreuz/Maltheserkreuszritter des Vatikan CIA, mit seinen Eidgenossen und der WHO/NATO!



Angriff auf das Mikrobiom!

Den Angriff auf das Mikrobiom erleben wir täglich überall,
wo Mobilfunk berieben wird wo WLAN wabert, wo Antennen- und
Smartcells stehen. Unsere Lebensfrequenz aus  der Ionosphäre
ist praktisch fast nirgendwo mehr vorhanden, das führt dazu,
dass die Selbsheilung des Körpers immer schwieriger wird.
> 15.000 Schein-Medekamente und Impfungen dienen als Wirk-
beschleunigung der Zerstörung der Menschlichen Gesundheit.
Im Übrigen habe ich gestern durch Dr. Mercolas Aussagen gemerkt,
dass man so in den USA schon vor 200 Jahren folgendes getätigt hat:
"Der unsichtbare Regenbogen, globale Pandemien und EMF-Strahlung 

Sie beginnen mit der Diskussion der Theorien von
Arthur Firstenberg, dem Autor von „Der unsichtbare Regenbogen“.
Er erörtert die  Möglichkeit,dass EMF-Strahlung einen Einfluss auf vergangene Pandemien hatte. 

Einige Beispiele hierfür sind die Grippewellen ab 1728, wie die Epidemie von 1727 und 1889. 

Letzteres ist auch die Zeit, in der die Oberwellen der Stromleitungen aufkamen und begannen, 

die Magnetfelder der Welt zu verändern." Dr. Mercola beschrieb, dass man sich
zu Hause  eventuell besser schützen kann. Und plötzlich
beschließt die Regierung  einem in jedes Zimmer Schiffsradarrauchmelder zu bauen, WLAN-Smartmeter,
2,5 GHz-Smartfernsehen, Router, Repeater, Homeoffice,
damit die alten Menschen auch etwas abbekommen, dann Solarzellen aufs Dach, Windkrafträder, 

Wärmepumpen(Infraschallerzeuger) in den Keller, oder vor das Haus, überall Smartcells, WLAN im Zug, 

in der Bahn,, im Taxi, in den Kaufhäusern, Post, Banken, Gaststätten, Badeseen, im Wald, u.s.w..

 Und vor allem nötigt man uns jetzt 5G Smartphones auf die
sich alle 3 Sekunden irgendwo, wie oben gezeigt, mit
verheerenden Flussdichten anmelden.
" Die ganze Corona-Sache war eine geschickte
Panikmache, in der beim Menschen durch den Stress der Verstand und das logische Denken aussetzt!
Ich hatte das schon 2007 bemerkt als ich die Antennen in Berlin Neukölln in der Nähe einer

 Behidertenwerkstatt und bei mir zu Hause vermessen habe. Plötzlich wurde ich ausgeschaltet.
Die haben statt damals einer denen jetzt 9 Antennen auf das
Dach montiert.
Mir erklärt sich auch warum in Israel die Menschen so sehr unter
Corona litten. Man hatte ihnen die Eisendome, angeblich zum Schutz  hingestellt. Israelische Bauer klagten, 

dass, das Ackerland keinerlei notwendige Bodenbakterien aufwies und immer unfruchtbarer wurde.
Japanische Wissenschaftler ermittelten, dass dieses drahlose Mobilfunk- Power-Line-Netz, 2030 

75 % der Elektoenergie der

Welt verbrauchen wird, ergo dies Maßnahmen, plus die wahnsinnigen Strompreiserhöhungen, wo wir
unseren eigenen Tod auch noch selbst bezahen müssen.
All das Hinterhältige hat man in den USA, GB, in Gefängnissen
und hier von mir bemerkt in der Psychiatrie heimtückisch an ahnungslosen Menschen erprobt. 

Nach dem Einbau der Schiffsradarrauchmelder hatte ich plötzlich
gleiche Symptome, wie unter den vergällten Psychiater-Drogen, plus dem  kontinuierlichem 

WLAN der Rauchmelder, welche ich später vor Ort mit  dem HF-Analyser aufgezeichnet habe.
Die, die uns 2019 eingebaut  wurden können  aus der Ferne beliebig Frequenzen mit verheerenden 

Flussdichten in die Wohnung bringen.  Es wurden 200 Stück in allen
Wohnblöcken der Umgegend > 7 x im Monat zugleich wie viele riesige Israelischer Eisendome

 aktiviert bis zu 4h auf  und abschwellend.  Alle Messgeräte wurde dahin gehend gefakt,

 ich habe das nur durch  Zufall mit einem  alten Analyser der nur bis 2500 µW/m² anzeigen  konnte gemerkt.
Alle meine Mahn-e-mails an den Brunata/Metrona-Vertrieb,
ans Bundesamt für Strahlenschutz, Messmittel-
hersteller, Elektroniker, Mediziner und mehr, blieben unbeachtet
und  wurden mir 2023 einfach gelöscht! Dann habe ich gemerkt,
die die Rauchmelder mehr können sie wirken als Verstärker
der Signal des Handys und Smarphones, welche sich auch alle
3 Sekunden dort, sogar  im Ruhemodus mit verheerenden Flußdichten anmelden. 

Das ist von langer Hand perfide geplant, denn die  sogenannte Frequenzheilung/Schädigung

 steht in GB/Schweiz/USA und auch hier in den Startlöchern, deshalb
wollten sie die  Schulmediziner und vor allem auch  die Bundeswehr weg impfen.
Der Gates will das alles WHO/NATO mäßig für die
Rotkreuz/Maltheserkreuzritter organisieren, als Stoltenberg der
"Frequenzmediziner!" Ende ungewiss, jedoch die Natur geht zuerst
drauf, das habe ich bemerkt und somit auch die Macher! Schwacher Trost!

 Und noch eines in Berlin Tempelhof auf dem Flughafengelände ist eine unterirdische 

Längswellenantenne verbaut wo schon vor der Wende auf die 50 Hertz bis 30 Hertz Betawellen, 

die krank machen, bis 30 Hertz
aufmoduliert wurden. Streng geheim!
Die Tempelhofer waren 10 % häufiger krank als der Rest von Berlin.
Diese Frequenzen konnte man bis Wildau, also in der DDR messen und  ich gehe davon aus, 

dass die auch unsere Stromnetz, wie heute auch  noch das kann ich messen, so manipulieren. 

Wir sind jetz an einem Punkt, wo man sich noch besinnen kann, aber nicht mehr lange!
KRISENFREI.COM
Bill Gates macht Ernst: Angriff aufs Mikrobiom – Interview von HOCH² mit Heiko Schöning – Krisenfrei


Schaut Euch das Aufmerksam an!WLAN: Nur praktisch oder doch riskant?
Wireless LAN, kurz: WLAN oder umgangssprachlich oft: WiFi, wurde entwickelt, um schnellen, drahtlosen 

Datenzugriff innerhalb eines lokalen Netzwerks zu ermöglichen. Die Informationsübertragung geschieht 

dabei auf dem lizenzfreien 2,4 bzw. 5,8 GHz Frequenzband. Soweit eine tolle Erfindung, doch bereits 

bei der Einführung von WLAN vor über 25 Jahren wurde bei all den Vorteilen auf potentielle Risiken 

keinerlei Rücksicht genommen.
„Eine derartige Häufung von negativen unerwünschten Effekten würde in klinischen Arzneimitteltests 

am Menschen selbst ohne nachweisbaren Kausalzusammenhang zu einer Ablehnung der Marktzulassung führen.

 Doch WLAN nutzen wir alle weiterhin bereitwillig…“
tablet
laptop
phone
Der Puls der Erde: natürliche vs. künstliche Wellen
Die Schumann-Resonanz, eine Sinuswelle von 7,83 Hz, kann als natürlicher Pulsschlag unserer Erde

 beschrieben werden. Alles Leben entwickelte sich im Einklang damit – so schwingt der für Aufmerksam 

und Konzentration maßgebliche Teil des menschlichen Gehirns, der Hippocampus, in exakt derselben Frequenz.
Ein besonderes Problem an künstlicher WLAN-Strahlung ist demnach dessen Taktung bei 10 Hz. 

Welche Wirkung diese Pulsation auf den Menschen hat beantwortet Prof. Hecht,  profunder Kenner der 

Studienlage (laut diagnose:funk):
“Die Schumannwellen gewährleisten das Leben auf unserem Planeten, sie bestimmen tiefgreifend unser

 Gesundsein. Ohne Schumannwelle könnten wir nicht leben. Die 10-Hz-Pulsation der WLAN elektromagnetischen 

Strahlungen ist ein Impuls, aber keine Sinuswelle und sie stört alle Lebensprozesse, ist tiefgreifend schädlich,

 weil damit analog zum Schmerzgedächtnis ein WLAN-Pulsations-Stressgedächtnis bei permanenter

 Langzeiteinwirkung ausgebildet werden kann. Das heißt, auch wenn WLAN abgeschaltet wird, ist dann der 

starke Stresseffekt gegenwärtig!”
Kurzum: Grenzwerte schützen nicht
Weiters stellt nicht nur der Erwärmungseffekt, ähnlich dem Aufwärmen in einem Mikrowellenherd, ein Problem dar.

Viel mehr werden durch die von biologischem Gewebe absorbierte hochfrequente elektromagnetische Strahlung

 freie Radikale erzeugt, oxidativer Zellstress ausgelöst und Zellen und Nerven beeinträchtigt. Stoffwechsel, 

Hormon- und Zentrales Nervensystem werden u.a. durch die durchlässigere Blut-Hirn-Schranke negativ beeinflusst.
Diese gravierenden Risiken für Mensch und Natur bestehen bereits weit unterhalb der geltenden gesetzlichen 

Grenzwerte.
Mehr als 400 Studien demonstrieren: WLAN wirkt auf biologische Gewebe
Eine Dauerbestrahlung mit hochfrequenten elektromagnetischen Feldern stellt eine Hauptquelle moderner Risiken dar.
Vom ECOLOG-Institut ausgewertete Studien geben eine ausgezeichnete Übersicht bekannter Risiken der

Mobilfunk- und WLAN-Strahlung. Wissenschaftliche Nachweise und gesetzliche Grenzwerte gibt es bisher 

nur für thermische Effekte. Ein kausaler Zusammenhang wurde noch nicht in Studien am Menschen belegt. 

Doch dazu muss man wissen, dass jener Zusammenhang bislang auch für die krebsfördernde Wirkung

 von Sonneneinstrahlung fehlt.
Mögliche Folgen der Einwirkung elektromagnetischer Strahlung wie WLAN, Mobilfunk und Bluetooth sind:
Störungen des Nervensystems
Zellstress und daraus folgende Zellschädigungen
Kanzerogenität / Krebspromovierende Effekte
Genschädigungen
Schädigung der Spermien und Eizellen, Unfruchtbarkeit und Fehlbildungen
Störungen des Hormonsystems und Stoffwechsels
Durchlässigkeit der Blut-Hirn-Schranke
Kopfschmerzen, Konzentrationsstörungen, Gedächtnisstörungen
Schlafstörungen, Tagesmüdigkeit, Verhaltensstörungen wie ADHS
In einer Doppelblindstudie ermittelten Salzburger Ärzte die Stressbelastung von 57 Testpersonen, 

die verschiedenen Expositionsstärken ausgesetzt wurden. Das Ergebnis waren statistisch signifikante 

und biologisch relevante Veränderungen bereits weit unterhalb der empfohlenen Vorsorgewerte: Schwächung 

des Immunsystems, Erhöhung des Cortisolspiegels, sowie stärkere Stressreaktionen der Zellen. Festgestellt wurde außerdem, dass sich eine Vorbelastung bereits bei einem Wohnsitz innerhalb von 100 Meter im Umkreis einer Sendeanlage ergibt. dna-1811955_640
Kopfschmerzen als Resultat von elektromagnetischer Strahlung
Handy Strahlung Fortpflanzung
blood-20745_640
WLAN-Router sind kleine Sendemasten, die man sich in die eigenen 4 Wänden holt
Das ECOLOG-Institut formulierte einen Vorsorgewert von 10 mW/m² 

– unter WLAN Bestrahlung liegt die Belastung für jeden Einzelnen 3-mal höher. Besonders erschreckend: 

Der von den Salzburger Ärzten festgestellte Stress-Schwellenwert von 0,54 mW/m² wird ums 60-fache überschritten.
Passive Leidträger: Babys und Kinder
Nach aktuellen Studien und Forschungsergebnissen ist die Auswirkung auf Kinder und Jugendliche noch größer. 

Werden Schüler über längere Zeit durch WLAN mit 20 – 30 mW/m² bestrahlt, wird das Immunsystem dauerhaft belastet.
Eine US-Studie weist auf die besondere Empfindlichkeit von Kindern hin. Embryos, Babys und Kleinkinder sind 

passiv den Mikrowellenstrahlen unserer modernen Welt hilflos ausgesetzt: Smartphones, Tablets, DECT-Telefonen, 

Babyphons, WLAN und Sendemasten. Auch kommen Kinder immer früher mit Tablet und Handy in Kontakt.
Die Studie demonstriert zum einen, dass Kinder mehr Mikrowellenstrahlung absorbieren als Erwachsene: 

im Schädel doppelt so viel, im Knochenmark bis um das 10 fache mehr. Die Belastung übersteigt oft die Grenzwerte.
Auch sind Kinder stärkeren Störungen der neuronalen Entwicklung, Veränderung der Myelisierung von Nervenzellen

 und einem erhöhten Risiko für eine Erkrankung an AHDS oder der Entstehung von Hirntumoren ausgesetzt.
Übrigens…
Im Kleingedruckten spricht die Industrie selbst Warnungen aus. Hersteller empfehlen, Smartphones mit einer

 Entfernung von 10 – 25 mm zum Körper zu benutzen. Für Tablets und Laptops wird ein empfohlener Abstand

 von mindestens 20 cm angegeben.
Verhaltensregeln: so steigern Sie Ihr Wohlbefinden
Bevorzugen Sie kabelgebundene Lösungen.
Verzichten Sie wenn immer möglich auf WLAN-Anwendungen (Dauerbestrahlung vermeiden).
Benutzen Sie WLAN nicht im Schlafzimmer und schalten Sie nachts den Router aus.
Verzichten Sie auf WLAN an Arbeitsplätzen, in Aufenthaltsräumen, Krankenzimmern, Hörsälen, Klassenzimmern

 und in öffentlichen Verkehrsmitteln.
Wenn sich WLAN nicht vermeiden lässt (z.B. in der Arbeit, Einkaufzentrum, Schule…), 

schalten Sie das WLAN immer nur dann ein, wenn Sie es wirklich benötigen.
Ende der willkürlichen Dauerbestrahlung
EMV+ fordert in Krankenhäusern, Sanatorien, sowie Kindergärten, Schulen und Universitäten sowie an Orten, 

an denen sich Kinder und Erwachsene für längere Zeit aufhalten, keine WLAN und Mobilfunksendeanlagen

 aufzustellen bzw. die Belastung drastisch zu reduzieren.
Ein massives Problem ist auch die Potenzierung durch verschiedenstete Strahlenbelastungen. WLAN, Bluetooth

 Mobilfunk, GPS, DECT-Schnurlostelefone, Babyphon, Radar, Rundfunk, Funkgeräte und auch passive Bestrahlungen

durch Nachbarn und unsere Umgebung stellen eine gefährliche Mischung aus allen möglichen Frequenzen dar.
EMV-PLUS.COM
Wie schädlich ist WiFi wirklich? | EMV+



Tja die Impfung hat unseren Tod durch 5G Mobilfunk beschleunigt
und Krebs ensteht fast überall nachdem Radarrauchmelder fast
zeitgleich mit der Wuhan-Fledermaus-Pandemie getarnt verbaut wurden.
Die Smartphone APP`s könnten verraten bei welche Menge an
Mobilfunkstrahlen Corona/Krebs/Organversagen auftritt, ebenso wie die Parkinson APP der Briten. Ebenso 

die gesendeten Frequenzen!
Da der Mobilfunk die Blut/Hirnschranke öffnet und das Mikrobiom des Darmes,
also die Immunabwehr schwächt oder zerstört, gelangen bei den geimpften zusätzlich Todesbeschleuniger

ins Gehirn und die Organe.
Andy Bayer dazu: Als Corona/COVID-19 in Wuhan ausbrach, hat man dort gerade (Ende 2019) auf die

 5G-Mobilfunktechnik umgestellt. Als freier Querdenker kann man da leicht auf die Idee kommen, 

dass es einen Zusammenhang zwischen 5G und Corona/COVID-19 geben könnte, welchen es so 

natürlich offiziell gar nicht gibt. 5G-Strahlung soll ja laut Hersteller-Angaben harmlos sein. 

Jedenfalls war es in Wuhan so, dass alle Menschen allein zuhause bleiben sollten. 

Alle waren vereinzelt. Keiner konnte sich groß mit anderen Menschen über Migräne oder 

sonstige Gesundheitsprobleme austauschen.
Ein geniales Ausgangsszenario um eine neue Funktechnik einzuführen, die vielleicht gefährlich sein könnte.

Damals machten sich gewisse Befürchtungen breit: Was, wenn die neue Mobilfunktechnik 5G gewisse 

Krankheiten auslöst und gesundheitsschädlich ist? Was, wenn die Atemwegserkrankung COVID-19 ga

nicht von einem Virus ausgelöst wird, sondern von Mobilfunkwellen von 5G? 2020 stellte man in Deutschland

 auf 5G um. Da wir uns nicht in Kneipen treffen durften („stay at home“) und uns unterhalten konnten, konnte

 man seine Mitmenschen gar nicht fragen, ob sie auch seit kurzem an Migräne leiden? Auch hier hat man di

 Bevölkerung vereinzelt zuhause isoliert. Würde sich 5G auf die Gesundheit des Menschen auswirken, ich denke,

 über Kopfschmerzen würde man es zuerst merken. 5G-Funkwellen führen bei 60GHz dazu, dass der 

Sauerstoffaustausch in der Lunge verunmöglicht wird. Denn durch die 5G Funkwellen werden bei 

60GHz die O2-Moleküle in ihre Atome aufgespalten. Damit wird der Sauerstoffaustausch in der Lunge 

verunmöglicht, denn einzelne Atome können in unseren Kapillaren nicht in die roten Blutkörperchen 

übertragen werden. Dafür braucht es Moleküle. Wir schnappen also nach Luft und laufen blau an.

 In der Notaufnahme bekommen wir dann Cortison. Wir werden beatmet. Dabei müsste nur endlich 

jemand den 5G-Mobilfunk abdrehen. Wenn also irgendwo Bilder von brennenden Funkmasten gezeigt werden, 

so behaltet im Hinterkopf, dass man diese Technik auch als Angriff auf die menschliche Gesundheit 

betrachten kann! Der Mensch besteht aus unzähligen kleinen Zellen, die alle ein Zellkraftwerk, die Mitochondrien,

 beheimaten. Dieses Zellkraftwerk nimmt Stoffe auf, verbraucht diese Stoffe und sondert andere Stoffe als

Abfall dafür ab. Ein perfides Treiben. Dieses Treiben wird durch w-Lan, also 5G-Funkwellen, gestört. 

Die Zellen können unter diesem Einfluss nicht mehr ordentlich arbeiten. Und so entstehen aus

 funktionierenden Zellen funktionsunfähige Zellen, die Saat für Krebs.

 Nun steht auf keiner Krebserkrankung ein Zettel drauf, welcher Einfluss nun genau diesen Krebs ausgelöst hat,

 weswegen man schlussendlich nur raten kann, was wohl der Auslöser war. Damit wir das Richtige raten,

 dafür haben wir einen uns umsorgenden Staat, der uns beim Nachdenken gewiss total neutral unterstützt. 

Die kritischen Medien… (diese drei Worte genügen eigentlich schon) Dass die penetrante 

5G-Funkwellenbestrahlung ein möglicher Auslöser für Krebs sein kann, halte ich für sehr wahrscheinlich. 

Aber ich bin kein Arzt oder Experte. Deswegen hier eine Talkrunde mit Dr. med. Dietrich Klinghardt:

siehe dazu www.andy-bayer.de
Weder Schulmediziner, noch Pathologen konnten sich das erklären, denn sie sollen ja selbst abgelöst werden, 

durch die Elektronik-Götter in Weiß, aus Davos, London u.s.w..
Ach an den Corona-Teststellen habe ich um die 30.000 Mikrowatt/m² mit dem HF-Analyser gemessen, 

die waren so gut wie alle neben einer Mobilfunkantenne aufgestellt!
KRISENFREI.COM
Britisches Statistikamt: 2023 waren 9 von 10 Covid-Toten dreifach geimpft! 

Und Studie belegt Krebs durch modRNA Spritzen! – Krisenfrei




Neuer Hauptbeitrag zur Klimaerwärmung
































Veskor CassiopeiaSacred Geometry in Nature



The felling of a tree should be carefully considered, whether it is to build a road or a house or because the leaves pollute the roof and block the drainage system. Trees offer numerous benefits that should be considered:
🌳 **CO2 absorption and oxygen production:** One tree absorbs about 22 kg of CO2 per year and produces enough oxygen for two people. This contributes significantly to improving air quality.
🌿 **Soil stabilization:** With its deep roots, a tree stabilizes the soil and prevents erosion. The roots improve the soil structure and increase the water retention capacity of the soil.
🌳 **Climate regulation:** Trees reflect and absorb some solar radiation, which helps to cool the environment. A single tree can have the cooling effect of ten air conditioners.
🌿 **Cloud formation and precipitation:** Through evaporation, trees contribute to cloud formation and thus have a positive influence on the local microclimate and precipitation.
🌳 **Soil fertility:** Leaves that fall to the ground decompose and serve as food for the soil. This promotes soil fertility and supports the growth of other plants.
🌿 **Nutrient cycling:** Trees provide sugars to the mycelium in exchange for nutrients, which promotes soil life and supports ecosystem health.
🌳 **Air purification:** Trees absorb dust and pollutants such as nitrogen oxides and sulphur dioxide, which significantly improves air quality.
🌿 **Habitat:** Trees provide habitat and food for a variety of animals, including birds, insects and rodents, thus promoting biodiversity.
🌳 **Sound and visual protection:** Trees can act as a natural sound and visual barrier, which is particularly beneficial in urban areas.
🌿 **Shade and protection:** Trees provide shade and protection from UV radiation, which pleasantly cools the local microclimate.
Additionally, it can be mentioned:
📊 **Economic benefits:** Urban trees can increase property values and reduce energy costs by providing natural cooling.
📈 **Health benefits:** Spending time near trees and green spaces reduces stress, improves mental health and promotes physical activity.
**Conclusion:** In addition to CO2 reduction, a tree provides freshness, water and oxygen. Trees are an indispensable technology that can save us! Plant trees, plant hedges. 👍


Google Übersetzung:Das Fällen eines Baumes sollte gut überlegt sein, sei es um eine Straße oder ein Haus zu bauen oder weil die Blätter das Dach verschmutzen und die Kanalisation verstopfen. Bäume bieten zahlreiche Vorteile, die es zu beachten gilt:
🌳 **CO2-Absorption und Sauerstoffproduktion:** Ein Baum absorbiert etwa 22 kg CO2 pro Jahr und produziert genug Sauerstoff für zwei Menschen. Das trägt maßgeblich zur Verbesserung der Luftqualität bei.
🌿 **Bodenstabilisierung:** Mit seinen tiefen Wurzeln stabilisiert ein Baum den Boden und verhindert Erosion. Die Wurzeln verbessern die Bodenstruktur und erhöhen die Wasserspeicherfähigkeit des Bodens.
🌳 **Klimaregulierung:** Bäume reflektieren und absorbieren einen Teil der Sonnenstrahlung, was zur Kühlung der Umgebung beiträgt. Ein einziger Baum kann die Kühlwirkung von zehn Klimaanlagen haben.
🌿 **Wolkenbildung und Niederschlag:** Durch Verdunstung tragen Bäume zur Wolkenbildung bei und beeinflussen so das lokale Mikroklima und den Niederschlag positiv.
🌳 **Bodenfruchtbarkeit:** Blätter, die auf den Boden fallen, zersetzen sich und dienen dem Boden als Nahrung.




1. Beitrag!

Ich möchte Euch nur zur Info einen Auszug der Schädigungen durch Infraschall, aufzeigen.

Infraschall der Wärmepumpe im Technikraum,  und mögliche Auswirkungen:
Klinische Relevanz - was sieht der Arzt/Therapeut?: Vorab ist zu unterscheiden zwischen kurzfristigen und langfristigen

 Reaktionen sowie zwischen reversiblen und irreversiblen Schädigungen. Er sieht einen Patienten mit einem zuerst diffusen

 Beschwerdebild: Schlafstörungen, Schwindel, Konzentrationsstörungen, Sehstörungen, Kopfschmerzen, Unwohlsein, 

Tinnitus oder Tinnitusverstärkung, Übelkeit, Ohrdruck. Dazu zunehmend Unsicherheitsgefühl, Ängste und depressive 

Verstimmung. Es kann zu EEG Veränderungen kommen. Später kommen hinzu Atemnot infolge Atemdepression,

 Bluthochdruck, Sauerstoffmangel, Durchblutungsstörungen, restless legs, Herzrhythmusstörungen, Belastungsdyspnoe,

 massive psychische Störungen mit erhöhtem Aggressionspotential, Depression und sozialer Isolation, Epilepsie, 

Lungenblutungen, Schlaganfall, Schlafapnoesnydrom, Kardiomyopathie, Perikardhypertrophie, Autoimmunerkrankungen

 wie Lupus erytematodes, Schilddrüsendysfunktion, Herzklappenverdickung, erhöhte Thrombozytenaggregation, 

fokale Lungenfibrose sowie Karzinome insbesondere im Lungenbereich. Wichtig sind die teilweise ausgeprägten 

psychischen Symptome. 13 von 24 Diese Aufzählung umfasst die Symptome des Windturbinensyndroms b.z.w.

 des Vibroakustischen Syndroms, codierbar als T52.G. = Schäden durch Vibration (42, 43, 70). Bisher ist noch keine

 einheitliche Terminologie gefunden, teilweise überlappen sich die Syndrome. Das Vibroakustische Syndrom (VAD) 

wird durch Dr. Alves-Pereira 2007 benannt (43), das Windturbinensyndrom von Dr. Nina Pierpont 2009 (70). 

Voraussichtlich wird es mittelfristig zu einer Art Score kommen, um die Krankheit zu diagnostizieren, ähnlich

 wie bei der Fibromyalgie, und die beiden Syndrome zu einem zusammengefasst. Oft nehmen die Beschwerden 

kontinuierlich zu, oft sogar am Wochenende. Wenn der Patient in den Urlaub fährt, können die Beschwerden 

reversibel sein und beginnen dann nach der Rückkehr. neu. Man kann diese leicht missinterpretieren als Burnout-

Erschöpfung. Im weiteren Verlauf sind die Beschwerden nicht mehr reversibel, sondern münden in manifeste

 irreversible Erkrankungen. Abhängig ist dies von der Expositionsdauer, diese ist entscheidend!! Was geschieht

 im Hintergrund? 1) Zusätzlich zu den direkten otovestibulären und zerebralen Einflüssen durch Infraschall kommt 

es konsekutiv zu körperlichen Stressreaktionen im endokrinen System mit vermehrter Cortisolund Adrenalin-

Ausschüttung. Dies führt zur Verschlechterung der Schlafstörungen, aber auch zur Hypertonie und Herzrhythmusstörungen.

. Mittelfristig folgen daraus eine Veränderung der zellulären Immunität mit TH1/ TH2 Dysbalance und irgendwann kommt

 es dann zur Nebennierenerschöpfung mit allen Symptomen der Nebenniereninsuffizienz (Abb. 😎. Diese Vorgänge sind

 in der klinischen Umweltmedizin bekannt (Abb. 😎
Da die natürliche Lebensfrequenz allen Lebens auf der Erde inclusive Pflanzen und die Erde selbst
7,83 Hertz ist, bedeutet JEDE Erhöhung dieser Stress.
5 -80 G hat 10 Hertz aufmoduliert und öffnet die Bluthirnschranke für alles was sonst im Körper ausgefiltert wird.
Diese etwa 13-16 Hertz der Infraschallpumpen tun dies ebenso  und erzeugen an den Präsynapsen eine doppelten 

Dopaminausschüttung ebenso das Cortisol der Nebennieren wird zum Gift für den Körper und vor allem Stress.
Viele der o.g. Gesundheitsprobleme hatte ich auch trotz bester Ernährung und sie treten wieder auf, ergo musste

ich neben den Mikrowellen. der Rauchmelder die wie eine Smartcelle die auch plötzlich in den Flurlampen und Straßenlaternen

verbaut sind wirkt, weiter forschen. Danke Habeck!



2. Beitrag!


Die ganzen Gutmenschen die hier sich über Corona auslassen und auch der Arzt Dr. Ronald Weikl hier, das ist für mich 

ebenso  eine gekaufte Flachzange wie alle anderen, weil noch nicht einer hat wirklich 5G Corona offen gelegt!

Öffnen der Blut/Hirnschranke und Leaky Gut erzeugen im Darm, mittels 5-10G, damit die Spikeproteine und aller Dreck in

 Impfstoffen und der Nahrung ins Gehirn und die Organe gelangen und das komplette Signalsystem der Drüsen, Organe,

bis hin zu den Neuronen im Gehirn lahm legen!
Das müsste doch jeder merken, die zwingen uns überall jetzt die APP`s über ein Smartphone auf, da erzeugen die Parkinson,

weil die Dopaminbildung zum Erliegen kommt. Die Briten haben doch schon eine Parkinson APP gebaut und wenn man

das Handy an der Backe trägt, merkt es an deinem immer mehr Mohammed Ali Gang, wann bei dir Parkinson ausbricht. 

Ebenso haben die eine Corona APP programmiert wo das ähnlich abläuft, weil die Mikrowellen die man sich täglich einfängt

sich wie bei ionisierender Strahlung, bloß langsamer, im Körper aufaddieren und ab einer bestimmten Flussdichten Summe 

setzen Symptome Corona mäßig ein, denn alle Krankheiten haben eine Frequenz im Beta-Wellenbereich von etwa ab 

10 Hertz bis 30 Hertz und auf 5G sind 10 Hertz aufmoduliert, die Wärmepumpen und Windräder rattern mit 13-16 Hertz, 

elektronisch, oder mechanisch und so kann man jedem jede Krankheit über das Mobilfunknetz schicken.

Man kann das Gehirn versalzen,weil durch die Mikrowellen die Synapsen anfangen zu schwingen und austrocknen, so dass dann

da Kalzium und Natrium Salz im Gehirn trocken rumliegt und keine Signale weiter geleitet werden können.
Man kann die Phasen versetzte Frequenz jedes Organes Herz, Lunge, Nieren einige Minuten senden dann bleiben die stehen,
weil Wellenberg trifft auf Wellental, gleich Auslöschung der Frequenz, gleich Bergamo! U.S.W..
Das alles hat die Psychiatrie bisher und immer noch, mit Botenstoff ähnlichen Drogen mit den angehängen Zusatzstoffen, 

wie Fluorid, Schwefel, Chlor, Aluminium, BSE-Proteine, die Blut/Hirnschranke durchschleusend getan.
Das wäre echte Aufklärung!
KRISENFREI.COM
Dr. Ronald Weikl: Eindringlicher Aufruf an alle Mitmenschen – Krisenfrei

3. Beitrag!


Als erstes wurde die Bodenreform, die laut Einigungsvertrag nicht rückgängig gemacht werden sollte, rückgängig gemacht 

und unser Kollektive Landwirtschaft der DDR zerschlagen, wie unsere Betriebe und unsere Volkseigenen Wohnungen.
Nun enteignet man die Landwirte schleichend, da bei den Arbeitern nichts mehr zu holen gibt außer über die Mietern 

und Nebenkosten. Alles was ein Demokratischer Staat seinen Bürgern laut Grundgesetz zu schaffen hat, wurde privatisiert

und das Grundgesetz gebeugt, als erstes  Artikel 1 und somit wirft man Menschen aus ihren Wohnungen, sperrt sie ein

wegen nicht gezahlten Rundfunkbeiträgen, oder schwarz fahren, was sie ausNot tun weil der öffentliche Nahverkehr fast

unbezahlbar ist.
Nun die Landwirte:
"Ernst Wolff: Agenda der deutschen Landwirtschaft wird im Silicon Valley  beschlossen.
"Der Wirtschaftsexperte Ernst Wolff erläutert den Hintergrund der Landwirtschaftspolitik in Deutschland. Bill Gates und große 

Vermögensverwalter haben in Laborfleisch und die Klimaagenda investiert. Die bäuerliche Landwirtschaft wollen sie abschaffen."
Der Hintergrund ist, weil die Erde, wie Experten, sagen nur noch
60 Jahre uns ernähren kann, weil sie langsam unfruchtbar wird teils durch Erschöpfung, teils durch den Einsatz von Glyphosat, da ist

 der Boden tot und nun durch 5G, da wird die Erde nicht reversibel zerstört, weil wir die Bodenlebewesen wie unsere Dünndarmbakterien

benötigen. Die Bodenbakterien der Erde bereiten die  anorganischen  Mineralien und sonstigen Bausteine so auf, dass die Pflanzen sie 

organisch für uns bereitstellen und die Darmbakterien spalten dann wiederum alles so auf, dass jedes Organ seine speziellen 

Aminosäuren, Vitamine, Mineralien und Spurenelemente in der richtigen Dosis bekommen. Tja und dieser Römisch Katholisch 

Medizinische heute Elektronische Kapitalismus, tut alles um die Natur außen und in uns zu stören und zu zerstören und an

 unseren daraus resultierenden Leiden auch noch zu verdienen. 30.000 Krankheitssymptome wurden geschaffen und die 

Sterberate stieg auf 12/1000, wo sie in den Arabischen Ländern wie Katar noch 1,6/1000, Syrien 4/1000, GAZA 3/1000, 

Israel 5/1000, wegen der noch gesunden Lebensmittel, ist. Darum da Kriege und Flüchtlinge, die man hier mit der industriellen

 Nahrung auf unser Sterbeniveau bringt. Nun kommt die nächste Stufe der Zerstörung, Kunstfleisch, was keinen genetischen Code hat, 

oder die Holländer die Pflanzen unter Kunstlicht in Nährlösungen ziehen.
Dr. Shigeo Haruyama sagt dazu:
"Gemüse und Ackerböden, auf denen keine Kleinstlebewesen, Insekten, oder Mikroorganismen mehr leben sollten wir nicht essen.

 Ein Milieu, in dem wir Menschen mit den Lebewesen um  die Nahrung konkurrieren, ist viel gesünder!!!"
Weiterhin sollen Roboter für uns arbeiten:
Dr. Shigeo Haruyama hat bewiesen, dass wenn man eine Tätigkeit mit Begeisterung ausführt, also man an einer positiven Sache

 arbeitet, also man so zu sagen Großes im Sinne der Gemeinschaft, oder der Natur schafft, bildet sich im Gehirn das Antriebshormon

 Dopamin, jedoch zusätzlich bilden sich Endorphine. Das entspricht der idealen Nutzung des Gehirns und man wird außerordentlich

 resistent gegen Krankheiten und überlastet sich auch nicht, wie im Folgendem.
Er hat weiterhin erkannt, dass der Stress Wurzel allen Übels ist.
Es entstehen unter Stress 50% mehr karzerogene Substanzen und aktiver Sauerstoff! Bei einem erleuchten Menschen, 

der reagiert bei Stress kaum, weil bei ihm die Sekretion von Glückshormonen statt findet. Diese Glückshormone verhindern 

das Risiko an Krebs, oder Zivilisationskrankheiten zu bekommen.
Tja nun soll es die künstliche Intelligenz für uns richten:
In der rechten Gehirnhälfte, unserem "ererbten Gehirn" und dem Sitz der Seele, sind 100.000 mal mehr Informationen gespeichert,

als in der linken Hälfte. Die richtige Nutzung der rechten Gehirnhälfte ermöglicht die höchste Form des menschlichen Bewusstseins.
Wie sollen wir bei künstlicher Intelligenz je wieder die schöpferische Kraft unseres Gehirns nutzen, welche derzeit vielleicht zu

10 % genutzt wird, wenn uns diese 10% IT auch noch abnimmt, dann werden wir nie mehr die höchste Form des Menschlichen

Bewewusstseins erlangen. Wenn man jetzt noch bedenkt , das die HF-Frequenzen des Mobilfunks und die NF Magnetfelder des

 Stromes im Gehirn und im Körper 10-100 Mal mehr Zellen pro Tag, bewusst von Oben gesteuert, sterben lassen, plus Fake Nahrung,

 die den Darm zerstört und seine Chemische Fabrik, die aus dem eingeatmeten Stickstoff bestes Denkprotein, extra nur für das 

Gehirn herstellt, dann kann man sich ausrechen wohin das führt. Man hat uns die Urnahrung Getreide genommen die über 

die Muttermilch dem Baby einprogrammiert wird.
Grob 10% Protein, 20-30% Fett, 60-70 % Kohlehydrahte.
Verbrecher wie Dr. Atkins raten zu Fleischnahrung und polen das um, so dass pathogene Prionen ins Gehirn gelangen

 und Schizophrenie erzeugen. Diese BSE Spikeproteine werden uns sogar eingeimpft, oder über Psychiaterdrogen ins Gehirn

 geschleust, damit die Menschen nie mehr die höchste Stufe ihrer Selbsverwirklichung bis hin zum schöpferischen Denken

 im Druidenmodus, wie ich das nenne, erlangen wo Endorphine in Form von Alphawellen fließen und man seine Lebensjahre 

die Dr. Shigeo Haruyama mit etwa 125 ermittelt hat, erreichen können.
Tja und nun die Landwirte abzuschaffen und alles künstlich herzustellen, führt zu einer völligen Abkoppelung des Menschen

 von der Natur und allen natürlichen Prozessen. Aber sie haben die Rechnung ohne den Wirt gemacht die Natur geht auch 

dabei drauf, denn Kot aus Fakenahrung können die Bodenbakterien auch nicht mehr zu Humus aufbereiten und wenn es

 durch 5G-80G keine mehr gibt dann ist die Erde  bald ein Mars ähnlicher Planet, auf dem sie gerade schauen was da passiert 

ist und merken gar nicht sie bauen hier einen Mars!
Und all das haben die Russische Frau Dr. Galina Schatalova und
der Japanische Arzt Dr. Shigeo Haruyama, unabhängig von einander, parallel schon vor 50 Jahren erkannt.

Die Frau Doktor hat das sogar politisch, als Vorlage für ihre Regierung, erarbeitet!
Was ist passiert, das Gegenteil, Zerstörung!
KRISENFREI.COM
Globaler Landraub und deutsche Bauernproteste – Krisenfrei


4. Beitrag!


T-ONLINE.DE
Monogamie ist out: Dieses Land steht auf Polygamie
Eine Beziehung mit mehreren Partnern führen? Das scheint in einigen Ländern,........


Die Christen versuchen weiter Ehe und Familie zu zerstören, in
dem sie nicht einmal die 10 Gebote einhalten. Wir brauchen
den Islam hier, oder die einst sozialistische Gesellschaft, wo
die Partei, diese Aufgabe übernahm und ihre Mitglieder und
das Volk zur Monogamie erzogen, damit es wieder Ethik und
Moral gibt! Mir haben 47 Jahre mit einer Frau gereicht,
Wenn ich mir vorstelle bei dem Spruch" No Woman no cry!,"
noch eine Xanthippe am Hals zu haben, da würde ich
auswandern."Xanthippe. Sie bestimmten über weite Strecken
das von ihr gewonnene Bild, so dass sie als Inbegriff des 

zänkischen „Weibes“ in die europäische Literatur eingegangen
ist. Ihr Name wird oft sprichwörtlich gebraucht und steht für
eine übellaunige, streitsüchtige und im Gegensatz zu ihrem
Gatten launenhafte Frau, häufig auf die partnerschaftliche

 Beziehung bezogen."Rein physisch gesehen wächst eine
Beziehung, wie die sich entwickelnden Fähigkeiten beim
Menschen innerhalb einer  Maslowschen Pyramide.
Zuerst Fressen saufen vögeln, es fließt das Glückhormon
Serotonin, was zum kontinuierlichen Verschleiß des
Menschen führt. Wenn ein Mensch die höchste Stufe
seiner persönlichen Selbstverwirklichung
erreicht hat, dann ist ermit sich selbst zufrieden und es
kommt zur Höherentwicklung diese Glückgefühls zur 

Endophinbildung, die ihn seinen Lebensabend, fast
Verschleißfrei, genießen lässt. Und auch die Ehe
entwickelt  sich so, man blickt auf seine glückliche
Jugend zurück und liebt die ganzen Eigenheiten
seines Partner, fast ohne Verkehr, den braucht man
fast nicht mehr, also nicht häufig, außer primitive,

 zurückgebliebenen Menschen, die in der unteren Stufe
der Entwicklungs- pyramide wie ein Pfaffe, dessen
Religion im  Mittelalter stagnierte nicht mehr.
Der Islam entwickelt die Lebenswerte weiter, fördert
das Familienleben und schützt es. Poligamie wird
bestraft, es sei denn man kann es sich leisten und
heiratet 2 Frauen, dann ist das offiziell, aber hier fehlt
die Innigkeit eines Paares am Lebenende.
Diese Beziehungen  sind von Zank und Streit unter
den Xanthippen ein Horror und man trägt immer einen
inneren Konflikt mit sich herum, der die Entwicklung in
den Bereich der Endorphine hemmt und einen vorzeitig
ins Gras beißen lässt! Das habe ich an meinen Klassen-
Kameraden und Kollegen beobachtet, die so drauf waren
und entweder sind die schon gestorben, oder mit
Krankheiten behaftet, teilweise solo, dahin siechen.
Das mit Brasilien und Mexiko, das habe ich durch meine 

Brasilianische Adoptivtochter berichtet bekommen, endet
in endlosen Szenen zu Hause, bis Mord und Totschlag!
Solche Gesellschaften entwickeln sich nicht gesund!
Monogamie ist out: Dieses Land steht auf Polygamie



5. Beitrag!


Ich vermute warum, weil es bei uns auch der Fall ist, Dezimierung!
Resultiert aus 5G= Schiffsradar, Radarrauchmeldern und Smartmetern in den Wohnungen, 

Mobilfunkantennen mit Powerline-Flussdichten bis 2.000.000 Mikrowatt/m²!

Da bilden sich ab 100 Mikrowatt/m² Tumore. Infraschall durch Wärmepumpen und Windrädern 

16 Hertz  führen zur völligen Schlaflosigkeit und Gehirnüberlastung mit eingehender Tumorbildung.

Durch das Umspannen des erzeugten Solar-Gleichstromes enstehen in den Gebäuden Magnetfeld-

spannungenvon um die 800 V/m, 0 V/m sollten sein, ab 30 V/m kann Krebs enstehen. In den E-Autos

sind Magnetfelder von 6000 nT- 30.000 nT, nach den Aussagen eines Schweizer Arztes.

So ab 200 nT enstehen Tumore. Die Autotester bei TESLA sollen schon so Strahlenkrank sein, dass 

die  wenn sie das zu testende Auto starten, ihnen schlecht wird und sich sich übergeben müssen.

Um 80% Steigerung der Krebsrate wird sich, zukünftig, noch verzehnfachen, es ist erst die Spitze

vom Eisberg. Jedoch jedesTier jede Pflanze reagiert ebenso bis hin zu den Bodelebewesen, weil die,

die uns steuernde Schumannfrequenz 7,83 Hertz, der Ionosphäre stören, durch Billiardenfaches 

überlagern dieser! Ein 82 Jähriger Pilot der DDR Interflug sagte mir, das er die Anweisung hatte das 

Bordradar nur beim Start und bei der Landung kurz einzuschalten und dann sofort auszuschalten um
das Bodenpersonal nicht zu gefähren. 5G Schiffsradar ist ständig Powerline geschaltet überall in der

 Stadt und Land um so auch die E-Autos zu steuern. Das ist verheerend für Mensch und Natur.
Nicht umsonst hat 5G Corona in China so doll gewütet, denn dort ist das Lben praktisch ohne 

Mobilfunk unmöglich geworden, wie sie es mit ihren APP`s für alles hier auch versuchen über die
Gretas durch zu drücken!






























6. Beitrag!

Fortschritt als Teufelswerk – Krisenfrei

Fortschritt heißt fort schreiten, b.z.w. aufgeben des Paradies auf Erden. Ich wünschte mir oft, einer zieht

den Stecker, denn es kann nicht so weiter gehen mit dem Wahnsinn der Zerstörung unserer Lebensaufgaben, 

die für die Menschen gemacht sind, die den Sinn des Lebens beinhalten. Die Tiere erfinden auch keine 

Jagdroboter, oder Maulwürfe und Ameisen keine Erdbohrer und Bagger. Die Erde ist ein lebendiger Planet,

sie ernährt und und  sie steuert uns über ihr Gehirn, die Ionophäre und wir zerstören ihr Erdnervensystem und

setzen Implantane in ihr Gehirn und bauen tödliche Magnetfelder, und Mikrowellen und Magnetspannungen,

die eigentlich die Ionosphäre und Atmosphäre, für uns, filtertern und in ein Organverträgliches Magnetfeld

umwandeln! Das fing mit der Gründung Roms`s mit seinem Wolfsgesetz an, mit der immer mehr Zerstörung der

Kulturen  und daraus resultierendem Luxus für wenige. 1244 wurden die Katharer im Norden Frankreichs, wie

drei  Jahrhunderte später die Hugenotten, die sich ein Paradies auf Erden unter dem bösen Gott, wie sie die 

Hölle auf Erden nannten, schaffen wollten von den Katholischen Kreuzrittern, die das Wolfgesetz Rom`s, 

übernommen haben gedrängt ihrer Religion, des Glücks für alle, abzuschwören und die letzten 15.000, 

die das nicht wollten, wurden 1244 auf Scheiterhaufen verbrannt und so ging es allen Völkern danach, 

die sich der Ausbeutung des Menschen durch den Menschen entziehen wollten. Letztes Modell war das

 von Josef Stalin und Walter Ulbricht geschaffene sozialistische Modell für die Arbeiter Bauern und

 Intelligenz, der Sozialismus, eine Volksherrschaft sanft und milde zu den Menschen. Das wurde 45 Jahre

 von außen und über die Trojanischen Pferde von innen, bekämpft und wir wurden 1989, hinterlistig, wieder

 von Wolfmenschen, den Katholiken, betrogen, bestohlen und danach, durch ihr verbrecherisches 

medizinisches Seuchensystem vernichtet und sozusagen mit der Welle/Teilchen Hypothese, die sich

 bewahrheitet hat, elektronisch zerstört in dem unserer Mikrokomos und dem, der "Mutter Erde" regelrecht

 Mikrowellen mäßig weg  geröstet wird. Jedoch weil nun der Humangeist der die Vernunft beinhaltet, durch

 den künstlichen IT Geist, der das Zerstören, mit immer mehr in Richtung Lichtgeschwindigkeit beinhaltet, 

verdrängt wurde, begreifen das nur wenige und dieses Unheil ist kaum noch aufzuhalten.
KRISENFREI.COM
Fortschritt als Teufelswerk – Krisenfrei





















7. Beitrag!


Dr. Shigeo Haruyama:
„Gemüse und Ackerböden, auf denen keine Kleinstlebewesen, Insekten, oder Mikroorganismen mehr 

leben sollten wir nicht essen. Ein Milieu, in dem wir Menschen mit den Lebewesen um die Nahrung konkurrieren,

 ist viel gesünder!“
Jetzt fressen die Insekten die beste Nahrung, wie Vollkorngetreide, werden davon Protein lastig und wir sollen 

jetzt schlechtes Protein fressen. Wenn man sich die Urnahrug des Europäers einmal anschaut, das Getreide:
10% Protein
20-30% Fett
60-70% Kohlehydrate
dann weiß man nur so bleibt der Mensch gesund und so bekommt ein Baby das über die Muttermilch ein 

progammiert. Eine Umstellung, durch die Bestie Mensch, bringt Krankheit und Siechtum. Dr. Atkins war 

der Anfang mit Low Carb, also Proteinnahrung, ohne Energie und gebundenen Aminosäuren, Mineralien

 und Spurenelement, enzymlos, also nicht mehr Leben spendend im Fleisch!
Der ist mit 30 Kg Übergewicht, krank, gestorben.
Nun Pflanzenschädlige Protein und Fett= NULLCARB!
Das ist unser Ende! Kohlehydrate und Enzyme in den Pflanzen sind unser Treibstoff von dem das Gehirn

 ALLEIN 50% benötigt, also werden wir ein Schrumpfhirn = Gehirnkrüppel werden, wie sich das jetzt schon 

andeutet, beim heutigen Fleischfressen. Im übrigen zerstören sie gerade, den Dünndarm der Erde, den 

Ackerboden, mit Pflanzenschutzmittel und 5-80G und 16 Hertz Infraschall durch Windräder und Wärmepumpen 

und züchten nun Insekten mit bester Nahrung, weil diesen den Dreck den wir fressen, sie gar nicht anrühren trotz 

winzigem Denkapparat = Instinkt!

Die Rinder haben einen Großteil unserer Pflanzennahrung bekommen, die Insekten bekommen nun alles, 

das Gates Kunstfleisch hat keinen genetischen Code, also bekommen wir jetzt alles zum fressen, einschließlich

 Fake Nahrung was unser Körper nicht erkennt = Konec!
Dr. Reckeweg gab Mäusen 405èr Mehl also Auszugsmehl zu fressen, was wir täglich angeboten 

bekommen, sie starben nach kurzer Zeit!
Er bastelte Kunstnahrung für Katzen, sie starben etwa nach einem Monat.
Er gab Krimminellen beste Pflanzenkost, sie wurden ganz liebe zahme Menschen.
Tja nun machen die in den USA Gefängnissen seit Jahrzehnten Experimente mit 

Fake-Drecknahrung, wie Gates das mit uns jetzt vor hat und es werden Monster, 

wilde Tiere.
KRISENFREI.COM
Warum die kleinen Bauernhöfe im Westen in die Pleite getrieben werden und worum es wirklich 

geht – Krisenfrei
"Der Intrinsische Faktor wird bei den meisten Säugetieren von den Belegzellen des Magenbodens

 (Fundus ventriculi) und -körpers (Corpus ventriculi) produziert. Bei Katzen wird der Intrinsic-Faktor

 ausschließlich in der Bauchspeicheldrüse gebildet, bei Hunden ein erheblicher Teil.[4]" Das funktionierte

 einst beim Menschen ebenso, doch wenn man Fleisch-, oder andere Tierische Produkte zu sich nimmt 

dann verkümmert der intrinsische Faktor und man muss das B12 immer künstlich zu sich nehmen. 

Das ist korrigierbar, jedoch je älter man ist, desto schwieriger ist das!


Fehlen die Kohlehydrate, etwa 200 g/Tag und deren Ballststoffe, stirbt der Darm und damit die chemische

Fabrik zur Herstellung von bestem Protein für das Gehirn, aus den eingeatmeten 2,5 Liter Stickstoff mit

der Atemluft. Gleichzeitig fühlen wir uns Energie- und Kraftlos und sind gereizt.


8. Beitrag!

Diese ganze Impfung war nur Show, das sagte ich schon einmal!
Dadurch dass wir zu Hause gebunden waren, haben die 4-5G Masten
überall aufgestellt, selbst in Kirchen, oder als Künstbäume getarnt
und in Gullis! Jede Krankheit liegt im Bereich der Beta-Wellen,
also von eta 10 Hertz bis 35 Hertz. Auf den Mobilfunk sind 10 Hertz aufmoduliert,

aber nicht Sinusförmig sondern Treppenförmig und somit schwerste zum Teil nicht reversible

 Kopfschmerzen erzeugend. Infraschall, mechanisch, oder elektrisch durch Wärmepumpen 

und Windrädern  zerstören die Melatoninbildung der Zirbeldrüse, also Schlaflosigkeit nicht nur

beim Menschen sondern allen Lebewesen bis Bäume in der Natur, weil die,
die Alphawellen der Ionophäre 7,83 Hertz benötigen zum Leben und für die Heilung und

 Erholung vom Tagesstress. Die Solarzellen erzeugen bei der Umwandlung von Gleich- in 

Wechselstrom Magnetspannungen von 200 V/m bis 1000 V/m, wobei ab 30 V/m schwerste

Zellanomalien beginnen, Die E-Autos erzeugen im Innenraum Feldstärken von 

6.000 bis 30.000 nT(NanoTesla), ab 200 nT = Tumorbildung. Rauchmelder senden bis 4h Power Line,

 um die 60.000 Mikrowatt/m² auf einer Militärfrequenz, die, die gefakten Messgeräte nicht erfassen.
Und das auf und abschwellend, alle Flussdichten ausprobierend!
Das Smartphone meldet sich alle 6 Sekunden, etwa 4 Sekunden, mit um die 6.000 bis 15.000 Mikrowatt/m²

 bei den Rauchmeldern, oder Smartmetern, oder Smartcells an und das 24 h lang. Bei Gesprächen verstärken

 sie das Signal um die 100.000-800.000 Mikrowatt/m².So ab 500-1000 Mikrowatt/m² bekommt man schwere

 Zellanomalien, > 1000 schwerste Zellanomalien als Krebs aller Art und sonstige Drüsentumore. Dabei wird

 die Dünndarmflora zerstört und die Blut/Hirnschranke geöffnet für die Bestandteile der Impfstoffe, wie 

BSE-Spike Proteine, Aluminium, Fluor, Schwefel, Chlor Graphenoxid was sich auflädt und auffaltet und 

die Gefäße aufreisst und auch alle Nahrungsschadstoffe gelangen ins Gehirn, oder die Organe, weil die 

Filterung über die Leber umgangen wird. Tja und der letzte Schrei Organe mit der Phasen versetzten 

Eigenfrequenz zum Stillstand bringen. Bei den Coronateststellen die alle in der Nähe eines Mobilfunkmastes

 aufgestellt waren, habe ich Powerline von 30.000 bis 80.000 Mikrowatt/m² gemessen.
Diese Strahlung speichert der Körper, wie ionisierende Strahlung und das Zellsterben verzehn- bis

 verhundert Facht sich! Das ist perfide den Strahlenschäden der NVA Angehörigen der Raketentruppen,

 die in der Nähe der Radaranlagen gewohnt haben nach empfunden  und sogar wesentlich erhöht worden.
In der Schweiz hat sich deshalb die Krebsrate um 80% erhöht wie in einem Artikel hier auch von mir 

kommentiert wurde. Unsere Piloten der Interflug haben ihr Radar nur  bei Start und Landung kurz an

und dann wieder abgeschaltet um das Bodenpersonal nicht zu schädigen und hier wollen die so Autos

 mannlos steuern, also die Belastung überall, vor allen in Zügen und der Bahn sind durch hunderte 

Smartphones der Passagiere fast unerträglich  und vor allem Schwerst schädigend! Das Homeoffice 

schädigt mit dem offenen WLAN nicht nur den Nutzer sondern alle Nachbarn, der angrenzenden 

Wohnungen! Tja und die, die ganzen Impfungen mitgemacht haben, haben nun zusätzlich eine 

tickende Zeitbombe im Körper.
KRISENFREI.COM
Pfizer-Insider gibt zu, dass mRNA innerhalb weniger Monate Milliarden Menschen töten wird – Krisenfrei



9. Beitrag!

Seit die Regierung ungeeichte, aus der Ferne manipulierbare Smartzähler, genehmigt hat, werden 

durch die Ablesedienste aus Bayern Zählerstände massivst nach oben manipuliert. Das ist ein 

Verbrechen, zumal diese Geräte mittels 5-10G Schiffsradar senden und das rund um die Uhr. 

Die Menschen werden nun finanziell und gesundheitlich zugleich ruiniert. 

Das kann ich hundertfach beweisen. Eben habe ich bei meiner Frau die  Wohnstube 1,5 h vermessen, 

und die Belastung haben wir nun seit 2019, seit die Radarrauchmelder zwangseingebaut wurden!

















So können sie einen in der Wohnung mittels elektromagnetischer Felder, wie in einer Mikrowelle
zerstören. Am 11.11.21 hatte ich einen Kommentar darüber geschrieben.wumm da war nacher sogar Windows weg.
Einer in meinem Alter wurde am 15.01.22 tot in der Wohnung gefunden nachdem er ewig nicht geöffnet
hat! 155 solcher bis zu 4h Attacken habe ich hier überlebt, 6 Kg abgenommen die Haut ist an manchen
Stellen wie verbrannt! 8 Hertz ist die Schuhmannfrequenz für alles Leben und auf dem Fußballplatz fängst Du bis
zu 80 Milliarden Hertz, deshalb die vielen toten geimpften Fußballer!
In Schlafräumen sollen 0 Mikrowatt/m² sein, schau Euch an 115.000 Mikrowatt/m² haben die mir maximal diesmal verpasst!
µW/m²
18756,06
18756,06
18756,06
18756,06
18756,06
12005,22
26928,37
15115,27
30230,54
30230,54
30230,54
12252,78
24505,56
7411,07
7411,07
8355,43
8355,43
12606,85
12606,85
12606,85
9944,28
8985,31
4492,65
8985,31
8985,31
8985,31
2852,19
5704,38
16196,6
16196,6
11525,57
23051,15
µW/m²
21604,83
37199,46
18599,73
37199,46
20305,04
20305,04
5800,93
11601,87
8281,37
16562,74
16562,74
16562,74
14584,79
11679,22
5553,23
5553,23
3827,31
4615,27
5403,23
7817,83
15635,67
15635,67
15635,67
7817,83
15522
15408,33
15408,33
7704,17
15408,33
7779,09
10822,07
13865,04
13865,04
930664,63
42 A4 Seiten 13295,209 µW/m²/Sekunde


9.1. Ergänzung aus Italien


















Kürzlich beobachteten europäische Verbraucher das Wiederauftreten des Phänomens der „Crazy Bills“ in vielen

Kommunen[1], was teilweise mit der Verwendung mutmaßlicher Verbrauchsdaten durch den Manager bei der

Ausstellung von Rechnungen zusammenhängt, obwohl die alten Zähler durch Smart-Meter ersetzt wurden 

neuester Generation oder zu erheblichen Fehlern in der Verbrauchsberechnung beim Wechsel zwischen den beiden Zählern.
Der Austausch von Messgeräten ohne Kreuzverhör oder Mitteilung über die Intervention und das Datum derselben ist 

unzulässig, ebenso wie das kürzlich vom Kassationsgericht in seiner Bestimmung 21564/2022 festgestellt wurde. 

Solche Eingriffe in Abwesenheit beeinträchtigen die Möglichkeit der Nutzer, die Genauigkeit der ursprünglichen 

Messdaten und die Richtigkeit der angeforderten Beträge im Verhältnis zum in Rechnung gestellten Verbrauch

zu überprüfen.
Das Kassationsgericht entschied zugunsten eines Kunden von Enel Electricity Service und Enel Distribution, 

der die Unzulänglichkeit einer Anpassung beanstandete, die auf einem ungewöhnlich höheren Verbrauch beruhte

 als dem, der normalerweise auf der Grundlage der letzten Ablesung eines alten, defekten, aber unregelmäßigen

Verbrauchs erfasst und berechnet wird Zähler in Abwesenheit des Benutzers ersetzt.
Laut Satz Nr. 21564/2022[2] Enel leistete keine Gewähr für den Nachweis seiner Forderung gegenüber dem

 Kunden, von dem es die Zahlung eines Betrags verlangte, der auf der Grundlage der durch ein Foto dokumentierten

 Ablesung des alten Zählers berechnet wurde, der in Anwesenheit von ausgetauscht werden musste der 

Benutzerbesitzer.
Das Kassationsgericht bekräftigt, dass das Fehlen eines Kreuzverhörs zum Zeitpunkt des Austauschs des 

alten Zählers durch den neuen es nicht erlaubt, bei nutzungsbasierten Lieferverträgen dem Streit des Kunden

 über die Verbrauchsmenge entgegenzuwirken auf der Rechnung ausgewiesen.
Darüber hinaus wird festgestellt, dass bei Streitigkeiten über die Funktionsfähigkeit des Messsystems die Beweislast

 für die Funktionsfähigkeit des Zählers beim Lieferanten liegt. Bei Lieferverträgen steht der Erfassung des Verbrauchs

 mittels eines Zählers tatsächlich eine bloße Wahrhaftigkeitsvermutung zugrunde, so dass im Streitfall die Last beim 

Lieferanten liegt, selbst wenn er gerichtlich mit einer Klage eingeklagt wird Klage auf Negativbeurteilung der Gutschrift,

um nachzuweisen, dass der Zähler voll funktionsfähig war.
Sobald der Lieferant diese Pflicht erfüllt hat, ist es Sache des Verbrauchers, im Falle einer Beschwerde über

 den festgestellten übermäßigen Verbrauch den streitenden Beweis für die Nichtzurechenbarkeit des Verbrauchs

 zu erbringen, der auf Ursachen außerhalb seines Willens beruhte und nicht ihm zuzurechnen.
Es wurden auch Fälle festgestellt, in denen die auf der Rechnung angegebene Seriennummer des Zählers nicht

 mit der Seriennummer des Zählers übereinstimmt, der den Benutzer bedient.
European Consumers bekräftigt seine rechtliche Unterstützung für alle Steuerzahler, die von sogenannten 

„verrückten Rechnungen“ betroffen sind, und fordert die Bürger auf, zu prüfen, ob die Zählernummer auf der Rechnung

mit der tatsächlich installierten übereinstimmt.
Original:


Recentemente European Consumers ha osservato in molti Comuni il riemergere del fenomeno delle Bollette Pazze[1], parzialmente legate all’uso da parte del Gestore nell’emissione delle fatture dei dati di consumo presuntivi, nonostante la sostituzione dei vecchi contatori con gli smart-meter di ultima generazione, o ad errori significativi del calcolo dei consumi nel passaggio tra i due contatori.
La sostituzione degli strumenti di misurazione in assenza di contradditorio o di avviso dell’intervento e della data dello stesso risulta illegittimo alla stregua di quanto recentemente stabilito dalla Corte di Cassazione nel suo provvedimento 21564/2022. Tali interventi in contumacia inficiano la possibilità per gli utenti di verificare la precisione del dato di misurazione iniziale e la correttezza delle somme richieste in relazione ai consumi fatturati.
La Cassazione ha dato ragione a un cliente di Enel servizio elettrico e Enel distribuzione che contestava la debenza di un conguaglio fondato su consumi inusitatamente più elevati di quelli normalmente rilevati e calcolati in base all’ultima lettura effettuata su un vecchio contatore difettoso, ma sostituito irregolarmente in assenza dell’utente.
Secondo la sentenza n. 21564/2022[2] Enel non ha garantito la prova della propria pretesa verso il cliente da cui pretendeva il pagamento di una somma calcolata in base alla lettura documentata da una foto riferita al vecchio contatore che andava sostituito alla presenza del titolare dell’utenza.
Ribadisce la Cassazione che l’assenza di contraddittorio al momento della sostituzione del vecchio contatore con il nuovo non consente nei contratti di somministrazione a consumo di controbattere alla contestazione del cliente sull’entità dei consumi esposti in bolletta.
Inoltre si stabilisce che, in presenza di contestazioni sulla funzionalità del sistema di misurazione incombe sul somministrante l’onere di dare la prova della funzionalità del contatore. In tema di contratti di somministrazione, la rilevazione dei consumi mediante contatore è assistita infatti da una mera presunzione semplice di veridicità sicché, in caso di contestazione, grava sul somministrante, anche se convenuto in giudizio con azione di accertamento negativo del credito, l’onere di provare che il contatore era perfettamente funzionante.
Assolto tale onere da parte del somministrante, spetta al consumatore-somministrato, ove lamenti l’eccessività dei consumi rilevati, fornire la prova liberatoria della non imputabilità dei consumi, dipeso da cause esterne alla sua volontà e non a lui imputabili.
Si sono anche individuati casi in cui il numero di matricola del misuratore riportato in fattura non combacia con quello del contatore che serve l’utenza.
European Consumers conferma il proprio sostegno anche legale a tutti i Contribuenti perseguitati da quelle che possono essere classificate come “bollette pazze” e invita i cittadini a controllare se il numero del contatore presente in fattura corrisponde a quello realmente installato.



10. Beitrag!


Der Manager-Gambit der WHO – Krisenfrei

Die sind dabei die Selbstheilungskräfte von Mensch und Natur
auszuhebeln und damit die Menschheit nach und nach in ein
Siechtum zu bringen und die Medinzmörder zum Heilsbringer zu
erheben. Von 1989 haben sie die Sterberate der DDR Bürger von
etwa 7/1000, 5/1000 wäre normal, auf Bundesniveau 12/1000 erhöht.

 Es sterben von den ehemalig 17 Millionen DDR Bürgern nun 70.000 Menschen

 mehr pro Jahr als vor der Wende.
Und dies geschieht unter den falschen Gesundheitsvorgaben der WHO nun welt weit.
In Katar hat sich die Sterberate von einst 1,5/1000 auf 1,6/1000
entwickelt, sie haben jetzt von den Europäern installierte, klimatisierte Kuhställe in 

der Wüste für Milchprodukte. Nordkorea da erhöhte sich die Sterberate von 5/1000 

auf 6,8/1000, weil ein angeblich nobler Südkoreaner ihnen seine Kuhherde von mehr 

aus 10.000 Rindern schenkte und sie jetzt Wurst essen,
was sie vorher nie taten. All diese heimtückischen Nahrungsumstellungen, in einst Ländern

 von überwiegend Vegetariern hat nun zum Beispiel in der BRD zu 30.000 neuen 

Krankheitssymptomen geführt. In den Psychiatrie bauen sie, von der Schweiz gesteuert,

 über mit krank machenden Stoffen an Botenstoff ähnliche Psychopharmaka, wie Heroin, 

Kokain, Opium, u.s.w. gebunden, Schäden im Signalsystem des Gehirns, den
Drüsen und dem Darm, sowie sämtlichen Organen.
Krankheiten werden regelrecht gebaut und sind nach einem wissenschaftlich nicht belegbaren

 Handbuch ICD-10 profan nach Antworten von Patienten klassifiziert dargestellt. 

Eine solche Diagnose wird dann nach Rezept zur Krankheit gebaut.
Nach dem man heraus gefunden hat das jede Krankheit jedes Symptom einer Beta-Schwingung

 im Bereich >>8 Hertz bis 35 Hertz entspricht baut man Gerätschaften, wie Smartphones,

 Wärmepumpen, Windräder, Rauchmelder, Smartmeter, Kochherde, Zahnbürsten, u.s.w., 

deren Frequenzen man diese Krankheiten aufmoduliert.Gleichzeitig öffnen die hohen 

 die Blut/Hirnschranke, zerstören das Dünndarmmillieu(Leaky Gut) und somit kann man

 nun ohne die Botenstoff ähnlichen Substanzen Schadstoffe ins Gehirn und die Organe 

schleusen, oder die Organe mit der Phasen versetzten Eigenfrequenz abschalten. 

Das alles, sprich 5-80 G Schiffsradar, wurde während Corona in Windeseile überall installiert.

 Die NATO der Mediziner, sprich Rotkreuzritter,
die WHO steuert das.
KRISENFREI.COM




11. Beitrag!


Putin verbietet 5G in ganz Russland und zerstört alle Türme
Von Michael Baxter – 5. August 2023 85379717
Der russische Präsident Wladimir Putin hat 5G-Sendemasten in der Russischen Föderation verboten, da er befürchtet, 

die Technologie sei medizinisch unsicher und habe zum Tod von Schulkindern in der Nähe von St. Petersburg geführt.
Diskussionen über die negativen Auswirkungen von 5G sind nicht neu. Seit über einem Jahrzehnt bringen alternative

 Medien Technologie mit unzähligen Gesundheitsproblemen in Verbindung, darunter immunsuppressive Erkrankungen

 und Virusvermehrung, deren Einzelheiten den Rahmen dieser Website und das Wissen des Autors sprengen. Allerdings

 zeigt Putins Versprechen, bestehende 5G-Supertürme abzubauen, dass die Gefahren elektromagnetischer Strahlung eher

 auf Fakten als auf einer Verschwörung beruhen.
Anders als die USA und der Westen begann Russland nicht über Nacht mit dem Bau von Türmen, als die von Qualcomm

 und dem mobilen Ökosystem entwickelte Technologie im Jahr 2015 verfügbar wurde. Seitdem haben die 

Telekommunikationsunternehmen in den USA 150.000 Türme gebaut; Im Vergleich dazu gab es in Russland nur 22,

 hauptsächlich in Moskau.
Während der Plandemie, als Schulen geschlossen waren, beschleunigten Mobilfunkanbieter in den USA landesweit 

den Bau von Sendemasten, nur einen Steinwurf von Grundschulen entfernt. Als die Schulen wieder öffneten, sahen 

die Schüler plötzlich weitläufige 5G-Antennen am Horizont und auf den Dächern der Schulen.
Von den vier großen Mobilfunkbetreibern in Russland – MTS, Megafon, Rostelcom und Vimpel-Communications 

Public Joint Stock – hat nur MTS im Jahr 2021 mit der begrenzten Einführung von 5G begonnen und Türme in Moskau,

 St. Petersburg und Nowosibirsk, den bevölkerungsreichsten Städten Russlands, errichtet. mit einem einzigen Turm 

15 Meter von einem Grundschulspielplatz am Stadtrand von St. Petersburg entfernt.
Im April 2023 erlitten 16 Schüler schwere Nebenwirkungen einer sogenannten elektromagnetischen Vergiftung, wie

 Wladimir Putin sie nannte. Zu den frühen Symptomen gehörten spontanes Erbrechen, Schwindel, Tinnitus, unerträgliche

 Kopfschmerzen und eine Bauchentzündung. Spätere Symptome waren Magen-Darm-Blutungen, Hirnblutungen und

 Blindheit aufgrund des Verfalls der Augennerven. Die betroffenen Kinder waren 8–12 Jahre alt und hatten im selben

 Semester die Schule besucht. Darüber hinaus waren die kranken Kinder ungeimpft, sodass Gesundheitsbeamte des

 russischen Gesundheitsministeriums Nebenwirkungen des Covid-19-Impfstoffs ausschließen konnten. Umfassende 

Blutuntersuchungen und radiologische Bildgebungstests schlossen Vorerkrankungen, durch Lebensmittel verursachte 

Krankheiten, Medikamente sowie biologische und chemische Wirkstoffe aus. Bis zum 6. Juni 2023 waren 11 der

16 Studierenden verstorben.
Gesundheitsminister Michail Muraschko beauftragte mit Unterstützung des Verteidigungsministeriums ein Inspektionsteam,

 die vom Mobilfunkmast ausgehenden Sendefrequenzen zu bewerten, die, wie sie daraus folgerten, elektromagnetische Wellen

 im Bereich von 24 bis 50 Gigahertz nahe der Unterseite der Millimeterwelle pulsierten Skala. Regulierungsbehörden und 

Telekommunikationsunternehmen auf der ganzen Welt haben erklärt, dass dieser Bereich für Menschen sicher ist. 

Der FCC-Direktor des ehemaligen Präsidenten Obama, Tom Wheeler, sagte 2016: „5G stellt keinerlei Bedrohung für Menschen,

Wildtiere oder Haustiere dar.“ Jeder, der seine Sicherheit in Frage stellt, fördert haltlose Verschwörungen.“
Allerdings führte Putin die Todesopfer im Jahr 2023 auf einen gemeinsamen Nenner zurück – das Vordringen von 5G

auf russischem Boden.
Mitte Juli traf sich der russische Präsident mit zahlreichen Telekommunikationsmanagern und Gesundheitsexperten,

 um die Gefahren zu besprechen, die mit der Verbreitung der 5G-Technologie verbunden sind. Er zeigte ihnen Bilder

 von toten Kindern; das Gehirn hatte sich verflüssigt. Er teilte ihnen mit, dass er beabsichtige, ein Moratorium für die 

5G-Forschung durchzusetzen und alle Sendemasten in der Russischen Föderation abzureißen.
Sein Mandat wurde von den Telekommunikationsmanagern nicht gut aufgenommen. Borja Wlassow, Vizepräsident 

für 5G-Infrastruktur bei MTS, sagte, das Fehlen von 5G würde Russland technologisch benachteiligen und fügte hinzu, 

dass Russland 5G benötige, um eine einst florierende Wirtschaft zu stärken, die jetzt dank Putins Maßnahmen in der 

Ukraine ins Stocken gerät. Putin verteilte Bilder der toten und kranken Kinder auf einem Konferenztisch und sagte

 angeblich: „Was ist mit ihnen?“ Was hat Ihr 5G ihnen angetan?“
„Wir können 5G dafür nicht verantwortlich machen. „Unsere Kameraden im Westen sind sich einig, dass 5G sicher ist“, 

sagte Wlassow.
Putin befahl dem Sicherheitsbeamten neben ihm, Wlassow direkt zwischen die Augen zu schießen. Ohne zu zögern 

zog der Agent seine Makarov-Pistole und jagte Wlassow vor den Augen von 15 Personen eine Kugel in die Stirn.
Eine Woche später begannen die Pioniertruppen der Russischen Föderation, ein militärisches Verwaltungskorps 

der Bodentruppen der Russischen Föderation, das für die Durchführung militärtechnischer Operationen bestimmt war, 

mit der Stilllegung von 5G-Mobilfunkmasten in Moskau. Fußgänger jubelten, als die monolithischen Türme einstürzten.
Zum jetzigen Zeitpunkt hat Russland alle seine 5G-Türme abgeschafft.
Die Informationen in diesem Artikel stammen vom FSB-Agenten Andrei Sacharow, der Real Raw News im Jahr 2022

 die wahren Gründe für Wladimir Putins Sonderoperation in der Ukraine lieferte – um Osteuropa von ausländischen Biolaboren,

 Pädophilenringen und Adrenochrom-Laboren zu befreien. Diese Kämpfe werden immer noch ausgetragen.















12. Beitrag 


WLAN gefährdet unsere LebensFrequenz
by Martin Auf der Maur | Oct 1, 2019 | EMF Elektro Magnetic Field | 0 comments
Prof. Dr. Karl Hecht aus Deutschland erklärt was das Gefährliche bei den WLAN
Geräten für alle Lebewesen ist.
Die WLAN Geräte senden beim Suchen des Handys Pulspackete mit 10 Hz 

(10 Elektromagnetischen Pulsen pro Sekunde) aus. Das heisst sie senden ca. 10 mal

pro Sekunde ein Hochfrequenzpacket aus. Dummerweise ist das ungefähr die gleiche
Frequenz wie alle Lebewesen auf der Erde auch haben. Auf der Erde stehen wir
permanent in einem harmonischen Wirkungsfeld der “Schumannfrequenz” und das
wirkt auf alle Zellen des Lebens seit dem Beginn des Lebens vor 4.8 Milliarden Jahren.
Wir können nicht gesund leben, wenn die Schumannwelle gestört wird. Eine Störung
dieser Lebensfrequenz wird mit der Zeit allerlei mögliche Auswirkungen auf unsere
Zellen und unsere Gesundheit haben, nebst anderen Umwelteinflüssen. Diese harten
Frequenzpackete mit 2.4GHz oder 5Ghz stören uns vor allem beim Schlafen, wenn sich
unsere Zellen in Ruhe regenerieren sollten.
Harmonische Sinuswelle = Schumannfrequenz 7.38 Hz mit überlagertem WLAN Signal
10Hz = 10 Signalblöcke pro Sekunde
Vor allem die langzeitliche Beeinflussung wird in unseren Zellen gespeichert und
bedeutet eine grosse Gefahr für die menschliche Gesundheit besonders für Kinder. Von
Fachärzten wird eine Handy Benützung für Kleinkinder und Kinder strengsten
abgeraten, und in Schulen müsste es von Gesetzes wegen verboten werden. (Aussage
von K. Hecht).
Magnetische- und Hochfrequenz Felder können mit heutigen Mitteln schon recht gut
und spezifisch abgeschirmt werden. Im Schlafbereich und im Wohnbereich lohnt es sich
durch Fachleute einmal eine Messung zu machen und sich beraten zu lassen, ob sich
eine Abschirmung lohnt. Die grössten Störquellen sind hausgemacht. Eigenes WLAN
und das der Nachbarn, versteckte Bluetooth, schnurlose Telefone, Kriechströme in
Heizungen und nicht geerdete Armierungseisen und naheliegende Funkantennen sind
die grössten Störquellen.
Hier eine Zusammenfassung von Prof. Dr. Karl Hecht:
Die Schumannwellen gewährleisten das Leben auf unserem Planeten, sie
bestimmen tiefgreifend unser Gesundsein. Ohne Schumannwelle könnten wir
nicht leben. Die 10-Hz-Pulsation der WLAN elektromagnetischen Strahlungen ist
ein Impuls, aber keine Sinuswelle und sie stört alle Lebensprozesse, ist
tiefgreifend gesundheitsschädlich, weil damit analog zum Schmerzgedächtnis ein
WLAN-Pulsations-Stressgedächtnis bei permanenter Langzeiteinwirkung
ausgebildet werden kann. Das heißt, auch wenn WLAN abgeschaltet wird, ist
dann der starke Stresseffekt gegenwärtig.
Es lohnt sich auch, sich im Internet zu informieren.
siehe:     www.emf-data.org
Weitere Informationen zu Schumann Welle oder Schumann Frequenz:
Die elementare Frequenz beträgt 7,83 Hertz. Der Mensch braucht Schumannwellen,
diese entspricht der Frequenz des menschlichen Gehirns: Durch Messungen der
Gehirnströme eines Menschen mittels eines Elektro – Enzephalographen (EEG) kann
man feststellen, daß das Gehirn elektromagnetische Wellen produziert, die im Bereich
zwischen 1 und 40 Hertz liegen. Untersuchungen haben ergeben, dass die Schumann-
Frequenz in exakter Resonanz mit der Hippocampus-Frequenz des Menschen und aller
Säugetiere ist. Das Fehlen dieser Schwingungen kann Störungen des
Allgemeinbefindens wie Benommenheit, Kopfschmerzen, Pulsveränderungen und
Atemveränderungen erzeugen. Die Schumann Frequenzen sind quasi
Schönwetterfrequenzen und tragen zu unserem Wohlbefinden bei. Die Resonanz der
Schumann Frequenz oder Ton wird produziert von der leitfähigen Oberfläche zwischen
der Erde und der Ionosphäre-Schicht, die es umgibt. Die Frequenz der Töne, die daraus
entsteht ist 7,38 hz. Diese heilende Frequenz ist zuständig für das Aufladen des Körpers
mit Energie, das Immunsystem funktioniert besser, sie sorgt für gute Laune, Kreativität,
die Fähigkeit zu lernen, zu studieren und das Gedächtnis zu verbessern. Man nennt sie
auch die Frequenz der Erde.





13. Beitrag  Wirksamkeit, Nebenwirkung und Langzeitfolgen unbekannt – Krisenfrei


Wenn man nicht das 5G Schiffradar parallel so durchgepeitscht hätte, wären die
Impfstoffinhalte nicht ins Gehirn und die Organe gelangt, weil die Mikrowellen 

die Blut/Hirnschranke öffnen und den Darm löchrig machen.
Normalerweise werden Menschen schleichend in der Psychiatrie so hingerichtet,

jedoch mit Botenstoff ähnlichen Substanzen, wie Heroin, Kokain, Opium und essentiellen

 Aminosäuren, denen man diese Schadstoffe anhängt und somit die Blut/Hirnschranke 

ausgetrickst wird. Da das sehr teuer ist braucht man jetzt die Schadstoffe nur in die 

Nahrung mischen, oder die Pflanzen genetisch verändern,
oder sogar Kunstfleisch herstellen, es geht alles durch, dank Mikrowellen.
Alle Krankheiten haben eine Frequenz im Beta-Bereich, die man dem Mobilfunk, 

oder dem WLAN, oder der Lichtstromfrequenz einfach nur aufmodulieren braucht,
um sie dann den Menschen pausenlos zu schicken. Homeoffice hat den Vorteil, 

dass man alle angrenzenden Nachbarn gleich mit Schaden zufügt. Also das Pfizer Zeug

ist nur ein Wirkbeschleuniger, der verheerenden Schiffradar-Mikrowellen.
Das ist schwerste Körperverletzung bis zum Todschlag und Beugung des Artikel 1,

des GG, dass die Würde eines Menschen unantastbar ist.
Überlegt einmal die bauen einem in die Wohnung über Rauchmelder und Smartmeter, 

Schiffsradar in die Wohnung, oder Auto, oder Straßen, Plätzen Einkaufszenten, S-Bahn, U-Bahn; 

Bahnhöfe Gaststätten, Ferienanlagen, an Badeseen, im Wald u.s.w.. Plus 10.000 sende Satelliten. 

Fast nirgends hat man mehr die Lebensfrequenz 7,83 Hertz. Der Wald stirbt, die Tiere werden 

krank der Ackerboden stirbt, die Insekten sterben, wir werden krank und bezahlen deren 

Wahnsinn mit der Co2 Steuer, obwohl das Gas natürlich entsteht und gebraucht wird,

weil man hat 2 Sauerstoffatome gebunden, die man wieder freisetzen kann, als Atemluft. 

Wir blöd sind wir geworden!
KRISENFREI.COM
Ungeschwärzter Vertrag EU-Pfizer: Wirksamkeit, Nebenwirkung und Langzeitfolgen unbekannt – Krisenfrei
























14. Beitrag  Digitalisierung führt zu Stress 4.0 – Krisenfrei


Diese Belastung kommt mit der Digitalisierung einher und saugt zusätzlich Lebensenergie.

 Sitzt man in einem WLAN Raum, oder zusätzlich wabert eine Wärmepumpe, plus 

Solarstromumwandler ist man schon vom Nichtstun am Abend erledigt, völlig kaputt. 

Ebenso in S-Bahn, U-Bahn, Bus Zug und E-Auto! 16 Hertz Infraschall, da findet weder

 Mensch noch Tier Schlaf. Bei 16 Hertz ist unser Gehirn überlastet es bilden sich Tumore. 

Normal hat man Alpha Wellen 7,83 Hertz, bei Stress werden es mehr, jedoch des Nachts 

regelt das Gehirn die Frequenz auf erst 6-3 Hertz =Traumschlaf und dann 3-1 Hertz Tiefschlaf 

herunter, so bildet die Zirbeldrüse das Schlafhormon Malatonin. Wärmepumpen und Windräder, 

sowie fast alle Lüftermotoren, auch im Kühlschrank arbeiten nun gegen das Gehirn und es 

unmöglich Schlaf zu finden, weil dieser Schall über Haare, Haut und Knochen ungebremst 

aufgenommen wird. Man wird völlig verrückt und kann nur mit Tavor schlafen. 

Jeglichen Tieren über und unter der Erde, wie notwendige Insekten, Würmer, Bienen, u.s.w.,

 geht es ebenso. So stirbt die Natur und das Ackerland! Die Norweger haben das schon 

gemerkt bei ihnen stirbt der Wald und die bauen die Windräder wieder ab. 

Mit 5G ist das ähnlich, weil die auf die Wahnsinnige Frequenz auch 10 , oder mehr Hertz 

aufmodulieren, um uns krank zu machen. Da steckt System dahinter ebenso mit der Solarenergie,

 da treten bei der Umwandlung NF Felder auf und Spannungen von > 800 V/m, wo 0 Volt/m sein

 sollten und sich ab 30 V/m Tumore bilden können. Meine Computermaus hat 30-50 V/m und 

ich muss die versuchen nicht so oft zu berühren, weil ich an meiner Daumensehne schon ein 

Verdickung habe die zwar gutartig ist, aber stört! 

Für all dies gibt es Baubiologische Richtlinien, die die Billiardenfach überschritten werden.
KRISENFREI.COM
Digitalisierung führt zu Stress 4.0 – Krisenfrei


15. Beitrag,  Zerstörung des Gen-Codes der Lebensmittel


 

https://www.facebook.com/61553661091172/videos/749731523814146/



Mit den Jahrtausende alten Heilpflanzen hat man angefangen, die nicht als erforscht zu erklären

und >15.000 anorganische Tabletten entwickelt die fast 30.000 Krankheitssymptome erzeugen. 

So kommtes jetzt mit der Nahrung die keinen genetischen Code mehr hat und damit 

fehlverstoffwechselt wird und uns dahin siechen lässt! 

Ich habe aus Versehen Spelzenfrei  gezüchteten Hafer gekauft der schmeckt sauer wie Essig. 

Dann habe ich den gemahlen und meinem Sauerteig beigemengt und das Brot kommt nicht

mehr hoch in der Gährstufe. 

Wenn ich es dann backe platzt es auf wie eine Wurst!

Mit den 500 nicht notwendigen Zusatzstoffen, die von den Japanern an 

Häftlingen in der mandschurei bis zur Tumorbildung erprobt wurden fing es an,

die Nazis machten das auch,  die Schweizer, die Briten, die USA und Franzosen ebenso,

bis heute.

Nun bauen die mit Insekten Null Carb Lebensmittel, b.z.w. zerstören den 

genetischen Code, das ist Pervers³!


16. Beitrag, Vernichtung aller Völker


Ab 1989 wurde der Morgenthau-Plan in Angriff genommen, zuerst die DDR!
"Stalin ("Die Hitler kommen und vergehen, das deutsche Volk bleibt bestehen")

 verhinderte, dass die Briten und US-Amerikaner ihren Morgenthau-Plan der völligen

 Zerstörung Deutschlands verwirklichen konnten- die Angelsachsen wollten das Land

 in mehrere kleine deindustrialisierte Stücke aufteilen und
die Deutschen zum Aussterben verurteilen!"
So wurde die DDR deindustrialisiert und es geht weiter mit der gesamten BRD. 

Die Ukraine wird vom MI6 gelenkt und die sitzen auch hier. Der Deutsche, 

das habe ich nach der Wende gemerkt, wird nach dem Kriege über Nahrung, Wasser, Luft,

 Medizin und 5G-Schiffsradar, ganz sanft homöopathisch hingerichtet,
wie die Wehrmacht nach 1945 auf den Rheinwiesen.
Die Reste der 6. Armee hat man einfach aufgegeben, die waren
dem berechtigten  Zorn Russlands ausgesetzt und der Katholik Adenauer

hat schon in den USA das Heute vorbereitet.
Nun opfert man die nächste Armee, die Ukrainer!
Jedoch den Einigungsvertrag zu brechen, das wird unserer Regierung das Genick

brechen und ich kann nur hoffen, das diesmal nicht wieder das blöde Volk büßen muss, 

sondern die Verursacher.
"Deutschland ist das Land, das seine heutige Existenz Russland zu verdanken hat. 

Daran sollten deutsche Politiker denken. Jeder Expansionsversuch in die Ukraine endet

 für Deutschland mit einer schmählichen Niederlage, dem Ruin und einer Demütigung.

" Hat unsere Regierung ein Gewissen???
Wir haben in Königs Wusterhausen keine entscheidende Industrie mehr, 

aber in allen Straßen überall 4-5 G Schiffsradar!!! Wozu wohl???
Im Spreewald waren die Menschen, vor 1989, kerngesund, der einzige Arzt betrieb nebenbei

einen Fotoladen. Heute Asklepios Kliniken, Vincera Kliniken, MEDICLIN Reha-Zentrum Spreewald,

Spreewaldklinik Lübben, Evangelisches Krankenhaus Luckau und zig Kliniken noch im Umkreis.

Vor 1989 haben die Gurken produziert, heute werden dort Krankheiten angebaut! 

Die Sterberate der DDR Bürger wurde von 7/1000 auf Bundesdeutsches Niveau, 

12/1000 angehoben und so kommen 70.000 Tote DDR Bürger pro Jahr hinzu. 

Morgenthau-Plan, den Russland 45 Jahre verhindert hat, zumindest im Osten! 

Danke Josef Stalin!!!
KRISENFREI.COM
Wer steuert Deutschlands Wirtschaft? – Krisenfrei



17. Beitrag  Nochmaliger vergleich der lebendigen Erde mit dem menschlichen Körper



Man muss sich das bildlich vorstellen, die Atmosphäre und Ionosphäre, wandeln die gewaltige

 Magnetfeldstrahlung der Sonne, in eine erst Lebensfrequenz, sprich Schumannfrequenz von 

7,83 Hertz um, die eine Leistungsflussdichte von etwa 0.0000001 µW/m² hat. Die Gehirnströme

 liegen im Piko Volt Bereich. Und nun wandeln die, die Lebensenergie wieder in lebensfeindliche

 Kosmische Strahlung und Energie unterhalb der Ionosphäre dem Gehirn der Erde um. 

Wie soll sie nun Lebensvorgänge steuern. Beim Menschen und den Tieren ist der Dünndarm 

das Gehirn Nr.1, der mit dem Gehirn und allen Drüsen und Organen kommuniziert und er steuert

 die Energieversorgung aller Organe. Der Erddarm ist das Ackerland, also der Dünndarm, der uns

die anorganischen Mineralien über die Planzen in organische umwandelt und die versorgen uns mit

 allem was wir brauchen. Im Fracking gestein welches dem Dickdarm mit den Ballaststoffen 

entsprich t sammeln sich alle Schadstoffe um nicht das Grundwasser zu verseuchen. Bricht man 

das auf zur  Furzgasgewinnung, verseucht man jetzt den Dünndarm das Ackerland komplett mit 

all dem was da  gebunden ist, Quecksilber, Cadmium, man setzt Radongas frei, u.s.w..! All das wird

jetzt völlig zerstört,  wie eben das 4-5G bei uns und allen Lebewesen bis hin zu Bäumen und Pflanzen,

 

die Blut/Hirnschranke zerstört die Nerven trocken legt, oder die Milliarden Darmbakterien, die den

 

 Magensäure-Nahrungsbrei neutralisieren zerstören und so der Darm verätzt. 

Auf das WLAN moduliert man 10-16 Hertz Beta-Wellen auf, die wie die Wärmepumpen 

und Windräder mit ihren ebenfalls 16 Hertz, mechanischen Schwingungen eine völlige 

Überlastung bis zur Zerstörung des Gehirns bewirken. Beim Menschen und allen Lebewesen, 

bis zu den Bakterien. Nun die Niederfrequenten Magnetspannungen der Solarzellen bei der 

 

Umwandlung in Wechselstrom
bis 800 V/m, das hält kein Bodenlebewesen, Mensch oder Tier lange aus!
Selbst die Wüste lebt und wenn man sie bewässert, dann wird sie fruchtbar.
Wenn jetzt die Saudis solche Solarparks, Windräder, oder Wärmepumpen bauen, 

 

 

dann ist die Wüste ebenso bald tot!

Googe Übersetzung:Windkraftanlagen, die majestätisch den Wind wirbeln – was für ein Wunder menschlicher Ingenieurskunst! Unter einem zu stehen ist atemberaubend. In der Nähe von jemandem zu leben, kann die Hölle auf Erden sein. Das haben mir unzählige Menschen erzählt, die plötzlich schwer erkrankt sind, verursacht durch den subtilen, aber verheerenden Infraschall-Presslufthammer, der von diesen „sauberen, grünen, erneuerbaren Energieriesen“ erzeugt wird.
Die Erklärung könnte im Innenohr in einer Ansammlung winziger, miteinander verbundener Organe mit einem bemerkenswerten evolutionären Stammbaum versteckt sein. Die Vestibularorgane – die Bogengänge, der Sacculus und der Utriculus – fungieren als Gyroskop von Mutter Natur und steuern unseren Bewegungs-, Positions- und Gleichgewichtssinn, einschließlich unseres räumlichen Denkens. (Erinnern Sie sich daran, als Sie als Kind Autokrankheit bekamen? Oder Seekrankheit?)
Der Mensch teilt diese rätselhaften Organe mit einer Vielzahl anderer Arten mit Rückgrat, darunter Fischen und Amphibien. Einige Wissenschaftler betrachten sie tatsächlich als eine Art artenübergreifenden Hauptschlüssel für ein außerordentlich breites Spektrum an Gehirnfunktionen – was einem sechsten Sinn gleichkommt.
Eine dieser Funktionen besteht, so scheint es nun, darin, die Geräusche und Vibrationen (Infraschall) zu registrieren und darauf zu reagieren, die wir nicht bewusst hören, sondern spüren – wie von Windkraftanlagen. Für viele Menschen ist die Reaktion schnell und katastrophal.
Manchmal ist es von Vorteil, Landarzt zu sein. Vor sechs Jahren hörte ich erstmals gesundheitliche Beschwerden von Menschen, die im Schatten dieser gigantischen Turbinen lebten. Zuerst war es nur lokal und regional, dann global. Bezeichnenderweise beschrieb praktisch jeder die gleiche Symptomkonstellation. Symptome, die, so begann ich zu vermuten, durch eine vestibuläre Dysregulation ausgelöst wurden. (1) Schlafstörung. Nicht einfach aufgewacht, sondern in Panik erwachen („Flucht-oder-Kampf“-Reaktion). (2) Kopfschmerzen. (3) Tinnitus. (4) Ohrendruck. (5) Schwindel. (6) Schwindel. (7) Übelkeit. (😎 Visuelle Unschärfe. (9) Tachykardie. (10) Reizbarkeit. (11) Konzentrations- und Gedächtnisprobleme. (12) Panikepisoden verbunden mit Gefühlen von innerem Pulsieren oder Zittern, die im Wach- oder Schlafzustand auftreten. (Letzteres betrifft andere , nichtvestibuläre Organe des Gleichgewichts, der Bewegung und des Positionssinns.)
Bei keinem dieser Menschen waren diese Symptome in nennenswertem Ausmaß aufgetreten, bevor die Turbinen in Betrieb gingen. Alle sagten, dass ihre Symptome schnell verschwanden, wenn sie mehrere Tage nicht zu Hause waren. Alle sagten, dass die Symptome wieder auftraten, als sie nach Hause zurückkehrten.
Viele hatten das Windparkprojekt schon vor all dem unterstützt. Nun wurden einige so krank, dass sie buchstäblich ihre Häuser verließen – die Tür abschlossen und gingen.
Ich ließ mich von einer britischen Landärztin inspirieren, die bei ihren Patienten über identische „Windturbinen“-Symptome berichtete, und führte eine Fallserie durch, die Kliniker nennen. Ich habe 10 Familien (38 Personen) im In- und Ausland interviewt, die entweder ihr Zuhause verlassen hatten oder im Begriff waren, zu gehen. Ich fand einen statistisch signifikanten Zusammenhang zwischen den verräterischen Symptomen und bereits bestehender Bewegungsempfindlichkeit, Innenohrschäden und Migränestörung. Jeder davon ist ein Risikofaktor für das, was ich jetzt Windturbinen-Syndrom getauft habe. Meine Daten deuten darüber hinaus darauf hin, dass auch Kleinkinder und Erwachsene über 50 Jahren einem erheblichen Risiko ausgesetzt sind.
Die Reaktion der Hals-Nasen-Ohren-Ärzte (HNO-Ärzte und Neuro-Otologen) war unmittelbar und ermutigend. Einer davon war Dr. F. Owen Black, ein hoch angesehener Neuro-Otologe, der die US-Marine und die NASA zu vestibulären Dysregulationen berät.
Ein anderer war Dr. Alec Salt von der Washington University School of Medicine, der kürzlich eine vom NIH finanzierte, von Experten begutachtete Studie veröffentlichte, die zeigt, dass die Cochlea (die mit den Vestibularorganen verbunden ist) auf Infraschall reagiert, ohne ihn als Schall zu registrieren. Tatsächlich erhöht Infraschall den Druck in der Cochlea und den Vestibularorganen, wodurch sowohl das Gleichgewicht als auch das Gehör gestört werden.
Damit zerbricht Salz wirkungsvoll mit dem Dogma „Was man nicht hören kann, kann einem auch nicht schaden.“ Es kann dir tatsächlich wehtun. Der wachsende Aufruhr unter den Nachbarn von Windkraftanlagen zeugt von dieser unbequemen Wahrheit.
Meine Rolle ist vorbei. Mein Wartezimmer ist voll. Es ist an der Zeit, dass Regierungen sich mit dieser vom Wind verursachten Geißel befassen, deren Heilung einfach ist. Ein Rückschlag von 2 km (größer in hügeligem oder bergigem Gelände) behebt das Problem. Windenergieentwickler weigern sich, das Problem nicht unerwartet anzuerkennen. Sie verspotten es als Hysterie und NIMBYismus („Not In My Back Yard!“) – und weigern sich, ihre Maschinen 2 km (1,24 Meilen) von ihren Häusern entfernt zu bauen.
„Es ist schwierig, einen Mann dazu zu bringen, etwas zu verstehen, wenn sein Gehalt davon abhängt, dass er es nicht versteht“, schlug Upton Sinclair vor. Vielleicht. In diesem Fall ist mit mehr leeren Häusern und (leicht vermeidbarem) Leid zu rechnen.
·
Nina Pierpont, MD, PhD, ist Kinderärztin und Autorin von „Wind Turbine Syndrome: A Report on a Natural Experiment“ (2009). Sie ist die Hauptrednerin beim internationalen Symposium an diesem Wochenende in Picton, Ontario, mit dem Titel „The Global Wind Industry and Adverse Health Effects: Loss of Social Justice?“



Windräder und Wärmepumpen erzeugen Infraschall um 16 Hertz=
Beta-Wellen die alle Krankheiten beinhalten!

 
































NF-Magnetfeldspannung sollte 0 V/m sein, ab 30 V/m können sich Tumore bilden!

Unter Solardächern habe ich bisher bis 800  V/m gemessen!

Die Natur hat 0,0002 V/m
























5G, derzeit  3.500.000  Hertz mit maximaler Flussdichte von 9.400.000 µW/m²

10-16 Hertz  bis 30 Hertz, Beta Frequenzen, werden aufmoduliert!

In der Wohnung durch Rauchmelder, b.z.w. Smartmeter verstärkt habe ich

beim telefonieren mit dem Smartphone bisher  800.000 µW/m²,

maximal gemessen. Siehe dazu Lebensfrequenz und Flussdichte unserer

Ionosphäre, die erst das Leben ermöglicht!

Die natur hat 7,83 Hertz mit einer Flussdichte von 0,000001 µW/m²















Ionosphäre:

Lebensfrequenz 7,83 Hertz mit der sanften Flussdichte von 0,000001µW/m²

























Auf dem Mars könnte mal Leben gewesen sein, bevor Mensch 

ähnliche Kreaturen,  die Atmosphäre und Ionosphäre mit, wie heute

5G-300G, also fast kosmischer Strahlung, verdampft haben!




















18.Beitrag:  

Bewusste Zerstörung der Natur damit 5G-, Smartmeter-, Rauchmelder-, Smartphone-

Signale überall durch kommen, die Wohnungen werden zu Mikrowellen


















































































































































5-10G Schiffsradar
























































In Königs Wusterhasen hat man seit 2019 auf schändlichste Weise zig Bäume gefällt, oder völlig verstümmelt!
Der Grund ist, dass 5G Schiffradar auf dem Meer, wo keine Bäume sind funktioniert aber nicht in der Natur. Die Firma Brunata Metrona aus München hat seit 2019 hier fast alle Wohnblöcke
(über 200 Stück/Wohnblock) mit 5-10 G Radarrauchmelder ausgestattet, die ferngesteuert werden können und auch als Repeater für Smartpones funktionieren. Das ist ein mörderischer Angriff auf unsere Gesundheit Ich habe hier in 3 Jahren 400 Messprotokolle mit Flussdichten die über dem Billionenfachen unserer natürlichen Lebensfrequenz von 7,83 Hertz
mit der Flussdichte von 0,000001µW/m² liegen aufgezeichnet.
Das ist ein Beisspiel aus dem Schenkendorfer Flur vor einer Wohnungstür. Das ist hochgradig Krebs und Demenz erzeugend !
Datum Time mG V/m µW/m²
2024/03/13 09:27:08 0.5 1.0 46301 WiFi/Phone
2024/03/13 09:27:09 0.4 0.6 28282 WiFi/Phone
2024/03/13 09:27:10 0.4 1.2 39387 WiFi/Phone
2024/03/13 09:27:11 0.5 1.0 37608 WiFi/Phone
2024/03/13 09:28:41 2.2 1.2 43534 WiFi/Phone
2024/03/13 09:28:42 2.2 1.6 124083 WiFi/Phone
2024/03/13 09:28:43 3.5 1.0 37608 WiFi/Phone
2024/03/13 09:28:44 3.8 1.2 4732 WiFi/Phone
2024/03/13 09:28:45 2.1 2.6 1 WiFi/Phone
Summe 1003198 µW/m²
6871,2191780822 µW/m²/Sekunde
Die eingebauten Smartmeter an Heizungen, oder Smartzählerwasseruhren, oder Smartzähler Strommmessgeräte, 

wurden von Brunata Metrona von außen mit einem sogenannten Einmessgerät, beispielsweise EQ3-RFA ausgemessen

 und jeder Baum der da im Wege stand wurde gnadenlos gefällt. Diese fernsteuerbar und manipulierbaren 

Fernablesapparaturen haben zu manipulierten Nachzahlungen der Bürgern geführt die bei vielen in die tausende

 Euro gehen, obwohl sie Jahrzehnte fast einen konstanten Verbrauch hatten. Zusätzlich verstrahlen sie alles mit

 Schiffradar. Das ist hochgradig kriminell weil die laut Gesetz nur wenige Sekunden/ Stunde senden dürften habe

 ich Aufzeichnungen von bis zu 4 Stunden mit Flussdichten um die 80.000 µW/m². Es gibt bei EMV+ silberdurchwirkte

 Schutzkleidung für Piloten die in 10.000 m Höhe solchen Bedingungen ausgesetzt sind. Es gibt für 1000 sende Euros

 Bettbaldachine, Gardinen, Schutzanstriche, u.s.w.. Jedoch wie gesagt die Flussdichten sind so hoch die durchdringen

 selbst dies. Messgerätehersteller haben fast alle HF/NF-Analyser manipuliert, daß dies keiner merkt.
Die Sache auch mit der Solarenergie ist hochkrimminell, die Natur hat 0,0002 V/m und unter dem Solardach

 von Kaufland habe ich stellenweise 800 V/m gemessen, da verbrennen die Bodenorganismis auf den

 Wiesen und Feldern gnadenlos der Boden wird Marsboden. Bei Mensch und Tier beginnt bei 30V/m
die Tumorbildung im Körper. Der Wald hinter dem Heizhaus in
KWh Königs Wusterhausen und dem Spielplatz , Erich Weinert Straße und weiter hinter der Schule ist 

völlig ruiniert durch die Mobilfunkmaste auf dem Parkhaus des Fontanecenter und den Hochhäusern 

im Fontanepark. Die Belastungen für die Schüler, das betreute Wohnen, der Altentreff und der Bewohner

 sind ungeheuerlich, das ist für mich elektronischer Totschlag, langfristig gesehen. Powerline um die 

/m² bis 20.000 µW/m², habe ich da gemessen. Ich bin der Meinung der NABU ist getäuscht worden. 

Auch die fast 3 jahre täglichen "Umweltpfleger" mit ihren Gebläsen die einem Kleinflugzeug beim Start

 entsprechen, die gerade auch genau in der Mittagszeit gewirkt habe, erbarmungslos, dienen wahrscheinlich 

dazu ältere Mieter aus den Wohnungen zu treiben! In den Wohnhäusern sind Wärmepumpen verbaut die Tag

 und Nacht unsäglichen Infraschall 16 Hertz verbreiten, man hat auch extra die Rohre die frei schwingend

 aufgehängt waren mit dem Mauerwerk verbunden und Fluchtwege zu den einzelnen Aufgängen zugemauert.

 Das raubt nicht nur den Menschen den Schlaf sondern auch der gesamten Natur.
Klagen kann man erst ab 30 Hertz direkt hörbaren Schall, die haben sich auch perfide Juristisch abgesichert. 

 e-mail von mir an alle Behörden, Parteien, Messmittelhersteller, Brunata Metrona, Vermieter, Parteien, 

Bürgermeister, u.s.w., von 2015 an, haben die mir am 15.09.23 komplett gelöscht. Die Telekom hat 

das jetzt geändert man kann Mails nicht mehr ewig aufheben die werden jetzt automatisch gelöscht!
Die Pappeln haben die Wohnblöcke wunderbar vor den Kosmischen Strahlen des Mobilfunkes geschützt.
Überlegt einmal die Heizkosten kann man auf dem Bierdeckel mit dem Dreisatz/m² berechnen und dann, 

wie in der DDR, mit den Quadratmetern der jeweiligen Wohnung multiplizieren.
Dafür ein Milliardenaufwand um uns zu betrügen und schwerst zu schädigen. Das ist einfach IRRE!


19. Beitrag Der Beweis, das Corona mit 5G  und aufgesetzten Beta-Wellen erzeugt wurde!


























Tja das ist das Geheimnis von 5G Corona im Massentest: Öffnen der Blut/Hirnschranke und erzeugen 

eines löchrigen Darm und fluten des Gehirns und die Organe mit allem was schadet unterstützt mit 

aufmodulierten krank machenden Beta-Wellen, die man nun mit Windrädern und Wärmepumpen 

Infraschallmäßig auch mechanisch erzeugt und Kosmischen Spannungen und Magnetfelder durch 

Solarenergie, also das unterhalb der Ionosphäre an Kosmischen Bedingungen erzeugen, 

was die für uns als Lebensenergie erzeugt







Frohe Weihnachten!!!










































https://homepagedesigner.telekom.de/.cm4all/uproc.php/0/.147516278_887682075317640_4882004561038324399_n.jpg/picture-400?_=18c10d76b95












































<iframe src="https://www.facebook.com/plugins/post.php?href=https%3A%2F%2Fwww.facebook.com%2Fpermalink.php%3Fstory_fbid%3Dpfbid02PKrYycAH7SztPEg37iqGt8WqVD6SrWsFRZLR52LUhRU3JaYyxyAbgXNCUd1zy5jbl%26id%3D100090158017070&show_text=true&width=500" width="500" height="253" style="border:none;overflow:hidden" scrolling="no" frameborder="0" allowfullscreen="true" allow="autoplay; clipboard-write; encrypted-media; picture-in-picture; web-share"></iframe>











Wie melke und zerstöre ich ein Volk!

Für jeden, der die Frechheit besitzt, mir zu sagen, dass wir für Wasser bezahlen müssen, lese ich das hier. Zuerst dachte ich, das sei lustig....

Dann habe ich die schreckliche Wahrheit erkannt. Unbedingt bis zum Ende lesen! Ich denke, die Müllgebühren müssen auch mit einbezogen werden.
Besteuert sein Land,
sein Bett besteuern,
besteuere den Tisch
an dem er gespeist wird.
Besteuert seine Arbeit,
Besteuert seinen Lohn,
Er arbeitet für Peanuts
Wie auch immer!
Besteuert seine Kuh,
besteuert seine Ziege,
besteuere seine Hose,
besteuert seinen Mantel.
Besteuert seinen Tabak,
besteuere sein Getränk,
besteuere ihn, wenn er
Versucht zu denken.
Besteuert sein Auto,
Besteuert sein Benzin,
Finde andere Wege
Um seinen Arsch zu besteuern.
Besteuert alles, was er hat
Dann lass ihn wissen
Dass du noch nicht fertig bist
Bis er kein Geld mehr hat.
Wenn er schreit und brüllt;
Dann besteuere ihn noch mehr,
Steuer ihn, bis
Er gut und wund ist.
Dann besteuere seinen Sarg,
besteuere sein Grab,
besteuere den Rasen
in das er gelegt wurde.
Wenn er von uns gegangen ist,
entspannt euch nicht,
Es ist Zeit, die
Die Erbschaftssteuer.
Die Debitorensteuer
Airline-Zuschlagssteuer
Airline Fuel Tax
Steuer auf die Instandhaltung von Flughäfen
Baugenehmigungssteuer
Zigarettensteuer
Kochkunst-Steuer
Einkommensteuer für Unternehmen
Waren- und Dienstleistungssteuer (GST)
Todesfall-Steuer
Führerscheinsteuer
Umweltsteuer (Gebühr)
Verbrauchssteuern
Einkommensteuer
Fischereilizenz-Steuer
Lebensmittellizenz-Steuer
Mineralölsteuer (zu viel pro Liter)
Bruttoeinkommenssteuer
Gesundheitssteuer
Heizungssteuer
Erbschaftssteuer
Zinssteuer
Beleuchtungssteuer
Branntweinsteuer
Luxussteuern
Heiratslizenz-Steuer
Medicare-Steuer
Hypothekensteuer
Rentensteuer
Persönliche Einkommensteuer
Vermögenssteuer
Armutssteuer
Steuer auf verschreibungspflichtige Medikamente
Grundbesitzsteuer
Steuer auf Freizeitfahrzeuge
Einzelhandelsumsatzsteuer
Steuer auf Dienstleistungsgebühren
Schulsteuer
Telefonsteuer
Wertschöpfungssteuer
Kfz-Zulassungssteuer
Kfz-Verkaufssteuer
Wassersteuer
Steuer auf Arbeitnehmerentschädigung
Steuer (Mehrwertsteuer) auf Steuern.
Und jetzt wollen sie eine verdammte Kohlenstoffsteuer!
FINDEN SIE DAS IMMER NOCH LUSTIG?
Vor 100 Jahren gab es keine einzige dieser Steuern, und unser Land war eines der wohlhabendsten der Welt... Wir hatten absolut keine Staatsverschuldung, hatten eine große Mittelschicht, eine riesige Produktionsbasis, und Mütter blieben zu Hause, um die Kinder zu erziehen.
Was zum Teufel ist passiert? Könnte es an den verlogenen, parasitären Politikern liegen, die unser Geld verschwenden?
Oh, und vergessen Sie nicht die relativ neuen Bankgebühren....
Und wir alle wissen, was wir von Bankern halten.
Ich hoffe, das geht mindestens 100.000.000.000.000.000 Mal um die Welt!!!
DU kannst dazu beitragen, dass es so weit kommt!


Geplanter Untergang der Welt!

https://homepagedesigner.telekom.de/.cm4all/uproc.php/0/.351884412_214937641405711_2685495682133838810_n.jpg/picture-400?_=18c2abc2d43



















Es ist der Infraschall 13-16 Hertz, nur über die Knochen, Haare, Haut, unabschirmbar, hörbar, welche das Gehirn überlasten und zum Tumor führen kann. Ebenso wie bei Wärmepumpen, Windräder, Lüfter Motoren, Kühlschrank Motoren erzeugt dieser Infraschall etwa
> 100 Krankheiten, wie Nierenschädigungen, Herzattacken, Lungenprobleme u.s.w.. Alles was den Menschen schädigt schädigt auch die Natur, denn alles Leben auf und in der Erde, wird aus dem Gehirn der Erde der Ionosphäre mit Alphawellen 7,83 Hertz, auch Schumannfrequenz genannt mit einer sanften Flussdichte von 0,0000000001 Mikrowatt/m² gesteuert. Wirklich alles was der Mensch nach der Glühbirne gebaut hat, schädigt ihn.
Der derzeitige Wahnsinn mit Wärmepumpen, Windrädern, Solarzellen, Schiffsradar Mobilfunkantennen, bis 10G Rauchmelder, Smartmeter, Repeater, Router, Handys, Smartphones fast überall überdecken diese Lebensfrequenz Billiarden fach, mit den gezeigten verheerenden Folgen für Wälder, Felder und vor allem die Bodenbakterien und Würmer die den Ackerboden erst Fruchtbar machen, wie unserer Dünndarm, der  dabei zerstört wird und damit auch die komplette Nährstoffversorgung des Körpers und vor allem dem Gehirn! Entweder ist das bewusst gemacht, oder unsere Macher sind einfach zu dumm das zu verstehen. Aber die wissen was sie tun, denn dasInnenohr schützt das Gehirn mit einem Phasenversetzten Gegenschall, der einen dann ruhig schlafen lässt.
Plötzlich flattern monatlich sehr aufwendige Briefe, in den Postkasten:"Kostenloser Hörtest," damit wird diese Schutzfunktion zerstört. Danke"Vater Staat!"
KRISENFREI.COM
Wie die Windkraft Klimawandel verursacht (+ Video) – Krisenfrei

Der unsichtbare Feind

Nicht nur Soldaten der Bundeswehr haben durch Radarstrahlen schwerste gesundheitliche Schäden erlitten. Auch für viele Angehörige der Nationalen Volksarmee war der Dienst an Radaranlagen mit einem hohen Risiko für Leib und Leben verbunden. Einer der schwer Erkrankten ist Hartmut Hädicke. In der Hoffnung, damit anderen betroffenen Kameraden eine Hilfestellung zu geben, erzählt er seine Geschichte.
Gut zwei Jahrzehnte hat Hartmut Hädicke bei den Luftstreitkräften/Luftverteidigung der Nationalen Volksarmee (NVA) verbracht, zuletzt als Oberstleutnant. Und nahezu die gesamte Zeit war er als Ingenieur für elektronische Anlagen der Fla-Raketentruppen einer unsichtbaren Gefahr ausgesetzt. Im Rückblick unterscheidet er nur noch zwischen intensiv und extrem.
Extrem, so erzählt er im Gespräch mit unserer Redaktion, sei es bei der jährlichen Ausbildung im Feldlager in Lieberose bei Cottbus gewesen. Für jeweils 14 Tage seien dort 50 Prozent der Fla-Raketenabteilungen und funktechnischen Truppen der NVA zusammengezogen worden. In der Regel diente das zur Vorbereitung des alle zwei Jahre stattfindenden Gefechtsschießens in der Sowjetunion. Wenn sich auf einer Fläche von drei, vier Quadratkilometern die halbe Luftverteidigung eines Landes inklusive der Funkmesssicherstellung versammelte, hatte das für die Soldaten deutlich sichtbare Auswirkungen. „Digitaluhren haben wir in Alu-Folie eingewickelt, die Energie der Antennen hat sie sonst alle auf Null gestellt“, erinnert sich Hädicke. „Und wenn die Antennen in Richtung der Zelte gerichtet waren, dann gingen in ihnen die Neon-Röhren an. So stark war die Strahlung.“
Hartmut Hädicke wurde in der NVA bis zum Oberstleutnant befördert. Foto: privat
Hartmut Hädicke wurde in der NVA bis zum Oberstleutnant befördert. Foto: privat
Doch auch im normalen Dienstbetrieb war die Technik zur Funkmess-Aufklärung gefährlich, und da vor allem das Radargerät P-15 zur Rundumaufklärung gegen tieffliegende Ziele „Das war eigentlich die heikelste Technik, weil sie auch schon älter war und oft Fehler gesucht werden mussten“, sagt Hartmut Hädicke. Die Senderöhren hinter Plexiglasscheiben hätten eine so hohe ionisierende Strahlung abgegeben, „die sah man richtig hell leuchten, wenn man in der Kabine saß und Fehler gesucht hat.“
Intensiv der Funkmessstrahlung ausgesetzt waren er und seine Kameraden, aber auch ihre Familien allerdings so gut wie immer. „Der Abstand des Komplexes zum Dienstzimmer betrug maximal 200 Meter Luftlinie“, blickt Hädicke auf seine NVA-Zeit zurück, die er fast vollständig in Bastorf, einer kleinen Gemeinde zwischen Kühlungsborn und Rerik an der Ostsee verbracht hat. Zum Wohnblock habe die Entfernung maximal 300 Meter Luftlinie betragen „Jahrein, jahraus waren wir 24 Stunden am Tag der Technik ausgesetzt.“
Die Strahlungsbelastung hat neben veralteter Technik noch einen weiteren Grund gehabt. Die Fla-Raketenstellungen der NVA sind ins Diensthabende System des Warschauer Vertrags eingebunden gewesen. Das bedeutete beispielsweise in der immer zehn Tage währenden Bereitschaftsstufe 2 nicht nur, dass die Gefechtsbesatzung rund um die Uhr immer an der Technik war: Die Zeitvorgabe zum möglichen Start einer Rakete betrug lediglich dreieinhalb Minuten. Es bedeutete auch, dass bei einer Störung der anfälligen Röhrentechnik rund um die Uhr gearbeitet wurde, um sie wieder einsatzbereit zu bekommen.
Mit der deutschen Wiedervereinigung ging für Hartmut Hädicke, der in diesem Monat 70 Jahre alt wird, der Militärdienst zu Ende. Ende 1990 legte er als Major a.D. der Bundeswehr die Uniform ab. Nach einer Umschulung zum „Datenverarbeitungsorganisator Wirtschaft“ an der Bundeswehrfachschule Gießen begann für ihn schließlich ein neuer beruflicher Weg im Krangeschäft.
Ein Radargerät des Typs P-15. Besonders diese Geräte sendeten eine starke ionisierende Strahlung aus und waren eine Gefahr für die Bediener.
Ein Radargerät des Typs P-15. Besonders diese Geräte sendeten eine starke ionisierende Strahlung aus und waren eine Gefahr für die Bediener. Foto: Wikipedia/Averse 09:18, Eigenes Werk, CC BY-SA 3.0
Schwerwiegende Diagnose
Seine Gesundheit war jedoch angeschlagen. Bereits Ende der 90er Jahre wurde bei ihm ein bösartiger Hautkrebs unter anderem am Rücken diagnostiziert. „Da kam man schon ins Grübeln.“ Und Ende 2002, Anfang 2003 wurde ein Tumor im Dickdarm bei ihm entdeckt. Wegen dieser Erkrankung wurde er zu 80 Prozent als schwerbehindert eingestuft, doch die Gründe mussten für eine Anrechnung als Dienstbeschädigung nachgewiesen werden. Und das ist schwer, wie auch Hartmut Hädicke feststellen musste.
>> Falls Sie mehr über dieses Thema erfahren möchten: Hartmut Hädicke war auch in unserem Podcast zu Gast.
Unterstützung und Hilfe suchte er über das Internetforum „NVA-Radar“ ebenfalls betroffener ehemaliger Radarsoldaten. „Die wollten 2003 klagen, doch für mich habe ich gesagt: Das bringt nichts. Eine Klage gegen die Bundeswehr ist von vornherein zum Scheitern verurteilt“, erinnert sich Hädicke an seine damaligen Gedanken. Stattdessen habe er im März 2004 selbst den Antrag auf Anerkennung einer Dienstbeschädigung beim Wehrbereichskommando Ost gestellt. Im Mai 2005 kam dann der Bescheid: „Abgelehnt“. „Daraufhin habe ich wenig später Widerspruch eingelegt. Abgestimmt mit Thomas Viertel, dem Vorsitzenden unserer sKERH Chemnitz, habe ich ein Schreiben beigefügt, dass mich im Falle eines Rechtsstreits der Deutsche BundeswehrVerband vertritt und das Ganze wieder nach Strausberg geschickt“, sagt er. Trotz mehrfachen Nachfragens begann nun eine lange Zeit des Wartens: „Erst im Januar 2011 kam die Nachricht, dass der Bescheid von 2005 zurückgenommen wird und meine Erkrankung anerkannt wird. Da war ich erst einmal geplättet.“ Als Hauptgrund für die Anerkennung sei die extrem hohe Röntgenstrahlung am Radargerät P-15 genannt worden, an dem Hädicke gedient hatte. „Ich kenne mehrere Kameraden, die dadurch ebenfalls an Krebs erkrankt sind. Ein Großteil ist leider schon verstorben.“
Hartmut Hädicke als Major der Bundeswehr in seinem Dienstzimmer. Foto: privat
Hartmut Hädicke als Major der Bundeswehr in seinem Dienstzimmer. Foto: privat
Kameradschaft zählt bis heute
Doch verbittert wirkt Hartmut Hädicke nicht. Es sei eben eine andere Zeit gewesen. Für ihn und seine Kameraden sei es wichtig gewesen, die Technik trotz der teilweise bekannten Gefahren einsatzbereit zu halten. Dabei habe Kameradschaft immer eine wichtige Rolle gespielt – und das gilt immer noch. Heute engagiert sich der Major a.D. als stellvertretender Vorsitzender in der sKERH Chemnitz. „Wir sind ja fast alles Ehemalige, die in der NVA gedient haben. Da hat man viele Leute mit den gleichen Interessen, dem gleichen Schicksal. Das und die ähnlichen Vorstellungen vom Leben sorgen bei uns für einen guten Zusammenhalt.“
Zurück zur Liste der Beiträge
Mit Rat und Hilfe stets an Ihrer Seite!
Nehmen Sie Kontakt zu uns auf.
TEILEN:
FACEBOOK
X
E-MAIL
FOLGEN SIE UNS:
FACEBOOK
X
INSTAGRAM
YOUTUBE
FLICKR
WIKIPEDIA
RSS-FEED
Peter Gutschmidt
Und diese Bedingungen hat man nun mit 5G Schiffradar überall in Deutschland nach empfunden zum Wohle des Deutschen Volkes!


















Widerstand gegen die Pharmamamafia

Stand

18.11.2015, 12:54 Uhr
Sigrid Lauff, Frank Wittig
Die Pharmaindustrie ist reich und mächtig. Trotzdem gibt es Menschen, die sich nicht scheuen, Missstände im System zu benennen. odysso stellt zwei "Helden" vor, die sich Bad Pharma entgegenstellen.
Flughafen Dublin, ein Dienstag im Oktober. Ankunft des bekanntesten Pharmakritikers Europas. Peter Götzsche ist Professor für Klinische Studien an der Uniklinik Copenhagen, leitet ein unabhängiges Institut zur Bewertung von pharmazeutischen Studien. Er hat über 70 Veröffentlichungen in den fünf größten Fachmagazinen für Medizin. Seine Arbeiten wurden mehr als 15.000-mal zitiert. Und er ist ein echter Überzeugungstäter. Neben seiner wissenschaftlichen pharma-kritischen Arbeit ist er in der ganzen Welt unterwegs, um Aufklärungsarbeit zu betreiben. Auf die Frage, warum er sich so engagiert, liefert Peter Götzsche eine drastische Antwort: "Ich möchte die Leute darauf hinweisen, dass Medikamente die dritthäufigste Todesursache sind. Nach Herz-Kreislauf-Krankheiten und Krebs. Die Leute wissen nicht, wie gefährlich unsere Medikamente sind."
Dritthäufigste Todesursache
Letzte Woche sprach er in Mumbai auf dem Weltkongress für evidenzbasierte Medizin, hielt gestern in Krakau einen Vortrag über gefährliche Pharmazie. Heute folgt Peter Götzsche einer Einladung der Dubliner Universität. Seine Beispiele für Medikamente mit tödlichen Nebenwirkungen haben schwindelerregende Dimensionen. Wie etwa das vor fünf Jahren vom Markt genommene Rheumamittel Vioxx: "Ich habe berechnet, dass Vioxx 125.000 Leute umgebracht hat. Wir haben auch Psychopharmaka. Eins der populärsten ist Olanzapin (Zyprexa), das zum Beispiel bei Schizophrenie verschrieben wird. Nach meinen Schätzungen hat allein dieses Medikament 200.000 Leute umgebracht."
Peter Götzsche, der seine Karriere vor 40 Jahren als Außendienstmitarbeiter beim schwedischen Pharmaunternehmen Astra begann, sagt, dass die Pharmaindustrie die Öffentlichkeit mit falschen Informationen in die Irre führt. Pharmazeutische Studien, die nicht die gewünschten Ergebnisse erbringen, würden geheim gehalten oder manipuliert. Insidern sei das längst bekannt. Aber es müsse endlich ein Thema werden, das breit in der Öffentlichkeit diskutiert wird. "Ich wundere mich, dass das kein öffentliches Thema ist, wenn wir so viele Leute mit Arzneien umbringen. Wenn ein neues Virus nur einen Bruchteil dieser Leute umbringen würde, würden wir uns sehr anstrengen, um das Virus zu bekämpfen. Aber wenn es sich um Medikamente handelt, tun wir praktisch nichts. Der Grund dafür ist, dass die Pharmaindustrie unglaublich mächtig ist und reich und weite Bereiche unserer Gesellschaft korrumpiert hat."
Patientinnen sind gestorben
Gudrun Kemper aus Berlin stellt sich diese Frage ebenfalls. Sie hat sehr persönliche Erfahrungen mit der Pharmaindustrie gemacht. Als Patientin. Bei der Bibliothekarin aus Berlin wurde vor 14 Jahren Brustkrebs festgestellt. Heute engagiert sie sich gegen fragwürdige Methoden der Pharmaindustrie. In ihrer Todesangst zu Beginn der Krankheit fühlte sie sich der Medizin völlig ausgeliefert Trotzdem war sie schon damals skeptisch. Empfohlene Hormon-Präparate lehnte sie ab. "Die Daten haben dann später gezeigt, dass unter diesem Medikament doppelt so viele Patientinnen gestorben sind. Einige Frauen in meinem Umfeld haben sich solche Medikamente verordnen lassen. Zum Teil mit dramatischen Folgen."
Auch an medizinischen Studien sollte sie teilnehmen. Nachteile? Angeblich keine. Doch sie blieb kritisch und suchte eigenständig nach Informationen. Bis heute.
"Mein Vertrauen ist einfach erschüttert. Mir ist es wichtig, dass ich kritisch von Ärzten informiert werde. Dass Vor- und Nachteile in einer Relation stehen, die rational begründet ist."
Klare Regeln für die Zusammenarbeit
Ein Mann im Anzug sitzt in einem Raum mit vielen Büchern und gestikuliert mit seinen Händen. (Foto: SWR, SWR -)
Prof. Klaus Lieb: Als Mediziner ist die Unabhängigkeit am wichtigsten
Dass seine Patienten ihm nicht mehr vertrauen könnten, hat er zu Beginn seiner Karriere nicht für möglich gehalten. Schon im Medizin-Studium bekam Klaus Lieb Bildungsreisen und Bücher von der Pharmaindustrie bezahlt. Später hielt er Vorträge, die von Arzneimittelherstellern gesponsert wurden. Zudem empfahl er Medikamente, die er gar nicht für die besten hielt. Heute sieht er das sehr kritisch: "Für jeden Arzt sollte nach dem hippokratischen Eid das Primärinteresse der Patient sein. In diesem ja Vertrauensverhältnis dürfen keine sekundären Interessen eine Rolle spielen. Das ist mir in der langen Arbeit mit Patienten deutlich geworden, aber auch in den Kontakten mit pharmazeutischen Unternehmen, die versuchen, auf dieses Vertrauensverhältnis Einfluss zu nehmen."
Der Chef der psychiatrischen Uniklinik Mainz hat deshalb ganz klare Regeln für den Umgang mit der Pharmaindustrie eingeführt. Für ihn ist die Unabhängigkeit als Mediziner am wichtigsten: In seiner Klinik werden weder Sponsorings für Fortbildungsveranstaltungen angenommen bzw. keine Berater-Verträge mit der Pharmaindustrie abgeschlossen. Bis vor 10 Jahren hat Klaus Lieb eng mit der Pharmaindustrie zusammengearbeitet. Doch dann hatte er ein Schlüsselerlebnis. Er war auf einer gesponserten Pharma-Reise in Asien: "Ich wurde fotografiert auf einer Rikscha sitzend mit einer Pharmareferentin an der Seite. Eine alte Dame zog diese Rikscha. Und das war für mich ein Schlüsselerlebnis, denn mir fiel auf: Alles was wir hier machen: Feiern, Vergünstigungen, die wir haben usw., finden auf den Schultern des Patienten statt."
Ab da veränderte Klaus Lieb seine Verbindung zur Industrie. Das Studienzentrum seiner Klinik arbeitet immer noch mit Pharma-Herstellern zusammen. Doch die Studien müssen von unabhängigen Gremien genehmigt werden. Außerdem forscht die Gruppe um Klaus Lieb zu Interessenkonflikten bei Ärzten. Ziel ist es, die Missstände in der Behandlung von Patienten mit harten Zahlen zu belegen. Die Ergebnisse sind ernüchternd.
Forschung zu Interessenkonflikten
"Der Einfluss der Industrie ist häufig an vielen Stellen sehr subtil. Das führt dann dazu, dass viele Ärzte sich dieser Beeinflussung gar nicht richtig bewusst sind. Sie haben einen blinden Fleck dafür."Weitere Untersuchungen zeigten, dass gesponserte Fortbildung das Verordnungsverhalten der Ärzte verändert. Deshalb gründete Klaus Lieb mit Kollegen die Ärztegruppe MEZIS. Das bedeutet "Mein Essen Zahl Ich Selbst". Wer zu den MEZIS gehört demonstriert damit, dass er unbestechlich ist. Dass die Patienten somit auf eine unbeeinflusste ärztliche Beratung vertrauen können.
Auch als Hochschullehrer macht Klaus Lieb sich stark für objektive Wissenschaft. Deshalb wurde er 2012 zum Hochschullehrer des Jahres gewählt. In seinen Augen brauchen Forscher die Pharmaindustrie. Doch er plädiert für klare und transparente Regeln in der Zusammenarbeit.
"Wir brauchen in der Forschung auch unabhängige wissenschaftliche Gremien, die sagen, wo Forschungsbedarf besteht. Dass eben nicht nur dort geforscht wird, wo sich ein Unternehmen einen besonders großen Markt erhofft. Wir haben zum Beispiel im Bereich der Antidepressiva viele Neuentwicklungen, die wir gar nicht brauchen. Dafür haben wir in anderen Krankheitsbildern keine wirksamen Medikamente."
Objektive wissenschaftliche Zahlen generieren
Portrait eines Mannes auf der Rückbank im Auto während der Fahrt. (Foto: SWR, SWR -)
Prof. Peter Götzsche - Leiter des Cochrane-Netzwerkes in Kopenhagen
Klaus Lieb ist auch für den deutschen Ableger der Cochrane Gesellschaft im Einsatz. Ziel dieses internationalen Netzwerks ist es, objektive wissenschaftliche Zahlen zu Medikamentenstudien zu generieren. Den dänischen Ableger von Cochrane gründete Peter Götzsche in Kopenhagen.
Der hat gerade ein Buch in Deutschland veröffentlicht. Es trägt den Titel: "Tödliche Medizin und organisierte Kriminalität - Wie die Pharmaindustrie das Gesundheitswesen korrumpiert". Wir wollen von dem Pharmakritiker wissen, wie sich das anfühlt, sich als Kritiker mit einer so mächtigen Gegnerin wie der Pharmaindustrie anzulegen? Seine Antwort ist sehr sachorientiert: "Ich denke nicht groß nach darüber, wie sich das anfühlt. Ich habe den Leuten etwas Wichtiges zu erzählen. Und die sind sehr interessiert daran, Fakten über Arzneimittel zu hören. So bekomme ich Einladungen nicht nur aus Europa sondern auch aus Amerika und Australien. Für Vorträge und um die Leute dort zu informieren."
In seinem heutigen Vortrag am Institut für Psychologie an der Dubliner Universität geht es auch darum, wie die Industrie gefährliche Nebenwirkungen von Psychopharmaka vertuscht. So führte ein Mittel gegen Depression zur Steigerung der Selbstmordversuche. Götzsche erklärt dem Publikum in dem überfüllten Raum: "Eli Lilly hat seine Mitarbeiter angewiesen nicht von Selbstmordversuchen zu sprechen. Sie sollten von Krankenhauseinweisungen sprechen, von emotionaler Labilität, fehlender Wirkung, Depression - was auch immer aber nicht von suizidalem Verhalten."
Tödliche Nebenwirkungen vertuscht
In einem Gerichtsverfahren waren diese Informationen an den Tag gekommen. Dasselbe Medikament aus der Klasse der selektiven Serotonin Wiederaufnahmehemmer (SSRI) sei besonders auch für ältere Personen gefährlich, sagt Götzsche: "Man fand, dass diese Medikamente gefährlich sind, weil sie zu Stürzen führen. Für je 28 ältere Leute, die damit behandelt wurden, gab es einen zusätzlichen Todesfall. Eine unglaublich hohe Todesrate."
Der anhaltende Applaus des Dubliner Publikums ist eindeutig: Peter Götzsches Kritik an der Pharmaindustrie hält man hier für berechtigt. Und für wichtig. Im kleinen Kreis haben die Zuhörer die Möglichkeit, nachzufragen. Und dann steht der profilierteste Pharmakritiker Europas auch noch zur Verfügung für ein Erinnerungsfoto. Heute Abend wird Peter Götzsche in Dublin einen weiteren Vortrag zum Thema halten. Auch da wird der Saal bis auf den letzten Platz besetzt sein.
Auch Selbsthilfegruppen sind betroffen
Das Interesse am Thema ist groß. Betroffene wollen objektive Aufklärung. Was schadet, was nutzt der Gesundheit? Gudrun Kemper kennt den Wunsch nach kritischen Informationen. Deshalb hat sie sich auch in Selbsthilfegruppen engagiert. Doch sie stellte fest, dass hier ebenfalls Pharmafirmen als Sponsoren auftraten. Veranstaltungen für Patienten wurden dann plötzlich zur Werbe-Plattform.
Deshalb hat sie mit Gleichgesinnten eine eigene Selbsthilfegruppe nach kanadischem Vorbild gegründet: Breast Cancer Action. Die Vereinigung garantiert eine kritische Haltung in punkto Pharmaindustrie. Es geht darum, Frauen mit fundierten Informationen zu helfen, eigenständige Entscheidungen für ihre Gesundheit zu fällen. Besonderes Kennzeichen: Kein Pharma-Sponsoring.
"Patientinnen, die sich an Selbsthilfe wenden, brauchen auch sichere und unabhängige Strukturen. Es kann nicht sein, dass durch die Hintertür dann doch Konzerninteressen mit eine Rolle spielen und auf die Patientinnen übertragen werden. Das ist ein gefährlicher Weg, der da eingeschlagen wird, und wir können davor nur warnen."
Warnen, sensibilisieren, mit unabhängigen Informationen aufklären - diese drei haben sich auf den Weg gemacht, die Schattenseiten der Pharmabranche auszuleuchten. Ein steiniger Weg - zu dem es keine Alternative gibt.

Den habe ich mir zum Vorbild gemacht, auf www.peter-gesundheit.com
SWR.DE
Widerstand gegen die Pharmamacht

 Es gibt eine Redewendung:

"In einem gesunden Körper wohnt ein gesunder Geist!"
Diese Regel wurde im Westen umgepolt, das habe ich als DDR Bürger angefangen am eigenen Leibe zu spüren. Dr. Reckeweg ein früherer Ernährungsexperte hatte mit Straftätern Experimente gemacht, in dem er sie gesund vegan ernährte und sie wurden ganz liebe Menschen. In den 33 Jahren nach der Wende habe ich zumindest in meiner Umgebung einen Zerfall geistig und körperlich an meinen ehemaligen Kollegen und Mitbürgern bemerkt und konnte mir das zuerst nicht erklären, bis meine Frau Bluthochdruck bekam und durch die Blutdrucksenker immer lethargischer und dicker wurde. Da habe ich angeregt durch meine Tochter die Bücher von Dr. Schnitzer, Dr. Bruker und Dr. Galina Schatalova gelesen und darauf hin den gesamten West-Nahrungsdreck entsorgt und uns vegan ernährt.
Meine Frau bekam wieder Mieder 36/38, wir wurden beide geistig und körperlich agil wie nie zuvor und verloren 15 kg an Gewicht.  Meine Ideen auf der Arbeit wurden immer besser, man konnte mich kaum noch stoppen. Meine Frau wurde von den Kollegen im Westen überzeugt, dass sie krank aussieht und sie verfiel dem Westfraß der in den Discountern immer mehr die Regale füllte und wurde wieder krank, bis heute 2 Stents und Herzinfarkt. Das Schlimme ist, ich wollte dann Behinderte gesund machen und wurde in die Psychiatrie eingewiesen, denn wie ich schon sagte es herrscht das Motto hier:"Krank sein ist die erste Bürgerpflicht" und daran verdienen hier 7 Millionen Menschen im Gesundheitsunwesen, dessen Kosten sich von 1950, von
2 Milliarden DM auf heute etwa > 500 Milliarden Euro hoch katapultiert haben.
So habe ich das in allen ehemaligen RGW Staaten beobachtet, besonders in Moskau wo die Fastfoodketten der USA sich sofort ansiedelten und die Leute in neuen Discountern von ihrer einstigen Urnahrung, weg gebracht wurden.
Durch Dr. Galina Schatalova kann ich das heute erklären, weil sie erkannte, dass die Kosmonauten im Weltraum Stickstoff in der Atemluft benötigen: Warum? Weil der gesunde Darm erzeugt aus den 2,5 Litern täglich mit der Atemluft eingeatmeten Stickstoff das beste Protein für das Gehirn, welches erforderlich ist damit es richtig funktioniert und es nicht krank wird, wie hier im Westen,
wo es in jedem Lande hunderte Psychiatrien gibt die, die Fleischprotein-Schäden des Gehirns mit vergällten Drogen verschlimmern, oder bei gesunden Patienten bauen. Die schlimmste Veränderung im Gehirn ist jedoch die Psychopathie, denn hier polt sich das Belohnungssystem um, d.h. Wenn Menschen, wie heute, alles zerstören, da fließen Glückshormone wie Serotonin und sogar Endorphine, die jedoch unvollständig gebaut wurden weil, wie gesagt, für gesund Botenstoffe zum einen das Stickstoffprotein gebraucht wird und zum anderen lebendige frische, Enzym reiche Lebensmittel, wie Obst und Gemüse, Kartoffeln, Reis und für uns Europäer vor allem Getreide.
Nun weiß ich das dies der Römisch Katholische heute Medizinische Faschismus seit Jahrzehnten steuert, sogar schon angefangen im Mittelalter durch Missionare, die den neu eroberten Völkern, dadurch Krankheiten und Seuchen beibrachten, um sie zu dezimieren, oder geistig zu verblöden.
In den USA-Gefängnissen werden nun wahre Monster gezüchtet, die nie wieder normal werden, wenn sie das, was ich sagte, nicht streng beachten, jedoch in meinem Umfeld finde ich nicht einen Einzigen der das so verinnerlicht hat wie ich und darum überall gefüllte Arztpraxen, Psychiatrien, Mikro Chirurgien und Rehakliniken, ein Teufelskreis.
Nun wirkt sich das auch in der Politik aus, nur noch Zerstörer, Unlogik macht sich breit, man denkt man ist von Idioten umzingelt, die aber die Halbgesunden, wie mich, zum Kranken begutachtet haben. Wenn das nicht korrigiert wird, da können die „Experten“ feststellen was sie wollen, das ist so nicht korrigierbar, wenn keine 180° Wende hier passiert.
Das würde man an der Sterberate sehen, heute 12/1000, 5/1000 wäre gesund und das sieht man an den Arabischen Völkern und deren gesundes Aufbegehren, welches man, wie in der DDR erst einmal für sich nutzte und wenn die jeweilige Maslowsche Pyramides des jeweiligen Volkes zerstört ist, dann führt man den Westnahrungsdreck ein und bricht die Menschen dadurch, geistig und körperlich. In den Flüchtlingslagern, werden ebenso die gesunden Menschen sofort Nahrungstechnisch umgepolt auf
West-Standard, Ruhe Lethargie, Krankheit, Siechtum, sind die Folge->Konec! In keinem Zoo werden Tiere so umgepolt, wie wir Menschen, sie bekommen die Nahrung ihrer Heimat und nur so bleiben sie gesund! Deswegen ist dort füttern verboten!!!
Um das zu kapieren habe ich über 15 Jahre dieses Thema zu meiner Lebensaufgabe gemacht! Heute plus 5G-Schiffsradar, da wird der Verfall von Mensch, aber diesmal auch Natur, sich verzehnfachen!

KRISENFREI.COM
«Psychopathen treiben die Menschheit in den Abgrund» – Krisenfrei



https://homepagedesigner.telekom.de/.cm4all/uproc.php/0/.391604390_731404295479610_4721989179303427953_n.jpg/picture-400?_=18bd45c6d48



































Selbstbeweihräucherung von sogenannten "Experten!" 


„ Zwei Tage lang machten ausgewiesene Experten wie Prof. Dr. Sucharit Bhakdi, Prof. Dr. Stefan Homburg, Prof. Dr. Andreas Sönnichsen, Dr. Ronald Weikl, Dr. Gunter Frank, der Datenanalyst Tom Lausen, Prof. Dr. Paul Cullen oder der Pathologe Prof. Dr. Walter Lang die Veranstaltung aufgrund ihrer hohen Fachkompetenz für alle Beteiligten zu einem unvergesslichen Ereignis. „ Für mich Spezialisten für Halbwahrheiten, um den heißen Brei Redner! Die Seren war in keinem Fall harmlos, nur bei uns doppelt schädigend, weil man uns die Griechen in den Psychiater-Trojanischen Drogen Pferden, mit herein geimpft hatte, weil man durch 4-5G und den aufgesetzten Beta-Wellen, ohne mit den Trojanischen Pferden Heroin, Kokain, Opium und mehr die Blut/Hirnschranke überwinden zu müssen, sie jetzt offen da stand für all das Zeug und auch die Dünndarmbakterien getötet wurden der Magen Säure Brei die Darmwände porös verätzte und so alles was rein geimpft wurde auch ungefiltert über sonst die Leber, an alle Organe gelangte. Das man mit Phasen verschobenen Eigenfrequenzen der Organe, diese auch ausschalten kann, oder Synapsen zum Schwingen bringt und die winzigen Flüssigkeitsmenegen in den die Na+ und Ca+-Ionen wandern und Ladungen abzugeben, ausgetrocknet werden und das Gehirn versalzt verschweigen die auch aus Unwissenheit, oder Ärzteschweigepflicht gegenüber der Ärztevereinigungs-Mafia.
KRISENFREI.COM
Emotionaler Auftritt von Prof. Dr. Sucharit Bhakdi auf dem 2. Corona-Symposium der AfD-Fraktion – Krisenfrei


https://homepagedesigner.telekom.de/.cm4all/uproc.php/0/.Elend2.PNG/picture-400?_=1777b52ffc8





































HomöopathischeKZ`s nach 1945 in Form von Psychiatrien

Den Römisch Katholischen Faschisten und ihren Eidgenossen Cäsars, war nach dem verheerenden 2. Weltkrieg nach 1945 klar, dass sie militäDrisch nicht schaffen ihre Position zu behaupten, eine andere Strategie muss her. Die Nationalsozialisten hatten dazu in den KZ`s verschiedenste Ausrottungsversuche getestet. Parallel dazu die Japaner in der Mandschurei, wo sie unter anderen bestialischen Versuchen Nahrungsmittelzusätze solange getestet haben bis Tumore im Körper der geschändeten Häftlinge entstanden. Das wurde nach 1945 perfide weltweit eingeführt und wir haben derzeit > 500 dieser in der Natur in Pflanzen nicht vorkommenden Zusätze, weltweit in Unmengen in fast jedem ehemaligen Lebensmittel. Ich habe festgestellt, dass man hier in der Psychiatrie, wo mit Botenstoff ähnlichen Drogen gearbeitet wird, die so manipuliert werden, dass man jegliches beliebiges Schädliches einbauen kann was dann später im Gehirn, oder Darm und dadurch an den Organen schwerste Schäden anrichtet, wie Hypophysentumore, Schilddrüsentumore, Bauchspeicheldrüsentumore, bis hin zum kompletten Organversagen. Man züchtet also nach 1945 gezielt Krankheiten und Seuchen weltweit und hat eine Geräteindustrie ungeheuren Ausmaßes in fast allen Ländern installiert:
„Sämtliche Anomalien hat der Mensch selbst geschaffen!
Wir hätten heute nicht tausende von psychiatrischen Anstalten,
Behindertenwerkstätten,Krankenhäuser, Zahnkliniken, Pharmaziewerke, Apotheken und die Produktion von abartigen Gerätschaften wie Katheter, Insulinpens, Herzschrittmacher, Rollatoren, Gehirnschrittmacher, künstliche Gelenke, Herzklappen, Stents, Shants, Dialysegerätschaften, u.s.w., wenn der Mensch seine Nahrung und Umwelt hätte naturbelassen!
2013 dann folgende Erkenntnis von mir:
Nach jetzt 6 Jahren intensiver Recherchen, habe ich den Eindruck gewonnen, dass die Mediziner mit ihren >15.000 Medikamenten und 100.000 senden Präparaten, den Mikro-Chirurgen, den Endokrinologen eine nie da gewesene medizinische Großoffensive GEGEN die Menschheit führen.
Das alles hatte Hamurabi vor 5.000 Jahren vorausgesehen und damals zum Teil erfolgreich verhindert. Der große Generalissimo Stalin hatte das auch erkannt, jedoch seine Nachfolger haben das alle zu unserem Nachteil ignoriert!
Die „Medizinische Kriegsführung“ ist die arglistigste Art der Kriegsführung!
2007 habe ich die Anfänge der nächsten Arglist bemerkt: Mikrowellen! Corona unter dem Begriff fasst man nun das öffnen der Blut/Hirnschranke und
das zerstören des Dünndarmes, Leaky Gut zusammen, jetzt braucht man die manipulierten Botenstoffe nicht mehr und kann Schadstoffe entweder durch Impfen direkt über das Blut ins Gehirn, oder die Organe bringen, oder die Frequenz der jeweiligen Krankheit direkt auf den Mobilfunk, oder die Stromfrequenz aufmodulieren, oder die Phasen versetzte Frequenz eines jeden Organs solange senden bis bei den Menschen Herzstillstand einsetzt, oder Organe, wie Lunge komplett versagen. Siehe Bergamo! Zusätzlicher Effekt die Neuronen fangen an zu schwingen, ihre Synapsen und Ionenkanäle trocknen aus das
Gehirn versalzt, unmerklicher als durch das Einbringen der reaktionsfähigen Element wie Fluor, Chlor und Schwefel durch die Psychiater Drogen, die das komplette Signalsystem der Neuronen lahm legen, weil sie die Natrium- und Kalzium Ionen der Prä-, b.z.w. Postsyapsen verdrängen und mit den Flüssigkeiten der Ionenkanäle entsprechende Salze bilden !


Der Konflikt Psychiater und Scientology, 12.11.23


Und noch etwas Fachliches:

In den USA und auch hier sind die Psychiater und Scientology Tod Feinde, warum?
Psychiater arbeiten mit Drogen und zwar vergällten Risperidon, Halloperidol gleich dem
Heroin, aber mit Fluor versetzt, Zyprexa/Olanzapin entspricht Kokain.
Das verabscheut Scientology, aber die arbeiten mit technischen Mikrowellen, was noch zerstörerischer ist.
Jede Krankheit kann man Biochemisch, oder als Fehlschwingung darstellen, das sind Betawellen.
Normal schwingt das Gehirn um die 8 Hertz, jegliche Belastung steigert die Frequenz bis schließlich 16 Hertz=Überlastung des Gehirns.
Die Wärmepumpen schwingen 16 Hertz, also wenn man schlafen will, muss ja das Gehirn runter schwingen auf erst 6-3 Hertz Traumschlaf, dann 3-1 Hertz Tiefschlaf.
Jetzt Tag und Nacht die Wärmepumpe man wird wahnsinnig, ist mir zu Hause passiert, das habe
ich beim Vermieter angemahnt plötzlich war es gut.
Das Ohr entwickelt einen Phasen verschobenen Gegenschall, es entsteht Auslöschung mit sanftem
Tinnitus. Das Gehirn bleibt gesund man kann schlafen, darum der penetrante Aufruf zum kostenlosen Hörtest, weil man will das zerstören, man braucht kranke Menschen, dadurch wenig Widerstand. Diese Sekte arbeitet auch, schon lange paralll in den Psychiatrien.

Im B-Haus, in Teupitz bei Berlin, (Der Entertainer, Harald Junke hatte einst eine ganze Etage, dort gemietet) hatte ich einen Rauchmelder(Techem) über meinem Bett, der permanent mit einer

500  Mikrowatt/m² Flussdichte, 868 MegaHertz, alle 2 Minuten, sendete.
Diese 16 Hertz werden dort aufgesetzt, oder angehängt, also 868.016 Hertz, das bedeutete,

ich konnte dort ein Monat nicht schlafen, nur 4 h und nur mit Tavor(Fluor versetzt).

Die Zirbeldrüse wird an der Melatonin Bildung gehindert.

Schlaganfall, Herzattacke und 2 Lungenembolien folgten, unbehandelt!
Das hat sich dann in der geschlossenen Psychiatrie Abteilung 3.1 nach einem Monat gegeben, jedoch ich war wie durch den Wolf gedreht. Diese 16 Hertz zerstören auch die Darmbakterien, 

das wollte ich meiner  Frau Dr. XXX  Ende 2019 noch erklären, weil ihre Freundin an Darmkrebs gestorben  war. Sie hatte, wie alle Ärzte auch, einen Rauchmelder über sich und einmal hatte ich meinen HF-Analyser dabei und am Kopf in ihrem Behandlungszimmer kamen noch etwa 

200 Mikrowatt/m² an was schwere Zellanomalien zur Folge hat. Heute habe ich Spitzen über die Rauchmelder Star (Brunata, Metrona) von bis zu 800.000 Mikrowatt/m² im Wohnzimmer gemessen. Edilene, meine adoptierte Wunschtochter, wurde 3 x am Tag angerufen und stundenlang durch ihre Verwandten vollgelabert immer um die 80.000 Mikrowatt/m², da geht das Gehirn irgendwann drauf! So hat, vermute ich, Scientology Clearwater halb leer gezogen, das merke ich in Königs Wusterhausen auch und in Berlin sowieso.

Ich hatte 1650 e-mails an alle Behörden, bis Umweltamt für Strahlenschutz, geschickt,

die wurden mir  am  15. September 2023, von der Telekom, alle gelöscht!
Das hatte ich schon 2007 in Berlin Neukölln festgestellt, wo ich Arbeitsvorbereiter und Projektmanager für behinderte Menschen war. Das hat einigen nicht gepasst und auf meine Wohnung war und ist heute noch eine Antenne ausrichtet und ich bekam 2010 erst eine Gürtelrose und später, im Februar 2011, einen schweren B12-Mangel geschuldet, eine perniziöse Anämie und dann eine Psychose, landete in Teupitz und wurde durch Fehlbehandlung noch kaputter.

Unter mir ein junges Paar, die starben nacheinander unerklärlich!
Heute sind sie bei 5G Schiffsradar, öffnen damit die Blut/Hirnschranke und erzeugen Leaky Gut
(löchriger Darm) und somit braucht man die Psychiater Botenstoffe nicht mehr um Schadstoffe ins Gehirn , oder alle Organe zu schleusen, das ist das Geheimnis, nennt sich Covid!
Das Folgende ist ein Hinweis am Rande, denn ich habe keinen kompetenten Gesprächspartner 

mehr, außer Facebook.

6.11.2023   Bestie Psychiatrie in der BRD

Der erste Teil ist aus dem Lehrbuch, wie funktionieren Neuronen normal!
Dann meine Erklärung zu den verheerenden Wirkungen der Psychiater Drogen!
Medikamente, noch mit anderen Substanzen, die man nur aus dem Beipackzettel, teilweise ersehen kann. Wenn man das Zeug über Jahre nimmt kann der Darm so zerstört werden, dass er eben, wie beim Fleischfresser löchrig wird Leaky Gut entsteht, alle Schadstoffe, die die Leber vorher ausfiltert direkt ins Blut und somit an die Organe gelangen und beim Gehirn überwindet das Heroin, Kokain, oder Opium der Psychiater Droge(Trojanisches Pferd) mit den bösen „Griechen“, d.h. Fluor, Schwefel, Chlor, Spike Proteine, wie im Corona Impfstoff ,die Blut/Hirnschranke und dann
kommt es teilweise zu  allen möglichen Reaktionen, wie auch Schizophrenie.
Übrigens meine Hypothese die ich letzten bestätigt bekam, ist dass beim dem Sammelbegriff Corona, das Trojanische Pferd Heroin, Kokain, Opium, nicht mehr benötigt wird, denn 4-5G,mit aufmodulierten Betafrequenzen >> 8 bis 35 Hertz, öffnet sich, unter anderem, die Blut/Hirnschranke, zerstören die Darmbakterien, und der nun nicht verarbeitete Magensäure
Brei verätzt den Dünndarm und alle Gifte gelangen an die Organe und eben ins Gehirn.
Ich bin gestern mit meinem HF-Analyser über das Gelände der Klinik in Teupitz gegangen,
überall Radar, durch die mächtige Antenne beim Heizhaus. In den Innenräumen durch die Rauchmelder, die Mikrowellsender und auch als Smartcell funktionieren, wo sich ein
Smartphone, ausgeschaltet, trotzdem alle 6 Sekunden anmeldet. Also das nur am Rande!
Und diese Symptome können sie nun dank Rauchmelder, Smartzähler, WLAN, Smartphone, Tablettes, Wärmepumpen( Infraschall 16 Hertz, Solarzellen auf den Häuserdächer, Windstromerzeuger( Infraschall 16 Hertz) in den Wohnungen erzeugen und brauchen dann
die entweder Tumor Kranken, oder seelisch in Psychose fallenden Patienten, entweder
freiwillig, oder mit Gewalt einsammeln. Das zu verstehen dazu habe ich nun 10 Jahre
mit >10.000 Stunden Aufwand betreiben müssen, weil ein Ingenieur ist ein Schöpfer und
kein Zerstörer! Und nun fragen sie einen „Drogen Dealer Psychiater“, wie er das sieht, viel Spaß.
Teil 1
„Nervenimpulse TEIL 2 - Die Synapse
Das gesamte Nervensystem basiert auf Aktionspotentialen und Synapsen, um Informationen im gesamten Körper zu übertragen. Neuronen sind Zellen, die darauf spezialisiert sind, elektrische oder chemische Signale an ein anderes Neuron zu übermitteln, das auf einem genau definierten Weg eine Zielzelle erreicht. Dieser Artikel ist der zweite von zwei Teilen, in denen erörtert wird, wie dieses erstaunliche und komplexe System [...]
Die Synapse
Das gesamte Nervensystem basiert auf Aktionspotenziale und Synapsen um Informationen im gesamten Körper zu übertragen. Neuronen sind Zellen, die darauf spezialisiert sind, elektrische oder chemische Signale an ein anderes Neuron weiterzuleiten und dabei einen genau definierten Weg zu einer Zielzelle zu beschreiten. Dieser Artikel ist der zweite von zwei Teilen, in denen es darum geht, wie dieses erstaunliche und komplexe System in der Lage ist, fast alles in unserem Körper zu steuern. Jetzt werden wir über den Synapsen-Spalt sprechen - den Raum zwischen zwei Neuronen, eine weitere Region, die auch für die Weiterleitung des Nervenimpulses verantwortlich ist.
Der Name Synapse stammt aus dem Griechischen Synapsis was bedeutet "Verbindung". Die Wissenschaftler hatten im Laufe der Geschichte Schwierigkeiten, einen Begriff zu finden, der die "Vereinigung von zwei getrennten Elementen".
In einigen alten Artikeln wurde die Synapse auch als Kreuzungen. Heute ist die Synapse ist die Bezeichnung für die Struktur, die für die Weiterleitung eines Signals an ein anderes Neuron am Synapsen-Spalt verantwortlich ist.
Die gesamte Synapsenaktivität findet im synaptischen Spalt statt, einem kleinen Ort zwischen zwei verschiedenen Zellen, die nebeneinander liegen, dem präsynaptisch Zelle und der post-synaptische Zelle. In den meisten Fällen sind zwei Neuronen über die Axonendigung eines Neurons - des präsynaptischen Neurons, das das Signal weitergibt - mit dem Dendriten des nächsten Neurons -
des postsynaptischen Neurons - verbunden, das entweder die Zielzelle oder das nächste Neuron in der Reihe zur Weiterleitung des Signals sein  kann.
In dem Raum zwischen den Zellen - dem Synapsen-Spalt - läuft eine riesige Menge an Informationen gleichzeitig ab, eine große molekulare Maschinerie ist für die Steuerung der Freisetzung und Produktion dieser Informationsträger verantwortlich, diese Moleküle werden Neurotransmitter genannt.
Aber die Neuronen machen die ganze Arbeit nicht allein, sie haben neben sich eine besondere Art von Zellen, die die Aufgabe haben, die Regulierung der Neurotransmitter zu unterstützen. Diese Zellen sind die AstrozytenSie sind eine Art von Gliazellen.
Glias werden als nicht-neuronale Zellen eingestuft - sie leiten oder produzieren keine Art vonNervenimpuls oder Signal.Diese Zellen haben viele Aufgaben, die alle mit den Bedürfnissen der Neuronen zusammenhängen, wie ein 24/7-Assistent.
Sie sind überall im zentralen und peripheren Nervensystem zu finden. Im Allgemeinen bieten sie Halt und Schutz und versorgen die Nervenzellen mit Nährstoffen.
Wie bereits erwähnt, sind die Neuronen spezialisierte Zellen, die für die Übertragung elektrischer oder chemischer Signale zuständig sind. Jedes dieser Signale hat eine Methode, um das Signal weiterzuleiten. Das präsynaptische Neuron, das an der chemischen Synapse beteiligt ist, ist in der Lage, Informationen nicht nur an Neuronen, sondern auch an Muskeln und Drüsen zu übermitteln. Dies geschieht durch das Aktionspotenzial, das sich entlang des Neurons ausbreitet, das Axonende erreicht und dann das Signal an die spannungsgesteuerten Kalziumkanäle weiterleitet.
Durch die Depolarisierung werden diese Kanäle aktiv und öffnen sich für das Kalzium (Ca+2), das in das Innere des Neurons gelangt.
Der Kalziumeinstrom in die Zelle gibt ein Signal an den synaptischen Vesikel, der dann Neurotransmitter in den synaptischen Spalt freisetzt.
Im synaptischen Spalt angekommen, gelangen diese Neurotransmitter zu den Neurotransmitter-Rezeptoren des postsynaptischen Neurons.
Auf diese Weise wird der Nervenimpuls fortgesetzt, indem der Prozess in den Dendriten, dann im Zellkern und schließlich im Axon wiederholt wird, wo das Aktionspotenzial weitergeführt wird.
Wenn der Nervenimpuls die Zielzelle erreicht, können in dem postsynaptischen Neuron zwei Arten von Reaktionen auftreten - entweder eine erregende oder eine hemmende Reaktion.
Die andere, die elektrische Synapse, läuft im Vergleich zur chemischen Synapse viel schneller ab, weil sie aus weniger Schritten für die Signalübertragung besteht.
Der elektrische Strom wird über Kanäle übertragen, die Gap-Verbindungendie in beiden Zellen vorhanden sind und die präsynaptischen mit den postsynaptischen Neuronen verbinden.
Diese Kanäle sind in der Lage, den elektrischen Strom ohne Beteiligung von Neurotransmittern weiterzuleiten.
Interessanterweise muss der Synapsenprozess nicht notwendigerweise jedes Mal dieselben Neuronenteile verbinden, wie z. B. das Axonende und die Dendriten.
Für die Weiterleitung von Nervenimpulsen gibt es noch mehr Möglichkeiten als diese.
Axonendigungen von präsynaptischen Zellen können direkt mit dem Blutstrom, dem Neuronenaxon oder sogar einer anderen Axonendigung verbunden sein.
Sie können auch mit einem Dendritenstachel eines Neurons verbunden sein oder sogar keine Verbindung zur Freisetzung von Neurotransmittern im extrazellulären Medium haben.
Je nach Art der zu übertragenden Information muss ein bestimmter Neurotransmitter freigesetzt werden, der zur Gruppe der glutamatergen, GABAergen, cholinergen und adrenergen Botenstoffe mit erregender oder hemmender Wirkung gehört.
Die Regulierung von Neurotransmittern ist ein sehr empfindliches System unseres Körpers.
Die von vielen Wissenschaftlern durchgeführten Studien haben gezeigt, dass ein einziger dysregulierter Neurotransmitter nicht nur eine einzige, sondern viele Aktivitäten im Gehirn beeinflussen kann, wie Stimmung, Humor, Schlaf, Appetit, Körpertemperatur, Angst und psychische Krankheiten. So sind beispielsweise die Parkinson-Krankheit und die Schizophrenie heute als unheilbare Krankheiten bekannt, die mit einer Funktionsstörung des Neurotransmitters Dopamin zusammenhängen. Insgesamt ist der Nervenimpuls derjenige, der für die Kommunikation und die Weiterleitung aller Informationen im Körper verantwortlich ist.
Ein kleines Problem oder eine Dysregulation kann große Folgen und Krankheiten verursachen.
Die Wissenschaftler sind immer noch auf der Suche nach Antworten, um dieses komplexe
Netzwerk vollständig zu verstehen!!!






https://homepagedesigner.telekom.de/.cm4all/uproc.php/0/.WP_Bilder_Synapse_1-1024x576.jpg/picture-400?_=18bd4590e00https://homepagedesigner.telekom.de/.cm4all/uproc.php/0/.Oligodendrozyt-1024x576.jpg/picture-400?_=18bd45ae6a8 https://homepagedesigner.telekom.de/.cm4all/uproc.php/0/.unnamed-1.png/picture-400?_=18bd45a1b88














Nach Art der Botenstoffe (Neurotransmitter), die das Signal übermitteln. Ein paar Beispiel dafür sind:
cholinerge Synapse: Neurotransmitter Acetylcholin
(Bsp.: neuromuskuläre Synapse)
adrenerge Synapse: Neurotransmitter Adrenalin
dopaminerge Synapse: Neurotransmitter Dopamin
glutamaterge Synapse: Neurotransmitter Glutamat
Teil 2
Ich wurde 2011 in der Psychiatrie angefixt, mit fast Todesfolge, nun habe ich die verklagt!
Unten ist eine Synapse im Gehirn dargestellt. Oben die Präsynapse, die bildet wenn die Kalzium Ionen ihr Signal abgeben in den Versikeln, innen, Dopamin, oder Acetylcholin, die wandern in den synaptischen Spalt und verdrängen an den Rezeptoren der Postsynapse das Prolaktin(Erschöpfungshormon) und Du hast wieder Trieb, oder Antrieb, oder Denk- und Merkvermögen. Kommt jetzt das Medikameneten-Kokain mit Schwefel, oder das Medikamenten Heroin mit Fluor, dort ins Gehirn, bildet sich Kalzium -, b.z.w. Natrium Fluorid, oder Sulfit, oder Chlorid. das Gehirn versalzt und in der Folge wird kaum noch Dopamin, Adrenalin, Glutamat,
oder Acetylcholin, gebildet, man wird Antriebslos, depressiv, dement, oder es folgt Parkinson.
Man hat zwar 85 Milliarden Neuronen und 85 Milliarden Gliazellen, die mehrere Synapsen haben aber irgendwann stirbt die Nervenzelle. Am Tag im Gehirn, normal sterben etwa 60.000 Neuronen, die aber ersetzt werden. Durch die Psychiater Drogen mindestens die Zehnfache Zahl, eben so durch 4-5G, 10-100 Fach und irgendwann ist mehrfach schwerst behindert!
Das wichtigste ist, dass es keine Signalträger die Na+, oder K+ Ionen gibt, und die Steuerung von Denk- und Bewegungsprozessen nach Jahren, dieser vergällten Psychiater Droben zum erliegen kommt!
Neuroleptika
C21H23NO5 Heroin
C21H23ClFNO2 Haloperidol, Fluor!
C23H27FN4O2 Risperidon, Fluor!
Antidepressiva
C17H21NO4 Kokain
C17H19N3 Mirtazapin
C17H20N4S Olanzapin/Zyprexa in USA 100.000 Tote/Jahr, Schwefel!
C17H17Cl2N (Sertralin)
C18H13ClFN3 Midazolam, Dormicum, Beruhigungs, Schlafmittel bei Hinrichtungen, Fluor!

Schleicht man diese Drogen langsam aus erholen sich das Gehirn, Drüsen, Organe und vor allem der Darm, der die Nahrung für das Gehirn und alle Organe aufbereitet, wieder und nach
ca. 6-7 Jahren ist man wie runderneuert. Zwischendurch kann es, wie bei mir geschehen, oder bei Edilene zu Reparatur-bedingten, weil fehlenden, oder zerstörten Verknüpfungen zu Fehlreaktionen kommen, die dann der Psychiater, nie als diese anerkennen würde, sondern IMMER als Schuld des Patienten ausgelegt wird, weil er deren verheerende Drogen nicht genommen hat.
Bei reinen Drogen wie Heroin, oder Kokain, verkümmert das Signalsystem, weil ja die Botenstoffe künstlich zugeführt werden, aber das ist schneller wieder zu korrigieren, zwar mit erheblichen Entzugserscheinungen, aber es sollte immer ohne Ersatzdroge ausgeführt werden, weil sonst der Zerstörungsprozess der Neuronen zwar nicht so radikal statt findet, wie bei den mit Fluor, Schwefel, oder Chlor vergällten Psychiater Drogen, aber eben langsam auch!
Das Wichtigste, die Anfangsdiagnose der Stationsärztin XXX:
„paranoid-halluzinatorische Schizophrenie“
Das ist keine psychische Erkrankung, sondern eine ernährungsbedingte Erkrankung, wenn pathogene Prionen, wie BSE, oder Spike Proteine ins Gehirn gelangen, was bei Artgerechter
Ernährung so gut wie ausgeschlossen ist.
Die Urnahrung des Menschen ist Getreide, laut Dr. Reckeweg, Dr. Bruker, Dr. Schnitzer.
Laut Dr. Galina Schatalova, bildet der gesunde Darm, extra nur für das Gehirn, aus den 2,5 Litern, täglich mit der Atemluft, eingeatmetem Stickstoff bestes, reines Protein.
Alle großen Denker aus der Antike, wie Phytagoras, oder Philosophen, wie Sokrates, waren Veganer. Deswegen funktionierte deren Gehirn top!
Mit der Muttermilch bekommt ein Baby von der Ma, alle genetischen Code der Artgerechten Nahrung einprogrammiert. Als 1990 unsere kargen, aber gesunde DDR-Lebensmittel, durch das wahnsinnige Sortiment der westlichen raffinierten Fake-Nahrung, Massen an Wurst und Fleisch,
mit bis zu insgesamt 500 Zusatzstoffen, die, die Naturnahrung überhaupt nicht hat verseucht und 15.000 Tabletten, mit je bis zu 20 Nebenwirkungen über uns herein brachen, degenerierten unsere Körper und das Gehirne innerhalb der 33 Jahre auf West-Niveau, mit bis zu 30.000 künstlich seit 1950 geschaffenen Symptom Krankheiten.
Alle die Nahrung die raffiniert wird, also industriell verarbeitet wurde, da ist der genetische Code
zerstört. Fake Nahrung hatte nie einen genetischen Code.
Bei Gekochtem repariert der Darm den genetischen Code mit erhöhten Energieaufwand.
Bei Mikrowellennahrung ist das Irreparabel.
All diese Nahrung hat keine Ballaststoffe, wo im Dickdarm eigentlich Gifte und die Restgalle gebunden werden. Der verätzt langsam> Krebs ist die Folge! Der Dünndarm, verarbeitet mit seinen Milliarden Darmbakterien, die auch über gute Nahrung zugeführt werden muss, den Magensäure haltigen, zerlegten Nahrungsbrei aus dem Magen.
Und futtert der Mensch nun viel Fleisch, ohne Ballaststoffe, ohne Vitamine, denn die sind gebunden, ebenso ohne die eigentlich 8 essentiellen Aminosäuren, die der Mensch jeden Tag benötigt, ja dann geht die für das gesunde Gehirn notwendige Proteinaufbereitung aus dem eingeatmeten Stickstoff, zu Grunde und es gelangen Fleischproteine mit den schlimmen Folgen ins Gehirn, eine Schizophrenie, oder Schlimmeres entsteht. Das hat der Dr. Juri Nikolajew, ein Militärarzt der Russischen Armee festgestellt, in dem er beobachtetet, das ein Schizophrenie erkrankter Patient, der völlig daneben ,ohne Kontakt zu anderen Patienten zu suchen, die Nahrungsaufnahme 10 Wochen verweigerte. Danach lebte er auf, aß wieder und fügte sich locker in die Gemeinschaft ein.  Er wurde als geheilt entlassen! Bis 1990 heilte er so hunderte Patienten, danach wurde wurde das jetzt unter westlichen Bedingungen, abgeschafft, denn hier baut man das zur Bevölkerungsreduktion. (Hypothese)
Wir hatten in der DDR eine Sterberate von etwa 7/1000, 5/1000 wäre normal.
Die BRD und auch wir DDR Bürger haben nun 12/1000, diesen genannten Veränderungen geschuldet. Syrien hat 4/1000, Gaza 3/1000, Katar 1,6/1000, Nordkorea 6,8/1000.
Nun habe ich festgestellt die vergällen die sogenannten Medikamente, noch mit anderen Substanzen, die man nur aus dem Beipackzettel, teilweise ersehen kann.
Wenn man das Zeug über Jahre nimmt kann der Darm so zerstört werden, dass er eben, wie beim
Fleischfresser löchrig wird Leaky Gut entsteht, alle Schadstoffe, die die Leber vorher ausfiltert direkt ins Blut und somit an die Organe gelangen und beim Gehirn überwindet das Heroin, Kokain, oder Opium der Psychiater Droge(Trojanisches Pferd) mit den bösen „Griechen“, d.h. Fluor, Schwefel, Chlor, Spike Proteine, wie im Corona Impfstoff ,die Blut/Hirnschranke und dann
kommt es teilweise zu  allen möglichen Reaktionen, wie auch Schizophrenie.
Übrigens meine Hypothese die ich letzten bestätigt bekam, ist dass beim dem Sammelbegriff Corona, das Trojanische Pferd Heroin, Kokain, Opium, nicht mehr benötigt wird, denn 4-5G,mit aufmodulierten Betafrequenzen >> 8 bis 35 Hertz, öffnet sich, unter anderem, die Blut/Hirnschranke, zerstören die Darmbakterien, und der nun nicht verarbeitete Magensäure
Brei verätzt den Dünndarm und alle Gifte gelangen an die Organe und eben ins Gehirn.
Ich bin gestern mit meinem HF-Analyser über das Gelände der Klinik in Teupitz gegangen,
überall Radar, durch die mächtige Antenne beim Heizhaus. In den Innenräumen durch die Rauchmelder, die Mikrowellsender und auch als Smartcell funktionieren, wo sich ein
Smartphone, ausgeschaltet, trotzdem alle 6 Sekunden anmeldet. Also das nur am Rande!
Und diese Symptome können sie nun dank Rauchmelder, Smartzähler, WLAN, Smartphone, Tablettes, Wärmepumpen( Infraschall 16 Hertz, Solarzellen auf den Häuserdächer, Windstromerzeuger( Infraschall 16 Hertz) in den Wohnungen erzeugen und brauchen dann
die entweder Tumor Kranken, oder seelisch in Psychose fallenden Patienten, entweder
freiwillig, oder mit Gewalt einsammeln. Das zu verstehen dazu habe ich nun 10 Jahre mit >10.000 Stunden Aufwand betreiben müssen, weil ein Ingenieur ist ein Schöpfer und kein Zerstörer!
Und nun fragen sie einen „Drogen Dealer Psychiater“, wie er das sieht, viel Spaß.




https://homepagedesigner.telekom.de/.cm4all/uproc.php/0/.391604390_731404295479610_4721989179303427953_n.jpg/picture-400?_=18bd45c6d48

































Vergleich reine Drogen, oder Botenstoffe mit Psychiater Drogen
C2H6O Ethanol AlkoholC7H16NO2 Acethylcholin Botenstoff im Gehirn
C4H7NO4 Asparaginsäure, zerstört die Myelinschicht der Nerven->Multiple Sklerose
C8H11NO2 Dopamin Antriebshormon, aus Phenylanalin
C8H10N4O2 Coffein
C8H17NO2 Pregabalin , Lyrica Angstörungen
C8H16O2 Valproat, Valproinsäure Medikament gegen Schizophrenie
C9H11NO2 Phenylanalin über die Nahrung zur Dopamin und Tyroxinbildung (Schilddrüse)
C9H20NO2+ Muscarin Pilzgift, Herzlähmungen dockt an Acethylcholin-Rezeptor an, wie Nicotin
C10H12N2O  (Serotonin) Botenstoff Glückshormon
C10H15N Methamphetamin, Meth, Crystal Meth, Pervitin(Adolf) Panzerschokolade
C10H14N2 Nicotin
C11H12N2O2 Tryptophan Über die Nahrung dient der Serotoninbildung
C11H17NO3 (Mescalin)
C11H17NO3·HCl  (Mescalin·Hydrochlorid)
C11H15NO2 Ecstasy
C13H16N2O2 Melatonin Schlafhormon der Zirbeldrüse
C14H18N2O5 Aspartam, Süssstoff zerfällt in Phenylanalin, Methylalkohol, Asparaginsäure
C14H19NO2  Ritalin, Methylphenidat· AHDS, ADS

C15H10Cl2N2O2 Tavor, Lorazepam Schlafmittel
C15H11I4NO4 (Levothyroxin) Thyroxin, wird in der Schilddrüse gebildet
C15H10I4NNaO4 (Levothyroxin-Natriumsalz)
C16H13ClN2O2 Temazepam starkes Schlafmittel
C16H13ClN2O Valium, Diazepam, Faustan(DDR)
Antidepressiva
C17H21NO4 Kokain
C17H19N3 Mirtazapin
C17H20N4S Olanzapin/Zyprexa in USA 100.000 Tote/Jahr, Schwefel!
C17H17Cl2N (Sertralin), Chlor
C18H13ClFN3 Midazolam, Dormicum, Beruhigungs, Schlafmittel bei Hinrichtungen
Neuroleptika Psychose, Schizophrenie-> Chlor, Fluor
C20H25N3O LSD
C21H23NO5 Heroin
C21H23ClFNO2 Haloperidol, Chlor, Fluor!
C23H27FN4O2 Risperidon, Fluor!
C23H27Cl2N3O2 Abipiprazol, Abilify Man wird fett, aber wie, Chlor, Fluor
C21H31N5O2 Buspiron Beruhigungsmittel

C26H37N5O2 Cabergolin, Cabergolin imitiert als Agonist an Dopaminrezeptoren
Schmerzmittel
C17H19NO3 Morphin
C18H21NO4 Qxicontin,Oxycodon Eukodal(Adolf) Opium USA 70.000 Tote/jahr
C18H21NO3 Codein, Opiat,
C22H28N20 Fentanyl, Opium
Und alle Zusatzstoffe, wie Fluor, Schwefel, Chlor, BSE-Spikeproteine, Graphenoxid und ähnliches Zeug, kann man jetzt ohne das Trojanische Pferd, wie Heroin, Kokain, Opium u.s.w., durch die mit 5G Mikrowellen geöffnete Blut/Hirnschranke ins Gehirn und durch den löchrigen Darm, ungefiltert durch die Leber in die Organe schicken. Das ist der Höhepunkt der menschlichen Perversion!






Implantate in der Ionosphäre und Schiffsradar 5G überall!

Wenn sie weiter das Gehirn der Erde, die Ionophäre mit Mikrochips, sprich Satelliten-Implantate stören und auf der Erde die nötige Schumanfrequenz alles Lebens 7,83 Hertz, praktisch nirgenswo mehr vorhanden, sondern 2G, 4G, 5G, 10G, 30G, 80G und Flussdichten statt 0,0000000001 Mikrowatt/m², mit bis zu bis
2.000.000 Mikrowatt/m², gestattet sind, was machen dann die Gehirnzellen der Erde, wie beim Menschen, oder die Erddarmbakterien der Erde und unsere? Also beim Menschen entstehen Tumore im Kopf/Körper und Demenz im Gehirn und Leaky Gut im Darm, tja und mit den Oberflächen Wasseradern
der Erde siehe unten, die versiegen auf nimmer wiedersehen, siehe dazu  den Mars! Ich liebte ein Mädchen auf Erden, da hatte ich nur noch Beschwerden, ich liebte ein Mädchen auf dem Mars, ja das war`s!

Ich nutze maximal das Fahrrad, aber ohne ein Smartphone dabei zu haben, welches sich bei jedem Mobilfunkmast, oder Smartcell anmeldet und zwar mit schädlichen 3000-6000 Mikrowatt/m² und in der Wohnung das selbe bei den Rauchmeldern in der Wohnung, alle  6 Sekunden und das 24h lang. Aber auch die Routen, die ich gehe, oder fahre, habe ich vorher ausgemessen, auf minimalstes WLAN  und in allen Geschäften, am schlimmsten Post, oder Bank, da halte ich mich nur ganz kurz auf, weil ich das Gefühl habe die Mitarbeiter dort sollen entsorgt werden, unsere Innenstadt ist bald leer gezogen, wie Clearwater in den  USA.
Letztens habe ich festgestellt ich wollte jemanden die Fritzbox anschließen und habe das WLAN dabei abgestellt, weil ich das Internet LAN nutzen wollte. Ich hatte den HF-Analyser zu laufen und trotzdem das WLAN-Lämpchen verloschen war, strahlte die Box, wie beim eingeschalteten WLAN mit > 50.000 Mikrowatt/m².
Erst als ich den Netzstecker zog beruhigte sich der  HF-Analyser auf 1 Mikrowatt/m². Das ist Körperverletzung, der Vertrag mit Vodafone, wird heute gekündigt!
Und in der S-Bahn, U-Bahn, Regionalbahn, oder ICE überall WLAN und die Leute telefonieren, oder suchen im Internet und die nicht benutzten Smartphones melden sich  auch im Flugmodus in der Bahn beim Router an, alle  6 Sekunden bei jedem Passagier, das ist die Elektro-Smoke-Hölle.
NIE WIEDER BUS, BAHN, oder Taxi, da ist das Gleiche und beim E-Auto sind zwischen 6000 bis zum Höhepunkt dem TESLA mit 30.000 nT im Innenraum. Ab 200 nT=Tumorbildung, ebenso bei > 10Mikrowatt/m². In der Bahn habe ich > 6.000 Mikrowatt/m² gemessen. Tja mein Internet LAN-Banking funktioniert seit 1 Woche nicht mehr, wahrscheinlich ist das Seal one- Daten Übertragungsgerät auch manipulierbar wo ich vorher mit dem TAN Generator Jahre lang Null Probleme hatte, die Telekom will einen zwingen zu 5G. 6 Desktoprechner  habe ich mobilisiert, bei einem funktionierte das Gerät 2 Minuten, ich wählte mich bei der Post ein plötzlich ein Pfeifen im Lautsprecher  und auf dem Gerät blinkten die Pfeile, d.h. keine Verbindung. Nun gut ich habe Papierüberweisungen ausgefüllt muss heute einmal in die Hölle Post und zurück, ist wie früher Spießrutenlaufen, nur dass man die Mikrowellen-Peitschen-Hiebe nicht spürt.





https://homepagedesigner.telekom.de/.cm4all/uproc.php/0/.400743778_6551086908351272_7615736277921423186_n.jpg/picture-400?_=18bd45bd8d8






















Der CO2-Steuer den Boden entziehen:

Neue Studie bestätigt: CO2 hat nichts mit Klimawandel zu tun und kältere Zeiten stehen bevor Dr. Peter F. Mayer (tkp)
Wie kürzlich in einem TKP-Artikel über CO2 dargelegt, führen niedrigere Temperaturen auch zu einem Absinken der CO2-Spiegel in der Atmosphäre durch erhöhte Aufnahme in den Ozeanen. Am Ende der letzten Glazialzeit war der Spiegel mit 182 ppm bereits gefährlich nahe am Kipppunkt von 150 ppm, bei dem das Pflanzenwachstum endet. Stuart hält daher auch fest:
Ein niedriger Kohlendioxidgehalt in der Atmosphäre während kalter Ereignisse könnte dazu führen, dass zu wenig von diesem Gas vorhanden ist, um die Photosynthese in Pflanzen zu unterstützen, was zur Auslöschung des meisten Lebens auf der Erde, wie wir es kennen, führen würde.“
In den Schlussfolgerungen wird das Thema CO2 nochmals so aufgegriffen:
„Kohlendioxid ist ein Gas, das für das Leben, wie wir es kennen, von grundlegender Bedeutung ist. Wenn seine Konzentration in der Atmosphäre zu niedrig wird, stirbt der Großteil der Lebewesen auf der Erdoberfläche ab, und die Oberfläche wird so unfruchtbar wie die der anderen Planeten im Sonnensystem [31,43]. Es scheint keinen Zusammenhang zwischen Kohlendioxid und der Temperatur auf der Erde zu geben [14,19,28,29,43,44,45,46]. Dementsprechend müssen die politischen Entscheidungsträger ihre Politik dahingehend ändern, dass Kohlendioxid nicht mehr unter der Erde vergraben wird, keine großen Summen öffentlicher Gelder an ausländische Firmen für den Bau von Batteriefabriken fließen und wir erkennen, dass wir die Öl- und Gasindustrie auch in Zukunft brauchen werden. Sie ist ein wesentlicher Bestandteil der Wirtschaft, und für die Zukunft notwendige Pipelines sollten ernsthaft in Betracht gezogen werden. Die Erdgassteuer sollte abgeschafft werden.“
Weitere wichtige Punkte der Arbeit sind:
Der Klimawandel in der Vergangenheit und in der Gegenwart wird durch Schwankungen des Sonnenzyklus (Milanković) und deren Auswirkungen auf die Ozeanzirkulation und den Wärmetransport bestimmt. In den letzten Hunderttausenden von Jahren gingen die Temperaturänderungen den nachlaufenden CO2-Veränderungen voraus. Der natürliche 23-tausendjährige (23 ka) Milanković-Zyklus hat begonnen, die Sonneneinstrahlung in der Nordhemisphäre “ab 2020” zu verringern, und dies “kündigt den Beginn der nächsten Eiszeit an”.


Das habe ich dazu gefunden auf Facebook:
"SCHOCK! Rechtsanwalt Todd Callender: „Die Regierung wird mit 5G die tödliche Marburg-Pandemie auslösen.“ Covid war ein Test. Der Einsatz von 5G zur Auslösung der Freisetzung eines zuvor injizierten Krankheitserregers über Covid-Seren wurde bereits erforscht und getestet, und in den USA sind die rechtlichen Instrumente zur Bewältigung einer Marburger Pandemie bereits vorhanden. In Afrika, wo die WHO und Bill Gates ihre experimentellen Impfstoffe testeten, kam es zu Ausbrüchen des viralen hämorrhagischen Fiebers. Lipid-Nanopartikel sind voller verschiedenster Krankheitserreger. Mithilfe eines 18-Gigahertz-Signals schwellen diese Lipid-Nanopartikel an und geben beim Anschwellen ihren Inhalt ab. Allein elektrische und magnetische Felder oder EMF-Signale können Symptome hervorrufen, die jede dem Menschen bekannte Krankheit nachahmen. Dies ist nur eine der vielen Methoden, mit denen sie die Menschheit zerstören." Sie sind entschlossen, uns zu zerstören. Und davon hatte Angela keine Ahnung, sie hat das, allein, intuitiv, durch ihre starke Persönlichkeit, 16 Jahre, verhindert! Helmut Kohl, eiskalt, wusste Bescheid, seine Frau hat sich das Leben genommen und Angela hat ihn geschickt beiseite geschoben, denn der war ohne Skrupel. Donald Trump ging von Anfang an, aktiv, dagegen vor und Ihr seht wie man den jetzt zerlegt. Auch Angela will man weg beamen, denn sie ist viel klüger und diplomatischer als Donald! Irgendwann werden Wladimir und Angela in der Transsibirischen Eisenbahn unsere Befreiung vom Wolfsgesetz, des Römisch Katholischen Medizinischen Faschismus, den 2.Teil des "Großen Vaterländischen Krieges", des Russischen Volkes, nämlich den Medizinischen Teil, unter Wladimir Putin, feiern!


Ein Beitrag aus Italien:

"SCHOCK! Rechtsanwalt Todd Callender: „Die Regierung wird mit 5G die tödliche Marburg-Pandemie auslösen.“ Covid war ein Test. Der Einsatz von 5G zur Auslösung der Freisetzung eines zuvor injizierten Krankheitserregers über Covid-Seren wurde bereits erforscht und getestet, und in den USA sind die rechtlichen Instrumente zur Bewältigung einer Marburger Pandemie bereits vorhanden. In Afrika, wo die WHO und Bill Gates ihre experimentellen Impfstoffe testeten, kam es zu Ausbrüchen des viralen hämorrhagischen Fiebers. Lipid-Nanopartikel sind voller verschiedenster Krankheitserreger. Mithilfe eines 18-Gigahertz-Signals schwellen diese Lipid-Nanopartikel an und geben beim Anschwellen ihren Inhalt ab. Allein elektrische und magnetische Felder oder EMF-Signale können Symptome hervorrufen, die jede dem Menschen bekannte Krankheit nachahmen. Dies ist nur eine der vielen Methoden, mit denen sie die Menschheit zerstören." Sie sind entschlossen, uns zu zerstören. Das habe ich letztens unter Peter Gutschmidt ausführlich erläutert wie das geht, das wollte man mir schon 2019 nicht glauben, als ich mit meinem HF-Analyser und NF-Analyser, überall Messungen durchgeführt habe, Bis heute lächeln meine Idioten von Kollegen über mich. In der Psychiatrie, hatte ich 2012 einen TECHEM Rauchmelder über dem Bett der permanent 500 Mikrowatt/m² strahlte und meine Zirbeldrüse, das weiß ich erst heute, konnte kein Melatonin bilden und ich brauchte 2 Monate jeden Nacht eine Tavor um 4 Stunden schlafen zu können, pervers!


Vergleich reine Drogen, oder Botenstoffe mit Psychiater Drogen

C2H6O Ethanol AlkoholC7H16NO2 Acethylcholin Botenstoff im Gehirn
C4H7NO4 Asparaginsäure, zerstört die Myelinschicht der Nerven->Multiple Sklerose
C8H11NO2 Dopamin Antriebshormon, aus Phenylanalin
C8H10N4O2 Coffein
C8H17NO2 Pregabalin , Lyrica Angstörungen
C8H16O2 Valproat, Valproinsäure Medikament gegen Schizophrenie
C9H11NO2 Phenylanalin über die Nahrung zur Dopamin und Tyroxinbildung (Schilddrüse)
C9H20NO2+ Muscarin Pilzgift, Herzlähmungen dockt an Acethylcholin-Rezeptor an, wie Nicotin
C10H12N2O  (Serotonin) Botenstoff Glückshormon
C10H15N Methamphetamin, Meth, Crystal Meth, Pervitin(Adolf) Panzerschokolade
C10H14N2 Nicotin
C11H12N2O2 Tryptophan über die Nahrung dient der Serotoninbildung
C11H17NO3 (Mescalin)
C11H17NO3·HCl  (Mescalin·Hydrochlorid)
C11H15NO2 Ecstasy
C13H16N2O2 Melatonin Schlafhormon der Zirbeldrüse
C14H18N2O5 Aspartam, Süssstoff zerfällt in Phenylanalin, Methylalkohol, Asparaginsäure
C15H10Cl2N2O2 Tavor, Lorazepam Schlafmittel
C15H11I4NO4 (Levothyroxin) Thyroxin, wird in der Schilddrüse gebildet
C15H10I4NNaO4 (Levothyroxin-Natriumsalz)
C16H13ClN2O2 Temazepam starkes Schlafmittel
C16H13ClN2O Valium, Diazepam, Faustan(DDR)
Antidepressiva
C17H21NO4 Kokain
C17H19N3 Mirtazapin
C17H20N4S Olanzapin/Zyprexa in USA 100.000 Tote/Jahr
C17H17Cl2N (Sertralin)
C18H13ClFN3 Midazolam, Dormicum, Beruhigungs, Schkafmittel bei Hinrichtungen
Neuroleptika 
C20H25N3O LSD
C21H23NO5 Heroin
C21H23ClFNO2 Haloperidol, Chlor, Fluor
C23H27FN4O2 Risperidon
C23H27Cl2N3O2 Abipiprazol, Abilify Man wird fett, aber wie
C21H31N5O2 Buspiron Beruhigungsmittel
Schmerzmittel
C17H19NO3 Morphin
C18H21NO4 Qxicontin,Oxycodon Eukodal(Adolf) Opium USA 70.000 Tote/jahr
C18H21NO3 Codein, Opiat,

C22H28N2O Fentanyl
Fentanyl (auch Fentanil) ist ein synthetisches Opioid,
Und alle Zusatzstoffe, wie Fluor, Schwefel, Chlor, BSE-Spikeproteine, Graphenoxid und ähnliches Zeug, kann man jetzt ohne das Trojanische Pferd, wie Heroin, Kokain, Opium u.s.w., durch die mit 5G Mikrowellen geöffnet Blut/Hirnschranke ins Gehirn und durch den löchrigen Darm, ungefiltert durch die Leber in die Organe schicken. Das ist der Höhepunkt der menschlichen Perversion!


Die USA sehen sich mit einer regelrechten Fentanyl-Flut konfrontiert. 

Um die Einfuhr der Droge zu kontrollieren, haben US-Behörden nun Sanktionen gegen Unternehmen in China und Kanada ausgesprochen.

Fentanyl überschwemmt seit geraumer Zeit die Straßen der USA. Das synthetische Opioid kann, ähnlich wie Heroin, gespritzt werden. Aber auch als Pulver oder Pillen wird die Droge konsumiert. Im Kampf gegen die Fentanylkrise hat das US-Justizministerium am Dienstag Klage gegen acht Unternehmen und Mitarbeiter in China erhoben. Ziel: Die Einfuhr der tödlichen Droge soll unterbunden werden.
C22H28N2O Fentanyl
Fentanyl (auch Fentanil) ist ein synthetisches Opioid, das als Schmerzmittel (Analgetikum) in der Anästhesie (bei Narkosen) sowie zur Therapie akuter und chronischer Schmerzen, die nur mit Opioidanalgetika ausreichend behandelt werden können, eingesetzt wird. Es wird als Injektion, transdermales Pflaster, oral-transmukosale Zubereitung und als Nasenspray verwendet und gilt als unentbehrliches Arzneimittel der WHO.[10]
Fentanyl wirkt als Agonist am μ-Opioidrezeptor.[11] Fentanyl ist als Arznei- und Rauschmittel unter anderem dem deutschen und Schweizer Betäubungsmittelgesetz sowie dem österreichischen Suchtmittelgesetz unterstellt. In den Vereinigten Staaten ist Fentanyl das Arznei- oder Rauschmittel, das wegen illegaler Nutzung 2021 zu den meisten Überdosis-Toten geführt hat (Opioidkrise in den Vereinigten Staaten).[12]
Denkt an den Opiumkrieg der Briten gegen China, welches dadurch komplett wirtschaftlich ruiniert wurde!


KRISENFREI.COM

Die neue Tesla-Technologie: Ein „Booster“ für das Frequenzfeld der Meditation – Krisenfrei
Im Wachzustand sollten wir Alpha Wellen, um 8 Hertz anstreben, das geschieht selten, denn in diesem Zustand bildet das Gehirn die höchste Form der Glückshormone, die Endorphine. Dazu gehört jedoch ein absoluter Glückszustand, den heute selten ein Mensch durchlebt, weil die Gesellschaft ihm diesen zerstört. Manche Menschen nehmen Drogen wie Heroin, auch da schwingt das Gehirn aber dann unter Zwang, ohne dass der Darm die entsprechenden Nährstoffe liefert im Alpha Bereich. Wenn ich jetzt das Gehirn künstlich über Frequenzgeneratoren in den Alpha Bereich bringe, das ist die zerstörerischte Form des Dopings, weil ich hier,das gesamte Nerven-, Drüsen- und Darmsystem umgehe , b.z.w., langfristig abschalte und es sich später Tumore bilden.

Im Alltag schwingt das Gehirn immer um 10-16 Hertz, wobei bei 16 Hertz das Gehirn anfängt zu überlasten und Tumorbildung einsetzt, deshalb die Wärmepumpen mit 16 Hertz Infraschall, die dann Nachts dafür sorgen,dass das Gehirn nicht runter schwingen kann, denn es muss erst in die Traumschlaf gleich Theta-Wellen von 8-4 Hertz runter schwingen, um dann in den Tiefschlaf, sprich den Bereich der Delta-Wellen 3-0,2 Hertz zu gelangen, wo sich der gesamte Organismus erholt und sich heilt! Durch die künstlich erzeugten 16 Hertz der Wärmpumpe,
Tag und Nacht ist man ständig im Stress und das Gehirn überlastet, ohne eine Denkleistung, ständig. Irgendwann fangen die Ohren an eine phasenverschobenen Frequenz von 16 Hertz zu erzeugen welche zur Auslöschung der 16 Hertz führen und man kann dann ruhig schlafen mit leichten Pfeifton im Ohr. Da kommt dann der kostenlose Hörtest und mit dem Hörgerät wird dann diese Fähigkeit des Gehirnschutzes zerstört.
Resumè, alles was hier der Mensch tut zerstört letztendlich das Gehirn mit all seinen Funktionen, denn all das steuert für jeden Organismus auf der Erde, die Ionosphäre, das Gehirn der Mutter Erde.
Sämtliche Funkwellen, bis 5G zerstören des Gehirn der Erde und unseres langfristig auf Dauer.TESLA hatte vieles richtig erkannt jedoch seine Mitarbeiter schwerst krank gemacht, wie heute Musk,deshalb hat man dessen Forschungen nicht weiter geführt, bis ein Wahnsinniger wie Musk das zu unserem Verderben voll durch zieht.
Wenn auch das Gehirn, durch die Ohren, geschützt ist, der Körper wird durch diese
Beta-Wellen > 8 Hertz bis 35 Hertz schwer krank gemacht, denn in diesem Bereich liegen
all unsere Krankheiten, auch Corona, die man auf die Mobilfunkfrequenzen und auch Niederfrequenzen auf moduliert.

KRISENFREI.COM

Ist Wettermanipulation Science Fiction oder bereits Realität? – Der militärisch-industrielle Komplex verfügt über ein milliardenschweres Arsenal, von dem du nichts wissen sollst!

"Aus militärischer Sicht ist HAARP eine Massenvernichtungswaffe, die in der äußeren Atmosphäre wirkt und in der Lage ist, landwirtschaftliche und ökologische Systeme auf der ganzen Welt zu destabilisieren."
Ich habe einmal einen wunderbaren Naturbericht gesehen, in dem die Erde als Lebewesen beschrieben wurde, dem Menschen ähnlich. Seit dem suche ich nach Vergleichen, wie das Gehirn unserer Erde ist die Ionosphäre. Der Dünndarm der im Menschen sämtliche Lebensmittel wachsen lässt in denen Energie, oder Vitamine, Mineralien u.s.w.,enthalten sind, ist das Ackerland, welches in der Natur eigentlich nie frei liegt, sondern mit für Mensch und Tiere, die jeweilige Urnahrung  aus dem Erdreich bewachsen ist, welches Billionen von Darm/Erdbakterien für uns organisch aufbereiten. Im Dickdarm, welcher mit Ballaststoffen, wie das Fracking Gestein angereichert ist binden sich alle Schadstoffe, die dem Ackerland und dem Grundwasser, also den Adern im Innern der Erde schaden könnten. Am Meeresstrand und im Erdreich filtert der feine Sand, oder der Kies das Wasser und Kohle haltige Schichten wirken antibakteriell.
Die "Mutter Erde" hat uns mit ihren Funktionen in unserem Körper geboren und so wie uns heute 5G HF- und vom Strom erzeugte NF- Frequenzen schwer schädigen, tun die das bei der Natur der Erde ebenso. So wird das Gehirn der Erde durch Satelliten, die wie Musk-Implantate wirken und eben Haarp das gesamte Gehirn und somit die Wetter-, Klima-, aber auch unsere Steuerung durch die Ionosphäre, die Instinkte, der Tiere und alles andere Durcheinander gebracht und im Boden die Bodenbakterien getötet, so dass genau wie beim Menschen Dünndarm Löcher, Leaky Gut, oder totes Krebsland, nicht wächst mehr, entsteht. Ebenso zerstört man durch Fracking die Ballaststoffe und ihr Inhalt an Schadstoffen, verseucht das Grundwasser und Ackerland.
Ja das ist nur ein Bruchteil der Erkenntnisse Mensch/Erde-Zusammenhang und wenn wir nicht schnell handeln gehen wir drauf ohne je begriffen zu haben, dass wir wie Kaiser Nero Muttermörder sind!


KRISENFREI.COM
Superreiche scheffelten in der Corona-Zeit Billionen – Krisenfrei

Schaut, das sind die Auswirkungen, weil man nach 1945, nur den KZ-Arzt, Dr. Mengele und den Dr. Morell hingerichtet hat und ein Gesundheitsunwesen, nach 1950, ganz homöopathisch, nach dem gleichen Prinzip der KZ-Versuche in Deutschland, Polen,u.s.w., und der Japaner in der Mandschurei, die da Nahrungszusatzstoffe am geöffneten Körper der Mandschuren solange zuführten bis sich irgendwo ein Tumor bildete. Das wurde in der Schweiz, den USA, GB und überall auf der Welt dann in die ehemaligen Lebensmitteln eingebaut, wie auch in ihre >15.000 Fake- Tabletten, allein in Deutschland, wo sie bisher etwa 30.000 künstliche Krankheitssymptome gebaut haben. Mit der Erkenntnis, dass jede Krankheit eine Beta-Frequenz hat, also zwischen > 8 Hertz und 35 Hertz liegt, kann man diese auf 2-5 G und höher, wie auch auf die Niederfrequenzen auf modulieren und die Menschen über, die Kommunikation, gleichzeitig krank machen oder töten, in dem man eine phasenverschobene Eigenfrequenz, eines jeden Organs schicken kann, an dem der jeweilige Mensch schwächelt, plus die Blut/Hirnschranke öffnen und den Darm löchrig machen, Leaky Gut. Das bekommt man über Gesichtsdiagnostik unserer Digitalfotos heraus. Erarbeitet hat das ein Student der in den USA von Gefängnis zu Gefängnis gezogen ist und Gesichtslinienveränderungen an mit Psychiater Drogen und EMF`s- behandelter Häftlinge skizziert hat und daraus ist ein Corona-Vernichtungswerk ungeheuren Ausmaßes, weltweit, entstanden.


Erneut Maßnahmen gegen Corona-Virus?

"Medienberichten zufolge steigt die Zahl der COVID-19-Fälle in Deutschland weiter an. Nach Angaben des Robert-Koch-Instituts wurden in der vergangenen Woche mehr als 4.000 Fälle festgestellt. Das sind mehr als doppelt so viele wie noch vor einem Monat."
Sterberate der Deutschen: 12/1000
Normal <5/1000
Also 700.000 Deutsche/ Jahr könnten weiter leben, wenn das Gesundheitunwesen und die Nahrungsmittelindustrie reformiert werden.
15.000 Medikamente auf < 500 reduzieren, wegen der Nebenwirkungen und Mortalität!
Beispiele in den USA:
Zyprexa/ Olanzapin, > 100.000 Tote/Jahr
Oxicontin                       70.000 Tote/Jahr
Hier müssen wir ansetzen und 4-5G, wie in Russland, abschaffen!


Diese so genannte Corona-App funktioniert, wie die

Parkinson-App der Briten.
Ich habe hier bei den Smartphone-Mikrowellschleudern Flussdichten-Maxima von 150.000 Mikrowatt/m² gemessen.
Durch Smartmeter/Rauchmelder  verstärkt, die wie Repeater funktionieren etwa 800.000 Mikrowatt/m², im WOHNZIMMER.
Unsere Lebensfrequenz der Ionosphäre, die alles Leben auf der Erde, bis zu den Bodenbakterien und natürlich uns steuert und uns gesund hält und notfalls macht, beträgt 7,83 Hertz mit einer sanften Flussdichte von 0,0000000001 Mikrowatt/m². In den Baubiologischen Richtlinien von 2015, genehmigt man 0,1 Mikrowatt/m² im Schlafzimmer, was schon das Billionen Fache der natürlichen Flussdichte ist. In meiner Wohnung hatte ich schon 4 Stunden Attacken der Rauchmelder um die 60.000 Mikrowatt/m² mit Spitzen bis zu > 800.000 Mikrowatt/m² gemessen und in Excel ausgewertet. Die Frequenz der Rauchmelder und Smartmeter sollte 868 MHz sein, ein spezielles Einmeßgerät für diese Frequenz das EQ3-RFA ,schlug überhaupt nicht an, wenn die Firma Metrona- Brunata-München Preambeln 7x Monat, erlaubt einige Millisekunden, 1-2-3-4 Stunden lang mit den, o.g. wahnsinnigen Schiffsradar Flussdichten, was sich auf dem Analyser, wie ein Formel 1 Rennen vor dem Start anhörte, also Vollgas runter auf Null, Vollgas runter auf Null, in allen möglichen Varianten sendete.
Das perfide war ich konnte das NUR mit einem vor 2007 gebauten HF-Analyser von Gigahertz messen, das Nachfolgemodell gleicher Bauart schlug nicht an, wie alle anderen verschiedenen für fast
2000 € gekauften und parallel eingeschalteten Messgeräte, die all ruhig blieben, jedoch mein altes Gerät schrie auf, denn bei 2500 Mikrowatt/m² war Ende und es waren
60.000 Mikrowatt/m². Eines was bis 20.000 Mikrowatt/m² messen konnte alarmierte mich erst, als die, die Frequenz änderten, es lud sich auf und versagte. Erst nach Minuten wenn sich ein Kondensator entladen hatte, funktionierte es wieder. Tja um die Kurve zu kriegen, diese jetzt 5G Frequenzen bringen nun die Präsynapsen, die mikroskopisch klein sind und in denen sich Dopamin bildet zum Schwingen, heiß laufen und austrocknen. Also kein Dopamin mehr welches Trieb, Antrieb und Bewegungsabläufe steuert.Ebenso geschieht das mit dem Acetylcholin was für das merken  und  denken zuständig ist. Ist nun eine bestimmter Mangelzustand erreicht beginnt a.) der Parkinson-Wackelgang,
langsam schleichend was die APP des an der Po-Backe getragenen Smartphone registriert. Die Corona-App könnte jetzt wie ein Flussdichte Speicher funktionieren und ist eine bestimmte Menge an Mikrowatt/m² aufgelaufen, meldet sich das Handy. Entweder b.) das Aufsummieren der in einem Zeitraum, wie die unten  2473582 µW/m², schlägt irgendwann Alarm, oder die Flussdichte/Sekunde, wie unten 15557 µW/m²/Sec. überschreiten einen Grenzwert, denn 2009 wenn man den Teilnehmer rief war eine Flussdichte von etwa 1200 Mikrowatt/m² zu verzeichnen, jedoch wenn man dann telefonierte waren es, „nur noch 200 Mikrowatt/m²“, heute bis 800.000 Mikrowatt/m².
Wie sollte eine Smartphone App anders funktionieren, als mit Mikrowellen??? Also 5G-Corona mit aufgesetzten Beta-Frequenzen, die Krankheiten entsprechen.
Beispiel:
A10 Center bei Hallhuber 3.08.23
Soll geschlossen werden, siehe die EMF-Belastung
der Verkäuferinnen, max. 10µW/m² dürften sein!
EMF-390 Data
Date Time µW/m²
2023/08/03 13:42:21 1206 WiFi/Phone
2023/08/03 13:42:22 1283 WiFi/Phone
2023/08/03 13:42:23 2418 WiFi/Phone
2023/08/03 13:42:24 9544 Power Line
2023/08/03 13:42:25 11843 Power Line
2023/08/03 13:42:26 9919 Power Line
2023/08/03 13:42:27 7633 Power Line
2023/08/03 13:42:28 3963 Power Line
2023/08/03 13:42:29 3641 Power Line
2023/08/03 13:42:30 14694 Power Line
2023/08/03 13:42:31 3476 Mixed
2023/08/03 13:42:34 14694 Power Line
2023/08/03 13:42:35 11934 Power Line
2023/08/03 13:42:36 24431 Mixed
2023/08/03 13:42:37 19540 Power Line
2023/08/03 13:42:38 26185 WiFi/Phone
2023/08/03 13:42:39 26388 Mixed
2023/08/03 13:42:40 23149 Mixed
2023/08/03 13:42:41 30312 WiFi/Phone
2023/08/03 13:42:42 30080 WiFi/Phone
2023/08/03 13:42:43 25984 Mixed
2023/08/03 13:42:44 24431 Mixed
2023/08/03 13:42:45 71820 Mixed
2023/08/03 13:44:50 5354 Mixed
2023/08/03 13:44:51 5873 Mixed
2023/08/03 13:44:52 5272 WiFi/Phone
2023/08/03 13:44:53 1215 WiFi/Phone
2023/08/03 13:44:54 3503 WiFi/Phone
2023/08/03 13:44:55 1695 Mixed
2023/08/03 13:44:56 1948 WiFi/Phone
Summe 3 Minuten 2473582 µW/m²
15557 µW/m²/Sec.

Eine mir eben eingefallen Hypothese wäre, wenn Beispielsweise, ihr WUHAN-Corona eine Frequenz von 20,001111 Hertz hätte, sie das auf 5G aufmodulieren, und einer das ständig empfängt bis eine Sättigung erreicht ist, die jetzt einen Krankheitsausbruch entsprechen könnte. Venceremos An den Corona Teststellen, die immer in der Nähe von Mobilfunkantennen standen, habe ich zwischen 30.000 Mikrowatt/m² bis 80.000 Mikrowatt/m² gemessen.


Urteil im Fall Corona-Richter: Zwei Jahre Haft – Krisenfrei

Ich hätte den Richter verklagt, der den Familien-Richter verurteilt hat, weil er sich nicht sachkundig gemacht hat was Corona ist und dass da eine Maske tötlich sein kann, denn durch 5G und die hohe Mikrowellenbelastung heute überall und durch die Rauchmelder bis 10G Schleudern können, der Sauerstoffgehalt im Blut der Kinder in den so hoch belasteten Schulen nur noch 38% ist und wenn man jetzt noch eine Maske aufsetzt ist die Sauerstoffsättigung mit Bestimmtheit noch 10% geringer und es kann zu Hirnschäden kommen. Weiterhin ist durch die starken Mikrowellen die Blut/Hirnschranke geöffnet für allen Fakenahrungsdreck und die Impfstoffeinhalte, die erst in 70 Jahren offen gelegt werden. Also diese Justiz brauchen wir nicht, wir müssen das durch die Clanchefs, oder Paten klären lassen, so geht das nicht weiter
KRISENFREI.COM


T-ONLINE.DE

Geht es Putins Schwarzmeerflotte erneut an den Kragen? Ukraine kündigt Drohnen-Offensive an
Der ukrainische Geheimdienst SBU spricht erstmals offen über Angriffe gegen Russland. Die jüngsten Schläge im Schwarzen Meer seien nur der Anfang.

45 Jahre UdSSR, gesicherte Arbeitsplätze, gerechte Löhne, faire, gesicherte  Preise, niedrige Mieten,  gesicherte Wohnungen, Frieden in allen Sowjetrepubliken und nun hat man dem Westen das Tor zur eigenen Vernichtung geöffnet,  für was??? da ist

ein Esel schlauer als die Ukrainer:
Aisopos schrieb vor 2500 Jahren folgende Fabel:
"Ein Mann trieb einen Esel auf die Weide vor seiner Stadt.
Plötzlich rückten Feinde an, um seine Stadt zu bekriegen.
"Komm schnell her", sagte der Mann, "wir müssen fliehen"
sonst fängt man uns."  Der Esel rupfte ruhig weiter sein
Gras und meinte kauend:"Erlaube gütigst glaubst du,
dass ich bei deinen Feinden, falls sie siegen, zwei Sättel
tragen muss? der Mann verneinte das. "Nah also "sagte der
Esel,"was liegt mir daran, wessen Sklave ich  heiße? Solange
ich Sklave bin: Einen Sattel trage ich immer."
Unter der UdSSR, trugen die Ukrainer 1 Sattel.
Als Arbeitsnormer der DDR, habe ich für den Arbeiter in der
BRD 1995 etwa, je nach Gewerk, 1,5 bis 2 Sättel/Esel ausgerechnet.
Bei TESLA in Grünheide, oder bei Amazon tragen die Esel 3 Sättel.
Dafür die vielen Toten?
Unter Russland würden sie wieder einen Sattel tragen!
"Eine noch treffendere Fabel von Aisopos ist die folgende:
Einst lebte ein Pferd auf einer herrlichen Weide, die beschützt
war von stolzen schimmernden
Felsen und durch rieselt von kühlen, klaren Bächen.Da kam der
Hirsch aus dem Wald  daher gestürmt, zertrat das Gras und
verschmutzte das Wasser.
Das Pferd wollte sich an dem Übeltäter rächen.
Es war an Schnelligkeit dem Hirsch nicht gewachsen. da kam der
Jäger vom Berg herunter   und bot seine Hilfe an.
Er sagte:"Ich verspreche die deinen Feind abzuwehren. Doch Du
musst mir gestatten, die einen Zaum ins Maul zu legen und
deinen Rücken zu besteigen.
Das Pferd willigte ein. der Jäger zäumte das Pferd und bestieg es.
Bald lag der Hirsch vom Speer des Jägers durchbohrt, am Boden;
doch das Pferd erkannte zu  spät, dass es nunmehr der Sklave des Jägers geworden war."( Black Rock lauert schon!)
Die Fabel ist von mir die kündigt die Folgezeit an:
Genau wie die Wessis den Ossis" Wir sind ein Volk" einsuggeriert haben und die Wirklichkeit nach Ami-Methode Reservat, Volkseigentum geklaut!, Ernährung umgestellt, Lebensmittel getötet (wie einst die Büffel abgeknallt), Industrie zerkloppt und alles geht langsam vor die Hunde, und wenn was Neues erblüht
Unkrautvernichtungsmittel, plus Gen-Kacke, plus Medizinbomben mit chemischem Langzeitzündern und Harakiri- Ärzte die alles raus schneiden, statt mit Urkost zu reparieren
T-ONLINE.DE

Sträflinge, ländliche Herkunft, unerfahren: Diese Männer kämpfen für Russland an der Front
Wer kämpft für Russland in der Ukraine? Viele Daten sind lückenhaft – allerdings lassen sich einige Tendenzen erkennen.

Es ist so wenn man nicht wie die Nordkoreaner, täglich an die Verbrechen, der USA erinnert und alle seine jungen Männer den Wehrdienst durchlaufen lässt, dann passiert es, leider, dass die Jugend, die hier vom Westen geblendet wurde,

wie wir DDR-Bürger, dass die, die Gefahr nicht mehr sehen und da es auch immer weniger Sitte ist auf die alten Hexenmeister, ob es nun die Veteranen, oder die Industriealtmeister, oder Ingenieure, die 45 Jahre Erfahrungen gesammelt haben
auf denen man aufbauen müsste, zu hören und ihren weisen Rat zu befolgen. Das ist dann das das Ergebnis, dass die reichen jungen Leute flüchten, oder sich frei kaufen, wie im alten Rom und man dann auf Söldner angewiesen ist und wenn die nicht
straff geführt werden und ordentlich bezahlt, verdingen die sich an den Feind. Das hat Karthago und letztendlich Rom den Untergang gebracht. Nun hat man doch gesehen wo hin das führt wenn sich die Offiziere der DDR und der UdSSR bestechen lassen, das war der Untergang der DDR und beinahe Russlands.
Aber ich bin zuversichtlich, dass Russland die Kurve bekommt.
Und noch eines wenn zu Intelligente in der Armee sind ,die denken zu viel nach, ein Soldat muss einfach gestrickt sein seine Braut die Waffe lieben und sie perfekt wie im Schlafe
einsetzen können, das kann nur ein einfacher Mensch, darum ist dieser in diesem Falle mehr wert als alle IT`s zusammen. und ich denke in Russland weiß man das zu würdigen.
Wenn man einem Sträfling die Möglichkeit gibt sich zu rehabilitieren und er überlebt das wird der ein guter Mensch!
Wenn man das aussichtslose Elend in US-Gefängnissen, wie ich in unzähligen Berichten gesehen habe und sich da eingefühlt hat, dann weiß man, die sind verloren, die werden nicht
mehr gesund aus der Hölle kommen, weil an denen die gemeinsten medizinischen Versuche ohne Zustimmung  durchgeführt werden.
Die 33 Jahre Wende, die sich Russland selbst zugeschrieben haben, das hätte jetzt ins Auge gehen können, jedoch ich denke Wladimir biegt das gerade.
Leider kann man den Psychopathischen Westen nur vernichten, sonst gibt der nie auf,das ist das Wolfsgesetz des heute Römisch Katholischen Medizinischen Faschismus mit  seinen Eidgenossen aus Cäsars Zeit! Die haben aus 1945 NICHTS dazu gelernt,NICHTS!
Sträflinge, ländliche Herkunft, unerfahren: Diese Männer kämpfen für Russland an der Front

T-ONLINE.DE

Leere Rentenkassen: Und wenn die Beamten einfach länger arbeiten?
Die Wirtschaftsweise Veronika Grimm schlägt vor, das Rentenniveau an die Lebenserwartung

Zuerst würde ich einmal prüfen, was alles an Versicherungsfremden Leistungen aus der Rentenkasse bezahlt werden. Ein Posten ist Wiedereingliederungskuren für junge Leute,die mit Drogen und Alkoholproblemen in die Psychiatrie gelangen, dort für etwa 400€/Tag, von der Krankenkasse bezahlt, im Durchschnitt 1-2 Monate mit Psychiater Drogen noch mehr zerstört werden und anschließend aus der Rentenkasse eine etwa 4 Wöchige

Wiedereingliederungskur bezahlt bekommen und danach, meist Früh verrentet werden, damit sie später das betreute Wohnen finanzieren können. Dann müssen die fast 1 Billion, die seit 1950 der Rentenkasse entnommen wurden,wieder zurück geführt werden, dann denke ich ist die Rentenkasse saniert.
Die sogenannten Beamten und Politiker dürfen nicht mehr als ein Arbeiter bekommen, denn deren Hände Arbeit, finanziert diese üppigen Pensionen!
Leere Rentenkassen: Und wenn die Beamten einfach länger arbeiten?

Karl Lauterbachs Gesetz zur Legalisierung von Cannabis ist ein Fehler: Das ist der Grund

Die Legalisierung würde noch mehr Menschen in die, ausweglose Sucht, treiben. Weiterhin wollen die, das ja kontrollieren und somit könnte die Polizei, legal,Hausfriedensbruch betreiben, wo sie heute schon, illegal, ständig, gegen die Würde des Menschen, die in Artikel 1, des GG, unantastbar sein soll, verstößt.

Der Gesundheitsminister sollte lieber Wege suchen die Sterberate der Deutschen,die am höchsten mit 12/1000 in Europa ist auf normal
< 5/1000 abzusenken und damit 700.000 Menschen /Jahr das Leben retten, die sonst keine Chance zum weiterleben haben.
Karl Lauterbachs Gesetz zur Legalisierung von Cannabis ist ein Fehler: Das ist der Grund
T-ONLINE.DE
Unterschied Ossi, Wessi= unüberwindbar! Meine Meinung!

Ich versuche dem Verfasser das als Ossi mal plausibel zu erklären!
Wir im Osten haten eine Gesellschaft, die nach Marxschen Naturgesetzen von Lenin, Stalin und Walter Ulbricht geschaffen wurden, einfach gesagt eine:
" Entwicklung vom Niederen zum Höheren"
und insofern realisiert, dass wir in einer Maslowschen Entwicklungspyramide von der Wiege bis zur Bahre,
durch den Staat abgesichert bis zur höchsten Stufe der individuellen Selbstverwirklichung zum Meister seines Faches kontinuierlich entwickeln konnten und so hatte man am Ende seines Lebens auch die höchste Form der gesellschaftlichen Anerkennung erreicht und wurde geachtet und geehrt,
wie man das heute noch am 9.Mai in Russland sehen kann wenn die alten  Veteranen vom Volke geehrt werden.
Das ist im Westen nicht so, da herrschen Abstammung, Beziehungen,  Ellenbogen, oder Arsch kriechen. Am Ende seines Arbeitslebens, ist man ein altes Auto und das Greta-Prinzip herrscht: "Jetzt sind wir Zauberlehrlinge an der Reihe!"
Ich bin nach 1989 so lange im Osten geblieben, bis mich Wessis aus meinem Betrieb geworfen haben, weil ich ihnen Unfähigkeit nachgewiesen habe. Es war ein Land der Arbeiterklasse, der Ingenieur war so zu sagen ihr Diener und das war gut so, denn die Praxis ist das Kriterium der Wahrheit und wenn mir ein Arbeiter lautstark bewiesen hat, dass ich der Jungingenieur, Mist gebaut
habe,war ich ihm dankbar und habe ihm nicht wie im Westen eine Abmahnung verpassen lassen, sondern ich habe mich dann mit dem Thema so lange befasst, bis ich sicher in die Werkstatt gehen konnte und sagen konnte, dass Paul recht hat, oder dem Paul erklären konnte, dass,so wie ich es kalkuliert habe funktioniert
es vielleicht besser,  wollen wir das einmal ausprobieren?
Was ich damit sagen wollte ich habe gelernt jeden Menschen in jedem Gewerk zu achten, von der Putzfrau, bis zum Werkleiter gleichermaßen und ich musste auch die raue Sprache der  Arbeiter kennen, respektieren und  deuten können, wenn die sich einmal Luft über uns Sessel Furzer, oder uns Arschlöcher gemacht haben.
So habe ich dann einmal einen Professor im Westen rund gemacht, beim dem hatte ich verschissen. Warum, weil hier im Westen die Menschen in der untersten Stufe der Maslowschen Pyramide, wie ihr Christentum, hängen geblieben sind: Fressen saufen vögeln!
Wenn man dann die Werbung liest der alte Mensch muss mit der blauen Pille genau so im Bett sein, wie ein junger Mensch, dann ist das für mich Pfaffen-Philosophie, weil das menschliche Niveau im Westen so niedrig, wie im Mittelalter ist, denn wir in der DDR, da war ein Professor nicht nur geistig sondern auch körperlich in einer ganz anderen Entwicklungsebene der Maslowschen Pyramide nicht beim niederen Glückshormon Serotonin, sondern im
Bereich der Endorphine, wo man in der Zufriedenheit und Glücksseeligkeit schwebt und fressen , saufen vögeln eine untergeordnete Rolle spielen, denn die langjährige
Partnerschaft hat sich dahin gehend auch weiter entwickelt.
Wenn man allerdings wie im Westen alle Jahre neu wieder durchstarten muss,  also von unten anfangen muss, dann ist man ein primitiver Wessi, zu dem ich in den 33  Jahren nur runter blicke, mitleidig, oder wenn er, was viele sind,  Psychopathen, also Zerstörer in allen Lebenslagen, dann gehe ich solche einem
Individuum aus dem Wege oder er bekommt von mir geistig eines auf den Zünder, das der mich gefälligst meidet
Mein Umfeld im Osten ist nun ähnlich dem Westen, also Eremit!
Und AfD der die wählt, also um die mache ich einen riesigen Pissbogen! Hier kann man gar keinen wählen, denn wenn eine Regierung ihr Volk, so demütigt, wie die letzten Jahre und mit 5G Corona rücksichtslos beseitigen will, bin ich behämmert, solche Mengeles auch noch zu wählen, das vergesse ich nie!
Dein Ossi – das unbekannte Wesen: Warum Ost und West einander noch immer nicht verstehen
T-ONLINE.DE
Dein Ossi – das unbekannte Wesen: Warum Ost und West einander noch immer nicht verstehen
Mehr als 30 Jahre nach dem Mauerfall scheint es keine Bereitschaft mehr


Modeladen Hallhuber im A10 Center wird geschlossen


A10 Center bei Hallhuber 3.08.23
Soll geschlossen werden, siehe die EMF-Belastung
der Verkäuferinnen, max. 10µW/m² dürften sein!
EMF-390 Data
Date                   Time    µW/m²
2023/08/03 13:42:21 1206 WiFi/Phone
2023/08/03 13:42:22 1283 WiFi/Phone
2023/08/03 13:42:23 2418 WiFi/Phone
2023/08/03 13:42:24 9544 Power Line
2023/08/03 13:42:25 11843 Power Line
2023/08/03 13:42:26 9919 Power Line
2023/08/03 13:42:27 7633 Power Line
2023/08/03 13:42:28 3963 Power Line
2023/08/03 13:42:29 3641 Power Line
2023/08/03 13:42:30 14694 Power Line
2023/08/03 13:42:31 3476 Mixed
2023/08/03 13:42:34 14694 Power Line
2023/08/03 13:42:35 11934 Power Line
2023/08/03 13:42:36 24431 Mixed
2023/08/03 13:42:37 19540 Power Line
2023/08/03 13:42:38 26185 WiFi/Phone
2023/08/03 13:42:39 26388 Mixed
2023/08/03 13:42:40 23149 Mixed
2023/08/03 13:42:41 30312 WiFi/Phone
2023/08/03 13:42:42 30080 WiFi/Phone
2023/08/03 13:42:43 25984 Mixed
2023/08/03 13:42:44 24431 Mixed
2023/08/03 13:42:45 71820 Mixed
2023/08/03 13:42:46 23508 Mixed
2023/08/03 13:42:47 22971 Mixed
2023/08/03 13:42:48 22795 Mixed
2023/08/03 13:42:49 23149 Mixed
2023/08/03 13:42:50 22795 Mixed
2023/08/03 13:42:51 22971 Mixed
2023/08/03 13:42:52 22795 Mixed
2023/08/03 13:42:53 22795 Mixed
2023/08/03 13:42:54 66496 Mixed
2023/08/03 13:42:55 22971 Mixed
2023/08/03 13:42:56 22620 Mixed
2023/08/03 13:42:57 22620 Mixed
2023/08/03 13:42:58 22795 Mixed
2023/08/03 13:42:59 21766 Mixed
2023/08/03 13:43:00 22103 Mixed
2023/08/03 13:43:01 22447 Mixed
2023/08/03 13:43:02 25391 Mixed
2023/08/03 13:43:03 25984 Mixed
2023/08/03 13:43:04 27005 Mixed
2023/08/03 13:43:05 10797 Mixed
2023/08/03 13:43:06 11572 Mixed
2023/08/03 13:43:07 8056 Mixed
2023/08/03 13:43:08 13816 Mixed
2023/08/03 13:43:09 8308 Mixed
2023/08/03 13:43:10 15508 Mixed
2023/08/03 13:43:11 14248 Mixed
2023/08/03 13:43:12 15038 Mixed
2023/08/03 13:43:13 8502 Mixed
2023/08/03 13:43:14 7872 Mixed
2023/08/03 13:43:15 14248 Mixed
2023/08/03 13:43:16 8437 Mixed
2023/08/03 13:43:17 8701 Mixed
2023/08/03 13:43:18 8634 Mixed
2023/08/03 13:43:19 15749 Mixed
2023/08/03 13:43:20 8701 Mixed
2023/08/03 13:43:21 8769 Mixed
2023/08/03 13:43:22 9183 Mixed
2023/08/03 13:43:23 9043 Mixed
2023/08/03 13:43:24 8568 Mixed
2023/08/03 13:43:25 8502 Mixed
2023/08/03 13:43:26 8769 Mixed
2023/08/03 13:43:27 15271 Mixed
2023/08/03 13:43:28 12026 Mixed
2023/08/03 13:43:29 22971 Mixed
2023/08/03 13:43:30 6151 Mixed
2023/08/03 13:43:31 1521 Mixed
2023/08/03 13:43:32 2653 Power Line
2023/08/03 13:43:33 14248 Mixed
2023/08/03 13:43:34 14922 Mixed
2023/08/03 13:43:35 14469 Mixed
2023/08/03 13:43:36 14808 Mixed
2023/08/03 13:43:37 15271 Mixed
2023/08/03 13:43:38 14808 Mixed
2023/08/03 13:43:39 17408 Mixed
2023/08/03 13:43:40 15508 Mixed
2023/08/03 13:43:41 13922 Mixed
2023/08/03 13:43:42 14694 Mixed
2023/08/03 13:43:43 14469 Mixed
2023/08/03 13:43:44 34025 Mixed
2023/08/03 13:43:45 14358 Mixed
2023/08/03 13:43:46 14030 Mixed
2023/08/03 13:43:47 10632 WiFi/Phone
2023/08/03 13:43:48 31021 Power Line
2023/08/03 13:43:49 22103 Mixed
2023/08/03 13:43:50 19540 Mixed
2023/08/03 13:43:51 16494 WiFi/Phone
2023/08/03 13:43:52 15038 WiFi/Phone
2023/08/03 13:43:53 12890 WiFi/Phone
2023/08/03 13:43:54 10550 WiFi/Phone
2023/08/03 13:43:55 13816 Mixed
2023/08/03 13:43:56 18515 Mixed
2023/08/03 13:43:57 13294 WiFi/Phone
2023/08/03 13:43:58 28943 WiFi/Phone
2023/08/03 13:43:59 32992 Mixed
2023/08/03 13:44:00 24244 Mixed
2023/08/03 13:44:01 62523 Mixed
2023/08/03 13:44:02 23873 Mixed
2023/08/03 13:44:03 23508 Mixed
2023/08/03 13:44:04 28065 Mixed
2023/08/03 13:44:05 89104 WiFi/Phone
2023/08/03 13:44:06 20308 WiFi/Phone
2023/08/03 13:44:07 19691 WiFi/Phone
2023/08/03 13:44:08 25984 WiFi/Phone
2023/08/03 13:44:09 23508 Mixed
2023/08/03 13:44:10 8437 Mixed
2023/08/03 13:44:11 19094 Mixed
2023/08/03 13:44:12 26185 Mixed
2023/08/03 13:44:13 48491 Power Line
2023/08/03 13:44:14 14358 Power Line
2023/08/03 13:44:15 14808 Mixed
2023/08/03 13:44:16 14469 Power Line
2023/08/03 13:44:17 15271 Mixed
2023/08/03 13:44:18 9692 Power Line
2023/08/03 13:44:19 20152 Mixed
2023/08/03 13:44:20 18947 Power Line
2023/08/03 13:44:21 29620 Power Line
2023/08/03 13:44:22 12890 Mixed
2023/08/03 13:44:23 17543 Mixed
2023/08/03 13:44:24 25196 Mixed
2023/08/03 13:44:25 21598 Mixed
2023/08/03 13:44:26 22620 WiFi/Phone
2023/08/03 13:44:27 18372 WiFi/Phone
2023/08/03 13:44:28 10632 Power Line
2023/08/03 13:44:29 9919 Mixed
2023/08/03 13:44:30 16880 Mixed
2023/08/03 13:44:31 10964 Mixed
2023/08/03 13:44:32 3613 Mixed
2023/08/03 13:44:33 1831 Mixed
2023/08/03 13:44:34 2592 Power Line
2023/08/03 13:44:35 2475 Power Line
2023/08/03 13:44:36 2911 Power Line
2023/08/03 13:44:37 2025 WiFi/Phone
2023/08/03 13:44:38 7066 AC EF
2023/08/03 13:44:39 3669 Mixed
2023/08/03 13:44:40 6344 Power Line
2023/08/03 13:44:41 2653 WiFi/Phone
2023/08/03 13:44:42 3755 Mixed
2023/08/03 13:44:43 1545 Power Line
2023/08/03 13:44:44 978 Power Line
2023/08/03 13:44:45 837 Power Line
2023/08/03 13:44:46 1618 WiFi/Phone
2023/08/03 13:44:47 1463 Power Line
2023/08/03 13:44:48 3449 AC EF
2023/08/03 13:44:49 4025 Mixed
2023/08/03 13:44:50 5354 Mixed
2023/08/03 13:44:51 5873 Mixed
2023/08/03 13:44:52 5272 WiFi/Phone
2023/08/03 13:44:53 1215 WiFi/Phone
2023/08/03 13:44:54 3503 WiFi/Phone
2023/08/03 13:44:55 1695 Mixed
2023/08/03 13:44:56 1948 WiFi/Phone
Summe 3 Minuten 2473582 µW/m²
15557 µW/m²/Sekunde

Das ist versuchter Totschlag!


Deutschland: Neuerlich brutaler Polizeiüberfall auf kritischen Wissenschaftler
Mein Schicksal:
Mit Erschrecken musste ich 2011 feststellen, dass, das oben gesagte stimmt!
Ich wusste nicht dass man hier behinderte Menschen baut und, dass sie im betreuten Wohnen
und in den Werkstätten, ganz systematisch beseitigt werden, durch schlechteste Nahrung,
vergällte Psychiater Drogen und Mikrowellen.
Bis 2011 habe ich drei Jahre, ahnungslos, versucht auf Bionahrung umzustellen, habe Router und Eintrittsöffnungen für WLAN abgeschirmt und habe nicht bemerkt, dass ich selbst eine EMF-Quelle im Büro hatte und zu Hause auf mein Arbeitszimmer eine Antenne ausgerichtet war, die mich permanent mit > 2000 Mikrowatt/m² Tag und Nacht bestrahlte, ein Nachbar an der Wand an meinem Bettkopfende eine Quelle positioniert hatte. Ich bekam, obwohl ich immer kerngesund
war, 2010 eine schwere Gürtelrose und Anfang 2011 hatte ich fast kein B12 mehr und bekam eine perniziöse Anämie und fiel in einen Psychose Zustand, wo ich 3 Tage ohne Ende auf 300 Seiten meinen Frust raus schrieb.
Am dritten Tag stürmten 3 Polizeibeamte und 2 Rettungssanitäter, plus ein Mediziner mein Wohnzimmer machten mich auf der Couch nieder, ich wehrte mich wie ein Eber und nach dem vierten versuch setzten die mir eine Tavor, b.z.w. Dormicum Spritze und ich wachte irgendwann
in der Psychiatrie auf, wo ich mit Risperidon(Heroin mit Fluor), gegen meine Willen gespritzt wurde. Später war ich so im Rausch und wäre fast gestorben, wenn die nicht durch meine Frau gewarnt meinen B12 Spiegel überprüft hätten, der war so tief, also kurz vor dem "AUS"!
Nach zwei Monaten im April 2011 versuchte ich bis August wieder voll zu arbeiten und verfiel wieder in diesen Psychose Zustand und schrieb ein 150 Seiten Frust Werk, kam wieder in die Psychiatrie ohne, dass mir ein Richter die Möglichkeit der Verweigerung dessen nach 

Artikel 1 des Grundgesetzes, vorher, verkündet hat. Ich wurde wieder mit Risperidon behandelt und habe dann von  November bis Dezember wieder gearbeitet und bekam plötzlich schwerste Medikamente-Depressionen. Wieder Psychiatrie und dort war plötzlich eine Ärztin in Ausbildung, wo ich Hass gegen mich spürte, die hat mir so viele Medikamente verpasst, plus was ich damals nicht wusste, zerstörten die Mikrowellen des über meinem Bett befindlichen Rauchmelder die Melatonin Bildung in der Zirbeldrüse und so fand  ich 1 Monat nur durch Tavor, 4h Schlaf/Nacht.
Übrigens in der selben Station in Teupitz verbrachte der Schauspieler Harald Junke seine letzten,Tage in denen er noch seinen Verstand beieinander hatte, danach nicht mehr, wie ich fast. Ich bekam einen Schlaganfall, eine schwere Herzattacke und zwei Lungenembolien, die schauten einfach zu und gaben mir Ratschläge wie ich zu atmen habe. Ich fing an Blut zu spucken und als meine Frau zu Besuch, hat sie die Schwestern dort rund gemacht und erst dann fuhren die  mich in ein Krankenhaus. Dort stellten die die 2 Lungenembolien fest und vom Schlaganfall war mein Mund schief. Zu Hause bemerkte ich gar nicht dass mein Zimmer und Schlafzimmer immer noch schwer mit Mikrowellen verseucht war. Da meine Frau von denen vor mir gewarnt wurde, dass ich sie eventuell Nachts umbringen könnte, habe ich mir schnell eine andere Wohnung gesucht.
Was ich nicht wusste nebenan ein junger Nachbar baute ebenso eine EMF-Quelle an mein Bettkopfende und ich trat auch da 2 x, in den 2 Folgejahren, völlig weg, bis ich durch Zufall
meinen HF-Anlyser in der Nacht einschaltete und genau an der Stelle wo mein Kopf lag, kamen >2500  Mikrowatt/m², mehr konnte das Gerät nicht erfassen, aus der Couch. Ich wollten den Nachbarn zur Rede stellen, der rief wie auf Bestellung Polizei und Rettungssanitäter und ichvwurde eingewiesen. Bis heute 9 x davon 6 x mit Polizeigewalt, Handschellen, Reizgas, Gummiknüppel und nieder spritzen. Und immer wieder Risperidon, obwohl in den Arztberichten erwähnt wurde, dass ich vom dem Medikament fast gestorben wäre. Also das Martyrium dauerte
bis August letzten Jahres. Dort nach meiner 14 Tägigen, Nichtbehandlung, denn ich drohte mit Anzeige, wenn mir jemand noch einmal etwas gegen meinen Willen spritzt, las ich den Artikel über die Verurteilung einer Richterin, aus Rothenburg, die 15 Patienten nicht vor der Einweisung die Verweigerung dessen, ermöglicht hatte. Das Urteil in Stade, 2 Jahre und 9 Monate Gefängnis. Mich wollte die davor wieder  Zwangsbetreuen, was einer ständigen Gefahr der Einweisung auf höheren Befehl bedeutet. Den Richter konnte ich überzeugen und er beendete das Verfahren.
Dann kam vom Amtsgericht die Aufforderung meine Vermögensverhältnisse offen zu legen,
was die eigentlich durch die 7 jährige Zwangsbetreuung wussten. Ich sollte das abgebrochene Betreuungsverfahren bezahlen.
Da platzte mir die Hutschnur und ich habe die Richterin bei der Staatsanwaltshaft angezeigt.
Nun warte ich mit meiner Adoptivtochter aus Brasilien, die in 15 Jahren, 14 x wie ich behandelt wurde, ob etwas positives passiert, oder.................?
Mittlerweile habe ich mich in 10 Jahren zum Psychiatrie-Experten, selbst, ausgebildet und versuche mit meiner Seite www.peter-gesundheit.com, seit 2013 alle Welt zu warnen mit ziemlichem Erfolg, bei max. 22000 Besucher pro Monat.
So geht es einem der hier versucht Missstände ans Licht zu bringen und etwas zu ändern.

Covid Analyse Nr.1:
Hier wie versprochen meine Corona-Hypothese:
KRISENFREI.COM

Der Papst der Spritze und der Ketzer: Die Fauci-Biographie von Robert Kennedy – Krisenfrei
Ein legaler Menschen-Beseitiger, was soll man dazu sagen.
Dr. Morell der an Hitler mit Drogen experimentiert hat, ihn zum Junkie gemacht und zum Wahnsinnigen, der die halbe Welt zerstört hat, den hat man gehängt.
Doch dann hat man nach 1945, Dr. Morells, damals reine Drogen mit Fluor, Schwefel, Chlor, sowie verheerenden Füllstoffen wie Aluminium, Talkum, Silizium und mehr vergällt und
setzt das Zeug, seit Jahrzehnten in der Psychiatrie ein.
Ein Arzt in Ausbildung stellt eine Diagnose, die nicht einmal, ein Chefarzt anzweifelt und der vorher Gesunde, lediglich durch
Stress-, Mobbing, Fehlernährung geschwächte Patient, der eigentlich nur Ruhe, Bircher Benner Kost, oder von der Tretmühle, der Kapitalisten befreit werden bräuchte, wird mit den genannten Drogen, so krank gebaut wie der Zauberlehrling, es am Anfang, falsch diagnostiziert hatte.
Folgender Ablauf:
Hitler: Pervitin
Ich: Risperidon
Hitler: Kokain
Ich: Mirtazapin, Zyprexa
Hitler: Eukodal
Ich. beinahe Oxicontin, weil Gehirn Nr.1 der Darm blutete!
Bei Hitler war Gehirn Nr.1 im Eimer, deshalb kein Bauchgefühl mehr, wenn er Mist gebaut hat.
Der Darm konnte keine Signale mehr vom Gehirn hin und zurück empfangen und entsprechend reagieren, in dem er Baustoffe für Botenstoffe dem Gehirn liefern, weil er kurz vor dem aus war.
So hat Hitler mit künstlichen Botenstoffen im Gehirn durch die er von außen manipulierbar war, dieses Unheil angerichtet!
Im normalen Zustand hätte er früher aufgegeben.
Das kann ich behaupten, weil ich 4 Jahre meine teilweise Fehlhandlungen unter Psychiater-Drogen biochemisch nach analysiere!
Die Corona-Sache ist jetzt die höchsten Stufe der Zerstörung des menschlichen Bewusstsein und seines geistigen Niederganges.
Weil jetzt will man die Verbindung Darm-Gehirn-Ionosphäre für immer kappen. Dann hat zwar KI gesiegt, jedoch mit verheerenden Folgen, weil das komplette Steuersystem aller Lebewesen, die Ionosphäre, das Gehirn der Erde uns nicht mehr zugänglich und damit erlischt unser Leben.
Mit 5G und Haarp und ähnlichem, werden die Nerven des Erddarmes, dem Boden, die Signalträger und Leiter zerstört und er wird unfruchtbar und kann keine Signale an den inneren Erwärmer, dem Erdkern hin und zurück senden und die Ionosphäre nicht zu "Vater Sonne", der uns Energie mäßig ständig aufläd!
Die Impfung ist nun in Verbindung mit Mikrowellen nicht so leicht nachzuvollziehen wie die Drogen der Psychiater, weil die Inhaltsstoffe sind 70 Jahre unter Verschluss, aber meiner Meinung nach die selben wie in den Psychiater Drogen.
Nur das Trojanische Pferd, das manipulierte Heroin, Kokain, Opium benötigt man nicht, um durch die Blut/Hirnschranke zu gelangen, denn man öffnet sie mit Mikrowellen, nämlich aufgesetzte Betawellen auf 4-5G. (>> 8 Hertz bis etwa 30 Hertz)
Das sind drei Effekte, einmal kommen die Inhaltsstoffe, direkt ins Gehirn und den nun löchrigen Darm, Leaky Gut, ungefiltert über
die Leber an die Organe.
Zum zweiten moduliert man die Frequenz, jeder beliebigen Krankheit, auf die Transportfrequenz und zum dritten kann man durch die Frequenzen der einzelnen Organe diese direkt ausschalten, in dem man die phasenverschobene Eigenfrequenz sendet und somit Auslöschung und Stillstand des jeweiligen Organs produziert! (Vielleicht Bergamo, der Großversuch!)
Ach viertens durch die Schwingungen werden Natrium-und Kalzium-Ionen-Kanäle erhitzt, die winzige Flüssigkeitsmenge verdampft, die Ionen Kanäle werden Trocken gelegt und die Dopaminbildung verhindert, Demenz und Parkinson sind die
Folge. Die Briten haben schon , wohlwissend, eine Parkinson-App für Handys programiert, wo man seinen Status ablesen kann, wann man, wie Mohammed Ali, dann dahin wackelt und zittert.Konec!



Meine Covid- Analyse: Nr 2.
Wenn man das Gift, denn Impfstoff kann man das nicht nennen, direkt einspritzt, dann kann der Darm, solange er intakt ist, es nicht verhindern, dass sich BSE- pathogenen Prionen, oder von denen Spike-Proteine genannt, ins Gehirn, oder die Organe gelangen, denn er sorgt dafür das alles über die Leber ausgefiltert wird.
Durch die 4-5G Mikrowellen mit auf modulierten krank machenden Betawellen, wozu auch der Infraschall der Wärmepumpen gehört, werden zum einen eine oder mehrere Krankheiten  erzeugt, die Blut/Hirnschranke wird geöffnet für das Zeug. Jedoch nach und nach sterben die Dünndarmbakterien, die eigentlich nur 7,83 Hertz gewöhnt sind und so kann der Magen
Säurehaltige Nahrungsbrei die Dünndarmwände verätzen und die Schadstoffe gehen durch die poröse Darmwand nun direkt ins Blut und damit in die Organe und richten dort die verheerenden Schäden bis zur Insuffizienz dieser an, b.z.w. Graphenoxid wird durch die Mikrowellen elektrisch aufgeladen  und zerreißt die Gefäße, oder man legt die Organe mit deren Phasen versetzten Eigenfrequenz für immer lahm.
Dazu muss man noch eines wissen Nahrungsproteine, ob von der Pflanze, oder vom Tier haben im Gehirn nichts zu suchen, das versorgt der Darm, wenn er gesund ist, mit bestem Protein aus den täglich eingeatmeten 2,5 Liter Stickstoff, in der Atemluft, von ihm gebaut! Denn die Menschen die nur Fleisch fressen, da kommen irgendwann pathogene Prionen ins Gehirn die Demenz, BSE, oder die  noch heilbare Schizophrenie auslösen können, oder sollen.
Und das alles macht man seit Jahrzehnten schon mit den Trojaner-Psychiaterdrogen, die all das was jetzt in dem Gift-Impfstoffgemisch  direkt wirkt, mühsam solange an das Heroin, Kokain, Opium, Koffein, Alkohol an gebastelt wurden, bis man etwas gefunden hatte was die Blut/Hirnschranke täuscht und überwindet.
Haloperidol: C21H23ClFNO2
Risperidon : C23H27FN4O2
Abilify:       C23H27Cl2N3O2
Heroin:        C21H23NO5
LSD:            C20H25N3O
In den Gefängnissen der USA gibt es den Spruch:
"Macht Suppe im Gehirn," plus überall WLAN!
Das bekommt man dann vom Psychiater, angeblich gegen die Demenz, oder Schizophrenie
und bei den erst genannten 3 Psychiater Drogen, beschleunigt dann das Fluor diesen degenerativen Prozess. In den USA verkaufen  Patienten die 3 Oben genannten Psychiater Drogen und kaufen sich reines Heroin, welches weniger verheerende Nebenwirkungen haben soll.
Gegen den Impfstoff, gibt es nichts, aber man kann den Mikrowellen noch aus dem Wege gehen, indem man nie mehr mobil telefoniert, das WLAN abschaltet, die Rauchmelder und Smartmeter entsorgt, die Antennen sprengt u.s.w., ganz einfach, oder???
Ich habe irgendwo einen Artikel wo Psychiater untersuchen sollte, welche ihrer Drogen-Medikamente anstelle des Impfstoffes genommen werden könnten. Diese hatte ich analysiert und der überwiegende Teil hatte Fluorid im Formelgerüst, was die Synapsen verätzt und versalzt und trocken legt. Es bilden sich dann Natriumfluorid, oder Kalziumfluorid in den Prä-, oder Postsynapsen und die Dopamin Bildung wird abgeschaltet, es bildet sich Antriebslosigkeit Demenz und Parkinson. Die Hypophyse wird nicht mehr gebremst durch das frische Dopamin, was das Erschöpfungshormon Prolaktin von den Synapsen verdrängt, sie produziert, bis sich ein Adenom und später ein Prolaktinom bildet, was soviel heißt sie überarbeitet sich völlig. Das versuchen die Mikrochirurgen mit, teilweise schwersten Behinderung des Patienten, zu verkleinern, was irre ist!
KRISENFREI.COM
Prof. Dr. Bhakdi o3.o8.2023 im Interview mit Laura-Lynn Tylor Thompson /Dt. Übersetzung – Krisenfrei
Peter Gutschmidt
So könnte das Weltpolitisch gelingen!


Es gibt NULL Amish-Kinder, die an Krebs, Diabetes oder Autismus leiden – WARUM WOHL?
"Sie haben ausnahmslos alle von CDC und Fauci propagierten Weisungen und Vorgaben ignoriert einschließlich der tödlichen Gerinnungsimpfungen (weil sie schlicht zu klug waren, um sich Millionen von giftigen, hartnäckig verbleibenden Spike-Proteinen und Graphit-Nanopartikeln injizieren zu lassen).
Ahnen Sie es schon? Die Amish hatten eine 90-mal höhere Überlebensrate bei COVID als das restliche Amerika."
Man werfe einen Blick auf all die geradezu wahnwitzigen Inhaltsstoffe, die in Impfstoffen vorhanden sind, darunter Konservierungsmittel, Emulgatoren, Adjuvantien, gentechnisch veränderte Bakterien, mutierte Viren sowie Unfruchtbarkeit verursachende Chemikalien.
All dies ist ganz offen aufgelistet.
Zu den giftigen, gelegentlich tödlichen Inhaltsstoffen gehören Quecksilber (hohe Dosen in der Mehrfachimpfung gegen Grippe), menschliches Blut (Albumin aus Abtreibungen), tödliche Schweineviren, genannt Circoviren (in den Rotateq-Rotavirus-Impfungen), Adlerblut, Hundeblut, infizierte Nierenzellen von Meerkatzen, Sucralose, Mononatriumglutamat (MSG), Kuhblut, Hühnerblut, Eier, Milchprodukte, Antibiotika, Erdnussöl (ja, davon bleiben Rückstände, daher all die tödlichen Erdnussallergien), Latex (von den Stopfen auf den Nadeln und Fläschchen, durch die mit den Nadeln gestochen wird), Aluminium und vieles mehr.
Davon sollte kein Mensch jemals auch nur irgendetwas – und das unter Umgehung der normalen Schutzschilde des Körpers, einschließlich der Haut, der Lunge und des Verdauungstrakts – in sein Blut oder Muskelgewebe injiziert bekommen.
Diese vier Sätze sagen, doch alles, denn diese sogenannten Experten schauen doch nur wie man diese Menschen trotzdem irgendwie erledigen kann.
Denn wenn man die Blut/Hirnschranke und den Darm löchrig mit 5G-Mikrowellen machen kann, wie jetzt geschieht, dann braucht man eigentlich keine Impfung mehr, man erzeugt:
„Gates Froschnahrung für Kinder“, wo all das Impfzeug rein gemischt wird und auch ans Ziel kommt!
Unter der Führung der USA ertränkt die NATO die Ukraine in einem Blutbad
Uns im Osten hat man kalt entsorgt in dem man uns langsam von einer Sterberate von etwa 7/1000 auf 12/1000 medizinisch, Nahrungs- technisch pimpte. Das heißt, dass heute pro Jahr rund 90.000 Ossis/Jahr mehr sterben dadurch als vor 1989. Wenn man eine Anlaufzeit von etwa 10 Jahren rechnet, solange spielte mein damals gesunder Körper mit, dann kann man etwa 23 x 90.000= 2,1 Millionen Ossis, kalt beseitigt vom Katholischen Medizinischen Faschismus der BRD hochrechnen.(Meine Theorie)
Wenn ich die Zahl 43.000 Tote/2Monate der heißen Entsorgung der Katharer, äh Ukrainer, jetzt durch 2 teile und x 12 nehme= 258.000 Ukrainer/Jahr, das ist die 3 Fache Menge der Ossis/Jahr kalt entsorgt, heiß entsorgt, aber zu welchem Preis??? Tja die kalte Fusion merkt man nicht, wenn man geistig immer mehr abgebaut wird, die heiße schon wie man sieht. Wobei die Überlebenden der heißen Fusion,, man schneller wieder gerade gerückt bekommt, die der kalten Fusion sind geistig Behinderte, die wissen nicht wie ihnen geschieht!



Endlich einer der die Wahrheit sagt:
Robert Kennedy Jr.: "Wir haben Biolabore in der Ukraine, weil wir Biowaffen entwickeln"
16 Aug. 2023 15:25 Uhr

In einem Interview mit dem ehemaligen "Fox News"-Moderator Tucker Carlson erklärte Robert F. Kennedy Jr., dass das Pentagon andere Länder für die Erforschung tödlicher Biowaffen nutze, insbesondere die Ukraine.
Das US-Militär hat einen Teil seiner Biowaffenforschung an die ukrainische Regierung ausgelagert, die infolge des Putsches in Kiew 2014 eingesetzt wurde. Dies behauptete der demokratische Präsidentschaftskandidat Robert F. Kennedy Junior (RFK Jr.) in einem Interview.
"Wir haben Biolabore in der Ukraine, weil wir Biowaffen entwickeln", sagte RFK Jr. dem inzwischen unabhängigen Journalisten Tucker Carlson in einem längeren Interview, das am Montagabend auf X (früher Twitter) veröffentlicht wurde. Obwohl die USA in den 1970er Jahren das Verbot von Biowaffen unterzeichnet hätten, erklärte er, habe der nach den Terroranschlägen vom 11. September 2001 verabschiedete "Patriot Act" dem Pentagon die Wiederaufnahme der Forschung ermöglicht.
Kennedy zufolge sei das Biowaffenprogramm unter dem Deckmantel der "Biowissenschafts"-Forschung betrieben worden. Dazu zählen unter anderem Experimente zur Funktionssteigerung (englisch: Gain of Function) von Viren und anderen Krankheitserregern, die letztlich von Dr. Anthony Fauci überwacht wurden. Fauci leitete von 1984 bis 2022 das US-amerikanische Forschungsinstitut für Allergien und Infektionskrankheiten.
Moderne Biowaffen seien "beängstigend" und würden mit gentechnischen Mitteln wie CRISPR hergestellt, so Kennedy weiter. Als einige dieser "Bugs" 2014 aus Laboren in den USA entkommen seien, habe die Obama-Regierung die Gain-of-Function-Forschung verboten, fügte Kennedy hinzu. In der Folge habe Fauci sie ins Ausland verlegte.
"Viele von ihnen gingen in die Ukraine", sagte Kennedy zu Carlson, während ein Teil der Forschung in das Labor in Wuhan, China, verlegt wurde – dem mutmaßlichen Ursprungsort der COVID-19-Pandemie. Der größte Teil der Forschung sei vom Pentagon oder von USAID finanziert worden, das Kennedy als "eine CIA-Abteilung" bezeichnete.
Die USA haben die Behauptungen über die biologischen Forschungslabors in der Ukraine lange als "russische Propaganda" abgetan, bis die hochrangige Mitarbeiterin des US-Außenministeriums, Victoria Nuland, deren Existenz bei einer Senatsanhörung im Jahr 2022 bestätigte. Das Pentagon beharrt indes weiterhin darauf, dass die Forschung weder illegal noch für militärische Zwecke bestimmt sei.
Das russische Militär hat nach Angaben von Generalleutnant Igor Kirillow, der Anfang des Jahres vor Gesetzgebern in Moskau aussagte, Beweise dafür entdeckt, dass die USA in Einrichtungen in der Ukraine "Komponenten für biologische Waffen" herstellen.
US-Botschafterin lehnt "Klärung" zu Biolabors in der Ukraine vor russischer Duma ab
Kennedy erklärte gegenüber Carlson auch, dass die US-amerikanische Bevölkerung in Bezug auf den Ukraine-Konflikt "belogen" worden sei. Er verwies in diesem Zusammenhang auf Nulands Rolle bei dem Staatsstreich in Kiew 2014 und auf die Vision des "Project for the New American Century" (PNAC) von der NATO-Erweiterung. Der Politiker führte weiter aus, dass ein Krieg mit Moskau von Anfang an der Plan Washingtons gewesen sei.
Die Ukraine "ist ein Stellvertreter in einem Kampf zwischen zwei Supermächten, zwischen Russland und den USA", sagte Kennedy. Er beschuldigte die Vereinigten Staaten, die Friedensgespräche vom März 2022 sabotiert zu haben, indem der damalige britische Premierminister Boris Johnson Kiew besucht und der Regierung von Wladimir Selinskij mitgeteilt habe, der Westen werde solche Gespräche nicht unterstützen.
Infolgedessen, so Kennedy, "sind jetzt 350.000 ukrainische Kinder tot, ebenso wie 40–50.000 Russen."
RFK Jr. ist der Neffe des 35. Präsidenten John F. Kennedy und der Sohn von Robert Kennedy (RFK), JFKs Generalstaatsanwalt und späterer US-Senator. Beide Brüder wurden schließlich ermordet – JFK 1963 und RFK 1968 während der Präsidentschaftsvorwahlen. Robert F Kennedy Jr. kämpft gegen den Demokraten und amtierenden US-Präsidenten Joe Biden um die Präsidentschaftskandidatur seiner Partei.


Hallo Freunde und Feinde!

Das Jahr 2021 war für mich bisher das Schrecklichste!

Alles was derzeit getan wird, bringt dem Menschen und der gesamten

Fauna und Flora dem Untergang rasant näher.

Ich habe in den Handlungen die jetzt getätigt werden, NICHTS gefunden,

was noch Mensch und Natur erhält.

Ich werde auch nichts mehr nennen, was ich noch als nicht zerstört empfinde

und auch keine Maßnahme dessen was zur Erhaltung dient, weil die MACHER

das kennen und alles ins Gegenteil verkehrt haben.


Meine derzeit letzte Aisopsche Fabel der Neuzeit:


Wenn man auf dem Friedhof der Sterne, also im Weltraum, nach einer neuen

„Mutter Erde“ sucht, weil man die einzige die es gibt fast zerstört hat, das ist das Gleiche,

als wenn man auf den Friedhof geht und versucht seine eigene Mutter auszugraben

und ihr neues Leben einzuhauchen!


Das hat mir meine Ma immer prophezeit, wenn ich ihr nicht die nötige Achtung, Liebe

und Wertschätzung entgegen gebracht habe.

Meine heutige Erkenntnis: Das stimmt!


Der Volker Ebersbach hat ein Meisterwerk über den einzigartigen Etrusker und Dichter

Titus Petronius geschrieben:

"Der Schatten eines Satyrs"

 und aus dessen Erkenntnissen, habe ich geschlussfolgert,

das die Etrusker einst eine perfekte Gesellschaft geschaffen hatten, die, die Römer völlig

zerstört haben.


Von Rom geht von damals bis heute die komplette Zerstörung der Welt aus.

Ich habe die Hoffnung aufgegeben!

Trotzdem lasst die Köpfe nicht hängen, wir werden aufrecht versuchen zu gehen!

Wladimir schütze „Mütterchen Russland!“



1.)EMF-Terror


2020 habe ich bemerkt, dass die neu eingebauten Rauchmelder wie Mikrowellenwaffen funktionieren, Sie können bis zu 4h bis 60.000 Mikrowatt/m² ausstoßen ( so um 10 V/m)was die Blut/Hirnschranke öffnet für eben auch Spike-Proteine die dann ins Gehirn, oder andere Organe wandern. Ebenso Graphenoxid, was dann elektrisch aufgeladen, sich in den Zellen auffaltet und sie zerstört. Das vermute ich ist in Bergamo passiert!
In allen Läden, öffentlichen Plätzen, Badestellen, Straßen habe ich ähnliche Werte gemessen, ebenso an Testzentren und Impfzentren.
Durch das Homeoffice hat man in der Wohnung wirklich keinen EMF-freien Raum mehr, also dadurch ist man kaum noch fit und gesund weil der Körper nur noch im Zellreparaturmodus ist. Man kann sich vegetarisch ernähren, aber auch das Zeug ist nicht Gift frei. Wenn man auf dem Balkon Sonne tanken will telefoniert unter einem jemand und es kommen über 2000 Mikrowatt/m² an. Die Smartphones melden sich wie bei Smartcells beim Rauchmelder an.
Smartzähler senden wie die Rauchmelder ständig Preambeln, oder Daten 24 h am Tag es ist die Hölle. Ab 100 Mikrowatt/m² schwere und ab
1000 Mikrowatt/m² schwerste Zellanomalien, Die baubiologischen Richtwerte besagen an Schlafstellen sollten unter 1 Mikrowatt/m² herrschen.
Das Gehirn muss damit man schlafen kann auf 3 bis 1 Hertz runter regulieren, dann entsteht Melatonin und man schläft sanft.
Der künstliche Infraschall von 16 Hertz da arbeitet das Gehirn auf Vollast, da entsteht Krebs, das muss man nun noch zusätzlich bewältigen.
Nirgendwo in der Natur herrscht noch die zum gesunden Leben erforderlich Schumannfrequenz von 8 Hertz und 0,0000000001 Mikrowatt/m² vor.
Überall in Wohnungen leitet man den Infraschall von Wärmepumpen in die
Zimmer 24 h am Tag und auch nach draußen in die Natur.
Wenn man jetzt noch eine Maske trägt wo die Sauerstoffsättigung des Blutes
durch die elektromagnetischen Felder meist nur noch 36% beträgt, kann man ahnen wohin das führt. Durch die aufgesetzten Beta-Frequenzen von > 8 bis 40 Hertz kann man jede Krankheit künstlich erzeugen und den Menschen in der Wohnung auf Knopfdruck töten.
Hier habe ich 161 Mal EMF-Attacken in den letzten 2 Jahren aufgezeichnet und immer kam irgendwo der Rettungsdienst, oft vergeblich!
Gehst du nicht freiwillig mit kommt die Polizei und fesselt dich mit Kabelbinder oder Handschellen und man bekommt eine Dormicum-Spritze, schwer Fluorid haltig verpasst, wo einem dann mehr als 24 h fehlen.
Alles was man da erzählt weiß man hinterher nicht mehr, das Zeug benutzt das CIA als Wahrheitsdroge. Was ich hier in den letzten 12 Jahren erlebt habe ist wie ein Krimi nur dass die Ärzte, die Polizei und die Justiz die Gangster sind ich ich der Gute.
In der Klinik habe ich von Fluoridhaltigen Psychopharmaka, plus etwa konstant 500 Mikrowatt/m² durch Rauchmelder, fast die Nebenwirkungen von Covidimpfungen bekommen, Schlaganfall mit leichter Gesichtslähmung, Herzattacke, und 2 Lungenembolien.
Stutzig wurde ich als ich einen Artikel las wo Psychiater verschiedene Medikamente nannten die gegen Covid helfen sollen, Das waren alles Amphetamine, oder Kokain mit Fluor versetzt, die das Protein, oder Fluor sowieso schon als Trojanische Pferde in den Darm, die Organe und ins Hirn schleusen. Und wenn eine Regierung dafür sorgt dass die Inhaltsstoffe dieses Impfdrecks erst in 30 bis 70 Jahren offen gelegt werden, dann weiß man doch was hier im Gange ist!
Wenn die solche Prognosen erstellen, sind sie sich relativ sicher diese Sterbefälle über Knopfdruck zu erzeugen, denn das haben die getestet in Psychiatrien, in Altenheimen, in Gefängnissen und,
und, und, da ist ein Rechtsfreier Raum, da ist man verloren,
Ich bin von diesem Staat bedient!




2.) Veränderte Flussdichten von Handy`s und Smartphones


Früher waren die Flussdichten der Handys viel geringer, ein Experte sagte man kann mühlos mit 0,0001 Mikrowatt/m² telefonieren, dann waren es um die 200 Mikrowatt/m² wo schon schwere Zellanomalien zu erwarten sind, dann 2000 Mikrowatt/m². und wenn zum Beispiel eine Demo auf unserem Fontaneplatz von der AfD statt findet folgt das:
EMF EF RF Power Density
Date and Time mG V/m Mikrowatt/m² Possible Source
2022/01/19 11:43:33 0.0 50.6 371 Power Line
2022/01/19 11:43:34 0.0 14.5 186 WiFi/Phone
2022/01/19 11:53:54 0.0 50.9 2224 Power Line
2022/01/19 11:53:55 0.0 50.0 5414 Power Line
2022/01/19 11:53:56 0.0 50.3 8516 Power Line
2022/01/19 11:53:57 0.0 54.9 12590 Power Line Fontaneplatz
2022/01/19 11:53:58 0.0 61.5 6295 Power Line
2022/01/19 11:53:59 0.0 57.3 12590 Power Line
2022/01/19 11:54:00 0.0 67.7 4215 Power Line
2022/01/19 11:54:01 0.1 58.2 4967 Power Line
2022/01/19 11:54:02 0.1 62.0 1 Power Line
2022/01/19 11:54:49 0.0 2.5 6 WiFi/Phone
2022/01/19 11:54:50 0.0 51.9 13 Power Line
2022/01/19 11:54:51 0.0 41.2 314 Power Line
2022/01/19 11:54:52 0.1 52.4 587 Power Line
2022/01/19 11:54:53 0.2 15.5 3748 WiFi/Phone
2022/01/19 11:54:54 0.0 54.5 5117 Power Line
2022/01/19 11:54:55 0.0 58.8 6485 Power Line
2022/01/19 11:54:56 0.0 59.4 3243 Power Line
2022/01/19 11:54:57 0.0 35.9 6485 Power Line
2022/01/19 11:54:58 0.0 53.1 3243 Power Line Fontaneplatz
2022/01/19 11:54:59 0.0 63.7 4597 Power Line
2022/01/19 11:55:00 0.0 67.5 2588 Power Line
2022/01/19 11:55:01 0.0 56.6 2302 Power Line
2022/01/19 11:55:02 0.0 55.4 1 Power Line
Also 12590 Mikrowatt/m²-> Power Line, also einfach so, keiner telefoniert!

3.) Neueste Kommentare von mir!

Ukraine:

Es ist der "Große Vaterländische Medizinische Krieg" Russlands, d.h. die Vollendung des Sieges von 1945, denn der Nationalsozialismus, speziell das Morden und Versuche am Menschen hat sich ganz legal homöopathisch auf der gesamten Erde ausgebreitet. Alle Völker werden mit westlicher Nahrung verseucht, weiterhin verbreitet man künstliche Seuchen und mit mehr als 15.000 Medikamenten hat man 30.000 künstliche Symptome erzeugt, die jetzt mittels Radar und auf gesetzen Beta-Wellen völlig aus dem Ruder Corona-mäßig laufen.
Meine These:
Es gäbe überhaupt keine gesundheitlichen Probleme auf dieser Erde, wenn sich alle Völker nach dem Schema ihrer Vorfahren ernähren würden und die Umwelt wieder in einem menschenfreundlichen Zustand wäre.   
Sämtliche links aufgeführten Anomalien hat der Mensch selbst geschaffen!
Wir hätten heute nicht tausende von psychiatrischen Anstalten,
Behindertenwerkstätten,Krankenhäuser, Zahnkliniken, Pharmaziewerke,  
Apotheken und die  Produktion von abartigen Gerätschaften
wie Katheter, Insulinpens, Herzschrittmacher, Rollatoren, Gehirnschrittmacher, künstliche Gelenke, Herzklappen, Stents, Shants, Dialysegerätschaften, u.s.w.,wenn der Mensch seine Nahrung und Umwelt hätte naturbelassen!
Nach jetzt 12 Jahren intensiver Recherchen, habe ich den Eindruck gewonnen, dass die Mediziner mit ihren >15.000 Medikamenten und 100.000 senden Präparaten, den Mikro-Chirurgen, den Endokrinologen eine nie da gewesene medizinische
Großoffensive GEGEN die Menschheit führen.
Das alles hatte Hamurabi vor 5.000 Jahren vorausgesehen und damals zum Teil
erfolgreich verhindert. Der große Generalissimo Stalin hatte das auch erkannt,jedoch seine Nachfolger haben das alle zu unserem Nachteil ignoriert! Die "Medizinische Kriegsführung" ist die arglistigste Art der Kriegsführung! Die Ukraine ist erst der Anfang, auch in Russland muss der Schulmedizin das Handwerk gelegt werden, ebenso auf der ganzen Welt.
Asien wird voll krank gemacht, hier ist ebenfalls alles aus dem Ruder gelaufen, ebenso Südamerika!
Die Schweden, die Schweizer, die USA und wir produzieren zum Beispiel in Singapur Millionen Insulin Pens, Milliarden Katheter, Hunderttausende Herzschrittmacher u.s.w., seit man Milch Fleisch und Fake-Produkte in alle Teile der Welt liefert.
Das war vor dem zweiten Weltkrieg überhaupt nicht erforderlich!
Keine Zufälle Zulu, der Vatikan regiert nach dem Zerfall der Römischen Reiches, um die 800 nach dem Gekreuzigten, weiter mit dem so genannten "Wolfsgesetz". Die zerstören alle Völker mit Seuchen, Intrigen und Kriegen, wie das Rom einst auch getan, nur das Rom noch eine Fürsorge für das Volk mit  Brot und Spiele  hatten.
In Italien hat sich dann die Mafia für das Volk gegründet, weil die Priester absolut keinen Plan für ihr Volk hatten, wie heute, die können NUR zerstören und alles was die tun Charitas und so bezahlt auf Heller und Pfennig der Staat.
Die Helvetier=Schweizer haben sich Cäsar als Eidgenossen verpflichtet, weil er sie nicht hingerichtet hat, sondern sie zogen sich zurück in die Schweiz, bis heute, steuern aber von dort ALLE Gemeinheiten auf der Welt. Die haben sogar Nordkorea anerkannt, nur um das zerstörerisch zu wirken. Die haben alle KZ-Versuche ausgewertet, wie die Japaner in der Mandschurei und bis heute werten die alle Versuche in den Psychiatrien aus und verfeinern die Tötungsmaschenerie über Medikamente und Impfen und jetzt sogar mit EMF-Mikrowellen. Jedoch sie haben vergessen, dass die Umwelt auch negativ reagiert, sie braucht auch 7,38 Hertz mit der sanften Flussdichte von 0,0000000001 Mikrowatt/m².
Was passiert? Südschweiz absolute Trockenheit, in Norditalien der  Po ein Rinnsal, der Lago Maggiore     hat 9 m Wasser verloren, die Bäume, können kein Grundwasser mehr ziehen, sie siechen, wie wir, dahin und wie ich schon sagte die Kiefern da richtet sich die Krone in Richtung der Mikrowellen und bekommt Überlast und bricht einfach ab. Oder die vielen Waldbrände, alles durch die EMF`s. Wegen der ganzen Heimsteuerelektronik haben die 100.000 sende Bäume geschändet, damit die Signal durch gehen. Für Baumfrevel haben die Kelten den Frevler aus gutem Grund aufgehängt. Siehe auch den Bonifatius der die Friedenseiche der Germanen-Friesen gefällt hatte und hingerichtet wurde.
Nur um zu zeigen der Christen-Gott ist stärker. Der hat heute noch ein Denkmal weil man sieht wie heute Christen mit Mensch und Umwelt umgehen, denn ADOLF ist Rom`s Werk!
Siehe auch Ukraine wo der Papst einen Bischof, geschickt hat, er zu feige, und dieser wetterte gegen Russland und Patriarch Kyrill das Oberhaupt der Russisch Orthodoxen Kirche. Wobei der sich scheinheilig zurück hält, jedoch auch nur ein Wolf im Schafspelz ist.
Denn Stalin hatte das erkannt, jedoch nicht voll durch gezogen wie Kim Il Sung und darum hatte die Kirche die Möglichkeit ihn zu vergiften und selbst in der UDSSR heimlich weiter so und sind  auch am Zerfall der SU HAUPTBETEILIGT, wie uns die Katholiken und speziell hier und in Polen alles ruiniert haben. Alles mit Mafia-Vatikan-Geld!
Nix Zufall Zulu.
Jürgen wir benötigen für alle Lebensprozesse die Schumannfrequenz von 7,38 Hertz, mit der sanften Flussdichte von 0,0000000001 Mikrowatt/m², ansonsten ackert den gesamten Tag der Zellreparatur - Mechanismus auf Hochtouren. Sie Dir die Menschen an, fast alle sehen aus wie Arsch mit Ohren. Junge Frauen haben Haut wabbelig wie bei Oma, die Mikrowellen zerstören die DNA, die bringen die Ionen-Kanäle im Gehirn zum schwingen und die trockenen aus, kein Dopamin mehr, Parkinson entsteht und Demenz, dazu noch überall Fluorid was durch die Blut/Hirnschranke kommt, weil die wie mit einem Vibrator für ein Schloss einfach auf gerüttelt wird.Das ist der HAUPTGRUND! Nirgends mehr unter 1 Mikrowatt/m², über
60.000 Mikrowatt/m² schmeißen heute Handys und Smartphones raus, Antennen in alle 4 Richtungen bis zu 200.000 Mikrowatt/m² Powerline! Für den Zellreparaturmodus braucht man die Lichtenergie der Sonne und die sperren uns ein, Lockdown und bei diesen hohen EMF-Aktivitäten ist die Sauerstoffsättigung des Blutes NUR 38% deshalb Maske auf Finito, kapito???
Der Mensch nutzt die Fähigkeiten von Gehirn Nr.1 dem Darm und dem von ihm geschaffenen Gehirn Nr. 2 dem Gehirn im Schädel zu max. 5%.
Dr. Shigeo Haruyama sagte dass das Denken mit der linken logischen Gehirnhälfte ausgereizt ist, deshalb das Chaos. Um jedoch die rechte Gehirnhälfte mit dem ererbten Wissen und mit der Fähigkeit über die Ionosphäre mit der Natur zu kommunizieren, wie die Schamane, Propheten, Druiden und Medizinfrauen und -männer, da bedarf es Ideen die dem Mensch und der Natur nutzen. So wie sich jetzt die Menschheit verhält wird das nicht gelingen, weil keine Endorphine mehr frei gesetzt werden durch schöpferische Tätigkeiten im Sinne wie o. gesagt und künstliche Amphetamine, oder Alpha-Wellen, da öffnet man, wie einst Adolf Hitler, die falschen Türchen im Gehirn mit verheerenden Auswirkungen.
Man kann heute sehen unsere Politik ist in Sinne der Psychopathie, d.h. so schlechte Gedanken und Gemeinheiten, dass das Gehirn langsam verkümmert, vertrocknet, oder stirbt.
5G beschleunigt das noch rasanter, weil ein leichtes Grillen am gesamten Körper, einschließlich Gehirn statt findet, mit Absicht. So wird das nix.
Asterix und Obelix!
Der Impfstoff wirkt wie Psychopharmaka die mit Fluor, Schwefel, oder Chlor versetzt wurden, Gehirn-und Organ zerstörend.
Das Heroin, oder Kokain in Psychopharmaka, wirkt wie ein Trojanisches Pferd und schleust Fluor,Schwefel, oder Chlor durch die Blut-Hirnschranke.
Beim Darm der wird porös, Leaky Gut entsteht und so gelangen das Spike Protein mit den Zusatzstoffen, ungefiltert, d.h. die Leber umgehend in die gesamten Organe.
Nun da man überall 5G installiert welches durch die hohe Frequenz die Blut-Hirnschranke öffnet, kann man ohne Trojanisches Pferd, sämtliche Zusatzstoffe durch die geöffnete Blut/Hirnschranke schleusen. Ebenso werden die Dünndarmbakterien zerstört und der Darm geht auch kaputt.
Man hat überall Antennen aufgestellt, in den Wohnungen Mikrowellenrauchmelder, Smartmeter, das ist ein sanftes vergrillen des gesamten Menschen.
Man kann jede Wohnung einzeln ansteuern und den Betreffenden sogar, wie in Bergamo direkt töten durch die spezielle Organfrequenz!
Das hat man in Clearwater trainiert und überträgt es in der ganzen Welt.
Bergamo war der Start. In GB hat man über 50.000 alte Menschen beseitigt, Schweiz macht das auch schleichend, das sind Bestien.
Bei 169 EMF-Atacken, ist bei uns im Wohnhaus ein Mann drauf gegangen, der lag ein Monat tot in der Wohnung, weil ich nicht drauf gegangen, dachten die der lebt noch, ich hatte 6 Kg auf einen Schlag abgenommen, meine Haut war schnell gealtert und meine Körperkraft hatte sich halbiert.
Heilung dauert sehr, sehr lange, weil die Schumannfrequenz von 7,38 Hertz, mit der sanften Flussdichte  von 0,0000000001 Mikrowatt/m² so  gut wie nirgends mehr existiert. Deshalb geht auch die Natur vor die Hunde.



4. Kommentar zu Corona

Folgendes nicht verifiziert; kann nur bestätigen:
In den Krankenhäusern liegen keine Leute wegen Corona.
„Die Aufgabe der Impfstoffe, der geplanten mindestens 8 Spritzen
Die 1. Impfung
Er enthält eine kleine Menge Kochsalzlösung und dann einige Zutaten, die u.a. das zelluläres System zu zerstören beginnen. Das Immunsystem, das Knochenmark, die Thymusdrüse, die Milz und alle anderen Systeme die mit ihrem Immunsystem verbunden sind werden lahm gelegt, weil die Fähigkeit weiße Blutkörperchen zu produzieren um 50 % verringert wird. Da auf den ersten Blick diese 50% nicht auffallen, überleb diese Impfung auch fast jeder und glaubt, es hätte ihm nicht geschadet. Nun lässt man bewusst 8 Wochen Zeit, weil das der selbe Zeitraum der Reproduktion von weißen Blutkörperchen ist. Deshalb wurde es so eingerichtet, dass man die 2. Impfung 8 Wochen später bekommt, um die Reproduktion des Blutes aufzuhalten, weil sie dort am schwächsten sind.
Bei der 2. Impfung erhöhen sie die schädlichen Inhaltsstoffe und weitere 25% der Fähigkeit
weiße Blutkörperchen zu bilden tritt ein und man hat nur noch 25% der ursprünglichen
Produktionskapazitäten.
Als 3. kommt der Booster.
Der Booster enthält 81 Stränge von Fremdbakterien die ihre Zellen nicht kennen und verrichten ihre Aufgaben und das weniger bekannte Graphenhydroxid, die Nano-Rasierklingen, werden in den Körper eingebracht und beginnen ihn je nach Dosis in den Spritzen zu zerschneiden, ein verlorener Kampf für den Körper gegen sie. Es gibt mehrere Chargen, nämlich leichte, mittlere und sofort tödliche, wo die Betroffenen binnen Stunden sofort verbluten, weil ihre Zellen von innen zerschnitten werden, denn das GH ist atomar dünn, extrem stabil und damit scharf. Es wird auch nicht abgebaut und löst sich auch nicht auf.
Einmal drin, immer drin. Es beginnen sich chronische Entzündungen zu entwickeln, weil immer mehr der schon bestehenden Wunden somit vergrößert werden und die Heilungsgehilfen des Körpers ja fast alle ausgebremst wurden.
Als 4. kommt der 2. Booster.
Nun wird die Fähigkeit weiße Blutkörperchen zu produzieren komplett lahm gelegt. Das nennt
man dann HIV und entstand durch „Medikamente“ und durch nichts anderes. Jetzt haben wir
also Leute, die ohne Immunsystem herumlaufen und das geht sehr wohl eine gewisse Zeit. Jetzt in dieser ersten Zeitspanne wird ein viertel dieser Bevölkerung sterben.
Es gibt insgesamt 4 Zeitspannen. Sie haben bereits 3 weitere Booster, die noch kommen werden. Ohne Immunsystem wird man von der Pharma so abhängig wie Diabetiker von Insulin oder Nieren-Dialyse-Patienten. Damit werden die einen an den Impfungen sterben, um so die gewollte Bevölkerungsreduktion zu erreichen, die anderen werden medizinisch abhängig und die die noch relativ gesund sind und arbeiten können, zahlen für diese Unsinn für alle die Kosten.
Man rechnet für diesen ersten Schwung mit ca. 2-3 Jahren, wo die erste Welle an Geimpften
umkommt und dann wird man behaupten, dass diese nun tatsächlich Gestorbenen an einem
weiteren Virus starben, weil niemand darauf kommen soll, dass alle durch die Impfungen
innerlich zerschnitten wurden und an ihrer Nichtheilung zu Grunde gingen.
Jedes Tier, das an der Versuchsstudie zu den Impfungen teilnahm hatte diese nicht überlebt.“
[Wissenschafts- und Forschungszentrum Karstedt-Kaiser – Berlin 14.10.2022]


5.)Heutige Probleme


Lenin und Josef Stalin waren einzigartig, sie haben das praktisch umgesetzt was Marx theoretisch erarbeitet hat.
Walter hat das als Josefs Schüler perfektioniert und Kim Il Sung für Nordkorea! Auch Fiedel Kastro hat das auf Kubanisch perfekt gemacht.
Ho Shi Minh ebenso. Mao hat gemauert, Tito hat mit dem Westen gearbeitet, Polen hat von Anfang an Verrat geübt.
Richtig echt war in Europa nur die DDR und die wurde von den Katholiken, wie alle Völker unterwandert und letztendlich zerstört.
Jedoch das Russische Volk das ist das Beständigste, wie Nordkorea und von hier wird wieder ein Impuls kommen,jedoch Wladimir hat doch vergeblich 16 Jahre die Hand ausgestreckt.
Im Osten also hier könnte wieder etwas werden, jedoch der Westen begreift das nicht,
das habe ich 33 Jahre beobachtet.
Die Politiker sind zu primitiv materialistisch und nicht in der Lage sich in das Volk ein zudenken und den Rahmen für eine Maslowasche Pyramide zu zimmern.
Hier hat sich seit 1950 der von mir genannte Homöopathische Nationalsozialismus entwickelt.
"Krank sein ist die erste Bürgerpflicht" diese Worte von Dr. Schnitzer haben die real umgesetzt. Ärzte sind zum Mörder mutiert und Dealer der Pharmaindustrie, sie  verordnen
> 15000 Medikamente mit je 20 Nebenwirkungen und haben 30.000 künstliche Krankheitssymptome geschaffen. Das reicht denen nicht, eine
Sterberate von 12/1000 etwa 1 Million Tote im Jahr, Syrien hat im Vergleich eine Sterberate
von 4/1000 etwa 333.333 Tote/Jahr. Durch die Flüchtlinge, die hier angepasst werden durch
Fake-Nahrung, vergiftetes Trinkwasser und Umwelt und jetzt Radar überall mit verheerenden Krankheiten wie unsere DDR-Raketentruppen und deren Familien, die man nicht entschädigt!
1950 kostet das Gesundheitsunwesen 2 Milliarden D-Mark, heute etwa
500 Milliarden Euro und es  arbeiten dort 7 Millionen Menschen, wo unter normalen Bedingungen wie in der einstigen DDR etwa 1/2 Million notwendig wären, wenn der Gesundheitsfaschister seine Sache richtig machen würde und gesunde Ernährung und Umwelt, sowie menschliche Arbeitsbedingungen herrschen würden. Jeder braucht eine Arbeit und Politiker, Polizei und Armee benötigen vorher einen Beruf!
Wenn der Mensch in allen Ländern im Mittelpunkt stehen würde wäre Frieden und Freundschaft wie vor 1989 mit Russland!

6.) Endlich kann ich mich wehren



Wegen Rechtsbeugung
Richterin zu zwei Jahren und neun Monaten Haft verurteilt
Von
t-online
,
mtt
Aktualisiert am 07.03.2023 - 14:16 Uhr
Lesedauer: 2 Min.
Blick in eine Gefängniszelle (Symbolbild): Wenn das Urteil rechtskräftig wird, muss die Richterin in Haft. (Quelle: Horn/imago images)
Facebook Logo
Twitter Logo
Pinterest Logo
https://www.t-online.de/region/bremen/id_100139914/psychiatrie-einweisung-ohne-anhoerung-richterin-zu-haftstrafe-verurteilt.html
Symbolbild zum öffnen des Teilen-Dialogs
Sie schickte 15 Menschen ohne Anhörung in die Psychiatrie. Dafür muss eine Richterin jetzt ins Gefängnis. Das Urteil hat weitere unangenehme Folgen für sie.
Das Landgericht Stade hat eine Richterin aus Rotenburg zu einer Haftstrafe von zwei Jahren und neun Monaten verurteilt. Bei diesem Strafmaß ist keine Aussetzung der Strafe zur Bewährung möglich. Das heißt: Die Richterin muss ins Gefängnis, wenn das Urteil rechtskräftig wird.
Die 54 Jahre alte Angeklagte wurde der Rechtsbeugung für schuldig befunden. Vorgeworfen hatte ihr die Staatsanwaltsschaft insgesamt 15 Fälle, in denen sie "nicht krankheitseinsichtige" Menschen gegen deren Willen in eine geschlossene Abteilung der Psychiatrie geschickt hatte – und dies, ohne diese Personen persönlich anzuhören.
Nur in Ausnahmefällen ist so ein Vorgehen möglich, zum Beispiel, wenn akute Suizidgefahr besteht. Dann müssen die Betroffenen aber innerhalb von 24 Stunden die Möglichkeit bekommen, sich nachträglich zu äußern. In sechs der angeklagten 15 Fälle erhielten die Eingewiesenen aber nicht einmal diese Gelegenheit. Teilweise mussten sie 57 Tage warten, bis Richterin Heike B. sie anhörte.
Richterin Heike B.: "Ich wollte alles richtig machen"
B., die als Betreuungsrichterin am Amtsgericht Rotenburg beschäftigt war, hat im Prozess keinen einzigen der Vorwürfe bestritten. Allerdings habe sie nicht vorsätzlich gehandelt, sagte sie. Sie sei ganz einfach überlastet gewesen.
"Ich wollte stets alles richtig machen", zitierte die "taz" die Richterin. "Ich habe durchgeknüppelt, auch am Wochenende." Aber sie habe keine Chance gehabt, ihren Aufgaben gerecht zu werden.
Gericht: B. hätte die Notbremse ziehen müssen
Auch Zeuginnen beschrieben die Zustände am Amtsgericht Rotenburg als "schlimm". B. habe während einer personellen Notlage auch noch Aufgaben einer pensionierten Zivilrichterin übernommen, obwohl sie in ihrem eigentlichen Arbeitsbereich schon nicht mehr klargekommen sei.
Das Landgericht Stade betonte bei der Urteilsverkündung am Montag jedoch laut NDR: Wenn es wirklich so furchtbar war, hätte Richterin B. die Notbremse ziehen müssen. Sie hätte die Möglichkeit gehabt, eine sogenannte Belastungsanzeige zu formulieren, um auf die Missstände aufmerksam zu machen.
Richterin droht Verlust der Pensionsansprüche
Die Haftstrafe ohne Bewährung habe die Kammer als angemessen angesehen, sagte Landgerichtssprecherin Petra Linzer t-online am Dienstag. Das Urteil sei noch nicht rechtskräftig.
Heike B. könne jetzt Revision einlegen, dann wandere der Fall zum Bundesgerichtshof (BGH). Theoretisch denkbar sei unter anderem, dass die Verteidigung die Höhe des Urteils anfechte, um doch noch eine Bewährungsstrafe zu erreichen. Aber auch bei einer geringeren Strafe gäbe es vermutlich noch weitere Folgen für die Verurteilte: Ab einer wegen einer vorsätzlichen Tat ausgesprochenen Haftstrafe von einem Jahr endet automatisch das Dienstverhältnis. Ihre Pensionsansprüche verlöre B. zudem.


7.) versuchter Totschlag in meiner Küche mittels EMF`s


Montag den 21.11.22 Edeline telefoniert und die Rauchmelder oder Antenne simuliert
Smartmeter, Wahnsinn 831371 µW/m² = 17,70 V/m und das in einer  Küche wo
Wo nur max. 1 µ/m² sein dürfen fast 1 Watt/m²
15 Minuten durchschnittlich 126567 µW/m²/Sekunde
EMF-390 Data Logged History
EMF EF RF Power
Date and Time mG V/m µW/m² Possible Source
2022/11/21 17:29:30 67.4 76.4 8244 Smart Meter
2022/11/21 17:29:31 68.0 76.4 8836 Power Line
2022/11/21 17:29:32 67.7 76.8 8769 Power Line
2022/11/21 17:29:33 68.0 77.0 8905 Smart Meter
2022/11/21 17:29:34 68.0 77.6 9043 Smart Meter
2022/11/21 17:29:35 68.5 77.5 115774 Power Line
2022/11/21 17:29:36 67.6 76.1 9043 Smart Meter
2022/11/21 17:29:37 66.8 76.5 8836 Smart Meter
2022/11/21 17:29:38 67.4 76.7 9471 Power Line
2022/11/21 17:29:39 68.2 77.8 6905 Power Line
2022/11/21 17:29:40 68.8 77.9 87742 Smart Meter
2022/11/21 17:29:41 68.2 77.8 4806 Power Line
2022/11/21 17:29:42 68.5 77.3 10880 Power Line
2022/11/21 17:29:43 68.7 77.3 2170 Power Line
2022/11/21 17:29:44 67.9 76.4 326 Power Line
2022/11/21 17:29:45 67.2 76.1 1 Power Line
2022/11/21 17:29:46 67.6 76.7 679 Power Line
2022/11/21 17:29:47 68.0 77.0 432 Power Line
2022/11/21 17:29:48 68.3 76.9 419 Power Line
2022/11/21 17:29:49 68.2 77.5 501 Power Line
2022/11/21 17:29:50 68.3 77.5 1 Power Line
2022/11/21 17:29:51 68.9 77.3 1 Power Line
2022/11/21 17:29:51 68.2 76.5 1 Power Line
2022/11/21 17:29:52 67.1 76.1 1 Power Line
2022/11/21 17:29:53 67.1 76.8 1 Mixed
2022/11/21 17:29:54 67.8 76.4 1 Power Line
2022/11/21 17:29:55 68.5 76.6 361 Power Line
2022/11/21 17:29:56 68.8 77.1 2513 Power Line
2022/11/21 17:29:57 68.3 77.1 5272 Power Line
2022/11/21 17:29:58 68.4 78.3 4553 Power Line
2022/11/21 17:29:59 68.5 78.0 7288 Power Line
2022/11/21 17:30:00 68.4 77.4 49244 Power Line
2022/11/21 17:30:01 67.4 76.6 5313 Power Line
2022/11/21 17:30:02 67.1 76.4 6104 Power Line
2022/11/21 17:30:03 67.6 76.7 5873 Power Line
2022/11/21 17:30:04 68.1 77.4 4415 Power Line
2022/11/21 17:30:05 68.7 77.3 4248 Power Line
2022/11/21 17:30:06 68.2 77.7 34553 Power Line
2022/11/21 17:30:07 68.0 77.9 33764 Power Line
2022/11/21 17:30:08 68.2 77.8 4347 Power Line
EMF EF RF Power
Date and Time mG V/m µW/m² Possible Source
2022/11/21 17:30:09 68.0 77.2 4415 Power Line
2022/11/21 17:30:10 67.1 76.8 4553 Power Line
2022/11/21 17:30:11 67.1 77.2 4449 Power Line
2022/11/21 17:30:12 67.5 77.2 4484 Power Line
2022/11/21 17:30:13 68.2 77.0 4518 Power Line
2022/11/21 17:30:14 67.8 77.6 4518 Power Line
2022/11/21 17:30:15 68.0 77.7 4449 Power Line
2022/11/21 17:30:16 68.4 78.0 4553 Power Line
2022/11/21 17:30:17 68.4 77.8 4484 Power Line
2022/11/21 17:30:18 67.8 76.3 4484 Power Line
2022/11/21 17:30:19 67.0 76.8 35089 Power Line
2022/11/21 17:30:20 67.5 76.8 4449 Power Line
2022/11/21 17:30:21 68.1 77.4 4381 Power Line
2022/11/21 17:30:22 68.5 77.5 4449 Power Line
2022/11/21 17:30:23 68.0 77.6 37033 Power Line
2022/11/21 17:30:24 68.4 77.9 4449 Power Line
2022/11/21 17:30:25 68.8 77.7 4347 Power Line
2022/11/21 17:30:26 68.0 76.7 33247 Power Line
2022/11/21 17:30:27 67.2 76.7 4347 Power Line
2022/11/21 17:30:28 67.7 76.7 4347 Power Line
2022/11/21 17:30:29 68.0 77.4 4415 Power Line
2022/11/21 17:30:30 68.4 77.6 33247 Power Line
2022/11/21 17:30:31 68.1 77.8 37608 Power Line
2022/11/21 17:30:32 68.1 78.0 4347 Power Line
2022/11/21 17:30:33 68.4 77.8 32488 Power Line
2022/11/21 17:30:34 67.6 76.6 4314 Power Line
2022/11/21 17:30:35 67.1 76.6 4347 Power Line
2022/11/21 17:30:36 67.7 77.3 34288 Power Line
2022/11/21 17:30:37 68.1 77.1 4314 Power Line
2022/11/21 17:30:38 68.3 77.4 92602 Power Line
2022/11/21 17:30:39 68.3 78.1 11395 Power Line
2022/11/21 17:30:40 68.8 77.9 492464 Power Line
2022/11/21 17:30:41 68.2 76.5 16117 Power Line
2022/11/21 17:30:42 67.1 76.9 507870 Power Line
2022/11/21 17:30:43 67.4 76.5 463041 Power Line
2022/11/21 17:30:44 68.1 77.4 17408 Power Line
2022/11/21 17:30:45 67.8 77.5 17274 Power Line
2022/11/21 17:30:46 68.1 77.3 53597 Power Line
2022/11/21 17:30:47 68.3 77.8 442133 Power Line
2022/11/21 17:30:48 67.9 76.6 17142 Power Line
2022/11/21 17:30:49 67.1 76.4 445551 Power Line
2022/11/21 17:30:50 67.3 77.4 473863 Power Line
2022/11/21 17:30:51 68.1 77.4 463041 Power Line
2022/11/21 17:30:52 68.3 77.8 15389 Power Line
2022/11/21 17:30:53 67.8 77.8 412527 Power Line
2022/11/21 17:30:54 68.3 77.6 448995 Power Line
2022/11/21 17:30:55 68.8 78.2 463041 Power Line
2022/11/21 17:30:56 68.1 76.7 455964 Power Line
2022/11/21 17:30:57 67.3 76.7 16750 Power Line
EMF EF RF Power
Date and Time mG V/m µW/m² Possible Source
2022/11/21 17:30:58 67.5 77.0 17408 Power Line
2022/11/21 17:30:59 67.7 76.7 17274 Power Line
2022/11/21 17:31:00 68.1 77.1 552765 Power Line
2022/11/21 17:31:01 67.9 77.6 17953 Power Line
2022/11/21 17:31:02 67.9 77.6 535998 Power Line
2022/11/21 17:31:03 67.9 77.4 492464 Power Line
2022/11/21 17:31:04 68.2 77.9 17010 Power Line
2022/11/21 17:31:05 68.0 77.2 364705 Power Line
2022/11/21 17:31:06 67.1 76.5 14030 Power Line
2022/11/21 17:31:07 67.2 76.6 379022 Power Line
2022/11/21 17:31:08 67.5 76.9 13604 Power Line
2022/11/21 17:31:09 67.9 76.9 9996 Smart Meter
2022/11/21 17:31:10 68.3 77.5 10550 Power Line
2022/11/21 17:31:11 68.0 77.3 246249 Smart Meter
2022/11/21 17:31:12 68.2 77.6 255916 Power Line
2022/11/21 17:31:13 68.6 77.6 244360 Smart Meter
2022/11/21 17:31:14 68.9 77.6 242485 Smart Meter
2022/11/21 17:31:15 67.9 76.5 9919 Power Line
2022/11/21 17:31:16 66.8 76.5 10309 Power Line
2022/11/21 17:31:17 67.3 77.2 9919 Power Line
2022/11/21 17:31:18 67.8 76.5 151590 Smart Meter
2022/11/21 17:31:19 68.2 77.3 142533 Smart Meter
2022/11/21 17:31:20 68.0 77.4 134017 Smart Meter
2022/11/21 17:31:21 68.1 77.6 7872 Power Line
2022/11/21 17:31:22 68.3 77.9 134017 Smart Meter
2022/11/21 17:31:23 68.1 77.7 7811 Power Line
2022/11/21 17:31:24 67.3 76.6 7994 Power Line
2022/11/21 17:31:25 67.1 76.7 7994 Power Line
2022/11/21 17:31:26 67.7 76.9 7994 Power Line
2022/11/21 17:31:27 68.2 76.9 139278 Smart Meter
2022/11/21 17:31:28 68.0 77.8 8181 Smart Meter
2022/11/21 17:31:29 68.0 77.8 7933 Smart Meter
2022/11/21 17:31:30 67.9 77.6 156333 Smart Meter
2022/11/21 17:31:31 68.2 77.2 8118 Power Line
2022/11/21 17:31:32 67.5 76.4 8181 Power Line
2022/11/21 17:31:33 67.2 76.7 8372 Power Line
2022/11/21 17:31:34 67.8 77.0 134017 Smart Meter
2022/11/21 17:31:35 68.5 76.9 8118 Power Line
2022/11/21 17:31:36 68.2 77.4 7872 Power Line
2022/11/21 17:31:37 68.2 77.7 137149 Smart Meter
2022/11/21 17:31:38 68.4 78.0 157541 Smart Meter
2022/11/21 17:31:39 68.0 76.6 136097 Smart Meter
2022/11/21 17:31:40 67.2 76.7 7994 Power Line
2022/11/21 17:31:41 67.4 76.7 149273 Smart Meter
2022/11/21 17:31:42 68.0 77.3 7751 Power Line
2022/11/21 17:31:43 68.3 77.2 7994 Smart Meter
2022/11/21 17:31:44 68.2 77.5 158759 Smart Meter
2022/11/21 17:31:45 68.5 77.5 140354 Smart Meter
2022/11/21 17:31:46 68.5 77.2 7994 Power Line
2022/11/21 17:31:47 67.6 76.5 145864 Smart Meter
EMF EF RF Power
Date and Time mG V/m µW/m² Possible Source
2022/11/21 17:31:48 67.3 76.7 162470 Smart Meter
2022/11/21 17:31:49 67.8 77.3 162470 Smart Meter
2022/11/21 17:31:50 68.4 77.3 8308 Power Line
2022/11/21 17:31:51 68.1 77.6 8181 Mixed
2022/11/21 17:31:52 68.2 78.0 8701 Mixed
2022/11/21 17:31:53 68.0 77.6 8244 Power Line
2022/11/21 17:31:54 67.6 76.5 13816 Power Line
2022/11/21 17:31:55 67.4 76.9 13816 Power Line
2022/11/21 17:31:56 67.9 77.2 14139 Power Line
2022/11/21 17:31:57 68.3 77.4 364705 Power Line
2022/11/21 17:31:58 68.2 77.6 14248 Power Line
2022/11/21 17:31:59 68.7 77.6 387880 Power Line
2022/11/21 17:32:00 69.0 78.0 384904 Power Line
2022/11/21 17:32:01 68.2 76.5 359131 Power Line
2022/11/21 17:32:02 67.2 77.2 13191 Power Line
2022/11/21 17:32:03 67.5 76.8 337674 Power Line
2022/11/21 17:32:04 68.0 77.2 14030 Power Line
2022/11/21 17:32:05 68.2 77.2 361907 Power Line
2022/11/21 17:32:06 67.8 77.4 13922 Power Line
2022/11/21 17:32:07 68.0 77.7 400014 Power Line
2022/11/21 17:32:08 68.2 77.8 14139 Power Line
2022/11/21 17:32:09 67.7 76.9 13816 Power Line
2022/11/21 17:32:10 66.9 76.6 13922 Power Line
2022/11/21 17:32:11 67.4 77.3 14358 Power Line
2022/11/21 17:32:12 67.9 77.2 393900 Power Line
2022/11/21 17:32:13 68.4 77.8 387880 Power Line
2022/11/21 17:32:14 67.8 78.1 393900 Power Line
2022/11/21 17:32:15 67.8 78.2 384904 Power Line
2022/11/21 17:32:16 68.1 78.2 14030 Power Line
2022/11/21 17:32:17 67.7 77.2 12791 Power Line
2022/11/21 17:32:18 66.8 13.5 13604 WiFi/Phone
2022/11/21 17:32:19 63.7 51.0 22795 Power Line
2022/11/21 17:32:20 64.1 52.1 22971 Power Line
2022/11/21 17:32:21 64.4 52.2 654814 Power Line
2022/11/21 17:32:22 64.3 51.9 659876 Power Line
2022/11/21 17:32:23 64.6 53.1 680519 Power Line
2022/11/21 17:32:24 65.0 73.5 24244 Power Line
2022/11/21 17:32:25 63.9 71.6 23690 Power Line
2022/11/21 17:32:26 63.2 71.8 25196 Power Line
2022/11/21 17:32:27 63.9 71.3 712700 Power Line
2022/11/21 17:32:28 64.4 71.6 675298 Power Line
2022/11/21 17:32:29 64.5 71.6 24620 Power Line
2022/11/21 17:32:30 64.6 71.9 19242 Power Line
2022/11/21 17:32:31 65.2 72.5 18947 Power Line
2022/11/21 17:32:32 65.5 72.2 531886 Power Line
2022/11/21 17:32:33 64.3 71.2 14694 Power Line
2022/11/21 17:32:34 63.7 71.3 14358 Power Line
2022/11/21 17:32:35 64.0 71.5 14358 Power Line
2022/11/21 17:32:36 64.5 71.3 14469 Power Line
EMF EF RF Power
Date and Time mG V/m µW/m² Possible Source
2022/11/21 17:32:37 64.7 71.9 15154 Power Line
2022/11/21 17:32:38 64.7 72.2 418930 Power Line
2022/11/21 17:32:39 64.9 72.1 356376 Power Line
2022/11/21 17:32:40 65.2 72.7 353642 Power Line
2022/11/21 17:32:41 64.3 71.6 13816 Power Line
2022/11/21 17:32:42 64.2 71.5 13922 Power Line
2022/11/21 17:32:43 64.3 71.6 14139 Power Line
2022/11/21 17:32:44 64.3 71.6 370366 Power Line
2022/11/21 17:32:45 64.5 72.0 14358 Power Line
2022/11/21 17:32:46 64.7 71.6 14030 Power Line
2022/11/21 17:32:47 64.9 72.1 14358 Power Line
2022/11/21 17:32:48 65.1 72.1 14358 Power Line
2022/11/21 17:32:49 66.1 71.2 14139 Power Line
2022/11/21 17:32:50 63.8 71.2 400014 Power Line
2022/11/21 17:32:51 64.2 71.3 373229 Power Line
2022/11/21 17:32:52 64.9 71.5 14139 Power Line
2022/11/21 17:32:53 65.1 72.1 403106 Power Line
2022/11/21 17:32:54 64.7 71.7 14139 Power Line
2022/11/21 17:32:55 64.7 72.1 400014 Power Line
2022/11/21 17:32:56 65.4 72.2 14030 Power Line
2022/11/21 17:32:57 64.6 71.8 659876 Power Line
2022/11/21 17:32:58 63.7 71.2 24058 Power Line
2022/11/21 17:32:59 63.9 71.2 670118 Power Line
2022/11/21 17:33:00 64.4 71.5 670118 Power Line
2022/11/21 17:33:01 64.6 71.6 23690 Power Line
2022/11/21 17:33:02 64.6 72.0 664977 Power Line
2022/11/21 17:33:03 64.8 72.2 24058 Power Line
2022/11/21 17:33:04 65.3 72.1 24431 Power Line
2022/11/21 17:33:05 65.4 71.7 24431 Power Line
2022/11/21 17:33:06 64.3 71.1 24244 Power Line
2022/11/21 17:33:07 64.0 71.2 23873 Power Line
2022/11/21 17:33:08 64.4 71.7 23873 Power Line
2022/11/21 17:33:09 64.5 72.1 691081 Power Line
2022/11/21 17:33:10 64.3 72.1 685779 Power Line
2022/11/21 17:33:11 64.4 72.4 25003 Power Line
2022/11/21 17:33:12 64.9 72.1 644806 Power Line
2022/11/21 17:33:13 64.9 71.7 24058 Power Line
2022/11/21 17:33:14 64.0 71.1 23873 Power Line
2022/11/21 17:33:15 64.1 71.3 23690 Power Line
2022/11/21 17:33:16 64.4 71.6 24058 Power Line
2022/11/21 17:33:17 64.4 72.1 24058 Power Line
2022/11/21 17:33:18 64.5 71.7 24058 Power Line
2022/11/21 17:33:19 64.8 72.3 23690 Power Line
2022/11/21 17:33:20 65.0 72.2 24431 Power Line
2022/11/21 17:33:21 64.1 71.6 24431 Power Line
2022/11/21 17:33:22 63.6 71.2 23873 Power Line
2022/11/21 17:33:23 63.9 71.3 24058 Power Line
2022/11/21 17:33:24 64.4 71.5 24058 Power Line
2022/11/21 17:33:25 64.7 71.6 24620 Power Line
EMF EF RF Power
Date and Time mG V/m µW/m² Possible Source
2022/11/21 17:33:26 64.5 71.6 24058 Power Line
2022/11/21 17:33:27 64.9 72.1 685779 Power Line
2022/11/21 17:33:28 65.5 72.3 675298 Power Line
2022/11/21 17:33:29 64.5 71.4 24244 Power Line
2022/11/21 17:33:30 63.9 71.2 685779 Power Line
2022/11/21 17:33:31 64.4 71.4 691081 Power Line
2022/11/21 17:33:32 64.6 71.6 24244 Power Line
2022/11/21 17:33:33 64.7 71.6 685779 Power Line
2022/11/21 17:33:34 64.8 72.2 23873 Power Line
2022/11/21 17:33:35 65.2 72.1 24058 Power Line
2022/11/21 17:33:36 65.5 72.4 24244 Power Line
2022/11/21 17:33:37 64.9 72.1 691081 Power Line
2022/11/21 17:33:38 63.7 71.3 670118 Power Line
2022/11/21 17:33:39 63.8 71.2 23508 Power Line
2022/11/21 17:33:40 64.5 71.3 23873 Power Line
2022/11/21 17:33:41 64.9 71.7 17953 Power Line
2022/11/21 17:33:42 64.6 71.6 17815 Power Line
2022/11/21 17:33:43 64.8 71.8 18231 Power Line
2022/11/21 17:33:44 65.1 72.2 18231 Power Line
2022/11/21 17:33:45 65.2 72.5 17953 Power Line
2022/11/21 17:33:46 63.9 71.1 17678 Power Line
2022/11/21 17:33:47 63.5 71.4 18092 Power Line
2022/11/21 17:33:48 63.8 71.6 552765 Power Line
2022/11/21 17:33:49 64.5 71.5 557039 Power Line
2022/11/21 17:33:50 64.7 71.7 17815 Power Line
2022/11/21 17:33:51 64.8 71.7 17953 Power Line
2022/11/21 17:33:52 65.2 72.1 18092 Power Line
2022/11/21 17:33:53 65.4 72.3 18372 Power Line
2022/11/21 17:33:54 64.9 71.4 18515 Power Line
2022/11/21 17:33:55 63.9 71.2 515752 Power Line
2022/11/21 17:33:56 64.1 71.3 557039 Power Line
2022/11/21 17:33:57 64.9 71.5 18372 Power Line
2022/11/21 17:33:58 65.2 71.5 18092 Power Line
2022/11/21 17:33:59 65.3 71.6 18372 Power Line
2022/11/21 17:34:00 65.4 72.2 515752 Power Line
2022/11/21 17:34:01 65.5 72.3 18658 Power Line
2022/11/21 17:34:02 66.6 72.5 18515 Power Line
2022/11/21 17:34:03 64.3 71.2 18092 Power Line
2022/11/21 17:34:04 64.2 71.5 540142 Power Line
2022/11/21 17:34:05 64.3 71.2 18515 Power Line
2022/11/21 17:34:06 64.4 71.8 552765 Power Line
2022/11/21 17:34:07 64.7 71.6 561345 Power Line
2022/11/21 17:34:08 64.6 72.0 535998 Power Line
2022/11/21 17:34:09 64.8 72.2 18231 Power Line
2022/11/21 17:34:10 65.5 72.5 18092 Power Line
2022/11/21 17:34:11 66.2 72.1 18802 Power Line
2022/11/21 17:34:12 63.9 71.2 18092 Power Line
2022/11/21 17:34:13 64.0 71.2 561345 Power Line
2022/11/21 17:34:14 64.1 71.4 18092 Power Line
EMF EF RF Power
Date and Time mG V/m µW/m² Possible Source
2022/11/21 17:34:15 64.6 71.8 557039 Power Line
2022/11/21 17:34:16 65.0 71.7 18372 Power Line
2022/11/21 17:34:17 65.1 71.8 557039 Power Line
2022/11/21 17:34:18 65.0 71.8 18515 Power Line
2022/11/21 17:34:19 65.3 72.1 18515 Power Line
2022/11/21 17:34:20 65.5 72.1 552765 Power Line
2022/11/21 17:34:21 64.2 71.2 18092 Power Line
2022/11/21 17:34:22 63.5 71.2 18092 Power Line
2022/11/21 17:34:23 63.6 71.3 18372 Power Line
2022/11/21 17:34:24 64.2 71.3 18372 Power Line
2022/11/21 17:34:25 64.8 71.6 17678 Power Line
2022/11/21 17:34:26 65.0 71.7 18092 Power Line
2022/11/21 17:34:27 64.9 72.0 18658 Power Line
2022/11/21 17:34:28 65.0 72.5 17953 Power Line
2022/11/21 17:34:29 65.3 72.5 17953 Power Line
2022/11/21 17:34:30 65.2 72.4 18372 Power Line
2022/11/21 17:34:31 64.4 71.4 557039 Power Line
2022/11/21 17:34:32 64.0 71.3 18231 Power Line
2022/11/21 17:34:33 64.4 71.4 18231 Power Line
2022/11/21 17:34:34 65.0 72.0 18092 Power Line
2022/11/21 17:34:35 64.9 71.5 18515 Power Line
2022/11/21 17:34:36 64.7 72.3 18092 Power Line
2022/11/21 17:34:37 65.1 72.1 18515 Power Line
2022/11/21 17:34:38 65.6 72.4 18372 Power Line
2022/11/21 17:34:39 64.6 71.3 561345 Power Line
2022/11/21 17:34:40 64.0 71.2 515752 Power Line
2022/11/21 17:34:41 64.3 71.4 557039 Power Line
2022/11/21 17:34:42 64.7 71.3 557039 Power Line
2022/11/21 17:34:43 65.1 71.5 18092 Power Line
2022/11/21 17:34:44 65.0 71.7 557039 Power Line
2022/11/21 17:34:45 64.8 72.0 18092 Power Line
2022/11/21 17:34:46 65.1 72.1 552765 Power Line
2022/11/21 17:34:47 65.4 72.1 511796 Power Line
2022/11/21 17:34:48 64.7 71.3 561345 Power Line
2022/11/21 17:34:49 64.1 71.2 515752 Power Line
2022/11/21 17:34:50 64.1 71.2 18372 Power Line
2022/11/21 17:34:51 64.5 71.4 548525 Power Line
2022/11/21 17:34:52 65.1 71.5 561345 Power Line
2022/11/21 17:34:53 64.8 72.2 561345 Power Line
2022/11/21 17:34:54 64.7 72.2 557039 Power Line
2022/11/21 17:34:55 65.2 72.0 18092 Power Line
2022/11/21 17:34:56 66.4 72.3 561345 Power Line
2022/11/21 17:34:57 66.5 72.1 18092 Power Line
2022/11/21 17:34:58 64.4 71.2 557039 Power Line
2022/11/21 17:34:59 63.9 71.3 18092 Power Line
2022/11/21 17:35:00 64.0 71.5 492464 Power Line
2022/11/21 17:35:01 64.4 71.7 540142 Power Line
2022/11/21 17:35:02 64.6 71.6 18515 Power Line
2022/11/21 17:35:03 64.7 71.7 18802 Power Line
EMF EF RF Power
Date and Time mG V/m µW/m² Possible Source
2022/11/21 17:35:05 65.1 72.1 565684 Power Line
2022/11/21 17:35:06 65.6 72.2 570057 Power Line
2022/11/21 17:35:07 64.3 71.2 18372 Power Line
2022/11/21 17:35:08 63.4 71.2 18658 Power Line
2022/11/21 17:35:09 63.8 71.2 18515 Power Line
2022/11/21 17:35:10 64.4 71.6 561345 Power Line
2022/11/21 17:35:11 64.8 71.2 18092 Power Line
2022/11/21 17:35:12 64.6 71.7 18372 Power Line
2022/11/21 17:35:13 64.5 71.8 18231 Power Line
2022/11/21 17:35:14 64.8 72.3 18372 Power Line
2022/11/21 17:35:15 65.1 72.5 455964 Power Line
2022/11/21 17:35:16 65.3 72.7 519739 Power Line
2022/11/21 17:35:17 66.3 71.8 18372 Power Line
2022/11/21 17:35:18 63.6 71.2 552765 Power Line
2022/11/21 17:35:19 64.0 71.3 17953 Power Line
2022/11/21 17:35:20 64.3 71.6 18092 Power Line
2022/11/21 17:35:21 64.5 71.4 18092 Power Line
2022/11/21 17:35:22 64.7 72.1 557039 Power Line
2022/11/21 17:35:23 64.7 71.6 18658 Power Line
2022/11/21 17:35:24 64.7 72.1 17953 Power Line
2022/11/21 17:35:25 64.8 72.5 17953 Power Line
2022/11/21 17:35:26 65.1 72.1 18092 Power Line
2022/11/21 17:35:27 64.9 72.0 552765 Power Line
2022/11/21 17:35:28 63.9 71.2 18092 Power Line
2022/11/21 17:35:29 63.6 71.2 18372 Power Line
2022/11/21 17:35:30 64.0 71.5 17953 Power Line
2022/11/21 17:35:31 64.3 71.5 17678 Power Line
2022/11/21 17:35:32 64.4 71.7 17815 Power Line
2022/11/21 17:35:33 64.4 72.2 17953 Power Line
2022/11/21 17:35:34 64.6 71.8 17953 Power Line
2022/11/21 17:35:35 65.0 72.2 17815 Power Line
2022/11/21 17:35:36 65.4 72.4 548525 Power Line
2022/11/21 17:35:37 64.2 71.6 17953 Power Line
2022/11/21 17:35:38 63.3 71.5 17815 Power Line
2022/11/21 17:35:39 63.8 71.2 17953 Power Line
2022/11/21 17:35:40 64.2 71.8 17953 Power Line
2022/11/21 17:35:41 64.2 71.4 17678 Power Line
2022/11/21 17:35:42 64.2 71.7 17678 Power Line
2022/11/21 17:35:43 64.5 72.0 17953 Power Line
2022/11/21 17:35:44 64.8 72.1 17815 Power Line
2022/11/21 17:35:45 65.0 72.5 17678 Power Line
2022/11/21 17:35:46 63.7 71.2 17678 Power Line
2022/11/21 17:35:47 63.1 71.2 17953 Power Line
2022/11/21 17:35:48 63.5 71.3 18092 Power Line
2022/11/21 17:35:49 64.0 71.5 17953 Power Line
2022/11/21 17:35:50 64.5 71.8 17953 Power Line
2022/11/21 17:35:50 64.3 71.6 544317 Power Line
2022/11/21 17:35:51 64.3 72.1 496271 Power Line
2022/11/21 17:35:52 64.5 72.3 17678 Power Line
EMF EF RF Power
Date and Time mG V/m µW/m² Possible Source
2022/11/21 17:35:55 63.3 71.2 18092 Power Line
2022/11/21 17:35:56 63.4 71.2 17815 Power Line
2022/11/21 17:35:57 63.8 71.5 540142 Power Line
2022/11/21 17:35:58 64.3 71.6 544317 Power Line
2022/11/21 17:35:59 64.1 72.0 17543 Power Line
2022/11/21 17:36:00 63.8 71.8 17678 Power Line
2022/11/21 17:36:01 64.2 72.0 544317 Power Line
2022/11/21 17:36:02 64.8 72.3 18092 Power Line
2022/11/21 17:36:03 65.0 72.2 17815 Power Line
2022/11/21 17:36:04 64.1 71.2 18231 Power Line
2022/11/21 17:36:05 63.1 71.2 540142 Power Line
2022/11/21 17:36:06 63.2 71.3 492464 Power Line
2022/11/21 17:36:07 63.6 71.7 496271 Power Line
2022/11/21 17:36:08 64.3 71.6 540142 Power Line
2022/11/21 17:36:09 64.5 71.6 17678 Power Line
2022/11/21 17:36:10 64.2 72.1 496271 Power Line
2022/11/21 17:36:11 64.5 72.4 17953 Power Line
2022/11/21 17:36:12 65.1 72.1 531886 Power Line
2022/11/21 17:36:13 65.5 72.1 17678 Power Line
2022/11/21 17:36:14 64.2 71.3 17678 Power Line
2022/11/21 17:36:15 63.5 71.5 544317 Power Line
2022/11/21 17:36:16 64.0 71.3 17543 Power Line
2022/11/21 17:36:17 64.4 71.6 18092 Power Line
2022/11/21 17:36:18 64.6 71.7 18092 Power Line
2022/11/21 17:36:19 64.3 71.7 18231 Power Line
2022/11/21 17:36:20 64.6 72.1 17815 Power Line
2022/11/21 17:36:21 64.9 72.1 17815 Power Line
2022/11/21 17:36:22 65.3 72.5 17953 Power Line
2022/11/21 17:36:23 64.8 72.1 18092 Power Line
2022/11/21 17:36:24 63.8 71.2 18092 Power Line
2022/11/21 17:36:25 63.9 71.2 18231 Power Line
2022/11/21 17:36:26 64.0 71.4 18231 Power Line
2022/11/21 17:36:27 64.3 71.5 17953 Power Line
2022/11/21 17:36:28 64.4 72.1 18231 Power Line
2022/11/21 17:36:29 64.1 71.7 18092 Power Line
2022/11/21 17:36:30 63.9 71.8 18231 Power Line
2022/11/21 17:36:31 64.4 72.3 18092 Power Line
2022/11/21 17:36:32 64.6 72.4 18231 Power Line
2022/11/21 17:36:33 63.7 71.2 17678 Power Line
2022/11/21 17:36:34 63.1 71.3 17953 Power Line
2022/11/21 17:36:35 63.6 71.2 17953 Power Line
2022/11/21 17:36:36 64.1 71.4 17953 Power Line
2022/11/21 17:36:37 64.5 71.6 17953 Power Line
2022/11/21 17:36:38 64.7 72.1 592435 Power Line
2022/11/21 17:36:39 64.9 72.3 565684 Power Line
2022/11/21 17:36:40 65.2 72.4 519739 Power Line
2022/11/21 17:36:41 65.3 72.2 18231 Power Line
2022/11/21 17:36:42 64.1 71.1 17953 Power Line
2022/11/21 17:36:43 63.6 71.2 18092 Power Line
EMF EF RF Power
Date and Time mG V/m µW/m² Possible Source
2022/11/21 17:36:44 63.8 71.4 18092 Power Line
2022/11/21 17:36:45 64.1 71.4 18092 Power Line
2022/11/21 17:36:46 64.4 72.0 18092 Power Line
2022/11/21 17:36:47 64.3 72.1 18092 Power Line
2022/11/21 17:36:48 64.4 72.2 18092 Power Line
2022/11/21 17:36:49 64.8 72.1 552765 Power Line
2022/11/21 17:36:50 64.8 72.1 18372 Mixed
2022/11/21 17:36:51 63.7 71.2 535998 Mixed
2022/11/21 17:36:52 63.5 71.4 17953 Power Line
2022/11/21 17:36:53 64.0 71.8 17953 Power Line
2022/11/21 17:36:54 64.4 72.2 17953 Power Line
2022/11/21 17:36:55 64.3 72.2 17678 Power Line
2022/11/21 17:36:56 64.6 72.2 17953 Power Line
2022/11/21 17:36:57 64.9 72.6 17953 Power Line
2022/11/21 17:36:58 65.0 72.2 17953 Power Line
2022/11/21 17:36:59 64.1 71.1 18092 Power Line
2022/11/21 17:37:00 63.5 71.2 548525 Power Line
2022/11/21 17:37:01 64.0 71.4 18231 Power Line
2022/11/21 17:37:02 64.5 71.6 18372 Power Line
2022/11/21 17:37:03 64.7 71.5 18515 Power Line
2022/11/21 17:37:04 64.6 71.9 18231 Power Line
2022/11/21 17:37:05 64.6 71.9 18092 Power Line
2022/11/21 17:37:06 64.9 72.5 18092 Power Line
2022/11/21 17:37:07 65.2 72.3 548525 Power Line
2022/11/21 17:37:08 64.2 71.4 557039 Power Line
2022/11/21 17:37:09 63.4 71.3 17815 Power Line
2022/11/21 17:37:10 63.8 71.5 18092 Power Line
2022/11/21 17:37:11 64.5 71.8 17953 Power Line
2022/11/21 17:37:12 64.7 71.8 406222 Power Line
2022/11/21 17:37:13 64.6 71.8 13922 Power Line
2022/11/21 17:37:14 64.7 72.6 13710 Power Line
2022/11/21 17:37:15 64.9 72.2 13710 Power Line
2022/11/21 17:37:16 65.2 72.6 13922 Power Line
2022/11/21 17:37:17 64.2 71.4 396945 Power Line
2022/11/21 17:37:18 63.4 71.5 14030 Power Line
2022/11/21 17:37:19 63.8 71.4 14030 Power Line
2022/11/21 17:37:20 64.2 71.6 14030 Power Line
2022/11/21 17:37:21 64.5 71.7 13816 Power Line
2022/11/21 17:37:22 64.4 72.1 396945 Power Line
2022/11/21 17:37:23 64.7 72.1 400014 Power Line
2022/11/21 17:37:24 65.0 72.2 361907 Power Line
2022/11/21 17:37:25 64.8 71.9 14030 Power Line
2022/11/21 17:37:26 63.8 71.4 400014 Power Line
2022/11/21 17:37:27 63.7 71.4 400014 Power Line
2022/11/21 17:37:28 64.1 71.6 14030 Power Line
2022/11/21 17:37:29 64.5 71.8 14030 Power Line
2022/11/21 17:37:30 64.6 71.8 14469 Power Line
2022/11/21 17:37:31 64.8 71.9 14469 Power Line
2022/11/21 17:37:32 65.0 72.5 14358 Power Line
EMF EF RF Power
Date and Time mG V/m µW/m² Possible Source
2022/11/21 17:37:33 66.1 72.3 13922 Power Line
2022/11/21 17:37:34 64.2 71.4 361907 Power Line
2022/11/21 17:37:35 63.5 71.3 403106 Power Line
2022/11/21 17:37:36 63.5 71.4 432035 Power Line
2022/11/21 17:37:37 63.8 71.5 10469 Power Line
2022/11/21 17:37:38 64.2 71.6 10073 Power Line
2022/11/21 17:37:39 64.5 72.1 248153 Smart Meter
2022/11/21 17:37:40 64.5 72.3 263921 Smart Meter
2022/11/21 17:37:41 64.7 72.5 10632 Power Line
2022/11/21 17:37:42 64.9 72.7 10389 Power Line
2022/11/21 17:37:43 64.1 71.8 10797 Power Line
2022/11/21 17:37:44 63.3 71.3 255916 Smart Meter
2022/11/21 17:37:45 63.7 71.4 10550 Smart Meter
2022/11/21 17:37:46 64.1 71.4 10632 Smart Meter
2022/11/21 17:37:47 64.4 71.8 10632 Smart Meter
2022/11/21 17:37:48 64.5 71.8 10469 Smart Meter
2022/11/21 17:37:49 64.6 72.1 10550 Smart Meter
2022/11/21 17:37:50 64.9 72.3 10714 Smart Meter
2022/11/21 17:37:51 65.0 72.3 10469 Power Line
2022/11/21 17:37:52 66.2 71.9 10469 Power Line
2022/11/21 17:37:53 63.4 71.2 10309 Smart Meter
2022/11/21 17:37:54 63.8 71.5 229760 Smart Meter
2022/11/21 17:37:55 64.2 71.6 235130 Smart Meter
2022/11/21 17:37:56 64.4 71.8 246249 Smart Meter
2022/11/21 17:37:57 64.5 71.7 209479 Smart Meter
2022/11/21 17:37:58 64.7 71.9 226248 Smart Meter
2022/11/21 17:37:59 64.9 72.0 257894 Smart Meter
2022/11/21 17:38:00 65.1 72.3 10389 Power Line
2022/11/21 17:38:01 64.8 72.3 10073 Power Line
2022/11/21 17:38:02 63.6 71.4 10550 Power Line
2022/11/21 17:38:03 63.3 71.4 255916 Smart Meter
2022/11/21 17:38:04 63.7 71.5 10550 Smart Meter
2022/11/21 17:38:05 64.3 71.8 10309 Smart Meter
2022/11/21 17:38:06 64.6 72.1 10309 Power Line
2022/11/21 17:38:07 64.7 72.2 10632 Smart Meter
2022/11/21 17:38:08 64.6 72.0 10880 Smart Meter
2022/11/21 17:38:09 64.8 72.4 10797 Power Line
2022/11/21 17:38:10 65.2 72.7 10550 Smart Meter
2022/11/21 17:38:11 64.5 71.8 10469 Power Line
2022/11/21 17:38:12 63.9 71.5 259888 Smart Meter
2022/11/21 17:38:13 63.9 71.4 10389 Power Line
2022/11/21 17:38:14 64.1 71.5 261897 Smart Meter
2022/11/21 17:38:15 64.6 72.3 10469 Power Line
2022/11/21 17:38:16 64.7 71.9 10550 Smart Meter
2022/11/21 17:38:17 64.5 71.9 10797 Power Line
2022/11/21 17:38:18 64.9 72.3 10309 Power Line
2022/11/21 17:38:19 65.1 72.4 263921 Power Line
2022/11/21 17:38:20 64.9 72.3 257894 Power Line
2022/11/21 17:38:21 63.9 71.4 238779 Smart Meter
2022/11/21 17:38:22 63.6 71.4 265962 Smart Meter
EMF EF RF Power
Date and Time mG V/m µW/m² Possible Source
2022/11/21 17:38:23 63.8 71.4 240625 Smart Meter
2022/11/21 17:38:24 64.1 71.6 253952 Smart Meter
2022/11/21 17:38:25 64.6 71.6 10550 Smart Meter
2022/11/21 17:38:26 64.7 71.9 10309 Smart Meter
2022/11/21 17:38:27 64.5 71.9 10389 Smart Meter
2022/11/21 17:38:28 64.6 72.6 10469 Smart Meter
2022/11/21 17:38:29 64.8 72.2 222790 Smart Meter
2022/11/21 17:38:30 65.2 72.6 248153 Smart Meter
2022/11/21 17:38:31 64.5 71.4 224513 Smart Meter
2022/11/21 17:38:32 63.7 71.4 9996 Smart Meter
2022/11/21 17:38:33 63.9 71.8 10550 Power Line
2022/11/21 17:38:34 64.4 71.9 240625 Smart Meter
2022/11/21 17:38:35 64.6 71.7 259888 Smart Meter
2022/11/21 17:38:36 64.6 72.2 229760 Smart Meter
2022/11/21 17:38:37 64.6 72.3 10550 Power Line
2022/11/21 17:38:38 64.8 72.0 10151 Power Line
2022/11/21 17:38:39 64.8 72.3 259888 Smart Meter
2022/11/21 17:38:40 64.8 72.6 10714 Power Line
2022/11/21 17:38:41 64.1 71.7 10714 Power Line
2022/11/21 17:38:42 63.3 71.6 248153 Smart Meter
2022/11/21 17:38:43 63.3 71.3 10073 Power Line
2022/11/21 17:38:44 63.7 71.4 259888 Smart Meter
2022/11/21 17:38:45 64.1 71.7 259888 Smart Meter
2022/11/21 17:38:46 64.3 72.1 10550 Power Line
2022/11/21 17:38:47 64.4 72.3 10714 Smart Meter
2022/11/21 17:38:48 64.6 72.3 10073 Smart Meter
2022/11/21 17:38:49 64.7 72.3 10389 Smart Meter
2022/11/21 17:38:50 65.0 72.7 10797 Smart Meter
2022/11/21 17:38:51 63.9 71.4 10309 Power Line
2022/11/21 17:38:52 63.1 71.4 10389 Smart Meter
2022/11/21 17:38:53 63.6 71.4 233326 Smart Meter
2022/11/21 17:38:54 64.0 71.6 255916 Smart Meter
2022/11/21 17:38:55 64.4 71.6 248153 Smart Meter
2022/11/21 17:38:56 64.3 72.3 10389 Power Line
2022/11/21 17:38:57 64.4 71.9 10309 Power Line
2022/11/21 17:38:58 64.7 71.9 227997 Smart Meter
2022/11/21 17:38:59 64.9 72.4 10550 Power Line
2022/11/21 17:39:00 64.9 72.2 10714 Smart Meter
2022/11/21 17:39:01 63.9 71.6 10632 Power Line
2022/11/21 17:39:02 63.3 71.3 226248 Smart Meter
2022/11/21 17:39:03 63.6 71.6 248153 Smart Meter
2022/11/21 17:39:04 63.9 71.6 222790 Smart Meter
2022/11/21 17:39:05 64.3 71.7 259888 Smart Meter
2022/11/21 17:39:06 64.2 71.9 10073 Power Line
2022/11/21 17:39:07 64.1 72.3 10797 Power Line
2022/11/21 17:39:08 64.6 72.3 9996 Power Line
2022/11/21 17:39:09 64.9 72.6 10469 Power Line
2022/11/21 17:39:10 64.3 72.2 10230 Power Line
2022/11/21 17:39:11 63.4 71.0 246249 Smart Meter
2022/11/21 17:39:12 63.1 71.4 9843 Power Line
EMF EF RF Power
Date and Time mG V/m µW/m² Possible Source
2022/11/21 17:39:13 63.7 71.5 226248 Smart Meter
2022/11/21 17:39:14 64.3 71.6 10389 Power Line
2022/11/21 17:39:15 64.2 71.9 233326 Smart Meter
2022/11/21 17:39:16 64.2 72.3 10309 Smart Meter
2022/11/21 17:39:17 64.6 72.1 10550 Power Line
2022/11/21 17:39:18 65.0 72.6 253952 Smart Meter
2022/11/21 17:39:19 64.2 71.9 10550 Smart Meter
2022/11/21 17:39:20 63.6 71.4 257894 Smart Meter
2022/11/21 17:39:21 63.7 71.8 10230 Smart Meter
2022/11/21 17:39:22 63.9 71.9 10632 Smart Meter
2022/11/21 17:39:23 64.3 71.7 10389 Power Line
2022/11/21 17:39:24 64.3 71.9 10550 Power Line
2022/11/21 17:39:25 64.1 72.3 10309 Smart Meter
2022/11/21 17:39:26 64.5 72.2 10469 Power Line
2022/11/21 17:39:27 65.1 72.4 10309 Power Line
2022/11/21 17:39:28 64.3 71.3 9996 Power Line
2022/11/21 17:39:29 63.6 71.5 10632 Smart Meter
2022/11/21 17:39:30 64.0 71.4 10309 Power Line
2022/11/21 17:39:31 64.5 71.7 10632 Power Line
2022/11/21 17:39:32 64.9 72.3 10550 Smart Meter
2022/11/21 17:39:33 65.1 71.9 9843 Smart Meter
2022/11/21 17:39:34 65.0 72.3 10073 Power Line
2022/11/21 17:39:35 66.2 72.7 10309 Power Line
2022/11/21 17:39:36 66.2 71.8 10469 Smart Meter
2022/11/21 17:39:37 64.0 71.3 9996 Power Line
2022/11/21 17:39:38 63.8 71.4 10309 Power Line
2022/11/21 17:39:39 64.2 71.6 10151 Smart Meter
2022/11/21 17:39:40 64.6 72.1 10389 Power Line
2022/11/21 17:39:41 64.3 72.3 10389 Smart Meter
2022/11/21 17:39:42 64.2 72.1 229760 Smart Meter
2022/11/21 17:39:43 64.6 72.6 10714 Smart Meter
2022/11/21 17:39:44 65.0 72.4 10469 Smart Meter
2022/11/21 17:39:45 64.7 71.8 246249 Smart Meter
2022/11/21 17:39:46 63.6 71.3 226248 Smart Meter
2022/11/21 17:39:47 63.6 71.5 10151 Power Line
2022/11/21 17:39:48 63.9 72.1 10073 Power Line
2022/11/21 17:39:49 64.1 71.8 255916 Smart Meter
2022/11/21 17:39:50 64.2 71.9 226248 Smart Meter
2022/11/21 17:39:51 64.1 72.2 10632 Power Line
2022/11/21 17:39:52 64.4 72.2 233326 Smart Meter
2022/11/21 17:39:53 65.0 72.7 10073 Power Line
2022/11/21 17:39:54 64.1 71.6 255916 Smart Meter
2022/11/21 17:39:55 63.3 71.4 112262 Smart Meter
2022/11/21 17:39:56 63.8 71.5 219385 Smart Meter
2022/11/21 17:39:57 64.1 71.7 10389 Power Line
2022/11/21 17:39:58 64.2 71.9 236948 Smart Meter
2022/11/21 17:39:59 64.0 72.2 10550 Power Line
2022/11/21 17:40:00 64.4 72.3 252004 Smart Meter
2022/11/21 17:40:01 65.0 72.3 227997 Smart Meter
2022/11/21 17:40:02 64.5 71.8 263921 Smart Meter
EMF EF RF Power
Date and Time mG V/m µW/m² Possible Source
2022/11/21 17:40:03 63.8 71.0 255916 Smart Meter
2022/11/21 17:40:04 63.8 71.5 10309 Power Line
2022/11/21 17:40:05 64.4 71.5 10469 Smart Meter
2022/11/21 17:40:06 64.6 72.1 9996 Power Line
2022/11/21 17:40:07 64.4 71.9 10714 Smart Meter
2022/11/21 17:40:08 64.6 72.5 10632 Smart Meter
2022/11/21 17:40:09 65.3 72.3 242485 Smart Meter
2022/11/21 17:40:10 64.4 71.5 10309 Smart Meter
2022/11/21 17:40:11 63.8 71.3 10073 Power Line
2022/11/21 17:40:12 64.0 71.7 10469 Smart Meter
2022/11/21 17:40:13 64.2 71.5 10073 Power Line
2022/11/21 17:40:14 64.4 71.8 9996 Smart Meter
2022/11/21 17:40:15 64.5 72.2 10469 Power Line
2022/11/21 17:40:16 64.9 72.3 10389 Smart Meter
2022/11/21 17:40:17 65.6 72.5 10309 Smart Meter
2022/11/21 17:40:18 64.6 71.4 10964 Power Line
2022/11/21 17:40:19 64.0 71.6 10714 Smart Meter
2022/11/21 17:40:20 64.2 71.4 226248 Smart Meter
2022/11/21 17:40:21 64.4 72.1 10073 Power Line
2022/11/21 17:40:22 64.4 72.2 10309 Power Line
2022/11/21 17:40:23 64.5 72.3 10309 Power Line
2022/11/21 17:40:24 64.7 72.2 10073 Power Line
2022/11/21 17:40:25 65.2 72.3 257894 Smart Meter
2022/11/21 17:40:26 64.9 72.3 248153 Smart Meter
2022/11/21 17:40:27 63.8 71.4 257894 Smart Meter
2022/11/21 17:40:28 63.7 71.4 219385 Smart Meter
2022/11/21 17:40:29 63.9 71.9 9996 Power Line
2022/11/21 17:40:30 64.3 71.7 244360 Smart Meter
2022/11/21 17:40:31 64.6 71.7 246249 Smart Meter
2022/11/21 17:40:32 64.6 71.7 219385 Smart Meter
2022/11/21 17:40:33 64.6 72.4 9767 Power Line
2022/11/21 17:40:34 64.8 72.3 9919 Power Line
2022/11/21 17:40:35 65.0 72.6 209479 Smart Meter
2022/11/21 17:40:36 64.5 71.9 229760 Smart Meter
2022/11/21 17:40:37 63.1 71.5 20943 Power Line
2022/11/21 17:40:38 63.1 71.5 9919 Power Line
2022/11/21 17:40:39 63.4 71.4 233326 Smart Meter
2022/11/21 17:40:40 63.9 71.7 9767 Power Line
2022/11/21 17:40:41 64.1 71.8 9843 Power Line
2022/11/21 17:40:42 64.3 71.9 9843 Power Line
2022/11/21 17:40:43 64.4 72.3 233326 Smart Meter
2022/11/21 17:40:44 64.6 72.3 236948 Power Line
2022/11/21 17:40:45 64.6 72.3 9692 Power Line
2022/11/21 17:40:46 63.9 71.0 233326 Smart Meter
2022/11/21 17:40:47 63.8 71.4 9767 Power Line
2022/11/21 17:40:48 64.4 71.6 9919 Power Line
2022/11/21 17:40:49 64.7 71.9 235130 Smart Meter
2022/11/21 17:40:50 64.5 71.9 9996 Power Line
2022/11/21 17:40:51 64.5 72.4 214375 Smart Meter
2022/11/21 17:40:52 64.8 72.5 235130 Smart Meter
EMF EF RF Power
Date and Time mG V/m µW/m² Possible Source
2022/11/21 17:40:53 64.9 72.2 9692 Smart Meter
2022/11/21 17:40:54 64.7 72.3 9843 Power Line
2022/11/21 17:40:55 63.5 71.4 9692 Smart Meter
2022/11/21 17:40:56 63.5 71.4 9919 Power Line
2022/11/21 17:40:57 64.1 71.4 9692 Power Line
2022/11/21 17:40:58 64.2 71.4 211098 Smart Meter
2022/11/21 17:40:59 64.4 72.2 9996 Power Line
2022/11/21 17:41:00 64.2 72.3 9843 Power Line
2022/11/21 17:41:01 64.4 71.9 235130 Smart Meter
2022/11/21 17:41:02 64.9 72.1 233326 Smart Meter
2022/11/21 17:41:03 64.9 72.6 236948 Smart Meter
2022/11/21 17:41:04 65.1 72.3 9919 Power Line
2022/11/21 17:41:05 64.5 72.2 235130 Smart Meter
2022/11/21 17:41:06 63.3 71.4 235130 Smart Meter
2022/11/21 17:41:07 63.5 71.4 212730 Smart Meter
2022/11/21 17:41:08 63.8 71.5 9767 Power Line
2022/11/21 17:41:09 64.1 71.5 9919 Power Line
2022/11/21 17:41:10 64.5 72.2 9996 Smart Meter
2022/11/21 17:41:11 64.2 72.2 10309 Power Line
2022/11/21 17:41:12 64.1 72.3 10073 Smart Meter
2022/11/21 17:41:13 64.4 72.1 9843 Smart Meter
2022/11/21 17:41:14 64.9 72.6 216032 Power Line
2022/11/21 17:41:15 65.3 72.3 9919 Power Line
2022/11/21 17:41:16 64.3 71.6 216032 Power Line
2022/11/21 17:41:17 63.1 71.3 9996 Smart Meter
2022/11/21 17:41:18 63.2 71.4 10389 Smart Meter
2022/11/21 17:41:19 63.5 71.4 9843 Power Line
2022/11/21 17:41:20 64.2 71.7 10309 Power Line
2022/11/21 17:41:21 64.1 71.7 221081 Smart Meter
2022/11/21 17:41:22 63.8 71.8 9919 Power Line
2022/11/21 17:41:23 64.1 71.9 9996 Power Line
2022/11/21 17:41:24 64.3 72.2 235130 Smart Meter
2022/11/21 17:41:25 64.8 72.3 214375 Smart Meter
2022/11/21 17:41:26 65.4 72.6 9996 Power Line
2022/11/21 17:41:27 63.9 71.4 212730 Smart Meter
2022/11/21 17:41:28 62.9 71.3 217702 Smart Meter
2022/11/21 17:41:29 63.6 71.7 10309 Power Line
2022/11/21 17:41:30 64.1 71.7 236948 Smart Meter
2022/11/21 17:41:31 64.4 71.9 9919 Smart Meter
2022/11/21 17:41:32 64.2 71.9 9843 Power Line
2022/11/21 17:41:33 64.0 71.9 235130 Smart Meter
2022/11/21 17:41:34 64.4 72.5 9919 Power Line
2022/11/21 17:41:35 64.8 72.3 9843 Power Line
2022/11/21 17:41:36 65.0 72.6 10309 Smart Meter
2022/11/21 17:41:37 64.1 71.2 212730 Smart Meter
2022/11/21 17:41:38 63.3 71.4 9692 Power Line
2022/11/21 17:41:39 63.6 71.4 233326 Smart Meter
2022/11/21 17:41:40 64.0 71.7 9919 Power Line
2022/11/21 17:41:41 64.1 71.9 240625 Smart Meter
2022/11/21 17:41:42 64.0 72.1 235130 Smart Meter
EMF EF RF Power
Date and Time mG V/m µW/m² Possible Source
2022/11/21 17:41:43 64.3 72.4 221081 Smart Meter
2022/11/21 17:41:44 64.6 71.9 9919 Power Line
2022/11/21 17:41:45 65.0 72.7 231536 Power Line
2022/11/21 17:41:46 64.6 71.7 238779 Smart Meter
2022/11/21 17:41:47 63.4 71.1 238779 Smart Meter
2022/11/21 17:41:48 63.3 71.4 9843 Power Line
2022/11/21 17:41:49 63.9 71.4 10073 Smart Meter
2022/11/21 17:41:50 64.4 71.5 231536 Smart Meter
2022/11/21 17:41:51 64.4 71.8 222790 Smart Meter
2022/11/21 17:41:52 64.3 72.3 10550 Smart Meter
2022/11/21 17:41:53 64.6 72.4 10550 Power Line
2022/11/21 17:41:54 65.2 72.6 10389 Smart Meter
2022/11/21 17:41:55 64.1 71.2 10073 Smart Meter
2022/11/21 17:41:56 63.1 71.2 9919 Power Line
2022/11/21 17:41:57 63.2 71.4 9767 Smart Meter
2022/11/21 17:41:58 63.8 71.8 207872 Smart Meter
2022/11/21 17:41:59 64.0 72.1 236948 Smart Meter
2022/11/21 17:42:00 64.0 72.5 235130 Smart Meter
2022/11/21 17:42:01 64.2 72.3 209479 Smart Meter
2022/11/21 17:42:02 64.6 72.7 233326 Smart Meter
2022/11/21 17:42:03 64.5 72.0 226248 Smart Meter
2022/11/21 17:42:04 63.4 71.4 9471 Power Line
2022/11/21 17:42:05 63.3 71.5 226248 Smart Meter
2022/11/21 17:42:06 63.8 71.6 204695 Smart Meter
2022/11/21 17:42:07 64.0 71.8 9618 Power Line
2022/11/21 17:42:08 63.9 72.1 231536 Smart Meter
2022/11/21 17:42:09 64.1 71.9 9767 Smart Meter
2022/11/21 17:42:10 64.7 72.6 9692 Power Line
2022/11/21 17:42:11 64.4 72.6 9618 Smart Meter
2022/11/21 17:42:12 63.1 71.4 219385 Smart Meter
2022/11/21 17:42:13 62.7 71.4 9919 Smart Meter
2022/11/21 17:42:14 63.5 71.6 9692 Power Line
2022/11/21 17:42:15 63.7 71.7 9544 Power Line
2022/11/21 17:42:16 63.8 71.9 9767 Smart Meter
2022/11/21 17:42:17 64.1 72.3 9919 Smart Meter
2022/11/21 17:42:18 64.6 72.3 9843 Power Line
2022/11/21 17:42:19 64.0 71.3 9618 Power Line
2022/11/21 17:42:20 63.4 71.2 9692 Power Line
2022/11/21 17:42:21 63.5 71.4 9618 Smart Meter
2022/11/21 17:42:22 63.8 71.7 9618 Smart Meter
2022/11/21 17:42:23 64.0 72.3 9919 Power Line
2022/11/21 17:42:24 63.9 72.1 9767 Smart Meter
2022/11/21 17:42:25 64.2 72.3 224513 Smart Meter
2022/11/21 17:42:26 64.8 72.3 229760 Smart Meter
2022/11/21 17:42:27 64.0 71.2 222790 Smart Meter
2022/11/21 17:42:28 62.9 71.2 9618 Power Line
2022/11/21 17:42:29 63.5 71.4 226248 Smart Meter
2022/11/21 17:42:30 63.9 71.7 9767 Power Line
2022/11/21 17:42:31 63.7 71.8 9767 Power Line
2022/11/21 17:42:32 63.7 72.3 227997 Smart Meter
EMF EF RF Power
Date and Time mG V/m µW/m² Possible Source
2022/11/21 17:42:33 64.3 72.4 211098 Smart Meter
2022/11/21 17:42:34 64.7 72.4 9618 Power Line
2022/11/21 17:42:35 63.8 71.2 9692 Power Line
2022/11/21 17:42:36 63.1 71.4 9618 Power Line
2022/11/21 17:42:37 63.4 71.5 9767 Power Line
2022/11/21 17:42:38 63.9 71.6 9919 Smart Meter
2022/11/21 17:42:39 64.2 71.9 9843 Power Line
2022/11/21 17:42:40 64.2 72.4 221081 Smart Meter
2022/11/21 17:42:41 64.5 72.2 9692 Smart Meter
2022/11/21 17:42:42 64.8 72.4 9692 Power Line
2022/11/21 17:42:43 63.9 71.1 9692 Smart Meter
2022/11/21 17:42:44 63.0 71.3 9618 Power Line
2022/11/21 17:42:45 63.4 71.4 226248 Smart Meter
2022/11/21 17:42:46 64.1 71.5 200020 Smart Meter
2022/11/21 17:42:47 64.3 71.8 9692 Smart Meter
2022/11/21 17:42:48 64.6 72.0 219385 Smart Meter
2022/11/21 17:42:49 65.0 72.6 216032 Smart Meter
2022/11/21 17:42:50 65.3 72.3 229760 Smart Meter
2022/11/21 17:42:51 64.7 71.5 242485 Smart Meter
2022/11/21 17:42:52 63.8 71.3 10073 Power Line
2022/11/21 17:42:53 63.8 72.3 242485 Smart Meter
2022/11/21 17:42:54 64.3 72.6 10309 Power Line
2022/11/21 17:42:55 64.4 72.2 9843 Power Line
2022/11/21 17:42:56 64.4 71.9 9843 Power Line
2022/11/21 17:42:57 64.6 71.9 10389 Power Line
2022/11/21 17:42:58 64.8 72.5 255916 Smart Meter
2022/11/21 17:42:59 64.4 73.2 246249 Smart Meter
2022/11/21 17:43:00 63.5 72.0 252004 Smart Meter
2022/11/21 17:43:01 63.5 72.1 259888 Smart Meter
2022/11/21 17:43:02 63.9 71.6 257894 Smart Meter
2022/11/21 17:43:03 64.4 71.8 261897 Smart Meter
2022/11/21 17:43:04 64.5 72.0 10389 Power Line
2022/11/21 17:43:05 64.9 72.2 201566 Smart Meter
2022/11/21 17:43:06 65.3 72.3 9544 Power Line
2022/11/21 17:43:07 65.2 72.2 9767 Power Line
2022/11/21 17:43:08 63.9 71.5 9767 Power Line
2022/11/21 17:43:09 63.9 71.7 200020 Smart Meter
2022/11/21 17:43:10 64.1 71.4 200020 Smart Meter
2022/11/21 17:43:11 64.8 72.2 212730 Smart Meter
2022/11/21 17:43:12 64.9 72.2 9544 Power Line
2022/11/21 17:43:13 64.6 72.3 9255 Power Line
2022/11/21 17:43:14 64.9 72.5 9326 Power Line
2022/11/21 17:43:15 65.3 72.5 221081 Smart Meter
2022/11/21 17:43:16 64.5 72.0 209479 Power Line
2022/11/21 17:43:17 63.9 71.3 831371 Power Line
2022/11/21 17:43:18 64.2 71.5 806152 Power Line
2022/11/21 17:43:19 64.4 71.5 818664 Power Line
2022/11/21 17:43:20 64.7 71.9 35634 Power Line
2022/11/21 17:43:21 64.9 72.3 712700 Power Line
2022/11/21 17:43:22 65.0 72.6 25391 Power Line
EMF EF RF Power
Date and Time mG V/m µW/m² Possible Source
2022/11/21 17:43:23 65.3 72.3 20943 Power Line
2022/11/21 17:43:24 65.2 72.7 21105 Power Line
2022/11/21 17:43:25 64.1 71.6 21433 Power Line
2022/11/21 17:43:26 63.8 71.4 21105 Power Line
2022/11/21 17:43:27 64.2 71.6 20943 Power Line
2022/11/21 17:43:28 64.8 72.3 21433 Power Line
2022/11/21 17:43:29 64.8 72.1 21105 Power Line
2022/11/21 17:43:30 64.7 72.5 20782 Power Line
2022/11/21 17:43:31 65.0 72.7 21268 Power Line
2022/11/21 17:43:32 65.1 72.5 21766 Power Line
2022/11/21 17:43:33 64.4 71.4 21433 Power Line
2022/11/21 17:43:34 63.8 71.4 16242 Power Line
2022/11/21 17:43:35 64.2 72.0 16117 Power Line
2022/11/21 17:43:36 64.6 72.0 16117 Power Line
2022/11/21 17:43:37 64.9 72.2 15871 Power Line
2022/11/21 17:43:38 64.9 72.1 15871 Power Line
2022/11/21 17:43:39 65.1 72.3 15389 Power Line
2022/11/21 17:43:40 65.2 72.6 463041 Power Line
2022/11/21 17:43:41 65.2 72.3 418930 Power Line
2022/11/21 17:43:42 63.7 71.4 455964 Power Line
2022/11/21 17:43:43 63.8 71.4 452466 Power Line
2022/11/21 17:43:44 64.2 71.7 15749 Power Line
2022/11/21 17:43:45 64.4 71.8 15749 Power Line
2022/11/21 17:43:46 64.4 72.1 15628 Power Line
2022/11/21 17:43:47 64.4 72.3 15749 Power Line
2022/11/21 17:43:48 64.9 72.7 15271 Power Line
2022/11/21 17:43:49 65.4 72.5 15508 Power Line
2022/11/21 17:43:50 64.9 72.2 452466 Power Line
2022/11/21 17:43:51 64.2 71.4 466620 Power Line
2022/11/21 17:43:52 64.2 71.5 435375 Power Line
2022/11/21 17:43:53 64.4 71.8 438741 Power Line
2022/11/21 17:43:54 64.4 72.0 459489 Power Line
2022/11/21 17:43:55 64.5 72.1 452466 Power Line
2022/11/21 17:43:56 64.9 72.1 15628 Power Line
2022/11/21 17:43:57 65.2 72.3 15871 Power Line
2022/11/21 17:43:58 65.4 72.6 15749 Power Line
2022/11/21 17:43:59 64.3 71.4 15389 Power Line
2022/11/21 17:44:00 64.1 71.8 393900 Power Line
2022/11/21 17:44:01 64.6 71.7 428721 Power Line
2022/11/21 17:44:02 64.8 71.9 1 Power Line
2022/11/21 17:44:03 64.8 72.2 1 Power Line
2022/11/21 17:44:04 64.9 72.1 1 Power Line
2022/11/21 17:44:05 65.2 72.3 1 Mixed
2022/11/21 17:44:06 65.1 72.3 1 Power Line
2022/11/21 17:44:07 65.1 72.7 1 Power Line
2022/11/21 17:44:08 64.0 71.1 1 Power Line
Summe 116188747 µW/m²
15 Minuten durchschnittlich 126567,262527233 µW/m²/Sekunde



8.) Das sind Verbrecher!
Chem-Trails ist ein winziger Teil, weiterhin die Teflonbelastung, jedoch das Schlimmste sind die komplette weltweite Zerstörung der Schumannfrequenz 7,38 Hertz mit der Flussdichte von 0,0000000001 Mikrowatt/m², daran sterben die Wälder, Menschen und Tiere und vor alle Bodenbakterien die für die Fruchtbarkeit verantwortlich sind.
Die 10-100 Fache Radarbelastung von 5G bemerkt gar keiner.
Man kann mit EMF Dein Herz anhalten, oder das Gehirn oder alle Organe zerstören.
Das Beste ist wenn man immer das HF-Messgerät GQ EMF 390 dabei hat, da kann man jeden Mast orten, und später die Belastung über Excel bearbeiten.
So laufe ich dann bis zu 15 Minuten Umweg, um die geringste Flussdichte in Mikrowatt/m²pro Sekunde zu fangen. Ich habe das bei Gericht angezeigt, bei der Polizei, jedoch unser Polizei ist zu doof, die haben meißt keinen Beruf und halten einen für einen Idioten, obwohl deren Tetrafunk jede Ritze durchdringt, hoch Krebs erregen und man kann ihnen Theta-, oder Delta-Wellen aufmodulieren und sie so über das Unterbewusstsein lenken. Habe ich in Echtzeit erlebt die Polizei lief herum wie Idioten und die hatten meinen Namen schon 3 x durch Telefonat ermittelt und immer wieder vergessen. All ihre Handlungen kamen mir wie Fremdgesteuert vor das war beängstigend! In ein Kaufhaus kann man kaum noch gehen und Bus und Bahn, sowie Taxi am besten meiden. Die E-Autos sind die schlimmsten EMF-Schleudern die es gibt, viele klagen über Dauerkopfschmerz.
Die Wärmepumpen von Habeck haben 16 Hertz Betafrequenz die das Gehirn überlastet und zu Krebs, oder Demenz und mehr führt. Endlich einmal ein Bericht der mir 100 % Recht gibt.
Also nie mehr in Urlaub fahren und Autobahn meiden, weil das Smartphon sich bei jedem Mast anmeldet, ebenso in der Wohnung bei den Raumeldern.


Hallo Fans!


2020 war ein gutes Jahr 22200 Besucher im November 2020 das ist gut, danke!

Im Mai vorigen Jahres war ich wieder 13 Tage weggesperrt!

Die Psychiater wollen  mich gern krank sehen obwohl mich eine ihrer besten Ärztinnen 

die Dr. Annett vollständig gesund bekommen hat. Ein wenig hat da Dr. Kelly Brogan ihren Anteil, weil die auch der Meinung ist, wie ich bewiesen habe, dass einen Neuroleptika die ja 

meist mit Fluor verseuchte Amphetamine sind und Antidepressiva, die Kokain mit Fluor, Schwefel, oder Chlor verseucht sind, den Patienten ja erst krank machen, der vorher eine Proteinvergiftung, oder B12-Mangel hatte.

Nun kommt noch EMF dazu-Elektromagnetische Felder, mit denen Scientology arbeitet.

Die beiden Gruppen, also Psychiater und Scientology bekämpfen sich in den USA und 

in GB wie die Kesselflicker.

Hier in Deutschland scheinen die zusammen zu arbeiten.

Deren EMF-Schleudern in Form von Routern, Rauchmeldern, 4, oder 5G-Antenenn,

Repeater, Schnurlos-Telefone und Smartphones verseuchen nun langsam alle Bereiche des Wohnens, arbeiten und in Krankenhäusern, der Psychiatrie, in Gefängnissen, in Bus, in Bahnen, in Supermärkten. Überall wird man mit EMF konfontiert, wo der Mensch wie ein Absorber funktioniert und dabei wichtige ATP Energie der Mitochondrien verbraucht, bzw.

die  Zellreparaturkräfte des menschlichen Körpers ständig auf Hochtouren laufen und letztendlich täglich 100.000 sende Ionenkkanäle austrocknen mit einhergehenden Neuronensterben, bis hin zu Restless Legs Syndrom, Parkinson, Demenz, Herzschäden,

Nierenschäden, Lungenschäden und Krebs.

Tja da will ich weiter aufklären, denn ansonsten werden unsere jungen Leute nicht alt!


1.)Als ersten Beitrag in diesem Jahr einige Messwerte von mir:


Die HF-Werte haben sie bis 2024 verhundertfacht!!!




img002
img002
img003
img003

2. Interessanter Beitrag über EMF

"Ich erinnere mich zu gut an die Justizvollzugsanstalt hier im Rheinland,

wo ein Freund fünf Jahre "brummte" und den ich dort alle drei,

vier Wochen besuchte. Nach drei Jahren stieg die Aggressivität der

Insassen untereinander und dem Personal gegenüber unerwartet und

besorgniserregend an. In dieser Zeit wurde überall in den Gefängnistrakten

WLAN installiert, allein auf den Fluren zig Stationen.

In einem Altenheim hier im Kreis Neuss wurde im gesamten Haus

WLAN eingerichtet, mit zig Funkstationen auf allen Etagen. Die Strahlungsintensitäten

in den Zimmern lagen zwischen 100 und 2000 μW/m²,

das - wie immer - ein Dauereinfluss Tag und Nacht. Die Mitarbeiter berichteten,

dass in den Wochen danach die Klagen der Bewohner über

Schlafprobleme und der Konsum von Schlaftabletten anstiegen. Auch

sie sprachen über eine merkliche Zunahme der Aggressivität untereinander

und den Pflegern gegenüber, die Stimmung habe sich im ganzen

Haus unangenehm verändert, wofür man keine Erklärung hatte. Außerdem

erwähnten einige Bewohner ihre seitdem nicht enden wollenden

Kopfschmerzen und die komplizierten, stressigen, quälenden Träume.

Interessant: Statistiken zeigen, dass hier wie da - im Knast wie im

Heim oder sonst wo - in den Monaten und Jahren nach einer WLAN

Installation die Zahl der Krankmeldungen bei den Mitarbeiter(inn)en anstieg.

Ähnliches hört man auch aus Großraumbüros und von anderen

Arbeitsplätzen, wo solche Techniken kürzlich aufgerüstet wurden und

in den Mitarbeiterbereichen zu hohen Funkbelastungen führen.

Ahnen Sie, was in Klassenzimmern los ist, wo Kinder aus zig körpernahen

WLAN-"Kanonen" namens Laptops nebst ihren Routern nonstop

"beschossen" werden? WLAN macht selbst vor Fachkliniken und anderen

Spezialeinrichtungen, die schwere neurologische Problemfälle betreuen,

nicht Halt. Eine neurologisch-psychiatrische Klinik in der Nähe

von Pforzheim hat es dank des hartnäckigen Einsatzes ihres Chefarztes

geschafft und gegen den Willen der anderen Medizinerkollegen und

der Geschäftsführung WLAN verhindert, eine seltene Ausnahme: "Wie

kann man neurologisch relevante Techniken in Einrichtungen etablieren,

in denen neurologisch Kranke behandelt werden?"

Schützen Sie sich!

Noch mal: Wenn Sie etwas Wesentliches verbessern wollen, schaffen

Sie sich bitte wieder einen Festnetzanschluss mit Kabeltelefon an und

gehen per Netzwerkkabel ins Internet, nicht per Funk. Reduzieren Sie

Handy- bzw. Smartphonetelefonate auf ein Mindestmaß. Deaktivieren

Sie WLAN, zumindest wenn Sie es nicht mal brauchen. Kein Körperkontakt

zu aktiven Notebooks und Tablets. Konsequent keine Nutzung

solcher Techniken durch Kinder, schon gar nicht durch Schwangere.

Ergänzung zum Buch "Stress durch Strom und Strahlung" von Wolfgang Maes

zum Thema "WLAN, Funk...: Schlaf, Regeneration, Meditation"

14/17 WLAN, Funk...: Schlaf, Regeneration, Meditation - Grob kontra fein

Informieren Sie sich und informieren Sie andere, auch was weitere

Elektrosmogaspekte durch Spannung und Strom angeht. Schützen Sie

sich und andere. Es bleibt noch genug übrig in dieser maßlos elektrifizierten

und verfunkten Welt.

Da wundern sich die Meditierer, dass es mit dem In-sich-gehen, Loslassen,

Selbsterkennen, Tiefenentspannen, Konzentrieren... nicht so recht

klappen will. Sie sollten vielleicht mal das WLAN im Meditationsraum,

im Nachbarraum, im Flur... ausschalten oder sich gegen den WLAN

Wahnsinn seitens der Nachbarn oder von draußen abschirmen. Und:

Man muss nicht in jeder Meditationspause mit dem Smartphone spielen,

schnell noch ein mobiles Telefonat erledigen, ins Internet gehen,

Googeln, YouTuben, WhatsAppen, Twittern, Facebooken, Instagrammen

oder SMS lesen und verschicken.

So dürfte es eine wesentliche Forderung für jeden sein, nicht nur für

Meditierer, Heiler, Yogis, Erleuchtungswillige, Feng-Shui- und Reiki-

Meister..., die natürlichen inneren Alpha-Aktivitäten (und nicht nur

die!) nicht durch zu ähnliche, zu viele, zu dauerhafte und so viel stärkere

technische äußere Einflüsse zu stören, zu gefährden, zu blockieren,

aus dem Lot zu bringen.

Übrigens: Die Meditationszentren, Yoga-Studios und Institute für spirituelle

Therapie, die ich kenne, haben alle WLAN.

Und: Wüssten doch all die Krankenhäuser, Psychiatrien, Kurkliniken,

Reha- und Erholungszentren, Altenheime, Wellness-Hotels, die ohne

WLAN nicht mehr existieren mögen, dass dieser WLAN-Puls und die

Alpha-Hirnfrequenz so ähnlich sind, und letztere was mit Heilung, Erholung

und Entspannung zu tun hat...

Das gilt natürlich auch - das scheint mir besonders wichtig - für alle,

die ungestört schlafen, regenerieren und gesund bleiben oder werden

wollen. Vielleicht wird es mit dem Schlaf dann endlich besser, wenn

das Smartphone nicht mehr auf dem Nachttisch liegt, solche Nonstopstrahler

a la WLAN-Router oder Telefon-Basisstationen nicht mehr in

Bettnähe platziert sind. Vielleicht klappt es auch wieder mit der Konzentrations-

und Erinnerungsfähigkeit, wenn mehr Mobiltelefon- und

Bildschirmpausen eingelegt werden.

Grob kontra fein

Das gilt auch für all die Ärzte, Heilpraktiker, Therapeuten und Patienten,

die sich feinstenergetischen Diagnose- und Therapiemaßnahmen

wie beispielsweise Homöopathie, Bioresonanz, Elektroakupunktur und

den vielen weiteren bioelektrischen Schwingungs- und heilenden

Informationsanwendungen anvertrauen. Wir ahnen jetzt, warum die angestrebte

diagnostische Sicherheit und der erhoffte Therapieerfolg so Ergänzung

zum Buch "Stress durch Strom und Strahlung" von Wolfgang Maes zum Thema

"WLAN, Funk...: Schlaf, Regeneration, Meditation"

WLAN, Funk...: Schlaf, Regeneration, Meditation - Leichter Mensch sein 15/17

sicher alternativmedizinischen Verfahren so oft auf sich warten lassen

oder ganz ausbleiben. Wie können feinst energetische biophysikalische

Schwingungen und Informationen nur funktionieren, wenn ihnen so

viel Ähnliches und zudem millionen- bis milliardenfach Gröberenergetisches

im Wege steht?

Wir leben nicht mehr vor 200 Jahren, zu Zeiten von Samuel Hahnemann,

als er die Homöopathie erfand. In seinen letzten Lebensjahren fing die

Elektrifizierung der Welt zaghaft an. Später kam die erste Glühbirne, und

dann wurden die elektromagnetischen Wellen entdeckt, das war der

Start für die drahtlose Telegraphie und den Funk. Zu seinen Zeiten war

die Umwelt noch sicher vor solchen groben Störfaktoren, da hatte Homöopathie

noch freie Bahn."



2.Meine Meinung zum Impfen


Böse Impf-Onkelz vor das Rohr binden:










3. Gefakte Elektrosmokeanalyser


Nur zu Eurer Information!

Anfang März 2021, nach dem ich mittlerweile 20 Din A4 Seiten Sendeprotokolle der

Brunata Star- Rauchmelder mitgeschrieben habe, was bis zu 7 x im Monat zu unterschiedlichen Zeiten bis zu 2 Stunden mit sinusförmigen Elektromagnetischen Feldern also 800, 1000, 1200, ....1700... 1900....>2500 Mikrowatt/m² geschieht, 

Ich habe ich mich bei Solution beraten lassen und einen HF-Analyser HF 38B für 499,99 € erstanden mit den Freguenzen 700 MHz -3300 MHz.

Der Analyser kann eine Flussdichte bis 19999 Mikrowatt=19,99 mW messen.

 

Folgendes Phenomän:

 

Wenn Brunata Rauchmelder senden bis > 2.500 Mikrowatt/m² schlägt meine HF 32D sofort an und zeigt mir die Daten  > 2h bis die Batterie alle, oder der Rauchmelder abschaltet.

 

Der neue HF 38B zeigt Null Mikrowatt/m², als wenn die Frequenz kompensiert wird, mit Absicht???

 

Schalte ich mein Handy ein geht mein HF32D auf bis 2000 Mirowatt/m² hoch,

 

der HF38B der haut bis 19999 Mikrowatt/m² hoch ganz nach ihrem Diagramm, als wenn der für die Brunata-Rauchmelder hingefummelt wurde!

 

Ich bin geschockt Dieseaffaire Nr.2???

Der neu gekaufte HF32 D meiner Frau mißt ähnliche Werte, wie der HF38B.

 

Mein Messgerät ist von 2008, also das war alles noch echt!

 

Ein wenig unruhig sollten sie schon werden, denn wenn Ihre Rauchmelder senden die haben so eine hohe Leistung,die 300 Stück/Wohnblock zugleich, die geht durch ALLE Knopflöcher,! Ein Hany mit der gleichen Flußdichte auf der Anzeige, das durchdringt meine mit Alu-Tapete beklebte Wand nicht!

 

Also ich bin ein wenig beuruhigt!

 

4. Ergänzung der Erbkrankheiten

Meine alte Internetseite von 2013, war etwas ausführlicher und als ich am heutigen Tage eine Broschüre, über Erbkrankheiten meiner Ärztin Hygiaia vollendet hatte, dachte ich dass dies auch zur Vollständigkeit meiner Internetseite beitragen könnte.

Also wie gesagt "Rechts" neu "Erbkrankheiten"

Es ist nur ein Auszug der Wichtigsten!


5. Ein wichtiger Artikel über EMF, 5G

 

  

5G – Wie Sie sich schützen können

Der neue Mobilfunkstandard 5G wird in den nächsten Jahren immer stärker ausgebaut werden. Viele Menschen machen sich Sorgen um ihre Gesundheit und fragen sich, wie sie sich vor der elektromagnetischen Strahlung durch 5G schützen können.

Was ist 5G und welche Vorteile soll es bringen?

5G bedeutet „fith generation“ (5. Generation) und ist ein neuer Standard für mobiles Internet und Mobiltelefonie. 5G soll 4G (auch bekannt als LTE) ergänzen und vorerst nur in wenigen Bereichen (in einigen Industrien) vollständig ablösen.

 

effective natureMagnesium aus Meersalat

24,90 EUR

Mineralstoffe ⟩ Magnesium

 

effective natureBasischer Mineralstoffkomplex

24,90 EUR

Säure-Basen-Haushalt ⟩ Basische Mineralstoffe


Es handelt sich also um eine neue, meist zusätzliche Strahlungsquelle zu den bestehenden. 5G soll Daten bis zu 100-mal schneller laden bzw. übertragen können als 4G, quasi ohne grosse Verzögerung, nahezu in Echtzeit. Zudem können wesentlich mehr Geräte gleichzeitig im Netz sein, theoretisch bis zu einer Million pro Funkeinheit.

Vorteile ergeben sich hauptsächlich für die grosse, automatisierte Industrie (auch für die landwirtschaftliche) durch kabellose, schnelle Datenübertragung, aber auch für Zukunftsindustrien wie autonomes Fahren, Telemedizin oder High-Tech-Roboter.

So weit ist der Ausbau bisher fortgeschritten

Als weltweit erstes Land nahm Südkorea am 3. April 2019 ein flächendeckendes 5G-Netz in Betrieb. Doch wie sieht es mit dem Ausbau im deutschsprachigen Raum aus?

5G in der Schweiz

In Europa waren die Schweizer die schnellsten bei der Einführung und Umsetzung eines flächendeckenden 5G-Netzes. Früher liess im Schweizer Mobilfunkmarkt die Verordnung über den Schutz vor nichtionisierender Strahlung (NISV) nur den Betrieb von 5G-Antennen mit geringer Reichweite zu. Aber im April 2019 hat der Bundesrat die NISV im Sinne der Telekomindustrie angepasst. Laut OOKLA 5G MAP verfügt die Schweiz Stand Mai 2019 über das grösste 5G-Netz der Welt. (1)

Seit Oktober 2019 werden Unterschriften für die Volksinitiative „Für einen gesundheitsverträglichen und stromsparenden Mobilfunk“ gesammelt, wonach 5G-Feldstärken deutlich eingeschränkt werden sollen. Ob die nötigen 100.000 Unterschriften jedoch zusammenkommen, wie dann abgestimmt wird und bis wann oder inwieweit die Verfassung tatsächlich geändert wird, ist alles sehr unsicher und der Prozess kann sich noch über Jahre hinziehen, währenddessen von den Telekommunikationskonzernen bereits Fakten in Form neuer Funkzellen geschaffen werden.

5G in Deutschland

Im Frühjahr 2019 wurden die 5G-Mobilfunkfrequenzen in Deutschland durch die Bundesnetzagentur versteigert. Die Deutsche Telekom kündigte an, bis zum Jahr 2025 mindestens 99 Prozent der Bevölkerung und 90 Prozent der Fläche Deutschlands mit 5G versorgen zu wollen.

Dafür will sie jedes Jahr mehr als 2.000 neue Mobilfunk-Standorte bauen. Momentan ist 5G bereits in grösseren Städten wie Berlin, Bonn, Darmstadt, Köln und München verfügbar, weitere sollen in Bälde folgen. Zudem gibt es Pilotprojekte auf dem Land und in der Industrie.

5G in Österreich

Auch in Österreich wird 5G von der Regierung und den Telekommunikationskonzernen mächtig vorangetrieben. Ziel der Bundesregierung ist es, bis 2025 in Österreich überall 5G verfügbar zu machen. Dieses Ziel hält der CEO des Marktführers A1 Telekom Austria, Thomas Arnoldner für sehr realistisch. Österreich übernehme bei 5G eine Vorreiterrolle als Musterland in ganz Europa. Die Initialzündung dafür sei die frühe Versteigerung der 3,5-Gigahertz-Lizenzen gewesen.

5G: Das ist geplant

Momentan ist die Strahlung von 5G noch meist relativ vergleichbar mit den Frequenzen von 4G. Es wird hauptsächlich noch der Frequenzbereich FR1 genutzt, der zwischen 600 MHz und 6 GHz liegt. Aber es gibt auch schon Versuche in der Industrie mit höheren Frequenzen. Und die Strahlungsbelastung kann insbesondere auch an öffentlichen Hotspots in Grossstädten durch das dichte 5G-Netz nicht unerheblich sein.

Aber die wahren Vorteile von 5G ergeben sich erst durch höhere Frequenzen von über 6 GHz. Der Frequenzbereich FR2 beginnt oberhalb von 24 GHz und arbeitet im Millimeterwellenbereich. Bis Mai 2019 waren Frequenzen bis 40 GHz für 5G freigegeben, eine Erweiterung der Zulassung auf bis zu 86 GHz ist jedoch in Zukunft vorgesehen. (7)

Elektromagnetische Wellen im Millimeterwellen Bereich sind zwar hilfreich, um grosse Datenmengen zu übertragen, die Reichweite nimmt aber bei höheren Frequenzen immer mehr ab. So können Funkwellen von z. B. 28 GHz einfache Hindernisse wie Wände oder Bäume nicht mehr durchdringen – deshalb wäre ein engmaschiges Netz von vielen Kleinzellenanlagen nötig (7), die dann auch an Wohnhäusern oder in deren unmittelbaren Nähe montiert werden würden, im Abstand von nur 10 bis 12 Häusern. (2)

Widerstand – 268 internationale Wissenschaftler rufen den „5G Appell“ ins Leben

Im Jahr 2017 schlossen sich internationale kritische Wissenschaftler (Professoren und Ärzte) zusammen, um einen eindringlichen Appell an die Verantwortung der EU zu formulieren. Sie warnen vor den Gesundheitsrisiken durch den Mobilfunkstandard 5G und fordern ein Moratorium beim Ausbau, bis potenzielle Risiken für die menschliche Gesundheit und die Umwelt vollständig durch industrieunabhängige Wissenschaftler erforscht wurden. (2)

Sie fordern die Überprüfung der Technologie, die Festlegung von neuen, sicheren „Grenzwerten für die maximale Gesamtexposition“ der gesamten kabellosen Kommunikation sowie den Ausbau der kabelgebundenen digitalen Telekommunikation zu bevorzugen. Es sei erwiesen, dass HF-EMF (hochfrequente elektromagnetische Felder) für Menschen und die Umwelt schädlich sind. (2)

5G ersetzt kaum ältere Standards – es ist eine zusätzliche Strahlungsquelle

5G erhöht laut den Experten die Zwangsexposition gegenüber elektromagnetischen Feldern im Hochfrequenzbereich (HF-EMF) stark, indem es noch zusätzlich zu weiterhin vorhandenen Strahlungsquellen wie GSM (2G), UMTS (3G), LTE (4G), WLAN, DECT usw. hinzukommt, die bereits für die Telekommunikation genutzt werden. Die häufige Behauptung, 5G würde generell die alten Mobilfunk-Generationen ersetzen, sei falsch. Es handle sich um eine zusätzliche Strahlenbelastung on top.

Die WHO hält elektromagnetische Strahlung für potentiell krebserregend

Bereits im Mai 2011 traf sich eine Gruppe von 31 Wissenschaftlern aus 14 Ländern in Lyon, Frankreich bei der IARC (International Agency for Research on Cancer), einer Organisation der WHO, um über die Auswirkungen von Mobilfunk auf die menschliche Gesundheit zu beraten.

Ergebnis war die Einstufung der elektromagnetischen Strahlung des Mobilfunks als „möglicherweise krebserregend beim Menschen“ (Kategorie 2B) aufgrund eines erhöhten Risikos von Gliomen (Hirntumoren des Zentralen Nervensystems).

Eine der Grundlagen dieser Einstufung war eine Studie aus dem Jahr 2004, die ein um 40 Prozent erhöhtes Risiko für Gliome bei Handy-Intensivnutzern feststellte, die über einen Zeitraum von 10 Jahren länger als 30 Minuten pro Tag telefonieren. (4) In den nächsten Jahren soll eine Neubewertung der Situation erfolgen.

 

effective natureSango-Koralle

100 g

 

9,95 EUR

Mineralstoffe ⟩ Calcium

 

effective natureSango-Korallen-Tabs

100 Tabs

 

15,90 EUR

Mineralstoffe ⟩ Calcium


Hochfrequente 5G-Strahlung führt zu Gewebeerwärmung

Die einzigen bisher vom Deutschen Bundesamt für Strahlenschutz (BfS) beschriebenen Wirkungen elektromagnetischer Strahlung sind folgende:

  • Niederfrequente elektrische und magnetische Felder können elektrische Felder und Ströme im Körper erzeugen.

  • Durch hochfrequente elektromagnetische Felder kann biologisches Gewebe erwärmt werden. Der künftig hochfrequenten 5G-Strahlung wird also hauptsächlich ein gewebeerwärmender Effekt attestiert. Nicht-thermische Wirkungen unterhalb der Grenzwerte, wie sie einige Wissenschaftler ins Spiel bringen, seien nicht nachgewiesen.

  • Es sei zwar davon auszugehen, dass auch in den neuen hohen Frequenzen von 5G in Bereichen unterhalb der bestehenden Grenzwerte keine gesundheitlichen Auswirkungen zu erwarten seien. Da für diesen Bereich bislang jedoch nur wenige Untersuchungsergebnisse vorliegen, sieht das BfS hier noch Forschungsbedarf.

Deshalb rät das Bundesamt für Strahlenschutz, beim Ausbau von 5G umsichtig vorzugehen. Bei den jeweiligen Schritten müsse untersucht werden, ob die Menschen einer höheren Strahlungsmenge ausgesetzt werden, heisst es in einem Statement. Aufgabe des Strahlenschutzes sei es, dafür zu sorgen, dass die Stärke der Felder so gering ist, dass keine Gesundheitsschäden auftreten. (7)

Das BfS werde mögliche Wirkungen der neuen Frequenzbereiche noch genauer untersuchen. Dazu wurde ein Forschungsvorhaben mit dem Titel "Smart cities: Abschätzung der Gesamtexposition des Menschen durch zusätzliche 5G Mobilfunktechnologien anhand modellierter Zukunftsszenarien" ins Leben gerufen. (6)

Die bisher wissenschaftlich anerkannte Gewebeerwärmung hängt vor allem von der Umgebungsstrahlung im häuslichen und beruflichen Umfeld ab (WLAN, Handy, DECT-Telefone usw.) und natürlich auch vom Strahlungswert des jeweiligen Handymodells. Der SAR-Wert - das bedeutet die „spezifische Absorptionsrate“ - ist ein Mass für die Absorption von elektromagnetischen Feldern in einem Material, in diesem Fall im menschlichen Gewebe.

Und nur anhand dieses Gewebeerwärmungs-Basiswerts SAR von 0,08 Watt pro Kilogramm Körpergewicht wurden die gültigen Mobilfunkstrahlungs-Grenzwerte der Sendeanlagen als maximale elektrische und magnetische Feldstärke abgeleitet (6) Sie beruhen auf Empfehlungen der "Internationalen Kommission zum Schutz vor nichtionisierender Strahlung" (ICNIRP) und der Strahlenschutzkommission (SSK). Sie wurden mit dem Ziel entwickelt, vor den wissenschaftlich nachgewiesenen gesundheitlichen Risiken zu schützen.

Die Grenzwerte sind auf Grundlage des Bundes-Immissionsschutzgesetzes in der "Verordnung über elektromagnetische Felder" (26. BImSchV) festgelegt. Die Verordnung gilt für ortsfeste Anlagen, die elektromagnetische Felder im Frequenzbereich von 9 Kilohertz bis 300 Gigahertz erzeugen. Sie trat 1997 in Kraft und wurde 2013 überarbeitet. (7) Die Strahlungs-Grenzwerte der Handys und Endgeräte sind jedoch nicht in dieser Verordnung geregelt.

Welche gesundheitlichen Auswirkungen könnten noch drohen?

Es werden auch direkte Feldeffekte und Quanten-Effekte der Strahlung diskutiert und beobachtet, wie z. B. die Änderung von Membran-Potentialen oder die Synchronisation mit Schwingung der Zellstruktur. (1)

Über 500 internationale Studien sind mittlerweile zu dem Ergebnis gekommen, dass hochfrequente Strahlung einige schädliche biologische und gesundheitliche Auswirkungen verursachen kann, selbst wenn der Strahlungswert zu gering ist, um eine nennenswerte Erwärmung von Körpergewebe zu bewirken (3).

Es sollten also bei der Festlegung von Grenzwerten künftig weitere gesundheitliche Auswirkungen miteinbezogen werden. Die Körpererwärmung allein ist veraltet und greift zu kurz, fordern einige Wissenschaftler.

Viele Krankheiten und Symptome sind mit auf die Exposition gegenüber elektromagnetischer Strahlung zurückzuführen, welche bislang noch nicht hinreichend untersucht wurden. Zu den Auswirkungen zählen laut den Wissenschaftlern des 5G Appeals

  • ein erhöhtes Krebsrisiko,

  • Zellstress,

  • eine Zunahme schädlicher freier Radikale,

  • Genschäden,

  • strukturelle und funktionelle Veränderungen im Fortpflanzungssystem,

  • Lern- und Gedächtnisdefizite,

  • neurologische Störungen sowie

  • negative Auswirkungen auf das allgemeine Wohlbefinden beim Menschen.

Schädigungen betreffen bei weitem nicht nur den Menschen. Es gibt zunehmend Hinweise auf schädliche Auswirkungen auch bei Pflanzen und Tieren. (2) Hinzu kommt, dass es insbesondere zur Dauerexposition der neu geplanten hochfrequenten 5G-Strahlung im Millimeterbereich noch keine Erkenntnisse oder gar Langzeitstudien gibt, da diese erst in den Startlöchern steht.

Je höher die Frequenz der Strahlung, desto schädlicher ist sie für den Menschen

Sieht man sich die verschiedenen Arten von Strahlung an, wird klar, dass insbesondere die hochfrequente Strahlung mit extrem kurzen Wellenlängen tiefer ins menschliche Gewebe eindringen kann und dieses schädigen bzw. entarten lassen kann.

Die Strahlung mit der höchsten Frequenz (und damit der kürzesten Wellenlänge, etwa unter 250 Nanometer) ist radioaktive Strahlung bzw. Röntgenstrahlung. Beide zählen zur ionisierenden Strahlung, welche in der Lage ist, aus menschlichen Molekülen Elektronen herauszulösen, meist durch die immense Stossenergie. (1)

Verliert ein Molekül ein Elektron, wird es zum freien Radikal und kann durch eine Kettenreaktion im Körper grossen Schaden anrichten, z. B. Krebs auslösen. Die verheerenden und z. T. tödlichen Wirkungen auf den menschlichen Körper sind spätestens seit den grossen Atomkatastrophen der Erde hinlänglich bekannt.

Zwar liegen die geplanten höheren Frequenzen von 5G noch deutlich unterhalb der ionisierenden Strahlung, aber immerhin im Bereich einer Millimeterstrahlung. Entscheidend für die Gesundheit ist freilich nicht nur die Frequenz an sich, sondern auch die Zeitdauer, welche der Mensch dieser neuen Strahlung ausgesetzt ist. Und im digitalen Zeitalter lässt sich eine Dauer-Zwangsexposition oft kaum vermeiden, ausser man lebt abgeschieden auf einer Berghütte.

Die 7 besten Tipps: So reduzieren Sie Ihre persönlichen Risiken durch elektromagnetische Strahlung und 5G

Mit den folgenden Tipps können Sie Ihre Strahlungsexposition mindern und dadurch das Risiko, gesundheitliche Schäden durch 5G zu entwickeln:

 

FoodscoutFoodscout: Ausgabe 1

4,95 EUR

Literatur ⟩ Magazine

 

Zentrum der GesundheitAufgetischt - vegane Küche

24,90 EUR

Literatur ⟩ Kochbücher


1. Suchen Sie EMS-Quellen und meiden Sie diese (wo möglich)

Decken Sie mögliche Quellen elektromagnetischer Strahlung (EMS) am Arbeitsplatz und zu Hause auf (siehe nächster Punkt) und versuchen Sie, soweit möglich die Nutzung der strahlenden Geräte zu minimieren. Am besten erstellen Sie eine Liste und markieren die Quellen, die Sie künftig meiden können.

2. Reduzieren Sie die WLAN-Nutzung

Ihr hauseigenes WLAN und das am Arbeitsplatz stellen eine Hauptquelle Ihrer persönlichen Strahlungsbelastung dar, neben Ihrem Handy selbst und Ihrem DECT-Telefon. (6)

Schliessen Sie Ihren PC lieber an ein fest installiertes Internet (Ethernet)-LAN-Kabel an, statt WLAN zu nutzen. Wenn Sie WLAN unbedingt brauchen, schalten Sie es zumindest nachts aus.

Arbeiten Sie an einer durchgehenden Netzwerk-Verkabelung Ihres Hauses. Setzten Sie nicht auf „smarte“ Geräte wie Smart TV oder smarte Haussteuerungen wie Thermostate, da diese WIFI-abhängig sind. Lassen Sie Ihr Baby lieber in Ihrem Zimmer oder Bett schlafen statt per strahlendem Babyphone überwacht in einem anderen Zimmer.

3. Sorgen Sie nachts für möglichst wenig Elektrosmog

Schalten Sie Ihr WLAN aus, z. B. wenn Sie ohnehin ein gutes Netz auf Ihrem Handy empfangen und reichlich Datenvolumen gebucht haben. Stecken Sie alle Elektroquellen in Ihrem Schlafzimmer nachts aus (oder schalten Sie gleich die Sicherung ab), um Elektrosmog zu reduzieren.

Nutzen Sie einen batteriebetriebenen Wecker, am besten ohne Licht, z. B. mit Ansage der Uhrzeit. Tragen Sie Ihr Handy nicht am Körper und legen Sie es nicht direkt neben sich auf den Nachtschrank, ausser im Flugmodus. Aber selbst dann kann es Signale aussenden.

4. Überprüfen Sie Ihre Haushaltsgeräte

Auch lohnt es sich, wenn Sie Ihre Haushaltsgeräte überprüfen: 

Abstand zur Mikrowelle halten

Falls Sie auf eine Mikrowelle nicht verzichten möchten, halten Sie während der Zubereitung der Speisen einen Abstand von mindestens einem Meter zum Gerät und reduzieren Sie die tägliche Nutzungsdauer auf das nötige Minimum.

Zwar wurden vom Bundesamt für Strahlenschutz bei Neugeräten keine Grenzwertüberschreitungen austretender Strahlung im vorgegebenen 5-cm-Abstand gemessen, aber selbst Mikrowellen-Strahlung unter den Grenzwerten kann für empfindliches menschliches Gewebe schädlich sein, insbesondere für die Augen und Fortpflanzungsorgane, die die entstehende Wärme durch geringeren Blutfluss nicht so schnell ableiten können. Zudem sind Geräte häufig nach einiger Nutzungsdauer bei Weitem nicht mehr so dicht wie Neugeräte, wodurch mehr Strahlung austreten kann. (10)

Leuchtmittel sorgfältig auswählen

Entfernen Sie Leuchtstofflampen mit elektronischem Vorschaltgerät aus Ihrem Haus, denn diese erzeugen durch den darin befindlichen Inverter breitbandige Hochfrequenz, die teilweise von der Lampe und deren Zuleitungen abgestrahlt wird. Vermeiden Sie auch ein Übermass an LED-Beleuchtung bzw. kommen Sie ihr nicht dauerhaft zu nahe. 

Die LED wird immer mit Gleichspannung betrieben. Unser Stromnetz in Deutschland liefert allerdings Wechselspannung, weshalb elektronische Bauteile zur Gleichrichtung im Leuchtmittel selbst verbaut werden. Diese Elektronik im Sockel der Lampen hat zur Folge, dass einige LED-Glühbirnen mehr hochfrequente Strahlung aussenden als Bildschirme. Besonders bei Leuchtmitteln in der Nähe von Sitz- oder Arbeitsplätzen ist die Belastung für den Menschen gross. Verwenden Sie in solchen Fällen lieber gewöhnliche Hochvolt-Halogenlampen: Diese erzeugen zwar deutlich mehr Wärme, dafür produzieren sie aber weit weniger Elektrosmog. (14)

Smartmeter abschirmen

2015 wurde beschlossen, dass Smartmeter (intelligente Stromzähler) in Deutschland Pflicht werden. Diese benötigen zur korrekten, fehlerfreien Übertragung von Daten und zur Kommunikation mit anderen Geräten starke WLAN-Verbindungen. Daniel Hirsch, ein kalifornischer Strahlungsexperte und Lehrbeauftragter an der University of California in San Diego kritisierte die Verharmlosung dieser Messgeräte durch die Stromindustrie.

Er berechnete, dass ein einziger Smartmeter für den Körper (Wert für die Ganzkörperexposition) eine Strahlungsbelastung darstellt wie 160 Mobiltelefone zusammen. (11) Wählen Sie deshalb zur Installation, sobald Sie von Ihrem Stromanbieter dazu „gezwungen“ werden, einen abgelegenen, selten genutzten Raum, optimalerweise mit eigenem WLAN und nach aussen hin abgeschirmt. 

Um WLAN gezielt nach aussen hin abzuschirmen, benötigen Sie ein Messgerät. Gängige Elektrosmog-Messgeräte erfassen zumindest das herkömmliche 2,4-GHz-WLAN. Kaufen oder leihen Sie eines, um den Schwerpunkt der WLAN-Strahlung an der Wand zu detektieren. Bringen Sie an den Flächen mit den höchsten Messwerten mit doppelseitigem Klebeband ein paar Meter Alufolie an oder einige Rettungsdecken aus Ihrem Auto-Verbandskasten. 

Durch diese provisorische Lösung sollten die Messwerte bereits deutlich sinken. Wenn Sie professionell WLAN-Strahlung minimieren wollen, benötigen Sie einen Mikrowellen-Absorber, welcher der Strahlung effektiv Energie entziehen kann.

5. Telefonieren Sie richtig

Schalten Sie beim Telefonieren mit Ihrem Handy den Lautsprecher an und halten Sie mindestens einen knappen Meter Abstand zum Gerät. Alternativ nutzen Sie ein Headset, also Kopfhörer mit langen Kabeln, um den nötigen Sicherheitsabstand zu wahren. Halten Sie den Abstand insbesondere bei einer schlechten Telefonverbindung ein, denn dann strahlt Ihr Handy umso stärker, mit dem Ziel, eine bessere Verbindung aufzubauen. Versuchen Sie, Ihre Telefonierzeit pro Tag auf ein Minimum zu reduzieren. Nutzen Sie Telefone mit VoIP (Voice IP)-Funktion, um über eine feste Internetleitung zu telefonieren.

6. Stärken Sie Ihren Körper

Ein starker, gesunder Körper ist weniger anfällig für schädliche Einflüsse von aussen. Ergreifen Sie daher Massnahmen, die Ihren Körper stärken, so dass er von innen besser vor möglicherweise schädlicher Strahlung geschützt ist:

 

GeoSilicaPures Silizium

29,90 EUR

Mineralstoffe ⟩ Silizium

 

My.YoJoghurt-Set Pro-/Prebiotisch

29,90 EUR

Spezielle Lebensmittel ⟩ Fermente und Joghurt ⟩ Joghurtkulturen


Achten Sie auf eine gute Versorgung mit Magnesium

Eine 2013 im Journal of cellular and molecular medicine veröffentlichte Arbeit fand zahlreiche Hinweise aus 23 verschiedenen Studien, dass elektromagnetische Felder ihre negativen, nicht-thermischen Wirkungen im Körper insbesondere durch eine verstärkte Aktivierung der Calciumkanäle entfalten, die durch die Stromspannung der Felder übermässig angeregt werden. Es kommt zu starkem oxidativem Stress in der Zelle und zur Bildung freier Radikale. (16)

Calciumkanäle sind feine Kanäle in der Zellmembran, durch die Calcium in die Zelle einströmen kann. Die Erhöhung der Calciumkonzentration im Innern der Zelle führt zu verschiedenen Reaktionen dieser Zelle - je nach Art der Zelle. Bei der Muskelzelle führt der Calciumeinstrom beispielsweise zur Kontraktion, so dass wir uns letztendlich bewegen können. Auch in der Herzmuskelzelle gibt es Calciumkanäle, die an der Kontraktion des Herzmuskels beteiligt sind.

In anderen Zellen führt der Calciumeinstrom zur Ausschüttung von Hormonen oder anderen Botenstoffen, so dass klar wird, welche weitreichenden gesundheitlichen Folgen eine übermässige Anregung der Calciumkanäle mit sich bringen kann. Autor obiger Studie, Martin Pall, schlägt deshalb zur Beruhigung der Calciumkanäle die Einnahme natürlicher Calciumkanalblocker vor, wie z. B. Magnesium. (12) 

Denken Sie daher zum Schutz vor schädlicher Strahlung immer auch an eine ausreichende hochwertige und bedarfsgerechte Magnesiumaufnahme. Wie Sie sich magnesiumreich ernähren können, erklären wir hier: Magnesiummangel mit der Ernährung beheben

Wenn Sie mit der Ernährung nicht genügend Magnesium zu sich nehmen können, wählen Sie eine Nahrungsergänzung mit Magnesium. In diesem Artikel stellen wir Ihnen die besten zur Wahl stehenden Magnesiumpräparate vor. 

*Ein natürliches Magnesiumpulver kann aus dem Meersalat gewonnen werden und ist von besonders hoher Bioverfügbarkeit: Magnesium aus Meersalat

*Das schnell resorbierbare Magnesiumcitrat erhalten Sie hier: Magnesiumcitrat in Kapseln

Setzen Sie natürliche Superwaffen wie Kreuzblütler, Gewürze und Omega 3 ein

Elektromagnetische Felder verursachen im Körper oxidativen Stress. Um diesen zu reduzieren, setzen Sie auf Lebensmittel, die reich an Antioxidantien sind oder die bei der Bildung körpereigener Antioxidantien helfen. Dazu wird z. B. ein ausreichend hoher Nrf2-Spiegel benötigt.

Nrf2 ist ein körpereigener Stoff, der bestimmte Schutzgene aktivieren kann, u. a. solche Gene, die für die Versorgung der Zelle mit Antioxidantien zuständig sind. Wie man nun den Nrf2-Spiegel erhöht, ist im Grunde nichts Neues, da es sich einfach um jene Massnahmen handelt, die generell zu einer gesunden Lebens- und Ernährungsweise gehören, etwa der verstärkte Verzehr von Gemüse aus der Gruppe der Kreuzblütler (Brokkoli, Blumenkohl, Rosenkohl, Weisskohl, Rotkohl, Rucola, Senf, Meerrettich etc.). Diese liefern u. a. Isothiocyanate, wie z. B. Sulforaphan – also Pflanzenstoffe mit äusserst starker antioxidativer Schutzwirkung.

Greifen Sie zudem zu schwefelreichem Gemüse (z. B. Zwiebeln, Bärlauch, Knoblauch, Lauch, Meerrettich, Kohl, Kresse und Raps) und auch carotinoidreichem Gemüse (z. B. Tomaten, Tomatenmark, Karotten, Süsskartoffeln, grünem Blattgemüse).

Empfehlenswert zur Erhöhung des Nrf2-Spiegels sind ausserdem Omega-3-reiche Lebensmittel, wie z. B. Leinöl, Hanföl oder Nahrungsergänzungen mit DHA und EPA (z. B. Algenöl). Auch viele Gewürze wie Nelken, Zimt, Ingwer, Kurkuma und Rosmarin können dank ihrer antioxidantiven Pflanzenstoffe dabei helfen, oxidativen Stress und damit Strahlenschäden zu reduzieren. (13)

Natürlich sind auch Bewegung und intermittierendes Fasten wichtig, auch diese beiden Massnahmen heben den entscheidenden Nrf2-Spiegel an, sodass Ihr Körper besser gegen die elektromagnetischen Felder gewappnet ist. (5)

7. Abschirmung durch Schutztextilien und Netze

Wer sich wegen dem zunehmenden Elektrosmog bzw. der alltäglichen Belastung durch elektromagnetische Strahlung – auch durch 5G – Sorgen um seine körperliche Gesundheit und sein Wohlbefinden macht und auf Nummer sicher gehen will, der kann sich mit speziellen Geweben bzw. Textilien umgeben, die mit einem Abschirmwert von bis zu über 50 Dezibel einen wirksamen Schutz auch vor höherfrequenter 5G-Strahlung bieten

Das patentierte „Swiss Shield“ beispielsweise ist ein Hightech-Garn, woraus verschiedene Schutztextilien entwickelt wurden, wie z. B. Nachtwäsche und Schlafsäcke sowie Unterwäsche, aber auch Schwangerschafts- und Arbeitskleidung. Laut Hersteller ist dabei das spezielle Gewebe in puncto Tragkomfort und Oberflächenbeschaffenheit nicht von hochwertigen Baumwollgeweben unterscheidbar. (9)

Einen Rundumschutz bietet ein um das Bett herum anbringbares Abschirmnetz, ähnlich einem Moskitonetz. Der Vorteil ist, dass auch Hände, Füsse, Kopf und Gesicht vor der Strahlung geschützt sind, ähnlich dem Blitzschutz in einem faradayschen Käfig.

5G und andere Strahlung: Schützen Sie sich!

Es gibt also Möglichkeiten, sich vor den negativen Auswirkungen durch Strahlung, auch durch 5G-Strahlung bis zu einem gewissen Grad zu schützen. Oft liegt es an einem selbst, welche strahlungsintensiven Gerätschaften man wie viele Stunden am Tag nutzen möchte. Wo auch immer man kann, wird man die Nutzung dieser Geräte reduzieren und gleichzeitig so gesund wie möglich leben, um auf diese Weise weniger anfällig gegen strahlungsbedingte Gesundheitsschäden zu werden.

Ganz entkommen wir der Strahlung jedoch natürlich nicht. Allerdings ist Panik auch nicht besonders zielführend. Aber der Appell vieler Wissenschaftler zum Thema 5G gibt Anlass dazu, das Thema durchaus ernst zu nehmen, den weiteren Ausbau kritisch zu verfolgen und sich und sein persönliches Umfeld so gut wie möglich zu schützen.

 

GeoSilicaSilizium m. D3 & Eisen

29,90 EUR

Mineralstoffe ⟩ Silizium

 

effective natureFlüssiges Astaxanthin

24,90 EUR

Mikroalgen ⟩ Astaxanthin


Petitionen zum Thema 5G finden Sie z. B. hier: Petitionen 5G

Fernausbildung zum ganzheitlichen Ernährungsberater

Sie interessiert, was in unserem Essen steckt und wollen wissen, wie sich Nähr- und Vitalstoffe auf den Körper auswirken? Sie wünschen sich ein gesundes Leben für sich, Ihre Familie und Mitmenschen? Ernährungsberater sind beliebt – doch oft geht bei der Beratung der ganzheitliche Aspekt vergessen, den es für eine nachhaltige Gesundheit braucht. Lernen Sie bei der Akademie der Naturheilkunde die Zusammenhänge zwischen Lebens- und Ernährungsweise sowie physischem und psychischem Wohlbefinden kennen.

Die Akademie der Naturheilkunde bildet interessierte Menschen wie Sie in rund 16 Monaten zum ganzheitlichen Ernährungsberater aus. Bestellen Sie hier die kostenlose Infobroschüre.

Ist dieser Artikel lesenswert?

Ja

Teilen Sie diesen Artikel

Quellen

  1.  Wikimedia Foundation Inc.: www.wikipedia.org, 2019

  2.  Professor em. Rainer Nyberg, ass. professor Lennart Hardell: The 5G Appeal, on www.5gappeal.eu, 2019

  3.  Joel M. Moskowitz: We Have No Reason to Believe 5G Is Safe, on www.scientificamerican.com, 201

  4.  International Agency for Research on Cancer (IARC): IARC classifies Radiofrequency Electromagnetic Fields as possibly carcinogenic to humans, on www.iarc.fr, 2011

  5.  Dr. Joseph Mercola: Top 19 Tips to Reduce Your EMF Exposure, auf www.mercola.com, 2019

  6.  Bayerischer Rundfunk: #Faktenfuchs: Schadet 5G der Gesundheit?, auf www.br.de, 2019

  7.  Bundesamt für Strahlenschutz: Elektromagnetische Felder – 5 G, auf www.bfs.de, 2019

  8.  Deutsche Gesellschaft für Ernährung e. V., www.dge.de, 2019

  9.  Biologa Danell GmbH, www.swiss-shield.de

  10. &n... E. PANAIT et. Al.: Electromagnetic Pollution of the Environment Due Leakage Radiation from Microwave Ovens, 2019

  11.  Daniel Hirsch: Comments on the Draft Report by the California Council on Science and Technology “Health Impacts of Radio Frequency from Smart Meters”, 2011

  12.  Prof. Dr. Petra Saur: Magnesium und Sport, in Deutsche Zeitschrift für Sportmedizin, Jahrgang 55, Nr. 1 (2004)

  13.  Pall ML, Levine S.: Nrf2, a master regulator of detoxification and also antioxidant, anti-inflammatory and other cytoprotective mechanisms, is raised by health promoting factors, in Sheng Li Xue Bao., 2015

  14. Paul Burmann, ESMOG-Messungen & Abschirmungen: Gefahren durch LED-Strahlung, www.esmog-shop.com, 2020

  15. CHIP Digital GmbH: WLAN abschirmen - diese Methoden klappen am besten, auf www.chip.de, 2019

  16. Pall ML, Electromagnetic fields act via activation of voltage-gated calcium channels to produce beneficial or adverse effects, Journal of cellular and molecular medicine, 2013



6.Bericht und Video zu Covid19 von Dr.Kelly Brogan am 27.04.21


Google Übersetzung:


Fragen Sie die Experten (Covid-19-Impfstoff)
Von Kelly Brogan, MD

Teilen
Tweet
Teilen
Teilen

Um Big Pharma, Mainstream Media und Big Tech-Zensur zu bekämpfen, schlagen Ärzte auf der ganzen Welt (ich selbst eingeschlossen) Alarm über die verheerenden Auswirkungen der experimentellen COVID-19-Impfstoffe, die einer ahnungslosen Öffentlichkeit in Massen injiziert werden.

Diese mutigen Seelen wiederholen meine Bedenken und heben hervor:

Warum wir keine echte medizinische Pandemie erleben
Die Risiken der mRNA-Technologie und das Fehlen langfristiger Sicherheitsdaten
Wie Angst genutzt wurde, um die Öffentlichkeit dazu zu bringen, einen experimentellen Impfstoff zu akzeptieren
Was könnte diese Ärzte, Krankenschwestern, Wissenschaftler und andere Angehörige der Gesundheitsberufe möglicherweise dazu motivieren, solch ein leidenschaftliches Plädoyer zu erheben? Was müssen sie gewinnen, wenn sie sich die Zeit nehmen, die Öffentlichkeit über die verborgenen Gefahren einer neuen Klasse von Impfstoffen aufzuklären, die in einem großen internationalen Experiment getestet werden?

Die Wahrheit ist, sie haben wenig zu gewinnen und viel zu verlieren.

Warum machen sie das? Und warum werden diese Ärzte und Fachkräfte so stark zensiert, wenn die neuen COVID-19-Impfstoffe tatsächlich „sicher und wirksam“ sind? Was verstecken die Medien und die Regierung, damit die Öffentlichkeit es nicht weiß?

Sie tun dies, weil sie tatsächlich die wahre Wissenschaft verstehen und die möglichen Konsequenzen dieser Intervention kennen, und sie versuchen, so viele Menschen wie möglich darauf aufmerksam zu machen, was am anderen Ende dieser Intervention sein könnte erhebt keinen Anspruch darauf, Infektionen, Übertragungen oder Infektionen zu lindern (nur um Symptome zu lindern!) - einschließlich unzähliger Todesfälle, Krankenhausaufenthalte, allergischer Reaktionen, Herzinfarkte, Blutgerinnsel, Fehlgeburten und mehr.

Bitte schauen Sie sich dieses Video an und teilen Sie es dann mit so vielen Menschen wie möglich! (Leider haben viele Social-Media-Plattformen dieses Video bereits zensiert, sodass Sie das Wort möglicherweise über andere Kanäle verbreiten müssen.)
 

Original vom 27.04.21

Fragen Sie die Experten (Covid-19-Impfstoff)

Von Kelly Brogan, MD

Teilen
Tweet
Teilen
Teilen

Um Big Pharma, Mainstream Media und Big Tech-Zensur zu bekämpfen, schlagen Ärzte auf der ganzen Welt (ich selbst eingeschlossen) Alarm über die verheerenden Auswirkungen der experimentellen COVID-19-Impfstoffe, die einer ahnungslosen Öffentlichkeit in Massen injiziert werden.

Diese mutigen Seelen wiederholen meine Bedenken und heben hervor:

Warum wir keine echte medizinische Pandemie erleben
Die Risiken der mRNA-Technologie und das Fehlen langfristiger Sicherheitsdaten
Wie Angst genutzt wurde, um die Öffentlichkeit dazu zu bringen, einen experimentellen Impfstoff zu akzeptieren
Was könnte diese Ärzte, Krankenschwestern, Wissenschaftler und andere Angehörige der Gesundheitsberufe möglicherweise dazu motivieren, solch ein leidenschaftliches Plädoyer zu erheben? Was müssen sie gewinnen, wenn sie sich die Zeit nehmen, die Öffentlichkeit über die verborgenen Gefahren einer neuen Klasse von Impfstoffen aufzuklären, die in einem großen internationalen Experiment getestet werden?

Die Wahrheit ist, sie haben wenig zu gewinnen und viel zu verlieren.

Warum machen sie das? Und warum werden diese Ärzte und Fachkräfte so stark zensiert, wenn die neuen COVID-19-Impfstoffe tatsächlich „sicher und wirksam“ sind? Was verstecken die Medien und die Regierung, damit die Öffentlichkeit es nicht weiß?

Sie tun dies, weil sie tatsächlich die wahre Wissenschaft verstehen und die möglichen Konsequenzen dieser Intervention kennen, und sie versuchen, so viele Menschen wie möglich darauf aufmerksam zu machen, was am anderen Ende dieser Intervention sein könnte erhebt keinen Anspruch darauf, Infektionen, Übertragungen oder Infektionen zu lindern (nur um Symptome zu lindern!) - einschließlich unzähliger Todesfälle, Krankenhausaufenthalte, allergischer Reaktionen, Herzinfarkte, Blutgerinnsel, Fehlgeburten und mehr.

Bitte schauen Sie sich dieses Video an und teilen Sie es dann mit so vielen Menschen wie möglich! (Leider haben viele Social-Media-Plattformen dieses Video bereits zensiert, sodass Sie das Wort möglicherweise über andere Kanäle verbreiten müssen.)



7. Neuigkeiten EMF


Ich habe mir ein 3,5 GhHz EMF-Meter( Extech 480836) aus Taiwan beschafft, welche sehr schön alle WLAN Aktivitäten mißt. Ich hatte die Hoffnung, daß es die Brunate Rauchmelder Aktivitäten besser erfasst als mein altes Meßgerät von Gigahertz, wo das neue HF38B überhaupt nicht reagiert!

Heute Morgen um 6:48 Uhr war es soweit mein altes Meßgerät schlug an 26 Minuten lang, erst niedrige 

Flußdichten um die 20 -40 Mikrowatt/m², aber dann wieder sinusförmig von 400, 1000,1200, 1400,

> 2500 Mikrowatt/m².

Leider habe ich wieder mit dem neuen Analyser 250 € in den Sand gesetzt, er reagiert überhaupt nicht.

Ich vermute daß in Bergamo die alten Leute mittels solcher EMF-Frequenzen um die 700 MHz gequält wurden. In T. waren es ja um die 500 Mikrowatt/m² die ich auch gut messen konnte.

Jetzt kann ich über Dr. Shigeo Haruyama auch behaupten, daß die mittels Alpha-, Beta- Theta-, und Delta-Wellen Patienten drangsalieren und ins Unterbewußtsein eindringen und ihne Dinge einsuggerieren.

Ich vermute auch daß meine Hautprobleme auf EMF zurück zu führen sind, weil unter dem Stress der Zellereparatur-Modus und die ATP-Bildung überlastet sind.

Nun gut dem kann ich mich nicht entziehen, ist mir auch langsam egal, weil ja auch Corona ein Fake ist um die Menschen zu schädigen.

Ich habe mich da heraus gezogen, weil Widerstand ist zwecklos.

Meine Hoffnung ist, daß dies Faschistischen Psychopathen ein kurzes elendes Leben haben, denn glücklich werden nur Menschen die Gutes tun, wo echte Endorphine fließen.!


Die Antennenleistungen in KWh, haben die fast vervierfacht, an manchen Stellen messe ich bis zu 9000 Mikrowatt/m², ich habe in Aufgängen zum Beispiel bei meiner Frau und den Nachbarn um die 3000 Mikrowatt/m² an der Wohnungstür gemseen, beieinigen Mieter nicht, also da vermute ich Insider!


8.)Dr. Vandana Shiva: "Die Infrastruktur der Gier zerstört die     Infrastruktur des Lebens"

Ein wunderschöner Beitrag, passt voll zu meinen Ausführungen!

13 Juni 2021 21:02 Uhr

Dr. Vandana Shiva setzt sich weltweit für soziale Gerechtigkeit und den Schutz der Artenvielfalt ein. Mit ihrer Organisation "Navdanya" wirbt sie für eine giftfreie Landwirtschaft. Darüber und über den Zusammenhang zwischen Corona und dem Überschreiten ökologischer Grenzen spricht sie mit RT DE.  Quelle: Reuters © Gustau Nacarino  Dr. Vandana Shiva (Archivbild)  Dr. Vandana Shiva ist eine indische Physikerin, die sich für soziale Gerechtigkeit und den Schutz der Artenvielfalt weltweit einsetzt. Als Präsidentin der 1991 gegründeten Organisation Navdanya wirbt sie international für eine giftfreie Landwirtschaft. Für ihr Engagement für die Artenvielfalt, für Nahrungssouveränität und die internationale Vernetzung von Frauen gegen Patente auf Leben erhielt sie 1993 den alternativen Nobelpreis. Im Interview berichtet sie über die aktuelle Lage in Indien und über den Zusammenhang zwischen mechanistischem Naturverständnis und menschlicher Gesundheit.  Dr. Shiva, vielen Dank, dass Sie uns die Möglichkeit geben, von Ihnen aus erster Hand über die gesundheitliche und wirtschaftliche Situation in Indien zu erfahren! In den letzten Wochen wurde in den westlichen Medien viel über die Lage in Indien berichtet. Haben Sie Vorschläge, wie man Ihrem Land international helfen könnte? Wir möchten Ihre Bewertung hören und besonders interessiert uns auch das Engagement der von ihnen gegründeten Organisation Navdanya in der aktuellen Situation.   Angespannte Corona-Lage in Indien – mehr als 300.000 Testpositive an einem Tag In Indien waren wir von der Pandemie zunächst weniger medizinisch betroffen, sondern vielmehr auf brutale Weise wirtschaftlich. Der Lockdown wurde bei uns mit vier Stunden Vorlauf mitten in der Nacht angekündigt. Über 400 Millionen Leute verloren über Nacht ihre Lebensgrundlage. Es gab eine riesige Rückwanderungsbewegung. Frauen mit Säuglingen auf dem Arm liefen 1.200 Meilen über Land.  

Dabei erleben wir nicht nur den Ansturm der Pandemie, sondern dazu auch noch multiple Stürme und Zyklone, sogar im karibischen Ozean, wo es bisher noch nie einen Zyklon gab. Nach meiner Einschätzung haben die Pandemie und die Klimakatastrophe die gleichen Wurzeln – und dabei spielt der Ursprung des Virus überhaupt keine Rolle. Es geht darum, dass auf unserem Planeten ökologische Grenzen verletzt werden. Die Erde ist ein lebender Organismus, den der ehemalige NASA-Wissenschaftler James Lovelock als Gaia bezeichnete. So wie ein gesunder menschlicher Körper seine Temperatur regulieren kann, seinen Sauerstoffverbrauch und seinen Stoffwechsel, so kann normalerweise auch die Erde ihre Temperaturverhältnisse und ihr Klima regulieren.

Bei Krankheiten geht es um eine Disharmonie der Naturgesetze auf der Erde und diese Naturgesetze betreffen auch unseren Körper. Aufgrund ihres mechanistischen Denkens halten viele Menschen die Erde für eine Maschine und in uns Menschen sehen sie Maschinenteile. Dieses Denken führt zu einem Verhalten, durch das viele Probleme geschaffen werden, welche dann wiederum technologisch gelöst werden sollen, wodurch aber nur wieder neue Probleme entstehen.

   Die Klimakatastrophe und die Pandemie sind die Folgen von Verletzung der ökologischen Grenzen und der Zerstörung der Wälder. Die Landoberfläche der Erde besteht zu 80 Prozent aus Wäldern, die lange Zeit von den darin lebenden Kulturvölkern geschützt wurden. Aufgrund unserer Gesetze zum Schutz der indigenen Völker sollten wir sie erhalten. Wir müssen anerkennen, dass sie beim Erhalt der Stabilität des Sauerstoffs und der Böden eine wichtige Rolle spielen. Schon vor fünf Jahrzehnten lernte ich von den indigenen Chipko-Frauen, dass die Probleme der mechanistischen Sichtweise entspringen und in der kommerziellen Ausbeutung der Natur. Die Chipkos sehen in den Wäldern die Quellen von Wasser, Sauerstoff und Boden, und dies sind die Quellen des Lebens.

Doch die Infrastruktur der Gier zerstört die Infrastruktur des Lebens! Durch die Überschreitung von ökologischen Grenzen erschaffen wir die unterschiedlichsten Pandemien selbst. Sogar die Vereinten Nationen haben zugegeben, dass man nur ein Symptom behandelt, wenn man die Pandemie nur als ein medizinisches Problem betrachtet.

Verbotene Pestizide: Profite vor Menschenleben – wo sie weniger wert sind Interessanterweise handelt es sich bei der Pandemie um eine Lungenkrankheit. Die Betroffenen sterben an Sauerstoffmangel. Ich denke dabei an meine Chipko-Schwestern, die immer wieder sagten, dass Sauerstoff die Grundlage allen Lebens ist und von den Wäldern hervorgebracht wird, die wir zerstören. Ich beobachte auch, dass die Krankheit umso schlimmer ist, je mehr chronische Krankheiten der Mensch bereits hat. Über chronische Krankheiten hat Navdanya das Manifest "Food and Health geschrieben" – Nahrung und Gesundheit.    Sie haben auch gefragt, wie man dem Land Indien helfen könnte. Die beste Hilfe besteht für mich darin, dass alle, die uns zuhören, den Zusammenhang der Probleme begreifen. Es gibt eine große Mafia, die unsere Wirtschaft mit Fake Food zerstören möchte. Darüber haben wir in der Schrift "Gates to a global Empire" berichtet. Auch mein neues Buch "ONENESS vs the 1 %" (In Einheit gegenüber dem einen Prozent) handelt davon. Es wird in Kürze auch auf Deutsch erscheinen. Milliardäre betrachten Fake Food als Lösung des Klimawandels und verschlimmern dadurch das Problem. Diese Milliardäre schaffen genauso wie die Kolonialisten ihre eigenen Regeln und Gesetze, die sie allen aufzwingen, anstatt dass die betroffenen Menschen selbst die Lösungen finden.  Welche Vorstellung hat Navdanya konkret von einem gesunden Leben? Welche wichtigen Schritte sind dazu nötig?

Bei einem gesunden Leben werden nicht so viel Müll und Umweltverschmutzung verursacht und nicht all die Pestizide und das Plastik, die aus fossilem Öl produziert werden. Bei einem gesunden Leben braucht man keine Nahrungsproduktion, in die vorher 10 Energieeinheiten investiert werden, um dann eine Energieeinheit eines schlechten Nahrungsmittels zu erhalten.

Bei lebenden Systemen besteht Gesundheit immer auch in Selbstorganisation, in der eigenständigen Balance ihres Stoffwechsels. Alle lebenden Systeme haben das Potenzial zur Homöostase, sie können nach Störungen ihr Gleichgewicht wieder finden. Wenn ein Mensch krank ist und sich richtig verhält, kehrt der Organismus wieder ins Gleichgewicht zurück.

Studie: Jedes Jahr vergiften sich weltweit 385 Millionen Menschen durch Pestizide Für ein gesundes Leben müssen wir anerkennen, dass die Erde mit frischen, biologisch angebauten Lebensmitteln die Grundlage für unser Gesundsein schafft. Stattdessen haben wir unsere Körper mit Junk Food betrogen. Darin liegt die Ursache für unsere chronischen Krankheiten. Und ausgerechnet die Milliardäre, die mit der Vergiftung unserer Nahrungsmittel reich geworden sind, wollen als nächstes Fake Food produzieren.    Sie haben eine industrielle Landwirtschaft geschaffen, in der sie Kühe in Fabriken mit Sojabohnen füttern und dann behaupten, dass sie die Produktionsfläche verringert haben. In Wahrheit verbrauchen sie mit dem Anbau von Sojatierfutter sieben Mal so viel Fläche, einschließlich der dafür durchgeführten Brandrodung des Amazonas. Als Neuestes entwickeln sie die zelluläre Landwirtschaft. Eigentlich steckt im Wort Landwirtschaft das Wort Land. Deshalb ist die Isolierung und Fütterung von Zellen im Labor, die sogenannte zelluläre Landwirtschaft, überhaupt keine Landwirtschaft. Es findet immer mehr Selbstbetrug statt.

Für ein gesundes Leben müssen wir die Artenvielfalt erhalten und uns im Außen darum kümmern: Keine Gifte einsetzen, keine Monokulturen anbauen. Für die Gesundheit brauchen wir die Biodiversität in unserem Körper und die Biodiversität in unserer Außenwelt. Dazu gehört auch, dass wir unseren Darm und die biologische Darmflora mit ihren Mikroben respektieren. Dass wir sie nicht länger verletzten, indem wir uns von Milliardären betrügen lassen. Wir müssen auf unseren Körper hören und auf unseren unabhängigen Geist. Biodiversität ist eine gewaltfreie, liebende Beziehung zu Dir selbst und zur Umwelt und jegliche Gewalt wird sie zerstören.

Gewalt Nr. 1 ist der Einsatz von Chemikalien, die die Organismen in den Böden verletzen.

Gewalt Nr. 2 besteht in der Zerstörung der Bienenvölker.

Gewalt Nr. 3 besteht darin, den hart arbeitenden Bauern ihre Lebensgrundlage zu nehmen.

Gewalt Nr. 4 richtet sich gegen die Organismen, die uns mit guter Nahrung versorgen. Wir vernichten sie chemisch und mit ökonomischen Mitteln.

Gewalt Nr. 5 richtet sich gegen unser eigenes Mikrobiom. Es steht in Zusammenhang mit dem zerstörten Mikrobiom der Böden.

Grundsätzlich müssen wir Gesundheit viel ganzheitlicher betrachten!

Wie trägt Navdanya zur Verbesserung der Gesundheitssituation bei und welche wichtigen Themen müssen dabei gelöst werden?   Interner Bericht bei Nestlé: Mehr als die Hälfte verpackter Produkte des Unternehmens "nicht gesund" Das Wort "Navdanya" bedeutet sowohl "neun Samen" als auch "neues Geschenk". Die großen Konzerne wollen das Saatgut patentieren und die Nahrungsmittelproduktion auf wenige von ihnen patentierte Saaten reduzieren. Dazu gehören Mais, Soja, Raps. Sogar für die Produktion des sogenannten zellulären Fleischs werden gentechnisch modifizierte Sojabohnen verwendet. Und der deutsche Bayer-Konzern, vorher war das Monsanto, stellte fest, dass er perfekt zu dieser neuen Industrie passe, denn er könne als einziger das Rohmaterial herstellen. Doch Navdanya sagt dazu:    "Verzeihung, aber unser Saatgut ist nicht Eurer Rohmaterial! Unser Saatgut ist souverän! Unsere Bauern sind souverän! Und wir reklamieren das Saatgut als Allmende! Deshalb heißt es 'Neues Geschenk'."

Als ich 1987 die Navdanya-Bewegung gründete, behaupteten die Chemiekonzerne: "Jetzt gehört das Saatgut uns, wir haben es patentiert." Schon damals sagte ich: "Nein, das ist nicht richtig." Und genauso, wie sie jetzt versuchen, zelluläre Landwirtschaft als Landwirtschaft zu definieren, versuchten sie damals, Saatgut als Maschinen zu definieren. Aber Saatgut ist keine Maschine, es ist ein lebendiges System. Das zu vermitteln, darin besteht seitdem meine Arbeit.

Nahrungsmittel dienen der Ernährung und sind keine Handelsware. Man kann die Menge des Soja-Anbaus immer weiter ausbauen und dennoch hungert eine Milliarde Menschen, und der Rest wird krank. Heutzutage werden noch immer 80 Prozent der Welternährung von Kleinbauern produziert. Aber der 20-prozentige Anteil der industriellen Landwirtschaft hat bereits 75 Prozent der Böden zerstört und 75 Prozent unserer Gesundheit. Wenn dieser Anteil auf 30 Prozent anwächst, wird unser Planet tot sein und die Menschen tot und krank. Das hat die Pandemie uns gezeigt.

Haben Sie eine Botschaft für unsere Leser in Deutschland?

Ich möchte den Lesern in Deutschland sagen: Passt auf! Damals hattet Ihr Hitler und jetzt habt Ihr Bayer! Lasst nicht zu, dass Bayer Eure unsichtbare Regierung wird. Setzt Euch ein für die Artenvielfalt, setzt Euch ein für die biologische Landwirtschaft und sorgt dafür, dass wir nicht in die Tyrannei zurückkehren!

Das Interview führten Felicitas Rabe und Dimana Shishkova.  Mehr zum Thema - Als erstes Land der Welt: Argentinien erlaubt Anbau von Genweizen


9.Graphenoxid im Covid-Impfstoff



Karen Kingston, eine ehemalige Pfizer-Mitarbeiterin und derzeitige Analystin für die Pharma- und Medizinprodukteindustrie, hat unbestreitbare Unterlagen vorgelegt, die mit der GANZEN WELT geteilt werden sollten! Die Impfung, die als „COVID-Impfung“ bezeichnet wird, ist ein giftiges Todesurteil, und niemand sollte sich den Impfungen unterziehen. Spanische Forscher entdeckten kürzlich, dass die Corona-Impfstoffe von Pfizer und AstraZeneca größtenteils aus Graphenoxid bestehen. Die Faktenprüfer und Medien überschlugen sich daraufhin, um die Berichte über die Entdeckung zu entkräften. Karen Kingston, eine ehemalige Pfizer-Mitarbeiterin, hat nun bestätigt, dass Graphenoxid in den Covid-Impfstoffen vorhanden ist. „Es ist extrem schwierig, diese Informationen zu finden“, sagte sie in der Stew Peters Show. Auf die Frage von Peters, ob Graphenoxid in den Corona-Impfstoffen vorhanden sei, antwortete sie unmissverständlich: „100 Prozent, das ist unwiderlegbar.“ Kingston vermutet, dass dieser Inhaltsstoff in den Patenten der Impfstoffe nicht erwähnt wird, weil er für Menschen giftig ist und weil er buchstäblich eine Verbindung zum Internet herstellen kann. „Sie untersuchen, wie viel sie den Menschen injizieren können, bevor sie sterben. Wir sind die Versuchskaninchen“. Wenn sie aktiviert werden, kann es zu Schäden und Tod kommen. Der ehemalige Pfizer-Mitarbeiter erklärte, dass Graphen Elektrizität leiten kann. Wenn Graphen eine positive Ladung hat, zerstört es alles



 10. Renè Gräber zu Graphenoxid und 5G



Die Pandemie hat ein neues Schreckgespenst. Und das heißt „Graphenoxid“.  Während die Behörden und die „Altmedien“ nach wie vor Angst und Panik vor neuen Varianten/Mutanten von SARS-CoV-2 versprühen, scheint die alternative Berichterstattung einen Buhmann gefunden zu haben, mit dem man die Leute ordentlich einschüchtern kann: Graphenoxid im Impfstoff der Corona-Impfung.  Ist Graphenoxid ein versuchter, mehr oder weniger geschickter Schachzug der Alternativmedien, über alternative Panikmache die Menschen vor der Gentech-Spritze zu warnen?  Was ist das Graphenoxid und wie realistisch ist die postulierte Gefahr?

Eine sensationelle Entdeckung

Am 28. Juni 2021 veröffentlichte die Universität von Almeria, Spanien, einen Bericht[i], der sich mit den Inhaltsstoffen der Pfizer-„Impfung“ beschäftigt hatte. Bei der Analyse zeigte sich, dass die untersuchte Probe sechs Nanogramm pro Mikroliter RNA enthielt. Die Autoren sahen, dass noch andere Stoffe enthalten waren, die nicht RNA sein konnten, und zwar in einer Konzentration von 747 Nanogramm pro Liter. Bei der Untersuchung zeigte sich, dass diese Fraktion ein Absorptionsmaximum bei 270 Nanometer hat, was genau dem von Graphenoxid entspricht.  Daraufhin führten die Autoren weitere Untersuchungen durch, um ihren Verdacht abzuklären. Durch mikroskopische Studien konnten sie Belege dafür gewinnen, dass Graphenoxid oder Derivate vorhanden sind, obwohl sie einschränkend sagen, dass mikroskopische Untersuchungen nicht in der Lage sind, 100-prozentige Evidenz zu gewährleisten. Eine letztlich sichere Analyse erfordert eine Strukturanalyse dessen, was man da in der Probe hat finden können – und die steht noch aus.  Weiter geben die Autoren zu bedenken, dass es sich bei der Analyse nur um eine einzige Probe handelt. Deshalb fordern sie, dass derartige Untersuchungen bei einem größeren Kontingent an Proben durchgeführt werden müssen. Immerhin ist es möglich, dass sich in der untersuchten Probe eine derartige Verunreinigung befunden hat, die nicht notwendigerweise in den anderen Ampullen anzufinden ist.

Leider scheinen diese Einschränkungen seitens der Autoren bei den alternativen Panikmachern keine Beachtung gefunden zu haben. Ich habe bislang in keiner entsprechenden Veröffentlichung diese einschränkenden Hinweise sehen können. Praktisch überall wird die spanische Studie als der Beweis für die Gegenwart von Graphenoxid angesehen und dementsprechend ausgeschlachtet.

Von SARS-CoV-2 zu Graphenoxid

Im Folgenden möchte ich nur mal exemplarisch einen Beitrag aufgreifen, der sich (nicht nur) mit der spanischen Studie beschäftigt [ii] – „Unser Engelskirchen“. Hier vermerkt der Schreiber zu Beginn, dass er ein mögliches Angstszenario vom Zaun bricht; aber: man solle doch „informiert bleiben“.  Anmerkung: Man kann sich also durch die Erzeugung von Angst informieren? Ist es nicht eher umgekehrt? Oder sind dann doch die Leute, die bereit sind, sich ihre Portion Horror[iii] bei ARD und ZDF abzuholen, adäquat informiert?

Dann geht die Geisterbahn los, denn Graphenoxid ist plötzlich überall:

In den Masken, in den Teststäbchen, in allen C-Impfstoffen (obwohl die Autoren dies explizit infrage gestellt haben) etc. Und sie erzeugen das, was zuvor SARS-CoV-2 und die Spike-Proteine erzeugten, nämlich Thrombosen, Blutgerinnsel, Störungen im Immunsystem[iv], ADE[v], metallischen Geschmack im Mund, Geschmacks- und Geruchsverlust, Entzündungen der Schleimhäute, Magnetisierung etc.

Dann kommt der Schreiber zu dem Schluss, dass Graphenoxid „der einzige Auslöser all dieser Covid-Symptome“ sei. An anderer Stelle, wo man sich mit dem Virusnachweis plagt (SARS-CoV-2 gibt es nicht, da es keine Viren gibt und die Koch’schen Postulate nicht erfüllt seien), ist Graphenoxid der perfekte Beweis für die eigene Hypothese von der Nicht-Existenz des Coronavirus. Ich weiß jetzt nicht, ob Graphenoxid als anerkannter Krankheitsauslöser der Covid-Symptomatik die Koch’schen Postulate erfüllt?

Es gibt da noch einen Hinweis auf 5G[vi], welches das Graphenoxid im Körper „triggert“, ohne zu erklären, was dann da genau passiert. Der Leser erfährt nur, das mit mehr 5G und Graphenoxid im Körper „viel mehr Menschen sterben werden“.

Nachdem also Graphenoxid zur eigentlichen Ursache der Pandemie avanciert ist („Also ist COVID19 eine 5G-ferngesteuerte Krankheit durch chemische Vergiftung und kein Virus!“), muss man sich eine Reihe von Fragen stellen.

Wenn Anfang 2020 also kein Virus vorhanden war, woher kam dann die „chemische Vergiftung“ durch Graphenoxid? Zu diesem Zeitpunkt gab es noch keine „Impfungen“, mit denen man die Leute hätte vergiften können.  Wenn Graphenoxid in den Genspritzen für die Nebenwirkungen der „Impfungen“ verantwortlich ist und nicht die dadurch produzierten Spike-Proteine, die es nicht geben kann, weil es SARS-CoV-2 auch nicht gibt, dann wäre es also in Ordnung, wenn diese „Impfungen“ vom Graphenoxid befreit an die Bevölkerung verabreicht werden?  Aber selbstverständlich: Ohne die Existenz von Coronaviren braucht es auch keine Impfung gegen Coronaviren. Aber falls es diese doch geben sollte, müsste es dann doch eine Impfung geben, selbstverständlich ohne Graphenoxid? Aber mit Corona-RNA zur Erzeugung von Spike-Protein? Wäre das dann ungefährlich?  Und was haben die Virologen dann in Wuhan in die Welt gesetzt mit ihrer „gain of function“ Forschung, wenn es das, was sie da freigelassen haben, gar nicht gibt?  Wie es aussieht, haben die Leute wieder einmal einen alleinig „Schuldigen“ für ihr Dilemma identifiziert, in diesem Fall Graphenoxid. Hier wird die Erklärung für angeblich viele Symptome und Ereignisse auf eine einzige chemische Substanz reduziert, die, wenn es wirklich so wäre, geradezu allmächtig sein müsste.

Übrigens: Wenn Sie solche Informationen interessieren, dann fordern Sie unbedingt meinen kostenlosen Praxis-Newsletter dazu an:

 
  So, oder so ähnlich, sieht derzeit dei Berichterstattung zu Graphenoxid aus.  Das bringt uns zu nächsten Frage:

Was ist Graphenoxid?

Graphenoxid ist ein wabenartig geformtes Gitter aus Kohlenstoffatomen, welches mit sauerstoffhaltigen funktionellen Gruppen ausgestattet ist. Die Partikelgröße liegt zwischen 5-20 Mikrometern und kann durch Nachbehandlung auf den Nanobereich[vii] reduziert werden. Ers stellt sich fast reflexartig die Frage, ob Graphenoxid mit biologischen Strukturen kompatibel ist, besonders wenn es als Nanoteilchen vorliegt. Und hier gibt es bei der Frage der Toxizität leider keine guten Nachrichten.  Eine im Jahr 2016 aus China erschienene Studie[viii] untersuchte die Toxizität von Graphenoxid und Graphen-Derivaten bei biomedizinischen Anwendungen. Sie beschreiben hier, dass Graphen-Nanoteilchen unterschiedlich toxisch wirksam sein können in Abhängigkeit von der Darreichungsform.  Sie sind dann in der Lage, physiologische Barrieren zu überwinden, verteilen sich in den Geweben und penetrieren Zellen. Diese Nanoteilchen sind in verschiedener Weise toxisch wirksam. So können sie Zellen und Gewebe zerstören, oxidativen Stress auslösen, die DNA schädigen, chronische Entzündungsprozesse sowie Apoptose und Autophagie einleiten und so weiter.  Bei Inhalation von Graphenoxid oder Graphenderivaten werden die Mikrostrukturen und die biophysikalischen Eigenschaften von Surfaktant in der Lunge zerstört und damit die alveo-kapillare Barriere zwischen Lunge und Blut zerstört. Und auch die Flimmerzellen des Oberflächenepithels des Atmungstrakts (Zilien), die die Selbstreinigung der Bronchien durchführen, werden durch die Anwesenheit von Graphenoxid lahmgelegt.  Durch das Passieren der alveo-kapillaren Barriere reichert sich die Substanz in Milz und Leber an. Das heißt für die Praxis, dass eine „Impfung“ über die Inhalation von Spike-Protein-produzierenden mRNA-Partikeln inklusive Graphenoxid hier ebenso toxisch zu sein scheint wie die bislang übliche intramuskuläre Injektion (vorausgesetzt die Injektionen enthalten wirklich Graphenoxid).

Die Blut-Hirn-Schranke scheint ebenso kein großes Hindernis für Graphenoxid zu sein. Untersuchungen haben gezeigt, dass Graphenoxid-Nanopartikel in der Lage sind, kleinste Ritzen und Öffnungen zwischen den Endothelzellen zu nutzen, um diese Schranke zu überwinden.

Und die ganz kleinen Nanopartikel von unter 100 Nanometern passieren nahezu ungehindert. Allerdings gibt es noch keine häufigen Berichte, denen zufolge die Überwindung der Blut-Hirn-Schranke zu neurotoxischen Erscheinungen geführt hat.  Die Plazenta stellt keine sichere Barriere gegen den Übertritt von Graphenoxid-Nanopartikel dar. Die diesbezüglichen Arbeiten haben gezeigt, dass die Substanzen nicht nur übertreten und sich im Fötus verteilen, sondern auch dessen Entwicklung negativ beeinflussen.

In inneren Organen kann Graphenoxid akute Entzündungsprozesse entfachen. Dies kann ebenso zu chronischen Schäden führen, da die überschießenden Entzündungsreaktionen normale physiologische Funktionen von Organen behindern.

Daten für eine mögliche Toxizität im ZNS scheint es zum damaligen Zeitpunkt kaum gegeben zu haben. Die Autoren erwähnen Untersuchungen an Hühnerembryos, wo man bei der Zufuhr von Graphenoxid Veränderungen in der Ultrastruktur der Gehirne hat feststellen können.  Bei den Fortpflanzungsorganen gibt es seltsame Unterschiede in der Toxizität zwischen den Geschlechtern. Im männlichen Reproduktionssystem scheint es keine Akkumulation der Substanz zu geben und damit auch keine Funktionseinschränkungen.  Allerdings gilt dies nur für Mäuse. Bei den weiblichen Mäusen dagegen kommt es zu Komplikationen, wenn die Substanz in einem fortgeschrittenen Stadium der Schwangerschaft gegeben wird. Ein Großteil der schwangeren Mäuse starb oder deren Nachkommen zeigten auffällige Entwicklungsstörungen.  Eine neue Studie[ix] (Juni 2021) von Wissenschaftlern aus Marokko und Bangladesch beschäftigt sich mit der Frage nach der Toxizität der Graphenoxid Nanopartikel in vitro und in vivo.  Wir erfahren hier von den Autoren, dass Graphenoxid momentan zur Behandlung von Krebserkrankungen eingesetzt wird, ferner um Wirksubstanzen im Organismus an Zielgebiete zu liefern und zur Forschung an zellulären Strukturen. Graphenoxid hat verschiedene physikochemikalische Eigenschaften, wie zum Beispiel eine extrem hohe Oberfläche und eine elektrische Ladung.  Jedoch, so berichten die Autoren, hat Graphenoxid einen limitierenden Faktor. Und das sind seine toxischen Eigenschaften auf Zellen und Gewebe. Die Höhe der Toxizität hängt, wie bereits im obigen Beitrag erwähnt, auch von der Applikationsform ab, neben der Höhe der Dosis und der Methode der Graphenoxid-Synthese.

Abschließend ein bemerkenswerter Eintrag bei Wikipedia, englische Ausgabe, zur Toxizität von Graphenoxid. Hier wird vermerkt, dass laut der amerikanischen FDA Graphenoxid und Graphenderivate toxische Effekte in vitro als auch in vivo hervorrufen. Von daher sind diese Derivate von der FDA nicht für den Einsatz beim Menschen zugelassen.

Mein Fazit

Ich denke, dass wir momentan noch abwarten müssen, ob der Verdacht der Anwesenheit von Graphenoxid in den „GMO-Impfungen“ als zusätzlich toxischer Faktor bestätigt werden kann. Es ist in der Tat zu dünn, von einer einzigen Probe weitreichende Schlüsse auf die Gesamtheit dieser Produkte zu machen.  Es gilt also, im Moment diese Sachen genau zu beobachten und zu hoffen, dass noch mehr Analysen dieser Art durchgeführt werden und vor allem genauer durchgeführt werden, sodass die Anwesenheit von Graphenoxid zweifelsfrei bestätigt werden kann.  Ich fürchte allerdings, dass diese Untersuchungen nicht stattfinden werden.  Warum?  Nach über einem Jahr Corona ist es mittlerweile ziemlich offensichtlich, dass dieses Thema ziemlich „geframt“ wird. Kritische Youtube-Beiträge werden gelöscht. Ebenso wird in sogenannten „sozialen Medien“ immer noch fleißig gelöscht und verwarnt, selbst wenn man dieses Thema nur diskutieren möchte.  Beispiel: Warum stellt ein Forscherteam, Monate (!) nachdem der Impfstoff auf dem Markt ist, fest, dass sich beträchtliche Mengen an menschlichen und viralen Proteinen, die in einem Impfstoff befinden, die dort gar nichts zu suchen haben?  Und ebenso kann ich mir vorstellen, dass Graphenoxid in den „Gentech-Spritzen“ vorhanden ist. Sollte dies der Fall sein, dann wäre dies ein eindeutiger Verstoß gegen die Regularien der amerikanischen FDA und somit ein Grund, sofort alle „GMO-Impfungen“ einzukassieren und zu vernichten. Es versteht sich von selbst, dass die Hersteller dann dementsprechend zur Verantwortung gezogen werden müssten.  Es könnte natürlich sein, dass ich mich mit diesen Forderungen bereits im Märchenland befinde. Denn die Verstöße der Pharmaindustrie gegen geltendes Recht sind inzwischen so etwas wie die Tagesordnung[x].  Und von Ahndung seitens der Staatsgewalt konnte bislang nur selten die Rede sein. Die Pharmaindustrie wurde bislang nur medienwirksam zu Beträgen verdonnert, die kaum die Kaffeekasse der Unternehmen belastete, in der Öffentlichkeit aber scheinbar enorm ausfielen.

Von daher würde ich mich nicht wundern, dass auch beim Thema Graphenoxid (wieder einmal) ein Verstoß vorliegen könnte.

Dieser Beitrag wurde am 16.07.2021 erstellt.

Quellen:



10. Renè Gräber aktuell zu Covid



Liebe Leserinnen, liebe Leser,

vorab wieder der kurze Hinweis: es kann sein, dass Sie diesen Newsletter doppelt erhalten. Das liegt daran, dass ich vor allem die web-de und gmx Adressen zu einem anderen Anbieter umziehen musste, da es bei der Zustellung meiner Newsletter seit März 2020 zu Problemen kommt.

Jetzt aber los...

Spätestens seit dieser Woche werden die „Ungespritzen“ eine Menge Einschränkungen hinnehmen müssen. Vor allem die Jugendlichen sind schon am verzweifeln und wollen jetzt die "Spritze". Dabei geht es nicht mehr um Schutz, sondern um die Repressalien und Teilhabe. Das ist es jedenfalls was mir berichtet wird. Ist das die „Neue Normalität“? Arbeitnehmer werden unter Druck gesetzt, weil diese keine Spritze wollen?

Wohlgemerkt: Es gibt keine Pflicht. Alles soll auf Freiwilligkeit beruhen. Wie freiwillig sich das gestaltet sehe ich sehr deutlich.

Aber die „Spritzen“ sollten und sollen es ja richten – immer noch.

Das mittlerweile jeder Experte Zweifel an der Strategie haben sollte, zeigt sich unter anderem am Beispiel Island. Island gehört zu den führenden Ländern in der Welt, die ihre Landsleute nahezu vollständig „geimpft“ haben (75 % voll „Geimpfte“ und knapp 6 % einmal „Geimpfte“).

Damit „schlägt“ Island sogar noch Israel, welches als Hochburg der Gen-Injektionen, hauptsächlich von Pfizer, gilt. Und auch Schweden ist mit einem Gesamtanteil von 65 % relativ weit fortgeschritten. Der große Counterpart dagegen ist Tansania, wo sich nur knapp 0,2 % der Bevölkerung haben „spritzen“ lassen.

Ausführlich dazu:

https://www.yamedo.de/blog/corona-covid-island/

Island und seine Situation ist beinahe der perfekte Ausdruck dessen, was in der Welt der „Spritzen“ gerade abläuft. Alle Versprechungen, dass die „Spritzen“ alles wieder auf die Reihe bringen würden, dass diese schützen, Todesfälle und Infektionen verhindern würden, das alles scheint sich mehr und mehr in dünne Luft aufzulösen - spätestens seit es die Delta-Variante gibt.

Die Isländer sehen dieses Versagen, wollen trotzdem weiter „spritzen“, aber die Immunisierung der Bevölkerung (auch) über die natürliche Verbreitung des Virus erreichen. Wozu dann noch die „Spritze“? Wozu die „Spritze“ für Kinder, die mit Abstand am wenigsten von C- o v - i d betroffen sind?

Es scheint sich eine Ratlosigkeit unter den Gutgläubigen breit zu machen. Und eine Art Hoffnungslosigkeit, die in Island in einem seltsamen Aktionismus mündet. Denn der Glaube an die „Spritze“ ist weit davon entfernt, Berge zu versetzen.

Diejenigen, die von Anfang an sich mit dieser Frage wissenschaftlich beschäftigt hatten, hatten dies bereits vor einem Jahr prophezeit, werden aber bis heute als „Covidioten“ und „Verschwörungstheoretiker“ beschimpft. Mehr dazu:

https://www.yamedo.de/blog/corona-covid-island/

Aber mit den Spritzen wird weitergemacht. Mein Rat: Schauen Sie mal in die Datenbank VAERS. Ich tue das regelmäßig und finde erschreckende Zahlen:

https://freie-impfentscheidung.de/vaers-gentech-nebenwirkungen/

Diese "Dinge" bringen mich zu einer grundlegenden Sache in der Medizin.

Wenn Ihnen eine Therapie angeboten wird, sollten Sie sich folgende fünf Fragen stellen:

1. Ist das Verfahren sicher?

2. Funktioniert das Verfahren? Sprich: „Bringt es was?“

3. Brauchen Sie dieses Verfahren, diese Therapie überhaupt? Beispiel: Sie brauchen keinen Gips am Arm, wenn Sie sich nicht den Arm gebrochen haben. Falls Sie jetzt lachen: ich könnte Ihnen seitenweise Beispiele nennen, wo genau das täglich passiert.

4. Wenn es „Nebenwirkungen“ gibt, stehen diese möglichen Nebenwirkungen im Verhältnis zur Erkrankung? Im Fall des Gips am Arm: Es wäre keine gute Idee, das gebroche Körperteil NICHT ruhig zu stellen. Das leuchtet wohl jedem ein. Die Nebenwirkung des Gips: Muskelabbau und die „Nebenwirkung“ Juckreiz und Allergien, Thromboserisiko, sowie „Schäden“ wenn der Gips nicht richtig angelegt wurde.

5. Führt die Therapie zu einer wirklichen Heilung?

Diese fünfte Frage ist sehr interessant, denn dabei müssen wir darüber sprechen wie Heilung „funktioniert“. Der (meines Erachtens) geniale Arzt Dr. Reckeweg hat dazu bereits von über 50 Jahren ausführlich berichtet.

Im Beitrag: https://www.naturheilt.com/6-phasen-reckeweg/

habe ich die 6 Phasen nach Reckeweg beschrieben. Und dabei geht es auch darum, dass Erkrankungen grundsätzlich ausgeheilt werden müssen.

Ganz kleines Beispiel: Eine fiebrige Erkrankung endet oftmals mit einer Hauterscheinung, wie Schwitzen oder einem Ausschlag. Allerdings nur, wenn der Körper in seiner Heilreaktion gestärkt wird.

Wenn Fieber häufiger “drastisch” gesenkt wird (je nach genetischer Ausprägung) kann daraus eine chronische Krankheit entstehen. Mehr dazu schreibe ich u.a. in meinem Beitrag zum Fieber: https://www.naturheilt.com/fieber/

Für mich ist jedenfalls klar: Wer die Naturgesetze missachtet, wird eines Tages die Folgen sehr deutlich zu spüren bekommen. Damit wäre aus naturheilkundlicher Sicht eigentlich alles gesagt.

Und genau diese "Folgen" sehen wir ja in unserer Gesellschaft sehr deutlich. Die letzten 18 Monate sind da nur die Spitze des Eisbergs. Ein Eisberg, der sich jetzt ganz deutlich zeigt. Aber es wird weiter "Kurs" gehalten...

Ich darf daran erinnern, dass das mittlere Sterbealter der Co v id Patienten immer noch bei 84 Jahren liegt. Die durchschnittliche Lebenserwartung der Deutschen liegt (immer noch) bei 81,25 Jahren.

Bezüglich der C. Problematik kommt es maßgeblich darauf an, dass die Symptome so früh wie möglich behandelt werden! Wie man so etwas macht habe ich ja im Buch „Die biologische Grippetherapie“ beschrieben:

https://www.renegraeber.de/biologische-grippe-therapie.html

Ich kann nur dazu raten, die Mittel die ich darin beschreibe, zu Hause zu haben. Wenn das Immunsystem erst gekippt ist und „überschießt“ wird es schwer. Das mit dem „Umkippen“ hatte ich im letzten Newsletter erwähnt. Das war die Sache mit der TH1 – Th2 – Immunbalance: https://www.naturheilt.com/th1-th2-immunbalance/

Über einen Kommentar zur Sache freue ich mich immer!

Einen Kommentar können Sie wie immer relativ "anonym" abgeben:

https://www.yamedo.de/blog/corona-covid-island/

Sie können zum Beispiel im Namenfeld nur Ihren Vornamen angeben.

Ihre E-Mail-Adresse wird selbstverständlich NICHT veröffentlicht.

Herzliche Grüße,

Ihr

René Gräber

P.S.: Die biologische Therapie der Grippe und grippaler Infekte (inklusive Erkältungen):

https://www.renegraeber.de/biologische-grippe-therapie.html

Die Bedeutung dieses Wissen aus diesem Buch frühzeitig anzuwenden hatte ich weiter oben ja erwähnt.

Eine ganz alte Frage ist doch: Warum sind nicht alle Ärzte gleichzeitig krank? Bei denen sitzen doch die Infizierten? Warum nicht alle Taxifahrer? Busfahrer?

Es müsste doch längst bestimmte Häufigkeiten bei diesen Menschen mit vielen Kontakten geben...

Woran liegt das?

Ihr Immunsystem macht den Unterschied

Ist Ihr Immunsystem fit, dann haben Sie ein Bollwerk gegen Viren und Bakterien.

Zitatausschnitt aus „Die biologische Therapie der Grippe und grippaler Infekte“: „Grippe und Erkältungskrankheiten sind Viruserkrankungen von denen einige Menschen ständig, andere selten bis nie betroffen sind.

Auch der individuelle Umgang des Körpers mit der Grippe ist sehr unterschiedlich: Manche kämpfen wochenlang mit schweren Symptomen, andere genesen quasi über Nacht, indem sie die Krankheit praktisch im Schlaf „ausschwitzen“.

Und genau darauf kommt es an!

Ich verrate nicht zu viel, wenn ich schreibe, dass mir Menschen aus "Hotspots" der Pandemie geschrieben haben wie diese die Mittel (die ich im Buch beschreibe) angewendet hatten und es dort zu keinen "Fällen" kam...

Und ich untertreibe dabei noch. Ich bin mit solchen "Geschichten" immer sehr vorsichtig - das riecht immer etwas nach "Werbemasche". Mehr will und kann ich dazu nicht sagen - denn, es wird massiv "geframt". Es helfen nur die Spritzen und die Informationen der "öffentlichen Institution". Diese sollen gemäß RKI Chef Wieler auch "niemals hinterfragt werden".

Wenn Sie dennoch Fragen haben, kann ich Ihnen "Die biologische Therapie der Grippe" nur empfehlen. Und Sie sollten alle Informationen in diesem Buch hinterfragen! Glauben Sie mir kein Wort. Prüfen Sie es selbst. Bitte.

https://www.renegraeber.de/biologische-grippe-therapie.html

P.P.S.: Wenn Sie einmal keine E-Mail mehr erhalten oder (nur) ihre E-Mail-Adresse ändern möchten, dann klicken einfach Sie hier unten auf den Link:

https://rene-graeber.de/unsubscribe.html?x=a62e&m=Jw9ip&mc=O&s=ErTr7W&u=v9&z=aylpvMl&






All meinen Freunden ein gesundes neues Jahr 2020



Ja das Jahr ist so gut wie herum und Ihr werdet Euch gefragt haben was ist

los mit Peter?  Ja ich habe mich etwas zurück genommen, weil Begeisterung habe 

ich nicht geerntet, sondern im Gegenteil Gegenwind. Im November 2018 kam ich auf

6000 Nutzer / Monat und plötzlich funktionierte die Statistik nicht mehr

-> Faule Ausreden der Telekom, tja und dann fand ich heraus, dass google so tat als wenn

sie mich nicht kennen und bei "Hello Engines", wo ich schon vordere Plätze belegt habe,

bekam ich plötzlich so um die 16% , also letzter Platz, oder ähnlich.

Meine 30 Suchbegriffe, die kannten lediglich nur noch  Frankreich, Italien und Russland!

Tja und wer sucht schon nach aisopos-gesundheit.de?

Eigentlich ist www.peter-gesundheit.com meine Suchseite, jedoch mit 

www.aisopos-gesundheit.de komme ich auf 200 - 600 Besucher, obwohl es die gleiche 

Seite ist, jedoch die Statistik behandelt die Peter-Seite gar nicht!-> Armleuchter!


Ich habe festgestellt, alles was heute der Gesundheitsminister und seine Dr. Mengeles

aushecken schadet den Menschen. Sei es vergällte Impfstoffe und Medikamente

und das das Ausschlachten der Menschen.

Jedes Organ im Körper hat seine dem Besitzer genau angepasste Funktion und wenn

man eine Niere spendet, dann kann die verbleibende maximal 250 ml Harnsäure/Tag

ausscheiden. Weiterhin erzeugen die Nebennieren Cortisol, Adrenalin und Noradrenalin

und wenn das nur noch zur Hälfte zur Verfügung steht, was dann da freut sich der Psychiater, denn man ist nur noch seelisch halbstabil.

Und der, der das Organ empfängt, da funktioniert  doch die Nebenniere gar nicht mehr,

wie will der Chirurg das an ein fremdes Körperdrüsensystem anpassen???

Meine besten veganen Menus liegen um die 300 ml Harnsäuer/Tag, tja 

und die Misch-Köstler die liegen weit über 500 bis 700 ml Harnsäure/Tag.

Die Body-Shaperin Inna Nauroth, die futtert bis zu 1,5 Kg Hähnchen-Fleisch/Tag, das bedeutet etwa 2600 ml Harnsäure am Tag. Nun überlegt einmal selbst was da passiert!

Tja und als ich im Mai diesen Jahres von 2 Rettung-Sanitätern und 3 Polizisten regelrecht

in meiner Wohnung überfallen wurde, mit Dormicum niedergespritzt und in

der Psychiatrie 9 -Punkt gesichert aufwachte, habe ich mir gesagt, wofür habe ich mich

jetzt 7 Jahre eingesetzt? Wenn die Hygieia mich nicht befreit hätte  was dann???

Gut "Mutter Erde" wird die ganzen Verbrecher hier in Deutschland und auch auf der

Welt entsprechend richten, da bin ich mir völlig sicher, jedoch ich wollte nicht so lange warten und deren Schaden begrenzen. Ist aber Aussichtslos!!!

Nun gut in Russland, Italien und Frankreich wird sich bestimmt etwas ändern, denn

zum Beispiel die Italien die haben ihre Mama`s sehr lieb schwören auf sie und lassen

sie nicht in der Psychiatrie, oder im Altenheim verrecken.

Und ich denke einige Paten werden aufwachen und den Medizinern Einhalt gebieten!

Von den Regierungen erhoffe ich mir NICHTS, außer vielleicht in Russland.

Ja der Kim ist auch schon vorsichtig geworden mit Nahrungshilfe aus Südkorea,

gut so, denkt an die Chemischen Waffen mit Langzeit-Zünder!


In den 8 Jahren meiner intensiven Recherchen ist ist mir lediglich gelungen eine

einzige junge Ärztin zu begeistern:






Die "Peter-Diagnose", wie eine Sniper Ziel genau einsetzen und Leben retten!

Besser konnte ich das nicht verdeutlichen, wenn man einem jungen Menschen etwas beibringt, was Ziel genau einschlägt wie die Kugel einer Sniper!

Ja aber der Hygieia habe ich als "Peter der Profi", wie Leon der Mathilda die "Peter-Diagnose"

beigebracht und nun kann ich mich zurückziehen, sie wendet das erfolgreich an, denn

mich hat sie vollkommen gesund bekommen.

Ich nenne mich jetzt Asklepios und sie ist mein Töchterchen Hygieia.

Noch nie hatte ich eine so große Freude im Leben verspürt einer so interessierten

jungen Frau etwas von meinem 12 Jahre mühsam erarbeitet Wissen zu vermitteln.

Es ging mir wie Leon!!!


Wisst Ihr was mich aufregt, das unsere junge Greta-Jugend dumm wie Stulle ist,

wie "Harry das Brot!" Aber egal, wie sagt Angela immer: "Weiter so!"


Tja Generalissimo Josef Stalin hatte es erkannt:"Die Ärzteverschwörung!"

Langsam glaube ich das da alle Staaten mitmischen und das aufzudecken Chancenlos

ist, aber Versuch macht klug!



Ein Freund des WikiLeaks-Gründers Julian Assange hat zu Heiligabend mit dem inhaftierten Journalisten telefonieren können. In einem Interview mit RT berichtet er, dass Assange kaum wiederzuerkennen und durch Medikamente betäubt zu sein schien.


Das ist Körperverletzung, oder Totschlag vom Feinsten, staatlich geduldet, ich vermisse hier

die Grünen, den Özdemir, oder die auf den Kopf gefallene Annalena Bearbock!

Nichts nur klug scheißen!



So ging es mir ebenfalls, denn auch die Mediziner mögen es nicht wenn man sie 

beim ganz legalen Töten stört, das ist eigentlich viel, viel brisanter als alles was der Edward Snowden mit seinen Geheimdienstberichten und der Julian  aufgedeckt hat, jedoch hier traut sich ein Insider kaum das öffentlich zu machen.

Die Briten sind für mich ein so primitives Volk, die denken wirklich man kann die Wahrheit verschleiern oder auslöschen.

Jedoch beim boykottieren, oder Gegenforen bilden, oder beleidigen, da ist unser Staat

dermaßen kreativ, was ich schon pervers finde.


Habe heute die neue Ausgabe des KOPP-Verlag studiert und festgestellt:


"Ein guter Mensch zu sein ist out!"



1. Hypothese Verhältnis Zeitdauer Telefonieren mit Smartphone    

    und zerstörter Synapsen,   bzw. Neuronen

Das habe ich noch einmal an Stelle 1 gesetzt, weil es hochbrisant ist und ich 

noch keine Lösung gefunden habe dem zu entgehen.


Ich analysierte bereits, dass die Pharma- Industrie in die Psychopharmaka, Fluor, 

Chlor und Schwefel einbauen und damit die Natrium- und Kalzium-Ionen-

Kanäle der Synapsen zerstören. Ebenso bringt ja die 2-, 3-, 4-, 5-G 
Handystrahlung, ebenso wie das WLAN die Ionen-Kanäle
ebenfalls zum Schwingen und Austrocknen. Ich habe nur noch 
keinen Zusammenhang zwischen Zeitdauer der Belastung, Höhe 
der Belastung und Anzahl der zerstörten Synapsen der Neuronen
gefunden. Ebenso fehlen mir Studien, wie lange es dauert bis ein Flour-,
Schwefel-, oder  Chlor-haltiges Medikament das dopaminerge, oder die 
anderen Botenstoffsysteme so sehr geschädigt, bis sich Anomalien,
wie zum Beispiel das Restless Legs-Syndrom  manifestiert haben.
Ich wollte erst einmal eine Hypothese aufstellen.
Meines Nachbars Frau ca. 33 Jahre ist etwa seit 5 Jahren dem WLAN 
auch des Nachts ausgesetzt. Sie schläft etwa 0,8 m  vom Router entfernt 
und ich schätze mit etwa > 1500 Mikrowatt/m² ca. ist sie insgesamt/Tag
so etwa 12 h/ Tag ausgesetzt.
Sie hat des Restless Legs Syndrom, das heißt ihre Präsynapsen 
produzieren kein Dopamin mehr, die Versikel sind leer. 
Nun hat man ja mehr als  300 Milliarden Synapsen.
Nun müsste man wissen wie viele Präsynapsen den Botenstoff 
Dopamin  erzeugen und ab wie viel defekter Präsynapsen dieses 
Phänomen auftritt  und ob es irreparabel ist. Man könnte jetzt sagen 
wir haben etwa 10 wichtige Botenstoffe, also 30 Milliarden/2 gleich
15 Milliarden Präsynapsen sind für das Dopamin zuständig welches 
dann über den synaptischen Spalt an den Rezeptoren der Postsynapsen 
andockt und das Prolaktin vorher verdrängt. Nun müsste man den 
Bereich am eingrenzen, wo zum Beispiel das Handy gehalten wird, 
oder von der Seite der Router wirkt. Ab so 2500 Mikrowatt/² beginnt
der Bereich der Mikrowelle, also 2,5-G, ab da müsste richtig ein 
Schaden passieren. 15 Milliarden Präsynapsen, also der Teil seitlich 
noch einmal auf 1/5 reduziert, also 3 Milliarden Präsynapsen/
5 Jahre/ 365 Tage/Jahr/12h  Belastung am Tag/60 Minuten/h
= 2283 Synapsen/Minute!
Diese Zahl müsste man noch genauer beschreiben, weil ich laut der 
Zeichnungen von etwa 2 Präsynapsen und 2 Postsynapsen pro Neuron
ausgegangen bin. Jedoch egal wie viele das in der Realität sind es 
ging mir lediglich erst einmal um eine sinngemäße Darstellung, bzw. 
Überlegung!

In meiner "Peter Diagnose" bekommt der Patient erst einmal 6 Minuspunkte, wenn er

überhaupt ein Smartphone nutzt und wenn er es wie unsere Jugendlichen Dauer nutzt bekommt derjenige nochmal 6 Minuspunkte.



2. Hier ein hochbrisanter Beitrag des Heilpraktikers

       Renè Gräber

Liebe Leserinnen, liebe Leser,
In der Praxis betrachte ich Umweltgifte als einen krankmachenden Faktor ersten Ranges.
Und einen wichtigen Platz nehmen in der Praxis die Verfahren der Entgiftung und Ausleitung ein. Denn eines ist klar: Wenn man wirklich "ganzheitlich" arbeiten will, dann muss man sich den Giften widmen.
Insgesamt versprühen Landwirte jährlich rund 30.000 Tonnen Pestizide auf deutsche Äcker, Obst-Plantagen, Weinberge, Wälder, Wiesen und Weiden.
Zunehmend zeigt sich eine Tendenz hin zum Einsatz mehrerer Pestizide auf einer Produktionsfläche. So sprühen Landwirte bis zu 22 Mal pro Wachstumsperiode ein wahres Gift-Cocktail auf ihre Apfel-Plantagen.
Je mehr Mittel angewandt werden, umso niedriger ist oft die Dosierung. So vermeiden die Produzenten die Überschreitung der Grenzwerte.
Was für den „Laien-Verbraucher“ erst einmal positiv klingt, birgt aber Gefahren: Die Toxine können sich nämlich gegenseitig in ihrer Wirkung auf den Menschen verstärken:
https://www.gesund-heilfasten.de/blog/pestizide-vielfalt/ <https://www.gesund-heilfasten.de/blog/pestizide-vielfalt/>
Im Beitrag finden Sie zu Beginn auch gleich Artikel von mir, die sich mit der Entgiftung beschäftigen.

Gerade hier beobachte ich eine riskante Sorglosigkeit aller Beteiligten mit unserer Gesundheit!

Das wird uns massiv auf die Füsse fallen! Ich pendle häufig die Nahrungsmittel aus, denn aus

bestimmten Regionen ist das ganz schlimm, ich merke das sofort an allergischen Reaktionen.

3. Weiterer Bericht von Renè Gräber

Liebe Leserinnen, liebe Leser,
nur noch 60 Ernten weltweit. Dann ist angeblich Schluss.
Das klingt wie ein Szenario aus einem Weltuntergangsfilm.
Das Erschreckende daran ist, diese Aussage kommt von den Vereinten Nationen:
https://www.gesund-heilfasten.de/blog/boden-burnout-noch-60-ernten/ <https://www.gesund-heilfasten.de/blog/boden-burnout-noch-60-ernten/>
Dabei wäre dieses Problem zu lösen!
Aber daran scheint unsere kommerzielle Agrarindustrie keinerlei Interesse zu haben.
Herzliche Grüße und Alles Gute für das Neue Jahr!
Ihr
René Gräber
P.S.: Seit 2018 gibt es eine Publikation mit mir: "Natürlich Gesund mit René Gräber". Diese können Sie jeden Monat direkt nach Hause geliefert bekommen!
Mehr Informationen zu diesem Angebot finden Sie HIER <https://www.gesundheitswissen-shop.de/nrg-18-19-bestell/?wkz=NRG5618>.
Wenn Sie das interessiert, schauen Sie sich das mal an. Zum Beispiel stelle ich in "Natürlich Gesund mit René Gräber" auch Übungen vor, die ich meinen Patienten zeige oder nenne zum Beispiel auch Produkte, die ich selbst nehme oder meinen Patienten empfehle.
Hier gibt´s mehr Informationen dazu (HIER KLICKEN) <https://www.gesundheitswissen-shop.de/nrg-18-19-bestell/?wkz=NRG5618>.
Das Ganze bringt übrigens der FID Verlag heraus. Ich schreibe "nur" und bekomme ein Autoren-Honorar.
P.P.S.: Wenn Sie einmal keine E-Mail mehr erhalten oder (nur) ihre E-Mail-Adresse ändern möchten, dann klicken einfach Sie hier unten auf den Link:
https://app.getresponse.com/unsubscribe.html?x=a62b&m=3TB5M&mc=C2&s=xIfI1C&u=93&y=f&z=EGN0ICN&


Hufenweg 24, Preetz, SH 24211, Germany
Sie können den Newsletter jederzeit abbestellen <https://app.getresponse.com/unsubscribe.html?x=a62b&m=3TB5M&mc=C2&s=xIfI1C&u=93&y=f&z=ECk2yxZ&pt=unsubscribe> oder Ihre Kontaktdaten ändern <https://app.getresponse.com/change_details.html?x=a62b&m=3TB5M&s=xIfI1C&u=93&y=Q&z=EhW9tsy&pt=change_details>.
<https://app.getresponse.com/referral.html?x=a62b&c=BL6de&u=93&y=R&z=EEvEFjw&>

4. Schreck am Sonntag-Nachmittag 23.02.20



Hallo Dr. Kelly!

 

Ich wohne in einem Mietshaus mit 50 Familien.

Das Haus hat 5 Stockwerke und hat etwa 10 m x 50 m Grundfläche.

Im Wohnhaus sind seit 3 Monaten etwa 350 5G Rauchmelder von

der Firma Brunata, Typ "Star" verbaut.

Ich habe die in Starfighter umbenannt!!!

Gestern sonntag um 16:00 Uhr MEZ, alamierte mich mein

Elektrosmokeanalyser. Überall in der Wohnung auf dem Balkon und

bis 50 m vom Haus entfernt ware auf der Skala 1300 bis 2000 Mikroatt/m² abzulesen.

Ich habe meine Wohnung gegen Handystrahlung abgeschirmt, jedoch die Signale,

kamen auch durch den Fussboden vom Mieter unter mir.

Ich hatte ein silberdurchwirktes T-Shirt und eine Mütze auf, hat nichts genutzt ich habe

mir die Jacke übergezogen und bin raus im strömenden Regen und in den Wald da war 

Elektrosmoke =Null.

Das Wohnhaus war plötzlich wie eine riesige 2 bis 5G Antenne.

Tja nun werde ich immer wenn die anfängt Signale zu senden flüchten!

 

Liebe Grüße Peter

 

Nachtrag:

Ach am 5.03.20 um 20:45 Uhr bis 21:05 das gleiche Spiel, diesmal waren alle Blöcke in meiner Umgebung, also 6 x je 350 Rauchmelder zu Gange, also 2100 Stück und ich rannte im Abstand von etwa 20 m um das gesamte Areal und überall draußen so ca. bis 1900 Mikrowatt/m².

Meine Nachbarin über mir muss noch WLan- Verstärker haben ich habe fast die halbe Decke abgeschirmt und trotzdem kommen da zeitweilig bis 600 Mikrowatt/m² durch.

Die junge Frau unter mir auch! Bin nur noch in der Küche halbwegs sicher!

Naja dann koche ich den ganzen Tag!



Ach am 12.03.20 eine Antwort von Brunata17:35 bis 17:50 Uhr 15 Minuten lang

1400-2000 Mikrowatt/m²!

Sonderzulage für Peter!!! 

  

-----Original-Nachricht-----

Betreff: Your purpose will bring prosperity � [Free Workshop]

Datum: 2020-02-23T14:02:26+0100

Von: "Kelly Brogan MD" <donotreply@kellybroganmd.com>

An: "Peter Gutschmidt" <aisopos@t-online.de>

 

 

 

Hello Dr. Kelly! 

I live in a tenement with 50 families.

The house has 5 floors and has a floor area of approximately 10m x 50m.About 300 5G smoke detectors from

built by the company Brunata, type "Star".

Yesterday on Sunday at 4:00 p.m. CET, I warned me

Elektrosmokeanalyser. About everyone in the apartment on the balcony andup to 50m from the house would be read on the scale 1300 to 2000 microatt / m².

I shielded my apartment from cell phone radiation, but the signals

also came through the floor from the tenant below me.

I had a silvery t-shirt and a hat on, didn't use anything I did

I put on my jacket and was out in the pouring rain and in the wood Electrosmoke = zero.

The house was suddenly like a huge 2 -5G antenna.

Well now I will always flee when it starts sending signals! 

Greetings Peter

5. Organtransplantation

Ich habe festgestellt, alles was heute der Gesundheitsminister und seine Dr. Mengeles aushecken schadet den Menschen. Sei es vergällte Impfstoffe und Medikamente und das das Ausschlachten der Menschen. Jedes Organ im Körper hat seine dem Besitzer genau angepasste Funktion und wenn man eine Niere spendet, dann kann die verbleibende maximal 250 ml Harnsäure/Tag

ausscheiden. Weiterhin erzeugen die Nebennieren Cortisol, Adrenalin und Noradrenalin und wenn das nur noch zur Hälfte zur Verfügung steht, was dann da freut sich der Psychiater, denn man ist nur noch seelisch halbstabil. Und der, der das Organ empfängt, da funktioniert  doch die Nebenniere gar nicht mehr, wie will der Chirurg das an ein fremdes Körperdrüsensystem anpassen??? Meine besten veganen Menus liegen um die 300 ml Harnsäuer/Tag, tja und die Misch-Köstler die liegen weit über 500 bis 700 ml Harnsäure/Tag. Die Body-Shaperin Inna Nauroth, die futtert bis zu 1,5 Kg Hähnchen-Fleisch/Tag, das bedeutet etwa 2600 ml Harnsäure am Tag. Nun überlegt einmal selbst was da passiert!

6. Kleiner Scherz


Ach noch ein Witz, die Chinesen wollen unbedingt größer werden, deshalb machen 

die Viehzucht ohne Ende und saufen Milch ohne Ende. Tja größer werden sie vom 

Kuh Somatropin 3-4 Fach, aber auch so doof wie wir und so fett und unbeweglich und 

vor allem krank, schön krank,Krebs und Diabetis, das wird gut für den Arzt und den Apotheker!


7. Die neue Szene 8. komplett


    8. Szene Spartakus und die Eliteeinheiten wollen   Scientologynix und Ende des Gehirns im     Collonossum und im Bundestag und in   der Welt aufhalten!

Diese Szene habe ich eingeschoben, weil freies WLAN, G5-Masten
und G5 Gerätschaften, wie Rauchmelder speziell von den
   Scientologynix dazu benutzt werden Alpha-, Beta- Theta- und    Deltawellen zusätzlich aufgesetzt werden, um in Krankenhäusern,  Psychiatrien, öffentlichen Einrichtungen, und Wohnungen Menschen   zu beeinflussen, sie zu  schädigen, ihren Schlaf zu rauben, um    letztendlich ähnliche  Schädigungen zu erreichen, wie mit den    Psychopharmaka der  Psychiatrix.Peternix hat dazu die letzten schlag-  kräftigen Männer, die Eliteeinheiten weltweit zur Vereinigung aufgerufen,  da sie bei Heimkehr und in der Zivilisation gnadenlos ebenfalls  schleichend beseitigt werden, speziell bei PTS durch die Psychiatrix.  In den USA bekämpfen sich Scientologynix und Psychiatrix, hier in    der EU scheinen sie eine unheilvolle Allianz eingegangen zu sein.
Weiterhin hat Peternix-Spartakus erkannt, dass wenn niemand in
   diese negative Entwicklung eingreift, das Schicksal der Menschheit   besiegelt ist-> "Das vorzeitige Aus!"
Arena des Collonossums, Platz um den Bundestag!
Darsteller:
Spartakuss, Peternix in neuer Hauptrolle
Muskulus als Somatotoprin auf Milchbasis
Humungus als IGF-1 auf Milchbasis
Romantix als Dopamin und adipöser Milchtrinker
Obstinatus als mTor, auf Milchbasis
Doktor Mabuse-Endokrinologe (Vielverdruss),
arbeitet anonym in der Hypohysen-Arena
Locusta- Giftmischerin aus Rom-Herzigen- Steroidlieferantin
hat seit Brutus Tod an Bedeutung verloren, schmuggelt aber ihre
Steroide ein!
1 Milchkuh als Milch- und damit 3-4 Fach Arginin-Lieferant
Fleisch in Massen
Getreide bekommt man wieder!
Freilandleitungen,
- 5 G Rauchmelder
- Wlan,
- Smartphone
  - Router
- 15.000 den Tod eher bringende Medikamente
Body-Builder -Gladiatoren:
Iron-Mike hilft Dr. Kellynix beim Überzeugen seiner Jungens
Joshua, als Schwergwichtsboxer
Dr. Kellynix als rettender Engel der dem Tod Geweihten
Spartakus(Peternix), als Germanen-Fingerdreher und -brecher
Barnibix, als Germanen-Armdrücker mit Urkraft
Zwei Kräuter-Hexchen aus Germanien
  Scientologynix als EMF-Wellenschleuder  Psychiatrix als Pillendealer  Dr. Annettix als Retterin der Zukunft mit ihrer Arbeits- u.    Lebenswissenschaft, gemeinsam mit Peterxix
Angelanix Germanien
Kimix Koreanien
Wladinix Russanien
Donaldix Amerikanien
  Xi Jinpinix aus Chinesien
Am Ende der 7.1. Szene  läuft, das schleichend vergiften der
   Völker,scheinbar unbemerkt an den 4 Colonlöchern vorbei, die    Macht der Mediziner ist Grenze los geworden, sie machen    einfache Menschenzu psychisch Auffälligen, lassen diese durch  die Staatsgewalt in ihre Hände bringen und dann beginnt ihre    Gewalt, vor der es kaum Entrinnen gibt.
Der Rat von Sybillen, der Pythias, oder zum Druiden gehen,
um sich seine Schandtaten wenigstens absegnen,oder davon
abraten zu lassen, ist nicht mehr Inn, der Rat eines alten Meister,
der wird in den Wind geschlagen.
Es ist das totale Chaos des Bösen, der Zauberlehrlinge, entstanden
und niemand bedenkt die Folgen!
Die Länder Germanien, Koreanien,
Amerikanien und Russianien, da hat bis auf Koreanien,
wo sich Kimix verzweifelt mit Atompfeilen wehrt, die gleiche
Zerstörung des Lebens der Menschen und der Natur begonnen!
Angelanix, ist Macht los, sie zittert, aber nicht vor Angst, sondern
durch G5- und WLAN-Auswirkungen, Wladimix, ist der
ehrlich Ahnungslose unter den Vieren, jedoch irgend wie lässt
er in Russland, teils ungewollt, diese Entwicklung nicht zu.
Donaldix wähnt sich als Klügsten unter den Vieren, ist er aber
  nicht, er schlägt wütend um sich, sanktioniert und droht, hat aber
die ganze Situation gar nicht erfasst, oder er ahnt wenn er die
Mediziner stoppt dann ist Amerika am Ende, weil dort nur
noch Krieg an den Völkern, oder Krieg der Mediziner am eigenen
Volke die größten Einnahmen bring!
Der Westen hat keine Visionen mehr, keine Drang zum besseren,
wie im fernen Asien der Xi Jinpingnix mit der Vision der friedlichen
alles umhüllenden und schützenden, friedlichen Seidenstraße.
  Peternix hat bemerkt, dass in Deutschland sich die Psychiatrix und  die Scientologynix unterschwellig vereinigt haben und EMF-Wellen  schon überall in den Krankenhäusern, Psychiatrien und Wohnungen,  sogar öffentlichen Einrichtungen, wie auch Bus, Bahn,    Kaufhäusern, Flugzeugen und sogar E-Autos zum Einsatz bringen
Die Prozesse an den Synapsen, der Hypophyse und in
Coloniens, laufen auf Hochtouren, Dr. Mabuse
Vielverdruss arbeitet immer noch der Anweisung Brutus
gehorchend mit Steroiden.
Dem Arzt aus dem Abendland mit seinen 15.000 Medikamenten,
gesellen sich immer mehr Vielverdrusse, also Zauberlehrlinge,
mit Null Ahnung und vielen Schaden bringenden Ideen und
Substanzen und die Dr. Marbuses und Mengelesnix, die haben
Proben mitgebracht und er rühren, quirlen und mixen, oder
schneiden die Auswirkungen an Körper, Drüsen und den inneren
Organen gnadenlos weg, mit verheerenden Folgen.
Locusta- Giftmischerin aus Rom-Herzigen- Steroidlieferantin
hat seit  Brutus Tod an Bedeutung verloren, schmuggelt
aber ihre Steroide weiterhin ein!
In ganz Colonien breiten sich aufgrund, des hohen Arginin
Gehaltes der Milch, dem Fluorid im Trinkwasser, welches
   laut Angaben 0,27 mg/Liter sein soll, aber im Ist 2 mg/Liter    beträgt, des hohen Fleischkonsum, des rationierten Weizen    und nun auch noch der frei verkäuflichen Dopingmittel    Krankheiten, die es vorher nie gab rasant aus!
Die Einnahmen für den Staat und der Mediziner gehen
   ins Unermessliche! Die Sterbequote steigt und steigt!
Die Rauchmelder mit 5 G Signal die man den Leuten
   verordnet hat tun ihre Wirkung und deren Gehirne dampfen  langsam ein. Die alle 100 m 5G Antennen, machen auch    den Aufenthalt im Freien sehr gefährlich und hier will    Spartakus eingreifen,denn das mittlerweile in Deutschland  auf 600.000 Mann angewachsene Obdachlosen Heer,    gilt es zu schützen,
die Zahlen in Italien werden geheim gehalten!
  Colonien fühlt sich betrogen, denn von ihnen gehen    die Alpha-, Beta-Delta- und Thetasignale aus die den    gesamten Nährstoffkreislauf auslösen, denn die    Scientologynix scheinen diesen Markt für sich entdeckt    zu haben um die  Psychiatrix auszuboten. Leider haben  sie nicht bedacht, dass ihre Technologie die Menschen    und die Natur ebenso zerstört  wie die Pillen der  Psychiatrix. Die scheinbare Allianz der Psychiatrix mit den    Scientologynix ist trügerisch, weil die Scientologynix überall  in den Sprechzimmern der Psychiatrix ihre verheerenden    Rauchmelder gleich mit eingebaut haben, um die Psychiatrix  schleichend zu beseitigen. Immer mehr Idioten umzingeln uns!
Tja ansonsten richtete das Fluorid die Gehirne und
Därme der Bewohner im Imperium zu Grunde, es
liefen nur noch Blödmänner herum, ohne
eigene Meinung, an Krücken laufend, deren Knochen
beim geringsten Sturz wie Glas zersplitterten!
Neuroleptika, oder Antidepressiva sind mit Fluor,
Schwefel, oder Chlor versetzt damit das Synapsen sterben
schneller geht! Die Natrium- und Kalzium-Ionen-Kanäle
der Synapsen versiegen langsam, wie die Füße auf der
Erde mit ihrem Leben spenden Nass und den Mineralien
und dem fruchtbringenden Boden!
Die Reichen lassen sich selbst nur noch Wasser aus einer
unterirdischen Quelle, Südcoloniens herbei schaffen!
Tja wenn man solche Dinge einmal ins Leben gerufen,
dann lassen die sich nicht mehr aufhalten, denn plötzlich
wird das ein Selbstläufer und so viele Leute verdienen
ihr Geld am  Unglück der Anderen!
Ein Gewissen hat niemand mehr, denn heute ist es 
so gut wie jedem Arzt, fast jeder Krankenschwester egal,
was dem Patienten widerfährt.
Am Horizont taucht Spartakus(Peternix) auf um zu helfen.
Dr. Kellynix und auch zwei Kräuter-Hexchen aus Gemanien
  lässt die Entwicklung nicht kalt und so schöpft Spartakus
Hoffnung, dass sein friedlicher Plan gelingt!
  Eine der Hexchen, Dr. Annettix, hat eine neue Heilmethode    für die Psychiatrix erfunden, die Peternix Hoffnung schöpfen    lässt, dass sich alles zum Guten wendet.
Die Leute sind so schwach und dezimiert, dass Wettkämpfe
eigentlich kaum noch statt finden, bis auf den kleinen
neu Wettkampf, der aber sehr abgespeckt ist!
Peternix und Barnibix haben sich diesmal beschlossen die
  Eliteeinheiten der Welt zu vereinen, denn friedlich geht leider  schon lange nicht mehr, man muss Druck auf die Obrigkeit  ausüben. So fällt diesmal das Fingerdrehen und Armdrücken,
wegen des Ausscheidens der Germanen aus!
Somatotoprin-Muskulus hat im Ringen keinen Gegner, weil
Dolf das Land verlassen, also nahm er lediglich am Laufen
  teil! Dopamin- Romantix, macht noch ein wenig
Show-Pferderennen, weil es gibt keinen Gegner mehr!
Papa König Aderlass, hat das Land in Richtung Russland
verlassen und steht unter dem Schutz von Wladimix.
Ebenso sein Töchterchen die Serotonin-Prinzessin Irina,
seiner Tochter.
Dopamin-Romantix ist zu träge, er schläft überwiegend
in den Versikeln der Postsynapsen und wenn er zum
Einsatz im präsynaptischen Spalt kommt, wird er weiter
von Prolaktin-Humungus regelmäßig verdroschen!
Adrenalin-Asterix und Dopamin- Obelix sind wieder in
Gallien. So kam der Tag des neu-Wettkampfes in der 
Body-Builder-Arena des Colonosseums und das Schicksal
nahm seinen Lauf!
Es war ein zwei tägiges Spektakel und der Höhepunkt, den
merkt keiner mehr alle sind nervlich so geschwächt durch
die ständigen Rauchmelder-Signale, die Wlan-Router,
tausende die mit ihren 5 G Smartphones die, die Luft so
mit Elektrosmoke anreichern, dass man allein vom
Nichtstun schon fertig ist!
  Durch die EMF-Wellen der o.g. WLAN-Schleudern ist das  Antriebshormon Dopamin Mangelware, ebenso durch die    Psychopharmaka der Psychiatrix, es geht das große Zittern  um, welches Restless- Legs Syndrom heißt und in der    Endphase zu Parkinson und Demenz, weil Acethylcholin    ebenso Mangelware wird und durch den Elektrosmoke  die Ionen-Känäle der Neuronen austrocknen.
Das Kleeblatt, bestehend aus Kimix, Angelanix, Trumpix
und Wladimix, denken sie haben alles im Griff im
   Colonosseum, weil sie tragen Silber durch wirkte    Kleidung und Perücken die  innen mit Kupfer ausge-  schlagen sind und so dringt kein Mikrowatt/m² an  ihre Superhirne und sie scheinen Topfit!  Leider haben die Scientologynix das bemerkt und die    Flussdichte der schädlichen Beta-Wellen merklich erhöht.
Plötzlich erscheint das Heer der Eliteeinheiten angeführt
von Spartakus, in der Arena!
Das Kleeblatt ist verwirrt und die Römische Leibgarde,
führt sie schnell durch einen unterirdischen Gang des
Collonosums in Sicherheit.
Es kommt zu kleinen Scharmützeln, jedoch Spartakus kann die
Männer der Leibgarde überzeugen, denn die Schandtaten der
Mediziner machen auch vor der Garde nicht halt und
so endet die Sache erst einmal friedlich!
Ähnliche Schweinereien, wie in Organien werden auch in
Germanien perfide, lautlos geplant und durchgeführt.
Das Organausschlachten hat seinen Höhepunkt erreicht,
die Amputationen von Fluorid geschädigten Gliedmaßen,
ist fast nicht mehr händelbar und die Demenz hat nun
auch schon Kleinkinder erfasst. Hier hat ein gewissenloser
Minister Spanix seinen Christliche Segen gegeben.
Man zieht erst einmal durch den Befehl von Angelanix nach
Germanien, um den dort entstehenden Aufstand der durch
Annegretix gelähmten KSK-Truppen zu zerschlagen.
Unbemerkt ziehen Spartakus und seine rechte Hand Barnibix
auf Schleichwegen nach Berlin, um vor der Römischen Garde 
dort zu sein und den Aufständischen zu helfen!
Das gelingt und er kann auch in Germanien Schlimmeres
verhindern, weil seine Aufklärungsarbeit den kleinen Leuten
bekannt ist und auch hier die Polizei und die Armee wach
werden und den inneren Feind, die Mediziner, Psychiatrix
   und immer mehr aufkommenden Scientologynix  langsam    zu enttarnen. Für das Erste ist die Gefahr gebannt.
Die kleine Frau Dr. Kellynix ist völlig erschüttert, doch
sie will mit Spartakus( Peternix) den Sumpf austrocknen,
jedoch Spartakus(Peternix)
muss dazu wieder Kontakt zu "Mutter Erde" aufnehmen
und wahrscheinlich muss ihm diesmal, wie dem Moses einst,
Vater Sonne eine Erleuchtung geben, jedoch dagegen
haben die Christen die Psychiatrische Bibel ICD 10 entwickelt,
weil sie, wenn einer ein Zeichen bekommt oder eine
Stimme von Vater Sonne hört, Angst haben ihre Macht wird
gebrochen. Was sie aber nicht ahnen, ihre Macht hängt
am seidenen Faden der Seidenstraße.
  Verhindern sie diese, ist sowohl die Erde als natürlich ihr
Luxusleben dahin. Hoffentlich verhalten sie sich ruhig,
dass ist ihre letzte Chance!
Spartakus(Peternix) muss in Trance geraten, für die Lösung
aller Probleme und wenn er Pech hat,
merkt einer etwas und entsorgt ihn lautlos einige Wochen
in der Psychiatrie. Barnibix muss ihn diesmal mit all seiner
Kraft schützen. Spartakus(Peternix) braucht ein stilles
   Örtchenund eine Bindung, wie Boney und Clyde, also eine
Mädel dass ihn mit dem schweren M42 raus haut, die hat
er längst aufgegeben, weil seine Boney ein Hasenherz hat!
  Unmerklich hat Vater Sonne und Mutter Erde eine echte    Boney, eine Aisopossi für Peternix zum erblühen gebracht.  Deckname Dr. Annettix, sie hat das Zeug dazu, den Peternix  zu schützen, ständig aus den Klauen der Psychiatrix zu    befreien und hat gleichzeitig ein Werk, gleich des Marxschen  Manifestes verfasst, welches in Zusammenarbeit mit  Dr. Kellynix die  Welt verbessern könnte, nämlich die    Arbeits- und Lebenswissenschaft! Das schmutzige Geschäft  auf Kosten der Menschen läuft derzeit unter dem Decknamen:  “Corona“ weiter und weiter, bis heute im 21. Jahrhundert!
Dopamin Romantix, auf Fastfood-Basis, schuftet noch
immer in der Synapsen-Arena, die Prolaktin-Humungusse
deren Zahl steigt bis heute weiter exponentiell!
Durch die ständig steigende Milchproduktion
und damit Arginin Schwämme, steigt die Zahl der
Somatotoprin- Muskulusse ebenfalls exponentiell
weiter, ebenso die mTOR-Obstinatusse!
Der Fleisch Überhang steigt weiter und weiter,
Kohlehydrat-Weizen, aus Ägypten, kommt sehr
wenig zum Einsatz, dafür sorgt ein gewissenloser
Strolch namens Atkins! Tja selbst Corona, welches im
  Wesentlichen auch in der Schweinemast auftrat konnte  ihn nicht dazu bewegen endlich zu Gunsten der Vegetarier  aufzugeben, nein Elend und Tod sind seine n.
Auch die neuen Ernährungsformen aus Mehlwürmern,
Kunstwurst, Kunstfleisch, Paleo, und weiß der Teufel,
was die alles neu erfinden, hilft nicht die alte Urnahrung
der Völker zu ersetzen. Weil Eiweiß benötigt der Mensch
  nur 10% von 100%, denn 10/20/70 heißt die Zauberformel.
Neptun kann leider auch nicht verhindern, dass sein
klares Wasser mit Fluorid verseucht wird, manchmal
einige sogar noch Jod dazu.
Tja der zusätzliche Handel mit Steroiden, Hormonen,
Testosteron, IGF-1, Somatotoprin und dem widerlichen
Proteinpulver der Body-Builder, ist nicht zu stoppen,
dazu kommen noch einzelne Aminosäuren und
Aminosäuren-Mixturen, künstliche Vitamine, ohne
Leben und diverse Ratschläge von Möchte-gern-Brutussen.
Tja und selbst in den USA entstehen alle 100 m 5G-Masten,
mit dem Ziel das Volk auszuspionieren und gleichzeitig die
Gehirne zu vernichten und die Versorgung mit Botenstoffen
soll dann künstlich durch Pharmamix erfolgen!
Dr. Kellynix, Dr. Annettix und Peternix Hoffnung
ist ein Wunder, also dass  "Vater Sonne" ein Zeichen gibt
wie einst bei Moses,  Mohammed, oder Gilgamesch,
jedoch wie es weiter geht kann ich erst in Szene 9 sagen.
Es muss erst wieder eine Seelenliebe, oder ein Denken im
Druiden-Modus folgen. Wie oben gesagt unbeobachtet, weil
es heute ein Psychiatrisches Handbuch ICD-10 gibt und jedes
Denken außerhalb der Norm, wie einst bei den Christen die
Inquisition, heute die Psychiater mit 9 Punkt-Marter und
ähnlichem bestrafen!
  Tja nun denken die Sientologynix ihre EMF-Wellen sind die  Lösung, nein leider nicht, weil der Darm das Urhirn ist und  alles was man an seiner Schöpfung dem Gehirn herum bastelt  er nicht genehmigt und mit schweren Nebenwirkungen bestraft.   Spartakus(Peternix) hat erst einmal
vorsichtshalber seine alten Kameraden  der Panzerjäger 
zum Trainings-schießen auf 5G-Masten aufgerufen!
  Vielleicht kommen Kimix Jungs mit Vierlings-Flaks zu Hilfe.


8. EMF-Wellen nach Dr. Shigeo Haruyama



  • img09_1


Wenn nun auch noch Siemens an Folterwerkzeugen der Scientologen mit EMF- Alpha-, Beta-, Theta- und Delta-wellen arbeitet und damit die Signale und Körperströme der Gefangenen völlig entgleisen lässt, weniger nachweisbar als Psychopharmaka, jedoch mit den gleichen verheerenden Folgen für die Gesundheit der Gefangenen dann frage ich mich was sind wir für Bestien. Der Dr. Shigeo Haruyama hatte das zum Wohle der Menschen gedacht indem er sagte man soll künstlich Alpha-Wellen erzeugen um den Menschen in einen Glückszustand zu versetzen. Jedoch da irrte er, denn das Urhirn der Darm entscheidet ob eine Handlung, oder ein Zustand für den Menschen glücklich ist, dann sendet er die notwendigen Bausteine für Endorphine im Gehirn. Ansonsten klaut man dem Gehirn, wie bei Drogen, die Bausteine für den Normalbetrieb und erzeugt seelische Mangelerscheinungen in Form von Entzugserscheinungen, wie Psychosen, Depressionen , Erschöpfungszustände und ähnliches.

Szene 9. Hoffnung, Vernunft muß siegen





    9. Szene Hoffnung und Vernunft  muss siegen     

  Diese Szene ist ein von mir entworfener Ausweg aus dem derzeitigen  Weltdilemma. Die Corona-Geschichte zeigt mir die festgefahrene  Denkweise der logische linken Gehirnhälfte, so wie  es der Japanische Arzt  Dr. Shigeo Haruyama einfach treffend beschrieb.  So habe ich, der seinen neuen Druiden-Modus erprobt hat, folgendes  mit „Rechts“ gedacht:  
   Eine neue bessere Welt, ich nenne sie FUTURA!  
   Grundvoraussetzung:  Dem Spruch der Schamanen hat jeder Präsident Folge zu leisten,    denn sie sind die Mittler zwischen „Mutter Erde -Mensch-Tiere-Natur!  
   Als Mittler der Neuzeit habe ich mir :  Peternix, als Aisopossix und männlicher Ingenieur - Analytix gedacht und    Annettix, als Asklepianix und weibliche Doktor - Analytix gedacht!  Nur so können wir den Rat der Schamanen den Regierenden,  plausibel, nahe legen.  
   Die Basis von FUTURA haben:  Josef Stalinix  Kim Il Sungix  Walterrix  Dr. Galinanix  Fiedel Castroix  ElChenix  mit dem für mich, IDEALISMUS, geschaffen!  
   Den Idealismus habe ich neu festgelegt um eine reine Gesellschaftsform  vorzulegen, die vom dem westlichen Propheten Marx in einer inneren    Kommunikation mit  „Mutter Erde“geschaffen wurde und mit dem Islam und  dessen Propheten Mohammed und dem Jüdischen Propheten Moses harmoniert,   weil alle drei für ihre Völker in der Not ein Ähnliches erschaffen haben.    Weiterhin würde es mit allen Religionen wie dem Hinduismus, den Asiatischen    Religionen wie den Afrikanischen und Amerikanischen Kulten harmonieren,  weil Alle den „Vater Sonne“ und die Mutter Erde“ als Lebensbasis haben.  Wir müssen das nur für alle Völker in ihre jeweilige Mentalität übersetzen    und umsetzen. So wird nie wieder, so wie beim Christentum und allen abartigen  Abschweifungen, Streit, Disharmonie und Zerstörung entstehen!  
   Unsere Zukunft sind die derzeitigen Präsidenten:  
   Wladinix Russanien  Angelanix Germanien
Kimix Koreanien
Donaldix Amerikanien
  Xi Jinpinix aus Chinesien  Hassanix aus Persien  Bascharix aus Syrien  Recepnix aus Türkien  
   als die derzeit möglich am sinnvollsten von mir erkannt worden, weil vor    allem Wladinix einziger Weltvisionär ist. Wird diese für mich letzte Möglichkeit  der Einigung auf  diesem Planeten verschossen, denke ich ist es in 60 Jahren  vorbei, das ist Chaos, weil die WHO sagt: „Unter den jetzigen Produktions-  bedingen, sind auf der Erde nur noch 60 Ernten möglich!“ Das ist eine    Tatsache, weil wir bisher im Juli jeden Jahres bisher alle erneuerbaren    Ressourcen verbraucht haben, ohne uns Gedanken zu machen, wie weiter?  
   Alle weiteren Darsteller wie in  Szene 6, als Rückblick auf ein vielleicht  zukünftiges, friedliches Olympia:  
   Colonloch Caesar als Imprator, wohnte einst am Ausgang Coloniens  Muskulus als Somatotoprin neu auf vegetarischer Basis  Humungus als IGF-1 neu auf vegetarischer Basis  Romantix neu  als Dopamin auf vegetarischer Basis  Asterix als Noradrenalin/Adrenalin  Obstinatus als mTor, auf vegetarischer Basis  Brutus als Wagenlenker  Body-Builder -Gladiatoren:  Unbekannte Athletin, als Steinkugelheber  Arnix, als Schwertkämpfer  Inna, als Kraft- und Schönheitsposiererin  Wladiwix, als Schwergewichtsboxer  Joshuarix, als Schwergwichtsboxer  Van Damix, als leichter flinker Boxer  Sonnydix als Posierer  Jimix als Posierer  Unbekannte als Posiererin  Peternix, als Germanen-Fingerdreher und -brecher  Barnibix, als Germanen-Armdrücker mit Urkraft  Den Bösewichten habe ich die Ändung „wix“ gegeben, wie  Buschwix  Hillariwix  Macronwix  Obamawix  Sie alle haben die Welt fast ins Unglück gestürzt und  nur Leid geschaffen.  
   Ausgangspunkt:  Alle Schäden der Szene 8. sind bereinigt!  Das „Imperium Body“ ist wieder okay!

   Das „Imperium Body“ funktioniert wieder einwandfrei, so wie es  einst die weise Dr. Galinanix aus Russianen ermittelt und    empfohlen hat. Jedes Land hat seine spezifische Urkost, welche    unsere Vorfahren einst gegessen und die der Muttermilch des    jeweiligen Landes angepasst ist.  Die Schamanen legen die Fangquoten an Fischen und Anbaumengen  von pflanzlicher Nahrung in  Absprache mit der jeweiligen    “ Landes-Mutter- Erde “,  wie beispielsweise „Mütterchen Russland“ fest!  Weil nur sie können mit „Mutter Erde, oder Natur“ kommunizieren.  Die Medizinmänner handeln nur um die Selbstheilungskräfte der    Menschen zu stärken in Absprache mit „Mutter Erde“, nach dem  Prinzip des „Gottes der Heilkunst ,Asklepios“ und halten den   „Eid des Hippokrates“ streng  ein, nach dem Grundsatz :  „Den Körper des Patienten wie seinen eigenen zu lieben und  zu behandeln“, ohne Gewinnorientierung und dem allgemeinen  Lehrsatz: „ Wie kann einer der die Nahrung der Menschen nicht    kennt, ihre Krankheiten heilen wollen?“  Der Arzt wird nur für gesunde Menschen honoriert!  Medikamente nur unterstützende Naturheilkräuter, naturbelassen!  Die sogenannten Bodenschätze bleiben zukünftig unberührt, denn  ihr Vorhandensein an den entsprechenden Stellen der Mutter Erde  hat seinen Grund!  
   - Vater Sonne sorgt für Lichtenergie  - Mutter Erde ist wieder für viele Jahrhunderte fruchtbar  - Wir benötigen auch die Energie der Sterne  - Blitze und Magnetwellen erzeugt NUR noch die Natur    - Die Nahrung besteht spezifisch auf jedes Land bezogen,   aus klaren Wasser  - Sauerstoff  - Stickstoff  - Obst und Gemüse  - Getreide  - wenige Genussmittel, naturbelassen  - Bei Bedarf Naturheilkräuter  
   Corona ist Geschichte, die Natur intakt, der Bundestag strahlt    in der Sonne!  
   Rückblick auf Olympia, der Szene 6.  
   So kam der Tag des neu-Wettkampfes in der Body-Builder-Arena  des Colonosseums und das Schicksal nahm seinen Lauf!  Es war ein zwei Tägiges Spektakel und der Höhepunkt war das  Wagenrennen, das natürlich Brutus, gegen den müden, von  Prolaktin- Humungus ständig zerschlagenen Dopamin-Romantix  Haus hoch gewann!  Colonloch-Cäsar prostete ihm zu und kippte plötzlich von der Bühne!  Alle Versuche ihm zu helfen scheiterten, er verstarb vor Ort!  Es gab einen allgemeinen Aufruhr, aber die Leibgarde Colonloch-  Cäsars, konnte Schlimmeres verhindern und brachte auch das  Kleeblatt, bestehend aus Kimix, Angelanix, Donaldix und  Wladinix, sicher aus dem Colonosseum!  Brutus suchte verzweifelt nach Serotonin-Prinzessin Irina!  Alle seine Spione wussten nichts, einige waren vom Kleeblatt  bestochen und so erfuhr er absolut nichts!  Sein Hauptziel Colonloch –Cäsar zu beseitigen war gelungen,  Colonien war noch heil, also betrank er sich mit einigen  Freudenmädchen und hatte hinterher noch Spaß mit ihnen und  so war Serotonin-Prinzessin Irina, die ihm sowieso zu zickig war  bald vergessen und so nahm das Schicksal seinen Lauf!  Das Kleeblatt hatte beschlossen, dass Angelanix, weil Germanien  am nächsten zu Organien liegt, die Regierungsgeschäfte in  Rom-Herzigen übernehmen sollte! Brutus tröstete sie mit dem  Stadthalter-Posten von Colonien! Damit war er vorerst zufrieden!  Ähnliche Schweinereien, wie in Organien liefen auch in Germanien  ab, also war das für Angelanix nichts neues, sie fühlte sich in  dem neuen Sumpf sehr wohl!  Bald hatte sie Brutus so eingelullt, dass er ihr aus der Hand fraß!  Als eines Tages Brutus nicht mehr auf wachte krähte kein Hahn  mehr nach ihm, das schmutzige Geschäft auf Kosten der Menschen  lief auch ohne ihn weiter, bis heute ins 21. Jahrhundert!“  Ja nun ist die Situation ähnlich, wir stehen kurz vor dem „AUS!“  Tja nun die Zukunft:  So war mein Gedanke in Szene 8  „Unmerklich hat Vater Sonne und Mutter Erde eine echte     Boney, eine Aisopossi für Peternix zum erblühen gebracht.   Deckname Dr. Annettix, sie hat das Zeug dazu, den Peternix   zu schützen, ständig aus den Klauen der Psychiatrix zu     befreien und hat gleichzeitig ein Werk, gleich des Marxschen   Manifestes verfasst, welches in Zusammenarbeit mit   Dr. Kellynix die  Welt verbessern könnte, nämlich die     Arbeits- und Lebenswissenschaft! „  
   „Dr. Kellynix, Dr. Annettix und Peternix Hoffnung
ist ein Wunder, also dass  "Vater Sonne" ein Zeichen gibt
wie einst bei Moses,  Mohammed, Gilgamesch, oder Karl Marx,
jedoch wie es weiter geht kann ich erst in Szene 9 sagen.
Es muss erst wieder eine Seelenliebe, oder ein Denken im
Druiden-Modus folgen. Wie oben gesagt unbeobachtet, weil
es heute ein Psychiatrisches Handbuch ICD-10 gibt und jedes
Denken außerhalb der Norm, wie einst bei den Christen die
Inquisition, heute die Psychiater mit 9 Punkt-Marter und
ähnlichem bestrafen!
  Tja nun denken die Sientologynix ihre EMF-Wellen sind die  Lösung, nein leider nicht, weil der Darm das Urhirn ist und  alles was man an seiner Schöpfung dem Gehirn herum bastelt  er nicht genehmigt und mit schweren Nebenwirkungen bestraft.  Spartakus(Peternix) hat erst einmal
vorsichtshalber seine alten Kameraden der Panzerjäger
zum Trainings-schießen auf 5G-Masten aufgerufen!
  Vielleicht kommen Kimix Jungs mit Vierlings-Flaks zu Hilfe.“  
   Ja nun der Ausblick in meiner erdachten Szene 9  
   FUTURA, die idealistische Zukunft  
   Die Bösewixe werden in ihre Schranken verwiesen, sie können  das in Guantanamo lernen!  In den Sakophag, gehört alles was die heutige Welt zerstört hat:  Schulmedizin, vor allem die Psychiatrie  Chemiekonzerne  Pharmakonzerne  Irr-Religionen, wie  das Christentum  Scientologen, alles was nicht der Natur entsprungen ist,  durch einen Propheten, bringt die Menschen und die Erde  in Gefahr!  
   Das ewige Rom wird Idealistisch!  Russland wird unsere Sonne und unsere Schutz!  China wird idealistisch und kehrt zu den Lehren der    Vorfahren zurück, die einst das Land zum besten Agrarland machten!  Nordkoreanien wir von der Struktur, ähnlich der DDR unser Vorbild!  Persien, Syrien, Türkei, werden das Islam-idealistisch für den Orient  umsetzen! Die USA werden ein idealistisches Land, welches mit    den Indianischen Schamanen harmoniert und gemeinsam ein    idealistisches Strukturkonzept, ähnlich  Nordkoreanien-DDR    errichten und den Schutz für ganz Amerika übernehmen.  Afrika wird Schamanisch-Idealistisch, Australien wird    Aborigines-Idealistisch!  Die Inder bleiben Hinduistisch-Idealistisch, und so weiter!  
   „ Ich liebte ein Mädchen auf dem Mars, ja das war es!“ 

Die pdf-Dateien könnt Ihr Euch unter Asklepios an Hygieia herunterladen!

Ich verzweifle hier mit den neuen Homepage-Creator der erste war so toll,

ich weiß nicht was die Telekom geritten hat so einen Mist zu bauen!



Erkenntnisse  2019


Wie jedes Jahr wünsche ich meinen Usern ein sehr schönes, gesundes und Erkenntnis 

reiches Jahr 2019! Ich werde mir Mühe geben all meine Rückstände aufzuarbeiten.

Leider ist Routine nicht mein Ding. Wenn mir einer eine neue Herausforderung gibt,

dann lasse ich alles stehen und liegen und widme mich Neuem!


2018 war mit über 60 neuen Ideen recht schöpferisch und nach dem Besuch meines 

Bruders im Altenheim und der Kummer über seinen schweren Demenz Zustand, hat 

mich erst einmal so geschwächt, dass ich nach 12 gesunden Jahren, erst einmal, 

eine leichte Grippe ausheilen muss!


Ich habe gemerkt, dass Ihr alle, wie ich, die Frau Dr. Galina Schatalova ins Herz 

geschlossen habt!


Zu Recht, denn wenn wir nach ihren Vorlagen leben, arbeiten 

und essen, kann wenig passieren!


Was mir nicht gefällt, ich habe noch keinen Politiker aus dem Dornröschenschlaf 

geweckt, obwohl die meisten nicht gerade Adonis-, oder Prinzessinnen- Figuren

haben. Nun mal sehen wie das 2019 klappt!




Nach jetzt 6 Jahren intensiver Recherchen, habe ich den Eindruck gewonnen, dass die Mediziner mit ihren >15.000 Medikamenten und 100.000 senden Präparaten, den Mikro-Chirurgen, den Endokrinologen eine nie da gewesene,

 medizinische Großoffensive GEGEN die Menschheit führen.

Auch die Nahrungsmittelhersteller, Bauern, die Wasserwirtschaft, die Gaststätten,

alle haben eine Sorglosigkeit gegenüber unseren Körpern entwickelt, was ich 

beängstigend finde. Man hat hier in Deutschland Entschädigungssummen auf

etwa 20.000 € begrenzt, wo in den USA die Missetäter zig Millionen Strafe zahlen

müssen. Das macht leichtsinnig und verlagert fast alle Medizinischen Straftaten 

nach Europa! 


Manchmal frage ich mich sehe ich alles zu schwarz?


Das alles hatte Hamurabi vor 5.000 Jahren vorausgesehen und damals zum Teil

erfolgreich verhindert. Der große Generalissimo Stalin hatte das auch erkannt,

jedoch seine Nachfolger haben das alle zu unserem Nachteil ignoriert!


Die "Medizinische Kriegsführung" ist die arglistigste Art der Kriegsführung!



1.Denksportaufgabe für Biochemiker


Nachdem ich einen Kommentar zu der Wirkung von Antidepressiva geschrieben habe, habe ich diverse Neuroleptika und Antidepressiva mit den bekanntesten Drogen verglichen.


Ergebnis:


Mir ist weiterhin aufgefallen, dass beim Escitalopram(MAO-Hemmer) , 

plötzlich im Gegensatz ​zum Kokain, LSD, oder Heroin,
ein Flouratom angebastelt wurde C20 H21FN2O!


LSD      C20H25N30
Heroin C21H21NO5
Kokain C17H21NO4


Ich habe einen Bericht gesehen, da hat ein Patient über starke Nebenwirkungen der unten genannten Präparate geklagt und diese verkauft und sich dafür reines Heroin beschafft, 

was solche schweren Nebenwirkungen nicht hat!


So habe ich weiter recherchiert:


1. Präparate mit Flour:


Ein Spruch dazu:" Macht Suppe im Kopf!", durch Flour?????

Risperidon:   C23H27FN4O2


Escitalopram:  C20 H21FN2O!


Haloperidol:       C21H23ClFNO2



"Weitaus alarmierender sind jedoch weltweite Beobachtungen und Studien, die sich mit der chronischen Fluorvergiftung befasst haben. So wurde nachgewiesen, dass Fluorid in der geringen Menge von nur 1 ppm (parts per million = Teile auf eine Million Teile) im Trinkwasser den Abbau von Kollagen verursacht, was allein das Knorpelgewebe betreffend unweigerlich zu Arthritiden (Gelenkentzündungen) und Steifigkeit der Gelenke führt. In mehreren Studien wurde ferner eine reduzierte Wanderungsgeschwindigkeit der Leukozyten (und somit auch reduzierter Phagozytose) bei Menschen nachgewiesen, die in fluoridierten Gebieten leben. Chromosomenbrüche und -verletzungen wurden bereits in den 70er Jahren im Tierversuch bemerkt. Krebs, Leberschäden und Unfruchtbarkeit als Folge der Langzeitfluoreinnahme werden weltweit diskutiert.

Fluoride sind seit langem als starke Enzym-, Zell- und Speichergifte bekannt und belasten insbesondere auch Nieren, Leber, Herz (Enzymblocker im Herzmuskel) und Skelett. Außerdem können sie das zentrale Nervensystem angreifen, wie seit amerikanischen Untersuchungen im Jahre 1944 anlässlich der Urananreicherung für die Herstellung von Atombomben gekannt ist.

Die Fruchtbarkeit (Fertilität) bei Frauen und die Zeugungsfähigkeit bei Männern kann herabgesetzt werden; Entsprechendes bei Tieren. Fluor ist stark krebserzeugend, es löst Osteoporose aus oder verstärkt diese zumindest und ist damit für einen Anstieg der Knochenbrüche verantwortlich. Fluor schaltet langsam, aber sukzessive den freien Willen des Menschen aus. Dies ist keineswegs Ausgeburt einer "Verschwörungstheorie", sondern einwandfrei beweisbar durch die Tatsache, dass weltweit etwa 60 Psychopharmaka Fluor enthalten. Fluor ist ein wichtiger Bestandteil von Neuroleptika, die in der Psychiatrie zur Behandlung von Psychosen eingesetzt werden, mit teilweise katastrophalen Nebenwirkungen. Nachgewiesen ist u.a. eine höhere Sterblichkeit bei Herz-, Kreislauf-, Nieren- und Krebskranken nach Einführung der Trinkwasserfluoridierung. In den USA muss inzwischen selbst Zahnpasta, die Fluor enthält mit Warnhinweisen versehen werden."


2. Präparate mit  Neuronale Ceroid Lipofuszinose (CLN2) Sinn ?????


Tianeptin:  C21H25ClN2O4S


Trazodon: C19H22ClN5O


Aripiprazol

Handelsname: Abilify etc.: C23H27Cl2N3O2


"In einer internationalen Studie haben Wissenschaftlerinnen und Wissenschaftler des Universitätsklinikums Hamburg-Eppendorf (UKE) einen neuen Behandlungsansatz für die spätinfantile Neuronale Ceroid Lipofuszinose (CLN2) – einer Form der sogenannten Kinderdemenz – gefunden. Demnach kann eine Enzymersatztherapie mit Cerliponase alfa den Krankheitsverlauf günstig beeinflussen."


3.Präparate mit Schwefel, Sinn???


 Olanzapin:    C17H20N4S


 Tianeptin: C21H25ClN2O4S


 Sulpirid: C15H23N3O4S


"Pecazin-Typ[Bearbeiten | Quelltext bearbeiten]

Hierzu gehören Substanzen mit Piperidinylalkyl-Seitenkette an R 2.
In Deutschland ist nur noch das schwach potente Thioridazin im Handel. Ein großer Hersteller von Thioridazin nahm dieses Neuroleptikum jedoch Ende Juni 2005 weltweit vom Markt, weil das Risiko für schwerwiegende unerwünschte Wirkungen stärker als bei anderen Neuroleptika schien. [2]

Perphenazin-Typ[Bearbeiten | Quelltext bearbeiten]

Dies sind Phenothiazine mit einer Piperazinylalkyl-Seitenkette an R 2:

Sie wirken im Vergleich mit Chlorpromazin mindestens gleich stark, eher stärker antipsychotisch."


Beiträge in Klammern sind aus Wikipedia!



2. Ich habe unter "Einführung/Osaka Japan, endlich das Experiment von 

     Dr..med. A. Katase ergänzt, die anderen Ur-Ernährungsformen 

  versuche ich diesen Monat ( Januar 2019 )Schritt für Schritt einzuarbeiten



3. Bericht von Dr. med Kelly Brogan (Komplett unter Berichte Dr. Kelly)

13.02.2018

Hormonelle Kontrazeptiva erhöhen das Risiko von Suizid- und Suizidversuchen


Von Kelly Brogan MD Team


21Teilen
Tweet
Aktie
Aktie
Weltweit verwenden mehr als 100 Millionen Frauen hormonelle Verhütungsmittel, nicht nur, um eine Schwangerschaft zu vermeiden. Viele haben andere Gründe für die Verwendung hormoneller Kontrazeptiva, wie die Linderung von Menstruationsschmerzen, starke Blutungen, das prämenstruelle Syndrom oder Akne.

Aber zu welchen Kosten?

Eine 17-jährige dänische Studie, die 2017 veröffentlicht wurde, ergab einen überraschenden Zusammenhang zwischen hormoneller Kontrazeption und dem Risiko von Selbstmordversuchen und Selbstmordversuchen bei Frauen im Alter von 15 bis 33 Jahren (Skovlund, 2017). Diese zuvor psychisch gesunden Frauen hatten in der Vergangenheit keine Suizidversuche, psychiatrischen Diagnosen oder Antidepressiva.

Unter den 475.802 Frauen, die in dieser Studie durchschnittlich 8,3 Jahre lang beobachtet wurden, gab es 6.999 erste Selbstmordversuche und 71 Selbstmorde.

Und dies waren nur die bekannten Selbstmordattentate; das heißt, Frauen, bei denen die Diagnose Selbstmordversuch oder Todesursache aufgezeichnet wurde. Die realen Zahlen waren wahrscheinlich höher.




4.)  Peter Lehmann,  Antipsychiatrieverlag

(Gute Adresse für Betroffene mit seelischen Problemen)

Čeština | English | Español | Français | ελληνικά | Italiano | Nederlands | Português | Русский
Kurzbiographie: Peter Lehmann, geboren 1950 in Calw (Schwarzwald). Dr. phil. h.c. (Aristoteles-Universität Thessaloniki), Diplom-Pädagoge. Heute selbstständiger Sozialwissenschaftler, Autor, Verleger, Medizinjournalist und Versandbuchhändler in Berlin. Verfechter der humanistischen Antipsychiatrie. 1986 Gründung des Antipsychiatrieverlags, seit 2003 Niederlassung in Großbritannien, 2004-2015 in den USA. Seit 1990 Mitherausgeber des Journal of Critical Psychology, Counselling and Psychotherapy. 1994-2000 Vorstandsmitglied des Bundesverbands Psychiatrie-Erfahrener e.V. 1997-2000 Vorstandsmitglied bei Mental Health Europe (europäische Sektion der World Federation for Mental Health). Bis 2010 langjähriges Vorstandsmitglied des Europäischen Netzwerks von Psychiatriebetroffenen (ENUSP). Seit 2013 Schirmherr der Berliner Organisation Psychiatrie-Erfahrener und Psychiatrie-Betroffener (BOP&P). Mehr siehe Lebenslauf, Wikipedia & Facebook

Gründungsmitglied u. a. 1980 einer antipsychiatrischen Selbsthilfegruppe von Psychiatriebetroffenen in Berlin, 1987 von PSYCHEX (Schweiz – seit 2015 auch PSYCHEXODUS), 1989 des Vereins zum Schutz vor psychiatrischer Gewalt (Trägerverein des Weglaufhauses Berlin), 1991 des Europäischen Netzwerks von Psychiatriebetroffenen, 1997 des Weltnetzwerks von Psychiatriebetroffenen. Mehr siehe Mitgliedschaften

Auszeichnungen: 3. Preis bei der Umfrage »Visionen – Psychiatrie im Jahre 2019« der Deutschen Gesellschaft für Soziale Psychiatrie (1999)  ·  Verleihung der Ehrendoktorwürde in Anerkennung des »außerordentlichen wissenschaftlichen und humanitären Beitrags für die Durchsetzung der Rechte Psychiatriebetroffener« von der Aristoteles-Universität Thessaloniki (2010)  ·  Verleihung des Bundesverdienstkreuzes durch den deutschen Bundespräsidenten (2011).

Buchveröffentlichungen: Neue Antidepressiva, atypische Neuroleptika – Risiken, Placebo-Effekte, Niedrigdosierung und Alternativen. Mit einem Exkurs zur Wiederkehr des Elektroschocks (2017, gemeinsam mit Volkmar Aderhold, Marc Rufer und Josef Zehentbauer; E-Book 2018)  ·  Statt Psychiatrie 2 (Hg. 2007 mit Peter Stastny, E-Book 2018, Ausgaben in anderen Sprachen) ·  Psychopharmaka absetzen – Erfolgreiches Absetzen von Neuroleptika, Antidepressiva, Phasenprophylaktika, Ritalin und Tranquilizern (Hg. 1998; 4. Aufl. 2013, E-Book 2018, Ausgaben in anderen Sprachen)  ·  Schöne neue Psychiatrie – Band 1: Wie Chemie und Strom auf Geist und Psyche wirken. Band 2: Wie Psychopharmaka den Körper verändern (1996; E-Book-Ausgaben 2018)  ·  Der chemische Knebel – Warum Psychiater Neuroleptika verabreichen (1986, 6. Aufl. 2010)  ·  u.v.m.

Beiträge in Anthologien & Zeitschriften  ·  Alle Publikationen  ·  Fortbildungen, AGs, Vorträge  ·  Aktuelle Termine  ·  Fortbildungsangebote  ·  Durchsetzung von Menschenrechten und angemessener Unterstützung  ·  Impressum  ·  E-Mail-Kontakt  ·  Datenschutzerklärung



5. Bericht über ein Schmerzmittel aus den USA

Gestern am 15.03.19 habe ich im 3Sat einen Bericht über ein Schmerzmittel 

aus den USA mit verheerenden Folgen gesehen.


Präsident Trump wollte das Verbieten, jedoch bisher ist nichts geschehen!


Es handelt sich un Oxicontin, welches ein Opitat ist mit 5 x mehr Abhängigkeitsverhalten,

wie Morphium. Vor 1945 hatte das Mittel den Namen Eukodal und hatte verheerende Wirkung unter den Deutschen und wurde später verboten!


Täglich sterben in den USA 130 Menschen an den Folgen dieses Schmerzmittels!

Im vergangenen Jahr starben etwa 70.000 Menschen und der wirtschaftliche 

Schaden liegt schon bei etwa 50 Milliarden Dollar.



6. Bericht von Dr. med.Kelly Brogan 27.03.19



Ein Schamane teilt eine spirituelle Sicht auf psychische Erkrankungen
Von Emma Bragdon, PhD

2014 befragte Stephanie Marohn Malidoma Somé, einen westafrikanischen Schamanen der alten Dagara-Tradition, für einen Artikel, der schnell viral wurde: „Was ein Schamane in einer Nervenheilanstalt sieht“. Er schaut tief auf den spirituellen Notfall, also auf eine Person wird durch spirituelle Erfahrungen überwältigt und desorientiert. Er stellte fest, dass Menschen, die als psychisch Kranke diagnostiziert werden, eine ganz andere Form der Betreuung benötigen, als dies heute in psychiatrischen Krankenhäusern möglich ist. Malidoma wies darauf hin, dass viele Menschen, die unter einem spirituellen Notfall leiden, Heiler und Fortbildungsmedien sind, anstatt psychiatrische Medikamente.

"Wenn die Beziehung zwischen den Lebenden und den Toten nicht im Gleichgewicht ist, entsteht Chaos." - Malidoma Somé

Warum ist das wichtig? Betrachten Sie Bipolar: Bipolare Störungen betreffen nach Angaben des National Institute of Mental Health jedes Jahr etwa 5,7 Millionen amerikanische Erwachsene oder etwa 2,6% der US-amerikanischen Bevölkerung ab 18 Jahren. Es wird als eine psychische Erkrankung erkannt, die zu starken Stimmungsverschiebungen von Depression zu Manie führt und sich negativ auf die Fähigkeit einer Person auswirkt, bei der Arbeit zu arbeiten, ein Zuhause zu führen oder ein erfolgreicher Student zu sein. Es wird geschätzt, dass fast dreißig Prozent der Menschen, bei denen eine bipolare Störung diagnostiziert wird, mindestens einmal in ihrem Leben Selbstmordversuch unternehmen werden. Die Suizidrate für Personen, bei denen eine bipolare Störung diagnostiziert wurde, ist das Zwanzigfache der Gesamtbevölkerung. Es ist eine der zehn Hauptursachen für Behinderung in den USA und der Welt. Malidoma glaubt, dass viele mit bipolaren Symptomen psychisch sind und auf der Suche nach dem idealen Weg sind, um ihre psychischen Fähigkeiten einzusetzen. Ihre Suche, um ihre Erfahrungen zu managen und ihre Fähigkeiten zu verbessern, muss mit einer qualifizierten Ausbildung getroffen werden.

 

Malidoma Somés Wahrnehmung psychischer Patienten:
1987 freundete ich mich mit Malidoma Somé an, einem Schamanen der Dagara-Tradition in Burkino Faso, Westafrika. Nach dem Besuch einer psychiatrischen Abteilung bemerkte Malidoma, es scheint, dass die meisten Menschen, die in den USA mit schweren psychischen Störungen konfrontiert sind, empfindlich sind und dass sie Ausbildung und Unterstützung benötigen, um zu den Heilern und psychischen Medien zu werden, die sie sein sollen. Er nimmt an, dass ein hochsensibler Mensch alle Arten von Energie aufnimmt - wie ein Funkempfänger, der auf so vielen Kanälen gleichzeitig geöffnet ist, dass er keine klare Nachricht senden kann. Stattdessen liefert das Sensible, was es aufnimmt, und das kann ein Aufeinanderprall widerstreitender Ideen, Gefühle und Impulse sein, die von der Ärzteschaft als Symptome einer Psychose interpretiert werden. Malidoma bietet diese Einschätzung an:
„Die Person, die die Krise durchmacht, wurde als Medium für eine Botschaft an die Gemeinschaft ausgewählt, die aus dem Geisterreich kommuniziert werden muss. Psychische Störungen, Verhaltensstörungen aller Art, signalisieren die Tatsache, dass zwei offensichtlich unvereinbare Energien in demselben Feld verschmolzen sind. … Diese Störungen ergeben sich, wenn die Person keine Unterstützung im Umgang mit der Anwesenheit der Energie aus dem Geisterreich erhält. “- Malidoma Somé

Malidoma schlägt vor, was helfen kann:
Unterstützende Gemeinschaft und Gemeinschaft mit anderen, die die Person so akzeptieren, wie sie ist und erkennen, dass sie eine einzigartige Botschaft zu bieten haben. Die Gemeinschaft hilft einem Menschen tatsächlich dabei, die Energien der gewöhnlichen Welt und der Welt der Geister miteinander in Einklang zu bringen, so dass sich ihr Potenzial als Heiler oder Medium manifestieren kann.
Energie wirkt, um den feinstofflichen Körper von fremden Energien zu befreien, die nicht hilfreich sind, und um die Person mit den positiven Energien in Einklang zu bringen, die entstehen müssen.
Training von Schamanen und Ältesten, die der Person helfen können, bewusst zu werden, worauf sie sich einstellt. Denken Sie an ein Radio mit „Tuner“ -Regler, um uns zu dem gewünschten Kanal zu bringen. Einige Geister versuchen, die Person zu erreichen, um ihnen zu helfen. Andere Energien müssen abgeschaltet werden, damit die wohltuenden Geistesbotschaften ungehindert durchkommen können.
Rituale sind wichtig. Sie können die Wiederverbindung mit der natürlichen Welt, Vorfahren, die Aufmerksamkeit suchen, und Geister, die der Person helfen möchten, ein Heiler zu werden, sicher strukturieren. Malidoma hat verschiedene Rituale für unsere Kultur geschaffen, um diese Verbindungen herzustellen und aufrechtzuerhalten.
Respekt für den gesamten Umfang der Probleme
Es ist nicht nur die geistige Welt, die wir bei der Bewältigung des geistigen Notfalls beachten müssen. Nicht alle Störungen kommen aus der Geisterwelt. Wenn jemand aus dem Gleichgewicht gerät oder emotional gestört ist, können auch andere Faktoren eine Rolle spielen. Die beste Betreuung umfasst Teamarbeit mit ganzheitlichen Ärzten, Ernährungswissenschaftlern, Sozialarbeitern und Psychotherapeuten. Hier sind einige Gründe warum:

Körperliches Ungleichgewicht, z. Ein Tumor im Gehirn kann zu emotionalen Störungen führen. Mangel an Nahrung oder Mikronährstoffen kann zu emotionalen Störungen führen. Eine physisch toxische Umgebung kann zu emotionalen Störungen führen. Daher sind klinische Beurteilungen, die sich mit den Ernährungskomponenten der psychischen Gesundheit auskennen, ein wichtiger Bestandteil der Beurteilung und Behandlung.
In unserer modernen Welt haben wir nicht die engen Verbindungen der Stammesmitgliedschaft, die ein sicherer Container für diejenigen sind, die aus dem Gleichgewicht geraten. Familie und Gemeinschaftsleben sind zerbrochen; Sie bieten weniger Stabilität. Wir haben mehr negative Kindheitserfahrungen (ACEs), die auf Vernachlässigung oder Missbrauch durch Elternfiguren zurückzuführen sind. Wir kämpfen mit Rassenvorurteilen, Frauenfeindlichkeit und Ernährungsunsicherheit. Mit den Auswirkungen dieser psychosozialen Traumata muss gerechnet werden, da sie auch Bestandteile einer psychischen Störung sind.
Letzte Worte
Das Wissen um unsere psychischen Verbindungen mit Geistern und die Fähigkeiten, mit denen diese Verbindungen auf stärkere Weise behandelt werden können, muss der psychiatrischen Versorgung hinzugefügt werden. Vor über 100 Jahren arbeitete William James, der als Vater der amerikanischen Psychologie gilt, mit Forschern psychischer Phänomene zusammen. Er sagte, wir müssen psychische Phänomene erforschen und es als eine entscheidende Rolle bei den Herausforderungen des Menschseins betrachten. Diese Botschaft ist immer noch ein schwaches Echo in der heutigen Forschung und Praxis in der Psychologie.

… “Im Westen (wir) sind nicht darin ausgebildet, die Existenz psychischer Phänomene, der geistigen Welt, zu behandeln oder gar zu lehren. Tatsächlich werden psychische Fähigkeiten verunglimpft. Wenn Energien aus der spirituellen Welt in einer westlichen Psyche auftauchen, ist dieses Individuum völlig unangebracht, sie zu integrieren oder sogar zu erkennen, was passiert. Das Ergebnis kann furchterregend sein. “—Malidoma Somé


7.) So nun ist es soweit Deutschland legitimiert Vergehen der Medizin   

      am Menschen mit staatlicher Gewalt!!!!

       5.05.19


Verwendete Quellen:

  • Nachrichtenagentur dpa

Jens Spahn will Impfungen gegen Masern für Kinder zur Pflicht machen. Das Virus ist hoch ansteckend. Ein Gesetzentwurf des Gesundheitsministers sieht hohe Geldstrafen vor.


8. Neuester Bericht Dr.Kelly 9.05.19

Ihr Mikrobiom zu Drogen
Von Kelly Brogan MD Team

Für diejenigen von Ihnen, die jemals einen Garten hatten, kennen Sie den Kampf. Es erfordert stundenlange Arbeit, um das Unkraut zu entfernen und die neuen Pflanzen zu pflegen. Sobald sich diese neuen Pflanzen jedoch fest im Boden etabliert haben, halten sie das Unkraut natürlich in Schach. Die Aufrechterhaltung dieses Gleichgewichts ist der Schlüssel zu einem erfolgreichen Garten. In vielerlei Hinsicht ist das menschliche Mikrobiom ähnlich. Gesunde Bakterien, die im Darm fest verankert sind, hemmen auf natürliche Weise das Wachstum potenziell pathogener Bakterien und Hefen.

Stellen Sie sich jetzt vor, was mit diesem Garten passieren würde, wenn Sie das Ganze mit Gift bespritzen würden. Ja, die wenigen Unkräuter würden sterben, aber auch alle Ihre Pflanzen. Wenn Sie nichts mehr für Ihren Garten tun würden, was würde nachwachsen? Ich denke, Sie können sehen, wohin ich damit gehe. Jedes Mal, wenn Sie ein Antibiotikum einnehmen, löschen Sie Ihr Mikrobiom aus. Unglücklicherweise wachsen die schlechten Bakterien und Hefen ebenso wie das Unkraut viel schneller zurück, ohne dass die guten Bakterien sie in Schach halten. Aber warum interessieren uns diese Fehler überhaupt?

Die Achse des Darms
Der Begriff „Gut-Brain-Achse“ wurde erstmals in den 1960er Jahren geprägt.1 Er wurde ursprünglich verwendet, um die vielen Signale zu beschreiben, die das Gehirn an den Darm sendet. Jeder weiß, dass das Gehirn den Körper kontrolliert, aber was steuert das Gehirn?

Einer der größten Fortschritte in unserem Verständnis von psychiatrischen Erkrankungen (und allen menschlichen Krankheiten) ist, dass diese Achse des Darms wirklich eine wechselseitige Straße ist. Die 10 Billionen Bakterien, die sich im Darm befinden, senden Signale an die Darmzellen, die als Enterozyten bezeichnet werden. Diese Enterozyten setzen dann Hormone, Zytokine und andere Signale in das Blut frei, die zurück zum Gehirn zirkulieren.2 Es gibt andere Möglichkeiten, wie der Darm mit dem Gehirn kommuniziert, aber dies gibt Ihnen eine Vorstellung davon, wie diese scheinbar seltsame Verbindung funktioniert. Außerdem können Sie sehen, wie wichtig der Darm für die psychische Gesundheit und das allgemeine Wohlbefinden ist.

Auf dieser Website finden Sie ausführliche Informationen über die Achse des Darms und die Arten von Dingen, die unser Mikrobiom beschädigen. Neue Forschungsergebnisse deuten jedoch darauf hin, dass viele Arzneimittel, die einst für das Mikrobiom als sicher angesehen wurden, tatsächlich Schaden anrichten können.

Neue Forschung: Auch Nicht-Antibiotika schädigen das Mikrobiom
Zu Beginn dieses Jahres veröffentlichte Nature, eine der renommiertesten wissenschaftlichen Zeitschriften der Welt, eine bahnbrechende Studie über die Wechselwirkung zwischen Arzneimitteln und dem menschlichen Mikrobiom.

In einem Labor wurden vierzig im Darm gefundene Bakterienstämme mit 1079 Arzneimitteln getestet, um zu sehen, welche Arzneimittel das Wachstum von Darmbakterien hemmen. Arzneimittel, die das Wachstum von mindestens einem Bakterienstamm stoppten, wurden als „Hit“ bezeichnet und könnten beim Menschen antibiotikaähnliche Nebenwirkungen haben. Die getesteten Medikamente wurden basierend auf ihren zellulären Zielen in drei Gruppen unterteilt:

1. Antibiotika (zielt Bakterien)
ein. Wie erwartet hemmte die Mehrheit der getesteten Antibiotika das Wachstum von mindestens einem Stamm von Darmbakterien.
2. Antiinfektiva (Zielgruppe Parasiten, Protozoen, Pilze und Viren)
ein. 53% dieser Medikamente hemmten das Wachstum von mindestens einem Bakterienstamm. Dies ist etwas überraschend, da diese Medikamente nicht dazu gedacht sind, Bakterien anzugreifen, jedoch hat mehr als die Hälfte dies getan.
3. Human Targeted Drugs (Obwohl dieser Name verwirrend ist, bedeutet er einfach jedes Medikament, das dazu bestimmt ist, einen Menschen im Gegensatz zu einer Mikrobe zu beeinflussen).
ein. 24% dieser Medikamente hatten antibiotikaähnliche Nebenwirkungen. Dazu gehörten Medikamente aus allen Hauptklassen. Beispiele sind: Antipsychotika, Kalziumkanalblocker, Antihistaminika, Protonenpumpenhemmer, Schilddrüsenmedikationen, Blutverdünner, NSAIDs und Antidiabetika wie Metformin.
Diese Daten sind bahnbrechend. Es legt nahe, dass viele Arzneimittel, nicht nur Antibiotika, das Mikrobiom modulieren können.

Zum Beispiel wirken Antipsychotika theoretisch, indem sie auf Dopamin- und Serotoninrezeptoren im menschlichen Gehirn wirken. Diese Rezeptoren werden nicht in Bakterien gefunden. Daher sollten sie keinen Einfluss auf die Bakterien im Darm haben. Das hat diese Studie jedoch nicht gefunden. Wie bereits erwähnt, beeinflussten 24% der Arzneimittel, die für menschliche Zellen entwickelt wurden, auch Darmbakterien. Dies legt nahe, dass Sie jedes Mal, wenn Sie ein Antipsychotikum, ein NSAID, Metformin oder viele andere nehmen, Ihr Mikrobiom schädigen.

Studie unterschätzt vermutlich den Schaden am Mikrobiom
Die Autoren schlussfolgern, dass ihre Studie den Einfluss dieser Medikamente auf das Mikrobiom wahrscheinlich aufgrund der „begrenzten Selektion der untersuchten Bakterienstämme“ unterschätzt. 3 Wie Sie der untenstehenden Studie entnehmen können, haben sie mehr Bakterienstämme, mehr Mensch- Es wurde festgestellt, dass zielgerichtete Medikamente antibiotikaähnliche Wirkung haben. In dieser Studie wurden nur 40 Stämme getestet, aber tatsächlich gibt es Hunderte im menschlichen Mikrobiom. Der Prozentsatz von Arzneimitteln, die sich auf den Darm auswirken, ist wahrscheinlich viel höher als 24%.
Die Studie ergab auch, dass gesunde Bakterien häufiger geschädigt werden als pathogene Stämme. Erinnern Sie sich an den Garten? Dies ist, als würde man in den Garten ein Gift sprühen, das die Pflanzen bevorzugt über das Unkraut befällt.

Andere Studien unterstützen diese Ergebnisse
Obwohl diese Studie in einem Labor durchgeführt wurde, korrelieren ihre Daten gut mit anderen Studien am Menschen. Eine große flämische Kohortenstudie4 zeigte, dass Patienten, die Hormone, Antidepressiva, Immunsuppressiva oder entzündungshemmende Medikamente einnahmen, signifikante Veränderungen in ihrem Mikrobiom zeigten. Eine andere Studie5 zeigte, dass Patienten mit Langzeitmetformin Veränderungen in ihren Darmbakterien zeigten. Ähnliche Studien6 7 8 zeigen die gleichen Ergebnisse für atypische Antipsychotika und Protonenpumpenhemmer. Die Autoren der Studie schlussfolgern: "Wir finden eine hohe Übereinstimmung zwischen den Wirkungen von Medikamenten in vitro (in einem Labor) und beim Menschen, was die klinische Relevanz und die direkte anticommensale Aktivität für die oben genannten Fälle bestätigt." 3

Ein Hund jagt den Schwanz
Unser Verständnis des menschlichen Mikrobioms steckt erst in den Kinderschuhen. Erste Studien zeigen jedoch bereits klare Beweise dafür, dass viele Arzneimittel (wenn nicht alle) das Mikrobiom schädigen. Die Tatsache, dass diese Medikamente seit Jahrzehnten auf dem Markt sind und wir nun anfangen, ihre Auswirkungen auf das Mikrobiom zu erfahren, zeigt, wie wenig wir eigentlich über sie wissen.

Das Versprechen von Arzneimitteln, einfach und sauber nur einen Faden des Spinnennetzes zu ziehen, während es intakt bleibt, wird als Illusion aufgedeckt. Arzneimittel, die unser Mikrobiom schädigen, schaden uns auch. Diese neue Forschung zeigt weiter, dass die Jagd nach Gesundheit mit einer Pille ein Whole-A-Mol-Phänomen erzeugt, bei dem Ungleichgewicht und Pathologie verdrängt werden. Dieser Ansatz deckt nur Symptome ab und unterminiert die Ursache der Erkrankung weiter. Wie im Garten muss darauf geachtet werden, dass ein ausgewogener Bauch entsteht, in dem sich unsere innere Ökologie selbst regulieren kann. Dies ist der erste Schritt, um Geist, Stimmung und Körper wirklich zu heilen.

Interesse an einer schrittweisen Unterstützung, um Ihre Gesundheit zu optimieren?
Vital Life Project ist eine Community für Gleichgesinnte, die nach einer besseren Art und Weise suchen, mit Vitalität in einer Welt zu leben, die es schwierig machen kann, dieses Ziel zu erreichen.

Diese monatliche Mitgliedschaft bietet Orientierungshilfe und Verantwortlichkeit, um kleine Änderungen in der Denkweise und im Tagesablauf vorzunehmen, die zu radikalen Verschiebungen bei der Gesundheitsgewinnung führen können.

Klicken Sie unten, um zu erfahren, wann unsere Türen in diesem Frühling geöffnet werden!
Feedback geben
Verlauf
Gespeichert
Community


Your Microbiome On Drugs
By Kelly Brogan MD Team


Share
Tweet
Share
Share
For those of you who have ever had a garden, you know the struggle. It requires hours of back-breaking work to pull out the weeds and to care for the new plants. However, once these new plants get firmly established in the soil, they naturally keep the weeds at bay. Maintaining this balance is key to a successful garden. In many ways, the human microbiome is similar. Healthy bacteria that are firmly established in the gut naturally inhibit the growth of potentially pathogenic bacteria and yeast.

Now imagine what would happen to this garden if you sprayed the whole thing with a poison. Yes, the few weeds would die, but so would all of your plants. If you did nothing more to your garden, what would grow back? I think you can see where I’m going with this. Every time you take an antibiotic, you’re wiping out your microbiome. Unfortunately, just like the weeds, the bad bacteria and yeast grow back much faster without the good bacteria to keep them at bay. But why do we care about these bugs in the first place?

The Gut-Brain Axis
The term, “Gut-Brain Axis” was first coined in the 1960’s.1 It was originally used to describe the many signals that the brain sends to the gut. Everyone knows that the brain controls the body, but what controls the brain?

One of the greatest advances in our understanding of psychiatric disease (and all human disease) is that this gut-brain axis is actually a two-way street. The 10 trillion bacteria that reside in the gut send signals to your intestinal cells called enterocytes. These enterocytes then release hormones, cytokines and other signals into the blood that circulate back to the brain.2 There are other ways the gut communicates with brain, but this gives you an idea of how this seemingly strange connection works. Further, you can see how important the gut is for mental health and overall well-being.

You’ll find extensive information on this site about the gut-brain axis and the types of things that damage our microbiome. However, new research suggests that many pharmaceutical drugs that were once thought to be safe for the microbiome, may actually be causing harm.

New Research: Even Non-Antibiotic Drugs Harm the Microbiome
Earlier this year, Nature, one of the most prestigious scientific journals in the world, published a groundbreaking study on the interaction between pharmaceutical drugs and the human microbiome.

In a lab, forty bacterial strains commonly found in the gut were tested against 1,079 pharmaceutical drugs to see which drugs inhibited the growth of gut bacteria. Drugs that stopped the growth of at least one bacterial strain were considered a ‘hit’ and likely to have antibiotic-like side effects in humans. The drugs tested were divided up into three groups based on their cellular targets:

1. Antibiotic Drugs (Targets bacteria)
a. As expected, the majority of the antibiotics tested inhibited growth of at least one strain of gut bacteria.
2. Anti-infective Drugs (Targets parasites, protozoa, fungi, and viruses)
a. 53% of these drugs inhibited growth of at least one strain of bacteria. This is somewhat surprising, as these drugs are not designed to attack bacteria, yet more than half did.
3. Human Targeted Drugs (Although this name is confusing, it simply means any drug that is designed to affect a human as opposed to a microbe).
a. 24% of these drugs had antibiotic-like side effects. This included drugs from ALL major classes. Examples include: antipsychotics, calcium channel blockers, antihistamines, proton pump inhibitors, thyroid medications, blood thinners, NSAIDs and anti-diabetics like metformin.
This data is groundbreaking. It suggests that many pharmaceutical drugs, not just antibiotics, are able to modulate the microbiome.

For example, antipsychotic drugs work, theoretically, by acting on dopamine and serotonin receptors in the human brain. These receptors are not found in bacteria. Therefore, they should have no effect on the bacteria in the gut. However, that is not what this study found. As mentioned above, 24% of drugs designed for human cells, also negatively affected gut bacteria. This suggests that every time you take an antipsychotic, an NSAID, metformin, or many others, you are harming your microbiome.

Study Likely Underestimates Damage To Microbiome
The authors conclude that their study likely underestimates the impact of these drugs on the microbiome due to “the limited selection of bacterial strains screened.”3 As you can see from the study figure below, as they sampled more strains of bacteria, more human-targeted drugs were found to have antibiotic-like activity. This study only tested 40 strains, but there are actually hundreds in the human microbiome. Thus, the percentage of pharmaceutical drugs that impact the gut is likely much higher than 24%.



The study also found that the healthy bacteria were more likely to be harmed than the pathogenic strains. Remember the garden? This is like spraying a poison on your garden that preferentially attacks the plants over the weeds.

Other Studies Support These Findings
Although this study was done in a lab, their data correlates well with other human studies. A large Flemish cohort study4 showed that patients taking hormones, antidepressants, immunosuppressants or anti-inflammatory drugs had significant changes in their microbiome. Another study5 showed that patients on long-term metformin showed alterations in their gut bacteria. Similar studies6 7 8 demonstrate the same results for atypical antipsychotics and proton pump inhibitors. The study authors conclude: “we find high concordance between the effects of drugs in vitro (in a lab) and in humans, confirming clinical relevance and direct anticommensal activity for the aforementioned cases.”3

A Dog Chasing It’s Tail
Our understanding of the human microbiome is only in its infancy. Yet, early studies already show clear evidence that many pharmaceutical drugs (if not all of them), are harming the microbiome. The fact that these drugs have been on the market for decades and we are now starting to learn about their effects on the microbiome shows how little we actually know about them.

The promise of pharmaceutical drugs to simply and neatly pull only one thread of the spider web while leaving it intact is being revealed as an illusion. Pharmaceutical drugs that harm our microbiome are also harming us. This new research further demonstrates that chasing health with a pill generates a whack-a-mole phenomenon of displacing imbalance and pathology. This approach only covers symptoms while further undermining the root cause of disease. Like the garden, care must be taken to create a balanced gut where our inner ecology can self-regulate. Doing so is the first step to truly healing your mind, mood and body.

Interested in step-by-step support to help you optimize your health?
Vital Life Project is a community for like-minded wellness seekers in search of a better way to live with vitality in a world that can make it challenging to move toward this goal.

This monthly membership provides guidance and accountability to help you make small changes in mindset and daily routine that can lead to radical shifts in health reclamation.

Click below to be the first to know when our doors open this Spring!


9. Vergleich Tier Mensch


Ich habe einmal einen Vortrag über Bienen gesehen.

Die Wildbienen erzeugen nur 20% des Honigs der Imkerbienen.

Sie haben 80% der Zeit, Zeit sich um äußere und innere Feinde zu kümmern.

Den Imkerbienen nimmt man diese 20% weg, dann fangen sie neu an wieder

20%, wieder wegnehmen, wieder 20 %...............!

So dann lässt man ihnen so 20% ergänzt durch Zuckerwasser (Fastfood)!

Jedoch die haben Null Zeit um sich um äußere und innere Feinde zu kümmern, das macht ganz oberflächlich mit Chemie der Imker(Schulmediziner), ihr Immunsystem geht den Bach runter.

So und die Bienenkönigin die bei den Wildbienen universal stark und an alles denkt (Wladimir, Kim, Hassan, Recep, Madura, Saddam, der Oberst,Fiedel, Baschar), die ersetzt man durch eine speziell gezüchtete Königin,

die das alles mit seinem Bienenvolk machen lässt, was heute passiert!

Der Imker sitzt in den USA!  Ergänzung des Kapital des Karl von Peter!


Ihr seht, was Karl Marx sich so nett für die Menschen ausgedacht hat um allseitig glücklich und gesund zu sein, haben die Schulmediziner und die große Weltmacht gegen den Menschen, die Bienen, die Kühe und alle

Pflanzen und Getier angewendet. So nun sind wir alle krank und die verdienen und verdienen, und verdienen.

Lasst uns doch in Ruhe, lasst Natur und den Menschen wie er ist und alles wird gut!

Noch Fragen????


Asklepios



10. Brief an ein Heilpraktikerforum was meinen schönen 

       Bienenvergleich einfach gelöscht hat!         



Sagt einmal war mein Beitrag über den Vergleich Wildbienen und Imkerbienen und deren Immunschwächen, gegenüber den Wildbienen nicht plausibel? 

Ein Hobby-Mediziner wie ich erkennt das sofort!
Haben die Schulmediziner Angst um ihren Job???
Es ist doch deren Aufgaben Ursachen zu ergründen und nicht

die Symptome zu pflegen, oder???
Nah ja überlegt einmal!
Seht einmal selbst Marx hatte erkannt in dem er die Situation Mensch und Tier verglich, dass
die Ausbeutung des Menschen Krankheiten verursacht, ähnlich heute den Kühen und Bienen.
Tja und Heilpraktiker heißt doch dies ebenso im speziellen Fall eines Patienten dies zu erkennen und dessen Leben wieder auf ein normales Maß zurückzufahren.
Dann heilt alles wie von selbst!
Haben Medizinmänner und Schamanen schon vor Tausenden von Jahren erfolgreich gemacht, weil sie den Draht zur Natur noch hatten.
Wenn der Heilpraktiker diesen Draht wieder findet, ist er unanfechtbar, auch von der FDP nicht,  weil die hat den Draht zu den Menschen noch nie gehabt und zur Natur schon gar nicht! 


Lest einmal "Die Peter-Diagnose!"
Gruß Asklepios




11. Zitat eines Kommentators zu Organspenden:

Alles schnell schnell und Fließband-Patienten.
Wir sind nur noch Werkzeug einer Maschinerie und wenn die Politik hier nicht bald anfängt am Gesundheitssystem umzudenken, möchte ich nicht wissen wie das mal ausgeht=O.

LG und schönen Abend :)

​Guter Satz,
aber die Politik hat ja nachgedacht, heimlich und das ist das Ergebnis!
Wenn man die Arbeitsleistung, die Abgabenleistung, den Stress, die Umweltbelastung so sehr in die Höhe treibt und man dabei ist den Menschen nicht 8 h, nicht 12 h nein am liebsten 24 h, also rund um die Uhr einzusetzen, dann verkürzt man nicht nur sein Leben, also verbraucht man die Lebensenergie(Unterer Erwärmer) die 
Frau Dr. Galina Schatalova mit etwa 50 Millionen Kcal/Menschenleben angesetzt hat, rasant schneller, sondern man verkürzt natürlich gleichzeitig die Gebrauchsdauer der Körperorgane, wie Herz, die Leber und der Nieren. Also im Sinne des immer weiteren Wirtschaftswachstum, der verpesteten Umwelt und damit vergiften Nahrung werden nun den verschlissenen Menschen, aber nur die sich das leisten können, neue Organe von
beispielsweise jungen Menschen die sich im Freizeits-Wahnsinn aufgeraucht haben eingesetzt!

Und das sollen wir denen gestatten???
Seht einmal die Greta hat man auf die falsche Schiene gesetzt, wir sollen wie wahnsinnig weiterarbeiten, aber uns in der Freizeit dann bescheidener geben, also auf den Lohn und die Erholung verzichten.
Wenn wir Einfachen, dann dabei  erschöpfen Pillen (Drogen) zum auf peppen und dann, was
brauchbar ist ausschlachten. Unsere Politiker LIEBEN uns so sehr!
"Ich liebe Euch doch alle, Mensch ich liebe Euch doch alle"! Erich Miehlke einst!
Dem allerdings, glaube ich da heute!!!
Gruß Asklepios

12. Neuroleptika Antidepressiva:


Hatte einen Crash(1.06.19) mit der Polizei und weil ich 2011 nach einem Burnout in der Psychiatrie gelandet war ,war ich jetzt wieder dort > 24 h, 9 Punkt Sicherung!

Habe die Hölle durchgemacht, bin nur durch die Einnahme von Risperidon (Flour haltig) frei gekommen!
Es hat sich unter der Seelen Last wieder das Türchen in der rechten Gehirnhälfte geöffnet und jetzt weiß  ich ganz genau was Neuroleptika und Antidepressiva im Gehirn anrichten:
Risperidon hat ein Flour Atom, Zyprexa ein Schwefel Atom und es gibt auch welche mit einem Chlor Atom.
Die Kalzium oder Natriumionen Kanäle der Synapsen (Post, oder Präsynapsen) werden verklemmt, oder verstopfen, weil sich entweder Ca-Fluorid, Ca-Sulfit oder Ca-Chlorid, bzw. das ganze mit Natrium bilden.
Dadurch wird die gesamte Signalleitung der Versikel mit Dopamin, oder Acetylcholin, oder, oder blockiert.
Das gebildete Prolaktin der Hypophyse kann nicht mehr zurück in den synaptischen Spalt und wächst an usw..
Das Nervensystem stirbt ganz langsam.
Kann man in der Psychiatrie, beim betreuten Wohnen oder in Amerikanischen Gefängnissen an den jungen Tätern beobachten, die werden nie mehr etwas!!!
Solche Erkenntnisse bekommt man nur unter Extrembelastung> 300 %!

Weiterhin ist in der Psychiatrie in jedem Zimmer und auch auf den Fluren alle

5 bis 10 m eine Rauchmelder von Techem, der alle  2 Minuten ein Signal von

500 Mikrowatt/m" aussendet!

Neueste von Brunata strahlen mit 5 G!

Wozu?

Dein Gehirn ist immer unter Volllast Tag und Nacht, als wenn man ständig telefoniert.

Das bedeutet die Natrium-, oder Calzium-Ionen-Kanäle der Post-, oder Präsynapsen der Nerven schwingen ständig, laufen heiß und das Kalzium, oder Natrium wird wie ein Pulver und leitet Signale nicht mehr weiter und das Gehirn geht langsam aber sicher zu Grunde, plus o.g. Tabletten resultierend, wird man zum Dauerpatienten!

Das plant man jetzt auch in normalen Wohnhäusern, in dieser scheinheiligen Welt!

Bei 600 Wohnungsbränden/Jahr, bei über 40 Millionen Haushalten, 

ist das schon Makaber, oder??


Bin am Wochenende wieder frei gekommen und 

habe gleich mein Wissen weitergegeben.


Weitersagen:


Peter an alle, wie einst Lenin!!!

Asklepios ( Peter Gutschmidt!)


Wiederholung zur Orientierung:

2. Präparate mit  Neuronale Ceroid Lipofuszinose (CLN2) Sinn ?????


Tianeptin:  C21H25ClN2O4S


Trazodon: C19H22ClN5O


Aripiprazol

Handelsname: Abilify etc.: C23H27Cl2N3O2


"In einer internationalen Studie haben Wissenschaftlerinnen und Wissenschaftler des Universitätsklinikums Hamburg-Eppendorf (UKE) einen neuen Behandlungsansatz für die spätinfantile Neuronale Ceroid Lipofuszinose (CLN2) – einer Form der sogenannten Kinderdemenz – gefunden. Demnach kann eine Enzymersatztherapie mit Cerliponase alfa den Krankheitsverlauf günstig beeinflussen."


3.Präparate mit Schwefel, Sinn???


 Olanzapin:    C17H20N4S


 Tianeptin: C21H25ClN2O4S


 Sulpirid: C15H23N3O4S



13. Der ganze Wahnsinn mit unserem Gehirn als PDF-Datei!

Wenn man sich das vor Augen führt was mit uns zum Teil wissentlich angerichtet wird,

könnte man das kalte Grauen bekommen.

In der Psychiatrie alle 5 m bis 10 m ein Rauchmelder, wozu?

Er sendet alle 2 Minuten ein 500 Mikrowatt/m² Signal, was beim Patienten noch mit etwa 200 bis 300 Mikrowatt/m², je nach Lage des Bettes, oder Stuhl Standort ankommt!

Die neuesten Rauchmelder senden mit 5 G, also 5000 Mikrowatt/m².

Was hat die Obrigkeit mit uns vor???


Tabletten machen Suppe im Kopf und die Handys und Rauchmelder verstopfen unsere Ca-, bzw. Na-Ionen-Kanäle, bis nichts mehr geht!

Totale Demenz-Capici!!!


14. Restless-Legs-Syndrom

Mein Nachbar kam mit einem Hilfeschrei zu mir und ich zückte sofort meinen

Elektrosmoke-Analyser und was war???


Die gesamte Schlafstube war schon an der Tür mit > 900 Mikrowatt/m²verseucht!

Die Frau schlief direkt am W-LAN-Router > 1500 Mikrowatt/m², an der Stirnseite der Wand drangen > 500 Mikrowatt/m" vom Router des Nachbarn durch die Wand und von Oben kamen auch vom Übermieter 400-500  Mikrowatt/m² an.


Meine Maßnahme, sofort das WLAN abschalten auf Kable mit LAN wechseln.

Zu den Nachbarn mit Alu-kaschierten Styropor-Platten abdämmen.


Weiterhin habe ich das Essverhalten der betroffenen Frau untersucht und festgestellt,

sie nahmen Salz mit Jod und Fluorid, plus Trennmittel Aluminiumcyanid.


Auch alles andere ist auch nicht koscher, viel Cola und so weiter.


Ich vermute zu 99 % das der nächtliche und tägliche Elektrosmoke, plus telefonieren direkt mit Smartphone, die Kalzium-Ionen-Kanäle der Präsynapsen so beeinflussen, dass ihre Signalwirkung betreffs Dopamin in den Versikeln stark geschwächt wird.

Weiterhin beeinflusst die Strahlung natürlich auch die Natrium-Ionen-Kanäle der Postsynapsen, so dass kaum Dopamin an die Rezeptoren andocken können.


Das Verhalten der Mediziner finde ich kriminell, weil sie sofort:


Levodopa (C9H11NO4-> Dopamin C8H11NO2) also ein Dopamin Ersatzstoff!

Ropinirol ( Dem Kokain ähnlich!)

Leganto, Pflaster als Dopaminnachahmer)


verordnet haben, ohne sich die Mühe um das Umfeld und Essverhalten der Patientin zu

untersuchen. Das kann nach Dr. med. Kelly Brogan für immer bleibende Schäden am Gehirn, bis Parkinson langfristig verursachen!.


Das bringt das gesamte Gehirn, plus die gesamten Feedbacks aller Drüsen durcheinander.

Sexualfunktion wird gestört,

Übelkeit

Erbrechen

Kopfschmerzen

Schlaflosigkeit

Schläfrigkeit

Narkolepsie

Ungewöhnliche Träume

Zwangserkrankung

Reizbarkeit

Juckreiz der Haut

Bluthochdruck

Orthostatische Hypotonie (Kreislauf Störungen aufgrund niedrigen Blutdruckes)

Allgemeine Schwäche

Störungen der Sexualfunktion

Lokale Reizerscheinungen am Applikationsort.


Vieles der o.g. Symptome hatte die vorher so lebenslustige Frau um die 35 Jahre!


Sofort hat man nach ICD-10 wieder eine neue Abweichung: G25.8!


Das Ding ist wieder wie alles selbst gebaut.

Ich leide mit der heutigen Jugend!!!


Ich hoffe dass meine Maßnahmen, alles auf LAN umzustellen, die Wände zu den Nachbarn abzuschirmen, plus eine bessere gesündere Ernährung sofort wirken und die Tabletten für immer weggelassen werden.

Leider ist unsere Jugend zu vertrauensvoll obwohl heute das kaum ein Arzt, Apotheker,

oder Politiker verdient!


15. Notruf Dr. Kelly Brogan Zensur auch in den USA

Hallo,

Viele von Ihnen, die meine Arbeit in den letzten 6 Jahren unterstützt und verfolgt haben, wissen, dass ich sie mit einem Feuer im Bauch und Tränen in den Augen geteilt habe. So viele Jahre lang hatte ich das Gefühl, dass ich vor dem Überwältigen dessen, was uns durch die gierigen Hände von Unternehmen und die Tür zu unseren Aufsichtsbehörden und Regierungsbeamten widerfahren sah, explodieren könnte.

Dies machte es fast unmöglich, mich mit der Freude in meinem Leben zu verbinden, denn die ersten Anzeichen ließen mich das Gefühl aufkommen, alle Kranken, Leidenden und Kämpfenden im Stich zu lassen. Die Wahrheit ist, dass ich viel besser in der Lage bin, Ihnen, meinen Lieben und mir selbst zu helfen, wenn ich ruhig, klar und innerlich akzeptabel bin.

Im Moment akzeptiere ich also, dass es eine Massenzensur im Gange gibt. Viele von uns haben es kommen sehen, und jetzt ist es Realität. Mein geliebter Partner, Sayer von greenmedinfo.com, hat seinen Newsletter-Anbieter MailChimp verloren, nachdem er diese Nachricht erhalten und sein Konto geschlossen hatte.


Hi there, 

Many of you who have supported and followed my work for the past 6 years know that I've shared it with a fire in my belly and tears in my eyes. For so many years, I encountered moments where I felt I might explode from the overwhelm of what I saw happening to us at the greedy hands of corporations and the rotating door to our regulatory agencies and government officials. 

This made it nearly impossible to connect to joy in my life, because the first inklings of it left me feeling like I was abandoning all those who were sick, suffering, and struggling. The truth is that I am far more able to help you, my loved ones, and myself, if I am calm, clear, and accepting inside.

So, right now, I am accepting that there is mass censorship afoot. Many of us have seen it coming, and now it's a reality. My beloved partner, Sayer of greenmedinfo.com lost his newsletter provider, MailChimp, after they sent him this message and closed down his account.


Meine Antwort:


 

Hello dear Dr. Kelly,
do not worry your beautiful reports
I also on www.peter-gesundheit.com, worldwide
translated and disseminated.
We are both famous and we will not forget that.
If "Mother Earth" is such a wonderful person as you
she will not let you down because you dare to tell the truth and help people !!!
I am very happy to meet you.
I thought I'm alone!
My side is also torpedoed by the telecom and the
Statistics are no longer maintained.
My search terms like:
People's Guide
Mystery of healing
Mental illness
Physical illness
longevity
death rate
etc.
suddenly find all the search engines, except
in Russia, Italy and France, all countries of Europe and America no more!
We moved something, we came across a wasp nest!
In 1950 the health service in the Federal Republic of Germany costs 2 billion DM, today it is 400 billion Euro.
There are 7 million Germans working in the healthcare sector.
We do not even need 50,000 employees.
They invented over 30,000 symptoms !!!
Yes, and now Kelly and Peter want to take the job away from them because they say nature heals alone.
Patience, "Father Sun" brings it to light.
Now stay calm and wait very quietly !!!

It greets you dearly, Your revolutionary, yours
"Little psychiatric revolution"

Peter-> ElGudi

Peter Gutschmidt

 

Original:

 

Hallo liebe Dr. Kelly,
keine Sorge Deine wunderschönen Berichte
habe ich auch auf www.peter-gesundheit.com, weltweit
übersetzt und verbreitet.
Wir sind beide berühmt und das wird nicht vergessen.
Wenn "Mutter Erde" eine so wunderbare Person wie Dich
auserwählt hat, dann lässt sie Dich nicht im Stich, weil Du 

Dich traust die Wahrheit zu sagen und Menschen zu helfen!!!
Ich bin sehr glücklich Dich zu kennen.
Ich dachte ich bin allein!
Meine Seite wird auch von der Telekom torpediert und die 
Statistik wird nicht mehr geführt.
Meine Suchbegriffe wie:
Volkshandbuch
Geheimnis der Heilung
Seelische Erkrankungen
Körperliche Erkrankungen
Langlebigkeit
Sterberate, usw. finden plötzlich alle Suchmaschinen, außer
in Russland, Italien und Frankreich, alle Länder Europas und Amerika nicht mehr!
Wir haben etwas bewegt, wir haben in ein Wespennest gestoßen!
1950 kostet das Gesundheitswesen in der Bundesrepublik Deutschland 2 Milliarden DM,

heute sind es 400 Milliarden Euro.
Es arbeiten 7 Millionen Deutsche im Gesundheitswesen.
Wir bräuchten eigentlich nicht einmal 50.000 Mitarbeiter.
Die haben über 30.000 Symptome erfunden!!!
Ja und nun wollen Kelly und Peter denen den Job wegnehmen, weil sie sagen die Natur heilt allein.
Geduld, "Vater Sonne" bringt es ans Licht.
Jetzt ruhig bleiben und ganz still abwarten!!!

Es grüßt Dich sehr lieb Dein Revolutionär, Deiner 
"Kleinen psychiatrischen Revolution"

 

Peter-> ElGudi

 

Peter Gutschmidt


16.Neue Szene von mir zu den Psychiatrischen Geschichten


 7.Szene nach Brutus

    Szene Wettkampf auf allen Ebenen des Gehirns des Colonosseums


Nach Brutus hat keiner mehr die Sybille gefragt.

Druiden schenkte man keine Beachtung mehr und das hat bis heute dazu

geführt, dass der Mensch überhaupt keine Scham mehr gegenüber sich selbst, den Tieren, der Natur und insgesamt der "Mutter Erde" hat!

So hat man die Menschheit mit 30.000 neuen  selbst gebauten Krankheits-Symptomen

überzogen und es droht ein wirtschaftlicher und gesundheitlicher Kollaps!

Hammurabi hat es verhindert, Stalin hatte es erkannt, jedoch heute scheint das niemanden zu interessieren, außer Dr. med Kelly Brogan, Dr. Schnitzer und

meine Wenigkeit.

Die anderen haben 2 Seelen in der Brust und verdienen und verdienen und verdienen.

Die Menschen leiden und leiden, besonders in Amerikanischen Gefängnissen und den Psychiatrien der gesamten Welt.

Meine Hoffnung, es wacht einer auf!!!


Die Geschichte folgt!!!









Im Teil 2 rufe ich dazu auf den Menschen in den Gefängnissen und in den Psychiatrien 

vor der Willkür der Psychiater zu schützen, weil die keine Skrupel haben einen Menschen zu 

brechen! Es gibt durch die Psychiatrie ein unermessliches Leid auf dieser Welt und die Täter sind Gnaden- und Skrupel los sie verdienen am Entsorgen von Menschen, schlimmer geht es kaum! Wenn man die Aussichtslosigkeit und die Hoffnungslosigkeit der jungen Menschen in den Amerikanischen Gefängnissen sich verinnerlicht kann man weinen!

Es muss doch eine echte Tilgung der Schuld geben, man kann doch nicht wie in den KZ`s 

vor 1945 perfide weitermachen!


17. Erweiterung der "Peter Diagnose" um Elektrosmoke-Belastungen


Ich versuche die heutigen zusätzlichen Belastungen durch den Eletrosmoke, wie durch

WLAN, Smartphone, Rauchmelder, Außenantennen usw. über einen Grobmodus

zu bewerten und die dadurch zerstörten Nerven zu ermitteln.

Ist diese Belastung geringfügig, bis Mittel können das benachbarte gesunde 

Nerven wieder ausgleichen. Hier ist es wichtig überall wo 5 G installiert ist in Stadien,

in Betrieben, in Wohnungen dieser Belastung aus dem Weg zu gehen.

Die Wohnung muss wieder auf LAN reduziert werden und ansonsten muss mit Abschirmmaßnahmen der Sache entgegengewirkt werden.


Das beste wäre wenn wir diese Geschichte wieder rückgängig machen würden!!!

Ich habe  mein Smartphone wieder zurück gegeben!³

Mir reicht ein einfaches Handy was ich nur einmal bis zwei mal am Tag nutze.


Schon vor 10 Jahren habe ich die Firma Biologa gefunden die tausende

Möglichkeiten von Abschirmgewebe-Sorten, über Metallfarbe, Metall bedampfte

Fensterfolien, oder gleich Smoke-undurchlässige Fenster anbietet.


Die Firma Gigahertz hatte damals ihren Analyser auf max. 2500 Mikrowatt/m² 

ausgelegt, weil die gar nicht gedacht haben das man heute so pervers ist 

und 5 G für die Menschen in den Gebrauch gibt.


Der neue Analyser geht bis 2700 Mikrowatt/m² und hat auch eine Peek-Messung,

wo man bei sehr hoher Impulsartiger Belastungen einen Mittelwert angezeigt bekommt!

Weiterhin gibt es ein Dämpfungsglied, wo man dann den angezeigten Wert x 100

nimmt, um die maximale Belastung zu erkennen, welche sonst das Gerät mit einem

lauten Dauerpiepser und einem nicht definierbaren Wert auf der Skala anzeigt!



Zu Punkt 1, Lebensumstände Stress


Ich werde unter Punkt 10 die Umweltbelastungen, wie zum Beispiel Elektro-Smoke einfließen lassen. Ich weiß nur noch nicht wie sich das auf den Prolaktin- und Cortisolspiegel auswirkt.

Weiterhin muss ich hier auch einen Zerstörungsgrad erfinden, denn das Gehirn wird hier systematisch ausgelöscht!



³ Das Smartphone habe ich meiner Frau zurückgegeben, ihr altes S4, weil man konnte 

  noch 2 G dort einstellen, jedoch der Empfang ließ dann, was früher nicht der Fall war,
  plötzlich merklich nach, als wenn die jetzt bestimmte youtube-Filme nur noch 4 G     

  aussenden.
  Wenn meine Frau mit ihren S9 Filme schaute erhöhten die ständig das Signal und ihr
  Elektrosmoke-Analyser fing an zu schreien.
  Jetzt schaltet sie das Handy generell ab und Filme schaut sie über den Computer LAN, 
  oder verzichtet lieber.
  Sie hatte schon vom ständigen Gebrauch des S9 Hautirritationen bekommen und auch
  Erschöpfung un Unwohlsein bemerkt!


18. Warum ist man so GROßZÜGIG mit der Digitalisierung im Osten???


Man hat in den letzten Jahren unsere wunderbare DDR komplett geschändet!

Unsere Menschen haben nicht die mehr die Achtung durch den Staat wie früher und unsere Jugend hat nicht mehr das Recht auf einen Ausbildungsplatz und später einen Arbeitsplatz.

Über 50 -60 % der Betriebe und deren Infrastruktur, wie Polikliniken, Kulturhäuser und Ferienlager wurden zerschlagen und enteignet.


Nun plötzlich wir im Osten brauchen 5G!


Das ist Militärtechnik, dem Radar ähnlich und die Israelis haben davor Angst und setzen, das

nicht im Zivilen, auch nicht in Brüssel. Die Südkoreaner winken ab zu teuer, oder die wissen auch mehr. Aber die CDU, die dem Osten sonst nichts abgewinnt, ihn brach liegen lassen

möchte, sagt plötzlich wir brauchen das im Osten.

Da ist doch etwas faul, oder!

Plötzlich eine Firma in Bayern die 1700 Mitarbeiter hat und Rauchmelder produziert mit 

5 G Signal, welches aus den Wohnungen in einen zentralen Datensammler Signale sendet, jedoch wenn es brennt muss man die Feuerwehr selbst rufen, da ist doch etwas faul, oder???


Also wenn Ihr meine vorangegangenen Analysen und mein 7.tes Psychiatrisches 

Drehbuch richtig versteht, müsste jedem ein LICHT aufgehen, oder???


Nun gut meine "Psychiatrischen Drehbücher sind etwas verworren, weil man 

muss dazu die Römische Geschichte gut kennen und zum Beispiel das Buch:


"Ich Claudius Kaiser und Gott" gelesen und verstanden haben.


Dort hat der alte Claudius in seinen Aufzeichnungen, all die Dinge zum Beispiel

die Subura, das war eine Straße in Rom wo man Giftmischer, Mörder und Prostituierte

mieten konnte. Die Sybille war ein Medium, der Römischen Priester, die man nach der Zukunft fragen konnte. Die Römische Kaiserin Livia, die Frau von Kaiser Augustus hatte die Sybille oft befragt und einem Spruch, das der Claudius eines Tages Geschichte schreiben wird hatte sie veranlasst ihn nicht zu töten, was sie sonst, durch das Gift der Lucusta, mit allen getan hat die dem Augustus, ihr und ihren Sohn Tiberius, später, gefährlich werden konnten. Dieses Wissen habe ich dem Brutus einfach über geholfen, um die Sache ein 

wenig spannend zu machen.

Anomalien im Gehirn? Rätsel um US-Botschaftsmitarbeiter in Kuba

26.07.2019 • 08:03 Uhr
https://de.rt.com/1xwm

Quelle: AFP © Fred Tanneau










(Symbolbild). Was genau die Symptome bei den Botschaftsmitarbeitern ausgelöst hat, 

bleibt nach wie vor ein Rätsel.
Im Jahr 2016 beklagten sich Mitarbeiter der US-Botschaft in Havanna über Schwindel und Gleichgewichtsstörungen. Die US-Regierung sprach von einem "Schallangriff". Drei Jahre später wollen US-Wissenschaftler nun Anomalien in den Gehirnen der Betroffenen festgestellt haben.


Mein Kommentar dazu:

Wenn die Nerven in Schwingungen versetzt werden, wie bei G 2,3, 4, 5, dann erwärmen sich die Natrium-, oder Kalzium-Ionen-Kanäle, die Flüssigkeit trocknet aus Signale werden nicht weitergeleitet, das Restless-Legs-Syndrom kann enstehen und auf jeden Fall sterben täglich mehrere 100.000 Nervenzellen.
Man hat zwar 300 Milliarden, es enstehen auch täglich mehrere 10.000 Neue, aber irgendwann ist Feierabend.
Mit Ultraschall dürfte das auch funktionieren. Kann deren eigenen Telefonanlage sein und die Rauchmelder,die teilweise schon mit 5000 -10.000 Mikrowatt/m², wie im Flugzeug senden.Etwa 60 Neuroleptika, Antidepressiva und Schlafmittel sind mit Flour, Schwefel, oder Chlor versetzt.Macht Suppe im Kopf sagen die Amerikaner! Es bildet sich Natriumfluorid, Kalziumfluorid, Kalziumsulfat, oder Natriumsulfat und so weiter und ebenso sterben die Ionen Kanäle un dann die Synapsen und dann die Nerven komplett! 

Das wäre meine Diagnose.

Ich habe daraufhin eine Zwischensequenz meiner Psychiatrischen Geschichten entwickelt,

um dieses Thema mit ungewissem Ausgang nochmals zu verdeutlichen, weil wir im Osten 


doch jetzt auch so großzügig mit G5 und G5 -Rauchmeldern ausgestattet werden!






Man sieht ab 2500 Mikrowatt/m² beginnt der Mikrowellenbereich!!!


 

 

 

 



 

 

 

 


 


7.1 Szene Spartakus und die Obdachlosen wollen das Ende des Gehirns
        im Collonossum und im Bundestag aufhalten

Diese Szene habe ich eingeschoben, weil freies WLAN, G5-Masten
und G5 Gerätschaften, speziell Obdachlosen im Freien auch permanent schädigen.
Denkt an die 500 toten Hummeln in Berlin, die jetzt mit neuen Grünstreifen kaschieren will!
Weiterhin hat Peternix-Spartakus erkannt, dass wenn niemand in diese negative 
Entwicklung eingreift, das Schicksal der Menschheit besiegelt ist-> "Das vorzeitige Aus!"
Arena des Collonossums, Platz um den Bundestag!


siehe ab heute neu in "Psychiatrische Drehbücher"(18.08.19)




19. Passend zu Oben von Dr. med Kelly Brogan USA, 11.08.19








 


Kelly Brogan MD - Ihren Körper besitzen. Befreie deinen Geist.

Der 5G-Krisengipfel
 

Hallo Peter Gutschmidt,
Viele von uns haben die Angewohnheit, vor dem Nachdenken zu handeln. Ich habe mich als Individuum sicherlich schuldig gemacht. Egal, ob es sich um Rauchen, Asbest, DDT, Impfstoffe oder digitale Technologien handelt, aufgrund von Branchen- und behördlichen Auflagen stoßen wir häufig auf Zwänge, nachdem sich die Organe bereits angesammelt haben.

Wir haben jetzt die Möglichkeit, uns zu informieren, zu befähigen und Stellung zu beziehen, wenn es um das letzte nicht genehmigte Experiment geht - den 5G-Rollout.

Zur Erleichterung des Internets der Dinge wird hier in Amerika alle paar hundert Meter ein 5G-Array ohne Ihre Erlaubnis oder Genehmigung aufgestellt, auch in der Nähe des Schlafzimmers Ihres Kindes, damit Ihr Kühlschrank mit Ihrem Fernseher und mit Ihrer Toilette sprechen kann. Zumindest ist das die offene Erzählung.

Die dunklere Seite umfasst die globale Überwachung, die Fähigkeit, Millimeterwellen zur Kontrolle der Menschenmenge (oder noch schlimmer) auszusenden, und die unbeabsichtigten, aber gut belegten Folgen für die Biologie lebender Wesen, einschließlich Kinder, Pflanzen und Insekten.

Zum Glück haben mein Freund Josh del Sol und mein Partner Sayer Ji Experten gesammelt, um Ihnen mitzuteilen, was Sie sonst möglicherweise erst lernen, wenn Sie mit härteren Lektionen konfrontiert werden. Sie veranstalten den 5G Crisis Summit. Und was ich an diesem kostenlosen Online-Event liebe, ist, dass es von einem klaren Ort der Ermächtigung aus präsentiert wird.


Sie werden entdecken:

Die Wissenschaft über die Gefahren von 5G- und EMF-Strahlung
Funkstrahlungsquellen und "schmutziger Strom" in Ihrem Haus
Die Verbindung zwischen 5G, Al und globaler Überwachung
Wie Gruppen und Einzelpersonen erfolgreich gegen 5G sind
Einfache, ermächtigende Aktionen, die Sie hier und jetzt ausführen können
Individuelle Lösungen und sicherere, revolutionäre Technologien
Da offen zugegeben wird, dass die Industrie nicht studiert hat, kein Studium plant und nicht einmal über ein Mittel zur Messung von Millimeterwellen wie 5G verfügt, haben wir die Möglichkeit, NEIN zu sagen.

Bitte registrieren Sie sich, schauen Sie zu (ich mochte Devra Davis '

Vortrag, der ein Geschenk bei der Registrierung ist) und unterstützen 

Sie die Bewegung.

 

„Zweifle niemals daran, dass eine kleine Gruppe nachdenklicher, engagierter Bürger die Welt verändern kann. In der Tat ist es das einzige, was es jemals gab. ”- Margaret Mead

Kelly Brogan MD - Own Your Body. Free Your Mind.
The 5G Crisis Summit

Hi Peter Gutschmidt,
Many of us have a habit of acting before we reflect. I've certainly been guilty of that as an individual. But whether it's with regard to smoking, asbestos, DDT, vaccines, or digital technology, because of industry and regulatory enmeshment, we often find ourselves instituting constraints after bodies are already piling up.

We have, now, an opportunity to get informed, empowered, and to take a stand when it comes to the latest unconsented experiment - the 5G rollout.

Intended to facilitate the Internet of Things, here in America, every couple hundred yards, a 5G array will be placed without your permission or approval, including near your child's bedroom, so that your refrigerator can talk to your TV which can talk to your toilet. At least that's the overt narrative.

The darker side includes global surveillance, the capacity to beam millimeter waves for crowd control (or worse), and the unintended but well-evidenced consequences on the biology of living entities including children, plants, and insects.

Thankfully, my friend, Josh del Sol, and my partner, Sayer Ji, have collected experts to inform you of what you might not otherwise learn until harder lessons have been confronted. They’re hosting The 5G Crisis Summit. And what I love about this free online event is that it is presented from a clear place of empowerment.
You’ll discover:
The science about the dangers of 5G and EMF radiation
Sources of wireless radiation and "dirty electricity" in your home
The link between 5G, Al and global surveillance
How groups and individuals are successfully opposing 5G
Simple, empowering actions you can take, here and now
Individual solutions and safer, revolutionary technologies
Because there is frank admission that industry has not studied, is not planning to study, and doesn't even have a means of measuring millimeter wave technology such as 5G, we have an opportunity to say NO.
Please register, watch (I loved Devra Davis's talk which is a gift on registration), and support the movement.
“Never doubt that a small group of thoughtful, committed, citizens can change the world. Indeed, it is the only thing that ever has.” ― Margaret Mead

20. DR. Kelly-Aktuell (18-08-19)

Kelly Brogan MD - Ihren Körper besitzen. Befreie deinen Geist.


Hallo,

Es ist Zeit. Es ist Zeit, sich der Bewegung anzuschließen. Eine Bewegung der Veränderung. Eine Bewegung der Heilung. Eine Bewegung von genug ist genug. Eine Bewegung der Liebe. Eine Entdeckungsbewegung.

Und wir alle haben unseren wesentlichen Anteil an dieser Bewegung. Es gibt etwas, das Sie tun müssen - das NUR Sie tun können -, aber Sie müssen es nicht alleine tun. Tatsächlich können wir das nur zusammen tun.

Ja, Google zensiert die natürliche Gesundheit. Ja, traditionelle und jetzt sogar soziale Medien werden gekauft. Ja, 5G-Arrays bedecken die Erde, unser landwirtschaftliches System dezimiert den Boden und vergiftet unser bereits fluoriertes Wasser, 1 von 4 von uns ist medizinisch versorgt und wir sind kranker als je zuvor auf immer komplexere Weise.

Aber es gibt einen Ausweg.
 
Und es fängt bei dir an.

Es beginnt mit einem klar definierten Weg zu Ihrer persönlichen Kraft. Selbstpflege ist heute die radikalste Art von Aktivismus auf dem Planeten.

Ich habe mein neuestes Buch, Own Your Self, geschrieben, damit Sie ein Handbuch zur Selbstreklamation haben. Und damit unsere Bewegung ihre Marschbefehle kennt, wenn wir uns für das erheben, wofür wir das Recht haben - Vitalität, Frieden und Freude.

Zu behaupten, dass Vitalität, Frieden und Freude erfordern können, dass wir ihre Gegenstücke, Trauer, Wut und Scham kennenlernen. Es kann erfordern, dass wir uns selbst und ALLES, woraus wir gemacht sind, kennen. Können wir die Konversation in unserer Kultur so verändern, dass Platz für diese Teile ist? Für echte, sinnvolle Emotionen? Damit die Kanarienvögel in der Kohlengrube für ihre Gaben geehrt werden?

Ich denke, wir können, und davon träume ich - von der Quantenverschiebung, die niemals aus dem Bewusstsein des Alten hätte hervorgehen können.

Schaffen wir die Voraussetzungen für diese Verschiebung.

Stell dich zu mir. Stehen Sie für ein neues Gespräch über körperliche Souveränität. Über Gesundheit. Stehen Sie für Ihre wahre Befreiung von einem Leben im Laufen. Aus Angst. Steh für dich selbst.

Wir brauchen Unterstützung von der Basis. Wenn Sie also dabei sind, erfahren Sie, wie Sie die Kunst der Disruption einsetzen können. )

Rufen Sie zwei lokale Buchhandlungen an und fordern Sie sie auf, Own Your Self zu führen, wenn es am 17. September in die Regale kommt

Teilen Sie diese Seite einmal pro Woche bis zum 22.9. In den sozialen Medien

Sag es deinen Blicken

Zeigen Sie sich selbst sonntags

Kaufen Sie mehrere Bücher. Wenn Sie dieses Buch verschenken, lassen Sie mich die Wissenschaft von einer neuen Art und Weise, den Körper zu bewohnen und sich auf das Selbst zu beziehen, anstrengen

Veröffentlichen Sie ein Selfie mit Ihrem physischen Buch in der Einführungswoche 9 / 17–9 / 22

Schreiben Sie nach dem 17. September eine Amazon-Rezension (solange ich auf dieser Plattform noch unzensiert bin!) (Und idealerweise nach dem Lesen oder Anhören!)

Dies ist nicht mein erstes Rodeo ... mit A Mind of Your Own haben wir einen Medien-Blackout durchbrochen, der erst 3,5 Jahre später zu mehr Orwellian geführt hat. Es fühlt sich SO gut an, diese Botschaft zusammenzutragen, und ich kann es kaum erwarten, mit Ihnen allen, die tief im Inneren wissen, was möglich ist, in dieses Feld einzutreten.

Herzlich,


Kelly Brogan, MD

P.S. Deshalb denke ich, dass Own Your Self ein wichtiger Beitrag dazu sein könnte, dass Handmaid's Tale nicht zu einem Dokumentarfilm wird. Jetzt ansehen (5 Minuten).
Feedback geben
Verlauf
Gespeichert
Community








Hi there, 

It’s time. It’s time to join the movement. A movement of change. A movement of healing. A movement of enough is enough. A movement of love. A movement of discovery. 

And we each have our essential part in this movement. There is something that you have to do—that ONLY you can do—but you don’t have to do it alone. In fact, we can only do this together.

Yes, Google is censoring natural health. Yes, traditional and now even social media is bought. Yes, 5G arrays are blanketing the earth, our agricultural system is decimating the soil and poisoning our already fluoridated water, 1 in 4 of us are medicated, and we are sicker than we’ve ever been in more and more complex ways. 

But there is a way out. 
 

And it starts with you.

It starts with a well-defined path toward your own personal power. Self-care is the most radical kind of activism on the planet today.

I wrote my newest book, Own Your Self, so you would have a manual for self-reclamation. And so that our movement would know their marching orders as we rise up for what we know we are entitled to—vitality, peace, and joy.

Claiming that vitality, peace, and joy, can require that we get to know their counterparts, sorrow, rage, and shame. It can require that we know ourselves and ALL that we are made of. Can we change the conversation in our culture so that there is room for these parts? For real, meaningful emotions? For the canaries in the coal mine to be honored for their gifts?

I think we can, and that’s what I dream of—the quantum shift that never could have emerged from the consciousness of the old. 

Let’s create the conditions for this shift.

Stand with me. Stand for a new conversation about bodily sovereignty. About health. Stand for your true liberation from a lifetime of running. Of fear. Stand for your Self

We need grassroots support, so if you’re in, here’s how to engage the fine art of disruption ; )

  1. Call two local bookstores and request they carry Own Your Self when it hits shelves on 9/17

  2. Share this page on social media once a week through 9/22

  3. Tell your peeps

  4. Show up to the Own Your Self Sundays

  5. Buy multiple books. When you gift this book, you let me do the heavy lifting imparting the science of a new way of inhabiting the body and relating to the Self

  6. Post a selfie with your physical book during launch week 9/17–9/22

  7. Write an Amazon review (while I’m still uncensored on that platform!) after 9/17 (and ideally after you’ve read or listened!) 



This is not my first rodeo...with A Mind of Your Own, we broke through a media blackout that has only gotten more Orwellian 3.5 years later. It feels SO good to come together around this message, and I can’t wait to step into that field with you all who know, deep down inside, what is possible…



Warmly,




Kelly Brogan, MD

P.S. Here’s why I think Own Your Self could be an important contribution to keeping Handmaid’s Tale from becoming a documentary… Watch now (5 minutes).


21. Hypothese Verhältnis Zeitdauer Telefonieren mit Smartphone    

    und zerstörter Synapsen,   bzw. Neuronen

Ich analysierte bereits, dass die Industrie in die Psychopharmaka Fluor, 

Chlor und Schwefel einbauen und damit die Natrium- und Kalzium-Ionen-

Kanäle der Synapsen zerstören. Ebenso bringt ja die 2-, 3-, 4-, 5-G 
Handystrahlung, ebenso wie das WLAN die Ionen-Kanäle
ebenfalls zum Schwingen und Austrocknen. Ich habe nur noch 
keinen Zusammenhang zwischen Zeitdauer der Belastung, Höhe 
der Belastung und Anzahl der zerstörten Synapsen der Neuronen
gefunden. Ebenso fehlen mir Studien, wie lange es dauert bis ein Flour-,
Schwefel-, oder  Chlor-haltiges Medikament das dopaminerge, oder die 
anderen Botenstoffsysteme so sehr geschädigt, bis sich Anomalien,
wie zum Beispiel das Restless Legs-Syndrom  manifestiert haben.
Ich wollte erst einmal eine Hypothese aufstellen.
Meines Nachbars Frau ca. 33 Jahre ist etwa seit 5 Jahren dem WLAN 
auch des Nachts ausgesetzt. Sie schläft etwa 0,8m  vom Router entfernt 
und ich schätze mit etwa > 1500 Mikrowatt/m² ca. ist sie insgesamt/Tag
so etwa 12 h/ Tag ausgesetzt.
Sie hat des Restless Legs Syndrom, das heißt ihre Präsynapsen 
produzieren kein Dopamin mehr, die Versikel sind leer. 
Nun hat man ja mehr als  300 Milliarden Synapsen.
Nun müsste man wissen wie viele Präsynapsen den Botenstoff 
Dopamin  erzeugen und ab wie viel defekter Präsynapsen dieses 
Phänomen auftritt  und ob es irreparabel ist. Man könnte jetzt sagen 
wir haben etwa 10 wichtige Botenstoffe, also 30 Milliarden/2 gleich
15 Milliarden Präsynapsen sind für das Dopamin zuständig welches 
dann über den synaptischen Spalt an den Rezeptoren der Postsynapsen 
andockt und das Prolaktin vorher verdrängt. Nun müsste man den 
Bereich am eingrenzen, wo zum Beispiel das Handy gehalten wird, 
oder von der Seite der Router wirkt. Ab so 2500 Mikrowatt/² beginnt
der Bereich der Mikrowelle, also 2,5-G, ab da müsste richtig ein 
Schaden passieren. 15 Milliarden Präsynapsen, also der Teil seitlich 
noch einmal auf 1/5 reduziert, also 3 Milliarden Präsynapsen/
5 Jahre/ 365 Tage/Jahr/12h  Belastung am Tag/60 Minuten/h
= 2283 Synapsen/Minute!
Diese Zahl müsste man noch genauer beschreiben, weil ich laut der 
Zeichnungen von etwa 2 Präsynapsen und 2 Postsynapsen pro Neuron
ausgegangen bin. Jedoch egal wie viele das in der Realität sind es 
ging mir lediglich erst einmal um eine sinngemäße Darstellung, bzw. 
Überlegung!


 







Welche neuen Erkenntnisse habe ich 2018 gewonnen?

Diesen Punkt hatte ich auf meiner alten Internetseite auch, aber ich wusste zum Schluss nicht wann ist es keine Neuigkeit mehr.

Ich werde hier konsequent nach 12 Wochen in das Verzeichnis "alte Neuigkeiten" überführen!


Ich habe diese Seite etwas übersichtlicher als die www.peter-gesundheit.de gestaltet!


Meine "Urkost" steht jetzt unter dem Verzeichnis:"Nahrung ist Medizin"


Manche Erkenntnisse sind schwer in meine Gliederung zu  integrieren! 

Also ich lasse die alten Neuigkeiten im entsprechenden Jahresverzeichnis stehen!



   Ein glückliches und gesundes Jahr 2018, für alle meine User!

      Ich habe festgestellt, das die Azidose Eure Hauptaufmerksamkeit erregt hat,

      das ist völlig richtig, weil die körperliche Übersäuerung dazu führt, das der Körper

      Krankheiten nicht heilen kann, das heißt die Selbstheilungskräfte werden blockiert!

      Bei jeder Krankheit, ob körperlicher oder seelischer Natur ist erst einmal Basenkost,

      oder gar Fasten zu wichtigste Therapie, um das System der Selbstheilungskräfte im 

      Körper wieder zu aktivieren! 

      Kryptopyrrolurie heißt der Part der Azidose, woran man dann erkennt, ob das Gehirn mit   

      in Mitleidenschaft gezogen, jedoch der Psychiater behandelt diesen Part extra, lediglich 

      an Hand von äußerlichen Verhaltensauffälligkeiten seiner Patienten, die er durch 

      Befragung und die Antworten des jeweiligen Patienten mit seinen > 297

      abweichenden Antworten seines Psychiatrischen Handbuches DSM IV,, b.z.w. ICD 10 

      vergleicht! er behandelt an Stelle des Darmes dann den Kopf, d.h. lediglich die Symptome 

      und zerstört damit langfristig Dein gesamten Gehirn und noch viel mehr!

      Ende 2017 war ich ein wenig erschöpft, ich werde in diesem Jahr wieder versuchen

      diese Seite mit interessanten Themen zu füllen, zu Mal ich ja einiges von

       Dr. med. Kelly Brogan aus den USA zu geschickt bekomme!

       Ich versuche die Datenflut jedoch zu extrahieren, weil junge Leute heute sehr

       viel machen, jedoch die Wirksamkeit bleibt auf der Strecke!

       Wir "Arbeitsnormer" haben das nach Intensität und Wirksamkeit, bei einer

       Arbeitsstudie, gewichtet!

       Da hat man Arbeiter beobachtet, die sind scheinbar wie ein Brummkreisel um

       ihre Maschine gehetzt und am Ende lagen da vielleicht 50 Teile in der Kiste und

       dann waren da die Guten, die ganz ruhig und gelassen gewirkt, aber am Ende der

       Schicht vielleicht 70 Teile in der Kiste hatten!

       In der Wissenschaft möchte ich Euch den Extrakt bringen, denn es gibt den Leitsatz:

       " In der Kürze liegt die Würze!"

       Habt ein wenig Geduld, denn viel hilft nicht immer viel!

       Ich habe in den USA mehr User als in Deutschland, das ist schon eigenartig, aber es 

       gibt ja den Leitsatz:" Der Bauer im eigenen Lande zählt nicht viel!"

       Jedoch "Hoffen und harren hielt schon machen zum Narren!" und das kann man, 

       speziell in Deutschland laut sagen!

       Nehmt Eurer Schicksal ein wenig mehr selbst in die Hand, speziell wir DDR-Bürger 

       sollten das tun, denn wir denn wir haben leider keinen Walter Ulbricht, oder 

       Wladimir Putin, oder Xi Jinping, oder Kim Jong Un, oder Fiedel Kastro, oder

       Ernesto Guevara, oder gar Stalin, die all ihre Kraft, speziell für das einfache Volk

       einsetzen, oder eingesetzt haben, damit es lange glücklich und gesund lebt!

       Die die wir heute haben, die lassen die Verkürzung des Lebens ihrer Bevölkerung zu!

       Seht Euch dazu speziell die "Sterbequote", "WAO", oder "Langlebigkeit" an!


       Ich gehe mit der Hoffnung schwanger, den Einen, oder Anderen aus dem

       "Dornröschenschlaf" geweckt zu haben, wie einst die gute Dr. Galina Schatalova!!!



    

Entschuldigt, bin heute am 9.01. 65 Jahre jung geworden, aber das Foto ist 10 Jahre alt, 

jedoch wenn man sich überwiegend vegan ernährt dann wird man zum 

Baron  "Münchhausen", also etwas Zeit loser!



9. Neue Idee, der Diagnose bei Erkrankungen-> Belastungsdiagnose! 
Hallo Dr. Kelly!

Ich habe ein wenig Brainstorming gemacht und das Ergebnis sind die zwei Belastungstabellen in der Anlage!

Dr. Galina Schatalova hat ermittelt, dass jeder etwa 50.000.000 Kcal/Leben

zur Verfügung hat! Teilt man die sich gut ein kann man über 100 Jahre alt werden!

Wenn Du jeweils das Beispiel 2

Dir anschaust, wo Stress mit im Spiel, da verkürzt sowohl der Arbeiter, als auch der 

Programmierer, jeweils sein Leben erheblich! Also ganz, ganz wenig arbeiten und 

kein Stress liebe Dr. Kelly!

Ich werde noch eine Tabelle erarbeiten, wo die schädliche Überlastung des Gehirns, des 

Körpers, zu viel Cortisol, Prolaktin, Alkohol,Nicotin, Drogen,Glutamat, Aspartam, Natriumfluorid im Trinkwasser, oder Speisesalz, Jod, Tabletten, u.s.w., mit den zusätzlich 

sterbenden Gehirnzellen in Verbindung steht, und wenn der Hippocampus keine neuen 

Gehirnzellen mehr produziert!

Wie findest Du das, hast Du schon einmal so quer gedacht???

Liebe Grüße Peter Gutschmidt



Mal sehen, ob Dr. med Kelly mir da folgen kann, denn ich möchte einen völlig neuen 

Diagnoseansatz für die Ursachen Ermittlung von körperlichen und seelischen Erkrankungen

aufzeigen, denn bei Überlastung der Gehirns entsteht Cortisol in solchen Mengen, dass der

Hippocampus betäubt und die Nervenneubildung einstellt!

Bei ständiger körperlicher Überlastung steigt der Prolaktinspiegel erheblich an, ebenso bei 

der Einnahme von Antidepressiva und Neuroleptika!

Hier werden dann die Dopamin Rezeptoren dauerhaft blockiert und Nerven sterben ebenfalls!

Ich muss nur noch die Mengen ermitteln, um dann zu sagen wann es gefährlich wird!


Prolaktinspiegel normal:


Mann 15 myl/Liter Blut

Frau   20 myl/Liter Blut


Nach 2 Jahren des Neuroleptika Valproat hatte ich 100 myl/Liter Blut, wo sich ein 

Mikroadenom an de Hypophyse bilden kann!

Bei 200 myl/Liter Blut kann das ein Prolaktinom werden, welches auch häufig bei 

Leistungssportlern, wie Marathonläufern, oder Bodybuilder auftritt!


Ich muss hier recherchieren wie viel Nervenzellen, dabei zu Grunde gehen!

Ziel ist es dann zu sagen, wenn in dieser, oder jener Hirnregion etwa 

2 - 5 Milliarden, oder mehr, Hirnzellen tot, dann manifestiert sich zum Beispiel das 

Korsakow-Syndrom, oder Schizophrenie, oder Demenz, oder ALS, u.s.w..



       


  



Man kann hier die Tabellen noch tiefer strukturieren, jedoch ich wollte das Problem
so einfach wie möglich an denken!

      


        

Ich habe allerdings die Grundumsätze des Menschens halbiert, weil ich nicht glaube dass der Mensch in völliger Ruhe 1 Kcal/Minute verbrennt, da habe ich auf 1/2 Kcal/ Minute reduziert, weil man sonst, allein für 24 Stunden Ruhezustand, über 2000 bis 3000 Kcal Nahrung zu sich nehmen müsste!

Nutzungsgrad Gemüse, Nüsse, Getreide und Obst 95%

Nutzungsgrad Fleisch, etwa 55 %

Nutzungsgrad Fastfood << 50 %

Meine Hypothese aufbauend auf Dr. Galina Schatalovas Erkenntnissen

etwa  750 Kcal vegane lebendige, frische Nahrung für den Grundumsatz

etwa  820 Kcal vegane lebendige, frische Nahrung für den Arbeitsumsatz, dass heißt 

maximal rund 1600 Kcal gutes Essen und nicht mehr als 1500 Kcal Energie aufwenden/Tag, 

inklusive Grundumsatz, dann wird man etwa 90 Jahre alt bei guter Gesundheit!!!


Also bei den Fleischessern muss man das alles, durch die tote Nahrung verdoppeln!


Merken tun die das entweder nie, oder wenn es fast zu spät ist!!!!


Das ist Heute fast Utopie, dass schaffen nur noch ganz gesunde einfache Volksgruppen,

denen man bisher vergeblich versucht hat den Scheinluxus schmackhaft zu machen, oder die in Katar, die den ganzen Tag nur Spaß haben!!!


Mal sehen was die Frau Dr. med. Kelly dazu meint!


10. Auswertung eines Berichtes von Dr. med. Kelly Brogan

In einem der vorletzten Berichte von Dr. Kelly, fand ich einen Satz der sehr bezeichnend

war! Ich geben ihn Sinn gemäß wieder:


....." die häufigen Dramen an Amerikanischen Schulen, in denen Schüler durchdrehen,

oder wild um sich schießen, da hat man festgestellt, dass die betreffenden Täter überwiegend

unter dem Einfluss von Neuroleptika, oder Antidepressiva standen"......................


Ich reiche den Artikel nach! Siehe Oben Erkenntnisse "2018 alt"

Ähnliches hatte ich jedoch auch schon häufig in Berichten von Dr. Schnitzer, oder anderen

fortschrittlichen Ärzten gelesen.


Versuche in Amerikanischen Gefängnissen mit sehr guter vegetarischer Nahrung hatten

vorher sehr brutale Jungens zu ganz friedlichen Menschen gemacht!!!!

Ich habe mir sehr oft Berichte aus Gefängnissen angesehen, die bekommen teilweise 

Schweinefraß und kaufen sich meist von ihrem wenigen Lohn dann selbst etwas!

Aber die Snacks, oder Müsli-Riegel sind jedoch auch lediglich tote Nahrung, die dem

Gehirn wenig Gutes für die Serotonin-, oder Dopamin-Bildung liefern!

In Frankreich, oder Italien werden die Gefangenen sehr häufig mit Beruhigungsmitteln, 

Antidepressiva, oder Neuroleptika ruhig gestellt!

Wenn sie die Strafe verbüßt hängen die meist ein Leben lang an der Nadel!

Entweder bekommen sie Depressionen, die häufig zum Selbstmord führen, oder sie 

werden noch aggressiver!

Hier wird von Seiten des Staates Totschlag begangen!

Präsident Trump wollte eigentlich dagegen angehen, denn ein Waffenverbot würde nichts 

ändern, denn ein ganz gesunder Mensch, würde sie nie in dieser Weise einsetzen wie 

das speziell bei den Amerikanern im Moment passiert, denn die Schweizer haben ähnlich

lockere Gesetze und haben auch frei verkäufliche Waffen. Selbst in Russland passiert hier 

wenig, weil die Russen sich auch noch relativ natürlich ernähren!


Auch regeln die Naturvölker noch sehr viel mal ein wenig verbal, oder mit der Faust, wo man 

hier gleich in der Psychiatrie landet und eine Abweichung bekommt, was der Anfang vom Ende mit den natürlichen Emotionen ist!


Nochmals zur Ernährung von Gefangenen!


Ich bin Mitglied einer Gartensparte und wir hatten da auch ein Mitglied der war in einem

Gefängnis, Wärter! Ich wunderte mich, Mensch der wird ja von Jahr zu Jahr fetter und

der war auch nicht besonders geistig auf der Höhe der Zeit!


Eines Tages erfuhr ich durch Zufall, der ist versetzt worden, weil er hat Jahre lang Essen

von den Gefangenen für seine Familie abgezweigt! Auch seine Frau war adipös so

2. bis 3. Grades und sehr aggressiv. Also mit der konnte man sich nicht verbal auseinandersetzen, die hat einen zu Boden gebrüllt!


11. Einige Recherchen und Schlussfolgerungen zum Gehirn

Gehirn

 ( Diese Aussagen habe ich von Anneke Meyer und Konrad Lehmann zusammen gefasst
    und ein wenig weiter überlegt!)

Die Neuronen sind die klassischen Signal übertragenden  Zellen des Gehirns!
Von ihnen soll es etwa 85 Milliarden geben.

Zwischen den Neuronen liegen die Gliazellen, auch etwa 85 Milliarden!


Es gibt da jedoch mehrere Sorten von Gliazellen!


Eine Sorte sind die Oligodendrozyten, die, die so genannte weiße Substanz ausbilden!
man muss sich diese wie eine Isolationsschicht um ein Kabel vorstellen!

„In dem die Oligodendronzyten die Fortsätze ummanteln und isolieren, unterstützen sie
 den Signalaustausch passiv.“

„Was man bisher nicht wusste ist, dass diese speziellen Gliazellen solange sie jung und noch
 nicht ausgereift sind, auch aktiv zum neuralen Funkverkehr beitragen!“

 Die Gliazellen erzeugen ein bestimmtes Protein und wenn das fehlt, dann verändert sich die  neuronale Informationsübertragung grundlegend!

 Die Synapsen verändern dann dauerhaft ihre Information, was bedeutend ist für Lernvorgänge!

 Fehlt dieses Protein der Gliazellen, dann  funktionieren diese Lernvorgänge im 
 Gehirn nicht mehr, was dramatisch ist!

 Gibt man das Gliazell-Protein wieder hinzu, funktioniert das zelluläre Lernen wieder.

„ Aber das diese jungen Oligodengronzyten nicht nur Signale empfangen, sondern auch Signale   an das Netzwerk geben ist völlig neu.“

Sie sind also ein Teil des Netzwerkes!

Dies ist meine Hypothese aus dem was die beiden o.g. Wissenschaftler ermittelt haben:

Wenn de Hippocampus neue Neuronen bildet, das bedeutet den Hauptspeicher erweitern,
man lernt also Neues, jedoch es fördert das Vergessen, denn man beraubt sich der Möglichkeit die Festplatte (rechte Gehirnhälfte) anzuzapfen!

Wenn man jetzt durch Stress und damit einem hohen Cortisol Spiegel, sowie Alkohol, Drogen, Glutamat, Natriumfluorid, Aspartam und ähnliche Stoffe den Hippocampus betäubt, oder gar gänzlich ausschaltet, dann verliert der Mensch, die Fähigkeit der Mustertrennung!

Man hat festgestellt, dass beim Laufen, oder bei epileptischen Anfällen sich die Zahl der Neuronen erheblich erhöht!

Es gibt ein Bax-Gen welches der zentrale Schalter für den programmierten Zelltod ist.
Es sorgt dafür dass die Zellen einen geordneten Zelltod  begehen, ohne das umliegende Gewebe zu schädigen. 


Normalerweise stirbt der größte Teil der neuen Neuronen innerhalb weniger Wochen!
Wenn man das Bax-Gen ausschaltet, dann integrieren sich die neuen Zellen automatisch im Hippocampus!

Man hat bei Ratten ermittelt, dass dann die Tiere mit den extra vielen Neuronen einen fast
doppelt so guten Orientierungssinn wie die normalen Tiere hatten.

Man hat aber weiterhin ermittelt, dass die etablierten Zellen erheblich effizienter arbeiten, 
b.z.w. codieren als die neuen!

„Je mehr neue Neuronen gebildet werden, also je stabiler das System, desto weniger flexibel
  ist es und umgekehrt!“

„Hohe Lernfähigkeit muss ihren Preis im schnelleren vergessen haben!!!!“

Beweis:

„Junge Tiere vergessen Schmerzen schneller(2 Wochen) als alte erwachsene Tiere
( auch nach 4 Wochen noch nicht)“

„Wenn man durch Laufen, oder pharmakologisch die Zellbildungsrate erhöht, dann vergaßen die   Tiere auch schneller!“


Diese Erkenntnis macht sich die Medizin mittels Antidepressiva zu nutze, um PTS zu 
mildern, also vergessen durch so zu sagen ungebildete Neuronen!


Für mich ist das jedoch nur eine Symptom Bekämpfung, bei der jedoch die Nerven langfristig
auf der Strecke bleiben, was langfristig im Total vergessen= Demenz enden kann!!!

Das Schlimme ist die hohe Prolaktin Bildung und damit Dauerblockaden der Rezeptoren der
Postsynapsen, oder Dauerverschluss der Natriumionenkanäle!


Beides kann zum Massensterben von Nerven führen!!!

PTS und auch andere seelische Störungen kann man nur aktiv, durch Ruhe, gute Ernährung und tägliche Erfolgsergebnisse in einer Tätigkeit, oder Hobby, ohne jeglichen Zeitdruck,
mit viel Zuneigung von außen erreichen!

Alles andere ist die Verschiebung des Gleichgewichts der Natur, welche  sich in jedem 
Falle rächt!


12. Ein Kommentar von mir, der alles sagt:

Ich habe in Berlin an sehr vielen Protesten teilgenommen, wir hatten unsere Botschaften 

an Frau Merkel an eine riesige Wäscheleine vor den Bundestag geheftet! 

Reaktion, Kommentar=Null!

Es ist ja nicht nur Glyphosat, es ist das Natriumfluorid im Trinkwasser, 500 Zusatzstoffe in der Nahrung, Salz mit anorganischem Fluorid, Jod, Folsäure und Aluminiumcyanid, als Trennmittel versetzt! 

Da ist das verheerende 405'er Mehl, der Zucker, Aspartam, Glutamat! Mit Cobald 60 

bestrahlte Lebensmittel, gespritzte Zitronen, Apfelsinen, Bananen und Äpfel!

Die Giftmengen die  auf uns täglich einwirken, das führt langfristig zu Erbgutschäden an 

unseren Nachfahren, die züchten Behinderte! Die Psychiater, die Mikrochirurgen, 

die Hautärzte, die Katheter Industrie, die Insulin Pen Hersteller, die Herzschrittmacher Fertiger, die Dialysegeräte, Blutwäsche Gerätschaften, die Rollator Industrie, die  Betreuungsstationen, überall brummt das Geschäft auf Kosten unserer Lebensqualität, unserer  Lebensjahre und unseres Ersparten!

Das ist schleichendes Entsorgen von uns!

Ja man hat den Tages Rhythmus der Fruchtfliegen untersucht und festgestellt, dass sie 

auf Zeitverschiebungen mit kürzerer Lebenszeit reagieren.

Dafür haben die Amerikanischen Wissenschaftler den Nobelpreis bekommen.

Tja unsere Sterberate möchte man ja eher erhöhen, deshalb des Urteil des 

Bundestages die Sommerzeit nicht abzuschaffen!

Horst braucht eine höhere Zahl Einwanderer, vor allen Dingen Islamisten, sonst hat

er keinen Gesprächsstoff!


Drei Dinge braucht der Horst:


- Obergrenze

- Islam

- Heimatmuseum



13. Die bessere Erklärung des Peter-Prinzips

Mir kam heute die Eingebung Euch einmal grafisch darzustellen, warum heute in Europa und

in Amerika politisch und wirtschaftlich nur noch Chaos ist und warum die Asiaten, Araber und

uns Russland Meilen-weit voraus!


Das kann man am Besten mit dem "Peter-Prinzip" erklären


  • img079


Tja ich habe das "Peter-Prinzip" einmal als Gaußsche Glockenkurve dargestellt, die von  den

Entwicklungsebenen, individuell von den Fähigkeiten des Einzelnen, durchzogen!


Stufe - 1      Kindheit, Schule und die schwarze Strichlinie deutet an, wenn der Psychiater ein 

                     Kind in die Finger bekommt, oder es mit Drogen und anschließen das Martyrium 

                     Psychiatrie durchläuft! Diese Kinder, oder Jugendlichen schaffen maximal die 

                     Stufe 3, oder landen gleich in einer Behindertenwerkstatt und dem betreuten 

                     Wohnen, oder schlimmer!

Stufe 2 bis 

Stufe 4 *       Je nach Veranlagung, oder Förderung sind das ganz normale Menschen, die    

                      einen  Beruf lernen und sich bis zum Meister, oder als Selbständiger 

                      Handwerker  entwickeln und in der Ebene 5 ihre Stufe der höchsten 

                      Vollkommenheit erreichen und auch so von vielen anerkannt und wenn sie 

                      gesund bleiben zufrieden alt werden! (Sehr selten geworden!)



* Zu der Haltelinie in Stufe 4, hier wird die Masse der Bevölkerung ausgebremst, ihre

   höchste Stufe der Selbstverwirklichung, verbunden mit einem gesunden, glücklichen 

   Lebensabend zu erreichen! 


Maßnahmen:

Erstens gehören die > 15.000 Medikamente auf den Prüfstand, denn ich glaube in der DDR hatten wir höchstens 1/4 und das zu moderaten Preisen. Weiterhin müssen, die Medikamente hier in Deutschland gefertigt werden, weil das was aus Indien und China kommt, teilweise katastrophale Nebenwirkungen verursacht, wie ich letztens in einer Sendung mit erschrecken gesehen! Die Psychiatrie gehört abgeschafft, weil das Behandeln des Gehirns mit Neuroleptika und Antidepressiva die Selbstheilungskräfte für immer zerstört! Siehe Aussagen der Psychiaterin Dr. med. Kelly Brogan aus New York. Sie behandelt den Darm und hilft den Patienten ihre Lebensumstände zu verbessern. Das würde Milliarden € sparen und die Gesundheit der Menschen völlig wieder herstellen! Hier betreibt man Körperverletzung, bis hin zum Todschlag und lässt sich das vom unwissenden Patienten auch noch bestätigen. In China wurde der Arzt vor Jahren nur für gesunde Menschen bezahlt und die Kranken musste er auf seine Kosten heilen!
 

Stufe 6         Erreichen meist Leute mit Studium in Politik, Wirtschaft, oder Militär!

Stufe 7         Sind Menschen mit Weitblick und strategischer Veranlagung, die ein 

                      ganzes Volk führen können!

ab Stufe>7  Beginnt für mich der Druiden-Modus, also Menschen die den kompletten 

                     Durchblick der Zusammenhänge Mensch/Natur/Universum begreifen und 

                     alles im Sinne der Erhaltung der Welt innerlich spüren und äußerlich zu 

                     verwirklichen in der Lage sind!


Die letzt Genannten erreichen die höchste Stufe der normalen Menschen (7) Mühe los und

wachsen über sich hinaus, sind zeitlos voller guter Ideen zum Wohle der Menschen und sind bis zu ihren Tode, unerreicht!


Da habe ich eine 2. Gaußsche Kurve über die Normale Nr.1, gelegt!


Das "Peter Prinzip" bedeutet aber heute für viele, sprich die überwiegende Zahl der

 Menschen in der Stufe 7, dass sie ja nicht mehr wie früher in Indien von Stufe zu Stufe 

 durch einen Brahmanen, Wesir, oder übergeordneten Vorgesetzten,  der ihre Fähigkeiten 

erkennt, gehoben werden,  sondern durch Ellenbogen, Bestechung, oder weil kein anderer 

da, aufsteigen! Damit beginnt jedoch der freie Fall für einige, oder es werden in der Politik, 

oder Wirtschaft, speziell für diese Menschen Posten geschaffen!


Heimatministerium

Bundespräsident

Verkehrsminister

Digitalisierungsminister


In Bayern neu 1000 Grenzbeamte und 1000 Beamte für Asylbewältigung!


Wer arbeitet eigentlich noch richtig???????

Was das alles kostet sind mehr als 10% Normerhöhung, ergo 17.Juni 1953!

Wir sind nicht bei 110% sondern >>>>150 %, wir brauchen 2,8 Erden für diesen Standard!

Das soll mal der Zollstock-Mann der SPD, Lothar Binding, im Bundestag, vielleicht diesmal

mit einem 4-5 m Rollmaß erläutern!!!!!!!!!


Das Einzige was wir uns in der DDR geleistet haben, war "Horch und Schau", aber

das war notwendig, die waren leider nicht gut genug!!!!!!!


In der Industrie gibt es da unzählige überflüssige Posten, schaut mal selber!

( Hauptabteilungsleiter, Haupttechnologe, Obermeister, Chefkonstrukteur, Verwaltungsrat,

 Präsentation, Repräsentation, Sprecher für den jeweiligen Direktor, Stabsstellen, Bedienstete

u.s.w., u.s.w., u.s.w.)

Unsere so genannten Leistungssportler, die da gehaltlich mitgeführt, aber lediglich trainieren! Das passiert auch bei der Polizei und der Bundeswehr!


Und:

X Krankenkassen

X Mediziner, Oberärzte, Chefärzte, unzählige Einzelspezialisten, die , die Gesamtsituation 

   einer Patienten Diagnose und die Auswirkungen der > 15.000 Medikamente gar nicht mehr 

   überblicken und Patienten haften selbst mit ihrer Einwilligung zum Blindflug!

X Versicherungen 

X Berater, Unternehmens-, Vermögens, Telefon-, und, und, und, und,

X Makler

X Banken

X tausende Lobbyisten ( EU auf 750 Abgeordnete kommen 30.000 Lobbyisten),

   Bundestag??????????????????????????????????????

X Umweltretter, nutzlose!!!

X Rechtsanwälte, Richter, u.s.w., die das Recht der Kleinen verbiegen, oder beugen!!!!!

X Parteien und Vereine

X Ärzte, Wissenschaftler, die die Heilkräuter der Natur, billig mit ungeheuren 

   Nebenwirkungen, nachahmen und nur Unheil schaffen!

X Lebensmittel-Killer, die die wunderschönen Naturprodukte schänden!!!!!!

X Chemische Fabriken die den Untergang von Mensch und Natur rasant beschleunigen

    -> Die von mir bezeichneten Zauberlehrlinge zum Beispiel von "Misrato"

X Militärische Erfindungen die das Ende von der Erde und den Menschen rasant beschleunigen!

X Stiftungen

X, X, X, X, X, X, X, X, X, X, X, X, X-Posten, Pöstchen, Ehrenämter, Arbeits- Ämter, Finanz-Ämter,

Bundesverkehrsamt, Ämter, Ämter, Ämter!

Spart man die alle ein, wären die Schulden der BRD=+++0,000€

Ich habe die irdischen Mittler bewusst ausgelassen, ich will den kleinen Menschen 

ihren Glauben lassen, obwohl mir meiner geklaut wurde!

Wenn die alle einmal richtig arbeiten würden...........................................................!

In der DDR mussten die arbeiten!!!!

Wir hatten eine schlanke Verwaltung und waren alle viel schlanker, gesünder,

klüger und hübscher und nicht so hinterhältig!

Aber wir haben leider fast gleich gezogen!!!!!!

Ja so ist das wenn die Maslowsche Pyramide auf dem Kopf steht!!


Aber ich denke die ganz Oben genannten werden das wieder ins Lot bringen!

Wladimir, Kim, Xi, Angela, Recep, Hassan,  Baschar und viellllllleicht auch der Donald!


Tja und die Quereinsteiger, wie Martin, Horst, Siegmar, Jens, u.s.w., für

die habe ich die Martins-Linie extra gezeichnet, weil die innerhalb der Gaußschen

Glockenkurve den negativen Schleudersitz gewählt, oder automatisch da hin

gelangt, ohne je den Zenit erreicht, oder überschritten zu haben!


Wie sagt der Winzer: " Guter Wein muss reifen!!!!!"


Ich schaue immer bevor ich eine Tätigkeit übernehme in den Spiegel und sage mir:

" Ist das was du da machst zum Wohle der Menschen? Bringt das zu erwartende 

   Ergebnis den Menschen, oder der Natur etwas?"

Wenn nicht, lasse ich es lieber!!!!!


14. Was geschieht derzeit Welt weit?


Durch die Globalisierung versucht man, zur Zeit, über Dumpingpreise den Afrikanern

ihre Naturlebensweise also Maniok, Hirse, Zwiebeln vergessen zumachen mit hoch 

gezüchtetem Weizen und Zwiebeln, deren Nährstoffe keinesfalls denen der Afrikanischen 

Produkte gleich kommen. Das wird auch langfristig diese Menschen degenerieren und 

schwer krank werden lassen!

Ebenso bei den Indern die verstärkt von der veganen Ernährung zu Hühnerfleischessern 

um gewöhnt werden!

Vergesst nie das der Körper der einzelnen Menschen auf die regionalen Bodenverhältnisse, von

Geburt an eingestellt, das heißt, dass einzelne Aminosäuren, oder auch Mineralien, oder 

Enzyme die in zum Beispiel in Afrika essentiell, in Europa, teilweise,  nicht essentiell sind, 

weil hier der Körper das selbst bildet und ebenso umgekehrt.

Wenn ich jetzt durch den globalen Handel, Obst und Gemüse quer durch die Welt 

verschicke, werden immer mehr Allergien von den zusätzlichen, oder auch fehlenden 

Aminosäuren, oder anderen Bestandteilen, ausgelöst!

Das merkt man auch am Jod Bedarf, weil in der einen Region kommt der Mensch mit weniger

 aus und in der anderen benötigt der dort wohnt mehr! Durch diese Verallgemeinerung und 

Vermischung der Bedarfe werden immer mehr Menschen schwer krank!

In Asien ist der geschälte Reis und die Amerikanische Lebensweise, speziell in Hongkong, 

Taiwan und auch Vietnam, sowie in Japan schon nach dem 2 Weltkrieg, Ursache für 

schwerste Zivilisationskrankheiten!

Keiner merkt es weil der allgemeine Stress immer größer wird und viele dazu gezwungen 

sind sich irgendwelchen Fastfood-Dreck zu essen!

Das ist aber der Anfang vom Ende der Menschen, aber es wird auch langfristig die Macher 

einholen, denn wenn die Bauern es verlernen gute Nahrung anzubauen und die Erde vergiftet ist nützt auch keine Gendatenbank mehr, denn diese Naturnahrungsmittel-Pflanzen brauchen ihren alten jungfräulichen Boden!

Hier ist der Kapitalismus einen Schritt zu weit gegangen zu seiner Selbstzerstörung und damit der Vernichtung allen Lebens auf der Erde!


Übrigens, das hatte der weise Phrygische Fabeldichter "Aisopos, oder Äsop schon

vor 2500 Jahren erkannt, ohne unsere ganze Technik, nein seine rechte Gehirnhälfte schaltete 

sich immer automatisch ein, wenn er einen Frevel an Mensch, Tier und Mutter Natur aufdeckte:


"Diese Erde hier, das ist die Mutter, und alleswas aus eigenem in ihr wächst, das sind  ihre  Kinder. Dieser Gärtner dort, das ist der Vater, und alles was er an Samen und  Setzlingen bei sich trägt, das sind seine Kinder.

 Nun fällt der Gärtner über die Erde her, gräbt in ihr und bearbeitet sie: der Mann heiratet  

 die   Frau. In dieser Ehe aber sind zweierlei Kinder. Die Erde ist Mutter gegenüber den  

 Kindern, die sie selber geboren. Die Erde ist Stiefmutter gegenüber den Kindern, die  

 der Mann in die Ehe  gebracht. Liebevoll zieht die Erde auf, was aus ihrem Schoße kam,  

 hassvoll duldet sie nur was fremden Wehen entstammte." 


Nun werdet Ihr mich vielleicht wieder als Spinner abtun, jedoch ich weiß wovon ich rede, weil ich sehr, sehr aufmerksam. speziell den gesundheitlichen Verfall der Flüchtlinge Tag für Tag, hier in meinem Umfeld beobachte! Ich besuche regelmäßig, die Psychiatrische Klinik in meiner Nähe und schaue was da so für Patienten untergebracht!

Der Anteil der Flüchtlinge wird immer höher und vor allem, außergewöhnlich, viele junge 

Menschen!

Wie Frau Dr. med. Kelly Brogan aus Maryland berichtet, es wird keiner geheilt, nur 

ruhig gestellt und das führt dann unweigerlich bis zur Unselbständigkeit und langsamen 

körperlichen Verfall und betreutem Wohnen!


 


16.) Schaut einmal unter Berichte von Dr. Kelly, da sind jede 

        Woche 2 Neue  von mir eingefügt!


17.) Ich habe bei der Telekom einen Account:

     

 http://community.t-online.de/community/id/aisopos.html,

Hier hatte ich versucht sowohl meine medizinischen Erkenntnisse zu veröffentlichen,

als auch zu politischen Themen Stellung zu beziehen!

Der ist ab dem 11.04.2018 gesperrt worden, ohne Begründung!

Ist mir aber auch Scheißegal!

Es gibt da ein Tagebuch mit dem Ausspruch:

"Von Idioten umzingelt!"



18. Mein Account ist immer noch gesperrt!

Aber die Meldung heute, dass das CIA behauptet das Präsident Trump skrupellos ist,

das konnte ich nicht glauben, weil die ja eigentlich die Killer sind!

Erinnert Ihr Euch an die kleine  ....Jackson aus den USA, die da wörtlich sagte:

"Ihr werdet es dem Donald Trump noch einmal danken!"


Wir hatte bei der NVA, wie auch in der Bundeswehr die Ausbildung:

"Täuschen und tarnen", weil das doch die Briten im 2.Weltkrieg so meisterhaft

geschafft hatten alle, außer den General Rommel", zu täuschen!


Glaubt Ihr wirklich Präsident Trump beherrscht diese Taktik als ehemaliger

Entertainer nicht?????

Ich glaube unsere Angela die ist ebenso klug wie er und unser General a.D. Harald Kujath!


Unseren Brandstiftern, wie die der FDP, denen würde ich, wenn ich Angela wäre, eine Uniform

plus ein G36 verpassen und nach Syrien schicken. Die sind ja so klug, vielleicht holen die

nicht bloß mit der Schnauze, sondern mit ihren 4 Buchstaben die Kastanien aus dem 

Feuer!  Die Können ja mit dem jungen Napoleon-Macron mitmarschieren, der bietet sich

ja richtig an, den Opfertod, zu sterben, aber leider geht er nicht selbst!

Ich glaube die Fremdenlegionäre lachen sich kaputt!

Aber leider müssen sie dann die Scheiße ausbügeln, für nichts!


Alle Fremdenlegionäre, Mariens, oder SAS-Kämpfer, die heute an PTS, grauenvoll, leiden 

und das Erlebte Nacht für Nacht wieder durchstehen müssen, sollte einen Aufschrei an 

diese beschissene Gesellschaft senden!


Wofür sind die Russischen Helden in Stalingrad eigentlich gestorben??????

Wofür sind eigentlich die Vietnamesischen Helden gestorben, seht Euch mal deren Enkel an,

die sind so blöd und naiv, da könnte man heulen!


Die Einzigen die Ihre Väter und Mütter ehren und ihr Erbe weiter erhalten sind:


Wladimir Putin

Kim Jong Un

Xi Jinping

Diese Männer verehre ich zu tiefst und hoffe, das sie alle Menschen dieser Welt

aufwecken aus dem trügerischen "Dornröschenschlaf"!


Prinz Amerika, Prinzessin England, und der neue Napoleon, werden sie nicht liebevoll

wach küssen, vielleicht mit Raketen?


Habe mich leider doch geirrt, denn heute am 14.04. ist es geschehen, die haben Luftschläge 

in Damaskus gemacht! Leider werden die Briten immer ein Piratenvolk bleiben und die 

Franzosen werden auch nicht klug, denen sind ein Menschenleben, oder ein Volk egal ist, 

aber das wird sich rächen da bin ich mir sicher!

Die gehören nicht in die Europäische Gemeinschaft, ich hoffe wir Deutschen mischen uns 

nicht ein, weil wir immer dazu verdammt sind die Zeche zu bezahlen!


19. Seelische Erkrankungen

Bei fast allen seelischen Erkrankungen handelt es sich um die so genannte  Kryptopyrrolurie, das heißt man findet im Urin wichtige Mineralien und Vitamine, die der Botenstoffbildung fehlen! Weil der Darm entzündet, oder Laky Gut vorhanden gehen die Giftstoffe nicht über die Leberpforte in die Leber und werden dort entgiftet, sondern direkt ins Blut und nun schalten die Zellen auf Notprogramm und entgiften selbst! Das psychiatrische Handbuch wo Patienten vom Psychiater befragt und deren Antworten mit denen eines so genannten "Normalmenschen" verglichen werden ist eine Fehlentwicklung, weil jeder Psychiater den Normalmenschen anders sieht! Diese Gutachten sind zu über 80% falsch! Wenn einmal etwas in der Medizin festgelegt, egal ob falsch, dann dauert es teilweise 100 Jahre bis sich mal ein Guter durchsetzt!Diese Sache schätze ich als hoch kriminell ein!!!!!

Seit über 100 Jahren quält man Menschen in der Psychiatrie, obwohl sie lediglich seelisch 

erschöpft, oder die falsche, also,  Industrienahrung zu sich nehmen!


      (Kryptopyrrolurie heißt der Part der Azidose, woran man dann erkennt, ob das Gehirn mit 

    in Mitleidenschaft gezogen, jedoch der Psychiater behandelt diesen Part extra, lediglich 

      an Hand von äußerlichen Verhaltensauffälligkeiten seiner Patienten, die er durch 

      Befragung und die Antworten des jeweiligen Patienten mit seinen  297 abweichenden 

      Antworten seines Psychiatrischen Handbuches DSM IV, b.z.w. ICD 10 vergleicht! 

      Er behandelt an Stelle des Darmes dann den Kopf, d.h., lediglich die Symptome 

      und zerstört damit langfristig Dein gesamten Gehirn und noch viel mehr!  )


Das ist eines der Schlimmsten Verbrechen an der Menschheit!


Jetzt wollte man und das ist pervers, in Bayern Listen, mit seelisch Erkrankten führen, um

die dann nochmals als Kriminelle zu bestrafen!

In Bayern ist man gedanklich immer noch vor 1945

Ich wurde jedes Mal bei Burnout, wie ein Verbrecher nieder gespritzt, selbst in der eigenen 

Wohnung und zwei Mal sogar in Handschellen, immer mit Polizei-Eskorte in die Psychiatrie 

gekarrt, der Richter folgte auf dem Fuße!

Hier hat man einen neuen Industriezweig entwickelt!

Ich werde mir das nächste Mal einen Russischen Anwalt suchen um diese Verbrecher 

zu Fall bringen!

Weil 100.000 sende junge Leute in den Gefängnissen, im betreuten Wohnen und 

Behindertenwerkstätten werden ganz perfide legal, langfristig zu Tode gemartert!

Das was vor 1945 vor der Öffentlichkeit verborgen geschah, geschieht jetzt unbemerkt 

unter uns!

Wenn dann ein Mensch sich eigentlich aus Selbstschutz wehrt, dann heißt es in den 

Nachrichten, dass verstärkt Krankenpfleger, oder Rettungssanitäter angegriffen werden!

Könnt Ihr Euch eigentlich vorstellen wenn man Schuld los, 

wie ein Verbrecher behandelt wird???

Ich war ein angesehener Ingenieur und plötzlich......................!

Ihr müsstet einmal, wie es mir geschehen, sehen was da abgeht!

Ich saß völlig Ahnungslos in meinem Zimmer, plötzlich 3 Rettungssanitäter, plus

zwei Polizeibeamte strecken mich auf meiner eigenen Couch nieder und versuchen mir 

eine Spritze zu verpassen. Das ging 4 x schief und beim 5 x Mal ging ich nieder und wachte 

mit Risperidon angefixt in der Psychiatrie auf!

Dies geschieht so vielen jungen Menschen ganz heimlich und eigentlich ist damit ihre 

Zukunft im Eimer!

Ich habe mich selbst geheilt, aber viele meiner jungen Freunde vegetieren im betreuten Wohnen, oder zu Hause, oder Psychiatrie, oder im Gefängnis dahin, ohne Gnade, ohne Hilfe von außen!

Ja lieber Präsident Erdogan, das hast Du richtig erkannt!

Homöopathischer Nationalsozialismus!

Es gab einmal einen Film:" Die Mörder sind unter uns!"

Jetzt stellt Euch einmal Marines, SAS-Kämpfer, Legionäre, oder Kameraden aus der 

Bundeswehr vor, die bei den Dauereinsätzen Grauenhaftes erlebt haben, vielleicht gefoltert 

wurden, oder ähnliches und PTS bekommen!

Das bedeutet, dass sie sogar zu Hause Nacht für Nacht das Grauenhafte im Traum 

wieder erleben! Im Gehirn wird das aktiv wieder erlebt, es denkt das passiert wirklich und 

schüttet  Adrenalin,  Noradrenalin und Cortisol aus! Derjenige ist Morgens völlig erschöpft 

und immer in Angst! Der Hippokampus liegt lahm, es werden keine neuen Neuronen gebildet 

und man läuft wie dement herum! Jetzt haut im der Psychiater, noch Amphitamine und 

Kokain rein, also Neuroleptika, oder Antidepressiva, da gibt das Gehirn irgendwann auf!

Man lässt diese Jungens einfach fallen und werden sie irgendwie auffällig -> Psychiatrie!

Das ist der Dank dieser Gesellschaft an Menschen, die sich für uns überfordert und

zusammenbrechen! Das passiert aber ebenso Arbeitern, Ingenieuren, Künstlern und Sportlern die ihre Sache ernst nehmen und sich überdurchschnittlich fordern, oder einsetzen!

Ich habe unter Risperidon, Lyrika, Cyprexa, Mirtapazin, Angstträume gehabt, ich wurde im 

Traum von Taliban zwischen zwei Birken. oder Pferde gebunden und zerrissen, oder gepfählt!

Ich war am Morgen völlig fertig! Ich wollte Selbstmord begehen, aber wie?

Das was ich da geträumt hatte ich vor 50 Jahren in der Mosaik von Hannes Hegen gelesen,

einer Comic-Zeitschrift für Kinder!


Übrigens in Russland unter Wladimir Putin, werden noch heute die Helden des 

"Großen Vaterländischen Krieges" geehrt, weil das eine Leistung für das Russische Volk war,

die man nicht genug würdigen kann. Ebenso die Frauen an den Artilleriegeschützen, oder

die Nachthexen mit ihren einfachen Fluggeräten mit selbst gezimmerter 

Bomben Ausklinkvorrichtungen!

Alle diese, die noch heute leben, haben selten schöne Träume in der Nacht!

Jedoch wenn Dir der Präsident, oder das eigene Volk das Gefühl vermittelt, dass dies 

nie vergessen wird und dich immer ehrt und liebt, dann heilen diesen Wunden ganz langsam!


In fast allen Ländern, außer Russland, China und Nordkorea, hat die Jugend ihre Väter und Mütter die so unendliches Leid erlebt, vergessen!

Somit können die Macher, speziell USA, Britannien, sogar Frankreich und auch Japan,

immer weiter machen!!!(Übrigens Deutsche, Schweizer, Österreicher perfide indirekt!!!)




20. Hammurapi

 "(auch: Hammurabi oder mit  geschrieben) war gemäß mittlerer Chronologie von 1792 bis zu seinem Tode 1750 v. Chr. der 6. König der ersten Dynastie von Babylonien und trug den Titel König von Sumer und Akkad."


Tja der hatte schon vor 3.800 Jahren die Ärzte als zum Teil Scharlatane erkannt 

und sehr strenge Strafen gegen ärztlich Vergehen vorgesehen!


Könnt Ihr bei meinen Äsopschen Fabeln nachlesen!


Bei den Ägyptern haben die Priester, die geschickte Ärzte waren auch, einige 

Pharaonen ins jenseits geschickt!


Der spätere Hippokratische Eid wurde schon millionenfach gebrochen, das scheint bei der Ärzte-Mafia so üblich zu sein, die haben die Regel, wie letztens bei "Transporter" umgedreht, wieso der Patient hat doch unterschrieben, sein Todesurteil, ach so Arzt und Henker zu gleich, ach das ist mir aber nicht neu!


Der weise Stalin hatte ebenfalls in seinen letzten Jahren solche Visionen und

Befürchtungen, weil er sah wie der Dr. Morell den Adolf Hitler mit Amphitaminen

vollgepumpt hat, damit er noch Antrieb und keine Depressionen hatte.

Wenn ein Mensch schöpferisch tätig ist und es ist eine Sache zum Wohle der 

Menschheit, dann schickt ihm das Gehirn Endorphine und er kann mit wenig Dopamin Unglaubliches von der rechten Gehirnhälfte abrufen!

( Stalin, Walter, Ernesto, Marx, Lenin, Fiedel, Wladimir, Recep, Hassan, Xi, Kim

 und auch Angela, ich glaube Donald auch!)


Wenn jemand jedoch Schlechtes tut, dann arbeitet nur die linke logische Gehirnhälfte und er verbraucht Unmengen an Dopamin, was zu Depressionen, 

einer Psychose, oder Schizophrenie führen kann!


Resumè:

Also wenn der Präsident Stalin heute noch regieren würde und die Liebe seines 

Volkes für den langen Frieden, erleben könnte und er sehen könnte, das all seine 

Befürchtungen wahr geworden und sein Wladimir sich so eine Mühe gibt, das alles für das Russische Volk in seinem Sinne zu regeln, er wäre Stein alt geworden!


Gibt man diesem Menschen Amphitamine, also man erzeugt damit künstliches 

Dopamin, dann erschöpft dieser Mensch so sehr und die Präsynapsen stellen die 

eigene Produktion von Dopamin ein und es kann zu Parkinson kommen! 

Weiterhin besetzt das Erschöpfungshormon Prolaktin, dann fast alle 

Dopamin-Rezeptoren, der Postsynapse!( Hitler)


Schaut Euch speziell heute die Amerikanischen Präsidenten an, wie die im Alter

zum Teil dement vor sich hin vegetieren, trotz bester Medizin!

Keiner hat der Welt gut getan und wenn, dann wie Kennedy-> peng!

Hoffentlich ist Donald ein guter, mit Weste aus abgereichertem Uran!

 

Wenn sich heute die Menschen in der Produktion in den Ingenieurbüros, die 

Programmierer und auch einige wenige Politiker und vor allem Leistungssportler,

so verausgaben, dass sie an ihre Reserven gehen, erfolgt das oben genannte 

ebenfalls, oder sie bekommen Krebs!

Warum, weil das was sie tun, heute überwiegend, weder zu ihrem eigenen Wohle 

noch der Gesellschaft ist! Es wird kaum noch etwas erfunden was dem Menschen 

nutzt, und dabei unserer Mutter Natur nicht schadet, kapito?


Könnt Ihr auch bei:

Liao Fan Yuans " Die 4 Lektionen des Lebens", 

oder  Dr. Shigeo Haruyamas

" Die wahre Gesundheit beginnt im Kopf" nachlesen!!!

 

In einem Land wie Nordkorea, Kuba, Russland und auch früher in der DDR ist,

oder war dieses Phenomen so gut wie gar nicht vorhanden, weil die Leute glücklich 

bei der Arbeit sind, oder waren! 

Sie tun es für die Gesellschaft, für ihren großen Marschall und er dankt es ihnen

und beschützt sie, gibt ihnen Wohnung, Arbeit, Essen und Zuneigung!

Sie werden auch von einem weisen Präsidenten nicht überfordert!

China ist am Scheideweg, die müssen aufpassen!


Japan, Südkorea, Schweiz und eben speziell auch Deutschland verschleißen

ihre Menschen völlig, ohne arbeitswissenschaftliche Erkenntnisse zu berücksichtigen!


Ja so schließt sich der Kreis, aber erkläre das einmal einem Minister, oder 

Bundestagsabgeordneten, der versteht nur Bahnhof, Obergrenze, Maut, 

Kopftuchverbot, Dieselverbot, Rauchverbot, Verbot, Verbot, Verbot, Denken Verbot,

NPD-Verbot, Verbot, Verbot, Tanzen am Karfreitag Verbot, Verbot, Verbot, Verbot!

Bleigießen verboten doch Uranmunition erlaubt!

Vielleicht dürfen wir Uran zum Urangießen verwenden, ist dann, jeweils, ein kleiner Atomschlag in der Silvester Nacht!


He Kreativität ist gefragt, Überzeugung, Kompromisse, Anerkennung, Erlaubnis, 

Erlaubnis, Anerkennung, Anerkennung, Lob, Lob und nochmals Lob!


Was ganz wichtig ist, der ältere Mensch muss wieder den Status eines Wesirs erhalten, bei höchster Bezahlung in seinem Beruf und absolutem Kündigungsschutz!!!


21. Das ist Bayern ( Kommt vom Saufen)


Was dabei keine Rolle spielt: Dass einige unter die Räder geraten werden – weil sie als Muslime per se für fremd erklärt werden; weil sie Opfer präventiver Polizeimaßnahmen unter dem neuen weitreichenden Polizeigesetz werden; oder weil sie als psychisch Kranke unter dem geplanten Psychiatriegesetz präventiv weggesperrt werden können wie Straftäter.

Äh das machen die schon lange, nicht nur ein Bayern!!!!        

Hitler hat das auch gemacht, hat S. nicht das Kampfbuch verwaltet, hat der das auswendig

gelernt? Ich wusste doch das mit dem Heimatministerium geht nach hinten los!!!      

     

Was sagt Dr. Schnitzer immer:


 "Krank sein ist die erste Bürgerpflicht, drum rette sich wer kann!"


Nach Bayern zu gehen bedeutet Lebensmüde zu sein! Der Spruch ist von mir!

Meine höchste Stufe der Maslowschen Pyramide, die ich in Bayern erreicht habe ist.

als Ingenieur, nach einem Burnout, die Berufsbezeichnung: "Ein Straftäter zu sein!"

Mein Mechanik Professor hatte die Regel aufgestellt:

"Oben hohl positiv" für Bayern gilt die Transporter Regel. " Oben hohl negativ!"

Armes Deutschland es schafft sich ab, aber vorher entsorgt es noch, vorsorglich, 

seine Bürger!


Also nach Bayern fahre ich nie, nie, nie wieder!!!!!!!!!!!!!!!!!!!!!!!!!!!!!!!!!!!!!!!!!!!!!!!!!!!!!!!!!!!!!!!!!


Hilfe, Kim Jong Un, rette uns vor den Bayern!!!!!!!!!!!!!!!!!

Ach Donald Trump der wollte ja auch die Diehler von Rauschmitteln mit der Todesstrafe 

bedenken! Übrigens da gehören dann die Psychiater auch dazu!!! Eigentor!!!!


Ich frage mich wann spricht der Papst ein Machtwort und schließt die Bayern aus!

So ein Schmarren können wir nicht dulden, wir müssen um Bayern eine Mauer bauen!

Karl Eduard wusste das alles, hat uns gesagt und keiner hat es geglaubt!!!!!!!!!!!!!!!!!!!!


Steven Hawkings, das leider verstorbene Genie, hat es sogar dem Papst gesagt, das er 

Gott nicht gefunden hat! Das kann doch einen Bayern nicht erschüttern, keine Angst,

keine  Angst Rosemarie!

Aber die Bayern machen sich damit psychiatrisch auffällig, sie hören Stimmen und 

glauben an etwas was es nicht gibt, zumindest seit 2000 Jahren nicht auffindbar! 

Schaut einmal ins Psychiatrische Handbuch, ich glaube:

25.2, oder so, heißt die Abweichung, scheint ein Eigentor, wir müssen die Bayern wegsperren!


ANGELA-> HILFE!!!!!!!!!!!!!!!!!!



22.) Schaut Euch die Ergänzung der Biographie des 

        Dr. Shigeo Haruyama,  

        unter:

       "Ärzte die ich verehre" an, die ist sehr lehrreich!



23. Nochmals zu den Psychiatern


Verfassungsschützer fordern Beobachtung der AfD – vor allem Bayern mahnt

07.03.2018 243
An solchen äußerlichen Verfehlungen einzelner, kann man die AfD nicht aburteilen! Es sind klamm heimlichen Handlungen, wie zum Beispiel die der Söder veranstaltet. Liste für psychisch Kranke, wie bei den Nazis vor 1945. Psychisch krank ist dann jeder der mal einen Burnout, Depressionen, u.s.w. hatte! Nach einer Schlägerei im Suff kommt man in die Psychiatrie, Alkoholiker, Drogenkonsumenten kommen in die Psychiatrie, dass kann nicht sein! Hatte man einmal mit einem Psychiater Kontakt, dann bist Du registriert! Bundeswehrsoldaten mit PTS-> Psychiatrie! In Bayern werten Psychiater die Obdachlosigkeit als Form einer Schizophrenie! Diese jetzigen Handlungen in Bayern die sind so Angst einflößend, hier müsste die gesamte CSU unter Beobachtung!!!!! 

Die NPD ist dagegen harmlos!


Psychopathen, dürfen jemanden,ungestraft seelisch quälen,das Opfer landet dann häufig 

in der Psychiatrie und ist nun ein Straftäter,der eigentliche Täter nicht!

Übrigens die Alice wollte von der Frauke ein psychiatrisches Gutachten!

Das ist in der Schweiz und Bayern so üblich, so entsorgt man Menschen die nicht passen!

Man braucht nur "Elite-Partner"


Es ist doch normal, wenn ein Mensch,speziell ein Mann, wenn er seelisch beleidigt wird,

dass er da auch einmal zuschlagen kann und auch muss, um das Stress Hormon Cortisol

abzubauen! Nein die Psychiater ,haben daraus eine Krankheit gebaut!

Wir leben tatsächlich im homöopathischen Nationalsozialismus!

Nochmals bist du dann in der Psychiatrie untergebracht und haust ab, behandeln die dich wie einen gemeinen Verbrecher, du wirst von der Polizei mit dem Auto, selbst notfalls mit dem Hubschrauber gejagt, koste es was es wolle bis zu > 40.000 €/Jagd!


Die Psychiatrie baut also dich zum gefährlichen Täter um, mittels legalen Drogen!

Jedoch 95% der Betroffenen vegetieren ganz harmlos, jeglicher Rechte beraubt am

Ende im betreuten Wohnen, alles unter Aufsicht, herum!

Bei jeglichen Auffälligkeiten kommst du ein Haus 

weiter->Psychiatrie und neues Medikament!

Was man da Nächte lang durchmacht interessiert nicht!

Mehr als 5% der Betroffenen nehmen sich das Leben!


Einzige Änderungen:


Die Möglichkeiten sich das Leben zu nehmen werden perfide genau handwerklich

präzise, gegen Null geführt!


Die Mediziner haben, neben dem Adolf, ihr eigenes "Kampfbuch" gezimmert, das

kann man ganz legal im Internet runter laden!

ICD-10

DSM IV


Jegliche freudige, überschäumende Reaktion deinerseits, oder Wutausbruch,

wenn dich ein Psychopath auf über 180 bringt, ist eine Abweichung!


Introvertiert-> Abweichung

Extrovertiert-> Abweichung

Choleriker->     Abweichung


Sie haben aus der Freudschen Theorie, eine

                                 Leidsche Theorie gezimmert!


Ich glaube nur ein Fötus, der ist frei von Abweichungen, deshalb schützen sie das ungeborenen Leben! Kaum raus, Abweichung, Abweichung, Abweichung!


24.) 12 Stunden-Tag, oder 60 Stunden-Woche


Was da der Kurz, nah klar ein Österreicher, wieder von sich gegeben ist den Menschen verachtend! Wir sollten im Gegenteil zum 7 -6 Stunden Tag übergehen, was ich in WAO ausführlich begründet. Flexibilität erreichen wir wenn wir die 5 Millionen Arbeitslosen und die Flüchtlinge ausbilden und mit in den Arbeitsprozess integrieren!

Nur so und nicht anders!


" DER ESEL MUSS WIEDER 1 SATTEL TRAGEN!"


Wir wollen die Sterberate, speziell der Industrieländer wieder auf eine normales


Niveau von 4-6 /1000 absenken. Wir liegen derzeit bei 12/1000, gleich 1 Million


Bundesbürger sterben/Jahr.


Man kann das bei unseren Künstlern sehr gut beobachten, die kein Alter eines


Hannes Heesters mehr erreichen, sonder immer früher sterben.


Meist zuerst einen Burnout, oder Krebs, oder Demenz!


Unsere Jugend macht sich keinerlei Sorgen, dass ihre Energie immer früher erlischt,


wenn sie sich bei Sport, Spiel und Feierlichkeiten voll verausgabt!


Nah an die die das Volksvermögen schaffen, da denkt ja sowieso schon gar keiner mehr!


Tja wieder eine Ausbeutungsstufe höher, keiner will es merken, oder wissen!


Keiner  denkt mehr an den 17. Juni 1953!


Unsere Väter wollten nicht den Sozialismus abschaffen, sondern nur nicht einfach so


10% mehr arbeiten, für die Kasernierte Volkspolizei!


Wie schon gesagt in der BRD arbeiten, die die Werte schaffen, schon 


> 150 - 200% wenn man die langen Anfahrwege, die verkürzten Pausen, die nicht gewährten 


Verteilzeiten, die geforderten Überstunden und wenn es heißt 10 Minuten eher am 


Arbeitsplatz und open End, mal berücksichtigt!


Wofür und für wen eigentlich!


Keinen Danke, Hire und fire!


Nah Dank Frau Dr. Galina Schatalova und meiner Wenigkeit, könnt Ihr ja jetzt 


ein wenig nachdenken, oder -rechnen!


Vielleicht bekommt sie neben Lenin, Stalin, El Che ein kleines Denkmal, weil sie


die Menschen, wie diese, sehr geliebt und ihre Werke eine wunderbare 


Bedienungsanleitung für ein langes gesundes Leben sind!



25.)Habe am 28.04. einen Trainingsfreund getroffen Barni


Als wir 1985 anfingen zusammen zu trainieren:


Barni  23 Jahre alt, etwa 84 Kg, 1,82 m groß  120- 130 Kp im Bankdrücken


Ich  32 Jahre, etwa 82 Kg, 1,79 m groß 120 - 125 Kp im Bankdrücken



Gestern (29.04.18) als  ich Barni traf:


55 Jahre alt

120 Kg schwer

Hüfte verschlissen

Mit Neuroleptika vollgepumpt

Leichte Parkinson Erscheinungen!


Sport unmöglich


Ich 


65 Jahre alt

84 Kg schwer

seelisch wieder geheilt

sportlich


30- 32 Dipps

 8 breite, oder 15 normale Klimmzüge

40 Liegestütz


100 m in etwa 13 sec!


Ich war erschüttert, Barni hat einen traurigen Weg durch die Psychiatrie hinter sich,


sein Leben ist nach der Wende den Bach runter gegangen!


Die Ärzte-> Gnaden los!


Er war, vor der Wende, ein ganz fröhlicher Mensch, Schlosser und glücklich verheiratet!


Nach der Wende ist die Frau weggelaufen und sie liegt heute mit Leberzirrose im Sterben!


Fast keiner meiner Freunde ist gesund, alle unsportlich, krank, 1/3, schon gestorben!



Manchmal frage ich mich ob die Adolfs letzten Befehl ausführen, dass wenn wir nicht


siegreich sind, auch nicht weiter leben sollen, oder dürfen?



die=


Ärzte

Bauern

Gärtner

Nahrungsmittelindustrie

Pharmaunternehmen

Chemischen Industrie

Wasserwerke

u.s.w.


Angela Hilfe!!!


26. Schaut Euch einmal links meine: "Peter-Diagnose" an!

In diesem Jahr, im Mai 2018, kam mir eine Idee, wie man den Gesamtzustand eines 

Menschen, also den Zustand der Seele und den Zustand des Körpers, grob rechnerisch

über den täglichen Stress und den täglichen Energieverbrauch auf der Arbeit, in der Freizeit

ermittel kann. Schwere Arbeit, oder Arbeit über die täglichen normalen 7 Stunden hinaus,

lange Anfahrwege, Stress auf der Arbeit, Mobbing, Sorgen zu Hause, zu stressiger Freizeitsport, ein schädliches Wohnumfeld und ähnliche Dinge treiben den täglichen Kalorienverbrauch in ungesunde Höhe und der Stress verdoppelt und verdreifacht diesen

Energieverbrauch auch noch indirekt! 

Dann kommt die ungesunde hektisch eingenommene Fastfood-Nahrung noch hinzu und irgend wann ist der Betroffene am Ende!

Die Schulmediziner basteln hier herum und da herum und senken den

Blutdruck künstlich, den Colesterinspiegel künstlich, den Insulinspiegel künstlich, den

Homocysteinspiegel künstlich, u.s.w., aber so richtig wird das mit dem Wohlbefinden gar nicht mehr. Kommen jetzt auch noch seelische Probleme hinzu, dann gibt einem der 

Psychiater den Rest und macht Gehirn und Darm und somit den gesamten Körper völlig kaputt! (siehe meine Krankheitsursachen)!

Die Laboruntersuchungen des Cortisospiegels und des Prolaktinspiegels sind sehr kostspielig und werden eigentlich nur getätigt, damit Grenzwerte, die zu Drüsenmutationen führen, nicht überschritten werden!


Mit meiner sogenannten Peter-Diagnose kann man den Gesamtzustand eines 

Menschen, einschließlich seines Belastungswertes( inklusive des Prolaktinspiegels,mg/ Liter Blut ), in Kcal/ Tag und des Stresswertes (Cortisol) in Mikrogramm/ Liter Blut, ursächlich an Hand der Übersicht der betreffenden Lebensweise und Situation des Menschen im täglichen Umfeld erkennen und gezielt Überforderungen durch Lebensumstände Verbesserung und Nahrungsumstellung, oder Umfeldwechsel zu beseitigen. das geschieht ohne jeglichen Medikamenteneingriff!


Ich glaube das könnte einen gewaltigen Umbruch zum Besseren bringen!


Resumè:



Man stelle sich jetzt einmal vor, dass heute noch der Psychiater die Symptome behandelt, also da mit Amphitamin, oder Kokain ähnlichen Substanzen im Gehirn ein völliges Chaos verursacht, anstatt, die wirklichen Ursachen den Stress, die Überlastung, oder die Ernährungsfehler zu beseitigen!!!!!!!


Nun stellt Euch einmal Sportler, wie Bodybuilder oder ähnliche vor, die jetzt zum Beispiel mit

künstlichem Dopamin(Carbergolin) da ihren Trieb, oder Antrieb erhöhen und anschließend Unmengen an Prolaktin die Rezeptoren der Postsynapsen blockieren.

Dann kommen ganz Schlaue und neutralisieren das Prolaktin auch noch!

Könnt Ihr Euch den Müll im Gehirn vorstellen, der da in den synaptischen Spalten umher geistert. Teilweise, b.z.w. langfristig sind dann die Rezeptoren der Postsynapsen nach und nach völlig blockiert-> Parkinson droht erst und macht dann irgend wann ernst!

Du bist dann Schrott!

Ihr macht das zum Teil freiwillig, jedoch die Psychiater machen das beruflich, hoch bezahlt

zum Schaden von Millionen Menschen! Ohne Skrupel!


Hier ist wirklich alles aus dem Ruder gelaufen!


So hat Dr. Morell den Hitler fertig gemacht!

Ein Junky baut meist nur geistigen Müll und was hat der da angerichtet Welt weit!


Jetzt bauen die Psychiater lauter kleine Adolfs und jeder kann bei Überlastung einer 

werden und wird dann in Bayern registriert! Ist das nicht pervers?


Wenn ich das gewusst hätte als Ossi, ich hätte die Mauer versucht bis zum

letzten Atemzug zu verteidigen!!!


Jetzt kann man Donald Trump verstehen mit seiner Mauer zu Mexiko, oder?




Ach so Ihr denkt das ist schon alles?

Nein es kommt noch schlimmer!


Beim Prolaktinspiegel    100 myg/ l Blut-> Mikroadenom an der Hypophyse

Beim Prolaktinspiegel < 200 myg/ l Blut-> Prolaktinom


Jetzt kommst Du zum Drüsen-Spezialisten, der betäubt die Hypophyse erst einmal,

damit sie sich wieder beruhigt und nicht Tod arbeitet!

Wenn das nicht hilft, dann Mikrochirurg-> Lecker, der operiert Dich dann beim Adenom über die Nase an der Hypophyse!

Beim Prolaktinom, oder Somatotoprinom, da bohrt er Dir hinten ein Loch in den Kopf und dann schnippel, schnippel, autsch ich habe den Hörnerv recht verletzt, scheiße jetzt fällt hören aus, oder Gesichtsnerv, jetzt hängt die rechte oder linke Wange schlaff runter.

Egal gehst Du zum Wangen Training, da gibt es weitere Spezialisten, also da machst

Du dann Gesichtstraining, wie Quasi Modo einst, um Deiner Frau nicht Nachts einen

Schreck einzujagen!


Ach ja vom Cortisol habe ich ja noch gar nichts gesagt!

Zuerst betäubt es Deinen Hypocampus und Du läufst leicht dement herum!

Nah ja ist doch normal mit 50 Jahren, obwohl doch Wesire also weise Männer und Frauen meist weit über 80 Jahre alt!

Ist heute alles anders, heute ist nur die Jugend noch schlau, dank Smartphone, dass begreifen die Alten nicht so, wie auch ist doch künstliche Intelligenz!


Nah dann sind die Nebennieren im Eimer, dann streikt die Hypophyse, aber es gibt ja den Mikrochirurgen, alles Super-Spezialisten!

Keiner weiß vom anderen und sie wissen nicht was sie tun, aber Geld verdienen die für den Fusch, Unmengen!


Sind wie Asklepios einst - Götter!


Eigentlich gehören die alle in den Gulag würde mein großes Vorbild Stalin sagen!

Wladimir was sagst Du dazu?


Oder Kim, wollen wir die vor das Geschütz-Rohr binden-> Wumm!!!


Das ist der heutige Holocaust, den leugnen alle!




27. Antiüberlastungsrevolution von Peter, erste Schritte!


Jetzt einmal in eigener Sache:

(Ein Anfang meiner Antiüberlastungsrevolution in Deutschland)


Wir haben wieder einmal so viele Steuerüberschüsse, tja und wer ist darauf scharf?


Macron er will dass wir diese in den EU-Topf stecken, dann sichern wir den Franzosen nicht nur ihre Ersparnisse, ihre viel besseren Privilegien wie unsere Arbeiter haben, ihre Rente mit 55 Jahren wie in Russland u.s.w., nein das werden wir nicht zulassen!


Die Inder haben einst ihren Feinden einen Liebestempel gebaut damit sie dort ihre Energie

im Liebesrausch verlieren, das ist gelungen!


Der Versuch der Deutschen den Macron mit dem Karls-Preis von seinem Frankischen Eroberungsfeldzug abzuhalten ging daneben! Angela schaut ganz ängstlich, 

aber braucht sie nicht!


 Peter hat eine Lösung:



60 Milliarden Steuerüberschuss/9,80€ Mindestlohn= rund 6 Millionen Arbeitsstunden!


6 Millionen Arbeitstunden/30 Millionen echte Werktätige= 0,2 h= 12 Minuten Pause

für jeden Werktätigen zusätzlich, oder statt 7 h, oder 8 h/Tag, gleich


6,8 b.z.w. 7,8 Stunden/Tag nur noch arbeiten!!!!!!!


Wir haben doch die höchste Sterberate in Europa und die steigt jährlich um

10.000 bis 20.000 Menschen.


Die Peter-Maßnahme bringt wahrscheinlich, erst den Stillstand und dann den Sinkflug

ätsch Macron, Du schlechter Belmondo!!!!!!!




28. Antwort auf Demenz


Heute ist der häufigste Auslöser von Demenz, der Stress und die Sorgen!

Bei der 3-Fachen Belastung der Deutschen im Beruf und im Alltag und sogar 

in der Freizeit, verbrauchen wir nicht wie Dr. Galina Schatalova als Ideal vorgegeben,

1000, bis  max. 1500 Kcal/Tag, inklusive Grundumsatz, sondern mehr als 

3000 Kcal/ Tag! Das verkürzt zum einen die gesunde Lebenserwartung und zum

anderen treibt es jeden Tag das Erschöpfungshormon Prolaktin  weit über "Normal" 

und zum andern das Stresshormon Cortisol weit über "Normal"!

Das erstere führt zum langfristig Nervensterben und das zweite führt zur Lähmung des Hypocampus, der täglich neue Nervenzellen produziert!

Wenn man nicht kürzer tritt führt das zum Burnout und zur Demenz. Der Psychiater beschleunigt das mit Neuroleptika und Antidepressiva( Amphitamine und Kokain)!

Natürlich kommt das auch vom Aluminium,  Zucker, Weißmehl,  Fastfood, Umwelt,

u.s.w.! 


Man kann das aber selbst beeinflussen und den Arzt, Fastfoodketten 

und den Stress meiden und auf der Arbeit unmerklich kürzer treten!  



29. Hoffnung für die Zukunft


Weiterhin hoffe ich dass unsere Politiker endlich einmal nach " Unten" schauen und begreifen, was die Mediziner, Nahrungshersteller, die Chemie, die Pharmindustrie, die

Kosmetikindustrie, die Wasserwirtschaft und die Landwirtschaft mit unserem fleißigen,

gut gläubigen Volk anrichten!

Die können doch nicht so blind sein und nicht sehen, dass wir eine doppelte, b.z.w.,

3-Fache Sterberate,wie die Türken, oder die Syrer haben!


Falls ja , dann scheint das gewollt zu sein, aber dann arbeitet unsere Regierung

gegen das Volk! 


Das wäre, neben den USA, einmalig auf der Welt, dann wären wir in Nordkorea 

besser aufgehoben!


30. Zur Gesundheitsreform



Erstens gehören die > 15.000 Medikamente auf den Prüfstand, denn ich glaube in der DDR hatten wir höchstens 1/4 davon und das zu moderaten Preisen. Weiterhin müssen, die Medikamente hier in Deutschland gefertigt werden, weil das was aus Indien und China kommt, teilweise katastrophale Nebenwirkungen verursacht, wie ich letztens in einer Sendung mit Erschrecken gesehen! Die Psychiatrie gehört abgeschafft, weil das Behandeln des Gehirns mit Neuroleptika und Antidepressiva die Selbstheilungskräfte für immer zerstört! Siehe Aussagen der Psychiaterin 
Dr. med. Kelly Brogan aus New York. Sie behandelt den Darm und hilft den Patienten ihre Lebensumstände zu verbessern. Das würde Milliarden € sparen und die Gesundheit der Menschen völlig wieder herstellen!
Hier betreibt man Körperverletzung, bis hin zumTodschlag und lässt sich das vom unwissenden Patienten auch noch bestätigen. In China wurde der Arzt
vor Jahren nur für gesunde Menschen bezahlt und die Kranken musste er auf seine Kosten heilen!


31. Die vereinfachte Neubelebung der Maslowschen Pyramide in China


Als ich die Meldung (Mai 2018) vernahm, das man in China ein Punktesystem für die Bewertung eines Menschen, d.h. den Wert des Einzelnen für die Gesellschaft, einführen möchte fand ich das genial!

Also gute Ideen, gehorsames Verhalten, Fleiß, Treue zum Staat, werden einem Punktekonto gut geschrieben und Vergehen, wie bei Rot über die Ampel, oder ähnliches, damit minimiert man sein Punktekonto.

Die Idee ist sehr gut denn so kann, wie früher in Idien, auch ein kleiner Mann, oder 

Frau aus dem Volke aufsteigen und irgend wann eine hohe Stellung erreichen, 

was einem hier in der westlichen Gesellschaft verwehrt, weil es eigentlich hier ein fest geschlossenes Kastensystem hier gibt in das man hinein geboren wird und aus 

dem es selten ein Entrinnen gibt!

Also hier ist uns China wieder einmal weit voraus, weil sie sich trotz der Masse an

Menschen Mühe geben, obwohl das bei 1,4 Milliarden Menschen, viel, viel schwieriger

als bei uns hier in Deutschland bei nur 80 Millionen Menschen ist, einem jeden 

Menschen gerecht zu werden und jedem eine gleiche Teilhabe am Leben und einen Stellenwert zu gewähren!


Ich habe aber an Hand von allen Kommentaren in der Telekom-Community gemerkt,

dass dies hier in Deutschlang gar keiner begreift, was das für ein genialer Gedanke, b.z.w.,

was dies wieder für eine geniale Idee von Xi Jinping ist, der mit Recht ein neuer guter Mao genannt wird!


Keiner, kein Präsident der westlichen Welt beschäftigt sich so sehr mit den Sorgen, Nöten und auch Hoffnungen und Wünschen ihrer Völker, wie Xi Jinping, Kim Jong Un und auch Wladimir Putin.


Die Männer in der Arabischen Welt, wie Oberst Gaddafi, Saddam Hussein, oder heute

Präsident Assad oder Präsident Erdogan, wurden, oder werden  versucht zu beseitigen.

Die Struktur der Länder wurde völlig zerstört und jetzt herrscht Arbeitslosigkeit, Strom 

und Wasser sind unregelmäßig vorhanden und die Infrastruktur ist zerstört!

Das hat Methode und ist gegen die Völker gerichtet!


Wenn ich dann die einzelnen Debatten im Bundestag der einzelnen Parteien

verfolge muss ich verbittert lächeln, weil die für diesen Gedanken-Müll so hoch vom 

Volke bezahlt werden!

 

 32. Ergänzung Diabetes

Unter "Körperliche Erkrankungen, habe ich das Thema Diabetes, um die Ursache

Milch und deren Produkte und der daraus in der Hypophyse 3-4 Fachen Menge

des Wachstumshormon Somatotoprin, welches aus der "nicht essentiellen Aminosäure Arginin"gebildet wird ergänzt. Das Somatotoprin dockt an die Leber an und diese

bildet 3-4 x so viel den Insulin-ähnlichen Wachstumsfaktor IGF-1 und das Zellwachstumssignal mTOR.


Zum einen kann das Diabetes erzeugen, in dem die Bauchspeicheldrüse die Produktion einstellt und das Zellwachstumssignal sie zum Wachsen anregt, was zum Krebs 

führen kann! Ich habe das an eine Krankenschwester geschickt, weil sie da 

Schulmedizinisch nicht weiter wusste, denn das steht nicht einmal im Handbuch der Biochemie!


IGF-1 ist zwar dem Insulin ähnlich und die Bauchspeicheldrüse verabschiedet sich,

jedoch das IGF-1 ist ein Wachstumssignal und für die Verdauungsprozesse gar nicht geeignet, deshalb muss der Betroffene dann das Insulin künstlich über einen Pen zu sich nehmen!


Das ist ebenso beim Rauchen, das Nikotin dockt an die Acetylcholinrezeptoren an,

jedoch es ist kein Botenstoff und so sterben langfristig viele Nerven ab, weil das Nicotin nicht von den Rezeptoren natürlich wieder, natürlich, abgebaut wird und der Betreffende Raucher wird nach Jahrzehnten dement!


Ebenso ist das bei Amphitaminen, Neuroleptika, Antidepressiva, Schlafmittel, L-Carnitin, Dopaminerstzstoffen u.s.w., u.s.w., die jeweiligen Nervensterben langfristig ab!

Also nichts künstlich zuführen, es sei denn es ist einmalig und dient der Erhaltung des Lebens, oder zur kurzzeitigen Schmerzlinderung, oder Betäubung bei OP`s!



33.Ich würde gern in den USA den Anfang machen mit der Kelly-Peter-Diagnose und Lifestilmedizin, weil die Frau Dr. Kelly Brogan hier am weitesten fortgeschritten auf der Welt ist, denn hier in Deutschland wird sich kaum einer finden der sich gegen die Schulmediziner stellt, außer ich, ein kleine Maschinenbauingenieur!

Vielleicht hat sie ja auch eine bessere Idee?





























Leider habe ich bis heute aus den USA keine Rückmeldung zu diesem Thema(18.10.18),

die Frau Dr.med. Kelly Brogan bietet lediglich ihr " Master Class Programm an,

welches auf Basis von Symptomen aufgebaut ist und ein Tapping-Programm zum Ausschleichen von Antidepressiva und Neuroleptika!


Das ist mir zu wenig, weil ich versuche erst die gesamte Lebenssituation eines

Patienten zu erfassen, um die wahren Ursachen für seine Symptome zu finden!


Nun gut vielleicht wendet dies ein anderer Arzt egal in welchem Land

erfolgreich an, dies würde mich freuen!


34.Alles wie nicht essentielle Aminosäuren, Carnitin, Dopamin,Tyroxin, Insulin, 

Somatotoprin,Vitamine, u.s.w., sollte man dem Körper niemals über tierische Nahrung,

Milch, oder sogar separat, als Präparat zuführen, weil ansonsten Körper, d.h. der Darm, die Leber, die Nebennieren, die Hypophyse, die Nerven und so weiter, diese Stoffe langfristig

nicht mehr selbst in der Lage sind herzustellen!

Das schafft immer neue Krankheitsbilder, deren Vielzahl kaum noch überschaubar!

Diese separat zu therapieren mit Medikamenten. oder Diäten, oder gar mechanisch, oder chemisch, oder Bestrahlung, das bringt wieder tausenden Nebenwirkungen, oder sogar den vorzeitigen Tod!

Nur die eingangs erwähnte Rückehr zur Urnahrung und die über die Peter-Diagnose

ermittelten Überlastungen und deren Normalisierung über die Lifstil-Medizin, 

können hier Erfolg haben!


35. Neuester Bericht von Dr. Kelly Brogan, vollständig in Englisch und Deutsch, links unter Berichte Dr. Kelly


Kelly Brogan MD 

- Deinen Körper besitzen. Befreie deinen Geist.
Wie man jemandem hilft, der selbstmordgefährdet ist

Wir sind konditioniert worden, das zarte Thema des Selbstmords mit Entsetzen zu betrachten. Vielleicht, weil es ein Versagen unserer vielfältigen Kontrollsysteme darstellt. Vielleicht, weil wir kollektiv weit davon entfernt sind, mit der Komplexität des Todes als Teil der menschlichen Erfahrung Frieden zu schließen. Vielleicht, weil wir so tun müssen, als hätten wir niemals persönlich so etwas wie Suizidalität gefühlt, um die Illusion aufrecht zu erhalten, dass die Erfahrung der Suizidalität pathologisch ist.

Suizidalität ist keine Sache. Es ist kein Symptom einer genetischen Krankheit. Es ist nicht selten. Und es ist nicht nur ein Wunsch, sein Leben zu beenden.

In der Schule am MIT arbeitete ich eine freiwillige Selbstmord-Hotline namens Nightline und verbrachte viele Nächte am Telefon mit Leuten am Rande.

Ich habe gelernt, dass Selbstmordgedanken ein Wunsch sein können, zu verschwinden. Nicht sein statt sein. Sie können eine Glaubenskrise und eine Wahrnehmung sein, dass alles im Grunde falsch ist. Sie können ein tiefes Ringen mit der Frage, ob das Universum grundsätzlich ein wohlwollender oder feindlicher Ort ist. Sie können der feste Glaube sein, dass die Dinge immer genau so sein werden, wie sie jetzt sind.

Ich halte die Suizidalität für einen nahezu notwendigen Ausdruck der Dringlichkeit für einen Wandel, der mit dem Versprechen einer solchen Veränderung einhergehen muss. Diese Gefühle drücken die Notwendigkeit einer tiefen Transformation aus, die sich wie eine Wiedergeburt anfühlt, voll von Geburtswehen und Ausdruck von Angst und Überwältigung. Sie sind ein Schrei, der sagt: "Diese Art zu sein, zu leben, kann nicht eine Sekunde länger dauern !!!"

Wenn du die Möglichkeit hast, jemandem zu helfen, der dich aus dem dunklen Loch der Suizidalität erreicht, hier sind einige Hinweise.

 



36. Umfassende Analyse der Grundnahrungsmittel der Kontinente



Das Folgende sind in etwa die Zusammensetzung, der Urnahrung, wie sie 

die Völker einst in fast völliger Gesundheit, täglich, zu sich genommen haben:



 

 

 

 




Ich habe diese Exceltabelle aus GU-Tabellen erarbeitet, Abweichungen,

könnt Ihr selbst in der Exceltabelle korrigieren!


Gleichzeitig fiehl mir das einzigartige Buch von Dr. Ralph Bircher in die Hände:


"Geheimarchiv der Ernährungslehre", KOPP-Verlag  ISBN 978-3-942016-20-9!


Das hat mich vor Freude fast umgehauen, weil ich jetzt mit den umfangreichen Aussagen dieses einzigartigen Werkes, die Stickstofftheorie von Dr. Galina Schatalova belegen kann!


Der kerngesunde Mensch benötigt tatsächlich aus den Grundnahrungsmitteln des jeweiligen Kontinentes, lediglich bis 15 g Protein/Tag, oder sogar weniger!


Den Rest zu den etwa täglich benötigten 30g bildet der Darm aus den bis zu 1,5 Liter eingeatmeten Stickstoff in höchster Qualität!


Fast alle Krankheiten der zivilisierten Menschen, sind Eiweißspeicherkrankheiten aus der

verheerenden tierischen Nahrung, wie Fleisch, Milch und deren Produkte!

Das ist eine Erkenntnis die existiert schon fast 100 Jahre, aber sie wurde nicht öffentlich gemacht, sondern schlummert in Archiven, so wie vieles was den Menschen gut tun würde!


Mein Dank an Dr. Ralph Bircher!


Ich habe das unter Einführung/Urkost der Völker noch einmal etwas ausführlicher 

erläutert und werde auch einige Ausführungen aus dem wunderbaren Buch, wörtlich ,

noch einfügen!



Nun stellt Euch einmal einige die neue Generation von Verbrechern vor, die empfehlen

LOW CARB und Protein-Mast! Was die Welt-weit schon angerichtet haben ist einfach

unfassbar! Wenn Arzt, oder Industrie Menschen langfristig einen frühen Tod verpassen,

das ist Straf frei, wie kann das sein, wider besseren Wissen?



37. Neue Erkenntnisse


Das im Punkt 36. erwähnte Buch von Dr. Ralph Bircher, hat in mir nach dem ich es

gelesen die Erkenntnis gebracht, das alle Erkenntnisse fortschrittlicher Menschen,

in Fragen der Gesundheit und der artgerechten gesunden Ernährung, eigentlich

niemanden interessieren, b.z.w. interessieren sollen! 

Es gab einige Ansätze nach 1945, die jedoch von skrupelosen Wissenschafttlern 

und Ärzten, verleumdet und vergessen gemacht wurden.

Ich werde die Ärzte die ich verehre, um ein weiteres Kleeblatt erweitern, jedoch es müsste 

schon ein Wunder geschehen, wenn sich heute das Gute durchsetzen sollte!


Die Telekom hat einen neuen Account zum diskutieren zugelassen, in dem man jetzt nicht mehr erst die gelbe und dann die rote Karte bekommt, wenn man Dinge anschneidet die keiner wissen sollte, sondern diese Beiträge werden gelöscht, oder wie ich schon desöfteren bemerkt habe, dass ich zu Gesundheitsfragen mit Brisanz trotz  Diskussionsmöglichkeit, einfach keinen Zugang bekomme, wie letztens zu Fragen des Bluthochdruck, oder zum Thema, von Gesundheitsschäden zu Glyphosat.

Ich verstehe nicht wie Menschen andere Menschen, b.z.w. ganze Völker so in die Irre und langfristig in den frühen Tod führen können?


Auch der Vatikan hat genug Wissenschaftler, die über dieses Wissen verfügen müssten!

Keine Religionsgemeinschaft klärt ihre Gläubigen auf, das finde ich sehr eigenartig!

Tja das ist der Grund warum ich an nichts und niemanden mehr glaube, das was ich in

der Psychiatrie erlebt habe ist eine Lehre, die es in keinem Lehrplan gibt!

Es ist für mich die Lehre, wie gebe ich einem ausgebrannten Menschen den Rest, wie

bringt man Menschen, Straffrei, um den Verstand!


Anmerkung von mir:


" Ich könnte als Arzt nicht arbeiten mit dem Wissen, dass ich dem Patienten etwas rate,

  zum seinem Schaden, oder etwas verschweige, was ihm helfen würde"

  

Das ist gegen den Hippokratischen Eid gerichtet!

Die Mafia bestraft Eidbruch mit dem Tode, also sind die Ärzte eine Art

Anti-Mafia- Vereinigung, die den "Nicht-Eidbruch" bestraft!!


Also Eidbruch ist deren Regel.


Das versteht ein normaler Mensch nicht, oder?

 


38. Ergänzung der Urnahrung der Völker zum einen unter dem Punkt:

      " Einführung" und zum anderen unter Nahrung ist Medizin


Der Dr. Ralph Bircher hat so schöne Recherchen getätig zur Urnahrung, zum Beispiel 

der Wikkinger, der Eskimos, der Massai und Kikuyu, der Bantu, der Chinesen, 

der Japaner, der Tarahumara(Mexiko), Ureinwohner von Java , auf Jersey und

Portonico(Sizilien), so dass ich hier bei meiner Urnahrungstheorie jetzt richtige 

praktische Fakten ergänzen kann!

Auch das Rationalisierungskonzept für die Dänen von Dr. Mikkel Hindhede, 

was der Dr. Bircher-Benner auch für die Schweiz im 2. Weltkrieg, maßgeblich

durch seine hartnäckige Art plausibel gemacht hat, unterstützt natürlich alles 

was ich da zusammengetragen und erprobt habe!

Und sogar die Rohkost-Nahrung für Sport-Studenten, von Professor Eimer,

die ist ja, wie für mich und meine Natursportler-Ernährung, unter "Nahrung 

ist Medizin" gemacht!


Das bestätigt auch alles was der Dr. Schnitzer in Deutschland für Deutschland empfohlen, 

die Frau Dr. Galina Schatalova für Russland und der Dr. Shigeo Haruyama für Japan.

Natürlich gibt es noch mehr stille Helden auf diesem Gebiet, jedoch die muss ich erst ganz langsam suchen und vielleicht finden. Hier wird nämlich alles getan um deren Wissen, nie

öffentlich zu machen!

Ich ergänze das nach und nach, habt da bitte etwas Geduld!

Mein derzeitiger Stand geht bis Bantu-Nahrung!


Als ich neulich recherchierte, ob "Das Bollwerk wider dem veganen Irrsinn",

mich nicht wieder torpediert, hat meine Firewall, diese Seite sofort blockiert 

und gemeldet:" Schadenssoftware, Zugang verhindert"


Jetzt machen die einen madig und zusätzlich verwanzen die noch deinen PC!




39.) 3 Tipps zum Tapering Benzodiazepine oder Schlafmittel
       Von Jocelyn Pedersen (18.07.18)

siehe vollständig, links unter Berichte Dr. Kelly

54Teilen
Tweet
Aktie
Aktie
Vorgewarnt, gewappnet, vorbereitet zu sein ist der halbe Sieg. ~ Miguel de Cervantes

Für viele Menschen ist die Aussicht auf einen Benzodiazepin-Entzug erschreckend. Für andere ist der eigentliche Rückzugsvorgang möglicherweise eines der schwierigsten Dinge, die sie jemals ertragen müssen. Dies ist nicht zuletzt auf das Missmanagement von Taper-Programmen und die Misshandlung von durch diese Medikamente Verletzten zurückzuführen. Dies geschieht in den meisten Fällen als Ergebnis der Ignoranz und falschen Erzählungen, die Benzodiazepin-Entzug umgeben.


40. Mechanische Schwingungen

Als Mitarbeiter der Wissenschaftlichen Arbeitsorganisation, hatte ich auch mit der

Projektierung von Arbeitsplätzen zu tun.

Es ging um die Anordnung von Maschinen, die Beleuchtung und auch um die 

Übertragung von mechanischen Schwingungen der Maschinen auf den Menschen!


"Hohe Drehzahlen, die Leichtbauweise von Maschinen führen zum verstärkten Auftreten von mechanischen Schwingungen! 

Mögliche Folgen der Einwirkung von Mechanischen Schwingungen auf den Menschen

sind:


- Lästigkeit

- Arbeitserschwernis- und -behinderung

- Gesundheitsschäden, wie

       - Bandscheibenverschiebungen

       - Bindegewebsentzündungen

       - Nierenentzündungen

       - Hämorrhoiden

       - Chronische Müdigkeit"


Man unterscheidet zwischen Ganzkörperschwingungen und Teilkörperschwingungen.


Ganzkörperschwingungen

Die Grenzwerte gelten für mechanische Schwingungen im Frequenzbereich von:

1....90 Hz, die über die Füsse, das Gesäß und/oder Rücken in den Körper eingeleitet werden.

Diese Werte gelten nicht für Teilkörperschwingungen!


Teilkörperschwingungen

Die Grenzwerte gelten für mechanische Schwingungen im Frequenzbereich von:

2,8....2800 Hz, die über die Füsse, das Armsystem in den Körper eingeleitet werden.

Sie haben keine Gültigkeit für Stöße!


Maßnahmen zum Schutz des Menschen

Zur Schwingungsabwehr lassen sich 3 Wege beschreiten:


1. Minderung der Schwingungsentstehung, durch berechneten Massenausgleich,    

    Mehrzylinderanordnungen, Auswuchten, elastische Kupplungen, Bau von spielfreien  

    Lagerungen, Verlagerung von Instabilitätsbereichen, u.s.w..


2. Minderung von Schwingungsausbreitung


   a. Kompensation von Erregerschwingungen durch Zusatzsysteme, z.B. durch

       Schwingungstilger, Stoßdämpfer und Hilfsmassen mit starker Dämpfung!


   b. Elastische Lagerung zum Zwecke der aktiven und passiven Schwingungs-

       isolierung, bevorzugte Verwendung von Gummi-Metallelementen und

       Schraubenfedern.


3. Minderung der Schwingungsaufnahme durch Körperschutzmittel:


    a. Bei Arbeitshaltung stehen: Verwendung von Teppichen, Matten, sowie Schuhen

        mit einer Sohle aus mehreren Schichten verschieden weichen Materials.


    b. Bei Arbeitshaltung sitzen: Verwendung von Sitzunterlagen und Rückenstützen,

        z.B.  Kissen, Schaumgummie-, oder Filzbeläge.


Warum habe ich diese Sache ins Feld geführt?


Jeden Abend mindestens 10 und mehr Minuten Werbung für den

Vibro Shaper und der Muskelaufbau durch diesen Ganz-,

 b.z.w Teilkörper-Schwingtrainer mit einer Frequenz von 7 - 13 Hz!


Da habe ich als Ingenieur einmal kurz nachgedacht und Oben ist das Ergebnis!

Ihr könnt nun allein darüber nachdenken, oder auch nicht!


Je länger man schwingt um so wahrscheinlicher ist ein Oben genannter 

Körperschaden! Das Gehirn habe ich nicht aufgeführt!



41. Noch eine Werbung für Fleisch


Im Fleisch soll Vitamin C sein!

Ich wusste nicht, soll ich jetzt lachen, oder weinen, ich wurde wütend und hätte 

fast meinen Fernseher aus dem Fenster gefeuert!

Wäre Schade drum habe den Privatsender verlassen und ZDF geschaut!


Ich werde Euch vom Professor T. Colin Campbell demnächst eine Übersicht

über das Vitamin-lose Fleisch einstellen!!!

Aus der China Study



42.Kelly Brogan MD - Own Your Body. Free Your Mind.

Want to “Beat” Cancer?End the FightThe translation of emotions to physiology is becoming less and less “woo woo” and more and more scientifically validated. A landmark study of women with breast cancer was recently published that provides even more evidence of the power of emotions on disease outcomes.In this study, researchers measured markers of inflammation called cytokines and correlated them with people’s emotional states. Cytokines are potent signaling proteins that direct cells to act in certain ways. This study focused on pro-inflammatory cytokines such as tumor necrosis factor (TNF)-alpha, IL-6, IL-8, IL-10, and IL-18.These cytokines are elevated in cancer patients and can contribute to symptoms of “sickness behavior” like fatigue, chronic pain, and nausea. This sickness behavior not only diminishes a person’s quality of life, but also saps physical resources that are needed to heal. Interestingly, these cytokines are also elevated in people who suffer from social isolation or negative emotions.Sadly, the very process of being diagnosed with cancer creates a surge of pro-inflammatory cytokines and has been referred to as medical hexing. However, previous research has shown that using strategies for emotional acceptance leads to lowered distress, closer relationships, and increased survival following a breast cancer diagnosis.



Kelly Brogan MD - 

Deinen Körper besitzen. Befreie deinen Geist.Möchten Sie Krebs "schlagen"?

Beende den Kampf die Übertragung von Emotionen auf die Physiologie wird immer weniger "umworben" und mehr und mehr wissenschaftlich validiert. Eine bahnbrechende Studie von Frauen mit Brustkrebs wurde kürzlich veröffentlicht, die noch mehr Beweise für die Stärke von Emotionen bei Krankheitsergebnissen bietet.In dieser Studie haben die Forscher Entzündungsmarker, sogenannte Zytokine, gemessen und mit den emotionalen Zuständen der Menschen korreliert. Cytokine sind potente Signalproteine, die Zellen dazu bringen, auf bestimmte Arten zu wirken. Diese Studie konzentrierte sich auf pro-inflammatorische Zytokine wie Tumornekrosefaktor (TNF) -α, IL-6, IL-8, IL-10 und IL-18.Diese Zytokine sind bei Krebspatienten erhöht und können zu Symptomen eines "Krankheitsverhaltens" wie Müdigkeit, chronischem Schmerz und Übelkeit beitragen. Dieses Krankheitsverhalten beeinträchtigt nicht nur die Lebensqualität eines Menschen, sondern auch die physischen Ressourcen, die zur Heilung benötigt werden. Interessanterweise sind diese Zytokine auch bei Menschen, die unter sozialer Isolation oder negativen Emotionen leiden, erhöht.Leider verursacht der Prozess, bei dem Krebs diagnostiziert wird, einen Anstieg von entzündungsfördernden Zytokinen und wird als "Medizinisches Hexen" bezeichnet. Frühere Forschungen haben jedoch gezeigt, dass die Verwendung von Strategien zur emotionalen Akzeptanz zu geringerem Leiden, engeren Beziehungen und erhöhtem Überleben nach einer Brustkrebsdiagnose führt.


Келли Броган MD - Собственное тело. Освободите свой разум.
Хотите «расколоть» рак?
Конец боя

Перевод эмоций на физиологию становится все меньше и меньше «woo woo» и все более и более научно обоснован. Недавно было опубликовано историческое исследование женщин с раком молочной железы, которое еще больше свидетельствует о силе эмоций в отношении результатов заболевания.

В этом исследовании исследователи измерили маркеры воспаления, называемые цитокинами, и соотнесли их с эмоциональными состояниями людей. Цитокины являются мощными сигнальными белками, которые направляют клетки к действию определенным образом. Это исследование было посвящено провоспалительным цитокинам, таким как фактор некроза опухоли (TNF), IL-6, IL-8, IL-10 и IL-18.

Эти цитокины повышаются у больных раком и могут способствовать симптомам «поведенческого поведения», таких как усталость, хроническая боль и тошнота. Это заболевание не только уменьшает качество жизни человека, но и подпитывает физические ресурсы, необходимые для излечения. Интересно, что эти цитокины также возвышаются у людей, страдающих от социальной изоляции или отрицательных эмоций.

К сожалению, сам процесс диагностики рака вызывает всплеск провоспалительных цитокинов и упоминается как медицинский гексинг. Тем не менее, предыдущие исследования показали, что использование стратегий эмоционального принятия приводит к снижению дистресса, более близким отношениям и увеличению выживаемости после диагностики рака молочной железы.

Komplett
Хотите «расколоть» рак? Конец боя
Автор: Келли Броган, MD


43. Dr. Kelly zu Brustkrebs


Kelly Brogan MD - Own Your Body. Free Your Mind.
Want to “Beat” Cancer?
End the Fight

The translation of emotions to physiology is becoming less and less “woo woo” and more and more scientifically validated. A landmark study of women with breast cancer was recently published that provides even more evidence of the power of emotions on disease outcomes.

In this study, researchers measured markers of inflammation called cytokines and correlated them with people’s emotional states. Cytokines are potent signaling proteins that direct cells to act in certain ways. This study focused on pro-inflammatory cytokines such as tumor necrosis factor (TNF)-alpha, IL-6, IL-8, IL-10, and IL-18.

These cytokines are elevated in cancer patients and can contribute to symptoms of “sickness behavior” like fatigue, chronic pain, and nausea. This sickness behavior not only diminishes a person’s quality of life, but also saps physical resources that are needed to heal. Interestingly, these cytokines are also elevated in people who suffer from social isolation or negative emotions.

Sadly, the very process of being diagnosed with cancer creates a surge of pro-inflammatory cytokines and has been referred to as medical hexing. However, previous research has shown that using strategies for emotional acceptance leads to lowered distress, closer relationships, and increased survival following a breast cancer diagnosis.


Kelly Brogan MD - Deinen Körper besitzen. Befreie deinen Geist.
Möchten Sie Krebs "schlagen"?
Beende den Kampf

Die Übertragung von Emotionen auf die Physiologie wird immer weniger "umworben" und mehr und mehr wissenschaftlich validiert. Eine bahnbrechende Studie von Frauen mit Brustkrebs wurde kürzlich veröffentlicht, die noch mehr Beweise für die Stärke von Emotionen bei Krankheitsergebnissen bietet.

In dieser Studie haben die Forscher Entzündungsmarker, sogenannte Zytokine, gemessen und mit den emotionalen Zuständen der Menschen korreliert. Cytokine sind potente Signalproteine, die Zellen dazu bringen, auf bestimmte Arten zu wirken. Diese Studie konzentrierte sich auf pro-inflammatorische Zytokine wie Tumornekrosefaktor (TNF) -α, IL-6, IL-8, IL-10 und IL-18.

Diese Zytokine sind bei Krebspatienten erhöht und können zu Symptomen eines "Krankheitsverhaltens" wie Müdigkeit, chronischem Schmerz und Übelkeit beitragen. Dieses Krankheitsverhalten beeinträchtigt nicht nur die Lebensqualität eines Menschen, sondern auch die physischen Ressourcen, die zur Heilung benötigt werden. Interessanterweise sind diese Zytokine auch bei Menschen, die unter sozialer Isolation oder negativen Emotionen leiden, erhöht.

Leider verursacht der Prozess, bei dem Krebs diagnostiziert wird, einen Anstieg von entzündungsfördernden Zytokinen und wird als "Medizinisches Hexen" bezeichnet. Frühere Forschungen haben jedoch gezeigt, dass die Verwendung von Strategien zur emotionalen Akzeptanz zu geringerem Leiden, engeren Beziehungen und erhöhtem Überleben nach einer Brustkrebsdiagnose führt.



Komplett in Kommentare Dr. Kelly



44.) Ich ergänze ständig Berichte von Dr. Kelly!


Derzeit komme ich ein wenig zum Ergänzen der Seite, sorry!


Hatte einige Konsultationen von Patienten, die die Schulmediziner schwer misshandelt

haben, speziell Diabetis, Brustkrebs und Herzvorhofflimmern!


Es ist unglaublich wie brutal und ehrlos und herzlos die Schulmediziner geworden sind,

obwohl sie alle einst den Eid des Hippokratis geschworen und der ihnen lediglich abverlangt für jeden Patienten ein Herz zu haben, ohne materielle Hintergedanken!


Aber seinen Leitspruch:


Wie kann einer der die Nahrung der Menschen nicht kennt, ihre Krankheiten,

b.z.w. die Ursachen ihrer Erkrankungen  finden und heilen, der scheint bei über

15.000 Medikamenten gar völlig in Vergessenheit geraten zu sein!


Versucht Euch selbst zu helfen, sonst seid ihr verloren, oder bald nicht mehr 

auf der Erde, das kann ich Euch allen nur raten!


Nutzt Eure menschliche Intelligenz, die künstliche Intelligenz die wird unsere Erde 

zerstören, denn damit bekommt man keinen Kontakt zur Mutter, nämlich "Mutter Erde"


Denkt immer daran derzeit beherrschen Nerds die Wissenschaft, die sind die neuen kleinen Adolfs, die auf der Serotoninebene nur noch Schnapsideen entwickeln, aber 

Alkohol zerstört die Acetylcholin-Rezeptoren, die für Lern- und Weiterdenkprozesse

mit zu Hilfenahme des ererbten Wissens notwendig sind!



45.) Antwort von mir an Dr. Kelly

Frau Dr. med. Kelly, wollte, dass ich ihr Master-Class-Program zur Erkennung von Psychischen Störungen, mit Hilfe eines ihrer Coaches nutze!


Ich habe mich jedoch auf die von mir genannte Weise von meinen seelischen Beschwerden selbst geheilt! Ich suche eigentlich den schöpferischen Kontakt zu Dr. Kelly, denn wenn 

2 Menschen ähnliche Gedanken haben, kommt man zusammen schneller zum Ziel, beziehungsweise die Lösung geliegt dann auf einem höheren Niveau.

Ich mache das alles kostenlos!



Hallo Dr. Kelly,


Dein Masterclass-Panel ist sehr gut!
Ihr sprecht dort ausfühlich über Symptome, also Auswirkungen!
Mich interessieren die Ursachen, zum Beispiel was läuft im Darm fehl?
Was liefert der Darm und die Leber dem Gehirn bei Fastfoodernährung?
Kommen da unvollständige, oder sogar pathogenen Nährstoffe, wie zum Beispiel Aminosäuren, oder keine, oder zu wenig Vitamine und Mineralien an?
Was passiert mit den unvollständigen Botenstoffen im Gehirn, ist ihr Signal zu schwach, werden sie nur unvollständig abgebaut, bleibt da im Gehirn Müll zurück. Was passiert mit künstlichen Amphitaminen im Gehirn, oder mit Neuroleptika, oder Antidepressiva?
Blockieren die Dauerhaft Synapsen, oder Rezeptoren. Sterben dann Nerven ab? Wo sterben die Nerven ab, in welchem Teil des Gehirns?
Was enstehen daraus wieder für  Krankheiten? Zum Beispiel ALS, Parkinson, oder Alzheimer, oder Demenz, oder, oder, oder?
Das interessiert mich Dr. Kelly, nur so kann man dem Patient aktiv helfen.
Desweiteren aus der Peter-Diagnose, wenn der Prolaktinspiegel zu hoch ist, oder der Cortisolspiegel, was rät man dann dem Patienten, wie bekommt er den Stress in den Griff? Um wieviel Mikrogramm erhöht sich der Bedarf an B12, B6, und B3 bei Stress, 2 fach, 3 fach?
Ebenso der erhöhte Bedarf an Glukose?
Wie lange kann man Stress aushalten, wenn man die B12 Zufuhr verdoppelt,
wann ist der Prolaktinspiegel, oder Cortisolspiegel zu hoch?
Erhöhen sich Prolaktinspiegel und Cortisolspiegel analog zum Energieaufwand liniar, oder potentiell???

Das sind die Fragen die ich in der Zukunft bearbeiten werde.
Ich habe sehr, sehr selten einen Menschen der mich um Rat fragt, deshalb mache ich das alles im Selbstversuch, oder theoretisch.
Ich brauche Laborberichte die meine Theorien  untersetzen.


Alles Gute

Peter Gutschmidt




46. Umfassendes Rezeptwerk zur Heilung körperlicher und 

       seelischer Mangelzustände


Seit 3 Jahren arbeite ich an umfangreichen Analysen der Inhaltsstoffe von

Lebensmitteln, um bei den verschiedensten Mängeln im Körper wieder einen 

Ausgleich hinzubekommen!


Beispiele:


Bei Glukosemangel, besonders Kohlehydratreiche vegane Lebensmittel

Bei Hormonproblemen, besonders gute Fett haltige vegane Lebensmittel

Bei Dopaminmangel, besonders Phenylanalin haltige vegane Lebensmittel

Bei Serotoninmangel,besonders Thryptophan haltige vegane Lebensmittel


Ebenso für Zink-, Magnesium-, Eisenmangel!


Die Einahme von Präparaten empfehle ich niemals, weil das den 

Krebs fördern kann.


Alle Mangelerscheinungen möchte ich über pflanzliche Lebensmittel

wieder ausgleichen!


Die Schwierigkeit ist nur, dann auch entsprechende Menus zu erarbeiten,

die dem Patienten auch schmecken!


Also hier bitte ich um Geduld!!!




5.) Ответ от меня до доктора медицины. Келли

Д-р мед. Келли, я хотел использовать ее программу распознавания психического расстройства Master-Class с помощью одного из ее тренеров!
Тем не менее, я исцелил себя от своих психических симптомов так, как я упомянул. На самом деле, я ищу творческий контакт с доктором Келли, потому что если
2 имеют схожие мысли, вы собираетесь вместе быстрее к цели, или решение затем поднимается на более высокий уровень.

Я делаю все это бесплатно!


Привет, доктор Келли,

Ваша панель MasterClass очень хороша!
Вы говорите о симптомах там, поэтому эффекты!
Меня интересуют причины, например, что происходит не так в кишечнике?
Что кишечник и печень обеспечивают мозг с помощью быстрого питания?
Есть ли неполные или даже патогенные питательные вещества, такие как аминокислоты, или нет, или слишком мало витаминов и минералов?
Что происходит с неполными мессенджерами в мозге, их сигнал слишком слабый, они только неполностью разрушены, в мозговом мусоре остается. Что происходит с искусственными амфетаминами в мозге или с нейролептиками или антидепрессантами?
Блокируйте постоянные синапсы или рецепторы. Неужели нервы отмирают? Где умирают нервы, в какой части мозга?
Каковы последствия этого для болезней? Например, ALS, Паркинсон, или болезнь Альцгеймера, или слабоумие, или, или, правильно?
Мне интересно, что Келли, это единственный способ активно помочь пациенту.
Кроме того, из диагноза Питера, если уровень пролактина слишком высок или уровень кортизола, то, что пациент советует, как он может контролировать стресс? На сколько микрограмм требуется увеличение B12, B6 и B3 при стрессе, в 2 раза, в 3 раза?
Аналогично, повышенная потребность в глюкозе?
Как долго вы можете выдержать стресс, удвоив поставку B12?
Когда уровень пролактина или уровень кортизола слишком высок?
Уровни пролактина и уровни кортизола увеличиваются линейно или потенциально аналогично расходам на энергию?

Это вопросы, над которыми я буду работать в будущем.
У меня есть очень, очень редко человек, который просит меня совета, поэтому я делаю все это самостоятельно или экспериментально.
Мне нужны лабораторные отчеты, которые лежат в основе моих теорий.


Всего хорошего

Питер Гучмидт


46. Комплексный рецепт исцеления физических и
       состояния психического дефицита

В течение 3 лет я работаю над широким анализом ингредиентов
Пища для восстановления множества недостатков в организме
Получить компенсацию!
Примеры:
В случае дефицита глюкозы, особенно богатых углеводами вегетарианских продуктов
Для гормональных проблем, особенно хороших жирных вегетарианских продуктов
Для недостаточности допамина, особенно фенилалина, содержащего вегетарианские продукты
Дефицит серотонина, особенно вегетарианские продукты, содержащие типтофан
акже для дефицита цинка, магния, железа!
Я никогда не рекомендую принимать наркотики, потому что это
Может способствовать развитию рака.
Все симптомы дефицита, которые я хотел бы получить от овощных продуктов
снова компенсируйте!
Трудность заключается только в разработке соответствующих меню,

которые также пробуют пациента!
Поэтому я прошу терпения !!!


5.) Answer from me to the doctor of medicine. Kelly

Dr. med. Kelly, I wanted to use her Master-Class Mental Discrimination Program with the help of one of her trainers!
However, I healed myself from my mental symptoms the way I mentioned. In fact, I'm looking for creative contact with Dr. Kelly, because if

2 have similar thoughts, are you going together faster towards the goal, or the solution then rises to a higher level.

I do it all for free!

Hello Dr. Kelly,


Your Masterclass panel is very good!
You talk about symptoms there, so effects!
I'm interested in the causes, for example, what goes wrong in the gut?
What does the gut and the liver provide the brain with fast food nutrition?
Are there incomplete, or even pathogenic nutrients, such as amino acids, or none, or too few vitamins and minerals?
What happens to the incomplete messenger substances in the brain, is their signal too weak, they are only incompletely broken down, there remains in the brain garbage. What happens to artificial amphetamines in the brain, or with neuroleptics, or antidepressants?
Block the permanent synapses, or receptors. Will nerves then die off? Where do the nerves die, in which part of the brain?
What are the consequences of this for diseases? For example, ALS, Parkinson's, or Alzheimer's, or dementia, or, or, right?
I'm interested in that Kelly, that's the only way to actively help the patient.
Furthermore, from the Peter diagnosis, if the prolactin level is too high, or the cortisol level, then what is the patient to advise, how can he get the stress under control? By how many micrograms does the need for B12, B6, and B3 increase under stress, 2 times, 3 times?
Similarly, the increased need for glucose?
How long can you endure stress by doubling the B12 supply?
When is the prolactin level or cortisol level too high?
Does prolactin levels and cortisol levels increase linearly, or potentially, analogously to the energy expenditure?

These are the questions I will work on in the future.
I have very, very rarely a person who asks me for advice, so I do it all in a self-experiment, or theoretically.
I need lab reports that underpin my theories.


All the best

Peter Gutschmidt


46. Comprehensive recipe for healing physical and

       mental deficiency states
For 3 years I have been working on extensive analyzes of the ingredients of
Food to restore a variety of deficiencies in the body
To get compensation!
Examples:
In case of glucose deficiency, especially carbohydrate-rich vegan foods
For hormone problems, especially good fat vegan foods
For dopamine deficiency, especially phenylanaline containing vegan foods
Serotonin deficiency, especially vegan foods containing thryptophan
Also for zinc, magnesium, iron deficiency!
I never recommend the intake of drugs, because that is the
Can promote cancer.
All deficiency symptoms I would like about vegetable foods
compensate again!
The difficulty is only to develop appropriate menus,
which also taste the patient!
So here I ask for patience !!!



47.Antidepressiva-Medikamente arbeiten nach der neuesten Studie: Eine kritische Neubewertung

Von Michael P. Hengartner, PhD

346Teilen

Tweet

Aktie

Aktie

Dutzende Meta-Analysen, einschließlich hunderter Antidepressiva-Studien, wurden bisher durchgeführt. Mit einigen bemerkenswerten Ausnahmen 1 2, die überwiegende Mehrheit dieser Meta-Analysen zu dem Schluss, dass Antidepressiva wirksam für Major Depression sind.3 4 Mainstream Psychiatrie rät der Öffentlichkeit ständig, dass Antidepressiva arbeiten und dass viele von ihnen sollten verschrieben werden mit schwerer Depression. Die jüngste Meta-Analyse von Cipriani und Kollegen3 zog viel öffentliche Aufmerksamkeit auf sich, und mehrere führende Meinungsführer machten in den Medien die kühnen Behauptungen geltend, dass "Antidepressiva bei den meisten Menschen mit Depressionen eindeutig funktionieren". Paradoxerweise ist dies jedoch der massive Anstieg der Verschreibungsraten von Antidepressiva in den letzten drei Jahrzehnten nicht in messbare Vorteile für die öffentliche Gesundheit, 5 6 7 und verschiedene Autoren festgestellt, dass die Drogen überhaupt nicht funktionieren.8 9 11



Vollständig, siehe Berichte Dr. Kelly



48.)Ändern Sie Ihre Denkweise und verwandeln Sie Ihren Körper

in nur 5 Minuten pro Tag! (2.11.18, von Dr. med. Kelly Brogan)

Ich fing nicht an zu trainieren, bis ich meine Hashimoto Aber als ich diese Energie wiedergewonnen hatte, wusste ich, dass es Zeit war, sich zu bewegen. Wir sind so konzipiert, dass sie durch Bewegung mit unseren inneren Energiespeichern verbunden sind.

Heutzutage arrangiere ich mein gesamtes Leben um Spin- und Tanzkurse und halte es für mein wichtigstes Rezept für Wellness.

Als meine Freundin sagt Erin Stutland so weise:

Bewegung in Ihrem Körper erzeugt Bewegung in Ihrem Leben.

Deshalb möchte ich Sie auf eine besondere Herausforderung aufmerksam machen, die sich Say Say, Sweat It, Get It! Nennt.

Es beginnt am Montag, dem 5. November, und bietet eine Woche lang 5-minütige Video-Workouts, die Ihnen täglich per E-Mail zugeschickt werden.

Fühlen Sie sich, als hätten Sie jedes Training ausprobiert? Ich lade Sie ein, etwas ganz anderes auszuprobieren.

Sie kombinierte ihre anerkannte Fitness-Expertise mit der Mantra-Technologie und der Affirmationstechnologie, so dass diese kleinen, aber kraftvollen Zeitinvestitionen die Art, wie Sie Ihren Körper bewohnen, verändern können.

Wenn Sie also vor der Ferienzeit nach einem Starthochsprung suchen, ist dies möglicherweise der perfekte Weg, um sich zu bewegen und motiviert zu werden!

Melden Sie sich hier für die Say It, Sweat It, Get It FREE-Herausforderung an.

Nehmen Sie an der KOSTENLOSEN Week-Long Challenge teil



vollständig, siehe unter berichte Dr. Kelly


49. Meine völlig neue Definition der Psychose und Schizophrenie


Aufgrund dieses folgenden Artikel, der Deutschen Presse Agentur, habe ich aus meinen

eigenen Erfahrungen und Schlussfolgerungen aus den Methoden der Psychiatrie und

meiner Zusammenarbeit mit der Psychiaterin Dr. med. Kelly Brogan aus den USA, eine völlig neue Definition der Ursachen ermittelt!


Siehe im Anschluss an diesen Artikel:


dpa:


"Etwa 500.000 Menschen in Deutschland sind von Schizophrenie betroffen. Die Krankheit ist mittlerweile gut behandelbar – wird aber oft spät diagnostiziert.

SO SIEHT DAS LEBEN MIT SCHIZOPHRENIE AUS







Foto-Serie mit 5 Bildern

Es begann daheim im Badezimmer. Anna Kunze, 16 Jahre alt, putzte das Bad wie jeden Mittwoch – da plötzlich: "Anna! Anna!"

Wer rief nach ihr? Ihre Eltern waren unterwegs, ganz sicher. Lief der Fernseher noch? Anna rannte durch das Haus, wurde panisch, fand niemanden. Die Stimme? Nur in ihrem Kopf. Laut und stark, als würde jemand direkt hinter ihr stehen. Es war der Anfang von Annas Schizophrenie.

Etwa 500.000 Betroffene

Die 22-jährige Dresdnerin ist eine von rund 500.000 Menschen in Deutschland, die mit der Diagnose leben. "Bei der Schizophrenie nehmen Menschen Dinge wahr, die es in Wirklichkeit nicht gibt", erklärt Sandeep Rout, Facharzt für Psychiatrie und Psychotherapie am Vivantes Klinikum Neukölln in Berlin. "Es ist eine Spaltung zwischen Erleben und Realität. Keine Persönlichkeitsspaltung, wie viele Menschen denken."

Formen der Schizophrenie

Zu den Hauptsymptomen gehörten akustische Halluzinationen, Wahnideen, Gedanken, die nicht der Realität entsprechen, und Störungen der Ich-Wahrnehmung. Betroffene haben das Gefühl, andere könnten ihre Gedanken lesen oder Besitz von ihrer Persönlichkeit nehmen.



Die Tücke der Erkrankung: Zwischen Ausbruch und Diagnose liegen im Schnitt fünf Jahre. Auch bei Anna Kunze blieb die Krankheit lange unentdeckt – sie schlich sich in ihr Leben, verdunkelte es geradezu. In der Schule fühlte sich das Mädchen gemobbt, dann starb ihre Großmutter. Anna Kunze stürzte in eine seelische Krise. Mit 14 Jahren wurde sie zum ersten Mal wegen Depressionen im Krankenhaus behandelt.

Akute Psychosen

Die Stimme in ihrem Kopf, eine Frauenstimme, übernahm immer häufiger die Macht. Sie beschimpfte Anna Kunze. "Du bist dumm, Anna!" "Anna, Du bist hässlich!" Und dann war plötzlich die ganze Welt gegen sie. Auch ihrer Familie traute Anna Kunze nicht mehr. "Ich war sicher, dass meine Schwester eine Strahlung auf mich ausgerichtet hat, damit ich verrückt werde."

"Das sind akute Psychosen", sagt Professor Hans-Peter Volz, Ärztlicher Direktor am Krankenhaus für Psychiatrie, Psychotherapie und Psychosomatische Medizin Schloss Werneck in Bayern. "Um diese Phasen zu verhindern, ist Früherkennung wichtig. So sinkt das Risiko für einen chronischen Verlauf."

Unspezifische Symptome

Schizophrenie früh zu erkennen, sei jedoch schwierig. "Im Vorstadium zeigen sich meist unspezifische Symptome wie Ruhelosigkeit, Schlafstörungen, grundlose Freudlosigkeit, Leistungseinbrüche oder Anspannungsgefühle. Betroffene fühlen sich häufig von anderen ausgeschlossen, beäugt und missverstanden", beschreibt Volz.

Wer solche Veränderungen an sich erkennt, sollte sich Hilfe suchen, rät Sandeep Rout. Psychiater und psychiatrische Kliniken seien die richtigen Ansprechpartner. Die erste Maßnahme: Stressfaktoren aus dem Leben zu streichen. "Betroffene sollten auf genügend Schlaf achten und Reizüberflutungen vermeiden", rät Rout. Alkohol und Drogen könnten ebenfalls einen akuten Schub auslösen. Eine besondere Rolle in der Vorbeugung spiele auch ein stabiles Umfeld – viel Geduld und Verständnis der Angehörigen.

Therapeutische Verfahren

"Schizophrenie ist heute mit Medikamenten gut behandelbar. Eine Kombination mit Psychotherapie und weiteren therapeutischen Verfahren wie Ergotherapie ist meist optimal", erklärt Volz.

Anna Kunze hat gelernt, mit ihrer Erkrankung zu leben, ist sogar Mitbegründerin des EX-In Sachsen – eines Vereins für Betroffene, die sich untereinander helfen. Volz sagt: "Das ist die richtige Einstellung. Die Menschen sollten sich auf keinen Fall verkriechen." Es gibt keine Schizophrene, sagt er – "nur Menschen mit Schizophrenie". Die Krankheit ist zwar Teil ihres Lebens. Aber eben auch nur ein Teil."

 

Wichtiger Hinweis: Die Informationen ersetzen auf keinen Fall eine professionelle Beratung oder Behandlung durch ausgebildete und anerkannte Ärzte. Die Inhalte von t-online.de können und dürfen nicht verwendet werden, um eigenständig Diagnosen zu stellen oder Behandlungen anzufangen.



Meine neue Defintion:


Dr. Kelly und ich sind der vollen Überzeugung, dass man Psychosen und Schizophrenie,

nur eine Ernährungsumstellung und Lebensstil Änderung heilen kann, weil die Ursachen

dieser Erkrankungen im überforderten, oder kranken Darm, unserem Ur-Hirn liegen!!!


Eine Psychose plus perniziöse Anämie sind die ersten Anzeichen für die Überforderung des Darmes, denn er kann dem Gehirn, bedingt durch Fehlernährung, Dauerstress, oder

physische Überforderung des Patienten nicht mehr genug frische Ausgangsstoffe für

die richtige Botenstoff Bildung, sowie Energie in Form von Glukose bereitstellen!


Beide System, also Gehirn und Darm geraten in den Notfallmodus!


Wenn der Patient physisch und psychisch überfordert ist, dann hat er sowohl einen

Prolaktinspiegel über dem Normalwert, als auch einen Cortisolspiegel über dem Normalwert!

Das logische Gehirn, also die linke Gehirnhälfte(Hauptspeicher) ist wie leer gefegt!

Man hat plötzlich demente Erscheinungen, wie Vergesslichkeit, Verwirrtheit und 

ähnliches! Das Gehirn ist so überfordert, dass es die rechte Gehirnhälfte( Festplatte), wie bei einem Autisten voll öffnet!

Ein Autist hat jedoch eine fehlende Verknüpfung zur linken Gehirnhälfte und kann mit dieser Vielzahl von Informationen nichts anfangen!

Ein erkrankter normaler Mensch jedoch, je nach Intellekt, bei dem werden jetzt die 

Informationen der Reihe nach in den Hauptspeicher geladen und es können sich ganze Filmsequenzen abbilden und er reagiert entsprechend!

Da können aufgrund eines längst vergangenen Erlebnisses sich Verfolgungsängste

zeigen, oder man wird aggressiv gegenüber Vorgesetzten, oder Kollegen, deren Fehlverhalten man Jahre lang unterdrückt hat! Ich habe in dieser Zeit ein 300 Seitiges Werk über die gesamten Fehler meines Umfeldes erarbeitet, wo ich dann im zweiten Teil, also 

nach 150 Seiten, dann 150 Seiten Lösungsvorschläge aus dem Unterbewusstsein 

hingelegt, oder aufgeschrieben habe!

Das nennt der Psychiater Psychose und tritt es ein zweite Mal auf Schizophrenie

mit positiven Aspekt!

Man hat hier tatsächlich einen Dopamin Überschuss, jedoch nur weil die

Postsynapsen mit weit mehr Prolaktin besetzt sind, als der Körper normal wieder rückbauen kann. Der Patient ist in diesem Falle völlig erschöpft, ihm fehlen frisches Phenylanalin, Tryptophan, B12, B6, B3, Zink,Magnesium, und Vitamin C, um das Prolaktin von den Synapsen zu verdrängen!


Was macht jetzt der Psychiater?

Er verordnet ein Neuroleptika (LSD, oder Amphitamin ähnlich), welches die Dopamin

Produktion der Präsynapsen unterbindet!

Dabei entsteht aber immer mehr Prolaktin! Der Patient beruhigt sich jedoch sein Antrieb wird

nach und nach immer schwächer er zeigt Demenz Erscheinungen, bis er sogar depressiv wird! Dann verordnet der Psychiater zusätzlich ein Antidepressiva, welches Kokain ähnlich ist und auch wirkt! Es wirkt als MAO-Hemmer, also die Rückbildung des Glücksbotenstoffs Serotonin aus den Synapsen wird gehemmt! Man ist hier wiederum eine Zeit lang zufrieden, jedoch der Prolaktin Spiegel steigt immer weiter an und man wird immer erschöpfter und Mut loser!

Also gesund wird man hier nie mehr, sondern immer hilfloser, bis man im betreuten Wohnen und arbeiten in einer Behindertenwerkstatt endet!

Die Sterberate die in Deutschland bei 12/1000 drei mal so hoch wie in Syrien liegt,

verdoppelt sich bei solchen Patienten auf 24/1000!


Dr. Kellys und mein Ausweg könnt Ihr ausführlich in der Peter-Diagnose, oder

unter seelische Erkrankungen lesen!


Wir betreiben Lifestil-Medizin und ausschließlich Behandlung des Darmes über die Ernährungsumstellung -> Mit hohem Erfolg, ohne Medikamente!!!



Bei der Schizophrenie mit negativem Aspekt, da handelt es sich um einen Dopaminmangel,

d.h. Postsynapsen sind zum Teil unbesetzt, der Patient hat auch einen geringen Prolaktinspiegel und ein der Depression ähnliches Verhalten! E s wird jedoch mit den fast gleichen Medikamenten behandelt, jedoch können hier Parkinson-Symptome auftreten und man muss Dopamin Ersatz zum Beispiel Carbargolin geben, jedoch hilft das ebenso nicht die

Eigenproduktion von, von Dopamin in den Präsynapsen wieder anzuregen, denn auch hier fehlen die Ausgangsstoffe für die Dopaminbildung, wie schon oben genannt, frisches Phenylanalin, Tryptophan, B12, B6, B3, Zink,Magnesium, und Vitamin C, um die

Bildung von Dopamin in Gang zu setzen!


Was aber meist ganz wichtig ist, dem Patienten muss wieder eine Aufgabe, eine Bedeutung und ein gebraucht sein gegeben, oder zumindest vermittelt werden um sein Selbstwertgefühl zu steigern. Später im gleichen Umfeld, wird er nach kurzer Zeit wieder zusammenbrechen,

weil das alte Umfeld überwiegend der Auslöser war!

Es ist erforderlich den Stressfaktor, die geistige und, oder die physische Belastung des

Patienten zu verringern! Vor allem ist eine umfassende Änderung des 

Ernährungsverhaltens erforderlich!!!


dazu siehe die "Peter-Diagnose!"


49.1 Neue Erklärung zur Psychose, Ergänzung!


Als ich im Februar 2011 durch meinen schweren Vitamin B12-Mangel,

etwa um die 74 Mikrogramm/Liter Blut( Soll, minimal um die 174 Mikrogramm/Liter Blut),

in einen der Psychose ähnlichen Zustand mit perniziöser Anämie fiel, das erlebte ich wie in einem Rauschzustand, ich habe 2 Tage hintereinander ein Buch mit 300 Seiten geschrieben!


Das rechte Gehirnhälfte öffnet sich in der Not und will dem Betroffenen irgend etwas,

eine Art Lösung zukommen lassen. Die linke logische Gehirnhälfte, der von mir genannt Hauptspeicher, ist jedoch durch den Jahre langen Stress, die täglich geistige Überforderung,

so zugemüllt, dass sie erst einmal nichts aus dem Hauptspeicher, nämlich der rechten Gehirnhälfte herunterladen kann!


Jetzt kam mir der Blitzgedanke (Die Erklärung dieses Zustandes):


1.) Die ersten 150 Seiten, da habe ich den ganzen Müll des Hauptspeicher ausgelesen,

      das heißt zu Papier gebracht!

     Hier habe ich meiner ganzen Wut über die vermeidlichen Menschen die mir Unrecht 

     getan haben freien Lauf gelassen! Wut auf die Mutter, die ich der Römischen Kaiserin 

     Livia verglichen, meine Frau als Agrippina bezeichnet, die mich den armen Claudius mit 

     Pilzsuppe vergiften wollte. Meine Kollegen habe ich als Arschlöcher, bis Riesen Arschlöcher 

     bezeichnet und vieles, vieles mehr an das ich mich nur noch ganz ganz vage erinnern kann!


     Menschen heute, die sehr viel gehänselt werden und noch jung sind, die auch noch nicht  

     seelisch verschlissen, werden dann häufig zu Nerds!

     Also mit ihrer noch jungen frischen linken Gehirnhälfte bilden sich hier ungewöhnlich viele

     Verknüpfungen von Nerven, also sie können sozusagen den Hauptspeicher aufrüsten und   

     sie schaffen Dinge die uns in erstaunen versetzen, jedoch meist den Menschen und der 

     Erde nicht helfen sondern deren Untergang beschleunigen!

    ( Muss bei Adolf so gewesen sein-> extrem)

     Heute Silikon Valley, eine Dorf der Nerds!!!

     Ich vermute bei Gates und Zuckerberg und so weiter diese ungewöhnliche  

     Hauptspeicher Entladung, bei der der Betreffende keinen Warnung, oder Hilfe von der    

     Festplatte bekommt, denn er ist ja noch ein Zauberlehrling und kann noch nicht, b.z.w. nie 

     mehr im Leben im Druidenmodus denken!


    Im Druidenmodus denken, oder die Seelen Liebe, wie ich dann genannt, kann eigentlich 

    nur eine weiser Mensch am Ende seines Schaffens, oder ein Avant, welcher jedoch wie beim

    Asberger Syndrom, dann erst mehr Verknüpfungen zum Hauptspeicher haben muss, um 

   nicht wie ein Autist, der scheinbar gar keine Verknüpfungen zur linken, oder minimale 

   Verknüpfungen aufweist mit dem ganzen Wissen Wissen den Hauptspeicher geflutet  

   bekommt und somit nichts, oder sehr wenig allein, logisch kombinieren kann!!


2.) Die etwa nächsten 150 Seiten, habe ich dann einzigartig kreativ all meine Probleme

      kreativ versucht zu lösen!

      All das was ich heute auf www.peter-gesundheit.com geschaffen habe, habe ich 2013, 

      als ich halbwegs wieder hergestellt war, aber immer noch unter Neuroleptika stand in 

     einzelnen Schaffens Perioden, wo ich immer Kurzzeitig etwa bis 2 Stunden einen 

     Zugang zur rechten Gehirnhälfte hatte!

     Mein wunderbarer Hausarzt meinte, dass mein Gehirn irgendwie die Neuroleptika 

     ausleitet, also nicht annimmt, oder wirken lässt.

     In diesen 2 Stunden, war als wenn meine logische Gehirnhälfte ausgeschaltet war, 

     also ich habe kleinste mathematische Additionen nicht zustande gebracht!


     Wenn ich in einer wieder normalen Schaffens Phase war, konnte ich wieder rechnen wie 

     früher und wenn ich dann dachte, ich müsste eigentlich noch dieses oder jenes Problem 

     erwähnen auf meiner Seite, dann stand es perfekt schon da, besser formuliert, zwar voller 

    Rechtschreibfehler, aber so dass ich es nicht besser konnte, um den Sinn nicht zu entstellen!


   Um heute in diesen Druidenmodus, wie ich ihn nenne, gesund,  zu gelangen, also

   wenn ich eine gute dem Menschen und der Erde dienliche Lösung suche, dann nehme 

   ich ein ganz heißes Bad und überfordere somit meinen Kreislauf, oder Körper, so wie 

   das der weise Dr. Shigeo Haruyama auch an sich entdeckt hat und plötzlich kommen mir 

   gute Lösungsvorschläge für die ich mich bedanke!

   Die muss ich aber umgehend zu Papier bringen, sonst sind sie vergessen, oder

   ich bekomme sie nur mit einem für mich nicht zufriedenen Ergebnis umgesetzt!


Wenn man im Druidenmodus denkt schenkt einem das Gehirn Endorphine und man 

kann sehr lange denken, ohne zu ermüden!

Der Trick ist, um sich nicht trotzdem zu überfordern, dass man sich ein kleines

Detail eines Problemes vornimmt und es immer Mosaik weise später zusammenfügt!


Wenn die Nerds denken erschöpfen sie völlig, weil ihnen das Gehirn nur, wie beim Liebe machen, Serotonin als Belohnung schenkt und die Hypophyse mit dem Prolaktin diesen

Denkvorgang mit Erschöpfung beendet, bis Serotonin abgebaut ist und frisches Dopamin 

das Prolaktin von den Rezeptoren der Postsynapse verdrängt!

( Bei Adolf war das so dass der Dr. Morell ihm mit dem Pervitin, Amphitamine gespritzt

hat, was die Belohnung des Gehirns mit Endorphinen simuliert, jedoch langfristig zur vollen Erschöpfung des Betroffenen führt, weil das Prolaktin an den Synapsen Übermaß annimmt,

und die Dopamin Bildung, also das Signal zur Dopaninbildung an den Natrium-Ionen-Kanälen

der Präsynapsen abgeschaltet wird und auch der Teil der für die Steuerung der 

Bewegungsabläufe im Gehirn zuständig ist kein Dopamin bekommt!

Langfristig entsteht dann Parkinson!


Der Dr. Shigeo Haruyama sagt, dass es nur mit der Welt besser wird, wenn man das ererbte

Wissen der rechten Gehirnhälfte einsetzt und nur gutes im Sinne der Erde und der Menschen vor hat. bei schlechten Gedanken funktioniert nur der Nerd-Modus!!!


Und wie im Falle Adolf, bewiesen, kann man das NICHT künstlich erzwingen!!!


Bei 2 Menschen habe ich darum das denken in Form der Seelen Liebe erfunden

und bei einem Einzelnen, wie bei mir:"Denken im Druidenmodus!"


Also mit der ganzen Hirnforschung und der Eingriff da künstlich, ob mit Drogen, 

Neuroleptika, Antidepressiva, Schlaf-und Beruhigungsmittel, zerstören von 

Gehirnregionen schafft nur Unheil und Leid am Betroffenen und für die Gesellschaft 

und somit für die gesamte Erde!!!

   

(Also ich habe hier fast 100 Rechtschreibfehler korrigieren müssen, aber ich mache erst einmal jetzt Pause!)




50.) Gefängnisse in den USA entsprechen einem "Psychatrischen KZ"


Gestern, am 10.11.18, habe ich auf einem Infosender N24, mir zwei Stunden Berichte über Gefängnisse in den USA und die Aussagen der Gefangenen angeschaut!

Ich war erschüttert, denn einige bekommen mehr als 8 Psychopharmaka zugleich!

Da ich selbst einmal gezwungen wurde dieses Zeug, gegen meinen Willen, zu nehmen,

konnte ich mich in die Gefühlslage dieser bedauern würdigen Menschen hineinversetzen!

Was man mit diesen Gefangenen anrichtet entspricht Körperverletzung auf höchsten 

Niveau, weil diese Wunden nie mehr heilen.


Die Aggressivität der Gefangenen untereinander rührt von dem Schweinefrass den sie

zu essen bekommen, weil da sind kaum die Vitamine,  die 8 essentiellen Aminosäuren, Mineralien, Spurenelemente, Enzyme vorhanden, die ein Mensch benötigt um normale Hirnfunktionen zu haben!


Desweiteren benötigen sie Sonnenlicht für die für die Vitamin-D Produktion und den sauberen Stickstoff aus der Atemluft, damit der Darm gesunde Proteine erzeugen kann.


Unter diesen dem KZ-ähnlichen Bedingungen mit den verheerenden medizinischen Experimenten, ist es fast ausgeschlossen, dass ein Insasse wieder später normal

gesund reagiert.


Alle Medikamente, Drogen, Neuroleptika, Antidepressiva, zerstören langfristig das Gehirn 

und den Darm, weil sie lediglich Teilkomponenten einer früheren Pflanze sind, oder gar anorganisch chemisch hergestellt sind.

Das erzeugt immer eine Sucht, weil der Körper nur den genetischen Code einer

gesamten Pflanze klar kommt! Er versucht diese zu komplettieren und signalisiert einem mehr davon zu sich zu nehmen, weil er hofft die restlichen Bausteine der ehemaligen

Pflanze zu bekommen!

Im Falle von 405èr Mehl, oder Zucker verdaut er sie dann, in dem er einem das Kalzium,

aus den Haaren, Zähnen und Knochen klaut. Ebenso muss das Blut ständig,

um nicht zu übersäuern, mit Körpereigenem Kalzium neutralisieren.


Diese Gefangenen werden nicht alt, mit über 50 Jahren sind sie dann völlig am Ende,

dement, adipös, osteoporös und seelisch völlig fertig!


Ich war sehr erschüttert und werde die Frau Dr. med. Kelly Brogan einmal bitten 

hier etwas zu unternehmen!


Übrigen ähnlich geht es auch in Deutschen, Französischen und Italienischen 

Gefängnissen und vor allem in den Psychiatrischen Kliniken zu!


Das ist Homöopathischer Nationalsozialismus der perfidesten Art!

Für diese Gesellschaft schäme ich mich als anständiger ehemaliger DDR-Bürger!


Vor allem man kann hier auch deutlich sehen, das Adolf Hitler zwar ein 

Völkermörder war, aber die hinter ihm diese Verbrechen in den KZ- und so weiter durchgeführt haben, die hätten das auch ohne ihn, irgendwie gemacht!

Siehe die Japaner-Bestien in der Mandschurei !


51.)Verrückte Gutachten-Wenn Menschen entmündigt werden!

        Di 20.11.18 7:05 Uhr, MDR


Das ist mein Kommentar zu diesem Thema:


Sehr geehrte Damen und Herren,
heute Morgen habe ich Ihre Sendung:“Verrückte Gutachten“,
gesehen und war erschüttert über die Naivität Ihres
Professors Niels Habermann!
Ich habe 2013 nach zwei schrecklichen Jahren in der Psychiatrie,
die auch auf einer Fehldiagnose basierte, die Internetseite
www.peter-gesundheit.com ins Leben gerufen, die auf umfangreichen Recherchen entsprechender Literatur und Patientenbefragungen und Eigenerleben basiert.

Das was der Professor nicht sagt, ist das die Diagnose von seelischen Erkrankungen allein auf einem Befragungskatalog dem DSM IV, b.z.w. ICD 10 basiert, in dem
etwa 297 Fragen( über 900 Seiten) und deren mögliche Abweichungen bei der Befragung des Patienten auftreten können, basiert. Einfach gesagt, je nach dem welche falsche Antwort der Patient auf die gestellte Frage des Psychiaters gibt reflektiert dieser das mit dem Abbild der seiner Meinung nach richtigen Antwort aus diesem Handbuch und und daraus zieht er dann seine Schlussfolgerung, die zu 80 % eine Abweichungsnummer ergibt!
Wie Depression, manische Depression, Psychose, tritt diese mehr als einmal auf Schizophrenie, PTS und so weiter!
Das Verwerfliche ist man wird zum Schluss mit einem Straftäter in einem Topf gesteckt!(Polizeigesetz)!
Die eigentlichen Ursachen, wie das ich und vor allem die Amerikanische Psychiaterin 

Dr. med. Kelly Brogan in ihrem Buch:
„Die Wahrheit über die weibliche Depression!" dargelegt hat, nämlich
ein kranker Darm, Hormonstörungen, Fehlernährung, langfristige körperliche und geistige Überforderung, plus Stress, die interessieren den Psychiater gar nicht! 

Der Psychiater macht sich zum Richter und zum Henker gegenüber einem Menschen, der einfach den Alltag nicht mehr körperlich und geistig bewältigen konnte und in der Psychiatrie geben sie ihm mit Drogen ähnlichen Neuroleptika und Antidepressiva den Rest! 

Also ich bin völlig erschüttert entweder über die Naivität, oder die Eiseskälte dieses Mannes! Sich in der Psychiatrie unterzuordnen heißt jeden Tag vor der Schwester den Mund aufzumachen und ihren Anweisungen zu folgen diese synthetischen Drogen die den körperlichen und seelischen Verfall des Patienten, gegenüber einem normal Sterblichen verdoppeln zu ergeben!


Wer von den Schwestern, Ärzten, Ergotherapeuten und so weiter da ausbricht, dessen Tage sind gezählt!
 
Die verpfeifen einen alle, da kann man sich nicht einmal vertraulich äußern!

Und ein normaler Richter der nicht im Mindesten biochemische Kenntnisse der Botenstoffe im Gehirn und im Körper hat, sondern lediglich das psychiatrische Handbuch grob kennt, der wird niemals ein korrektes Urteil fällen ! 

In einer Sendung wurde einmal berichtet, dass 80 % aller psychiatrischer Gutachten falsch sind! Es vegetieren 100.000 sende junge und alte Menschen in den Psychiatrien, dem betreuten Wohnen, den Behindertenwerkstätten und vor allem im Strafvollzug, vogelfrei, diesen Psychiatern, der Pharmaindustrie und deren Helfern aus der Justiz und der Politik und der Polizei vor sich hin, ohne Lobby, ohne Hilfe, einfach grausam und unverantwortlich!


Ich habe letztens eine Sendung über Gefängnisse in den USA gesehen, da kamen mir trotz der Schwere der Delikte der Straftäter die Tränen, wie diese harten Jungen mittels Schweinefraß, bis zu 8 Psychopharmaka/Tag, bis 150 Tage Einzelhaft seelisch aber wirklich völlig ruiniert werden!
 
Bei 2 Monaten bis 150 Tagen Einzelhaft, kann es zu einer schweren Psychose, bis zur Schizophrenie kommen, die dann obwohl der Gefangene vorher sogar seelisch gesund war, dann mit Psychopharmaka behandelt werden, das ist so abartig, dass kann man sich kaum mit ansehen, ohne eine Regung für den Betroffenen zu empfinden!


Übrigens der eine Gefangene hat die Symptome mit Spinnen, oder Käfer sehen sogar geschildert! Trotz Gnadenersuch nach 2 Monaten, musste er, völlig verzweifelt, 

den Rest bis 150 Tage, weiter in Einzelhaft!
 
Ich habe das der Frau Dr. med. Kelly Brogan, sofort mitgeteilt, das ich mich dem Eindruck nicht erwehren kann das diese Gefängnisse: „Psychiatrische Konzentrationlager“ sind!

Jeder Straftäter wird unter dem Einfluss von solchen seelischen Drogen der 

Pharmaindustrie noch gefährlicher!

Ich habe habe in dieser BRD nach diesen Erlebnissen einfach keine Freude mehr hier zu leben, jedoch in Österreich, oder der Schweiz und auch in Frankreich, Italien und so weiter, habe ich ähnliche Berichte schon im Fernsehen verfolgt! 

Eine Österreicherin bat mich verzweifelt um Hilfe für ihre Ma, da habe ich ihr alles was ich machen würde mitgeteilt, natürlich unverbindlich!
 
Den Brief können Sie auf meiner Internetseite sich anschauen!
 
Meine Erfahrungen werden Welt weit geschätzt und in diesem Monat habe ich, speziell in diesem Monat bis dato eine für mich Rekordbesucherzahl von 3200 allein aus den USA. 

Speziell hier in Deutschland ist das Interesse sehr gering!

Schade vielleicht kommt hier bald ein Impuls aus den USA, der dieser Psychiatrie, aber auch der Schulmedizin das Handwerk legt!


Es ist aber auch bei den körperlichen Krankheiten nicht anders und die Todesraten durch die Ärztliche Fehlbehandlung, Fehlernährung, plus Überforderung, Umwelt, Medikamente, und Stress liegt bei 12/1000 Bundesbürger/Jahr,
Syrien 4/1000, Israel 5 /1000, Nordkorea 6/1000, Katar 1,5/1000.( Angaben aus Internetrecherchen!)

Sie sehen wenn die 80 Millionen Bundesbürger in Syrien so friedlich wie hier leben würden dann würden etwa 333.333 Bundesbürger ins Paradies wollen, hier etwa(2015), 950.000!

Hieran können Sie die Lebensqualität der BRD messen!

Vor allem die Fehlleistung der Psychiater und sonstigen Ärzte die doch den Eid des Hippokrates geschworen, falls die den überhaupt noch kennen!
Und noch eines, die Sterberate der Behinderten und der Obdachlosen,

 liegt bei etwa 24/1000 Menschen/Jahr!


( Das habe ich für eine Behindertenwerkstatt in Berlin/Neukölln, wo ich 18 Jahre als Ingenieur und Arbeitsvorbereiter tätig
war an Hand der Todesraten/Jahr ermittelt)
 
Ansonsten war die Sendung sehr aufschlussreich!
 
Bitte verzeihen Sie mir meine etwas Temperamentvolle Art, jedoch das Schicksal der Betroffenen, wenn man das, wie in der Sendung, noch einmal so vor Augen geführt bekommt, das hat mich zu tiefst bewegt!


Wie kann ein Gutachter 20 Jahre ruhigen Gewissen leben, wenn er einen unschuldigen Patienten für eben diese Zeit in die geschlossenen Psychiatrie schickt, das ist eigentlich 

eine schwere Straftat, fast wie Totschlag!


Die Medikamente kommen einer Körperverletzung mit Langzeitwirkung, also bleibenden Schäden gleich!


Vor allem alle anderen Gutachter, Richter und Ärzte, schauen trotz Zweifel, Jahre lang

einfach so da zu, ist das nicht erbärmlich!
 
Sehr, sehr mutig fand ich die Gutachterin, die sich da aufgelehnt hat,

das ist eine wunderbare Frau!
 
 Peter Gutschmidt


52.) Brief an einen genialen Arzt

Hallo Herr Dr. xxx,

 

das ist das Schicksal von genialen Menschen in diesem Staat!

Wenn die merken, dass man dem Volke Gutes tun  könnte, oder der Wahrheit gefährlich nahe kommt, dann überhäufen die Einen mit einer Datenflut und mach doch bitte hier mit, halte hier, oder da Vorträge, bilde einen Gesprächskreis und so weiter! Tja was macht das Genie, es fällt drauf rein und die weitere Forschung und  Weiterentwicklung des eigenen Wissens auf die nächst höhere Stufe der Maslowschen  Pyramide wird gestoppt, man wird zum Erbsenzähler!

Ein Beispiel ein Freund von mir Professor, Dozent an einer Fachhochschule,

mit 55 Jahren Burnout-> weg vom Fenster! Ich 2011 mit 59 Jahren, schwerer B12 Mangel, Psychose, perniziöse Anämie, weg vom Fenster! Hätte ich den Neuroleptiker Müll weiter genommen, hätte ich nie mehr etwas geistig Sinnvolles zu Stande gebracht!

Die Schweizer sind da Spitze auf dem Gebiet, Weltmeister im Amputieren von Gliedmaßen und zerstören von Gehirnen von Menschen, wir und Österreich auf Nr. 2!

Da kann man Fasten wie man will, woher soll bei einem Harz IV-Menschen das frische  pflanzliche Kalzium, B12, die essentiellen Aminosäuren, Enzyme kommen, aus Fastfood, Weißmehl, oder Zucker???

Nah ja noch glauben die Reichen und Schönen das zu überleben!

Bloß wer baut für diese Armleuchter nachher das gesunde Getreide auf toten Böden an?

Ein Bauer mit Rollator, Herzschrittmacher, Stents, Hirnschrittmacher und künstlichen Gliedmaßen, wie ein US-Veteran aus dem Irak-Krieg?

Schauen sich einmal an wie Flächendeckend in der Schweiz Psychiatrische Kliniken entstehen, hier unter dem Namen des Gottes der Heilkunde, Asklepios, das ist ein Hohn!

Nah ja ich nenne das die Entwicklung des "Homöopathischen "Nationalsozialismus" in

Deutschland! Sollte nur ein Brainstorming über den Tellerrand hinaus sein!

 

Sehr, sehr Schade!


Trotzdem Danke für die nette Antwort!

 

53.) 2 Neuigkeiten aus dem Magazin, Körper Geist Seele aus Berlin

 

 

 

 

www.kgsberlin.de



54. Ergänzung unter"Ärzte die ich verehre.

Professor Dr. Eimers Rohkost für Sportstudenten ( 1937)

(Medizinische Klinik von Prof. Schwenkenbecher der Universität Marburg)

In der Zeitschrift für Ernährung, Juli 1937, Joh. Ambr. Barth, Leipzig.



War ein guter Versuch, den man als gelungen bezeichnen kann und schon über

80 Jahre in den Archiven schlummert, wie einst "Dornröschen!"


Professor Eimer hat die damals vorhandene Vorgaben/Tag:


100 g  Protein

150 g  Fett

230 g  Kohlehydrate

14,4 g Kochsalz

2100 g Wasser

Entspricht 3160 Kcal, wie folgt mit 3 Sportstudenten im Versuch, wie folgt reduziert:



50 g  pflanzliches Protein

2,5 g Kochsalz


bei 3150 Kcal.


Die 3 Versuchspersonen nahmen 1,5 Kg an Körpergewicht ab, hatten in den

ersten Tagen etwas körperliche Missempfindungen, die jedoch schnell wichen

und in körperliches Wohlbefinden überging!

Die körperlichen Leistungen der 3 Studenten blieben konstant, jedoch einer 

zeigte beim Geräteturnen Leistungen, die er bisher im gesamten Jahr nicht erzielt hatte!

Die Eiweiß-Bilanz verbesserte sich bei allen drei Studenten!

Die Rohkostnahrung wurde gut ausgenutzt und es traten keinerlei Beschwerden auf!

Leider hat Prof. Dr. Eimer den Versuch nicht weitergeführt!


Im Anschluss. Ärzte die ich verehre/ Prof. Eimers, befindet sich eine ausführliche 

Anmerkung von mir!



55. Nährwertabellen/Vitaminrechner, eine neuer Unterpunkt von mir!


 Unter Nahrung ist Medizin/ Inhaltsstoffe, Kalorien


Weiterhin habe ich Euch einen Excel-Vitamin Rechner beigefügt, den ein Freund 

von mir aus dem Libanon in über 100 stündiger Fleißarbeit erarbeitet hat.
Quelle sind die GU-Nährmittel Tabellen aus Deutschland!
Bei Fleisch und deren Produkten haben die geschwindelt,
da sind die Vitamine ja verbaut, aber das merken nur Fachleute wie Ihr und ich!
Viel Spaß damit!

Liebe Grüße Peter



56. BioPhysik, Mathematische Zusammenhänge

Habe ich im Unterpunkt: Peter-Diagnose ergänzt!


In dem sehr schönen Forum des Heilpraktikers René Gräber "Yamedo",

bin ich durch die sehr intensiven Debatten über seelische Krankheiten und die

Dauer ihrer Heilung auf die Idee gekommen, das ähnlich, wie ich das  in meiner

Peter-Diagnose schon in Zeit/Mengen Diagrammen dargestellt habe, wie sich 

der Cortisol- und Prolaktin-Spiegel bei körperlicher und nervlicher Belastung

entwickelt, bis es zu einer seelischen Erkrankung kommt, möchte ich hier 

darstellen in etwa welchen Zeitraum es benötigt bis sich die Hypophyse, oder die Nebennieren wieder normalisiert haben und die gesunde tägliche Menge an Prolaktin, 

b.z.w. Cortisol produzieren!


Bei der Menge von:

Prolaktin:


Mann 15 mg/Liter Blut

Frau    20 mg/ Liter Blut 


Cortisol: 4 - 22  mgLiter Blut, müsste man dann eigentlich wieder seelisch stabil sein

und zwar ganz natürlich, ohne Medikamente!




Die beiden Belastungstabellen in der "Peter-Diagnose" zeigen folgendes:


Einfacher Arbeiter 7 h Arbeit 


                                       normal                                   Stress

Hirnleistung                        360 Kcal                            1.476 Kcal!!

Cortisolwert                         11,16 mg                              45,75 mg !!


Körperleistung  plus

Hirnleistung                    1.890 Kcal                             3.528 Kcal

Prolaktinwert                     24,57  mg                                45,86  mg



Programmierer 7 h Arbeit 


                                       normal                                     Stress

Hirnleistung                   720 Kcal                                  2.016 Kcal!!           

Cortisolwert                     22,32 mg                                62,50 mg !!


Körperleistung  plus

Hirnleistung                   1.890 Kcal                              3.636 Kcal!!

Prolaktinwert                    24,57 mg                                 47,27 mg !!



Wenn ich bei einem Stress Job 255 Tage jeden Tag einen durchschnittlichen

Prolaktin Spiegel, als Mann von statt 15mg, sondern 47,27mg habe bedeutet das,

dass ich statt 8 Stunden Schlaf 25 Stunden bräuchte um den Prolaktin Spiegel

von 15 mg wieder zu erreichen, also 17 h mehr Schlaf!

Das bedeutet, dass man nach 2 oder mehr Jahren solcher stressiger Tätigkeit, also

bei 255 Tagen/Jahr x 2 Jahre x 17 Stunden Schlafdefizit/Tag= 361 Tage

Schlafdefizit angesammelt haben!


Das würde bedeuten wenn sich nach 2 - ???Jahren eine seelische Erkrankung zeigt,

dass diese zur vollständigen Ausheilung:



 3 x 361 Tage = rund 3 Jahre benötigt!


Vielleicht ist der Zusammenhang auch exponentiell, jedoch dazu bräuchte

ich eine Messreihe von betroffenen Patienten!



57. Heilung der Gelenke von Heilpraktiker Renè Gräber



P.S. Heilung der Gelenke: 8 Vitalstoffe, die immer wieder zeigen, dass sie helfen.
Auf natürliche Weise gegen Arthrose, Arthritis und andere Gelenkbeschwerden...
https://www.renegraeber.de/heilung-der-gelenke.html
Schauen Sie sich mein neuestes Büchlein einmal an. Aus der Praxis, für die Praxis. Wenn Sie nach einer vernünftigen Lösung für Arthrose, Arthritis, Gelenkschmerzen suchen, dann bestellen Sie jetzt meinen neuen Gelenk-Report.
Wenn ihnen irgendwas nicht am Buch gefallen sollte: Schicken Sie mir innerhalb von 4 Wochen eine E-Mail an info@renegraeber.de und ich erstatte Ihnen den vollen Kaufpreis zurück!
P.P.S.: Wenn Sie einmal keine e-mail mehr erhalten oder (nur) ihre E-Mail-Adresse ändern möchten, dann klicken einfach Sie hier unten auf den Link:
https://app.getresponse.com/unsubscribe.html?x=a62b&m=xhD9m&mc=CK&s=xIfI1C&u=93&y=a&


58. Glyphosat


Liebe Leserinnen, liebe Leser,
die Sache mit dem "Unkrautvernichter" Glyphosat ging ja schon mehrfach durch die Presse.
Zum Wort "Unkraut" lassen Sie mich bitte gleich sagen: dass was die Meisten als Unkraut bezeichnen sind die besten HEILpflanzen!
Nun denn. Zurück zum Glyphosat.
Das "Zeug" gerät völlig außer Kontrolle:
https://naturheilt.com/blog/glyphosat-gift-und-gentechnik-ausser-kontrolle/
Herbizid-Kosten für Landwirte verdoppelt
Neue „Super-Unkräuter“ durch Glyphosat
Glyphosat tötet Fische und Amphibien
Fehlbildungen bei Kindern und Erkrankungen
Wenn man sich Urinproben von Patienten anschaut, dann findet man KEINEN Patienten mehr, beim dem kein Glyphosat im Urin nachweisbar ist. 
Was könnte eine Lösung sein?
Es nützt wenig, einfach nur Glyphosat zu verbieten. Die Landwirte würden einfach auf andere "Spritzmittel" ausweichen.
Bio-Ware. Bio, könnte die gesamte Welt ernähren, wenn wir es wirklich ernst meinten:
https://www.yamedo.de/blog/bio-ware-koennte-ganze-welt-ernaehren/
Übrigens: Ich wäre dafür, dass alle Waren die NICHT "biologisch" angebaut werden, auch als solche zu kennzeichnen! So wie es derzeit gehandhabt wird, ist es eigentlich ziemlich "un-logisch". 
Gerne lese ich wieder auch Ihre Kommentare!
Einen Kommentar können Sie wie immer relativ "anonym" abgeben:
https://naturheilt.com/blog/glyphosat-gift-und-gentechnik-ausser-kontrolle/
Sie können zum Beispiel im Namensfeld nur Ihren Vornamen angeben.
Ihre email-Adresse wird selbstverständlich NICHT veröffentlicht.
Herzliche Grüße und bleiben Sie gesund!
Ihr
René Gräber



60. Unter seelische Erkrankungen/Impressionen Konrad, habe ich einige

         Bilder meines Halbruder Konrad Gutschmidt eingefügt!