Psychiatrische Drehbücher für Neuverfilmungenhttps://homepagedesigner.telekom.de/.cm4all/uproc.php/0/17.GIF?_=16f4cabb0f0

Als ich neulich(2018) bei einer ganz niedlichen Psychiaterin war und sie mich ganz ängstlich musterte,

weil ich ihr ein wenig überdreht vor kam, da kam mir blitzschnell ein Gedanke, bevor sie ihre

psychiatrische Bibel, im Kopf, aufschlug!

Ich erzählte ihr eine schnell erdachte Neuverfilmung 

des Französischen Filmes "Asterix bei den Olympischen Spielen"

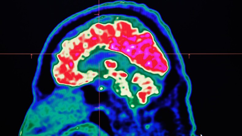
1. Szene Wettkampf an der Synapse

    Austragungsort: Im Gehirnodrom-> Synapsenarena

    Darsteller:

    Humungus als Prolaktin

    Obelix        als Dopamin, der in die Zaubernahrung Rohkost gefallen

    Romantix  als Dopamin auf Fastfoodbasis

    Prinzessin Irina als Serotonin-> Glücksgöttin, oder Glücksprinzessin

    Asterix als Noradrenalin, b.z.w. Adrenalin 

                       ( Kann sich da, heimlich Rohkost gegessen, verwandeln)

    König Aderlass, als Tryptophan-Bote


  Dopamin-Obelix ist von den Kämpfen ausgeschlossen, weil Rohköstler nicht zugelassen!

  (Gilt als EPO-Elexier pro OLympia)

 Also Prolaktin-Humungus klammert  und hangelt von Rezeptor zu Rezeptor der   

  Postsynapse, 

  Dopamin-Romanix schläft noch in den Versikeln der Präsynapse und träumt von 

  Serotonin-Glücksprinzessin-Irina, er ist aber schlaff und träge vom Fastfood und als 

  er endlich im  Synaptischen Spalt landet, irrt er wie ein verschlafener Betrunkener im 

  synaptischen  Spalt umher und Dopamin-Obelix und Noradrenalin -Asterix brüllen immer 

  hinter Dir, hinter Dir!

  Er dreht sich verschlafen um und da ist Prolaktin-Humungus und brüllt ihn an, er fällt um,

  fällt in Ohnmacht, steht wieder auf, fällt wieder in Ohnmacht, steht wieder auf und

  Prolaktin-Humungus brüllt und brüllt und  brüllt! Dopamin-Romantix greift zu einem 

  Rezeptor, fällt wieder ab, greift zum nächsten Rezeptor fällt  wieder ab, Dopamin-Obelix 

  und Adrenalin-Asterix feuern ihn an, aber so richtig will es ihm  nicht gelingen den 

  Prolaktin-Humungus zu verdrängen! 

  Er schreit um Hilfe!

 Jetzt kommen geklonte Versikel mit  Dopamin-Romantix-Doppelgängern, aus der 

 Präsynapse, zum Einsatz und schaffen dann mit Mühe und Not, Prolaktin-Humungus 

 zu verdrängen!

Jetzt herrscht das absolute Chaos im Synaptischen Spalt und das nennt man Psychose!

Serotonin-Prinzessin Irina, blickt glücklos auf ihren Verehrer Dopamin-Romantix, der für sie

nun kaum noch Antrieb übrig hat! Sie ist ganz schlaff denn hätte er alleine  gesiegt, dann 

hätte Papa-König Aderlass mit einem Fässchen Tryptophan den Weg zu ihr gefunden, aber so 

ist der synaptische Spalt von Kampfspuren, Kratern und Botenstoffmüll zugeschüttet, weil 

keiner das Zeug richtig wieder zu verwerten schafft!

So kommt kein Höhepunkt zu Stande, Serotonin Prinzessin Irina ist am Boden zerstört

und deprimiert, da hilft eine MAO-Tablette auch nicht lange!!

Erst wenn alle wieder gesund leben und vereint sind, also ein Rohkost-Dopamin-Romantix, den

Prolaktin-Humungus allein im Zweikampf besiegt und Ihr Vitamine und Mineralien aus dem 

Colonium reicht und Papa König Aderlass mit seinem Tryptophanfässchen( Made in Colonium)

Tochter Serotonin Prinzesin Irina durch den synaptischen Spalt eilend erreichen kann, kommt 

es zum Happyend und einer kleinen, aber lang andauernden, Serotoninparty!


Es folgen später noch mehrere Wettkampf- Szenen:

Hypophyse-Wettkampf im Gehirnodrom

Leber- Wettkampf          im Leberdrom

Darm- Wettkampf          im Colonosseum


Meine Psychiaterin lächelte und sagte, nah wenn wirklich nichts mit ihnen ist, dann 

sehen wir uns in 4 Wochen wieder!  

Die habe ich jetzt Zeit für eine neue Szene!




2. Szene Wettkampf in der Hypophysen-Arena und der Synapsen-Arena des Gehirnodroms 

   Darsteller:

   Brutus als Polaktratus  (Einzelkämpfer-Gladiator- mit falschem EPO gedopt)

   plus alle Oben genannten!


Weil jetzt in den Synaptischen Spalten Tage lang lauter schlaffe Dopamin-Romatix

rumhängen, und weil der Psychiater das als Dopamin Überschuss deutet-> Psychose, 

gibt er dem Patienten einen Dopaminblocker!

Prolaktratus-Brutus, der Hypophysenmanager sieht rot und denkt, wenn ich jetzt nicht

handele und nicht noch mehr Prolaktin-Humungusse schicke verliert er den Kampf an 

den Synapsen,  denn er ahnt ja nicht dass dies nur Schlaffies sind und bläht sich auf 

und verausgabt sich bei der Produktion nach und nach und wird immer muskulöser!

Er sieht zuerst aus wie ein Adenom-Brutus, wenn er weiter ackert wird er noch muskulöser

und sieht aus wie Prolaktinom-Brutus, also er sieht dem Prolaktratus-Brutus kaum noch 

ähnlich! Er bläht dadurch von innen die Hypophysenarena, des Gehirnodroms auf, so 

dass da eine räumliche Enge entsteht, die die Wettkämpfe merklich einschränkt!

In der Zwischenzeit metzeln die Prolaktin-Humungusse, die gesamten geklonten 

Dopamin- Romatixe nieder! Dopamin-Obelix und Adrenalin-Asterix müssen tatenlos 

zuschauen  und weil sie ja da kaum etwas ausrichten könnten und auch nicht rein 

dürfen in die engen synaptischen Spalten!

Serotonin-Prinzessin- Irina, ist derweil völlig am Boden, sie ist am verhungern ihr fehlt

Tryptophan und der erfolglose Romantix hat ja nun auch keinen Antrieb, um mit ihr das 

auf dem Höhepunkt fließende Serotonin durch Vitamine und Mineralien Beigaben aus 

Colonien zu vollenden! Weiterhin traut sich durch dieses Gemetzel König Aderlass mit 

seinem Tryptophan-Fässchen nicht zu seinem Töchterchen zu eilen, selbst wenn er könnte!

Das Chaos wird immer wirrer und das mehr Fache glücklose Ende, nennt man dann

zum Schluss Schizophrenie!

 

 


 3.Szene Wettkampf im Leberdrom und der Hypophysenarena an den Rezeptoren

    Darsteller:

    Muskulus, als Somatotoprin auf Milch-Arginin-Basis

    Humungus als  IGF-1 auf Milch-Arginin-Basis und gleichzeitig als Prolaktin im Hintergrund

    Obelix        als Dopamin, der in die Zaubernahrung Rohkost gefallen

    Romantix  als Dopamin auf Fastfoodbasis

    Prinzessin Irina als Serotonin-> Glücksgöttin, oder Glücksprinzessin

    Asterix als Noradrenalin, b.z.w. Adrenalin 

                       ( Kann sich da, heimlich Rohkost gegessen, verwandeln)

    König Aderlass, als Tryptophan-Bote

    Brutus als Somatotoprinus im Hintergrund gleichzeitig Prolaktratus

    Dr. Mabuse-Vielverdruss als Gehilfe- Endokrinologe

   Milchkuh als Milch und damit 3-4 Fach Arginin-Lieferant



Brutus hat ja sein Hauptziel Colonloch-Caesar umzubringen bisher verfehlt, auch Serotonin-

Prinzessin-Irina hat er statt zu gewinnen, nur depressiv und psychotisch gemacht, eben

so die Fastfood Sache damit hat er ja den Dopamin-Romantix lediglich geschwächt, jedoch

im synaptischen Spalt herrscht 

das Chaos und er hat verhindert das König Aderlass mit seinem Trytophanfässchen dort 

hin gelangt und Serontonin-Prinzessin-Irina, eventuell durch seinen Einfluss und seine 

Abneigung zu ihm, wieder Glücksgefühle für den schwächlichen Dopamin-Romantix entwickelt.

Da ja Dopamin-Obelix und Noradrenal/Adreanalin-Asterix nicht an den Olympischen Spielen 

teilnehmen dürfen, nimmt er jetzt seinen Hauptgegener Colonloch Cäsar wieder ins Visier!

Diesmal hat ihm Dr. Mabuse, also Vielverdruss einen besonders perfiden Plan ins Ohr geflüstert,

denn er entwickelt ja ständig neue Ideen, um nicht von Brutus gevierteilt, oder zu den Löwen, 

zum Fraß, in die Arena geschickt zu werden!

Kurz gesagt sein Plan ist folgender:

Er hat vor kurzen auf dem Markt eine Kuh erstanden die Unglaubliches leistet, sie gibt zwar 

wenig, aber besonders Arginin reiche Milch, so dass er damit in der Hypophysen-Arena, 

besonders viele Somatototoprin Muskulusse erzeugen kann, denn sie brauchen mindestens 

drei, damit dann, wenn die an den Leberrezeptoren an klammern, 3-Fach IGF-1- Humungusse 

und 3-Fach- Obstinatus-mTor- Zellwachstums-Signale entstehen.

Dies steuert alles präzise genau Dr. Mabuse-Vielverdruss, um langfristig Colonloch Cäesars 

gesamte Körperteile auszuschalten!

Wenn der dann durch seine ungesunde Lebensweise mit Wein, Weib und Gesang vorzeitig 

abtritt, dann merkt er gar nicht, dass seine Lieblingsmilch die Hauptursache war!!!

Brutus nennt sich neuerdings Somatotoprinus, damit das Colonloch-Caesar nicht merkt!

In Colonien lässt er sich sicherheitshalber auch nicht blicken, damit ihn keiner eventuell seinen 

perfiden Plan durchkreuzt, denn in Colonien dem zweiten Gehirn Roms, da gibt es viele Druiden 

und vor allem vor Mirakulix hat er besonders viel Schiss, weil der Biochemiker, so dass der 

seinen Plan durchschaut!

Diesmal kämpft Somatotoprinus -Brutus allein in der Hypophysenarena, weil ja auch die 

Prolaktin-Humungusproduktion parallel weiter laufen muss und die 3-4- fach Argininmilch 

und die 3-Fach- Somatotoprin-Muskulusse bringen die Hypophysenarena fast zum platzen!

Dr. Marbuse-Vielverdruss überwacht der weil an den Leberrezeptoren im Laron-Modus, das 

ordnungsgemäße andocken der Somatotoprin-Muskulusse, denn wenn da etwas schief läuft,

bekommen die alle Kleinwuchs=Laronsyndrom und werden zwar Zwergenhaft, aber immun

gegen die ganzen perfiden Schweinereien, dann werden werden IGF-1-Humungusse und 

Obstinatus- mTOR- Zellwachstumssignale, gar nicht mehr ausgesandt, um die ganzen Gegner 

durch Krebs und Diabetes auszuschalten, b.z.w, wenigstens  die jungen Leute, wie Serotonin-

Prinzessin-Irina durch Akromelagie, oder Adipositas so zu verunstalten, so dass Dopamin-

Romantix vor Schreck das Feld räumt! Jedoch das misslingt wieder, weil der auch unter 

25 Jahre alt und somit die gleichen über dimensionierten Körpermaße , wie die Prinzessin 

bekommt und die sich trotzdem beide schön finden! Alle anderen, einschließlich 

Colonloch-Caesar, sind vom  Adipositas gezeichnet, in wie weit und wie sich andere 

Krankheitssymptome, wie Krebs und  Diabetes sich ausbreiten, da bittet Dr. Mabuse den 

Somatotoprinus-Brutus um Geduld!

Aber eines haben die beiden erreicht:

Seelische Erkrankungen, wie Depressionen, Psychosen und Schizophrenie breiten sich im 

gesamten Imperium aus, die Selbstmordrate ist gestiegen!

Akromelagie unter der Jugend nimm zu und Adipös werden, bis auf einige wenige Rohköstler,

alle, Hyphophysentumoren breiten sich exponentiell aus, Lebererkrankungen bis zum 

Leberkrebs nehmen beachtlich zu, die Bauchspeichelkrebsrate beginnt sich ebenfalls 

rasant auszubreiten!

Dr. Mabuse ist Millionär, die anderen Medizinmänner auch und die Steuern die sie alle 

abdrücken müssen, davon kann Somatotoprinus Brutus jedoch die Entscheidungsschlacht 

im Colonossum sicher finanzieren!

Mist schreit Somatotoprinus Brutus, aber die Entscheidungsschlacht findet im Colonossum 

statt, da muss Dr.Mabuse- Vielverdruss alles geben sonst wird er diesmal gevierteilt!  

Diesmal wird Colonloch-Caesar sterben denkt er.





4. Szene Darm Wettkampf im Colonosseum

 

   Darsteller:     

            Muskulus als Somatotoprin auf Milchbasis

            Humungus als IGF-1 auf Milchbasis

            Obelix als Dopamin, das in die Zaubernahrung Rohkost

                                             gefallen, durch Milch, adipös

            Romantix  als Dopamin und adipöser Milchtrinker

            Asterix als Noradrenalin/Adrenalin ( Hat von Miraculix ,

                        Gegenmittel und darum nicht Milch geschädigt)

             Prinzessin Irina als Serotonin ( adipöse Milchtrinkerin,

                               Probleme durch MAO-Hemmer u. Neuroleptika)

            Obstinatus als mTor, auf Milchbasis

            König Aderlass, als Tryptophan-Bote

            Brutus  als Somatotoprinus,

            Gehilfe Doktor Mabuse-Endokrinologe (Vielverdruss)

            2 Milchkühe als Milch- und damit 3-4 Fach Arginin-Lieferant

            Fleisch in Massen

            Getreidelieferungen aus Ägypten hat Brutus umgeleitet,

            es herrscht Kohlehydratmangel!

            Er hat Wasser mit Fluorid versetzen lassen, um das

            Ammonshirn, den Darm, die Nieren und die Blase von

            Colonloch Caesar zu schädigen!

            Nun ist hauptsächlich in Colonien mehr zu tun als Dr. Mabuse

            leisten kann! Den Gallischen Druiden  Miraculix hat Brutus,

            heimtückisch wie er ist, nach Rom-Herzegenium geschickt, um

            den Gallischen König Vercingetorix, der eigentlich nicht mehr

            lebt, weil er auf Befehl Caesars in seiner Zelle erwürgt worden ist,

            zu helfen, weil der angeblich an Gicht leidet!

            So kann Brutus dem Dr. Mabuse Vielverdruss zur Hand gehen, weil

            Der sich hauptsächlich mit dem Zusetzen von Flourid ins Trinkwasser

            beschäftigen muss, denn wenige Gramm zu viel, dann beginnt bei

            dem Genießer, die Auflösung, aber diesmal von Innen, nicht wie bei

            dem Badesalz, bei dem Versuch Caesar zu beseitigen, der „Vorbader „

            sich in Caesars Schwimmbecken vollständig aufgelöst hatte!

            Er bittet Brutus diesmal geduldig zu sein, der willigt ein, er hat sämtliche

            Prozesse an  Synapsen und Hypophysen automatisiert und nun bringt er

            sich bei  der Arginin-Herstellung und der Leuzin- und Isoleuzin-

            Gewinnung aus Milch und billigem Muskelfleisch im Colonosseum voll ein!

            Im Collonosseum werden dringend Ballaststoffe benötigt, um die Giftstoffe

            von Gallien und Leberien zu binden, da das aber  nur über den Zusatz von

            Getreide funktioniert , welches nicht vorhanden ist, ist der Gestank und die

            Gefahr  sich zu vergiften sehr hoch! Brutus jedoch ist zuversichtlich sein

            hochwertiger Brustpanzer lässt nichts durch!

            Die Freude über die Idee von Vielverdruss, dass die Leute an den Stellen

            überdimensional zunehmen, von denen das Muskelfleisch herkommt,

            lässt in ihm übernatürliche Kräfte  frei werden.

            Dr. Mabuse-Vielverdruss hatte alle Mühe ihm bei zu bringen, dass

            wenn er Steroide zusätzlich einsetzt, dass dann Colonien dem

            Untergang geweiht, denn fast alle Städte können Untergehen,

            sogar Gehirnien, aber wenn Colonien unter geht ,stirbt nicht nur

            Colonloch Caesar, sondern alle und eben auch sie selbst!

            Brutus traut ihm nicht und war vor 2 Wochen in Rom-Herzigen und  hat

            eine Giftmischerin, Locusta, besucht, deren Urenkelin später  unter

            Augustus der Livia beim vergiften ihrer Feinde zur Hand gehen wird!

            Diese hat ihn zum Glück gewarnt, auch speziell beim Einsatz von

            Neuroletika -und Antidepressiva-Tinkturen sehr vorsichtig zu sein, weil

            diese die Stadtmauern, speziell, die von Colonien, die ,die schwächsten

            im Imperium sind, sehr schnell von innen beschädigen können!

            Ebenso sollte er endlich wieder Getreide kaufen, weil die fehlenden

            Ballaststoffe noch gefährlicher für den Innenring der Stadtmauern sind !

            Auch die Bildung von Carnitin, welche der Fettverbrennung bei der

            Bevölkerung sichert, kann dauerhaft  zum Erliegen kommen und eine

            adipöse Bevölkerung  wird faul, krank und träge und Colonien ist

            finanziell nicht  so gut aufgestellt, wie Rom-Herzigen!

           Um das zu glauben besucht Brutus in Rom eine Sybille, jedoch die

            Wahrsagerin bestätigt ihm das was die Giftmischerin Locusta gesagt 

            und noch schlimmer! Sie sagt wenn er Colonloch-Caesar umbringt

            wird Colonien  untergehen und damit das gesamte Imperium,

             weil Colonien für alle Städte im Imperium der Hauptlebensmittel-

            Lieferant ist!  Brutus ist völlig am Ende, jedoch einer Sybilles

            Weissagungen entgegen zu handeln bringt Unglück, dafür liefert die

            Geschichte  viele Beweise und so wird er sich dem beugen!

            Er fasst den Entschluss sich auf die Eroberung der Serotoninprinzessin

            Irina zu beschränken, kehrt jedoch, sehr Unzufrieden, nach Colonien

            zurück und lässt seine ganze Wut an Dr. Mabuse-Vielverdruss ab, den

            er mehrere Male  mit  Vierteilen und mit dem den Löwen zum Fraß

            vorwerfen droht! Als seine Wut verraucht gibt er sich jedoch wieder ganz  

            der Arginin Herstellung, aus Milch und der  Leuzin- und Isoleuzin-

            Herstellung aus billigem Muskelfleisch und denkt trotz des Gestankes

            und die Griechische Prinzessin und versinkt ganz in seine Träume.

            Dr. Mabuse-Vielverdruss hingegen hat in Leberigen alle Hände voll zu

            tun, denn wenige Minuten Unaufmerksamkeit und sofort  gerät, wegen

            der 3-Fach Mengen an Somatotorin-Muskulussen, der Laron-Andock-

            Prozess an den Rezeptoren Leberigens außer Kontrolle und einige 

            Zwergenwüchsige sind dadurch schon entstanden, die er unbedingt

            vor Brutus verbergen muss, damit der nicht wieder in Wut gerät.

            Er hat die einem Sklavenhändler verkauft, der sie im Circus-Maximus

            zur Belustigung Colonloch Caesars verkaufen will!

            Colonloch-Caesar der immer misstrauischer wird hat seine gesamte

            Leibgarde um sich versammelt, denn er ahnt nicht, dass er durch der

            Sybilles-Spruch von Brutus nichts mehr zu befürchten hat!

            Außer bei seinen Verwandten in seiner näheren Umgebung, nehmen

            unter der Bevölkerung  im gesamten Imperium die Ausfälle durch

            Krankheiten, wie Krebs, Diabetes, Akromelagie, Adipositas, Psychosen,

            Schizophrenie,  Depressionen und vor allem  die Azidose , Allergien

            und Haarausfall nehmen katastrophale Züge im gesamten Imperium

            an, speziell, Nierien, Blasien und Bindegewebien, melden Land unter.

            Es müssen Neutralisierer eingesetzt werden, die speziell, Kalzium

            aus Knochien, Haarigen und Zähnigen in Unmengen abziehen

          müssen, so dass schon die Fundamente  dieser Städte, wie in

         Venetien  absacken, oder brüchig  werden! Brutus hat in seinem Eifer

         völlig den Überblick verloren, aber wenigstens  einige Weizen-

          lieferungen treffen endlich in Colonien ein!

          Überall im Lande, aber speziell in Knochien, Haarigen und Zahnigen,

          sind zusätzlich Legionäre im Einsatz  um Fundamente, der Gebäude

          notdürftig mit Muschelkalk zu stabilisieren! 

          An einigen Stellen ist Leaky gut, Morbus Crohn und im unteren Stadt-

         Teil, Colitis Ulcerosa im Vormarsch! Colonloch Caesar ist außer

          sich, ahnt aber nicht im Geringsten von den Dingen die da hinter seinem

          Rücken geschehen, denn Brutus, der sich in der Unterwelt auskennt, hat

          alle Spitzel und Zuträger mit Hilfe der überschäumenden Steuerein-

          nahmen, speziell von denen, der Mediziner hohe Bestechungssummen

          gezahlt, damit alle dicht halten!

          Er ist der Meister des Bösen, jedoch er ahnt nicht dass er bei all seinen

          Bemühungen den Abstand zu seiner einseitig nur von ihm  geliebten

          Serotonin-Prinzessin Irina nur mehr vergrößert, denn deren Depressionen

          werden immer  schlimmer und ihren Leibesumfang kann man auch nicht

          mehr, nicht einmal durch eine rosarote Brille als anzüglich finden! Sie ist

          dem Selbstmord nahe, jedoch der adipöse Romantix ist trotz seiner Leibes-

          fülle gut drauf wie immer  und kann sie sogar stellenweise ein wenig erheitern.

          Er selbst  wird täglich von Prolaktin-Humungus verdroschen, aber daran hat

          er sich langsam gewöhnt! Leider trinkt er weiterhin Milch und ist dem Fleisch-

          genuß nicht untreu! Es beginnt ein Synapsen sterben in Gehirnien und da

          ist so ein Gedränge an Prolaktin-Humungussen und geklonten Dopamin-

          Romantixen, dass niemand merkt,  wenn er der Hauptakteur, sich ständig

          verdrückt und die Prinzessin ein wenig aufheitert!  König Aderlass sitzt fest,

          aber  er hat ein niedliches Freudenmädchen in der Subura  von Colonien

          gefunden und dabei ganz sein Töchterchen Irina vergessen!

          Das Imperium  Organismus ist dem Untergang geweiht, jedoch in Colonien,

          da lebt man wie im Tal der Ahnungslosen, damals, wie heute!

          Brutus ist richtig wütend und will Dr. Mabuse schon zum Henker schicken,

          um ihn Vierteilen zu lassen, da fällt dem  in letzter Minute ein gerissener

          Plan ein! Er will einen Gladiatoren-Wettkampf der Body-Builder  im

          Collosseum  veranstalten und dem Sieger winkt Serotonin-Prinzessin Irina!

          Er hat das so geschickt mit dem Humungus eingefädelt und weil Brutus, sehr

          eitel und er ja auch noch ein wenig EPO von dem Gallischen Druiden Miraculix 

          bei Seite geschafft hat, willigt er ein! Wie das endet wird das nächst Kapitel:

         „Wettkampf in der Body- Builder –Arena“ des Collonosseums zeigen!




 5. Szene Darm Wettkampf im Colonosseum

             Darsteller:     

             *Colonloch Caesar als Imprator, wohnt am Ausgang Coloniens

             Muskulus als Somatotoprin auf Milchbasis

             Humungus als IGF-1 auf Milchbasis

             Obelix als Dopamin, das in die Zaubernahrung Rohkost

                                             gefallen, durch Milch, adipös

             Romantix  als Dopamin und adipöser Milchtrinker

             Asterix als Noradrenalin/Adrenalin ( Hat von Miraculix ,

                        Gegenmittel und darum nicht Milch geschädigt)

             Prinzessin Irina als Serotonin (adipöse Milchtrinkerin,

                               Probleme durch MAO-Hemmer u. Neuroleptika)

             Obstinatus als mTor, auf Milchbasis

             König Aderlass, als Tryptophan-Bote

             Brutus  als Somatotoprinus,

             Gehilfe Doktor Mabuse-Endokrinologe (Vielverdruss)

             Locusta- Giftmischerin aus Rom-Herzigen- Steroidixlieferantin

             1 Milchkuh als Milch- und damit 3-4 Fach Arginin-Lieferant

             Fleisch in Massen

             Getreide bekommt man wieder!

              Body-Builder -Gladiatoren:

              Richix  Piananix, als Steinkugelheber

              Arnix, als Quadrigazugmaschine

              Dolf, als Ringer

              Inna, als Kraft- und Schönheitsposiererin

              Ironix, als Monsterboxer

              Wladix, als Schwergewichtsboxer

              Joshua, als Schwergwichtsboxer

              Maywodix, als leichter flinker Boxer

              Peternix, als Germanen-Fingerdreher und -brecher

              Barnibix, als Germanen-Armdrücker mit Urkraft

              Caesar-Standkörper, Disziplin unbekannt

 

Nach einer längeren Aussprache mit Locusta der Giftmischerin von

Rom-Herzigen hat  Brutus eingesehen, zu mal er noch die  Sprüche

Der Sybille von Rom-Herzigen, die im dringend abriet Colonloch Caesar

zu beseitigen, weil das, der Untergang von Colonien bedeuten würde!

Auf Anraten der Locusta hat er auch wieder Weizen aus Ägypten kommen

lassen und der Gestank im Colonosseum, lässt langsam nach und es

kommen  auch schon wieder vermehrt Colonbaktrien zur Welt die für

die  gesamten chemischen Prozesse im Colonosseum äußerst wichtig

sind! Die Bodybuilder-Gladiatoren haben lauter kleine bunte Kapseln

dabei und ein merkwürdiges undefinierbares weißes Pulver in

Eimern aus dem sie sich ständig Getränke mixen!

Brutus wird misstrauisch und konsultiert Dr. Mabuse und die Giftmischerin

Locusta! Brutus hat den Bodybuilder-Gladiatoren durch seine Spione ein

wenig von dem weißen Pulver und auch einige bunte Kapseln entwenden

lassen! Schade dass  er Miraculix  nicht in die Hände bekommt und noch ein

Entführungsversuch wäre zu gewagt, weil ihm Asterix und Obelix nicht von

der Seite weichen! Er hat ihm  jedoch noch ein Fläschchen von dem Zauber-

trank der Gallier stählen können, doch das mit der blauen Zunge hindert ihn

das Zeug  wieder beim Wettkampf zu  benutzen, aber vielleicht  können

Locusta die Giftmischerin und Dr. Mabuse-Vielverdruss diese 3 Substanzen

einmal analysieren und ihm ein wirksameres EPO, als beim letzten mal, wo

plötzlich ihm der Dampf ausging, zusammen brauen!

Er hat die Body-Builder  Gladiatoren gesehen und weiß das er ohne EPO

keine Chance hat!  Also bei dem weißen Pulver da hat  Vielverdruss und

auch Locusta, da sind sie sich einig die Aminosäure Arginin, die auch Brutus

aus Kuhmilch für die Somatotoprin-Herstellung in der Hypophysen –Arena

aus der Kuhmilch gewinnt, entdeckt! Die Qualität ist allerdings sehr miserabel,

sie haben einige Federkielreste im Pulver gefunden, als wenn das Zeug aus

pulverisierten Hühnerfedern hergestellt! Brutus  Arginin hat auch einige

leuchtende Substanzen im Arginin als wenn das eine Art Enzym, was in

lebendiger Nahrung immer enthalten sein muss, sein könnte!

Beim längeren Aufbewahren erlischt diese Leuchten und sie vermuten,

das dies etwas Lebendiges sein muss, was dann irgendwie abstirbt!

Es sind noch etwa 21 ähnliche Substanzen wie das Arginin enthalten, jedoch

um das eindeutig zu analysieren ist einfach die Zeit vor dem Wettkampf zu kurz!

Tja bei den bunten Kapseln, da haben sie 2 Substanzen gefunden, die auch

der Druide Miraculix in seinem Zaubertrank beifügt gefunden. Miraculix hat

da dubiose Freunde die mit Blasrohren kleine Pfeile verschießen können

und die bringen ihm immer grüne Blätter, die sie Coca nennen!

Wenn man die so kaut, das hat Brutus schon einmal bei einem Trinkgelage

probiert, da wurde ihm plötzlich alles egal, er hatte keine Hemmungen mehr !

Also irgendwie kamen die Drei, mit dem warum und wieso, einfach nicht klar!

Sie mixten alles was sie in der Colon-Arena entsprechendes finden konnten

zusammen und wollten am nächste Tag weiter machen, weil Locusta eine

Idee hatte, die sie aber nur in Rom- Herzigen verwirklichen konnte!

In Rom Herzigen in ihrer Kräuterküche versuchte sie die bunten Kapseln der

Body -Builder -Gladiatoren zu analysieren, in dem sie, sie in einem Mörser

zerstampfte und mit verschiedenen Essenzen mischte, um an Hand der

Reaktionsfarbe mit Ihren Substanzen und dem Geruch irgend ein

brauchbares Ergebnis zu bekommen.

Am Ende konnte sie dem Brutus 2 wesentliche Bestandteile präsentieren!

Einmal ein gewisses Dopamin und das Testorix, was sie öfter Männern mixte

um ihre Manneskraft zu verbessern, bevor sie zu den Freudenmädchen

in der Subura gingen! Diese hatten ihr berichtet, dass die denen das ganze

Geschäft verdarben, weil die gar nicht mehr aufhören konnten!

Aber auch die Körperkraft derer die das Zeug nahmen soll sich

erheblich verbessert haben! Das hatten sie bei denen bemerkt die sonst,

gar nicht so kräftig waren, aus deren Umklammerung sie sich nun aber

gar nicht mehr, wie sonst befreien konnten. Dies stimmte Brutus sehr heiter

und er entlohnte Locusta sehr großzügig mit einem Goldtalent!

Auch Dr. Mabuse-Vielverdruss hatte eine Substanz extrahieren können,

die, die Body-Builder- Gladiatoren  Steroidix nannten!

Alles im allen hatte Brutus ja das Somatotoprin aus der Argininmilch, was

ja dann in Leberien zu IGF-1 und mTOR umreagierte und das waren ja

schon mächtige Substanzen mit nicht ganz unerheblichen Nebenwirkungen.

Er sagte zu Dr. Mabuse er sollte diese eben genannten mit Steroidix und

Dopamix, sowie Testorix  einfach zu einen Substrat vermixen, was er dann

Somatotoprin –Muskulus, als Vortester verabreichen wollte.

Einer seiner Spione verriet ihm welche Sportarten die Body-Builder

bevorzugten!  Einer ein gewisser Richix Piananix den hatte er beobachtet,

wie der etwa 400 Kg schwere Mamorkugeln auf einen 1,5 m hohen

Steinsockel hob!  Ein gewisser Arnix der zog einen Wagen von einer

Quadriga etwa 400 m weit, die mit etwa 3 to Steinplatten vollgestapelt war!

Es sind da auch 3 ungeheuer schlagkräftige Boxer dabei einer

Nennt  sich Joshua, der andere Wladix , dann Ironix ein Ungeheurer von

einem Boxer und ein etwas zäher leichterer, aber sehr flinker  Maywodix!

Ein Nordischer Kämpfer nennt sich Dolf, der ist etwa so kräftig wie

Humungus! Eine weibliche Teilnehmerin, die sich Inna nennt, hat schon

die gesamten Hühnervorräte eines Gastwirtes aus der Via Appia verputzt,

sie will jedoch lediglich auf einer drehbaren Bühne posieren um die andern

anzuregen! Conloch-Caesar schickt an seiner Stelle einen zumindest

äußerlich  imposanten Sportler! Da ist noch eine lächerliche Truppe aus

Germanien, deren Anführer Peternix behauptet, auch ohne Mittelchen

Wettkämpfe gewinnen zu können! Er hat ihm beim Fingerdrehen fast den

Ringfinger abgedreht und sein bester Armdrücker, Barnibix hat ihm sein 

Schultergelenk ausgekugelt! Colonloch Caesar hat  auch einen

Alchimisten der ihm irgendein Zeug gebraut, an dem alle seine Vorkoster

nach und nach verreckt, aber das letzte Mittelchen, was dann durch 

den EPO-Testerfolgreich lief, hat in Figur seitig positiv beeinflusst, jedoch

hält das nicht lange an, es ist am nächsten Tag immer so wie beim Brutus

bei den letzten Olympischen Spielen, als wenn die komplette Luft wieder

aus dem Körper entwichen und er hat dazu noch Schmerzen in den

Muskel und in der Haut wie bei einer Neuralgie! Er entscheidet sich

für einen Stand-Mann-Körper und der junge Mann sieht ihm zum

Verwechseln ähnlich und so wir dieser Schwindel kaum auffallen!

Alles im Allem, weiß Brutus gar nicht welche Disziplin er jetzt zur alles

entscheidenden Königsdisziplin erklären soll, bei deren Sieg er bei

König Aderlass um die Hand seines geliebtes Töchterchen Serotonin-

Prinzessin Irina anhalten kann! Er überlegt aber nicht lange das mit dem

Wettlauf hat schon einmal geklappt und die Bestechungssumme, die er

den Kampfrichtern damals gezahlt hat, wird er einfach verdoppeln!

Den Zungentest auf EPO lässt er kurzerhand verbieten und Käfer für

den Käfertest, die hat Vielverdruss mit Rattengift alle beseitigt. Als die

Vorbereitungen im vollen Gange und das Collossodrom auf Hochglanz

 gebracht, da kommt plötzlich die alles entscheidende Nachricht, dass der

mächtige Body.Builder –Gladiator Richix Piananix morgens nicht beim Training

erschienen ist! Arnix und die anderen Sportler sind in seine Unterkunft geeilt

und die fanden ihn leblos in seinem Bett liegen!

Auf eine Bluttat deutet es nicht hin, er sah aus als ob er ganz friedlich

eingeschlafen sei! Seine Freundin saß Tränen überströmt, neben ihm,

 auf seinem Bett! Den andern Sportlern kam das ungeheuerlich vor,

weil das hier in Colonien nicht selten passiert! Sie verschwanden einer,

nach dem anderen aus Colonien! Peternix der wollte mit seiner

Mannschaft am Laufwettkampf nicht teilnehmen, weil man da zu viel

Masse verliert und seine Sportler gegen die anderen, sowie so nur

Leichtgewichte sind! Damit war der gesamte Wettkampf geplatzt!

Ein Medizinmann wurde beauftragt bei Richix die genaue Todesursache

fest zu stellen. Er kam zu dem Ergebnis dass der Körper von Richix

innerlich nur noch eine Masse, wie von Säuren aufgelöst war!

Er meinte dass dies auf die Einnahme von EPO deutet, aber auch

das ungesunde Pulver, was die Bodybuilder immer wie ein Milchgetränk

mixen, bei dem hat  er einen hohen Säurewert feststellen können!

Er hatte das schon einmal vor 4 Jahren bei den Olympischen Spielen

in Griechenland, bei einem  Gewichtheber beobachtet, der zwar nicht

verstorben aber über unheimliche Schmerzen an den gesamten

Innereien klagte! Für Brutus brach eine Welt zusammen, wie kommt er

 nun an Serotonin-Prinzessin Irina heran?

Diese versucht mit täglichen Laufübungen, Gymnastik und einer Masse

aus verdickter Milch, die ihr als so genannte Diät verordnet von den

Pfunden herunter zu kommen!  Papa König Aderlass kommt von dem

Freudenmädchen, welches er in der Subura von Rom-Herzigen

kennengelernt  hat einfach nicht los und hat sein Töchterchen Serotonin-

Prinzessin-Irina völlig vergessen. Das Tryptophanfässchen haben er und

das Freudenmädchen fast leer getrunken nun schweben sie beide in einem

Serotoninrausch, der mitunter tödlich enden kann!

Dopamin-Asterix ist zu träge, da mit zu machen, er schläft überwiegend

in den Versikeln der Postsynapsen und wenn er zum Einsatz im präsynaptischen

Spalt kommt, wird er weiter von Prolaktin-Humungus regelmäßig verdroschen!

Ja  auch Adrenalin-Asterix und Dopamin- Obelix können ihm nicht helfen, weil

Colonloch-Caesars Verbot für sie, die  Synapsen-Arena aktiv zu betreten, noch

immer nicht aufgehoben und Gallier werden besonders hart bei Vergehen im

Imperium Organismus bestraft!  Ab und zu schlagen beide, besonders des Nachts

einen verlaufenen Prolaktin-Humungus zusammen, aber das ist wie ein Tropfen

auf den heißen Stein, denn Brutus hat einen Gehilfen in der Hypophysen-Arena

eingestellt, der ist so eifrig bei der Produktion von Prolaktin Humungussen und

auch Somatotoprin-Muskulusse schafft er mehr zu produzieren, als wenn Brutus

da mitmacht  und so kommt Brutus ab und zu zur Kontrolle, droht hier und da mal

mit dem Vierteilen,  oder den Löwen zum Fraß vorwerfen, aber das ist bei  ihm zur

Gewohnheit geworden, denn im Grunde ist er zufrieden, dass die Prozesse am

Laufen sind! Nur die Geschichte mit der Prinzessin, aber da hat Dr. Mabuse –

Vielverdruss schon wieder einen Plan, der sich viel versprechend anhört und

so gibt er erst einmal Ruhe und wartet ab!

 

* Colonloch-Caesar= Arschloch-Caesar, weil das Arschloch immer der Boss ist, 

   denn wenn das streikt, stirbt man unweigerlich, jedoch bei den Menschen ist das anders,

    wenn ein menschliches Arschloch stirb, rückt sofort ein neues nach, weil es davon mehr 

    gibt, als von den Guten!




        6. Szene Neu-Wettkämpfe in der Body-Builder-Arena des Collonossums

             Darsteller:     

             Colonloch Caesar als Imprator, wohnt am Ausgang Coloniens

             Muskulus als Somatotoprin auf Milchbasis

             Humungus als IGF-1 auf Milchbasis

             Obelix als Dopamin, das in die Zaubernahrung Rohkost

                                             gefallen, durch Milch, adipös

            Romantix  als Dopamin und adipöser Milchtrinker

            Asterix als Noradrenalin/Adrenalin (Hat von Miraculix ,

                        Gegenmittel und darum nicht Milch geschädigt)

            Prinzessin Irina als Serotonin ( adipöse Milchtrinkerin,

                               Probleme durch MAO-Hemmer u. Neuroleptika)

            Obstinatus als mTor, auf Milchbasis

            König Aderlass, als Tryptophan-Bote

            Brutus  als Somatotoprinus,

            Gehilfe Doktor Mabuse-Endokrinologe (Vielverdruss)

            Locusta- Giftmischerin aus Rom-Herzigen- Steroidlieferantin

            1 Milchkuh als Milch- und damit 3-4 Fach Arginin-Lieferant

            Fleisch in Massen

            Getreide bekommt man wieder!

            Body-Builder -Gladiatoren:

            Unbekannte Athletin, als Steinkugelheber

            Arnix, als Schwertkämpfer

            Dolf, als Ringer (hat Colonien fluchtartig verlassen)

            Inna, als Kraft- und Schönheitsposiererin

           Iron, als Monsterboxer( hat Collonien fluchtartig verlassen!)

            Wladix, als Schwergewichtsboxer

           Joshua, als Schwergwichtsboxer

           VanDamix, als leichter flinker Boxer

           Maywodix flinker Boxer (hat Colonien fluchtartig verlassen)

           Sonnydix als Posierer

           Jimix     als Posierer

           Unbekannte als Posiererin

           Peternix, als Germanen-Fingerdreher und brecher

           Barnibix, als Germanen-Armdrücker mit Urkraft

           Caesar-Standkörper, Disziplin unbekannt

Am Ende der 5. Szene hatte  Dr. Mabuse –Vielverdruss schon wieder

einen Plan, der sich viel versprechend anhört und  so gibt er erst einmal

Ruhe und wartet ab! Über einen Griechischen Mediziner und Druiden

hatte Dr. Mabuse-Vielverdruss mitbekommen, dass es einen neuen

Spruch der Pythia, des Orakels von Delphi gibt, der das lautet, dass

4 neue Colonlöcher am Horizont aufgetaucht, ein sogenanntes

Colonkleeblatt, was alle 2000 Jahre nur einmal auftaucht!

Es handelt sich um  die Länder Germanien, Koreanien, Amerikanien

und Russianien! Da erschien als Erste Agelanix, danach, Wladimix,

dann Kimix, und zuletzt Donaldix! Diese sollen viel, viel mächtiger als

Colonloch Cäsar sein und bald auch über das gesamte  Imperium

Organismus und damit auch Colonien herrschen!

Das heißt Colonloch-Cäsar, wird irgendwie beseitigt werden, weil er

im Wege ist. Als er das Brutus berichtet, war dieser außer sich, wollte

ihn sofort vierteilen, weil er doch den Spruch der Sybille noch im Ohr.

Wiederum kam ihm das ganz gelegen und so ritt er sofort zur Sybille

von Rom-Herzigen! Diese als sie ihn sah, wollte flüchten, doch er hielt

ihr die Klinge seines Schwertes an den Hals und sie stammelte voller

Verwirrung und Angst, dass ihr eine neue Vision gekommen und dass

sie ihn hätte rufen lassen wollen, aber nun sei er ihr ja zu vorgekommen.

Nun gut er ließ sich beruhigen, denn zu sehr war sein Hass auf

Colonloch-Cäsar! So erzählte dann die Sybille von einem Traum mit

einem Kleeblatt und den 4 neuen Colonlöchern und Brutus merkte,

dass sich das mit dem Spruch der Pythia, aus Delphi deckte, sagte

aber kein Wort! Die Sybille war erleichtert, weil er sichtlich zufrieden,

jedoch gab er ihr diesmal  keinen Lohn, weil er ihr misstraute!

Er kümmerte sich als erstes, um die Organisation der

Neu-Wettkämpfe in der Body-Builder-Arena des Collonossums !

Diesmal konnte er die  Wettkampfrichter nicht zwingen sein

Bestechungsgeld anzunehmen, weil sie unter dem Schutz von

Colonloch-Caesar stehen und er den Befehl erlassen, dass

mögliche Betrüger  mit der Galeere bestraft werden sollen!

So entscheidet er sich wieder für das Wagenrennen!

Die Prozesse an den Synapsen, der Hypophyse und in Coloniens,

laufen auf Hochtouren, Brutus hat angewiesen,  auch Steroide ein-

zusetzen, weil dann alle gedopt! Er setzt das Supergemisch von

Locusta und Dr. Mabuse-Vielverdruss ein und gibt sich diesmal

siegessicher!  Er plant Colonloch-Cäsar  am Spiele Ende durch den

Siegertrunk zu vergiften, aber gleichzeitig hat er mehrere Mörder

angestellt, die ihn im Falle des  schieflaufen seines Planes einfach

niederstechen!

In ganz Colonien breiten sich aufgrund, des hohen Arginin Gehaltes

der Milch, dem Fluorid im Trinkwasser, des hohen Fleischkonsum, des

rationierten Weizen und nun auch noch der frei verkäuflichen

Dopingmittel Krankheiten, die es vorher nie gab rasant aus!

Die Einnahmen für den Staat und der Mediziner gehen ins

Unermessliche! Die Sterbequote steigt rasant  an und Brutus

hat hinter dem Rücken Colonloch-Cäsars, jedoch in seinem Namen

verfügt, das die Vermögen sämtlicher Verstorbenen an den Staat,

sprich ihn fallen. Das löste zwar kurzfristig Tumulte aus, jedoch

diese ließ er  durch Töten der Anführer austrocknen!

Was ihn jedoch ein wenig störte im  gesamten Imperium gab es nur noch

adipöse, also dicke nach Harnsäure riechende Männer und  Frauen!

Bei den Frauen schmerzte ihn das besonders, weil er doch schlanke liebte

und mit so einer dicken, da konnte er sich nicht  überwinden sich einzulassen.

Bei Serotoninprinzessin Irina würde er zwar eine Ausnahme machen, aber

die  zusätzlichen Depressionen, die keinerlei Annäherung zuließen störten

ihn gewaltig, obwohl Irina schon wieder von der Figur normal aussah!

Der Tod von Richix Rianix schreckte die gesamte Body-Bilder –Riege ab,

das weiße Pulver für die Mixgetränke zu benutzen und gerade in ihren

Kreisen ging der Dopingmittelverbrauch rapide herunter!

Das wiederum erhöhte die Chancen Brutus einen Sieg zu erringen!

Tja ansonsten richtete das Fluorid die Gehirne und Därme der Bewohner

im Imperium zu Grunde, es liefen nur noch Blödmänner herum, ohne

eigene Meinung, an Krücken laufendend, deren Knochen beim geringsten

Sturz wie Glas zersplitterten! Brutus ließ sich selbst nur noch Wasser

aus einer unterirdischen Quelle, Südcoloniens  herbei schaffen!

Tja wenn man solche Dinge einmal ins Leben gerufen, dann lassen

die sich nicht mehr aufhalten, denn plötzlich wird das ein Selbstläufer

und so viele Leute verdienen ihr Geld am  Unglück der Anderen!

Aber Brutus war das eigentlich egal, er musste seine olympischen

Spielen neu organisieren!

Zwei  Boxer hatten Colonien fluchtartig verlassen und es gab keinen

Ersatz für sie! Lediglich Waldix und Joshua wollten gegeneinander

antreten. Für den Steinkugelheber Richix Rianix, fand sich kein

gleichwertiger Ersatz, lediglich eine Steinkugelheberin, die ihre

50 Kg schwere Kugel durch die Arena trug, mehr war nicht aufzutreiben!

Ein Ungeheuer von Frau wurde für die zierliche  Inna zur mächtigen

Konkurrenz! Arnix  wollte als Schwertkämpfer gegen die Gladiatoren

antreten, weil der ihm eigentlich an Kräften überlegene Sonnydix nur

posieren wollte und nicht die mit 3 Tonnen Steinen beladene Quadriga

ziehen wollte! Peternix und Barnibix hatten sich für das Fingerdrehen

und Armdrücken als Germanen angemeldet!

Ein gewisser Jimix Morrisix aus Afrika wollte, trotz seines Biblischen

Alter von 75 Jahren noch am Posieren teilnehmen!

Ein flinker Boxer Van Damix spielte, ohne Gegner nur den Clown, mit

einigen artistischen Einlagen, in der Arena!

Somatotoprin-Muskulus hat im Ringen keinen Gegner, weil Dolf das

Land verlassen, also nahm er lediglich am Laufen teil! Da Brutus mit

seinem Querfeldeinlauf nicht  wieder unangenehm auffallen wollte, nahm

am Wagenrennen teil, da hatte sich nur ein weiterer Teilnehmer,

Dopamin- Romantix, gemeldet, aber der hatte so altersschwache

Gäule, den  würde Brutus auch ohne EPO locker schlagen, was dann

auch später so geschah!

Papa König Aderlass, der von Rom Herzigen nun doch nach Colonien

gekommen, hatte bei einem Saufgelage Wladimix aus Russianien

kennen gelernt und der verriet ihm nach einigen Gläschen

Griechischen Weines vom geduldeten Mord an Colonloch Cäsar!

Er riet ihm so schnell wie möglich, unbemerkt, nach Griechenland zu

verschwinden, weil er ihn dort besser schützen könnte!

Also verließ König Aderlass, der um eine Ausrede nie verlegen, das

Freudenmädchen und eilte, nach dem er das Tryptophan Fässchen,

hat neu auffüllen lassen, zur Serotonin-Prinzessin Irina, seiner Tochter

und in der Freude, plus Tryptophan, ließ sie sich überreden sofort ein

Schiff nach Griechenland zu besteigen! Dopoamin-Romantix, sollte

ahnungslos am Wagenrennen teilnehmen! Wenn er sie liebte, würde er,

wie er es schon einmal getan, von Colonien, wie damals von Gallien,

zu Fuß, nach Griechenland nachkommen!

Im Moment aber ist Dopamin-Romantix ist zu träge, da mit zu machen,

er schläft überwiegend  in den Versikeln der Postsynapsen und wenn

er zum Einsatz im präsynaptischen  Spalt kommt, wird er weiter von

Prolaktin-Humungus regelmäßig verdroschen!

Ja  auch Adrenalin-Asterix und Dopamin- Obelix können ihm nicht helfen,

weil Colonloch-Caesars Verbot für sie, die  Synapsen-Arena aktiv zu

betreten, noch immer nicht aufgehoben und Gallier werden besonders

hart bei Vergehen im Imperium Organismus bestraft!  Ab und zu schlagen

beide, besonders des Nachts einen verlaufenen Prolaktin-Humungus

zusammen, aber das ist wie ein Tropfen auf den heißen Stein, denn

Brutus hat einen Gehilfen in der Hypophysen-Arena eingestellt, der ist

so eifrig bei der Produktion von Prolaktin Humungussen und

auch Somatotoprin-Muskulusse schafft er mehr zu produzieren, als

wenn Brutus da mitmacht  und so kommt Brutus ab und zu zur Kontrolle,

droht hier und da mal mit dem Vierteilen,  oder den Löwen zum Fraß

vorwerfen, aber das ist bei  ihm zur

Gewohnheit geworden, denn im Grunde ist er zufrieden, dass die

Prozesse am Laufen sind! Tja Serotonin Prinzessin Irina ist nun auf

der Flucht vor Brutus! Wenn sie ahnen würde wie es ihrem Dopamin-

Romatix Tag für Tag ergeht, wäre sie vielleicht geblieben!

So kam der Tag des neu-Wettkampfes in der Body-Builder-Arena

des Colonosseums und das Schicksal nahm seinen Lauf!

Es war ein zwei Tägiges Spektakel und der Höhepunkt war das

Wagenrennen,  das natürlich Brutus, gegen den müden, von

Prolaktin- Humungus ständig zerschlagenen Dopamin-Romantix

Haus hoch gewann!

Colonloch-Cäsar prostete ihm zu und kippte plötzlich von der Bühne!

Alle Versuche ihm zu helfen scheiterten, er verstarb vor Ort!

Es gab einen allgemeinen Aufruhr, aber die Leibgarde Colonloch-

Cäsars, konnte Schlimmeres verhindern und brachte auch das

Kleeblatt, bestehend aus Kimix, Angelanix, Trumpix und

Wladimix, sicher aus dem Colonosseum!

Brutus suchte verzweifelt nach Serotonin-Prinzessin Irina!

Alle seine Spione wussten nichts, einige waren vom Kleeblatt

bestochen und so erfuhr er absolut nichts!

Sein Hauptziel Colonloch –Cäsar zu beseitigen war gelungen,

Colonien war noch heil, also betrank er sich mit einigen

Freudenmädchen und hatte hinterher noch Spaß mit ihnen und

so war Serotoninprinzessin Irina, die ihm sowieso zu zickig war

bald vergessen und so nahm das Schicksal seinen Lauf!

Das Kleeblatt hatte beschlossen, dass Anglanix, weil Germanien

am nächsten zu Organien liegt, die Regierungsgeschäfte in

Rom-Herzigen übernehmen sollte! Brutus tröstete sie mit dem

Stadthalter-Posten von Colonien! Damit war er vorerst  zufrieden!

Ähnliche Schweinereien, wie in Organien liefen auch in Germanien

ab, also war das für Angelanix nichts neues, sie fühlte sich in

dem neuen Sumpf sehr wohl!

Bald hatte sie Brutus so eingelullt, dass er ihr aus der Hand fraß!

Als eines Tages Brutus nicht mehr auf wachte krähte kein Hahn

mehr nach ihm, das schmutzige Geschäft auf Kosten der Menschen

lief auch ohne ihn weiter, bis heute ins 21. Jahrhundert!

Dopamin Romantix, auf Fastfood-Basis, schuftet noch immer in der

Synapsen-Arena, die Prolaktin-Humungusse deren Zahl  steigt bis

heute weiter exponentiell! durch die ständig steigende Milchproduktion

und damit Arginin Schwämme, steigt die Zahl der Somatotoprin-

Muskulusse ebenfalls exponentiell weiter, ebenso die

mTOR-Obstinatusse! Der Fleischüberhang steigt weiter und weiter,

Kohlehydrat-Weizen, aus Ägypten, kommt sehr wenig zum Einsatz,

dafür sorgt ein gewissenloser Strolch namens Atkins!

Neptun kann leider auch nicht verhindern, dass sein klares Wasser

mit Fluorid verseucht wird, manchmal geben einige sogar noch Jod

dazu. Tja der zusätzliche Handel mit Steroiden, Hormonen,

Testosteron, IGF-1, Somatotoprin und dem widerlichen Proteinpulver

der Body-Builder, ist nicht zu stoppen, dazu kommen noch einzelne

Aminosäuren und Aminosäuren-Mixturen, künstliche Vitamine, ohne

Leben und diverse Ratschläge  von Möchte-gern-Brutussen.

Ich schenke den Völkern diese Ideen um Aufklärung zu betreiben.

Wenn einen die Veröffentlichung stört, bitte eine e-mail an aisopos@t-online.de

und dann werde ich eine andere Lösung finden!

 

Resumé:

Die Menschheit hat sich zum Sterben begeben, sie lässt sich, blind,

zur Schlachtbank führen: „Das Schweigen der Schafe hat begonnen!“

 

Tja und den Ausweg könnt Ihr Euch auf www.aisopos-gesundheit.de,

                                            oder         www.peter-gesundheit.com,

                                             oder        www.peter-gesundheit.eu,

anschauen!     

Viel Spaß, oder auch nicht!

Ich werde schauen ob ich noch so eine, für mich schöne Verfilmung,

wie „Asterix bei den Olympischen Spielen“, finde um Euch diese

grausame Gesellschaft ein wenig heiter darzustellen!

Ich habe gemerkt es geht nur so, denn nackte Tatsachen  interessieren

keinen, an Grausamkeiten hat sich die Welt gewöhnt, Mitleid kennt

man zumindest bei den Regierenden nicht mehr und die Liebe unter

den Menschen, vor allem der Nationen untereinander, wenn es die je

gab, heute ist das so gut wie vorbei! 

Es gibt aber trotzdem zwei Nationen, von denen wir lernen können: 

Eine liegt am „Toten Meer“, die andere in Asien! 

Zwei außergewöhnliche Völker, die noch Zusammenhalt leben,

zumindest unter einander!


Der ganze Ärger fing mit BRUTUS, oder HAGEN an!


Nun werden einige denken ich bin ganz schön durchgedreht, aber ich habe mit dem Imperium Organismus unsere Mutter=Mutter Erde gemeint, weil die von der Struktur her ein riesiger Organismus ist, das haben übrigens Wissenschaftler bewiesen und wir sind alle ein Mikrokosmos mit ähnlichen Aufbau!

So wie ich habe in Colonien die Festungsmauer habe zerbröseln lassen, zerbröseln wir unsere Darmwände mit Ballaststoff armer Nahrung, wie Fleisch, Milch, Proteinpulver, Natriumfluorid im Trinkwasser, Quark und Käse!

Vor allem die Medizin hat sich einen mit 15.000 Tabletten und 30.000 selbst

gebastelten Symptomen einen unberechtigten Platz geschaffen, der zu lasten der Volksgesundheit sträflichst geht.

Jedoch kaum Politiker hinterfragen heute bestimmte Maßnahmen, das ist

schon beängstigend!


 

 7.Szene nach Brutus

    Szene Wettkampf auf allen Ebenen des Gehirns des Colonosseums


Nach Brutus hat keiner mehr die Sybille gefragt.

Druiden schenkte man keine Beachtung mehr und das hat bis heute dazu

geführt, dass der Mensch überhaupt keine Scham mehr gegenüber sich selbst, den Tieren, der Natur und insgesamt der "Mutter Erde" hat!

So hat man die Menschheit mit 30.000 neuen  selbst gebauten Krankheits-Symtomen

überzogen und es droht ein wirtschaftlicher und gesundheitlicher Kollaps!

Hammurabi hat es verhindert, Stalin hatte es erkannt, jedoch heute scheint das niemanden zu interessieren, außer Dr. med Kelly Brogan, Dr. Schnitzer und

meine Wenigkeit.

Die anderen haben 2 Seelen in der Brust und verdienen und verdienen und verdienen.

Die Menschen leiden und leiden, besonders in Amerikanischen Gefängnissen und den Psychiatrien der gesamten Welt.

Meine Hoffnung, es wacht einer auf!!!


Die Geschichte folgt!!!



            

                                                                                                                                                                                                                                           

 


Im Teil 2 rufe ich dazu auf den Menschen in den Gefängnissen und in den Psychiatrien vor der Willkür der Psychiater zu schützen, weil die keine Skrupel haben einen Menschen zu 

brechen! es gibt durch die Psychiatrie ein unermessliches Leid auf dieser Welt und die Täter sind gnaden- und Skrupel los sie verdienen am Entsorgen von Menschen, schlimmer geht es kaum!





    7. Szene Wettkampf auf allen Ebenen und des Gehirns in der Arena des Collonossums

              Darsteller:                  


Colonloch Caesar als Imprator, wohnt am Ausgang Coloniens, gestorben in Szene 6.)            Muskulus als Somatotoprin auf Milchbasis            

Humungus als IGF-1 auf Milchbasis            

Obelix als Dopamin, das in die Zaubernahrung Rohkos gefallen, durch Milch, adipös            Romantix  als Dopamin und adipöser Milchtrinker            

Asterix als Noradrenalin/Adrenalin (Hat von Miraculix , Gegenmittel und

 darum nicht Milch geschädigt)            

Prinzessin Irina als Serotonin ( adipöse Milchtrinkerin,  Probleme durch MAO-Hemmer u. Neuroleptika)            

Obstinatus als mTor, auf Milchbasis            

König Aderlass, als Tryptophan-Bote            

Brutus  als Somatotoprinus, beseitigt in Szene 6.)            

Gehilfe Doktor Mabuse-Endokrinologe (Vielverdruss), arbeitet anonym

in der Hypohysen-Arena            

Locusta- Giftmischerin aus Rom-Herzigen- Steroidlieferantin, hat seit Brutus Tod an Bedeutung verloren            

1 Milchkuh als Milch- und damit 3-4 Fach Arginin-Lieferant  

Fleisch in Massen            

Getreide bekommt man wieder!           

 -Freilandleitungen,           

 - 5 G Rauchmelder           

- Wlan,            

- Smartphone           

 - Router            

- 15.000 den Tod eher bringende Medikamente  

     

Body-Builder -Gladiatoren:            

Arnix, als Schwertkämpfer, hat sich als Trump-gegener verabschiedet            

Dolf, als Ringer (hat Colonien fluchtartig verlassen)           

Inna, als Kraft- und Schönheitsposiererin, hat das Weite gesucht!           

Iron-Mike hilft Dr. Kellynix beim Überzeugen seiner Jungens           

Joshua, als Schwergwichtsboxer           

Sonnydix als Posierer           

Dr. Kellynix als rettender Engel der dem Tod Geweihten          

Peternix, als Germanen-Fingerdreher und brecher          

Barnibix, als Germanen-Armdrücker mit Urkraft           

Caesar-Standkörper, Disziplin unbekannt


Am Ende der 6. Szene  läuft alles Plan los weiter denn ein Planer des Bösen wie Brutus gibt es nicht mehr. Keiner geht mehr zur Sybille, der Pythia,oder zum Druiden, um sich seine Schandtaten wenigstens absegnen, oder davon abraten zu lassen.Es ist das totale Chaos des Bösen entstanden und niemand bedenkt die Folgen!Ruhe und wartet ab! Über einen Griechischen Mediziner und Druiden Dr. Mabuse-Vielverdruss mitbekommen, dass es einen neuen Spruch der Pythia, des Orakels von Delphi gibt, der das lautet, dass 4 neue Colonlöcher am Horizont aufgetaucht, ein sogenanntes Colonkleeblatt, was alle 2000 Jahre nur einmal auftaucht!Es handelt sich um  die Länder Germanien, Koreanien, Amerikanien

und Russianien! Da erschien als Erste Agelanix, danach, Wladimix,dann Kimix, und zuletzt Donaldix! Diese sollen und sind nun schon Jahre viel, viel mächtiger als Colonloch Cäsar sein und bald auch über das gesamte  ImperiumOrganismus und damit auch Colonien herrschen! Das heißt Colonloch-Cäsar, wurde in Szene 6 beseitigt und Brutus ist auch nicht mehr!

Die Prozesse an den Synapsen, der Hypophyse und in Coloniens, laufen auf Hochtouren, 

Dr. Mabuse Vielverdruss arbeitet immer noch der Anweisung Brutus gehorchend mit Steroiden.Ein Arzt aus dem Abendland hat im 15.000 Medikamente als Proben mitgebracht und er rührt quirlt und mixt das Zeug überall rein.

In ganz Colonien breiten sich aufgrund, des hohen Arginin Gehaltes der Milch, dem Fluorid 

im Trinkwasser, des hohen Fleischkonsum, des rationierten Weizen und nun auch noch der frei verkäuflichen Dopingmittel Krankheiten, die es vorher nie gab rasant aus!

Die Einnahmen für den Staat und der Mediziner gehen ins Unermessliche! Die Sterbequote steigt noch einmal nach Brutus rasant.Irgend eine neue Macht hat Rauchmelder mit 

5 G Signal den Leuten verordnet und deren Gehirne dampfen langsam ein. Immer mehr Idioten umzingeln uns!Tja ansonsten richtete das Fluorid die Gehirne und Därme der Bewohner im Imperium zu Grunde, es liefen nur noch Blödmänner herum, ohne eigene Meinung, an Krücken laufende, deren Knochen beim geringsten Sturz wie Glas zersplitterten! Neuroleptika, oder Antidepressiva sind mit Flour, Schwefel, oder Chlor 

versetzt damit das Synapsen sterben schneller geht! Die Reichen lassen sich selbst nur noch Wasser aus einer unterirdischen Quelle, Südcoloniens  herbei schaffen!Tja wenn man solche Dinge einmal ins Leben gerufen, dann lassendie sich nicht mehr aufhalten, denn plötzlich wird das ein Selbstläufer und so viele Leute verdienen ihr Geld am  Unglück der Anderen! Wenn das früher nur dem Brutus egal war so ist es heute jedem Arzt, fast jeder Krankenschwester egal.Die Leute sind so schwach und dezimiert,  dass Wettkämpfe eigentlich kaum noch statt finden Peternix und Barnibix haben sich wieder für das Fingerdrehen und Armdrücken als Germanen angemeldet! Somatotoprin-Muskulus hat im Ringen keinen Gegner, weil Dolf das Land verlassen, also nahm er lediglich am Laufen teil! Dopamin- Romantix, macht noch ein wenig Show-Pferderennen,weil es gibt keinen gegener mehr!Papa König Aderlass, hat das Land in Richtung Russland verlassen und steht unter dem Schutz von Wladimix. Ebenso sein Töchterchen die  Serotonin-Prinzessin Irina, seiner Tochter.Dopamin-Romantix ist zu träge,  er schläft überwiegend  in den Versikeln der Postsynapsen und wenn er zum Einsatz im präsynaptischen  Spalt kommt, 

wird er weiter von Prolaktin-Humungus regelmäßig verdroschen!Adrenalin-Asterix und Dopamin- Obelix sind wieder in Gallien.So kam der Tag des neu-Wettkampfes in der Body-Builder-Arenades Colonosseums und das Schicksal nahm seinen Lauf! Es war ein zwei Tägiges Spektakel und der Höhepunkt, den merkt keiner mehr alle sind nervlich so geschwächt durch die ständigen Rauchmelder-Signals, die Wlan-Router, tausende die 

mit ihren 5 G Smartphones die, die Luft so mit Elektrosmoke anreichern, dass man 

allein vom Nichtstun schon fertig ist!Das Kleeblatt, bestehend aus Kimix, Angelanix,

Trumpix und Wladimix, haben alles im Griff im Colonosseum, weil sie tragen Silber  durchwirkte Kleidung und Perücken die innen mit Kupfer ausgeschlagen  sind und so 

dringt kein Mikrowatt/m² an ihre Superhirne und sie sind Topfit! Das Kleeblatt hatte beschlossen, dass Anglanix, weil Germanien am nächsten zu Organien liegt, die Regierungsgeschäfte in Rom-Herzigen übernehmen sollte  und das klappt nun schon viele Jahre! Ähnliche Schweinereien, wie in Organien werden  auch in Germanien perfide, lautlos geplant und durch geführt. Das Organ schlachten hat seinen Höhepunkt erreicht, die Amputationen von Fluorid geschädigten Gliedmaßen ist fast nicht mehr händel bar und 

die Demenz hat nun auch schon Kleinkinder erfasst.Die kleine Frau Dr. Kellynix ist völlig erschüttert, doch sie will mit Peternix den Sumpf autrocknen, jedoch Peternix muss dazu wieder Kontakt zu  "Mutter Erde" aufnehmen und das endet immer im Trance und wenn er Pech hat, merkt einer etwas und entsorgt ihn lautlos einige Wochen in der Psychiatrie. Peternix braucht ein stilles Örtchen und eine Bindung, wie Boney und Clyde, also eine Mädel dass ihn mit dem M42 raushaut! Das schmutzige Geschäft auf Kosten der Menschen läuft immer weiter weiter, bis heute im 21. Jahrhundert!Dopamin Romantix, auf Fastfood-Basis, schuftet noch immer in der Synapsen-Arena, die Prolaktin-Humungusse deren Zahl  steigt bis heute weiter exponentiell! durch die ständig steigende Milchproduktion und damit Arginin Schwämme, steigt die Zahl der Somatotoprin-Muskulusse ebenfalls exponentiell weiter, ebenso die mTOR-Obstinatusse! Der Fleischüberhang steigt weiter und weiter,Kohlehydrat-Weizen, aus Ägypten, kommt sehr wenig zum Einsatz,dafür sorgt ein gewissenloser Strolch namens Atkins! Neptun kann leider auch nicht verhindern, dass sein klares Wasser mit Fluorid verseucht wird, manchmal geben einige sogar noch Jod dazu. Tja der zusätzliche Handel mit Steroiden, Hormonen,Testosteron, IGF-1, Somatotoprin und dem widerlichen Proteinpulver der Body-Builder, ist nicht zu stoppen, dazu kommen noch einzelne Aminosäuren und Aminosäuren-Mixturen, künstliche Vitamine, ohne Leben und diverse Ratschläge  von Möchte-gern-Brutussen.


Dr. Kellynix und Peternix Hoffnung ist ein Wunder, also dass "Vater Sonne" 

ein Zeichen gibt wie einst bei Moses, oder Mohammed, jedoch wie es weiter 

geht kann ich erst in Szene 8 sagen.





Szene 7.1 wegen  der nachfolgenden Nachricht


Anomalien im Gehirn? Rätsel um US-Botschaftsmitarbeiter in Kuba

26.07.2019 • 08:03 Uhr
https://de.rt.com/1xwm

Quelle: AFP © Fred Tanneau










(Symbolbild). Was genau die Symptome bei den Botschaftsmitarbeitern ausgelöst hat, bleibt nach wie vor ein Rätsel.

Im Jahr 2016 beklagten sich Mitarbeiter der US-Botschaft in Havanna über Schwindel und Gleichgewichtsstörungen. Die US-Regierung sprach von einem "Schallangriff". 

Drei Jahre später wollen US-Wissenschaftler nun Anomalien in den Gehirnen 

der Betroffenen festgestellt haben.


Mein Kommentar dazu:

Wenn die Nerven in Schwingungen versetzt werden, wie bei G 2,3, 4, 5, dann erwärmen sich die Natrium-, oder Kalzium-Ionen-Kanäle, die Flüssigkeit trocknet aus Signale werden nicht weitergeleitet, das Restless-Legs-Syndrom kann enstehen und auf jeden Fall sterben täglich mehrere 100.000 Nervenzellen.
Man hat zwar 300 Milliarden, es enstehen auch täglich mehrere 10.000 Neue, aber irgendwann ist Feierabend.
Mit Ultraschall dürfte das auch funktionieren. Kann deren eigenen Telefonanlage sein und die Rauchmelder,die teilweise schon mit 5000 -10.000 Mikrowatt/m², wie im Flugzeug senden.Etwa 60 Neuroleptika, Antidepressiva und Schlafmittel sind mit Flour, Schwefel, oder Chlor versetzt.Macht Suppe im Kopf sagen die Amerikaner! Es bildet sich Natriumfluorid, Kalziumfluorid, Kalziumsulfat, oder Natriumsulfat und so weiter und ebenso sterben die Ionen Kanäle un dann die Synapsen und dann die Nerven komplett! 

Das wäre meine Diagnose.

Ich habe daraufhin eine Zwischensequenz meiner Psychiatrischen Geschichten entwickelt,

um dieses Thema mit ungewissem Ausgang nochmals zu verdeutlichen, weil wir im Osten doch jetzt auch so großzügig mit G5 und G5 -Rauchmeldern ausgestattet werden!





 

 

 

 

Die Geschichte dazu folgt, nur soviel Spartakus ist auferstanden und will sich in Rom und Berlin für die Obdachlosen, die im Freien schlafen und nun nun voll G5 ausgeliefert sind 

kümmern. Rom schickt Legionen und es geht heiß her.


In Berlin soll das friedlich geschehen, doch Berlin fordert die Römischen Legionen an.


Peternix will Iron-Mike bitten einen friedlichen Boxeraufstand für die Gefängnisinsassen und die Zulu-Krieger auf der Müllhalde in Ghana zu organisieren, denn auch Dioxin erzeugt nicht nur Hautkrebs, nein auch das Gehirn wird in Mitleidenschaft gezogen!


Ausgang ungewiss, ich hoffe die Szene 8 wird ein Happyend!!!

Wer weiß, wer weiß???


7.1 Szene Spartakus und die Obdachlosen wollen das Ende des Gehirns
        im Collonossum und im Bundestag aufhalten


Diese Szene habe ich eingeschoben, weil freies WLAN, G5-Masten
und G5 Gerätschaften, speziell Obdachlosen im Freien auch permanent schädigen.
Denkt an die 500 toten Hummeln in Berlin, die jetzt mit neuen Grünstreifen kaschieren will!
Weiterhin hat Peternix-Spartakus erkannt, dass wenn niemand in diese negative 
Entwicklung eingreift, das Schicksal der Menschheit besiegelt ist-> "Das vorzeitige Aus!"

Arena des Collonossums, Platz um den Bundestag!
Darsteller:     
Spartakuss, Peternix in neuer Hauptrolle
Muskulus als Somatotoprin auf Milchbasis
Humungus als IGF-1 auf Milchbasis
Romantix  als Dopamin und adipöser Milchtrinker
Obstinatus als mTor, auf Milchbasis
Doktor Mabuse-Endokrinologe (Vielverdruss), 
arbeitet anonym in der Hypohysen-Arena
Locusta- Giftmischerin aus Rom-Herzigen- Steroidlieferantin
 hat seit  Brutus Tod an Bedeutung verloren, schmuggelt aber ihre
Steroide ein!
 1 Milchkuh als Milch- und damit 3-4 Fach Arginin-Lieferant
 Fleisch in Massen
 Getreide bekommt man wieder!
   - Freilandleitungen,
   - 5 G Rauchmelder
   - Wlan,
   - Smartphone
    - Router
    - 15.000 den Tod eher bringende Medikamente
Body-Builder -Gladiatoren:
Iron-Mike hilft Dr. Kellynix beim Überzeugen seiner Jungens
Joshua, als Schwergwichtsboxer
Dr. Kellynix als rettender Engel der dem Tod Geweihten
Spartakus(Peternix), als Germanen-Fingerdreher und brecher
Barnibix, als Germanen-Armdrücker mit Urkraft
Zwei Kräuter-Hexchen aus Germanien
 Angelanix Germanien
Kimix Koreanien
Wladinix Russanien
Donaldix Amerikanien

Am Ende der 7. Szene  läuft, das schleichend vergiften der Völker,
scheinbar unbemerkt an den 4 Colonlöchern vorbei, die Macht 
der Mediziner ist Grenze los geworden, sie machen einfache Menschen
zu psychisch Auffälligen, lassen diese durch die Staatsgewalt in
ihre Hände bringen und dann beginnt ihre Gewalt, vor der 
es kaum Entrinnen gibt.
Der Rat von Sybillen, der Pythias, oder zum Druiden gehen, 
um sich seine  Schandtaten wenigstens absegnen,  oder davon 
abraten zu lassen, ist nicht mehr Inn, der Rat eines alten Meister, 
der wird in den Wind geschlagen. 
Es ist das totale Chaos des Bösen, der Zauberlehrlinge, entstanden 
und niemand bedenkt die Folgen!
Die Länder Germanien, Koreanien, 
Amerikanien und Russianien, da hat bis auf Koreanien,
wo sich Kimix verzweifelt mit Atompfeilen wehrt, die gleiche 
Zerstörung des Lebens der Menschen und der Natur begonnen! 
Agelanix, ist Macht los, sie zittert, aber nicht vor Angst, sondern 
durch G5- und WLAN-Auswirkungen, Wladimix, ist der
ehrlich Ahnungslose unter den Vieren, jedoch irgend wie lässt
er in Russland, teils ungewollt, diese Entwicklung nicht zu.  
Donaldix wähnt sich als Klügsten unter den Vieren, ist er aber nicht,
er schlägt wütend um sich, sanktioniert und droht, hat aber 
die ganze Situation gar nicht erfasst, oder er ahnt wenn er die 
Mediziner stoppt dann ist Amerika am Ende, weil dort nur
noch Krieg an den Völkern, oder Krieg der Mediziner am eigenen
Volke die größten Einnahmen bring! 
Der Westen hat keine Visionen mehr, keine  Drang zum besseren, 
wie im fernen Asien der Xi Jinpingnix mit der Vision der friedlichen 
alles umhüllenden und schützenden, friedlichen Seidenstraße.
Die Prozesse an den Synapsen, der Hypophyse und in
Coloniens, laufen auf Hochtouren, Dr. Mabuse 
Vielverdruss arbeitet immer noch der Anweisung Brutus 
gehorchend mit Steroiden.
Dem Arzt aus dem Abendland mit seinen 15.000 Medikamenten,
gesellen sich immer mehr Vielverdrusse, also Zauberlehrlinge,
mit Null Ahnung und vielen Schaden bringenden Ideen und
Substanzen und die Dr. Marbuses und Mengelesnix, die haben
Proben mitgebracht und er rühren, quirlen und mixen, oder
schneiden die Auswirkungen an Körper, Drüsen und den inneren 
Organen gnadenlos weg, mit verheerenden Folgen.
Locusta- Giftmischerin aus Rom-Herzigen- Steroidlieferantin
hat seit  Brutus Tod an Bedeutung verloren, schmuggelt
aber ihre Steroide weiterhin ein!
In ganz Colonien breiten sich aufgrund, des hohen Arginin 
Gehaltes der Milch, dem Fluorid im Trinkwasser, des 
hohen Fleischkonsum, des rationierten Weizen und nun 
auch noch der frei verkäuflichen Dopingmittel Krankheiten, 
die es vorher nie gab rasant aus!
Die Einnahmen für den Staat und der Mediziner gehen ins
Unermessliche! Die Sterbequote steigt und steigt! 
Die Rauchmelder mit 5 G Signal die man den Leuten verordnet
hat tun ihre Wirkung und deren Gehirne dampfen langsam ein.
Die alle 100 m 5G Antennen, machen auch den Aufenthalt im 
Freien sehr gefährlich und hier will Spartakus eingreifen, 
denn das mittlerweile in Deutschland auf 600.000 Mann 
angewachsene Obdachlosen  Heer, gilt es zu schützen, 
die Zahlen in Italien werden geheim gehalten!
Immer mehr Idioten umzingeln uns!
Tja ansonsten richtete das Fluorid die Gehirne und 
Därme der Bewohner im Imperium zu Grunde, es 
liefen nur noch Blödmänner herum, ohne
eigene Meinung, an Krücken laufend, deren Knochen
beim geringsten Sturz wie Glas zersplitterten! 
Neuroleptika, oder Antidepressiva sind mit Flour, 
Schwefel, oder Chlor  versetzt damit das Synapsen sterben 
schneller geht! Die Natrium- und Kalzium-Ionen-Kanäle 
der Synapsen versiegen langsam, wie die Füsse auf der 
Erde mit ihrem Leben spenden Nass und den Mineralien 
und dem fruchtbringenden Boden!
Die Reichen lassen sich selbst nur noch Wasser aus einer 
unterirdischen Quelle, Südcoloniens  herbei schaffen!
Tja wenn man solche Dinge einmal ins Leben gerufen, 
dann lassen die sich nicht mehr aufhalten, denn plötzlich 
wird das ein Selbstläufer und so viele Leute verdienen
ihr Geld am  Unglück der Anderen!
Ein Gewissen hat niemand mehr, denn heute ist es 
so gut wie jedem Arzt, fast jeder Krankenschwester egal,
was dem Patienten widerfährt.
Am Horizont taucht Spartakus(Peternix) auf um zu helfen.
Dr. Kellynix und auch zwei Kräuter-Hexchen aus Gemanien
lässt die Entwicklung nicht kalt und so schöpft Spartakus
Hoffnung, dass sein friedlicher Plan gelingt!
Die Leute sind so schwach und dezimiert,  dass Wettkämpfe 
eigentlich kaum noch statt finden, bis auf den kleinen
neu Wettkampf, der aber sehr abgespeckt ist!
Peternix und Barnibix haben sich diesmal für die friedliche 
Revolution mit den Obdachlosen entschieden.
So fällt diesmal das  Fingerdrehen und Armdrücken,
 wegen des Ausscheidens der Germanen aus!
Somatotoprin-Muskulus hat im Ringen keinen Gegner, weil 
Dolf das Land verlassen, also nahm er lediglich am Laufen teil! 
Dopamin- Romantix, macht noch ein wenig
Show-Pferderennen, weil es gibt keinen Gegner mehr!
Papa König Aderlass, hat das Land in Richtung Russland 
verlassen  und steht  unter dem Schutz von Wladimix.
Ebenso sein Töchterchen die  Serotonin-Prinzessin Irina, 
seiner Tochter.
Dopamin-Romantix ist zu träge,  er schläft überwiegend 
in den Versikeln  der Postsynapsen und wenn er zum 
Einsatz im  präsynaptischen  Spalt kommt,  wird er weiter 
von Prolaktin-Humungus  regelmäßig  verdroschen!
Adrenalin-Asterix und Dopamin- Obelix sind wieder in
Gallien. So kam der Tag des neu-Wettkampfes in der 
Body-Builder-Arena des Colonosseums und das Schicksal
nahm seinen Lauf!
Es war ein zwei tägiges Spektakel und der Höhepunkt, den 
merkt  keiner mehr alle sind nervlich so geschwächt durch 
die ständigen  Rauchmelder-Signale, die Wlan-Router, 
tausende die mit ihren 5 G Smartphones die, die Luft so 
mit Elektrosmoke anreichern,  dass man allein vom 
Nichtstun schon fertig ist!
Das Kleeblatt, bestehend aus Kimix, Angelanix, Trumpix 
und Wladimix, haben alles im Griff im Colonosseum, 
weil sie tragen Silber  durchwirkte Kleidung und 
Perücken die  innen mit Kupfer ausgeschlagen  sind 
und so dringt kein  Mikrowatt/m² an ihre Superhirne 
und sie sind Topfit!
Plötzlich erscheint das Heer der Obdachlosen, angeführt 
von Spartakus, in der Arena!
Das Kleeblatt ist verwirrt und die Römische Leibgarde,
 führt sie schnell durch einen unterirdischen Gang des 
Collonosums in Sicherheit.
Es kommt zu kleinen Scharmützeln, jedoch Spartakus kann die 
Männer der Garde überzeugen, denn die Schandtaten der
Mediziner machen auch vor der Garde nicht halt und 
so endet die Sache erst einmal friedlich!
Ähnliche  Schweinereien, wie in Organien werden   auch in 
Germanien perfide, lautlos  geplant und durchgeführt.
Das Organausschlachten hat seinen Höhepunkt erreicht, 
die Amputationen  von Fluorid geschädigten Gliedmaßen,
ist fast nicht mehr händelbar und die Demenz hat nun
auch schon Kleinkinder erfasst. Hier hat ein gewissenloser
Minister Spanix seinen Christliche Segen gegeben.
Man zieht erst einmal durch den Befehl von Angelanix nach 
Germanien, um den dort enstehenden Aufstand der 
führungslosen Obdachlosen zu zerschlagen.
Unbemerkt ziehen Spartakus und seine rechte Hand Barnibix
auf Schleichwegen nach Berlin, um vor der Römischen Garde 
dort zu sein und den Aufständischen zu helfen!
Das gelingt und er kann auch in Germanien Schlimmeres 
verhindern, weil seine Aufklärungsarbeit den kleinen Leuten
bekannt ist und auch hier die Polizei und die Armee wach 
werden und den inneren Feind, die Mediziner langsam enttarnen.
Für das Erste ist die Gefahr gebannt.
Die kleine Frau Dr. Kellynix ist völlig erschüttert, doch 
sie will  mit Spartakus( Peternix) den Sumpf autrocknen,
 jedoch Spartaku(Peternix)
muss dazu wieder Kontakt zu  "Mutter Erde" aufnehmen 
und wahrscheinlich muss ihm diesmal, wie dem Moses einst, 
Vater Sonne eine Erleuchtung geben, jedoch dagegen 
haben die Christen die Psychiatrische Bibel ICD 10 entwickelt,
weil sie, wenn einer ein Zeichen bekommt oder eine 
Stimme von Vater Sonne hört, Angst haben ihre Macht wird
gebrochen. Was sie aber nicht ahnen, ihre Macht hängt 
am seidenen Faden der Seidenstraße.
Verhindern sie diese, ist sowohl die Erde als natürlich ihr 
Luxusleben dahin. Hoffentlich verhalten sie sich ruhig, 
dass ist ihre letzte Chance!
Spartakus(Peternix) muss in Trance geraten, für die Lösung 
aller Probleme und wenn er Pech hat, 
merkt einer etwas und entsorgt ihn lautlos einige Wochen
in der Psychiatrie. Barnibix muss ihn diesmal mit all seiner 
Kraft schützen. Spartakus(Peternix) braucht ein stilles Örtchen 
und eine Bindung,  wie Boney  und Clyde, also eine 
Mädel dass ihn mit dem schweren M42 raushaut, die hat
er längst aufgegeben, weil seine Boney ein Hasenherz hat!
Das schmutzige Geschäft auf Kosten der Menschen
läuft immer weiter weiter, bis heute im 21. Jahrhundert!
Dopamin Romantix, auf Fastfood-Basis, schuftet noch 
immer in der Synapsen-Arena, die Prolaktin-Humungusse 
deren Zahl  steigt bis heute weiter exponentiell! 
Durch die ständig steigende Milchproduktion
und damit Arginin Schwämme, steigt die Zahl der 
Somatotoprin- Muskulusse ebenfalls exponentiell 
weiter,  ebenso die mTOR-Obstinatusse! 
Der Fleisch Überhang steigt  weiter und weiter, 
Kohlehydrat-Weizen, aus Ägypten, kommt sehr 
wenig zum Einsatz, dafür sorgt ein gewissenloser  
Strolch namens Atkins!
Auch die neuen Ernährungsformen aus Mehlwürmern,
Kunstwurst, Kunstfleisch, Paleo, und weiß der Teufel,
was die alles neu erfinden, hilft nicht die alte Urnahrung 
der Völker zu ersetzen.
Neptun kann leider auch nicht verhindern, dass sein 
klares Wasser mit Fluorid verseucht wird, manchmal 
einige sogar noch Jod dazu. 
Tja der zusätzliche Handel mit Steroiden, Hormonen,
Testosteron, IGF-1, Somatotoprin und dem widerlichen 
Proteinpulver der Body-Builder, ist nicht zu stoppen, 
dazu kommen noch einzelne Aminosäuren und 
Aminosäuren-Mixturen, künstliche Vitamine, ohne
Leben und diverse Ratschläge  von Möchte-gern-Brutussen. 
Tja und selbst in den USA enstehen alle 100 m 5G-Masten,
mit dem Ziel das Volk auszuspionieren und gleichzeig die 
Gehirne zu vernichten und die Versorgung mit Botenstoffen
soll dann künstlich durch Pharmamix erfolgen!
Dr. Kellynix und Peternix Hoffnung 
ist ein Wunder, also  dass  "Vater Sonne" ein Zeichen gibt 
wie einst bei Moses,  Mohammed, oder Gilgamesch,
jedoch wie es weiter geht kann ich  erst in Szene 8 sagen.
Es muss erst wieder eine Seelenliebe, oder ein Denken im
Druidenmodus folgen. Wie oben gesagt unbeobachtet, weil
es heute ein Psychiatrisches Handbuch ICD-10 gibt und jedes 
Denken außerhalb der Norm, wie einst bei den Christen die 
Inquisition, heute die Psychiater mit 9 Punkt-Marter und
ähnlichem bestrafen! Spartakus(Peternix) hat erst einmal 
vorsichtshalber seine alten Kameraden  der Panzerjäger 
zum Trainigs-schießen auf 5G-Masten aufgerufen!






    8. Szene Spartakus und die Eliteeinheiten wollen   Scientologynix und Ende des Gehirns im     Collonossum und im Bundestag und in   der Welt aufhalten!

Diese Szene habe ich eingeschoben, weil freies WLAN, G5-Masten
und G5 Gerätschaften, wie Rauchmelder speziell von den
   Scientologynix dazu

benutzt werden Alpha-, Beta- Theta- und    Deltawellen zusätzlich aufgesetzt werden, 

um in Krankenhäusern,  Psychiatrien, öffentlichen Einrichtungen, und Wohnungen 

Menschen   zu beeinflussen, sie zu  schädigen, ihren Schlaf zu rauben, um    letztendlich

ähnliche  Schädigungen zu erreichen, wie mit den    Psychopharmaka der  Psychiatrix.

Peternix hat dazu die letzten schlag-  kräftigen Männer, die Eliteeinheiten weltweit zur

Vereinigung aufgerufen,  da sie bei Heimkehr und in der Zivilisation gnadenlos ebenfalls

schleichend beseitigt werden, speziell bei PTS durch die Psychiatrix.  In den USA bekämpfen

 sich Scientologynix und Psychiatrix, hier in    der EU scheinen sie eine unheilvolle Allianz

 eingegangen zu sein. Weiterhin hat Peternix-Spartakus erkannt, dass wenn niemand in

diese negative Entwicklung eingreift, das Schicksal der Menschheit   besiegelt ist->

 "Das vorzeitige Aus!"


Arena des Collonossums, Platz um den Bundestag!
Darsteller:
Spartakuss, Peternix in neuer Hauptrolle
Muskulus als Somatotoprin auf Milchbasis
Humungus als IGF-1 auf Milchbasis
Romantix als Dopamin und adipöser Milchtrinker
Obstinatus als mTor, auf Milchbasis
Doktor Mabuse-Endokrinologe (Vielverdruss),
arbeitet anonym in der Hypohysen-Arena
Locusta- Giftmischerin aus Rom-Herzigen- Steroidlieferantin
hat seit Brutus Tod an Bedeutung verloren, schmuggelt aber ihre
Steroide ein!
1 Milchkuh als Milch- und damit 3-4 Fach Arginin-Lieferant
Fleisch in Massen
Getreide bekommt man wieder!
Freilandleitungen,
- 5 G Rauchmelder
- Wlan,
- Smartphone
  - Router
- 15.000 den Tod eher bringende Medikamente
Body-Builder -Gladiatoren:
Iron-Mike hilft Dr. Kellynix beim Überzeugen seiner Jungens
Joshua, als Schwergwichtsboxer
Dr. Kellynix als rettender Engel der dem Tod Geweihten
Spartakus(Peternix), als Germanen-Fingerdreher und -brecher
Barnibix, als Germanen-Armdrücker mit Urkraft
Zwei Kräuter-Hexchen aus Germanien
  Scientologynix als EMF-Wellenschleuder

Psychiatrix als Pillendealer  Dr. Annettix als Retterin der Zukunft mit ihrer Arbeits-

 u.    Lebenswissenschaft, gemeinsam mit Peterxix
Angelanix Germanien
Kimix Koreanien
Wladinix Russanien
Donaldix Amerikanien
  Xi Jinpinix aus Chinesien
Am Ende der 7.1. Szene  läuft, das schleichend vergiften der
   Völker,

scheinbar unbemerkt an den 4 Colonlöchern vorbei, die    Macht der

 Mediziner ist Grenze los geworden, sie machen    einfache Menschen

zu psychisch Auffälligen, lassen diese durch  die Staatsgewalt in ihre

Hände bringen und dann beginnt ihre    Gewalt, vor der es kaum Entrinnen gibt.
Der Rat von Sybillen, der Pythias, oder zum Druiden gehen,
um sich seine Schandtaten wenigstens absegnen,oder davon
abraten zu lassen, ist nicht mehr Inn, der Rat eines alten Meister,
der wird in den Wind geschlagen.
Es ist das totale Chaos des Bösen, der Zauberlehrlinge, entstanden
und niemand bedenkt die Folgen!
Die Länder Germanien, Koreanien,
Amerikanien und Russianien, da hat bis auf Koreanien,
wo sich Kimix verzweifelt mit Atompfeilen wehrt, die gleiche
Zerstörung des Lebens der Menschen und der Natur begonnen!
Angelanix, ist Macht los, sie zittert, aber nicht vor Angst, sondern
durch G5- und WLAN-Auswirkungen, Wladimix, ist der
ehrlich Ahnungslose unter den Vieren, jedoch irgend wie lässt
er in Russland, teils ungewollt, diese Entwicklung nicht zu.
Donaldix wähnt sich als Klügsten unter den Vieren, ist er aber
  nicht,

 er schlägt wütend um sich, sanktioniert und droht, hat aber
die ganze Situation gar nicht erfasst, oder er ahnt wenn er die
Mediziner stoppt dann ist Amerika am Ende, weil dort nur
noch Krieg an den Völkern, oder Krieg der Mediziner am eigenen
Volke die größten Einnahmen bring!
Der Westen hat keine Visionen mehr, keine Drang zum besseren,
wie im fernen Asien der Xi Jinpingnix mit der Vision der friedlichen
alles umhüllenden und schützenden, friedlichen Seidenstraße.
  Peternix 

hat bemerkt, dass in Deutschland sich die Psychiatrix und  die Scientologynix

 unterschwellig vereinigt haben und EMF-Wellen  schon überall in den 

Krankenhäusern, Psychiatrien und Wohnungen,  sogar öffentlichen Einrichtungen,

 wie auch Bus, Bahn,    Kaufhäusern, Flugzeugen und sogar E-Autos zum Einsatz bringen
Die Prozesse an den Synapsen, der Hypophyse und in
Coloniens, laufen auf Hochtouren, Dr. Mabuse
Vielverdruss arbeitet immer noch der Anweisung Brutus
gehorchend mit Steroiden.
Dem Arzt aus dem Abendland mit seinen 15.000 Medikamenten,
gesellen sich immer mehr Vielverdrusse, also Zauberlehrlinge,
mit Null Ahnung und vielen Schaden bringenden Ideen und
Substanzen und die Dr. Marbuses und Mengelesnix, die haben
Proben mitgebracht und er rühren, quirlen und mixen, oder
schneiden die Auswirkungen an Körper, Drüsen und den inneren
Organen gnadenlos weg, mit verheerenden Folgen.
Locusta- Giftmischerin aus Rom-Herzigen- Steroidlieferantin
hat seit  Brutus Tod an Bedeutung verloren, schmuggelt
aber ihre Steroide weiterhin ein!
In ganz Colonien breiten sich aufgrund, des hohen Arginin
Gehaltes der Milch, dem Fluorid im Trinkwasser, welches
   laut Angaben

 0,27 mg/Liter sein soll, aber im Ist 2 mg/Liter    beträgt, des hohen Fleischkonsum, 

des rationierten Weizen    und nun auch noch der frei verkäuflichen Dopingmittel

Krankheiten, die es vorher nie gab rasant aus!
Die Einnahmen für den Staat und der Mediziner gehen
   ins Unermessliche!

 Die Sterbequote steigt und steigt!
Die Rauchmelder mit 5 G Signal die man den Leuten
   verordnet hat tun ihre Wirkung

 und deren Gehirne dampfen  langsam ein. Die alle 100 m 5G Antennen, machen auch

den Aufenthalt im Freien sehr gefährlich und hier will    Spartakus eingreifen,denn das 

mittlerweile in Deutschland  auf 600.000 Mann angewachsene Obdachlosen Heer,    gilt

es zu schützen,die Zahlen in Italien werden geheim gehalten! Colonien fühlt sich betrogen,

 denn von ihnen gehen die Alpha-, Beta-Delta- und Thetasignale aus die den gesamten 

Nährstoffkreislauf auslösen, denn die Scientologynix scheinen diesen Markt für sich 

entdeckt zu haben um die  Psychiatrix auszuboten. Leider haben sie nicht bedacht, 

dass ihre Technologie die Menschen und die Natur ebenso zerstört  wie die Pillen 

der Psychiatrix. Die scheinbare Allianz der Psychiatrix mit den Scientologynix ist 

trügerisch, weil die Scientologynix überall in den Sprechzimmern der Psychiatrix

 ihre verheerenden Rauchmelder gleich mit eingebaut haben, um die Psychiatrix

schleichend zu beseitigen. Immer mehr Idioten umzingeln uns!

Tja ansonsten richtete das Fluorid die Gehirne und
Därme der Bewohner im Imperium zu Grunde, es
liefen nur noch Blödmänner herum, ohne
eigene Meinung, an Krücken laufend, deren Knochen
beim geringsten Sturz wie Glas zersplitterten!
Neuroleptika, oder Antidepressiva sind mit Fluor,
Schwefel, oder Chlor versetzt damit das Synapsen sterben
schneller geht! Die Natrium- und Kalzium-Ionen-Kanäle
der Synapsen versiegen langsam, wie die Füße auf der
Erde mit ihrem Leben spenden Nass und den Mineralien
und dem fruchtbringenden Boden!
Die Reichen lassen sich selbst nur noch Wasser aus einer
unterirdischen Quelle, Südcoloniens herbei schaffen!
Tja wenn man solche Dinge einmal ins Leben gerufen,
dann lassen die sich nicht mehr aufhalten, denn plötzlich
wird das ein Selbstläufer und so viele Leute verdienen
ihr Geld am  Unglück der Anderen!
Ein Gewissen hat niemand mehr, denn heute ist es 
so gut wie jedem Arzt, fast jeder Krankenschwester egal,
was dem Patienten widerfährt.
Am Horizont taucht Spartakus(Peternix) auf um zu helfen.
Dr. Kellynix und auch zwei Kräuter-Hexchen aus Gemanien
  lässt die

 Entwicklung nicht kalt und so schöpft Spartakus
Hoffnung, dass sein friedlicher Plan gelingt!
  Eine der Hexchen, 

Dr. Annettix, hat eine neue Heilmethode    für die Psychiatrix erfunden, 

die Peternix Hoffnung schöpfen    lässt, dass sich alles zum Guten wendet.
Die Leute sind so schwach und dezimiert, dass Wettkämpfe
eigentlich kaum noch statt finden, bis auf den kleinen
neu Wettkampf, der aber sehr abgespeckt ist!
Peternix und Barnibix haben sich diesmal beschlossen die
  Eliteeinheiten

 der Welt zu vereinen, denn friedlich geht leider  schon lange nicht mehr,

 man muss Druck auf die Obrigkeit  ausüben. So fällt diesmal das 

Fingerdrehen und Armdrücken,
wegen des Ausscheidens der Germanen aus!
Somatotoprin-Muskulus hat im Ringen keinen Gegner, weil
Dolf das Land verlassen, also nahm er lediglich am Laufen
  teil!

 Dopamin- Romantix, macht noch ein wenig
Show-Pferderennen, weil es gibt keinen Gegner mehr!
Papa König Aderlass, hat das Land in Richtung Russland
verlassen und steht unter dem Schutz von Wladimix.
Ebenso sein Töchterchen die Serotonin-Prinzessin Irina,
seiner Tochter.
Dopamin-Romantix ist zu träge, er schläft überwiegend
in den Versikeln der Postsynapsen und wenn er zum
Einsatz im präsynaptischen Spalt kommt, wird er weiter
von Prolaktin-Humungus regelmäßig verdroschen!
Adrenalin-Asterix und Dopamin- Obelix sind wieder in
Gallien. So kam der Tag des neu-Wettkampfes in der 
Body-Builder-Arena des Colonosseums und das Schicksal
nahm seinen Lauf!
Es war ein zwei tägiges Spektakel und der Höhepunkt, den
merkt keiner mehr alle sind nervlich so geschwächt durch
die ständigen Rauchmelder-Signale, die Wlan-Router,
tausende die mit ihren 5 G Smartphones die, die Luft so
mit Elektrosmoke anreichern, dass man allein vom
Nichtstun schon fertig ist!
  Durch die EMF-Wellen der o.g. WLAN-Schleudern

 ist das  Antriebshormon Dopamin Mangelware, ebenso durch die 

Psychopharmaka der Psychiatrix, es geht das große Zittern  um, 

welches Restless- Legs Syndrom heißt und in der    Endphase zu 

Parkinson und Demenz, weil Acethylcholin    ebenso Mangelware

 wird und durch den Elektrosmoke  die Ionen-Känäle der Neuronen austrocknen.
Das Kleeblatt, bestehend aus Kimix, Angelanix, Trumpix
und Wladimix, denken sie haben alles im Griff im
   Colonosseum, weil sie tragen

 Silber durch wirkte    Kleidung und Perücken die  innen mit Kupfer ausge-  schlagen

 sind und so dringt kein Mikrowatt/m² an  ihre Superhirne und sie scheinen Topfit!

Leider haben die Scientologynix das bemerkt und die    Flussdichte der schädlichen

 Beta-Wellen merklich erhöht.
Plötzlich erscheint das Heer der Eliteeinheiten angeführt
von Spartakus, in der Arena!
Das Kleeblatt ist verwirrt und die Römische Leibgarde,
führt sie schnell durch einen unterirdischen Gang des
Collonosums in Sicherheit.
Es kommt zu kleinen Scharmützeln, jedoch Spartakus kann die
Männer der Leibgarde überzeugen, denn die Schandtaten der
Mediziner machen auch vor der Garde nicht halt und
so endet die Sache erst einmal friedlich!
Ähnliche Schweinereien, wie in Organien werden auch in
Germanien perfide, lautlos geplant und durchgeführt.
Das Organausschlachten hat seinen Höhepunkt erreicht,
die Amputationen von Fluorid geschädigten Gliedmaßen,
ist fast nicht mehr händelbar und die Demenz hat nun
auch schon Kleinkinder erfasst. Hier hat ein gewissenloser
Minister Spanix seinen Christliche Segen gegeben.
Man zieht erst einmal durch den Befehl von Angelanix nach
Germanien, um den dort entstehenden Aufstand der durch
Annegretix gelähmten KSK-Truppen zu zerschlagen.
Unbemerkt ziehen Spartakus und seine rechte Hand Barnibix
auf Schleichwegen nach Berlin, um vor der Römischen Garde 
dort zu sein und den Aufständischen zu helfen!
Das gelingt und er kann auch in Germanien Schlimmeres
verhindern, weil seine Aufklärungsarbeit den kleinen Leuten
bekannt ist und auch hier die Polizei und die Armee wach
werden und den inneren Feind, die Mediziner, Psychiatrix
   und

 immer mehr aufkommenden Scientologynix  langsam    zu enttarnen

. Für das Erste ist die Gefahr gebannt.
Die kleine Frau Dr. Kellynix ist völlig erschüttert, doch
sie will mit Spartakus( Peternix) den Sumpf austrocknen,
jedoch Spartakus(Peternix)
muss dazu wieder Kontakt zu "Mutter Erde" aufnehmen
und wahrscheinlich muss ihm diesmal, wie dem Moses einst,
Vater Sonne eine Erleuchtung geben, jedoch dagegen
haben die Christen die Psychiatrische Bibel ICD 10 entwickelt,
weil sie, wenn einer ein Zeichen bekommt oder eine
Stimme von Vater Sonne hört, Angst haben ihre Macht wird
gebrochen. Was sie aber nicht ahnen, ihre Macht hängt
am seidenen Faden der Seidenstraße.
  Verhindern sie diese,

 ist sowohl die Erde als natürlich ihr
Luxusleben dahin. Hoffentlich verhalten sie sich ruhig,
dass ist ihre letzte Chance!
Spartakus(Peternix) muss in Trance geraten, für die Lösung
aller Probleme und wenn er Pech hat,
merkt einer etwas und entsorgt ihn lautlos einige Wochen
in der Psychiatrie. Barnibix muss ihn diesmal mit all seiner
Kraft schützen. Spartakus(Peternix) braucht ein stilles
   Örtchenund

 eine Bindung, wie Boney und Clyde, also eine
Mädel dass ihn mit dem schweren M42 raus haut, die hat
er längst aufgegeben, weil seine Boney ein Hasenherz hat!
  Unmerklich

 hat Vater Sonne und Mutter Erde eine echte    Boney, eine Aisopossi für

 Peternix zum erblühen gebracht.  Deckname Dr. Annettix, sie hat das Zeug

 dazu, den Peternix  zu schützen, ständig aus den Klauen der Psychiatrix

 zu    befreien und hat gleichzeitig ein Werk, gleich des Marxschen  Manifestes

 verfasst, welches in Zusammenarbeit mit  Dr. Kellynix die  Welt verbessern

 könnte, nämlich die    Arbeits- und Lebenswissenschaft! Das schmutzige 

eschäft  auf Kosten der Menschen läuft derzeit unter dem Decknamen:

“Corona“ weiter und weiter, bis heute im 21. Jahrhundert!
Dopamin Romantix, auf Fastfood-Basis, schuftet noch
immer in der Synapsen-Arena, die Prolaktin-Humungusse
deren Zahl steigt bis heute weiter exponentiell!
Durch die ständig steigende Milchproduktion
und damit Arginin Schwämme, steigt die Zahl der
Somatotoprin- Muskulusse ebenfalls exponentiell
weiter, ebenso die mTOR-Obstinatusse!
Der Fleisch Überhang steigt weiter und weiter,
Kohlehydrat-Weizen, aus Ägypten, kommt sehr
wenig zum Einsatz, dafür sorgt ein gewissenloser
Strolch namens Atkins! Tja selbst Corona, welches im

Wesentlichen auch in der Schweinemast auftrat konnte  ihn 

nicht dazu bewegen endlich zu Gunsten der Vegetarier  aufzugeben,

nein Elend und Tod sind seine n.
Auch die neuen Ernährungsformen aus Mehlwürmern,
Kunstwurst, Kunstfleisch, Paleo, und weiß der Teufel,
was die alles neu erfinden, hilft nicht die alte Urnahrung
der Völker zu ersetzen. Weil Eiweiß benötigt der Mensch
 

 nur 10% von 100%, denn 10/20/70 heißt die Zauberformel.
Neptun kann leider auch nicht verhindern, dass sein
klares Wasser mit Fluorid verseucht wird, manchmal
einige sogar noch Jod dazu.
Tja der zusätzliche Handel mit Steroiden, Hormonen,
Testosteron, IGF-1, Somatotoprin und dem widerlichen
Proteinpulver der Body-Builder, ist nicht zu stoppen,
dazu kommen noch einzelne Aminosäuren und
Aminosäuren-Mixturen, künstliche Vitamine, ohne
Leben und diverse Ratschläge von Möchte-gern-Brutussen.
Tja und selbst in den USA entstehen alle 100 m 5G-Masten,
mit dem Ziel das Volk auszuspionieren und gleichzeitig die
Gehirne zu vernichten und die Versorgung mit Botenstoffen
soll dann künstlich durch Pharmamix erfolgen!
Dr. Kellynix, Dr. Annettix und Peternix Hoffnung
ist ein Wunder, also dass  "Vater Sonne" ein Zeichen gibt
wie einst bei Moses,  Mohammed, oder Gilgamesch,
jedoch wie es weiter geht kann ich erst in Szene 9 sagen.
Es muss erst wieder eine Seelenliebe, oder ein Denken im
Druiden-Modus folgen. Wie oben gesagt unbeobachtet, weil
es heute ein Psychiatrisches Handbuch ICD-10 gibt und jedes
Denken außerhalb der Norm, wie einst bei den Christen die
Inquisition, heute die Psychiater mit 9 Punkt-Marter und
ähnlichem bestrafen!
  Tja nun denken die Sientologynix ihre 

EMF-Wellen sind die  Lösung, nein leider nicht, weil der Darm das

 Urhirn ist und  alles was man an seiner Schöpfung dem Gehirn herum

 bastelt  er nicht genehmigt und mit schweren Nebenwirkungen bestraft.

Spartakus(Peternix) hat erst einmal
vorsichtshalber seine alten Kameraden  der Panzerjäger 
zum Trainings-schießen auf 5G-Masten aufgerufen!
 

Vielleicht kommen Kimix Jungs mit Vierlings-Flaks zu Hilfe.


8.Szene Teil1
Szene8.Teil1.pdf (5.89MB)
8.Szene Teil1
Szene8.Teil1.pdf (5.89MB)
Szene8.Teil2
Szene.8Teil2.pdf (5.37MB)
Szene8.Teil2
Szene.8Teil2.pdf (5.37MB)
Szene8.Teil3
Szene8.Teil3.pdf (6.77MB)
Szene8.Teil3
Szene8.Teil3.pdf (6.77MB)
Szene8.Teil4
Szene8.Teil4.pdf (3.12MB)
Szene8.Teil4
Szene8.Teil4.pdf (3.12MB)
    9. Szene Hoffnung und Vernunft  muss siegen     

Diese Szene ist ein von mir entworfener Ausweg aus dem derzeitigen  

Weltdilemma.Die Corona-Geschichte zeigt mir die festgefahrene  

Denkweise der logische linken Gehirnhälfte,

 so wie  es der Japanische Arzt  Dr. Shigeo Haruyama einfach 

treffend beschrieb. So habe ich, der seinen neuen Druiden-Modus

erprobt hat, folgendes  mit „Rechts“ gedacht:  


Eine neue bessere Welt, ich nenne sie FUTURE!  


Grundvoraussetzung:  

Dem Spruch der Schamanen hat jeder Präsident Folge zu leisten,   

denn sie sind die Mittler zwischen „Mutter Erde -Mensch-Tiere-Natur!


Als Mittler der Neuzeit habe ich mir :

Peternix, als Aisopossix und männlicher Ingenieur - Analytix gedacht und

Annettix, als Asklepianix und weibliche Doktor - Analytix gedacht!


Nur so können wir den Rat der Schamanen den Regierenden,  plausibel, nahe legen. 


Die Basis von FUTURA haben:

Josef Stalinix  

Kim Il Sungix  

Walterrix 

Dr. Galinanix  

Fiedel Castroix  

ElChenix  

mit dem für mich, IDEALISMUS, geschaffen!  


Den Idealismus habe ich neu festgelegt um eine reine Gesellschaftsform

vorzulegen, die vom dem westlichen Propheten Marx in einer inneren

Kommunikation mit  „Mutter Erde“geschaffen wurde und mit dem Islam

und  dessen Propheten Mohammed und dem Jüdischen Propheten Moses

harmoniert,   weil alle drei für ihre Völker in der Not ein Ähnliches erschaffen haben.    

Weiterhin würde es mit allen Religionen wie dem Hinduismus, 

den Asiatischen Religionen wie den Afrikanischen und Amerikanischen

 Kulten harmonieren,  weil Alle den „Vater Sonne“ und die Mutter Erde“ 

als Lebensbasis haben.  Wir müssen das nur für alle Völker in ihre jeweilige

Mentalität übersetzen und umsetzen. 

So wird nie wieder, so wie beim Christentum und allen abartigen

Abschweifungen, Streit, Disharmonie und Zerstörung entstehen! 


Unsere Zukunft sind die derzeitigen Präsidenten:


Wladinix Russanien  

Angelanix Germanien
Kimix Koreanien
Donaldix Amerikanien

Xi Jinpinix aus Chinesien

Hassanix aus Persien

Bascharix aus Syrien

Recepnix aus Türkien  


als die derzeit möglich am sinnvollsten von mir erkannt worden, 

weil vor allen Wladinix einziger Weltvisionär ist. Wird diese für

mich letzte Möglichkeit  der Einigung auf  diesem Planeten verschossen,

denke ich ist es in 60 Jahren  vorbei, das ist Chaos, weil die WHO sagt:

 „Unter den jetzigen Produktions-  bedingen, sind auf der Erde nur noch

60 Ernten möglich!“ Das ist eine Tatsache, weil wir bisher im Juli jeden 

Jahres bisher alle erneuerbaren Ressourcen verbraucht haben, ohne uns

Gedanken zu machen, wie weiter?  


Alle weiteren Darsteller wie in  Szene 6, als Rückblick auf ein vielleicht

zukünftiges, friedliches Olympia:  


Colonloch Caesar als Imprator, wohnte einst am Ausgang Coloniens

uskulus als Somatotoprin neu auf vegetarischer Basis

Humungus als IGF-1 neu auf vegetarischer Basis  

Romantix neu  als Dopamin auf vegetarischer Basis

Asterix als Noradrenalin/Adrenalin

Obstinatus als mTor, auf vegetarischer Basis

Brutus als Wagenlenker  


Body-Builder -Gladiatoren:  

Unbekannte Athletin, als Steinkugelheber

Arnix, als Schwertkämpfer  

Inna, als Kraft- und Schönheitsposiererin

Wladiwix, als Schwergewichtsboxer

Joshuarix, als Schwergwichtsboxer

Van Damix, als leichter flinker Boxer

Sonnydix als Posierer

Jimix als Posierer

Unbekannte als Posiererin

Peternix, als Germanen-Fingerdreher und -brecher

Barnibix, als Germanen-Armdrücker mit Urkraft


Den Bösewichten habe ich die Ändung „wix“ gegeben, wie  


Bushwix  

Hillariwix  

Macronwix  

Obamawix  


Sie alle haben die Welt fast ins Unglück gestürzt und  nur Leid geschaffen.  


Ausgangspunkt:  Alle Schäden der Szene 8. sind bereinigt!  

Das „Imperium Body“ ist wieder okay!

Das „Imperium Body“ funktioniert wieder einwandfrei, so wie es  

einst die weise Dr. Galinanix aus Russianen ermittelt und

empfohlen hat. Jedes Land hat seine spezifische Urkost, welche    

unsere Vorfahren einst gegessen und die der Muttermilch des    

jeweiligen Landes angepasst ist.  Die Schamanen legen die 

Fangquoten an Fischen und Anbaumengen  von pflanzlicher 

Nahrung in  Absprache mit der jeweiligen    “ Landes-Mutter- Erde “,  

wie beispielsweise „Mütterchen Russland“ fest!  Weil nur sie können 

mit „Mutter Erde, oder Natur“ kommunizieren.  Die Medizinmänner 

handeln nur um die Selbstheilungskräfte der    Menschen zu stärken

 in Absprache mit „Mutter Erde“, nach dem  Prinzip des

 „Gottes der Heilkunst ,Asklepios“ und halten den  

„Eid des Hippokrates“ streng  ein, nach dem Grundsatz :  

„Den Körper des Patienten wie seinen eigenen zu lieben und  

zu behandeln“, ohne Gewinnorientierung und dem allgemeinen  

Lehrsatz: „ Wie kann einer der die Nahrung der Menschen nicht    

kennt, ihre Krankheiten heilen wollen?“  

Der Arzt wird nur für gesunde Menschen honoriert!  

Medikamente nur unterstützende Naturheilkräuter, naturbelassen! 

Die sogenannten Bodenschätze bleiben zukünftig unberührt, 

denn  ihr Vorhandensein an den entsprechenden Stellen 

der Mutter Erde  hat seinen Grund!  


- Vater Sonne sorgt für Lichtenergie  

- Mutter Erde ist wieder für viele Jahrhunderte fruchtbar  

- Wir benötigen auch die Energie der Sterne  

- Blitze und Magnetwellen erzeugt NUR noch die Natur   

- Die Nahrung besteht spezifisch auf jedes Land bezogen,

aus klaren Wasser  

- Sauerstoff  

- Stickstoff  

- Obst und Gemüse 

- Getreide  

- wenige Genussmittel, naturbelassen  

- Bei Bedarf Naturheilkräuter  


Corona ist Geschichte, die Natur intakt, der Bundestag strahlt    

in der Sonne!  


Rückblick auf Olympia, der Szene 6.  


 S
o kam der Tag des neu-Wettkampfes in der Body-Builder-Arena  

des Colonosseums und das Schicksal nahm seinen Lauf!  

Es war ein zwei Tägiges Spektakel und der Höhepunkt war das  

Wagenrennen, das natürlich Brutus, gegen den müden, von  

Prolaktin- Humungus ständig zerschlagenen Dopamin-Romantix  

Haus hoch gewann!  Colonloch-Cäsar prostete ihm zu und kippte

plötzlich von der Bühne!  Alle Versuche ihm zu helfen scheiterten, 

er verstarb vor Ort!  Es gab einen allgemeinen Aufruhr, aber die 

Leibgarde Colonloch-  Cäsars, konnte Schlimmeres verhindern 

und brachte auch das  Kleeblatt, bestehend aus Kimix, Angelanix, 

Donaldix und  Wladinix, sicher aus dem Colonosseum!  Brutus suchte 

verzweifelt nach Serotonin-Prinzessin Irina!  Alle seine Spione wussten

 nichts, einige waren vom Kleeblatt  bestochen und so erfuhr er absolut

 nichts!  Sein Hauptziel Colonloch –Cäsar zu beseitigen war gelungen,

 Colonien war noch heil, also betrank er sich mit einigen  

Freudenmädchen und hatte hinterher noch Spaß mit ihnen und  

so war Serotonin-Prinzessin Irina, die ihm sowieso zu zickig war  

bald vergessen und so nahm das Schicksal seinen Lauf!  

Das Kleeblatt hatte beschlossen, dass Angelanix, weil Germanien  

am nächsten zu Organien liegt, die Regierungsgeschäfte in  

Rom-Herzigen übernehmen sollte! Brutus tröstete sie mit dem  

Stadthalter-Posten von Colonien! Damit war er vorerst zufrieden!  

Ähnliche Schweinereien, wie in Organien liefen auch in Germanien  

ab, also war das für Angelanix nichts neues, sie fühlte sich in  

dem neuen Sumpf sehr wohl!  Bald hatte sie Brutus so eingelullt, 

dass er ihr aus der Hand fraß!  Als eines Tages Brutus nicht mehr 

auf wachte krähte kein Hahn  mehr nach ihm, das schmutzige 

Geschäft auf Kosten der Menschen  lief auch ohne ihn weiter, 

bis heute ins 21. Jahrhundert!“  Ja nun ist die Situation ähnlich, 

wir stehen kurz vor dem „AUS!“  Tja nun die Zukunft:  


So war mein Gedanke in Szene 8 

„Unmerklich hat Vater Sonne und Mutter Erde eine echte     

Boney, eine Aisopossi für Peternix zum erblühen gebracht.   

Deckname Dr. Annettix, sie hat das Zeug dazu, den Peternix   

zu schützen, ständig aus den Klauen der Psychiatrix zu    

befreien und hat gleichzeitig ein Werk, gleich des Marxschen   

Manifestes verfasst, welches in Zusammenarbeit mit   

Dr. Kellynix die  Welt verbessern könnte, nämlich die     

Arbeits- und Lebenswissenschaft! „  
 „Dr. Kellynix, Dr. Annettix und Peternix Hoffnung
ist ein Wunder, also dass  "Vater Sonne" ein Zeichen gibt
wie einst bei Moses,  Mohammed, Gilgamesch, oder Karl Marx,
jedoch wie es weiter geht kann ich erst in Szene 9 sagen.
Es muss erst wieder eine Seelenliebe, oder ein Denken im
Druiden-Modus folgen. Wie oben gesagt unbeobachtet, weil
es heute ein Psychiatrisches Handbuch ICD-10 gibt und jedes
Denken außerhalb der Norm, wie einst bei den Christen die
Inquisition, heute die Psychiater mit 9 Punkt-Marter und
ähnlichem bestrafen!
  Tja nun denken die Sientologynix ihre 

EMF-Wellen sind die  Lösung, nein leider nicht, weil der Darm 

das Urhirn ist und  alles was man an seiner Schöpfung dem

Gehirn herum bastelt  er nicht genehmigt und mit schweren

Nebenwirkungen bestraft.  Spartakus(Peternix) hat erst einmal
vorsichtshalber seine alten Kameraden der Panzerjäger
zum Trainings-schießen auf 5G-Masten aufgerufen!

Vielleicht kommen Kimix Jungs mit Vierlings-Flaks zu Hilfe.“  


 
Ja nun der Ausblick in meiner erdachten Szene 9  
 FUTURA, die idealistische Zukunft 

 
Die Bösewixe werden in ihre Schranken verwiesen, sie können  

das in Guantanamo lernen!  In den Sakophag, gehört alles was 

die heutige Welt zerstört hat:  Schulmedizin, vor allem die Psychiatrie  

Chemiekonzerne  Pharmakonzerne  Irr-Religionen, wie  das Christentum

Scientologen, alles was nicht der Natur entsprungen ist,  

durch einen Propheten, bringt die Menschen und die Erde in Gefahr!  


Das ewige Rom wird Idealistisch!

Russland wird unsere Sonne und unsere Schutz!

China wird idealistisch und kehrt zu den Lehren der    

Vorfahren zurück, die einst das Land zum besten 

Agrarland machten!  Nordkoreanien wir von der Struktur, 

ähnlich der DDR unser Vorbild!  Persien, Syrien, Türkei, 

werden das Islam-idealistisch für den Orient  umsetzen! 

Die USA werden ein idealistisches Land, welches mit    

den Indianischen Schamanen harmoniert und gemeinsam ein    

idealistisches Strukturkonzept, ähnlich  Nordkoreanien-DDR

errichten und den Schutz für ganz Amerika übernehmen.  

Afrika wird Schamanisch-Idealistisch, Australien wird    

Aborigines-Idealistisch!  

Die Inder bleiben Hinduistisch-Idealistisch, und so weiter! 


„ Ich liebte ein Mädchen auf dem Mars, ja das war es!“